Sign in
Sign up
home
>
HUABIO
> HUABIO albumin antibody
Albumin
HUABIO
catalog: 0806-9
domestic rabbit polyclonal
reactivity:
human
,
mouse
application:
western blot
,
flow cytometry
,
immunohistochemistry - paraffin section
Western blot analysis on human heart tissue lysate(1) and human serum lysate(2) using anti-albumin polyclonal antibody.
ICC staining Albumin in D3 cells (red). Cells were fixed in paraformaldehyde, permeabilised with 0.25% Triton X100/PBS.
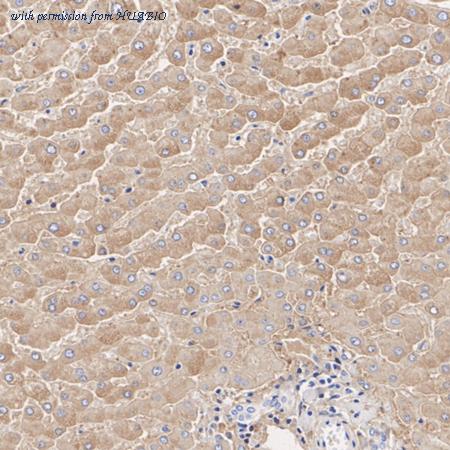
Immunohistochemical analysis of paraffin-embedded human liver tissue with Rabbit anti-Albumin antibody (0806-9) at 1/50 dilution. The section was pre-treated using heat mediated antigen retrieval with Tris-EDTA buffer (pH 9.0) for 20 minutes. The tissues were blocked in 1% BSA for 20 minutes at room temperature, washed with ddH2O and PBS, and then probed with the primary antibody (0806-9) at 1/50 dilution for 1 hour at room temperature. The detection was performed using an HRP conjugated compact polymer system. DAB was used as the chromogen. Tissues were counterstained with hematoxylin and mounted with DPX.
quantity: 100μl
price: 330 USD
to the supplier
Albumin
HUABIO
catalog: EM1901-80
mouse monoclonal (C5-A8)
reactivity:
human
,
rat
application:
western blot
,
ELISA
,
flow cytometry
,
immunohistochemistry - paraffin section
Western blot analysis of Albumin on different lysates. Proteins were transferred to a PVDF membrane and blocked with 5% BSA in PBS for 1 hour at room temperature. The primary antibody (EM1901-80, 1/50000) was used in 5% BSA at room temperature for 2 hours. Goat Anti-Mouse IgG - HRP Secondary Antibody (HA1006) at 1:5,000 dilution was used for 1 hour at room temperature. Positive control: Lane 1: Human plasma sample Lane 2: HepG2 cell lysate
Immunohistochemical analysis of paraffin-embedded rat kidney tissue using anti-Albumin antibody. The section was pre-treated using heat mediated antigen retrieval with Tris-EDTA buffer (pH 8.0-8.4) for 20 minutes.The tissues were blocked in 5% BSA for 30 minutes at room temperature, washed with ddH2O and PBS, and then probed with the primary antibody (EM1901-80, 1/50) for 30 minutes at room temperature. The detection was performed using an HRP conjugated compact polymer system. DAB was used as the chromogen. Tissues were counterstained with hematoxylin and mounted with DPX.
Immunohistochemical analysis of paraffin-embedded human prostate cancer tissue using anti-Albumin antibody. The section was pre-treated using heat mediated antigen retrieval with Tris-EDTA buffer (pH 8.0-8.4) for 20 minutes.The tissues were blocked in 5% BSA for 30 minutes at room temperature, washed with ddH2O and PBS, and then probed with the primary antibody (EM1901-80, 1/100) for 30 minutes at room temperature. The detection was performed using an HRP conjugated compact polymer system. DAB was used as the chromogen. Tissues were counterstained with hematoxylin and mounted with DPX.
quantity: 100μl
price: 360.00 USD
to the supplier
Albumin
HUABIO
catalog: EM1901-81
mouse monoclonal (1-G10)
reactivity:
human
application:
western blot
,
ELISA
,
flow cytometry
Western blot analysis of Albumin on human plasma sample. Proteins were transferred to a PVDF membrane and blocked with 5% BSA in PBS for 1 hour at room temperature. The primary antibody (EM1901-81, 1/50000) was used in 5% BSA at room temperature for 2 hours. Goat Anti-Mouse IgG - HRP Secondary Antibody (HA1006) at 1:5,000 dilution was used for 1 hour at room temperature.
