AKT1/2/3
HUABIO
catalog: ER1901-33
domestic rabbit polyclonal
reactivity: human, mouse, rat
application: western blot, flow cytometry, immunohistochemistry - paraffin section

Western blot analysis of AKT1/2/3 on different lysates with Rabbit anti-AKT1/2/3 antibody (ER1901-33) at 1/1,000 dilution. Lane 1: MCF7 cell lysate Lane 2: Jurkat cell lysate Lane 3: C6 cell lysate Lane 4: Rat heart tissue lysate Lysates/proteins at 20 µg/Lane. Predicted band size: 56 kDa Observed band size: 56 kDa Exposure time: 18 seconds; 4-20% SDS-PAGE gel. Proteins were transferred to a PVDF membrane and blocked with 5% NFDM/TBST for 1 hour at room temperature. The primary antibody (ER1901-33) at 1/1,000 dilution was used in 5% NFDM/TBST at 4℃ overnight. Goat Anti-Rabbit IgG - HRP Secondary Antibody (HA1001) at 1/50,000 dilution was used for 1 hour at room temperature.

ICC staining of AKT1/2/3 in A549 cells (green). Formalin fixed cells were permeabilized with 0.1% Triton X-100 in TBS for 10 minutes at room temperature and blocked with 1% Blocker BSA for 15 minutes at room temperature. Cells were probed with the primary antibody (ER1901-33, 1/50) for 1 hour at room temperature, washed with PBS. Alexa Fluor®488 Goat anti-Rabbit IgG was used as the secondary antibody at 1/1,000 dilution. The nuclear counter stain is DAPI (blue).

ICC staining of AKT1/2/3 in EA.hy926 cells (green). Formalin fixed cells were permeabilized with 0.1% Triton X-100 in TBS for 10 minutes at room temperature and blocked with 1% Blocker BSA for 15 minutes at room temperature. Cells were probed with the primary antibody (ER1901-33, 1/50) for 1 hour at room temperature, washed with PBS. Alexa Fluor®488 Goat anti-Rabbit IgG was used as the secondary antibody at 1/1,000 dilution. The nuclear counter stain is DAPI (blue).
quantity: 100μl
price: 330 USD
to the supplier
Phospho-AKT (S473)
HUABIO
catalog: ET1607-73
domestic rabbit monoclonal (SY28-05)
reactivity: human, mouse, rat, dogs
application: western blot, immunohistochemistry - paraffin section, immunohistochemistry - frozen section

Western blot analysis of Phospho-AKT (S473) on different lysates with Rabbit anti-Phospho-AKT (S473) antibody (ET1607-73) at 1/5,000 dilution. Lane 1: MCF7 cell lysate Lane 2: MCF7 treated with 100nM Calyculin A for 30 minutes cell lysate Lane 3: NIH/3T3 cell lysate Lane 4: NIH/3T3 treated with 100ng/mL PDGF for 1 hour cell lysate Lysates/proteins at 20 µg/Lane. Predicted band size: 56 kDa Observed band size: 56 kDa Exposure time: 53 seconds; ECL: K1801; 4-20% SDS-PAGE gel. Proteins were transferred to a PVDF membrane and blocked with 5% NFDM/TBST for 1 hour at room temperature. The primary antibody (ET1607-73) at 1/5,000 dilution was used in 5% NFDM/TBST at 4℃ overnight. Goat Anti-Rabbit IgG - HRP Secondary Antibody (HA1001) at 1/50,000 dilution was used for 1 hour at room temperature.

Western blot analysis of Phospho-AKT (S473) on different lysates with Rabbit anti-Phospho-AKT (S473) antibody (ET1607-73) at 1/5,000 dilution. Lane 1: C6 cell lysate Lane 2: C6 treated with 100nM Calyculin A for 30 minutes cell lysate Lysates/proteins at 15 µg/Lane. Predicted band size: 56 kDa Observed band size: 56 kDa Exposure time: 3 minutes; ECL: K1801; 4-20% SDS-PAGE gel. Proteins were transferred to a PVDF membrane and blocked with 5% NFDM/TBST for 1 hour at room temperature. The primary antibody (ET1607-73) at 1/5,000 dilution was used in 5% NFDM/TBST at room temperature for 2 hours. Goat Anti-Rabbit IgG - HRP Secondary Antibody (HA1001) at 1/50,000 dilution was used for 1 hour at room temperature.

Western blot analysis of Phospho-AKT (S473) on different lysates with Rabbit anti-Phospho-AKT (S473) antibody (ET1607-73) at 1/5,000 dilution. Lane 1: HEK-293 cell lysate Lane 2: HEK-293 treated with 50μM LY294002 for 6 hours cell lysate Lysates/proteins at 20 µg/Lane. Predicted band size: 56 kDa Observed band size: 56 kDa Exposure time: 50 seconds; ECL: K1801; 4-20% SDS-PAGE gel. Proteins were transferred to a PVDF membrane and blocked with 5% NFDM/TBST for 1 hour at room temperature. The primary antibody (ET1607-73) at 1/5,000 dilution was used in 5% NFDM/TBST at 4℃ overnight. Goat Anti-Rabbit IgG - HRP Secondary Antibody (HA1001) at 1/200,000 dilution was used for 1 hour at room temperature.
quantity: 100μl
price: 385.00 USD
to the supplier
AKT1
HUABIO
catalog: ET1609-47
domestic rabbit monoclonal (ST05-09)
reactivity: human, mouse, rat
application: western blot, immunoprecipitation, flow cytometry, immunohistochemistry - paraffin section, immunohistochemistry - frozen section

Western blot analysis of AKT1 on different lysates with Rabbit anti-AKT1 antibody (ET1609-47) at 1/5,000 dilution. Lane 1: A549-si NT cell lysate Lane 2: A549-si AKT1 cell lysate Lysates/proteins at 10 µg/Lane. Predicted band size: 56 kDa Observed band size: 56 kDa Exposure time: 40 seconds; ECL: K1801; 4-20% SDS-PAGE gel. Proteins were transferred to a PVDF membrane and blocked with 5% NFDM/TBST for 1 hour at room temperature. The primary antibody (ET1609-47) at 1/5,000 dilution was used in 5% NFDM/TBST at 4℃ overnight. Goat Anti-Rabbit IgG - HRP Secondary Antibody (HA1001) at 1/50,000 dilution was used for 1 hour at room temperature.

Western blot analysis of AKT1 on different lysates with Rabbit anti-AKT1 antibody (ET1609-47) at 1/5,000 dilution. Lane 1: HeLa cell lysate Lane 2: A549 cell lysate Lane 3: C6 cell lysate Lane 4: PC-12 cell lysate Lysates/proteins at 15 µg/Lane. Predicted band size: 56 kDa Observed band size: 56 kDa Exposure time: 43 seconds; 4-20% SDS-PAGE gel. Proteins were transferred to a PVDF membrane and blocked with 5% NFDM/TBST for 1 hour at room temperature. The primary antibody (ET1609-47) at 1/5,000 dilution was used in 5% NFDM/TBST at 4℃ overnight. Goat Anti-Rabbit IgG - HRP Secondary Antibody (HA1001) at 1/50,000 dilution was used for 1 hour at room temperature.

