Sign in
Sign up
home
>
HUABIO
> HUABIO Spp1 antibody
Osteopontin
HUABIO
catalog: 0806-6
domestic rabbit polyclonal
reactivity:
human
,
mouse
,
rat
application:
western blot
Western blot analysis of Osteopontin on different lysates with Rabbit anti-Osteopontin antibody (0806-6) at 1/1,000 dilution. Lane 1: RAW264.7 cell lysate Lane 2: RAW264.7 treated with 100ng/mL LPS for 4 hours, add 1μg/mL BFA for last 3 hours cell lysate Lysates/proteins at 20 µg/Lane. Predicted band size: 35 kDa Observed band size: 60 kDa Exposure time: 9 seconds; ECL: K1801; 4-20% SDS-PAGE gel. Proteins were transferred to a PVDF membrane and blocked with 5% NFDM/TBST for 1 hour at room temperature. The primary antibody (0806-6) at 1/1,000 dilution was used in 5% NFDM/TBST at 4℃ overnight. Goat Anti-Rabbit IgG - HRP Secondary Antibody (HA1001) at 1/50,000 dilution was used for 1 hour at room temperature.
quantity: 100μl
price: 330 USD
to the supplier
Osteopontin
HUABIO
catalog: ER1802-15
domestic rabbit polyclonal
reactivity:
human
,
mouse
application:
ELISA
,
immunohistochemistry - paraffin section
Immunohistochemical analysis of paraffin-embedded human liver cancer tissue using anti-Osteopontin antibody. Counter stained with hematoxylin.
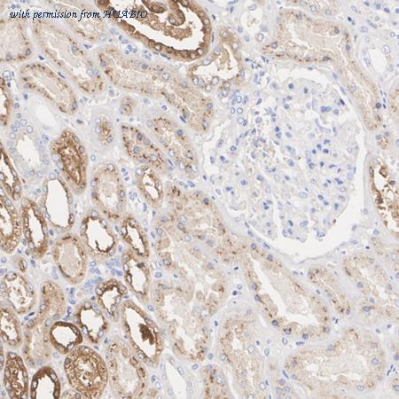
Immunohistochemical analysis of paraffin-embedded human kidney tissue using anti-Osteopontin antibody. Counter stained with hematoxylin.
Immunohistochemical analysis of paraffin-embedded mouse kidney tissue using anti-Osteopontin antibody. Counter stained with hematoxylin.
quantity: 100μl
price: 330 USD
to the supplier
Osteopontin
HUABIO
catalog: ER1802-16
domestic rabbit polyclonal
reactivity:
human
,
mouse
application:
ELISA
,
immunohistochemistry - paraffin section
ICC staining Osteopontin in HepG2 cells (green). The nuclear counter stain is DAPI (blue). Cells were fixed in paraformaldehyde, permeabilised with 0.25% Triton X100/PBS.
ICC staining Osteopontin in MCF-7 cells (green). The nuclear counter stain is DAPI (blue). Cells were fixed in paraformaldehyde, permeabilised with 0.25% Triton X100/PBS.
Immunohistochemical analysis of paraffin-embedded human liver cancer tissue using anti-Osteopontin antibody. Counter stained with hematoxylin.
quantity: 100μl
price: 330 USD
to the supplier
Osteopontin
HUABIO
catalog: HA500464
domestic rabbit polyclonal
reactivity:
human
,
mouse
application:
western blot
,
flow cytometry
Western blot analysis of Osteopontin on different lysates. Proteins were transferred to a PVDF membrane and blocked with 5% NFDM/TBST for 1 hour at room temperature. The primary antibody (HA500464, 1/500) was used in 5% NFDM/TBST at room temperature for 2 hours. Goat Anti-Rabbit IgG - HRP Secondary Antibody (HA1001) at 1:5,000 dilution was used for 1 hour at room temperature. Positive control: Lane 1: Mouse liver tissue lysate Lane 2: HepG2 cell lysate
Flow cytometric analysis of Osteopontin was done on 213 cells. The cells were fixed, permeabilized and stained with the primary antibody (HA500464, 1/50) (red). After incubation of the primary antibody at room temperature for an hour, the cells were stained with a Alexa Fluor 488-conjugated Goat anti-Rabbit IgG Secondary antibody at 1/1000 dilution for 30 minutes.Unlabelled sample was used as a control (cells without incubation with primary antibody; black).
