Sign in
Sign up
home
>
HUABIO
> HUABIO Stat3 antibody
Phospho-STAT3 (Y705)
HUABIO
catalog: ET1603-40
domestic rabbit monoclonal (SZ43-01)
reactivity:
human
,
mouse
,
rat
application:
western blot
,
immunoprecipitation
,
immunohistochemistry - paraffin section
Western blot analysis of Phospho-STAT3 (Y705) on different lysates with Rabbit anti-Phospho-STAT3 (Y705) antibody (ET1603-40) at 1/5,000 dilution and competitor's antibody at 1/1,000 dilution. Lane 1: HeLa cell lysate Lane 2: HeLa treated with 50ng/mL IFN alpha 1 for 30 minutes cell lysate Lane 3: Jurkat cell lysate Lane 4: Jurkat treated with 50ng/mL IFN alpha 1 for 30 minutes cell lysate Lane 5: A431 cell lysate Lane 6: A431 treated with 100ng/mL EGF for 30 minutes cell lysate Lysates/proteins at 20 µg/Lane. Predicted band size: 88 kDa Observed band size: 88 kDa Exposure time: 35 seconds; ECL: K1801; 4-20% SDS-PAGE gel. Proteins were transferred to a PVDF membrane and blocked with 5% NFDM/TBST for 1 hour at room temperature. The primary antibody (ET1603-40) at 1/5,000 dilution and competitor's antibody at 1/1,000 dilution were used in 5% NFDM/TBST at 4℃ overnight. Goat Anti-Rabbit IgG - HRP Secondary Antibody (HA1001) at 1:50,000 dilution was used for 1 hour at room temperature.
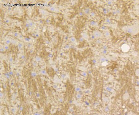
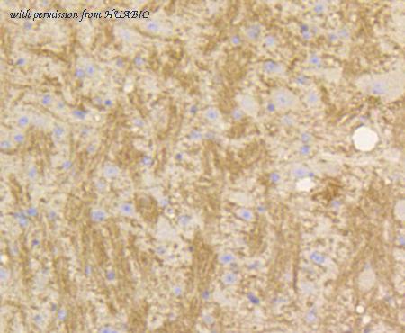
Immunohistochemical analysis of paraffin-embedded human lung tissue with Rabbit anti-Phospho-STAT3 (Y705) antibody (ET1603-40) at 1/500 dilution. The section was pre-treated using heat mediated antigen retrieval with Tris-EDTA buffer (pH 9.0) for 20 minutes. The tissues were blocked in 1% BSA for 20 minutes at room temperature, washed with ddH2O and PBS, and then probed with the primary antibody (ET1603-40) at 1/500 dilution for 1 hour at room temperature. The detection was performed using an HRP conjugated compact polymer system. DAB was used as the chromogen. Tissues were counterstained with hematoxylin and mounted with DPX.
Western blot analysis of Phospho-STAT3 (Y705) on different lysates with Rabbit anti-Phospho-STAT3 (Y705) antibody (ET1603-40) at 1/1,000 dilution. Lane 1: M‑NFS‑60 cell lysate (20 µg/Lane) Lane 2: RAW264.7 cell lysate (20 µg/Lane) Lane 3: C2C12 cell lysate (20 µg/Lane) Lane 4: L6 cell lysate (20 µg/Lane) Lane 5: Mouse heart tissue lysate (40 µg/Lane) Predicted band size: 88 kDa Observed band size: 88 kDa Exposure time: 25 seconds; ECL: K1801; 4-20% SDS-PAGE gel. Proteins were transferred to a PVDF membrane and blocked with 5% NFDM/TBST for 1 hour at room temperature. The primary antibody (ET1603-40) at 1/1,000 dilution was used in 5% NFDM/TBST at 4℃ overnight. Goat Anti-Rabbit IgG - HRP Secondary Antibody (HA1001) at 1/50,000 dilution was used for 1 hour at room temperature.