Western blot analysis of AKT1 on SH-SY5Y cell lysates with Rabbit anti-AKT1 antibody (ET1609-47) at 1/5,000 dilution. Lysates/proteins at 10 µg/Lane. Predicted band size: 56 kDa Observed band size: 56 kDa Exposure time: 2 minutes; 10% SDS-PAGE gel. Proteins were transferred to a PVDF membrane and blocked with 5% NFDM/TBST for 1 hour at room temperature. The primary antibody (ET1609-47) at 1/5,000 dilution was used in 5% NFDM/TBST at room temperature for 2 hours. Goat Anti-Rabbit IgG - HRP Secondary Antibody (HA1001) at /50,000 dilution was used for 1 hour at room temperature.
quantity: 100μl
price: 385.00 USD
to the supplier
AKT1/2/3
HUABIO
catalog: ET1609-51
domestic rabbit monoclonal (ST48-09)
reactivity: human, mouse, rat
application: western blot, immunoprecipitation, flow cytometry, immunohistochemistry - paraffin section, immunohistochemistry - frozen section

Western blot analysis of AKT1/2/3 on different lysates with Rabbit anti-AKT1/2/3 antibody (ET1609-51) at 1/5,000 dilution. Lane 1: MCF7 cell lysate (20 µg/Lane) Lane 2: A549 cell lysate (20 µg/Lane) Lane 3: U-2 OS cell lysate (20 µg/Lane) Lane 4: COS-1 cell lysate (20 µg/Lane) Lane 5: NIH/3T3 cell lysate (20 µg/Lane) Lane 6: RAW264.7 cell lysate (20 µg/Lane) Lane 7: C6 cell lysate (20 µg/Lane) Lane 8: PC-12 cell lysate (20 µg/Lane) Lane 9: Mouse brain tissue lysate (20 µg/Lane) Lane 10: Mouse heart tissue lysate (20 µg/Lane) Lane 11: Mouse testis tissue lysate (20 µg/Lane) Lane 12: Rat brain tissue lysate (20 µg/Lane) Lane 13: Rat heart tissue lysate (20 µg/Lane) Lane 14: Rat testis tissue lysate (20 µg/Lane) Predicted band size: 56 kDa Observed band size: 56 kDa Exposure time: 24 seconds; ECL: K1801; 4-20% SDS-PAGE gel. Proteins were transferred to a PVDF membrane and blocked with 5% NFDM/TBST for 1 hour at room temperature. The primary antibody (ET1609-51) at 1/5,000 dilution was used in 5% NFDM/TBST at room temperature for 2 hours. Goat Anti-Rabbit IgG - HRP Secondary Antibody (HA1001) at 1/50,000 dilution was used for 1 hour at room temperature.

AKT1/2/3 was immunoprecipitated from 0.2 mg MCF7 cell lysate with ET1609-51 at 2 µg/10 µl beads. Western blot was performed from the immunoprecipitate using ET1609-51 at 1/1,000 dilution. Anti-Rabbit IgG for IP Nano-secondary antibody (NBI01H) at 1/5,000 dilution was used for 1 hour at room temperature. Lane 1: MCF7 cell lysate (input) Lane 2: ET1609-51 IP in MCF7 cell lysate Lane 3: Rabbit IgG instead of ET1609-51 in MCF7 cell lysate Blocking/Dilution buffer: 5% NFDM/TBST Exposure time: 23 seconds; ECL: K1801

Immunocytochemistry analysis of MCF7 cells labeling AKT1/2/3 with Rabbit anti-AKT1/2/3 antibody (ET1609-51) at 1/100 dilution. Cells were fixed in 4% paraformaldehyde for 20 minutes at room temperature, permeabilized with 0.1% Triton X-100 in PBS for 5 minutes at room temperature, then blocked with 1% BSA in 10% negative goat serum for 1 hour at room temperature. Cells were then incubated with Rabbit anti-AKT1/2/3 antibody (ET1609-51) at 1/100 dilution in 1% BSA in PBST overnight at 4 ℃. Goat Anti-Rabbit IgG H&L (iFluor™ 488, HA1121) was used as the secondary antibody at 1/1,000 dilution. PBS instead of the primary antibody was used as the secondary antibody only control. Nuclear DNA was labelled in blue with DAPI. Beta tubulin (M1305-2, red) was stained at 1/100 dilution overnight at +4℃. Goat Anti-Mouse IgG H&L (iFluor™ 594, HA1126) was used as the secondary antibody at 1/1,000 dilution.
quantity: 100μl
price: 385.00 USD
to the supplier
Phospho-AKT1 (T450)
HUABIO
catalog: ET1612-73
domestic rabbit monoclonal (SD08-12)
reactivity: human, mouse, rat
application: western blot, immunoprecipitation, flow cytometry, immunohistochemistry - paraffin section

Western blot analysis of Phospho-AKT1 (T450) on different lysates with Rabbit anti-Phospho-AKT1 (T450) antibody (ET1612-73) at 1/1,000 dilution. Lane 1: A549 cell lysate Lane 2: MCF7 cell lysate Lane 3: HeLa cell lysate Lane 4: Jurkat cell lysate Lane 5: C2C12 cell lysate Lane 6: NIH/3T3 cell lysate Lane 7: C6 cell lysate Lane 8: PC-12 cell lysate Lane 9: MCF7 cell lysate, the membrane treated with λpp for 1 hour Lane 10: C2C12 cell lysate, the membrane treated with λpp for 1 hour Lane 11: C6 cell lysate, the membrane treated with λpp for 1 hour Lysates/proteins at 20 µg/Lane. Predicted band size: 54 kDa Observed band size: 54 kDa Exposure time: 3 minutes; ECL: K1802; 4-20% SDS-PAGE gel. Proteins were transferred to a PVDF membrane and blocked with 5% NFDM/TBST for 1 hour at room temperature. The primary antibody (ET1612-73) at 1/1,000 dilution was used in 5% NFDM/TBST at 4℃ overnight. Goat Anti-Rabbit IgG - HRP Secondary Antibody (HA1001) at 1/50,000 dilution was used for 1 hour at room temperature.