quantity: 100μl
price: 330 USD
to the supplier
Osteopontin
HUABIO
catalog: HA723081
domestic rabbit monoclonal (PSH09-23)
reactivity:
human
,
mouse
,
rat
application:
immunohistochemistry - paraffin section
,
immunohistochemistry - frozen section
Immunohistochemical analysis of paraffin-embedded human kidney tissue with Rabbit anti-Osteopontin antibody (HA723081) at 1/2,000 dilution. The section was pre-treated using heat mediated antigen retrieval with Tris-EDTA buffer (pH 9.0) for 20 minutes. The tissues were blocked in 1% BSA for 20 minutes at room temperature, washed with ddH2O and PBS, and then probed with the primary antibody (HA723081) at 1/2,000 dilution for 1 hour at room temperature. The detection was performed using an HRP conjugated compact polymer system. DAB was used as the chromogen. Tissues were counterstained with hematoxylin and mounted with DPX.
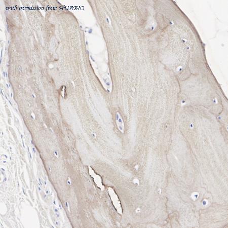
Immunofluorescence analysis of paraffin-embedded human bone tissue labeling Osteopontin with Rabbit anti-Osteopontin antibody (HA723081) at 1/2,000 dilution. The section was pre-treated using heat mediated antigen retrieval with Tris-EDTA buffer (pH 9.0) overnight at 60℃ water bath. The tissues were blocked in 1% BSA for 20 minutes at room temperature, washed with ddH2O and PBS, and then probed with the primary antibody (HA723081) at 1/2,000 dilution for 1 hour at room temperature. The detection was performed using an HRP conjugated compact polymer system. DAB was used as the chromogen. Tissues were counterstained with hematoxylin and mounted with DPX.
quantity: 100μl
price: 385.00 USD
to the supplier
Osteopontin
HUABIO
catalog: HA723082
domestic rabbit monoclonal (PSH09-24)
reactivity:
human
,
mouse
application:
western blot
,
flow cytometry
Western blot analysis of Osteopontin on different lysates with Rabbit anti-Osteopontin antibody (HA723082) at 1/2,000 dilution. Lane 1: RAW264.7 cell lysate Lane 2: RAW264.7 treated with 100ng/mL LPS for 4 hours, add 1μg/mL BFA for last 3 hours cell lysate Lysates/proteins at 20 µg/Lane. Predicted band size: 35 kDa Observed band size: 55 kDa Exposure time: 16 seconds; ECL: K1801; 4-20% SDS-PAGE gel. Proteins were transferred to a PVDF membrane and blocked with 5% NFDM/TBST for 1 hour at room temperature. The primary antibody (HA723082) at 1/2,000 dilution was used in 5% NFDM/TBST at 4℃ overnight. Goat Anti-Rabbit IgG - HRP Secondary Antibody (HA1001) at 1/50,000 dilution was used for 1 hour at room temperature.
Western blot analysis of Osteopontin on different lysates with Rabbit anti-Osteopontin antibody (HA723082) at 1/2,000 dilution. Lane 1: A549 cell lysate Lane 2: U-87 MG cell lysate Lysates/proteins at 20 µg/Lane. Predicted band size: 35 kDa Observed band size: 55 kDa Exposure time: 1 minute; ECL: K1802; 4-20% SDS-PAGE gel. Proteins were transferred to a PVDF membrane and blocked with 5% NFDM/TBST for 1 hour at room temperature. The primary antibody (HA723082) at 1/2,000 dilution was used in 5% NFDM/TBST at 4℃ overnight. Goat Anti-Rabbit IgG - HRP Secondary Antibody (HA1001) at 1/50,000 dilution was used for 1 hour at room temperature.