quantity: 100μl
price: 385.00 USD
to the supplier
STAT3
HUABIO
catalog: ET1605-45
domestic rabbit monoclonal (SY34-01)
reactivity:
human
,
mouse
,
rat
application:
western blot
,
flow cytometry
,
immunohistochemistry - paraffin section
Western blot analysis of STAT3 on different lysates with Rabbit anti-STAT3 antibody (ET1605-45) at 1/2,000 dilution. Lane 1: HeLa cell lysate Lane 2: HaCaT cell lysate Lane 3: Mouse brain tissue lysate Lane 4: Rat brain tissue lysate Lane 5: Rat kidney tissue lysate Lysates/proteins at 30 µg/Lane. Predicted band size: 88 kDa Observed band size: 88 kDa Exposure time: 30 seconds; ECL: K1802; 4-20% SDS-PAGE gel. Proteins were transferred to a PVDF membrane and blocked with 5% NFDM/TBST for 1 hour at room temperature. The primary antibody (ET1605-45) at 1/2,000 dilution was used in 5% NFDM/TBST at 4℃ overnight. Goat Anti-Rabbit IgG - HRP Secondary Antibody (HA1001) at 1/50,000 dilution was used for 1 hour at room temperature.
Western blot analysis of STAT3 on different lysates with Rabbit anti-STAT3 antibody (ET1605-45) at 1/500 dilution. Lane 1: Hela-si NT cell lysate Lane 2: Hela-si STAT3 cell lysate Lysates/proteins at 10 µg/Lane. Predicted band size: 88 kDa Observed band size: 88 kDa Exposure time: 1 minute; 4-20% SDS-PAGE gel. ET1605-45 was shown to specifically react with STAT3 in Hela-si NT cells. No band was observed when Hela-si STAT3 sample was tested. Hela-si NT and Hela-si STAT3 samples were subjected to SDS-PAGE. Proteins were transferred to a PVDF membrane and blocked with 5% NFDM in TBST for 1 hour at room temperature. The primary antibody (ET1609-76, 1/500) and Loading control antibody (Rabbit anti-Hsp90, ET1605-56, 1/10,000) were used in 5% BSA at room temperature for 2 hours. Goat Anti-rabbit IgG-HRP Secondary Antibody (HA1001) at 1:300,000 dilution was used for 1 hour at room temperature.
Immunocytochemistry analysis of HeLa cells labeling STAT3 with Rabbit anti-STAT3 antibody (ET1605-45) at 1/100 dilution. Cells were fixed in 4% paraformaldehyde for 15 minutes at room temperature, permeabilized with 0.1% Triton X-100 in PBS for 15 minutes at room temperature, then blocked with 1% BSA in 10% negative goat serum for 1 hour at room temperature. Cells were then incubated with Rabbit anti-STAT3 antibody (ET1605-45) at 1/100 dilution in 1% BSA in PBST overnight at 4 ℃. Goat Anti-Rabbit IgG H&L (iFluor™ 488, HA1121) was used as the secondary antibody at 1/1,000 dilution. PBS instead of the primary antibody was used as the secondary antibody only control. Nuclear DNA was labelled in blue with DAPI. Beta tubulin (HA601187, red) was stained at 1/100 dilution overnight at +4℃. Goat Anti-Mouse IgG H&L (iFluor™ 594, HA1126) was used as the secondary antibody at 1/1,000 dilution.
quantity: 100μl
price: 385.00 USD
to the supplier
STAT3
HUABIO
catalog: ET1607-38
domestic rabbit monoclonal (SY24-08)
reactivity:
human
,
mouse
,
rat
,
zebrafish
application:
western blot
,
flow cytometry
,
immunohistochemistry - paraffin section
Western blot analysis of STAT3 on different lysates with Rabbit anti-STAT3 antibody (ET1607-38) at 1/2,000 dilution. Lane 1: Hela-si NT cell lysate Lane 2: Hela-si STAT3 cell lysate Lysates/proteins at 10 µg/Lane. Predicted band size: 88 kDa Observed band size: 88 kDa Exposure time: 3 minutes; 4-20% SDS-PAGE gel. Proteins were transferred to a PVDF membrane and blocked with 5% NFDM in TBST for 1 hour at room temperature. The primary antibody (ET1607-38, 1/2,000) and Loading control antibody (Rabbit anti-GAPDH, ET1601-4, 1/10,000) were used in 5% BSA at room temperature for 2 hours. Goat Anti-rabbit IgG-HRP Secondary Antibody (HA1001) at 1/100,000 dilution was used for 1 hour at room temperature.