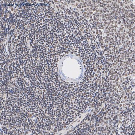
Immunohistochemical analysis of paraffin-embedded human breast cancer tissue untreated / treated with λpp with Rabbit anti-Phospho-AKT1 (T450) antibody (ET1612-73) at 1/200 dilution. The section was pre-treated using heat mediated antigen retrieval with sodium citrate buffer (pH 6.0) (high pressure) for 2 minutes. The tissues were blocked in 1% BSA for 20 minutes at room temperature, washed with ddH2O and PBS, and then probed with the primary antibody (ET1612-73) at 1/200 dilution for 1 hour at room temperature. The detection was performed using an HRP conjugated compact polymer system. DAB was used as the chromogen. Tissues were counterstained with hematoxylin and mounted with DPX.

Immunohistochemical analysis of paraffin-embedded mouse kidney tissue with Rabbit anti-Phospho-AKT1 (T450) antibody (ET1612-73) at 1/200 dilution. The section was pre-treated using heat mediated antigen retrieval with sodium citrate buffer (pH 6.0) (high pressure) for 2 minutes. The tissues were blocked in 1% BSA for 20 minutes at room temperature, washed with ddH2O and PBS, and then probed with the primary antibody (ET1612-73) at 1/200 dilution for 1 hour at room temperature. The detection was performed using an HRP conjugated compact polymer system. DAB was used as the chromogen. Tissues were counterstained with hematoxylin and mounted with DPX.
quantity: 100μl
price: 385.00 USD
to the supplier
Phospho-AKT1 (S124)
HUABIO
catalog: ET1701-36
domestic rabbit monoclonal (JJ08-46)
reactivity: human, mouse, rat
application: western blot, immunoprecipitation, immunohistochemistry - paraffin section

Western blot analysis of Phospho-AKT1 (S124) on different lysates with Rabbit anti-Phospho-AKT1 (S124) antibody (ET1701-36) at 1/2,000 dilution. Lane 1: MCF7 cell lysate Lane 2: PC-12 cell lysate Lane 3: NIH/3T3 cell lysate Lane 4: MCF7 cell lysate, the membrane treated with λpp for 1 hour Lysates/proteins at 20 µg/Lane. Predicted band size: 56 kDa Observed band size: 56 kDa Exposure time: 3 minutes; ECL: K1801; 4-20% SDS-PAGE gel. Proteins were transferred to a PVDF membrane and blocked with 5% NFDM/TBST for 1 hour at room temperature. The primary antibody (ET1701-36) at 1/2,000 dilution was used in 5% NFDM/TBST at 4℃ overnight. Goat Anti-Rabbit IgG - HRP Secondary Antibody (HA1001) at 1/50,000 dilution was used for 1 hour at room temperature.

ICC staining of Phospho-AKT1 (S124) in PC-3M cells (green). Formalin fixed cells were permeabilized with 0.1% Triton X-100 in TBS for 10 minutes at room temperature and blocked with 1% Blocker BSA for 15 minutes at room temperature. Cells were probed with the primary antibody (ET1701-36, 1/50) for 1 hour at room temperature, washed with PBS. Alexa Fluor®488 Goat anti-Rabbit IgG was used as the secondary antibody at 1/1,000 dilution. The nuclear counter stain is DAPI (blue).

ICC staining of Phospho-AKT1 (S124) in NIH/3T3 cells (green). Formalin fixed cells were permeabilized with 0.1% Triton X-100 in TBS for 10 minutes at room temperature and blocked with 1% Blocker BSA for 15 minutes at room temperature. Cells were probed with the primary antibody (ET1701-36, 1/50) for 1 hour at room temperature, washed with PBS. Alexa Fluor®488 Goat anti-Rabbit IgG was used as the secondary antibody at 1/1,000 dilution. The nuclear counter stain is DAPI (blue).
quantity: 100μl
price: 385.00 USD
to the supplier
AKT1
HUABIO
catalog: HA721364
domestic rabbit monoclonal (PSH0-50)
reactivity: human, mouse, rat
application: western blot, flow cytometry

Western blot analysis of AKT1 on different lysates with Rabbit anti-AKT1 antibody (HA721364) at 1/1,000 dilution. Lane 1: Jurkat cell lysate Lane 2: MCF7 cell lysate Lane 3: HeLa cell lysate Lane 4: NIH/3T3 cell lysate Lane 5: C2C12 cell lysate Lane 6: COS-1 cell lysate Lane 7: PC-12 cell lysate Lane 8: Mouse brain tissue lysate Lysates/proteins at 30 µg/Lane. Predicted band size: 56 kDa Observed band size: 60 kDa Exposure time: 3 minutes; 4-20% SDS-PAGE gel. Proteins were transferred to a PVDF membrane and blocked with 5% NFDM/TBST for 1 hour at room temperature. The primary antibody (HA721364) at 1/1,000 dilution was used in 5% NFDM/TBST at room temperature for 2 hours. Goat Anti-Rabbit IgG - HRP Secondary Antibody (HA1001) at 1:100,000 dilution was used for 1 hour at room temperature.

Immunocytochemistry analysis of Jurkat cells labeling AKT1 with Rabbit anti-AKT1 antibody (HA721364) at 1/50 dilution. Cells were fixed in 4% paraformaldehyde for 10 minutes at 37 ℃, permeabilized with 0.05% Triton X-100 in PBS for 20 minutes, and then blocked with 2% negative goat serum for 30 minutes at room temperature. Cells were then incubated with Rabbit anti-AKT1 antibody (HA721364) at 1/50 dilution in 2% negative goat serum overnight at 4 ℃. Goat Anti-Rabbit IgG H&L (iFluor™ 488, HA1121) was used as the secondary antibody at 1/1,000 dilution. Nuclear DNA was labelled in blue with DAPI. Beta tubulin (M1305-2, red) was stained at 1/200 dilution overnight at +4℃. Goat Anti-Mouse IgG H&L (iFluor™ 594, HA1126) was used as the secondary antibody at 1/1,000 dilution.

Flow cytometric analysis of Jurkat cells labeling AKT1. Cells were fixed and permeabilized. Then stained with the primary antibody (HA721364, 1ug/ml) (red) compared with Rabbit IgG Isotype Control (green). After incubation of the primary antibody at +4℃ for an hour, the cells were stained with a iFluor™ 488 conjugate-Goat anti-Rabbit IgG Secondary antibody (HA1121) at 1/1,000 dilution for 30 minutes at +4℃. Unlabelled sample was used as a control (cells without incubation with primary antibody; black).
quantity: 100μl
price: 385.00 USD
to the supplier
Phospho-AKT1 (S129)
HUABIO
catalog: HA721677
domestic rabbit monoclonal (JE59-50)
reactivity: human, mouse, rat
application: western blot

Western blot analysis of Phospho-AKT1 (S129) on different lysates with Rabbit anti-Phospho-AKT1 (S129) antibody (HA721677) at 1/500 dilution. Lane 1: MCF7 cell lysate Lane 2: MCF7 treated λpp for 1 hour cell lysate Lysates/proteins at 30 µg/Lane. Predicted band size: 56 kDa Observed band size: 60 kDa Exposure time: 1 minute 33 seconds; ECL: K1801; 4-20% SDS-PAGE gel. Proteins were transferred to a PVDF membrane and blocked with 5% NFDM/TBST for 1 hour at room temperature. The primary antibody (HA721677) at 1/500 dilution was used in 5% NFDM/TBST at 4℃ overnight. Goat Anti-Rabbit IgG - HRP Secondary Antibody (HA1001) at 1/50,000 dilution was used for 1 hour at room temperature.