Immunocytochemistry analysis of U-87 MG cells labeling Osteopontin with Rabbit anti-Osteopontin antibody (HA723082) at 1/20,000 dilution. Cells were fixed in 4% paraformaldehyde for 15 minutes at room temperature, permeabilized with 0.1% Triton X-100 in PBS for 15 minutes at room temperature, then blocked with 1% BSA in 10% negative goat serum for 1 hour at room temperature. Cells were then incubated with Rabbit anti-Osteopontin antibody (HA723082) at 1/20,000 dilution in 1% BSA in PBST overnight at 4 ℃. Goat Anti-Rabbit IgG H&L (iFluor™ 488, HA1121) was used as the secondary antibody at 1/1,000 dilution. PBS instead of the primary antibody was used as the secondary antibody only control. Nuclear DNA was labelled in blue with DAPI. Beta tubulin (HA601187, red) was stained at 1/100 dilution overnight at +4℃. Goat Anti-Mouse IgG H&L (iFluor™ 594, HA1126) was used as the secondary antibody at 1/1,000 dilution.
quantity: 100μl
price: 385.00 USD
to the supplier
Osteopontin
HUABIO
catalog: HA723601
domestic rabbit monoclonal (PSH14-11)
reactivity:
mouse
,
rat
application:
western blot
,
immunohistochemistry - paraffin section
,
immunohistochemistry - frozen section
Immunohistochemical analysis of paraffin-embedded mouse knee joint tissue with Rabbit anti-Osteopontin antibody (HA723601) at 1/9,000 dilution. The section was pre-treated using heat mediated antigen retrieval with Tris-EDTA buffer (pH 9.0) for 20 minutes. The tissues were blocked in 1% BSA for 20 minutes at room temperature, washed with ddH2O and PBS, and then probed with the primary antibody (HA723601) at 1/9,000 dilution for 1 hour at room temperature. The detection was performed using an HRP conjugated compact polymer system. DAB was used as the chromogen. Tissues were counterstained with hematoxylin and mounted with DPX.
Application: IHC-Fr Species: Mouse Site: kidney Sample: Frozen section Antibody concentration: 1/500 Antigen retrieval: Not required
Application: IHC-Fr Species: Rat Site: kidney Sample: Frozen section Antibody concentration: 1/500 Antigen retrieval: Not required
quantity: 100μl
price: 385.00 USD
to the supplier
Mouse Osteopontin
HUABIO
catalog: HA723924
domestic rabbit monoclonal (PSH17-49)
reactivity:
mouse
application:
ELISA
Sandwich ELISA analysis of Mouse Osteopontin matched pair antibodies Capture: HA723924, Mouse Osteopontin Rabbit mAb [PSH17-49] Detector: HA723925, Mouse Osteopontin Rabbit mAb [PSH17-50] Elisa assay was performed by coating wells of a 96-well plate with 100 µl per well of capture antibody (HA723924) diluted in carbonate/bicarbonate buffer, at a concentration of 5 µg/mL overnight at 4℃. Wells of the plate were washed, blocked with 150 µl 0.05% tween-20 1% BSA blocking buffer, and incubated with serial diluted Recombinant Mouse Osteopontin protein (HA210997) protein starting from 2,500 pg/ml to 0 pg/ml and detect antibody (HA723925, Biotin, 0.2 µg/ml) for 1 hour at 30℃ with shaking. Then the plate was washed and incubated with 100 µl per well of SA-HRP for 0.5 hour at 30℃ with shaking. Detection was performed using an Ultra TMB Substrate for 10 minutes at room temperature in the dark. The reaction was stopped with sulfuric acid and absorbances were read on a spectrophotometer at 450 nm.
