Sign in
Sign up
home
>
HUABIO
> HUABIO Slc2a1 antibody
Glucose Transporter GLUT1
HUABIO
catalog: ER1510-11
domestic rabbit polyclonal
reactivity:
human
,
mouse
application:
western blot
,
flow cytometry
,
immunohistochemistry - paraffin section
Western blot analysis of Glut1 on human placenta tissue lysates using anti-Glut1 antibody at 1/1,000 dilution.
ICC staining Glut1 in Hela cells (green). The nuclear counter stain is DAPI (blue). Cells were fixed in paraformaldehyde, permeabilised with 0.25% Triton X100/PBS.
Immunohistochemical analysis of paraffin-embedded human breast tissue using anti-Glut1 antibody. Counter stained with hematoxylin.
quantity: 100μl
price: 330 USD
to the supplier
Glucose Transporter GLUT1
HUABIO
catalog: ET1601-10-50UL
domestic rabbit monoclonal (SA0377)
reactivity:
human
,
mouse
,
rat
application:
western blot
,
flow cytometry
,
immunohistochemistry - paraffin section
Western blot analysis of Glucose Transporter GLUT1 on different lysates with Rabbit anti-Glucose Transporter GLUT1 antibody (ET1601-10) at 1/50,000 dilution and competitor's antibody at 1/50,000 dilution. Lane 1: HeLa cell lysate (no heat) (20 µg/Lane) Lane 2: HT-29 cell lysate (no heat) (20 µg/Lane) Lane 3: HepG2 cell lysate (no heat) (20 µg/Lane) Lane 4: NIH/3T3 cell lysate (no heat) (20 µg/Lane) Lane 5: L-929 cell lysate (no heat) (20 µg/Lane) Lane 6: Mouse brain tissue lysate (no heat) (20 µg/Lane) Lane 7: Rat brain tissue lysate (no heat) (20 µg/Lane) Notice: no heat means the lysate is not boiled. Predicted band size: 54 kDa Observed band size: 45-60 kDa Exposure time: Lane 1-7 (left): 20 seconds; Lane 1-7 (right): 1 minute 30 seconds; ECL: K1801; 4-20% SDS-PAGE gel. Proteins were transferred to a PVDF membrane and blocked with 5% NFDM/TBST for 1 hour at room temperature. The primary antibody (ET1601-10) at 1/50,000 dilution and competitor's antibody at 1/50,000 dilution were used in 5% NFDM/TBST at 4℃ overnight. Goat Anti-Rabbit IgG - HRP Secondary Antibody (HA1001) at 1/50,000 dilution was used for 1 hour at room temperature.
Western blot analysis of Glucose Transporter GLUT1 on different lysates with Rabbit anti-Glucose Transporter GLUT1 antibody (ET1601-10) at 1/50,000 dilution. Lane 1: HeLa cell lysate (RIPA lysis) (10 µg/Lane) Lane 2: HeLa cell lysate (hot lysis) (10 µg/Lane) Lane 3: PC-12 cell lysate (RIPA lysis) (10 µg/Lane) Lane 4: PC-12 cell lysate (hot lysis) (10 µg/Lane) Predicted band size: 54 kDa Observed band size: 54 kDa Exposure time: 30 seconds; ECL: K1801; 4-20% SDS-PAGE gel. Proteins were transferred to a PVDF membrane and blocked with 5% NFDM/TBST for 1 hour at room temperature. The primary antibody (ET1601-10) at 1/50,000 dilution was used in 5% NFDM/TBST at room temperature for 2 hours. Goat Anti-Rabbit IgG - HRP Secondary Antibody (HA1001) at 1/100,000 dilution was used for 1 hour at room temperature.
Western blot analysis of GLUT1 on different lysates with Rabbit anti-GLUT1 antibody (ET1601-10) at 1/50,000 dilution. Lane 1: Hela-si NT cell lysate (no heat) Lane 2: Hela-si GLUT1#1 cell lysate (no heat) Lane 3: Hela-si GLUT1#2 cell lysate (no heat) Notice: no heat means the lysate is not boiled. Lysates/proteins at 10 µg/Lane. Predicted band size: 54 kDa Observed band size: 45-60 kDa Exposure time: 1minute 50 seconds; ECL: K1801; 4-20% SDS-PAGE gel. ET1601-10 was shown to specifically react with GLUT1 in Hela-si NT cells. Weakened band was observed when Hela-si GLUT1 sample was tested. Hela-si NT and Hela-si GLUT1 samples were subjected to SDS-PAGE. Proteins were transferred to a PVDF membrane and blocked with 5% NFDM in TBST for 1 hour at room temperature. The primary antibody (ET1601-10, 1/50,000) and Loading control antibody (Rabbit anti-GAPDH, ET1601-4, 1/10,000) were used in 5% BSA at 4℃ overnight. Goat Anti-rabbit IgG-HRP Secondary Antibody (HA1001) at 1:50,000 dilution was used for 1 hour at room temperature.