Western blot analysis of Phospho-AKT1 (S129) on different lysates with Rabbit anti-Phospho-AKT1 (S129) antibody (HA721677) at 1/1,000 dilution. Lane 1: SW480 cell lysate (20 µg/Lane) Lane 2: MCF7 cell lysate (20 µg/Lane) Lane 3: HCT 116 cell lysate (20 µg/Lane) Lane 4: HepG2 cell lysate (20 µg/Lane) Lane 5: Mouse heart tissue lysate (40 µg/Lane) Lane 6: Rat heart tissue lysate (40 µg/Lane) Predicted band size: 56 kDa Observed band size: 60 kDa Exposure time: 3 minutes; ECL: K1801; 4-20% SDS-PAGE gel. Proteins were transferred to a PVDF membrane and blocked with 5% NFDM/TBST for 1 hour at room temperature. The primary antibody (HA721677) at 1/1,000 dilution was used in primary antibody dilution (K1803) at 4℃ overnight. Goat Anti-Rabbit IgG - HRP Secondary Antibody (HA1001) at 1/50,000 dilution was used for 1 hour at room temperature.
quantity: 100μl
price: 385.00 USD
to the supplier
AKT1/2/3
HUABIO
catalog: HA721870
domestic rabbit monoclonal (JE75-09)
reactivity: human, mouse, rat
application: western blot, immunoprecipitation, flow cytometry

Western blot analysis of AKT1/2/3 on different lysates with Rabbit anti-AKT1/2/3 antibody (HA721870) at 1/2,000 dilution and competitor's antibody at 1/1,000 dilution. Lane 1: HeLa cell lysate Lane 2: MCF7 cell lysate Lane 3: A549 cell lysate Lane 4: U-2 OS cell lysate Lane 5: NIH/3T3 cell lysate Lysates/proteins at 15 µg/Lane. Predicted band size: 56 kDa Observed band size: 56 kDa Exposure time: 30 seconds; ECL: K1802; 4-20% SDS-PAGE gel. Proteins were transferred to a PVDF membrane and blocked with 5% NFDM/TBST for 1 hour at room temperature. The primary antibody (HA721870) at 1/2,000 dilution and competitor's antibody at 1/1,000 dilution were used in 5% NFDM/TBST at 4℃ overnight. Goat Anti-Rabbit IgG - HRP Secondary Antibody (HA1001) at 1/50,000 dilution was used for 1 hour at room temperature.

Immunocytochemistry analysis of MCF7 cells labeling AKT1/2/3 with Rabbit anti-AKT1/2/3 antibody (HA721870) at 1/100 dilution. Cells were fixed in 4% paraformaldehyde for 20 minutes at room temperature, permeabilized with 0.1% Triton X-100 in PBS for 5 minutes at room temperature, then blocked with 1% BSA in 10% negative goat serum for 1 hour at room temperature. Cells were then incubated with Rabbit anti-AKT1/2/3 antibody (HA721870) at 1/100 dilution in 1% BSA in PBST overnight at 4 ℃. Goat Anti-Rabbit IgG H&L (iFluor™ 488, HA1121) was used as the secondary antibody at 1/1,000 dilution. PBS instead of the primary antibody was used as the secondary antibody only control. Nuclear DNA was labelled in blue with DAPI. Beta tubulin (M1305-2, red) was stained at 1/100 dilution overnight at +4℃. Goat Anti-Mouse IgG H&L (iFluor™ 594, HA1126) was used as the secondary antibody at 1/1,000 dilution.

Western blot analysis of AKT1/2/3 on different lysates with Rabbit anti-AKT1/2/3 antibody (HA721870) at 1/2,000 dilution. Lane 1: MCF7 cell lysate Lane 2: A549 cell lysate Lane 3: U-2 OS cell lysate Lane 4: COS-1 cell lysate Lane 5: NIH/3T3 cell lysate Lane 6: RAW264.7 cell lysate Lane 7: C6 cell lysate Lane 8: PC-12 cell lysate Lane 9: Mouse brain tissue lysate Lane 10: Mouse heart tissue lysate Lane 11: Mouse testis tissue lysate Lane 12: Rat brain tissue lysate Lane 13: Rat heart tissue lysate Lane 14: Rat testis tissue lysate Lysates/proteins at 20 µg/Lane. Predicted band size: 56 kDa Observed band size: 56 kDa Exposure time: 2 minutes; ECL: K1801; 4-20% SDS-PAGE gel. Proteins were transferred to a PVDF membrane and blocked with 5% NFDM/TBST for 1 hour at room temperature. The primary antibody (HA721870) at 1/2,000 dilution was used in 5% NFDM/TBST at room temperature for 2 hours. Goat Anti-Rabbit IgG - HRP Secondary Antibody (HA1001) at 1/50,000 dilution was used for 1 hour at room temperature.
quantity: 100μl
price: 385.00 USD
to the supplier
Phospho-AKT (S473)
HUABIO
catalog: HA722129
domestic rabbit monoclonal (PSH04-44)
reactivity: human, mouse, rat
application: western blot, flow cytometry, immunohistochemistry - paraffin section

Western blot analysis of Phospho-AKT (S473) on different lysates with Rabbit anti-Phospho-AKT (S473) antibody (HA722129) at 1/2,000 dilution and pan AKT antibody (HA721870) at 1/2,000 dilution. Lane 1: MCF7 cell lysate Lane 2: MCF7 treated with 50ng/mL Calyculin A for 45 minutes cell lysate Lane 3: SH-SY5Y cell lysate Lane 4: SH-SY5Y treated with 100ng/mL PDGF for 5 minutes cell lysate Lane 5: HEK-293 cell lysate Lane 6: HEK-293 treated with 50μM LY294002 for 6 hours cell lysate Lane 7: NIH/3T3 cell lysate Lane 8: NIH/3T3 treated with 100ng/mL PDGF for 5 minutes cell lysate Lane 9: C6 cell lysate Lane 10: C6 treated with 100ng/mL PDGF for 5 minutes cell lysate Lane 11: MCF7 treated with 50ng/mL Calyculin A for 45 minutes cell lysate, then the membrane treated with λpp for 1 hour Lysates/proteins at 20 µg/Lane. Predicted band size: 56 kDa Observed band size: 56 kDa Exposure time: 20 seconds; ECL: K1801; 4-20% SDS-PAGE gel. Proteins were transferred to a PVDF membrane and blocked with 5% BSA for 1 hour at room temperature. The primary antibody (HA722129) at 1/2,000 dilution and pan AKT antibody (HA721870) at 1/2,000 dilution were used in 5% BSA at 4℃ overnight. Goat Anti-Rabbit IgG - HRP Secondary Antibody (HA1001) at 1/50,000 dilution was used for 1 hour at room temperature.