Interpolated concentrations of native spp1 in RAW 264.7 cell extract samples based on a 1000 µg/ml extract load. Capture: HA723924, Mouse Osteopontin Rabbit mAb [PSH17-49] Detector: HA723925, Mouse Osteopontin Rabbit mAb [PSH17-50] Interpolated concentration of native spp1 was measured in duplicate at different sample concentrations. The interpolated dilution factor corrected values were plotted (mean +/- SD, n=2). The mean spp1 concentration was determined to be 79,438,854 pg/ml in RAW 264.7 treated cell extract and 6,041,158 pg/ml in RAW 264.7 untreated cell extract.
Interpolated concentrations of native spp1 in Mouse serum. Capture: HA723924, Mouse Osteopontin Rabbit mAb [PSH17-49] Detector: HA723925, Mouse Osteopontin Rabbit mAb [PSH17-50] Interpolated concentration of native spp1 was measured in duplicate at different sample concentrations and interpolated from the spp1 standard curves. The interpolated dilution factor corrected values were plotted (mean +/- SD, n=2). The mean spp1 concentration was determined to be 77,206 pg/ml in Mouse serum.
quantity: 100μl
price: 649.00 USD
to the supplier
Mouse Osteopontin
HUABIO
catalog: HA723925
domestic rabbit monoclonal (PSH17-50)
reactivity:
mouse
application:
ELISA
Sandwich ELISA analysis of Mouse Osteopontin matched pair antibodies Capture: HA723924, Mouse Osteopontin Rabbit mAb [PSH17-49] Detector: HA723925, Mouse Osteopontin Rabbit mAb [PSH17-50] Elisa assay was performed by coating wells of a 96-well plate with 100 µl per well of capture antibody (HA723924) diluted in carbonate/bicarbonate buffer, at a concentration of 5 µg/mL overnight at 4℃. Wells of the plate were washed, blocked with 150 µl 0.05% tween-20 1% BSA blocking buffer, and incubated with serial diluted Recombinant Mouse Osteopontin protein (HA210997) protein starting from 2,500 pg/ml to 0 pg/ml and detect antibody (HA723925, Biotin, 0.2 µg/ml) for 1 hour at 30℃ with shaking. Then the plate was washed and incubated with 100 µl per well of SA-HRP for 0.5 hour at 30℃ with shaking. Detection was performed using an Ultra TMB Substrate for 10 minutes at room temperature in the dark. The reaction was stopped with sulfuric acid and absorbances were read on a spectrophotometer at 450 nm.
Interpolated concentrations of native spp1 in RAW 264.7 cell extract samples based on a 1000 µg/ml extract load. Capture: HA723924, Mouse Osteopontin Rabbit mAb [PSH17-49] Detector: HA723925, Mouse Osteopontin Rabbit mAb [PSH17-50] Interpolated concentration of native spp1 was measured in duplicate at different sample concentrations. The interpolated dilution factor corrected values were plotted (mean +/- SD, n=2). The mean spp1 concentration was determined to be 79,438,854 pg/ml in RAW 264.7 treated cell extract and 6,041,158 pg/ml in RAW 264.7 untreated cell extract.
Interpolated concentrations of native spp1 in Mouse serum. Capture: HA723924, Mouse Osteopontin Rabbit mAb [PSH17-49] Detector: HA723925, Mouse Osteopontin Rabbit mAb [PSH17-50] Interpolated concentration of native spp1 was measured in duplicate at different sample concentrations and interpolated from the spp1 standard curves. The interpolated dilution factor corrected values were plotted (mean +/- SD, n=2). The mean spp1 concentration was determined to be 77,206 pg/ml in Mouse serum.
