Sign in
Sign up
home
>
HUABIO
> HUABIO erbB3 antibody
Phospho-HER3/ErbB3 (Y1222)
HUABIO
catalog: ET7110-10
domestic rabbit monoclonal (JE51-89)
reactivity:
human
application:
western blot
,
immunohistochemistry - paraffin section
Western blot analysis of Phospho-HER3/ErbB3 (Y1222) on different lysates with Rabbit anti-Phospho-HER3/ErbB3 (Y1222) antibody (ET7110-10) at 1/1,000 dilution. Lane 1: MCF7 cell lysate Lane 2: MCF7 serum starved for 6 hours then add 10nM Neuregulin-1 for 10 minutes cell lysate Lane 3: MCF7 serum starved for 6 hours then add 10nM Neuregulin-1 for 10 minutes cell lysate, then the membrane treated with λpp for 1 hour Lysates/proteins at 20 µg/Lane. Predicted band size: 148 kDa Observed band size: 180 kDa Exposure time: 2 minutes 37 seconds; ECL: K1802; 4-20% SDS-PAGE gel. Proteins were transferred to a PVDF membrane and blocked with 5% NFDM/TBST for 1 hour at room temperature. The primary antibody (ET7110-10) at 1/1,000 dilution was used in 5% NFDM/TBST at 4℃ overnight. Goat Anti-Rabbit IgG - HRP Secondary Antibody (HA1001) at 1/50,000 dilution was used for 1 hour at room temperature.
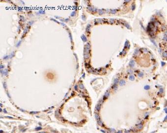
Immunohistochemical analysis of paraffin-embedded human thyroid tissue using anti-Phospho-HER3/ErbB3 (Y1222) antibody. The section was pre-treated using heat mediated antigen retrieval with Tris-EDTA buffer (pH 8.0-8.4) for 20 minutes.The tissues were blocked in 5% BSA for 30 minutes at room temperature, washed with ddH2O and PBS, and then probed with the primary antibody (ET7110-10, 1/100) for 30 minutes at room temperature. The detection was performed using an HRP conjugated compact polymer system. DAB was used as the chromogen. Tissues were counterstained with hematoxylin and mounted with DPX.
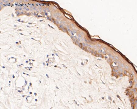
Immunohistochemical analysis of paraffin-embedded human skin tissue using anti-Phospho-HER3/ErbB3 (Y1222) antibody. The section was pre-treated using heat mediated antigen retrieval with Tris-EDTA buffer (pH 8.0-8.4) for 20 minutes.The tissues were blocked in 5% BSA for 30 minutes at room temperature, washed with ddH2O and PBS, and then probed with the primary antibody (ET7110-10, 1/100) for 30 minutes at room temperature. The detection was performed using an HRP conjugated compact polymer system. DAB was used as the chromogen. Tissues were counterstained with hematoxylin and mounted with DPX.
quantity: 100μl
price: 385.00 USD
to the supplier
HER3
HUABIO
catalog: HA720181F
domestic rabbit monoclonal (R5)
reactivity:
human
application:
flow cytometry
Flow cytometric analysis of MCF-7 cells labeling HER3. Cells were washed twice with cold PBS and resuspend. Then stained with the primary antibody (HA720181F, 1ug/ml) (red). Unlabelled sample was used as a control (cells without incubation with primary antibody; black).
Flow cytometric analysis of SK-Br-3 cells labeling HER3. Cells were washed twice with cold PBS and resuspend. Then stained with the primary antibody (HA720181F, 1ug/ml) (red). Unlabelled sample was used as a control (cells without incubation with primary antibody; black).
quantity: 100μl
price: 429.00 USD
to the supplier
HER3
HUABIO
catalog: HA721126
domestic rabbit monoclonal (R5)
reactivity:
human
application:
flow cytometry
Flow cytometric analysis of MCF-7 cells labeling HER3. Cells were washed twice with cold PBS and resuspend. Then stained with the primary antibody (HA721126, 0.1ug/ml) (red) compared with Rabbit IgG Isotype Control (green). After incubation of the primary antibody at +4℃ for an hour, the cells were stained with a iFluor™ 488 conjugate-Goat anti-Rabbit IgG Secondary antibody (HA1121) at 1/1,000 dilution for 30 minutes at +4℃. Unlabelled sample was used as a control (cells without incubation with primary antibody; black).
Flow cytometric analysis of SK-Br-3 cells labeling HER3. Cells were washed twice with cold PBS and resuspend. Then stained with the primary antibody (HA721126, 1ug/ml) (red) compared with Rabbit IgG Isotype Control (green). After incubation of the primary antibody at +4℃ for an hour, the cells were stained with a iFluor™ 488 conjugate-Goat anti-Rabbit IgG Secondary antibody (HA1121) at 1/1,000 dilution for 30 minutes at +4℃. Unlabelled sample was used as a control (cells without incubation with primary antibody; black).
quantity: 100μl
price: 385.00 USD
to the supplier
HER3
HUABIO
catalog: HA721135
domestic rabbit monoclonal (R4)
reactivity:
human
application:
flow cytometry
Flow cytometric analysis of MCF-7 cells labeling HER3. Cells were washed twice with cold PBS and resuspend. Then stained with the primary antibody (HA721135, 0.1ug/ml) (red) compared with Rabbit IgG Isotype Control (green). After incubation of the primary antibody at +4℃ for an hour, the cells were stained with a iFluor™ 488 conjugate-Goat anti-Rabbit IgG Secondary antibody (HA1121) at 1/1,000 dilution for 30 minutes at +4℃. Unlabelled sample was used as a control (cells without incubation with primary antibody; black).