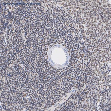
Immunohistochemical analysis of paraffin-embedded mouse spleen tissue untreated / treated with λpp / phospho-peptide / non-phospho-peptide with Rabbit anti-Phospho-AKT (S473) antibody (HA722129) at 1/200 dilution. The section was pre-treated using heat mediated antigen retrieval with sodium citrate buffer (pH 6.0) (high pressure) for 2 minutes. The tissues were blocked in 1% BSA for 20 minutes at room temperature, washed with ddH2O and PBS, and then probed with the primary antibody (HA722129) at 1/200 dilution for 1 hour at room temperature. The detection was performed using an HRP conjugated compact polymer system. DAB was used as the chromogen. Tissues were counterstained with hematoxylin and mounted with DPX.

Immunohistochemical analysis of paraffin-embedded rat spleen tissue with Rabbit anti-Phospho-AKT (S473) antibody (HA722129) at 1/200 dilution. The section was pre-treated using heat mediated antigen retrieval with sodium citrate buffer (pH 6.0) (high pressure) for 2 minutes. The tissues were blocked in 1% BSA for 20 minutes at room temperature, washed with ddH2O and PBS, and then probed with the primary antibody (HA722129) at 1/200 dilution for 1 hour at room temperature. The detection was performed using an HRP conjugated compact polymer system. DAB was used as the chromogen. Tissues were counterstained with hematoxylin and mounted with DPX.
quantity: 100μl
price: 385.00 USD
to the supplier
Phospho-AKT (T308)
HUABIO
catalog: HA722951
domestic rabbit monoclonal (PSH08-10)
reactivity: human
application: western blot, flow cytometry

Western blot analysis of Phospho-AKT (T308) on different lysates with Rabbit anti-Phospho-AKT (T308) antibody (HA722951) at 1/2,000 dilution. Lane 1: Jurkat cell lysate Lane 2: Jurkat treated with 100nM Calyculin A for 30 minutes cell lysate Lane 3: HeLa cell lysate Lane 4: HeLa treated with 100ng/mL Calyculin A for 30 minutes cell lysate Lane 5: 293T cell lysate Lane 6: 293T treated with 100nM Calyculin A for 15 minutes cell lysate Lysates/proteins at 30 µg/Lane. Predicted band size: 56 kDa Observed band size: 56 kDa Exposure time: 3 minutes; 4-20% SDS-PAGE gel. Proteins were transferred to a PVDF membrane and blocked with 5% NFDM/TBST for 1 hour at room temperature. The primary antibody (HA722951) at 1/2,000 dilution was used in 5% NFDM/TBST at 4℃ overnight. Goat Anti-Rabbit IgG - HRP Secondary Antibody (HA1001) at 1/50,000 dilution was used for 1 hour at room temperature.

Immunocytochemistry analysis of Jurkat cells treated with or without 100nM Calyculin A for 30 minutes labeling Phospho-AKT (T308) with Rabbit anti-Phospho-AKT (T308) antibody (HA722951) at 1/100 dilution. Cells were fixed in 4% paraformaldehyde for 20 minutes at room temperature, permeabilized with 0.1% Triton X-100 in PBS for 5 minutes at room temperature, then blocked with 1% BSA in 10% negative goat serum for 1 hour at room temperature. Cells were then incubated with Rabbit anti-Phospho-AKT (T308) antibody (HA722951) at 1/100 dilution in 1% BSA in PBST overnight at 4 ℃. Goat Anti-Rabbit IgG H&L (iFluor™ 488, HA1121) was used as the secondary antibody at 1/1,000 dilution. PBS instead of the primary antibody was used as the secondary antibody only control. Nuclear DNA was labelled in blue with DAPI.

Flow cytometric analysis of Jurkat cells treated with or without 100nM Calyculin A for 30 minutes labeling Phospho-AKT (T308). Cells were fixed and permeabilized. Then stained with the primary antibody (HA722951, 1μg/mL) (red) compared with Rabbit IgG Isotype Control (green). After incubation of the primary antibody at +4℃ for an hour, the cells were stained with a iFluor™ 488 conjugate-Goat anti-Rabbit IgG Secondary antibody (HA1121) at 1/1,000 dilution for 30 minutes at +4℃. Unlabelled sample was used as a control (cells without incubation with primary antibody; black).
quantity: 100μl
price: 385.00 USD
to the supplier
Phospho-AKT (S473)
HUABIO
catalog: HA750132
domestic rabbit monoclonal (SY28-05)
reactivity: human, mouse, rat, dogs
application: western blot, immunohistochemistry - paraffin section, immunohistochemistry - frozen section

Western blot analysis of Phospho-AKT (S473) on different lysates with Rabbit anti-Phospho-AKT (S473) antibody (HA750132) at 1/5,000 dilution. Lane 1: MCF7 cell lysate Lane 2: MCF7 treated with 100nM Calyculin A for 30 minutes cell lysate Lane 3: NIH/3T3 cell lysate Lane 4: NIH/3T3 treated with 100ng/mL PDGF for 1 hour cell lysate Lysates/proteins at 20 µg/Lane. Predicted band size: 56 kDa Observed band size: 56 kDa Exposure time: 53 seconds; ECL: K1801; 4-20% SDS-PAGE gel. Proteins were transferred to a PVDF membrane and blocked with 5% NFDM/TBST for 1 hour at room temperature. The primary antibody (HA750132) at 1/5,000 dilution was used in 5% NFDM/TBST at 4℃ overnight. Goat Anti-Rabbit IgG - HRP Secondary Antibody (HA1001) at 1/50,000 dilution was used for 1 hour at room temperature.

Western blot analysis of Phospho-AKT (S473) on different lysates with Rabbit anti-Phospho-AKT (S473) antibody (HA750132) at 1/5,000 dilution. Lane 1: C6 cell lysate Lane 2: C6 treated with 100nM Calyculin A for 30 minutes cell lysate Lysates/proteins at 15 µg/Lane. Predicted band size: 56 kDa Observed band size: 56 kDa Exposure time: 3 minutes; ECL: K1801; 4-20% SDS-PAGE gel. Proteins were transferred to a PVDF membrane and blocked with 5% NFDM/TBST for 1 hour at room temperature. The primary antibody (HA750132) at 1/5,000 dilution was used in 5% NFDM/TBST at room temperature for 2 hours. Goat Anti-Rabbit IgG - HRP Secondary Antibody (HA1001) at 1/50,000 dilution was used for 1 hour at room temperature.