Western blot analysis of STAT3 on different lysates with Rabbit anti-STAT3 antibody (ET1607-38) at 1/2,000 dilution. Lane 1: HeLa cell lysate Lane 2: A431 cell lysate Lane 3: PANC-1 cell lysate Lane 4: NIH/3T3 cell lysate Lane 5: RAW264.7 cell lysate Lane 6: PC-12 cell lysate Lane 7: C6 cell lysate Lysates/proteins at 20 µg/Lane. Predicted band size: 88 kDa Observed band size: 88 kDa Exposure time: 2 minutes 24 seconds; 4-20% SDS-PAGE gel. Proteins were transferred to a PVDF membrane and blocked with 5% NFDM/TBST for 1 hour at room temperature. The primary antibody (ET1607-38) at 1/2,000 dilution was used in 5% NFDM/TBST at 4℃ overnight. Goat Anti-Rabbit IgG - HRP Secondary Antibody (HA1001) at 1/50,000 dilution was used for 1 hour at room temperature.
Immunohistochemical analysis of paraffin-embedded mouse brain tissue using anti-STAT3 antibody. The section was pre-treated using heat mediated antigen retrieval with Tris-EDTA buffer (pH 8.0-8.4) for 20 minutes.The tissues were blocked in 5% BSA for 30 minutes at room temperature, washed with ddH2O and PBS, and then probed with the primary antibody (ET1607-38, 1/50) for 30 minutes at room temperature. The detection was performed using an HRP conjugated compact polymer system. DAB was used as the chromogen. Tissues were counterstained with hematoxylin and mounted with DPX.
quantity: 100μl
price: 385.00 USD
to the supplier
Phospho-STAT3 (S727)
HUABIO
catalog: ET1607-39
domestic rabbit monoclonal (SY24-09)
reactivity:
human
,
mouse
,
rat
application:
western blot
,
immunoprecipitation
,
immunohistochemistry - paraffin section
Western blot analysis of Phospho-STAT3(S727) on NIH/3T3 cell lysates. Lane 1: NIH/3T3 cells, whole cell lysates, 10 μg/lane. Lane 2: NIH/3T3 cells were starved 6h, whole cell lysates, 10 μg/lane. Lane 3/4: NIH/3T3 cells were starved 6h, then treated with 200 ng/ml EGF for 10 min, whole cell lysates, 10 μg/lane. Lane 5: NIH/3T3 cells were starved 6h, then treated with 200 ng/ml EGF for 10 min, and then treated with 2.8μg/ul lambda-PP for 30 minutes, whole cell lysates, 10 μg/lane. Proteins were transferred to a PVDF membrane and blocked with 5% BSA in PBS for 1 hour at room temperature. The primary antibody Anti-Phospho-STAT3(S727)(ET1607-39, 1/500) , Anti-STAT3 antibody ( ET1607-38, 1/500) and Anti-GAPDH antibody (ET1601-4, 1/10,000)was used in 5% BSA at room temperature for 2 hours. Goat Anti-Rabbit IgG H&L (HRP) Secondary Antibody (HA1001) at 1/200,000 dilution was used for 1 hour at room temperature. Predicted band size: 88 kDa Observed band size: 88 kDa Exposure time: Lane 1/2/3 1 minute 28 seconds Lane 4/5 30 seconds
Western blot analysis of Phospho-STAT3(S727) with anti-Phospho-STAT3(S727) antibody [SY24-09] (ET1607-39) at 1/1,000 dilution. Lane 1: Wild-type CT26.wt whole cell lysate. Lane 2: STAT3 knockdown CT26.wt whole cell lysate. Proteins were transferred to a PVDF membrane and blocked with 5% NFDM in TBST for 1 hour at room temperature. The primary Anti-Phospho-STAT3(S727) antibody (ET1607-39, 1/1,000) and Anti-HSP90 antibody (ET1605-56, 1/10,000) were used in 5% BSA at room temperature for 2 hours. Goat Anti-Rabbit IgG H&L (HRP) Secondary Antibody (HA1001) at 1/200,000 dilution was used for 1 hour at room temperature. Cell lysate was provided by Ubigene Biosciences (Ubigene Biosciences Co., Ltd., Guangzhou, China).