Flow cytometric analysis of Albumin was done on HepG2 cells. The cells were fixed, permeabilized and stained with the primary antibody (EM1901-81, 1/100) (red). After incubation of the primary antibody at room temperature for an hour, the cells were stained with Alexa FluorTM488 Goat anti-Mouse IgG Secondary antibody at 1/500 dilution for 30 minutes.Unlabelled sample was used as a control (cells without incubation with primary antibody; black).
Albumin Antibody (EM1901-81) in indirect ELISA. Indirect ELISA analysis of Albumin was performed by coating wells of a 96-well plate with 50 µl per well of human albumin antigen or BSA diluted in carbonate/bicarbonate buffer, at a concentration of 1 µg/mL overnight at 4℃. Wells of the plate were washed, blocked with StartingBlock blocking buffer, and incubated with 50 µl per well of a mouse Albumin monoclonal antibody starting at a concentration of 2 µg/mL and serially diluting it to a concentration of 1.95 ng/mL for 2 hours at room temperature. The plate was washed and incubated with 50 µl per well of an HRP-conjugated goat anti-mouse IgG secondary antibody at a dilution of 1:10,000 for one hour at room temperature. Detection was performed using an Ultra TMB Substrate for 5 minutes at room temperature in the dark. The reaction was stopped with sulfuric acid and absorbances were read on a spectrophotometer at 450 nm.
quantity: 100μl
price: 360.00 USD
to the supplier
Albumin
HUABIO
catalog: ET1702-55-50UL
domestic rabbit monoclonal (JF32-10)
reactivity:
human
,
mouse
,
rat
,
bovine
application:
western blot
,
immunohistochemistry - paraffin section
Western blot analysis of Albumin on different lysates with Rabbit anti-Albumin antibody (ET1702-55) at 1/5,000 dilution. Lane 1: Human liver tissue lysate Lane 2: Mouse liver tissue lysate Lane 3: Rat liver tissue lysate Lysates/proteins at 20 µg/Lane. Predicted band size: 69 kDa Observed band size: 69 kDa Exposure time: 30 seconds; 4-20% SDS-PAGE gel. Proteins were transferred to a PVDF membrane and blocked with 5% NFDM/TBST for 1 hour at room temperature. The primary antibody (ET1702-55) at 1/5,000 dilution was used in 5% NFDM/TBST at 4℃ overnight. Goat Anti-Rabbit IgG - HRP Secondary Antibody (HA1001) at 1:50,000 dilution was used for 1 hour at room temperature.
Western blot analysis of Albumin on different lysates with Rabbit anti-Albumin antibody (ET1702-55) at 1/40,000 dilution. Lane 1: Mouse liver tissue lysate Lane 2: Mouse spleen tissue lysate Lane 3: Rat liver tissue lysate Lysates/proteins at 20 µg/Lane. Predicted band size: 69 kDa Observed band size: 69 kDa Exposure time: 10 seconds; ECL: K1801; 4-20% SDS-PAGE gel. Proteins were transferred to a PVDF membrane and blocked with 5% NFDM/TBST for 1 hour at room temperature. The primary antibody (ET1702-55) at 1/40,000 dilution was used in 5% NFDM/TBST at 4℃ overnight. Goat Anti-Rabbit IgG - HRP Secondary Antibody (HA1001) at 1/50,000 dilution was used for 1 hour at room temperature.
Fluorescence multiplex immunohistochemical analysis of mouse liver (Formalin/PFA-fixed paraffin-embedded sections). Panel A: the merged image of anti-β-catenin (ET1601-5, Tangerine), anti-αSMA (ET1607-53, Yellow), anti-SOX9 (ET1611-56, Green), anti-Albumin (ET1702-55, Cyan) anti-GS (EM1902-39, Magenta) and anti-CK19 (ET1601-6, Orange) on mouse liver. HRP Conjugated UltraPolymer Goat Polyclonal Antibody HA1119/HA1120 was used as a secondary antibody. The immunostaining was performed with the Sequential Immuno-staining Kit (IRISKitCmTSA Kit 900802). The section was incubated in six rounds of staining: in the order of ET1601-5 (1/2,000 dilution), ET1607-53 (1/3,000 dilution), ET1611-56 (1/1,500 dilution), ET1702-55 (1/3,000 dilution), EM1902-39 (1/2,000 dilution) and ET1601-6 (1/3,000 dilution) for 20 mins at room temperature. Each round was followed by a separate fluorescent tyramide signal amplification system. Heat mediated antigen retrieval with Tris-EDTA buffer (pH 9.0) for 30 mins at 95℃. DAPI (blue) was used as a nuclear counter stain. Image acquisition was performed with Olympus VS200 Slide Scanner.