quantity: 100μl
price: 649.00 USD
to the supplier
Mouse Osteopontin
HUABIO
catalog: HA723925B
domestic rabbit monoclonal (PSH17-50)
reactivity:
mouse
conjugate: biotin
application:
ELISA
Sandwich ELISA analysis of Mouse Osteopontin matched pair antibodies Capture: HA723924, Mouse Osteopontin Rabbit mAb [PSH17-49] Detector: HA723925, Mouse Osteopontin Rabbit mAb [PSH17-50] Elisa assay was performed by coating wells of a 96-well plate with 100 µl per well of capture antibody (HA723924) diluted in carbonate/bicarbonate buffer, at a concentration of 5 µg/mL overnight at 4℃. Wells of the plate were washed, blocked with 150 µl 0.05% tween-20 1% BSA blocking buffer, and incubated with serial diluted Recombinant Mouse Osteopontin protein (HA210997) protein starting from 2,500 pg/ml to 0 pg/ml and detect antibody (HA723925, Biotin, 0.2 µg/ml) for 1 hour at 30℃ with shaking. Then the plate was washed and incubated with 100 µl per well of SA-HRP for 0.5 hour at 30℃ with shaking. Detection was performed using an Ultra TMB Substrate for 10 minutes at room temperature in the dark. The reaction was stopped with sulfuric acid and absorbances were read on a spectrophotometer at 450 nm.
Interpolated concentrations of native spp1 in RAW 264.7 cell extract samples based on a 1000 µg/ml extract load. Capture: HA723924, Mouse Osteopontin Rabbit mAb [PSH17-49] Detector: HA723925, Mouse Osteopontin Rabbit mAb [PSH17-50] Interpolated concentration of native spp1 was measured in duplicate at different sample concentrations. The interpolated dilution factor corrected values were plotted (mean +/- SD, n=2). The mean spp1 concentration was determined to be 79,438,854 pg/ml in RAW 264.7 treated cell extract and 6,041,158 pg/ml in RAW 264.7 untreated cell extract.
Interpolated concentrations of native spp1 in Mouse serum. Capture: HA723924, Mouse Osteopontin Rabbit mAb [PSH17-49] Detector: HA723925, Mouse Osteopontin Rabbit mAb [PSH17-50] Interpolated concentration of native spp1 was measured in duplicate at different sample concentrations and interpolated from the spp1 standard curves. The interpolated dilution factor corrected values were plotted (mean +/- SD, n=2). The mean spp1 concentration was determined to be 77,206 pg/ml in Mouse serum.
quantity: 100μl
price: 385.00 USD
to the supplier
Osteopontin
HUABIO
catalog: HA751277
domestic rabbit monoclonal (PSH09-23)
reactivity:
human
,
mouse
,
rat
application:
immunohistochemistry - paraffin section
,
immunohistochemistry - frozen section
Immunohistochemical analysis of paraffin-embedded human kidney tissue with Rabbit anti-Osteopontin antibody (HA751277) at 1/2,000 dilution. The section was pre-treated using heat mediated antigen retrieval with Tris-EDTA buffer (pH 9.0) for 20 minutes. The tissues were blocked in 1% BSA for 20 minutes at room temperature, washed with ddH2O and PBS, and then probed with the primary antibody (HA751277) at 1/2,000 dilution for 1 hour at room temperature. The detection was performed using an HRP conjugated compact polymer system. DAB was used as the chromogen. Tissues were counterstained with hematoxylin and mounted with DPX.
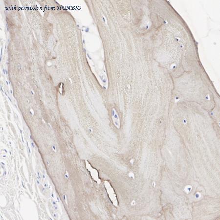
Immunofluorescence analysis of paraffin-embedded human bone tissue labeling Osteopontin with Rabbit anti-Osteopontin antibody (HA751277) at 1/2,000 dilution. The section was pre-treated using heat mediated antigen retrieval with Tris-EDTA buffer (pH 9.0) overnight at 60℃ water bath. The tissues were blocked in 1% BSA for 20 minutes at room temperature, washed with ddH2O and PBS, and then probed with the primary antibody (HA751277) at 1/2,000 dilution for 1 hour at room temperature. The detection was performed using an HRP conjugated compact polymer system. DAB was used as the chromogen. Tissues were counterstained with hematoxylin and mounted with DPX.