quantity: 50μl
price: 205.00 USD
to the supplier
Glucose Transporter GLUT1
HUABIO
catalog: HA720154F
domestic rabbit monoclonal (SA0377)
reactivity:
human
,
mouse
,
rat
Immunocytochemistry analysis of MCF7 cells labeling Glucose Transporter GLUT1 with Rabbit anti-Glucose Transporter GLUT1 antibody (HA720154F) at 1/100 dilution. Cells were fixed in 4% paraformaldehyde for 10 minutes, permeabilized with 0.1% Triton X-100 in PBS for 15 minutes, and then blocked with 2% normal goat serum for 1 hour at 37 ℃. Cells were then incubated with Rabbit anti-Glucose Transporter GLUT1 antibody (HA720154F) at 1/100 dilution in 2% normal goat serum overnight at 4 ℃. Nuclear DNA was labelled in blue with DAPI. Beta tubulin (M1305-2, red) was stained at 1/200 dilution overnight at +4℃. Goat Anti-Mouse IgG H&L (iFluor™ 594, HA1126) were used as the secondary antibody at 1/800 dilution.
Immunofluorescence analysis of paraffin-embedded human placenta tissue labeling Glucose Transporter GLUT1 (HA720154F). The section was pre-treated using heat mediated antigen retrieval with Tris-EDTA buffer (pH 9.0) for 20 minutes. The tissues were blocked in 10% negative goat serum for 1 hour at room temperature, washed with PBS. And then probed with the primary antibody Glucose Transporter GLUT1 (HA720154F, iFluor™ 488) at 1/50 dilution overnight at 4 ℃, washed with PBS. DAPI was used as nuclear counterstain.
Immunocytochemistry analysis of MDA-MB-468 cells labeling Glucose Transporter GLUT1 with Rabbit anti-Glucose Transporter GLUT1 antibody (HA720154F) at 1/100 dilution. Cells were fixed in 4% paraformaldehyde for 10 minutes, permeabilized with 0.1% Triton X-100 in PBS for 15 minutes, and then blocked with 2% normal goat serum for 1 hour at 37 ℃. Cells were then incubated with Rabbit anti-Glucose Transporter GLUT1 antibody (HA720154F) at 1/100 dilution in 2% normal goat serum overnight at 4 ℃. Nuclear DNA was labelled in blue with DAPI. Beta tubulin (M1305-2, red) was stained at 1/200 dilution overnight at +4℃. Goat Anti-Mouse IgG H&L (iFluor™ 594, HA1126) were used as the secondary antibody at 1/800 dilution.
quantity: 100μl
price: 429.00 USD
to the supplier
Glucose Transporter GLUT1
HUABIO
catalog: HA720170F
domestic rabbit monoclonal (SA0377)
reactivity:
human
,
mouse
Immunofluorescence analysis of paraffin-embedded human placenta tissue labeling Glucose Transporter GLUT1 (HA720170F). The section was pre-treated using heat mediated antigen retrieval with Tris-EDTA buffer (pH 9.0) for 20 minutes. The tissues were blocked in 10% negative goat serum for 1 hour at room temperature, washed with PBS. And then probed with the primary antibody Glucose Transporter GLUT1 (HA720170F, iFluor™ 647) at 1/200 dilution overnight at 4 ℃, washed with PBS. DAPI was used as nuclear counterstain.
quantity: 100μl
price: 429.00 USD
to the supplier
Glucose Transporter GLUT1
HUABIO
catalog: HA750002
domestic rabbit monoclonal (SA0377)
reactivity:
human
,
mouse
,
rat
application:
western blot
,
flow cytometry
,
immunohistochemistry - paraffin section
Western blot analysis of Glucose Transporter GLUT1 on different lysates with Rabbit anti-Glucose Transporter GLUT1 antibody (HA750002) at 1/50,000 dilution and competitor's antibody at 1/50,000 dilution. Lane 1: HeLa cell lysate (no heat) (20 µg/Lane) Lane 2: HT-29 cell lysate (no heat) (20 µg/Lane) Lane 3: HepG2 cell lysate (no heat) (20 µg/Lane) Lane 4: NIH/3T3 cell lysate (no heat) (20 µg/Lane) Lane 5: L-929 cell lysate (no heat) (20 µg/Lane) Lane 6: Mouse brain tissue lysate (no heat) (20 µg/Lane) Lane 7: Rat brain tissue lysate (no heat) (20 µg/Lane) Notice: no heat means the lysate is not boiled. Predicted band size: 54 kDa Observed band size: 45-60 kDa Exposure time: Lane 1-7 (left): 20 seconds; Lane 1-7 (right): 1 minute 30 seconds; ECL: K1801; 4-20% SDS-PAGE gel. Proteins were transferred to a PVDF membrane and blocked with 5% NFDM/TBST for 1 hour at room temperature. The primary antibody (HA750002) at 1/50,000 dilution and competitor's antibody at 1/50,000 dilution were used in 5% NFDM/TBST at 4℃ overnight. Goat Anti-Rabbit IgG - HRP Secondary Antibody (HA1001) at 1/50,000 dilution was used for 1 hour at room temperature.