quantity: 50μl
price: 205.00 USD
to the supplier
Albumin
HUABIO
catalog: HA750352
domestic rabbit monoclonal (JF32-10)
reactivity:
human
,
mouse
,
rat
,
bovine
application:
western blot
,
immunohistochemistry - paraffin section
Western blot analysis of Albumin on different lysates with Rabbit anti-Albumin antibody (HA750352) at 1/5,000 dilution. Lane 1: Human liver tissue lysate Lane 2: Mouse liver tissue lysate Lane 3: Rat liver tissue lysate Lysates/proteins at 20 µg/Lane. Predicted band size: 69 kDa Observed band size: 69 kDa Exposure time: 30 seconds; 4-20% SDS-PAGE gel. Proteins were transferred to a PVDF membrane and blocked with 5% NFDM/TBST for 1 hour at room temperature. The primary antibody (HA750352) at 1/5,000 dilution was used in 5% NFDM/TBST at 4℃ overnight. Goat Anti-Rabbit IgG - HRP Secondary Antibody (HA1001) at 1:50,000 dilution was used for 1 hour at room temperature.
Western blot analysis of Albumin on different lysates with Rabbit anti-Albumin antibody (HA750352) at 1/40,000 dilution. Lane 1: Mouse liver tissue lysate Lane 2: Mouse spleen tissue lysate Lane 3: Rat liver tissue lysate Lysates/proteins at 20 µg/Lane. Predicted band size: 69 kDa Observed band size: 69 kDa Exposure time: 10 seconds; ECL: K1801; 4-20% SDS-PAGE gel. Proteins were transferred to a PVDF membrane and blocked with 5% NFDM/TBST for 1 hour at room temperature. The primary antibody (HA750352) at 1/40,000 dilution was used in 5% NFDM/TBST at 4℃ overnight. Goat Anti-Rabbit IgG - HRP Secondary Antibody (HA1001) at 1/50,000 dilution was used for 1 hour at room temperature.
Immunohistochemical analysis of paraffin-embedded human lung tissue with Rabbit anti-Albumin antibody (HA750352) at 1/30,000 dilution. The section was pre-treated using heat mediated antigen retrieval with Tris-EDTA buffer (pH 9.0) for 20 minutes. The tissues were blocked in 1% BSA for 20 minutes at room temperature, washed with ddH2O and PBS, and then probed with the primary antibody (HA750352) at 1/30,000 dilution for 1 hour at room temperature. The detection was performed using an HRP conjugated compact polymer system. DAB was used as the chromogen. Tissues were counterstained with hematoxylin and mounted with DPX.
quantity: 100μl
price: 649.00 USD
to the supplier
Human Serum Albumin
HUABIO
catalog: M0809-4
mouse monoclonal (8-A3)
reactivity:
human
application:
western blot
,
immunohistochemistry - paraffin section
Western blot analysis on HSA protein using anti-HSA Mouse mAb (Cat. # M0809-4).
Immunohistochemical analysis of paraffin-embedded human liver tissue with Mouse anti-Human Serum Albumin antibody (M0809-4) at 1/5,000 dilution. The section was pre-treated using heat mediated antigen retrieval with Tris-EDTA buffer (pH 9.0) for 20 minutes. The tissues were blocked in 1% BSA for 20 minutes at room temperature, washed with ddH2O and PBS, and then probed with the primary antibody (M0809-4) at 1/5,000 dilution for 1 hour at room temperature. The detection was performed using an HRP conjugated compact polymer system. DAB was used as the chromogen. Tissues were counterstained with hematoxylin and mounted with DPX.
quantity: 100μl
price: 360.00 USD
to the supplier
Serum Albumin
HUABIO
catalog: R1212-2
domestic rabbit polyclonal
reactivity:
human
application:
western blot
Western blot analysis on human serum albumin using rabbit polyclonal antibodies.
quantity: 100μl
price: 330 USD
to the supplier
Anti-Albumin Antibody [JF32-10]
HUABIO
catalog: ET1702-55TR
domestic rabbit monoclonal (JF32-10)
reactivity:
human
,
mouse
,
rat
,
bovine
application:
western blot
,
immunohistochemistry - paraffin section
quantity: 20 uL
price: 99 USD
to the supplier