Western blot analysis of Phospho-AKT (S473) on different lysates with Rabbit anti-Phospho-AKT (S473) antibody (HA750132) at 1/5,000 dilution. Lane 1: HEK-293 cell lysate Lane 2: HEK-293 treated with 50μM LY294002 for 6 hours cell lysate Lysates/proteins at 20 µg/Lane. Predicted band size: 56 kDa Observed band size: 56 kDa Exposure time: 50 seconds; ECL: K1801; 4-20% SDS-PAGE gel. Proteins were transferred to a PVDF membrane and blocked with 5% NFDM/TBST for 1 hour at room temperature. The primary antibody (HA750132) at 1/5,000 dilution was used in 5% NFDM/TBST at 4℃ overnight. Goat Anti-Rabbit IgG - HRP Secondary Antibody (HA1001) at 1/200,000 dilution was used for 1 hour at room temperature.
quantity: 100μl
price: 649.00 USD
to the supplier
AKT1
HUABIO
catalog: HA750177
domestic rabbit monoclonal (ST05-09)
reactivity: human, mouse, rat
application: western blot, immunoprecipitation, flow cytometry, immunohistochemistry - paraffin section, immunohistochemistry - frozen section

Western blot analysis of AKT1 on different lysates with Rabbit anti-AKT1 antibody (HA750177) at 1/5,000 dilution. Lane 1: A549-si NT cell lysate Lane 2: A549-si AKT1 cell lysate Lysates/proteins at 10 µg/Lane. Predicted band size: 56 kDa Observed band size: 56 kDa Exposure time: 40 seconds; ECL: K1801; 4-20% SDS-PAGE gel. Proteins were transferred to a PVDF membrane and blocked with 5% NFDM/TBST for 1 hour at room temperature. The primary antibody (HA750177) at 1/5,000 dilution was used in 5% NFDM/TBST at 4℃ overnight. Goat Anti-Rabbit IgG - HRP Secondary Antibody (HA1001) at 1/50,000 dilution was used for 1 hour at room temperature.

Western blot analysis of AKT1 on different lysates with Rabbit anti-AKT1 antibody (HA750177) at 1/5,000 dilution. Lane 1: HeLa cell lysate Lane 2: A549 cell lysate Lane 3: C6 cell lysate Lane 4: PC-12 cell lysate Lysates/proteins at 15 µg/Lane. Predicted band size: 56 kDa Observed band size: 56 kDa Exposure time: 43 seconds; 4-20% SDS-PAGE gel. Proteins were transferred to a PVDF membrane and blocked with 5% NFDM/TBST for 1 hour at room temperature. The primary antibody (HA750177) at 1/5,000 dilution was used in 5% NFDM/TBST at 4℃ overnight. Goat Anti-Rabbit IgG - HRP Secondary Antibody (HA1001) at 1/50,000 dilution was used for 1 hour at room temperature.

Western blot analysis of AKT1 on SH-SY5Y cell lysates with Rabbit anti-AKT1 antibody (HA750177) at 1/5,000 dilution. Lysates/proteins at 10 µg/Lane. Predicted band size: 56 kDa Observed band size: 56 kDa Exposure time: 2 minutes; 10% SDS-PAGE gel. Proteins were transferred to a PVDF membrane and blocked with 5% NFDM/TBST for 1 hour at room temperature. The primary antibody (HA750177) at 1/5,000 dilution was used in 5% NFDM/TBST at room temperature for 2 hours. Goat Anti-Rabbit IgG - HRP Secondary Antibody (HA1001) at /50,000 dilution was used for 1 hour at room temperature.
quantity: 100μl
price: 649.00 USD
to the supplier
AKT1/2/3
HUABIO
catalog: HA750179
domestic rabbit monoclonal (ST48-09)
reactivity: human, mouse, rat
application: western blot, immunoprecipitation, flow cytometry, immunohistochemistry - paraffin section, immunohistochemistry - frozen section

Western blot analysis of AKT1/2/3 on different lysates with Rabbit anti-AKT1/2/3 antibody (HA750179) at 1/5,000 dilution. Lane 1: MCF7 cell lysate (20 µg/Lane) Lane 2: A549 cell lysate (20 µg/Lane) Lane 3: U-2 OS cell lysate (20 µg/Lane) Lane 4: COS-1 cell lysate (20 µg/Lane) Lane 5: NIH/3T3 cell lysate (20 µg/Lane) Lane 6: RAW264.7 cell lysate (20 µg/Lane) Lane 7: C6 cell lysate (20 µg/Lane) Lane 8: PC-12 cell lysate (20 µg/Lane) Lane 9: Mouse brain tissue lysate (20 µg/Lane) Lane 10: Mouse heart tissue lysate (20 µg/Lane) Lane 11: Mouse testis tissue lysate (20 µg/Lane) Lane 12: Rat brain tissue lysate (20 µg/Lane) Lane 13: Rat heart tissue lysate (20 µg/Lane) Lane 14: Rat testis tissue lysate (20 µg/Lane) Predicted band size: 56 kDa Observed band size: 56 kDa Exposure time: 24 seconds; ECL: K1801; 4-20% SDS-PAGE gel. Proteins were transferred to a PVDF membrane and blocked with 5% NFDM/TBST for 1 hour at room temperature. The primary antibody (HA750179) at 1/5,000 dilution was used in 5% NFDM/TBST at room temperature for 2 hours. Goat Anti-Rabbit IgG - HRP Secondary Antibody (HA1001) at 1/50,000 dilution was used for 1 hour at room temperature.

AKT1/2/3 was immunoprecipitated from 0.2 mg MCF7 cell lysate with HA750179 at 2 µg/10 µl beads. Western blot was performed from the immunoprecipitate using HA750179 at 1/1,000 dilution. Anti-Rabbit IgG for IP Nano-secondary antibody (NBI01H) at 1/5,000 dilution was used for 1 hour at room temperature. Lane 1: MCF7 cell lysate (input) Lane 2: HA750179 IP in MCF7 cell lysate Lane 3: Rabbit IgG instead of HA750179 in MCF7 cell lysate Blocking/Dilution buffer: 5% NFDM/TBST Exposure time: 23 seconds; ECL: K1801

Immunocytochemistry analysis of MCF7 cells labeling AKT1/2/3 with Rabbit anti-AKT1/2/3 antibody (HA750179) at 1/100 dilution. Cells were fixed in 4% paraformaldehyde for 20 minutes at room temperature, permeabilized with 0.1% Triton X-100 in PBS for 5 minutes at room temperature, then blocked with 1% BSA in 10% negative goat serum for 1 hour at room temperature. Cells were then incubated with Rabbit anti-AKT1/2/3 antibody (HA750179) at 1/100 dilution in 1% BSA in PBST overnight at 4 ℃. Goat Anti-Rabbit IgG H&L (iFluor™ 488, HA1121) was used as the secondary antibody at 1/1,000 dilution. PBS instead of the primary antibody was used as the secondary antibody only control. Nuclear DNA was labelled in blue with DAPI. Beta tubulin (M1305-2, red) was stained at 1/100 dilution overnight at +4℃. Goat Anti-Mouse IgG H&L (iFluor™ 594, HA1126) was used as the secondary antibody at 1/1,000 dilution.
quantity: 100μl
price: 649.00 USD
to the supplier
AKT1
HUABIO
catalog: HA750627
domestic rabbit monoclonal (PSH0-50)
reactivity: human, mouse, rat
application: western blot, flow cytometry