Western blot analysis of Phospho-STAT3(S727) on different lysates. Proteins were transferred to a PVDF membrane and blocked with 5% BSA in PBS for 1 hour at room temperature. The primary antibody (ET1607-39, 1/1,000) was used in 5% BSA at room temperature for 2 hours. Goat Anti-Rabbit IgG - HRP Secondary Antibody (HA1001) at 1/50,000 dilution was used for 1 hour at room temperature. Positive control: Lane 1: Hela cell lysate Lane 2: A431 cell lysate Lane 3: NIH/3T3 cell lysate Lane 4: Jurkat cell lysate
quantity: 100μl
price: 385.00 USD
to the supplier
Phospho-STAT3 (Y705)
HUABIO
catalog: HA750067
domestic rabbit monoclonal (SZ43-01)
reactivity:
human
,
mouse
,
rat
application:
western blot
,
immunoprecipitation
,
immunohistochemistry - paraffin section
Western blot analysis of Phospho-STAT3 (Y705) on different lysates with Rabbit anti-Phospho-STAT3 (Y705) antibody (HA750067) at 1/5,000 dilution and competitor's antibody at 1/1,000 dilution. Lane 1: HeLa cell lysate Lane 2: HeLa treated with 50ng/mL IFN alpha 1 for 30 minutes cell lysate Lane 3: Jurkat cell lysate Lane 4: Jurkat treated with 50ng/mL IFN alpha 1 for 30 minutes cell lysate Lane 5: A431 cell lysate Lane 6: A431 treated with 100ng/mL EGF for 30 minutes cell lysate Lysates/proteins at 20 µg/Lane. Predicted band size: 88 kDa Observed band size: 88 kDa Exposure time: 35 seconds; ECL: K1801; 4-20% SDS-PAGE gel. Proteins were transferred to a PVDF membrane and blocked with 5% NFDM/TBST for 1 hour at room temperature. The primary antibody (HA750067) at 1/5,000 dilution and competitor's antibody at 1/1,000 dilution were used in 5% NFDM/TBST at 4℃ overnight. Goat Anti-Rabbit IgG - HRP Secondary Antibody (HA1001) at 1:50,000 dilution was used for 1 hour at room temperature.
Immunohistochemical analysis of paraffin-embedded human lung tissue with Rabbit anti-Phospho-STAT3 (Y705) antibody (HA750067) at 1/500 dilution. The section was pre-treated using heat mediated antigen retrieval with Tris-EDTA buffer (pH 9.0) for 20 minutes. The tissues were blocked in 1% BSA for 20 minutes at room temperature, washed with ddH2O and PBS, and then probed with the primary antibody (HA750067) at 1/500 dilution for 1 hour at room temperature. The detection was performed using an HRP conjugated compact polymer system. DAB was used as the chromogen. Tissues were counterstained with hematoxylin and mounted with DPX.
Western blot analysis of Phospho-STAT3 (Y705) on different lysates with Rabbit anti-Phospho-STAT3 (Y705) antibody (HA750067) at 1/1,000 dilution. Lane 1: M‑NFS‑60 cell lysate (20 µg/Lane) Lane 2: RAW264.7 cell lysate (20 µg/Lane) Lane 3: C2C12 cell lysate (20 µg/Lane) Lane 4: L6 cell lysate (20 µg/Lane) Lane 5: Mouse heart tissue lysate (40 µg/Lane) Predicted band size: 88 kDa Observed band size: 88 kDa Exposure time: 25 seconds; ECL: K1801; 4-20% SDS-PAGE gel. Proteins were transferred to a PVDF membrane and blocked with 5% NFDM/TBST for 1 hour at room temperature. The primary antibody (HA750067) at 1/1,000 dilution was used in 5% NFDM/TBST at 4℃ overnight. Goat Anti-Rabbit IgG - HRP Secondary Antibody (HA1001) at 1/50,000 dilution was used for 1 hour at room temperature.
quantity: 100μl
price: 649.00 USD
to the supplier
STAT3
HUABIO
catalog: HA750087
domestic rabbit monoclonal (SY34-01)
reactivity:
human
,
mouse
,
rat
application:
western blot
,
flow cytometry
,
immunohistochemistry - paraffin section
Western blot analysis of STAT3 on different lysates with Rabbit anti-STAT3 antibody (HA750087) at 1/2,000 dilution. Lane 1: HeLa cell lysate Lane 2: HaCaT cell lysate Lane 3: Mouse brain tissue lysate Lane 4: Rat brain tissue lysate Lane 5: Rat kidney tissue lysate Lysates/proteins at 30 µg/Lane. Predicted band size: 88 kDa Observed band size: 88 kDa Exposure time: 30 seconds; ECL: K1802; 4-20% SDS-PAGE gel. Proteins were transferred to a PVDF membrane and blocked with 5% NFDM/TBST for 1 hour at room temperature. The primary antibody (HA750087) at 1/2,000 dilution was used in 5% NFDM/TBST at 4℃ overnight. Goat Anti-Rabbit IgG - HRP Secondary Antibody (HA1001) at 1/50,000 dilution was used for 1 hour at room temperature.