quantity: 100μl
price: 649.00 USD
to the supplier
Osteopontin
HUABIO
catalog: HA751278
domestic rabbit monoclonal (PSH09-24)
reactivity:
human
,
mouse
application:
western blot
,
flow cytometry
Western blot analysis of Osteopontin on different lysates with Rabbit anti-Osteopontin antibody (HA751278) at 1/2,000 dilution. Lane 1: RAW264.7 cell lysate Lane 2: RAW264.7 treated with 100ng/mL LPS for 4 hours, add 1μg/mL BFA for last 3 hours cell lysate Lysates/proteins at 20 µg/Lane. Predicted band size: 35 kDa Observed band size: 55 kDa Exposure time: 16 seconds; ECL: K1801; 4-20% SDS-PAGE gel. Proteins were transferred to a PVDF membrane and blocked with 5% NFDM/TBST for 1 hour at room temperature. The primary antibody (HA751278) at 1/2,000 dilution was used in 5% NFDM/TBST at 4℃ overnight. Goat Anti-Rabbit IgG - HRP Secondary Antibody (HA1001) at 1/50,000 dilution was used for 1 hour at room temperature.
Western blot analysis of Osteopontin on different lysates with Rabbit anti-Osteopontin antibody (HA751278) at 1/2,000 dilution. Lane 1: A549 cell lysate Lane 2: U-87 MG cell lysate Lysates/proteins at 20 µg/Lane. Predicted band size: 35 kDa Observed band size: 55 kDa Exposure time: 1 minute; ECL: K1802; 4-20% SDS-PAGE gel. Proteins were transferred to a PVDF membrane and blocked with 5% NFDM/TBST for 1 hour at room temperature. The primary antibody (HA751278) at 1/2,000 dilution was used in 5% NFDM/TBST at 4℃ overnight. Goat Anti-Rabbit IgG - HRP Secondary Antibody (HA1001) at 1/50,000 dilution was used for 1 hour at room temperature.
Immunocytochemistry analysis of U-87 MG cells labeling Osteopontin with Rabbit anti-Osteopontin antibody (HA751278) at 1/20,000 dilution. Cells were fixed in 4% paraformaldehyde for 15 minutes at room temperature, permeabilized with 0.1% Triton X-100 in PBS for 15 minutes at room temperature, then blocked with 1% BSA in 10% negative goat serum for 1 hour at room temperature. Cells were then incubated with Rabbit anti-Osteopontin antibody (HA751278) at 1/20,000 dilution in 1% BSA in PBST overnight at 4 ℃. Goat Anti-Rabbit IgG H&L (iFluor™ 488, HA1121) was used as the secondary antibody at 1/1,000 dilution. PBS instead of the primary antibody was used as the secondary antibody only control. Nuclear DNA was labelled in blue with DAPI. Beta tubulin (HA601187, red) was stained at 1/100 dilution overnight at +4℃. Goat Anti-Mouse IgG H&L (iFluor™ 594, HA1126) was used as the secondary antibody at 1/1,000 dilution.
quantity: 100μl
price: 649.00 USD
to the supplier
Osteopontin
HUABIO
catalog: HA751506
domestic rabbit monoclonal (PSH14-11)
reactivity:
mouse
,
rat
application:
western blot
,
immunohistochemistry - paraffin section
,
immunohistochemistry - frozen section
Immunohistochemical analysis of paraffin-embedded mouse knee joint tissue with Rabbit anti-Osteopontin antibody (HA751506) at 1/9,000 dilution. The section was pre-treated using heat mediated antigen retrieval with Tris-EDTA buffer (pH 9.0) for 20 minutes. The tissues were blocked in 1% BSA for 20 minutes at room temperature, washed with ddH2O and PBS, and then probed with the primary antibody (HA751506) at 1/9,000 dilution for 1 hour at room temperature. The detection was performed using an HRP conjugated compact polymer system. DAB was used as the chromogen. Tissues were counterstained with hematoxylin and mounted with DPX.
Application: IHC-Fr Species: Mouse Site: kidney Sample: Frozen section Antibody concentration: 1/500 Antigen retrieval: Not required
Application: IHC-Fr Species: Rat Site: kidney Sample: Frozen section Antibody concentration: 1/500 Antigen retrieval: Not required
quantity: 100μl
price: 649.00 USD
to the supplier