Flow cytometric analysis of SK-Br-3 cells labeling HER3. Cells were washed twice with cold PBS and resuspend. Then stained with the primary antibody (HA721135, 1ug/ml) (red) compared with Rabbit IgG Isotype Control (green). After incubation of the primary antibody at +4℃ for an hour, the cells were stained with a iFluor™ 488 conjugate-Goat anti-Rabbit IgG Secondary antibody (HA1121) at 1/1,000 dilution for 30 minutes at +4℃. Unlabelled sample was used as a control (cells without incubation with primary antibody; black).
quantity: 100μl
price: 385.00 USD
to the supplier
ErbB3/HER3
HUABIO
catalog: HA721194
domestic rabbit monoclonal (PD00-44)
reactivity:
human
application:
immunohistochemistry - paraffin section
Immunohistochemical analysis of paraffin-embedded human small intestine tissue with Rabbit anti-ErbB3/HER3 antibody (HA721194) at 1/2,000 dilution. The section was pre-treated using heat mediated antigen retrieval with Tris-EDTA buffer (pH 9.0) for 20 minutes. The tissues were blocked in 1% BSA for 20 minutes at room temperature, washed with ddH2O and PBS, and then probed with the primary antibody (HA721194) at 1/2,000 dilution for 1 hour at room temperature. The detection was performed using an HRP conjugated compact polymer system. DAB was used as the chromogen. Tissues were counterstained with hematoxylin and mounted with DPX.
Immunohistochemical analysis of paraffin-embedded human colon cancer tissue with Rabbit anti-ErbB3/HER3 antibody (HA721194) at 1/1,000 dilution. The section was pre-treated using heat mediated antigen retrieval with Tris-EDTA buffer (pH 9.0) for 20 minutes. The tissues were blocked in 1% BSA for 20 minutes at room temperature, washed with ddH2O and PBS, and then probed with the primary antibody (HA721194) at 1/1,000 dilution for 1 hour at room temperature. The detection was performed using an HRP conjugated compact polymer system. DAB was used as the chromogen. Tissues were counterstained with hematoxylin and mounted with DPX.
Immunofluorescence analysis of paraffin-embedded human small intestine tissue labeling ErbB3/HER3 with Rabbit anti-ErbB3/HER3 antibody (HA721194) at 1/200 dilution. The section was pre-treated using heat mediated antigen retrieval with Tris-EDTA buffer (pH 9.0) for 20 minutes. The tissues were blocked in 10% negative goat serum for 1 hour at room temperature, washed with PBS, and then probed with the primary antibody (HA721194, green) at 1/200 dilution overnight at 4 ℃, washed with PBS. Goat Anti-Rabbit IgG H&L (iFluor™ 488, HA1121) was used as the secondary antibody at 1/1,000 dilution. Nuclei were counterstained with DAPI (blue).
quantity: 100μl
price: 385.00 USD
to the supplier
Phospho-ErbB3/HER3 (Y1289)
HUABIO
catalog: HA722178
domestic rabbit monoclonal (JE51-25)
reactivity:
human
application:
western blot
Western blot analysis of Phospho-ErbB3/HER3 (Y1289) on different lysates with Rabbit anti-Phospho-ErbB3/HER3 (Y1289) antibody (HA722178) at 1/1,000 dilution. Lane 1: MCF7 cell lysate Lane 2: MCF7 serum starved for 6 hours then add 10nM Neuregulin-1 for 10 minutes cell lysate Lane 3: MCF7 serum starved for 6 hours then add 10nM Neuregulin-1 for 10 minutes cell lysate, then the membrane treated with λpp for 1 hour Lysates/proteins at 20 µg/Lane. Predicted band size: 148 kDa Observed band size: 180 kDa Exposure time: 3 minutes; ECL: K1801; 4-20% SDS-PAGE gel. Proteins were transferred to a PVDF membrane and blocked with 5% NFDM/TBST for 1 hour at room temperature. The primary antibody (HA722178) at 1/1,000 dilution was used in 5% NFDM/TBST at 4℃ overnight. Goat Anti-Rabbit IgG - HRP Secondary Antibody (HA1001) at 1/50,000 dilution was used for 1 hour at room temperature.
Immunocytochemistry analysis of MCF7 cells serum starved for 6 hours then add 10nM Neuregulin-1 for 10 minutes labeling Phospho-ErbB3/HER3 (Y1289) with Rabbit anti-Phospho-ErbB3/HER3 (Y1289) antibody (HA722178) at 1/100 dilution. Cells were fixed in 4% paraformaldehyde for 20 minutes at room temperature, permeabilized with 0.1% Triton X-100 in PBS for 5 minutes at room temperature, then blocked with 1% BSA in 10% negative goat serum for 1 hour at room temperature. Cells were then incubated with Rabbit anti-Phospho-ErbB3/HER3 (Y1289) antibody (HA722178) at 1/100 dilution in 1% BSA in PBST overnight at 4 ℃. Goat Anti-Rabbit IgG H&L (iFluor™ 488, HA1121) was used as the secondary antibody at 1/1,000 dilution. PBS instead of the primary antibody was used as the secondary antibody only control. Nuclear DNA was labelled in blue with DAPI. Beta tubulin (M1305-2, red) was stained at 1/100 dilution overnight at +4℃. Goat Anti-Mouse IgG H&L (iFluor™ 594, HA1126) was used as the secondary antibody at 1/1,000 dilution.
quantity: 100μl
price: 385.00 USD
to the supplier