Western blot analysis of AKT1 on different lysates with Rabbit anti-AKT1 antibody (HA750627) at 1/1,000 dilution. Lane 1: Jurkat cell lysate Lane 2: MCF7 cell lysate Lane 3: HeLa cell lysate Lane 4: NIH/3T3 cell lysate Lane 5: C2C12 cell lysate Lane 6: COS-1 cell lysate Lane 7: PC-12 cell lysate Lane 8: Mouse brain tissue lysate Lysates/proteins at 30 µg/Lane. Predicted band size: 56 kDa Observed band size: 60 kDa Exposure time: 3 minutes; 4-20% SDS-PAGE gel. Proteins were transferred to a PVDF membrane and blocked with 5% NFDM/TBST for 1 hour at room temperature. The primary antibody (HA750627) at 1/1,000 dilution was used in 5% NFDM/TBST at room temperature for 2 hours. Goat Anti-Rabbit IgG - HRP Secondary Antibody (HA1001) at 1:100,000 dilution was used for 1 hour at room temperature.

Immunocytochemistry analysis of Jurkat cells labeling AKT1 with Rabbit anti-AKT1 antibody (HA750627) at 1/50 dilution. Cells were fixed in 4% paraformaldehyde for 10 minutes at 37 ℃, permeabilized with 0.05% Triton X-100 in PBS for 20 minutes, and then blocked with 2% negative goat serum for 30 minutes at room temperature. Cells were then incubated with Rabbit anti-AKT1 antibody (HA750627) at 1/50 dilution in 2% negative goat serum overnight at 4 ℃. Goat Anti-Rabbit IgG H&L (iFluor™ 488, HA1121) was used as the secondary antibody at 1/1,000 dilution. Nuclear DNA was labelled in blue with DAPI. Beta tubulin (M1305-2, red) was stained at 1/200 dilution overnight at +4℃. Goat Anti-Mouse IgG H&L (iFluor™ 594, HA1126) was used as the secondary antibody at 1/1,000 dilution.

Flow cytometric analysis of Jurkat cells labeling AKT1. Cells were fixed and permeabilized. Then stained with the primary antibody (HA750627, 1ug/ml) (red) compared with Rabbit IgG Isotype Control (green). After incubation of the primary antibody at +4℃ for an hour, the cells were stained with a iFluor™ 488 conjugate-Goat anti-Rabbit IgG Secondary antibody (HA1121) at 1/1,000 dilution for 30 minutes at +4℃. Unlabelled sample was used as a control (cells without incubation with primary antibody; black).
quantity: 100μl
price: 649.00 USD
to the supplier
AKT1/2/3
HUABIO
catalog: HA750840
domestic rabbit monoclonal (JE75-09)
reactivity: human, mouse, rat
application: western blot, immunoprecipitation, flow cytometry

Western blot analysis of AKT1/2/3 on different lysates with Rabbit anti-AKT1/2/3 antibody (HA750840) at 1/2,000 dilution and competitor's antibody at 1/1,000 dilution. Lane 1: HeLa cell lysate Lane 2: MCF7 cell lysate Lane 3: A549 cell lysate Lane 4: U-2 OS cell lysate Lane 5: NIH/3T3 cell lysate Lysates/proteins at 15 µg/Lane. Predicted band size: 56 kDa Observed band size: 56 kDa Exposure time: 30 seconds; ECL: K1802; 4-20% SDS-PAGE gel. Proteins were transferred to a PVDF membrane and blocked with 5% NFDM/TBST for 1 hour at room temperature. The primary antibody (HA750840) at 1/2,000 dilution and competitor's antibody at 1/1,000 dilution were used in 5% NFDM/TBST at 4℃ overnight. Goat Anti-Rabbit IgG - HRP Secondary Antibody (HA1001) at 1/50,000 dilution was used for 1 hour at room temperature.

Immunocytochemistry analysis of MCF7 cells labeling AKT1/2/3 with Rabbit anti-AKT1/2/3 antibody (HA750840) at 1/100 dilution. Cells were fixed in 4% paraformaldehyde for 20 minutes at room temperature, permeabilized with 0.1% Triton X-100 in PBS for 5 minutes at room temperature, then blocked with 1% BSA in 10% negative goat serum for 1 hour at room temperature. Cells were then incubated with Rabbit anti-AKT1/2/3 antibody (HA750840) at 1/100 dilution in 1% BSA in PBST overnight at 4 ℃. Goat Anti-Rabbit IgG H&L (iFluor™ 488, HA1121) was used as the secondary antibody at 1/1,000 dilution. PBS instead of the primary antibody was used as the secondary antibody only control. Nuclear DNA was labelled in blue with DAPI. Beta tubulin (M1305-2, red) was stained at 1/100 dilution overnight at +4℃. Goat Anti-Mouse IgG H&L (iFluor™ 594, HA1126) was used as the secondary antibody at 1/1,000 dilution.

Western blot analysis of AKT1/2/3 on different lysates with Rabbit anti-AKT1/2/3 antibody (HA750840) at 1/2,000 dilution. Lane 1: MCF7 cell lysate Lane 2: A549 cell lysate Lane 3: U-2 OS cell lysate Lane 4: COS-1 cell lysate Lane 5: NIH/3T3 cell lysate Lane 6: RAW264.7 cell lysate Lane 7: C6 cell lysate Lane 8: PC-12 cell lysate Lane 9: Mouse brain tissue lysate Lane 10: Mouse heart tissue lysate Lane 11: Mouse testis tissue lysate Lane 12: Rat brain tissue lysate Lane 13: Rat heart tissue lysate Lane 14: Rat testis tissue lysate Lysates/proteins at 20 µg/Lane. Predicted band size: 56 kDa Observed band size: 56 kDa Exposure time: 2 minutes; ECL: K1801; 4-20% SDS-PAGE gel. Proteins were transferred to a PVDF membrane and blocked with 5% NFDM/TBST for 1 hour at room temperature. The primary antibody (HA750840) at 1/2,000 dilution was used in 5% NFDM/TBST at room temperature for 2 hours. Goat Anti-Rabbit IgG - HRP Secondary Antibody (HA1001) at 1/50,000 dilution was used for 1 hour at room temperature.
quantity: 100μl
price: 649.00 USD
to the supplier
Phospho-AKT (S473)
HUABIO
catalog: HA750953
domestic rabbit monoclonal (PSH04-44)
reactivity: human, mouse, rat
application: western blot, flow cytometry, immunohistochemistry - paraffin section