Western blot analysis of STAT3 on different lysates with Rabbit anti-STAT3 antibody (HA750087) at 1/500 dilution. Lane 1: Hela-si NT cell lysate Lane 2: Hela-si STAT3 cell lysate Lysates/proteins at 10 µg/Lane. Predicted band size: 88 kDa Observed band size: 88 kDa Exposure time: 1 minute; 4-20% SDS-PAGE gel. ET1605-45 was shown to specifically react with STAT3 in Hela-si NT cells. No band was observed when Hela-si STAT3 sample was tested. Hela-si NT and Hela-si STAT3 samples were subjected to SDS-PAGE. Proteins were transferred to a PVDF membrane and blocked with 5% NFDM in TBST for 1 hour at room temperature. The primary antibody (ET1609-76, 1/500) and Loading control antibody (Rabbit anti-Hsp90, ET1605-56, 1/10,000) were used in 5% BSA at room temperature for 2 hours. Goat Anti-rabbit IgG-HRP Secondary Antibody (HA1001) at 1:300,000 dilution was used for 1 hour at room temperature.
Immunocytochemistry analysis of HeLa cells labeling STAT3 with Rabbit anti-STAT3 antibody (HA750087) at 1/100 dilution. Cells were fixed in 4% paraformaldehyde for 15 minutes at room temperature, permeabilized with 0.1% Triton X-100 in PBS for 15 minutes at room temperature, then blocked with 1% BSA in 10% negative goat serum for 1 hour at room temperature. Cells were then incubated with Rabbit anti-STAT3 antibody (HA750087) at 1/100 dilution in 1% BSA in PBST overnight at 4 ℃. Goat Anti-Rabbit IgG H&L (iFluor™ 488, HA1121) was used as the secondary antibody at 1/1,000 dilution. PBS instead of the primary antibody was used as the secondary antibody only control. Nuclear DNA was labelled in blue with DAPI. Beta tubulin (HA601187, red) was stained at 1/100 dilution overnight at +4℃. Goat Anti-Mouse IgG H&L (iFluor™ 594, HA1126) was used as the secondary antibody at 1/1,000 dilution.
quantity: 100μl
price: 649.00 USD
to the supplier
STAT3
HUABIO
catalog: HA750120
domestic rabbit monoclonal (SY24-08)
reactivity:
human
,
mouse
,
rat
,
zebrafish
application:
western blot
,
flow cytometry
,
immunohistochemistry - paraffin section
Western blot analysis of STAT3 on different lysates with Rabbit anti-STAT3 antibody (HA750120) at 1/2,000 dilution. Lane 1: Hela-si NT cell lysate Lane 2: Hela-si STAT3 cell lysate Lysates/proteins at 10 µg/Lane. Predicted band size: 88 kDa Observed band size: 88 kDa Exposure time: 3 minutes; 4-20% SDS-PAGE gel. Proteins were transferred to a PVDF membrane and blocked with 5% NFDM in TBST for 1 hour at room temperature. The primary antibody (ET1607-38, 1/2,000) and Loading control antibody (Rabbit anti-GAPDH, ET1601-4, 1/10,000) were used in 5% BSA at room temperature for 2 hours. Goat Anti-rabbit IgG-HRP Secondary Antibody (HA1001) at 1/100,000 dilution was used for 1 hour at room temperature.
Western blot analysis of STAT3 on different lysates with Rabbit anti-STAT3 antibody (HA750120) at 1/2,000 dilution. Lane 1: HeLa cell lysate Lane 2: A431 cell lysate Lane 3: PANC-1 cell lysate Lane 4: NIH/3T3 cell lysate Lane 5: RAW264.7 cell lysate Lane 6: PC-12 cell lysate Lane 7: C6 cell lysate Lysates/proteins at 20 µg/Lane. Predicted band size: 88 kDa Observed band size: 88 kDa Exposure time: 2 minutes 24 seconds; 4-20% SDS-PAGE gel. Proteins were transferred to a PVDF membrane and blocked with 5% NFDM/TBST for 1 hour at room temperature. The primary antibody (HA750120) at 1/2,000 dilution was used in 5% NFDM/TBST at 4℃ overnight. Goat Anti-Rabbit IgG - HRP Secondary Antibody (HA1001) at 1/50,000 dilution was used for 1 hour at room temperature.