Western blot analysis of Phospho-AKT (S473) on different lysates with Rabbit anti-Phospho-AKT (S473) antibody (HA750953) at 1/2,000 dilution and pan AKT antibody (HA721870) at 1/2,000 dilution. Lane 1: MCF7 cell lysate Lane 2: MCF7 treated with 50ng/mL Calyculin A for 45 minutes cell lysate Lane 3: SH-SY5Y cell lysate Lane 4: SH-SY5Y treated with 100ng/mL PDGF for 5 minutes cell lysate Lane 5: HEK-293 cell lysate Lane 6: HEK-293 treated with 50μM LY294002 for 6 hours cell lysate Lane 7: NIH/3T3 cell lysate Lane 8: NIH/3T3 treated with 100ng/mL PDGF for 5 minutes cell lysate Lane 9: C6 cell lysate Lane 10: C6 treated with 100ng/mL PDGF for 5 minutes cell lysate Lane 11: MCF7 treated with 50ng/mL Calyculin A for 45 minutes cell lysate, then the membrane treated with λpp for 1 hour Lysates/proteins at 20 µg/Lane. Predicted band size: 56 kDa Observed band size: 56 kDa Exposure time: 20 seconds; ECL: K1801; 4-20% SDS-PAGE gel. Proteins were transferred to a PVDF membrane and blocked with 5% BSA for 1 hour at room temperature. The primary antibody (HA750953) at 1/2,000 dilution and pan AKT antibody (HA721870) at 1/2,000 dilution were used in 5% BSA at 4℃ overnight. Goat Anti-Rabbit IgG - HRP Secondary Antibody (HA1001) at 1/50,000 dilution was used for 1 hour at room temperature.

Immunohistochemical analysis of paraffin-embedded mouse spleen tissue untreated / treated with λpp / phospho-peptide / non-phospho-peptide with Rabbit anti-Phospho-AKT (S473) antibody (HA750953) at 1/200 dilution. The section was pre-treated using heat mediated antigen retrieval with sodium citrate buffer (pH 6.0) (high pressure) for 2 minutes. The tissues were blocked in 1% BSA for 20 minutes at room temperature, washed with ddH2O and PBS, and then probed with the primary antibody (HA750953) at 1/200 dilution for 1 hour at room temperature. The detection was performed using an HRP conjugated compact polymer system. DAB was used as the chromogen. Tissues were counterstained with hematoxylin and mounted with DPX.

Immunohistochemical analysis of paraffin-embedded rat spleen tissue with Rabbit anti-Phospho-AKT (S473) antibody (HA750953) at 1/200 dilution. The section was pre-treated using heat mediated antigen retrieval with sodium citrate buffer (pH 6.0) (high pressure) for 2 minutes. The tissues were blocked in 1% BSA for 20 minutes at room temperature, washed with ddH2O and PBS, and then probed with the primary antibody (HA750953) at 1/200 dilution for 1 hour at room temperature. The detection was performed using an HRP conjugated compact polymer system. DAB was used as the chromogen. Tissues were counterstained with hematoxylin and mounted with DPX.
quantity: 100μl
price: 649.00 USD
to the supplier
Phospho-AKT (T308)
HUABIO
catalog: HA751205
domestic rabbit monoclonal (PSH08-10)
reactivity: human
application: western blot, flow cytometry

Western blot analysis of Phospho-AKT (T308) on different lysates with Rabbit anti-Phospho-AKT (T308) antibody (HA751205) at 1/2,000 dilution. Lane 1: Jurkat cell lysate Lane 2: Jurkat treated with 100nM Calyculin A for 30 minutes cell lysate Lane 3: HeLa cell lysate Lane 4: HeLa treated with 100ng/mL Calyculin A for 30 minutes cell lysate Lane 5: 293T cell lysate Lane 6: 293T treated with 100nM Calyculin A for 15 minutes cell lysate Lysates/proteins at 30 µg/Lane. Predicted band size: 56 kDa Observed band size: 56 kDa Exposure time: 3 minutes; 4-20% SDS-PAGE gel. Proteins were transferred to a PVDF membrane and blocked with 5% NFDM/TBST for 1 hour at room temperature. The primary antibody (HA751205) at 1/2,000 dilution was used in 5% NFDM/TBST at 4℃ overnight. Goat Anti-Rabbit IgG - HRP Secondary Antibody (HA1001) at 1/50,000 dilution was used for 1 hour at room temperature.

Immunocytochemistry analysis of Jurkat cells treated with or without 100nM Calyculin A for 30 minutes labeling Phospho-AKT (T308) with Rabbit anti-Phospho-AKT (T308) antibody (HA751205) at 1/100 dilution. Cells were fixed in 4% paraformaldehyde for 20 minutes at room temperature, permeabilized with 0.1% Triton X-100 in PBS for 5 minutes at room temperature, then blocked with 1% BSA in 10% negative goat serum for 1 hour at room temperature. Cells were then incubated with Rabbit anti-Phospho-AKT (T308) antibody (HA751205) at 1/100 dilution in 1% BSA in PBST overnight at 4 ℃. Goat Anti-Rabbit IgG H&L (iFluor™ 488, HA1121) was used as the secondary antibody at 1/1,000 dilution. PBS instead of the primary antibody was used as the secondary antibody only control. Nuclear DNA was labelled in blue with DAPI.

Flow cytometric analysis of Jurkat cells treated with or without 100nM Calyculin A for 30 minutes labeling Phospho-AKT (T308). Cells were fixed and permeabilized. Then stained with the primary antibody (HA751205, 1μg/mL) (red) compared with Rabbit IgG Isotype Control (green). After incubation of the primary antibody at +4℃ for an hour, the cells were stained with a iFluor™ 488 conjugate-Goat anti-Rabbit IgG Secondary antibody (HA1121) at 1/1,000 dilution for 30 minutes at +4℃. Unlabelled sample was used as a control (cells without incubation with primary antibody; black).
quantity: 100μl
price: 649.00 USD
to the supplier
domestic rabbit monoclonal (SY28-05)
reactivity: human, mouse, rat
application: western blot, immunohistochemistry - paraffin section, immunohistochemistry - frozen section
quantity: 20 uL
price: 99 USD
to the supplier
Anti-AKT1/2/3 Antibody [ST48-09]
HUABIO
catalog: ET1609-51TR
domestic rabbit monoclonal (ST48-09)
reactivity: human, mouse, rat
application: western blot, immunoprecipitation, flow cytometry, immunohistochemistry - paraffin section, immunohistochemistry - frozen section
quantity: 20 uL
price: 99 USD
to the supplier