Immunohistochemical analysis of paraffin-embedded mouse brain tissue using anti-STAT3 antibody. The section was pre-treated using heat mediated antigen retrieval with Tris-EDTA buffer (pH 8.0-8.4) for 20 minutes.The tissues were blocked in 5% BSA for 30 minutes at room temperature, washed with ddH2O and PBS, and then probed with the primary antibody (HA750120, 1/50) for 30 minutes at room temperature. The detection was performed using an HRP conjugated compact polymer system. DAB was used as the chromogen. Tissues were counterstained with hematoxylin and mounted with DPX.
quantity: 100μl
price: 649.00 USD
to the supplier
Phospho-STAT3 (S727)
HUABIO
catalog: HA750121
domestic rabbit monoclonal (SY24-09)
reactivity:
human
,
mouse
,
rat
application:
western blot
,
immunoprecipitation
,
immunohistochemistry - paraffin section
Western blot analysis of Phospho-STAT3(S727) on NIH/3T3 cell lysates. Lane 1: NIH/3T3 cells, whole cell lysates, 10 μg/lane. Lane 2: NIH/3T3 cells were starved 6h, whole cell lysates, 10 μg/lane. Lane 3/4: NIH/3T3 cells were starved 6h, then treated with 200 ng/ml EGF for 10 min, whole cell lysates, 10 μg/lane. Lane 5: NIH/3T3 cells were starved 6h, then treated with 200 ng/ml EGF for 10 min, and then treated with 2.8μg/ul lambda-PP for 30 minutes, whole cell lysates, 10 μg/lane. Proteins were transferred to a PVDF membrane and blocked with 5% BSA in PBS for 1 hour at room temperature. The primary antibody Anti-Phospho-STAT3(S727)(HA750121, 1/500) , Anti-STAT3 antibody ( ET1607-38, 1/500) and Anti-GAPDH antibody (ET1601-4, 1/10,000)was used in 5% BSA at room temperature for 2 hours. Goat Anti-Rabbit IgG H&L (HRP) Secondary Antibody (HA1001) at 1/200,000 dilution was used for 1 hour at room temperature. Predicted band size: 88 kDa Observed band size: 88 kDa Exposure time: Lane 1/2/3 1 minute 28 seconds Lane 4/5 30 seconds
Western blot analysis of Phospho-STAT3(S727) with anti-Phospho-STAT3(S727) antibody [SY24-09] (HA750121) at 1/1,000 dilution. Lane 1: Wild-type CT26.wt whole cell lysate. Lane 2: STAT3 knockdown CT26.wt whole cell lysate. Proteins were transferred to a PVDF membrane and blocked with 5% NFDM in TBST for 1 hour at room temperature. The primary Anti-Phospho-STAT3(S727) antibody (ET1607-39, 1/1,000) and Anti-HSP90 antibody (ET1605-56, 1/10,000) were used in 5% BSA at room temperature for 2 hours. Goat Anti-Rabbit IgG H&L (HRP) Secondary Antibody (HA1001) at 1/200,000 dilution was used for 1 hour at room temperature. Cell lysate was provided by Ubigene Biosciences (Ubigene Biosciences Co., Ltd., Guangzhou, China).
Western blot analysis of Phospho-STAT3(S727) on different lysates. Proteins were transferred to a PVDF membrane and blocked with 5% BSA in PBS for 1 hour at room temperature. The primary antibody (HA750121, 1/1,000) was used in 5% BSA at room temperature for 2 hours. Goat Anti-Rabbit IgG - HRP Secondary Antibody (HA1001) at 1/50,000 dilution was used for 1 hour at room temperature. Positive control: Lane 1: Hela cell lysate Lane 2: A431 cell lysate Lane 3: NIH/3T3 cell lysate Lane 4: Jurkat cell lysate
quantity: 100μl
price: 649.00 USD
to the supplier
Anti-Phospho-STAT3(Tyr705) Antibody [SZ43-01]
HUABIO
catalog: ET1603-40TR
domestic rabbit monoclonal (SZ43-01)
reactivity:
human
,
mouse
,
rat
application:
western blot
,
immunoprecipitation
,
immunohistochemistry - paraffin section
quantity: 20 uL
price: 99 USD
to the supplier
Anti-STAT3 Antibody [SY24-08]
HUABIO
catalog: ET1607-38TR
domestic rabbit monoclonal (SY24-08)
reactivity:
human
,
mouse
,
rat
,
zebrafish
application:
western blot
,
immunoprecipitation
,
immunohistochemistry - paraffin section
quantity: 20 uL
price: 99 USD
to the supplier