Western blot analysis of Glucose Transporter GLUT1 on different lysates with Rabbit anti-Glucose Transporter GLUT1 antibody (HA750002) at 1/50,000 dilution. Lane 1: HeLa cell lysate (RIPA lysis) (10 µg/Lane) Lane 2: HeLa cell lysate (hot lysis) (10 µg/Lane) Lane 3: PC-12 cell lysate (RIPA lysis) (10 µg/Lane) Lane 4: PC-12 cell lysate (hot lysis) (10 µg/Lane) Predicted band size: 54 kDa Observed band size: 54 kDa Exposure time: 30 seconds; ECL: K1801; 4-20% SDS-PAGE gel. Proteins were transferred to a PVDF membrane and blocked with 5% NFDM/TBST for 1 hour at room temperature. The primary antibody (HA750002) at 1/50,000 dilution was used in 5% NFDM/TBST at room temperature for 2 hours. Goat Anti-Rabbit IgG - HRP Secondary Antibody (HA1001) at 1/100,000 dilution was used for 1 hour at room temperature.
Western blot analysis of GLUT1 on different lysates with Rabbit anti-GLUT1 antibody (HA750002) at 1/50,000 dilution. Lane 1: Hela-si NT cell lysate (no heat) Lane 2: Hela-si GLUT1#1 cell lysate (no heat) Lane 3: Hela-si GLUT1#2 cell lysate (no heat) Notice: no heat means the lysate is not boiled. Lysates/proteins at 10 µg/Lane. Predicted band size: 54 kDa Observed band size: 45-60 kDa Exposure time: 1minute 50 seconds; ECL: K1801; 4-20% SDS-PAGE gel. ET1601-10 was shown to specifically react with GLUT1 in Hela-si NT cells. Weakened band was observed when Hela-si GLUT1 sample was tested. Hela-si NT and Hela-si GLUT1 samples were subjected to SDS-PAGE. Proteins were transferred to a PVDF membrane and blocked with 5% NFDM in TBST for 1 hour at room temperature. The primary antibody (ET1601-10, 1/50,000) and Loading control antibody (Rabbit anti-GAPDH, ET1601-4, 1/10,000) were used in 5% BSA at 4℃ overnight. Goat Anti-rabbit IgG-HRP Secondary Antibody (HA1001) at 1:50,000 dilution was used for 1 hour at room temperature.
quantity: 100μl
price: 649.00 USD
to the supplier
Glucose Transporter GLUT1
HUABIO
catalog: HA601521
domestic rabbit polyclonal (SA0377)
reactivity:
human
,
mouse
,
rat
application:
western blot
,
immunohistochemistry - paraffin section
,
immunohistochemistry - frozen section
Application: IHC-Fr Species: Mouse Site: brain Sample: Frozen section Antibody concentration: 1/500 Antigen retrieval: Not required
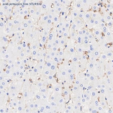
Immunohistochemical analysis of paraffin-embedded human liver tissue with Rat anti-Glucose Transporter GLUT1 antibody (HA601521) at 1/5,000 dilution. The section was pre-treated using heat mediated antigen retrieval with Tris-EDTA buffer (pH 9.0) for 20 minutes. The tissues were blocked in 1% BSA for 20 minutes at room temperature, washed with ddH2O and PBS, and then probed with the primary antibody (HA601521) at 1/5,000 dilution for 1 hour at room temperature. The detection was performed using an HRP conjugated compact polymer system. DAB was used as the chromogen. Tissues were counterstained with hematoxylin and mounted with DPX.
Immunohistochemical analysis of paraffin-embedded mouse liver tissue with Rat anti-Glucose Transporter GLUT1 antibody (HA601521) at 1/2,000 dilution. The section was pre-treated using heat mediated antigen retrieval with Tris-EDTA buffer (pH 9.0) for 20 minutes. The tissues were blocked in 1% BSA for 20 minutes at room temperature, washed with ddH2O and PBS, and then probed with the primary antibody (HA601521) at 1/2,000 dilution for 1 hour at room temperature. The detection was performed using an HRP conjugated compact polymer system. DAB was used as the chromogen. Tissues were counterstained with hematoxylin and mounted with DPX.
quantity: 100μl
price: 360.00 USD
to the supplier
Glucose Transporter GLUT1
HUABIO
catalog: HA610348
domestic rabbit polyclonal (SA0377)
reactivity:
human
,
mouse
,
rat
application:
western blot
,
immunohistochemistry - paraffin section
,
immunohistochemistry - frozen section
Application: IHC-Fr Species: Mouse Site: brain Sample: Frozen section Antibody concentration: 1/500 Antigen retrieval: Not required
Immunohistochemical analysis of paraffin-embedded human liver tissue with Rat anti-Glucose Transporter GLUT1 antibody (HA610348) at 1/5,000 dilution. The section was pre-treated using heat mediated antigen retrieval with Tris-EDTA buffer (pH 9.0) for 20 minutes. The tissues were blocked in 1% BSA for 20 minutes at room temperature, washed with ddH2O and PBS, and then probed with the primary antibody (HA610348) at 1/5,000 dilution for 1 hour at room temperature. The detection was performed using an HRP conjugated compact polymer system. DAB was used as the chromogen. Tissues were counterstained with hematoxylin and mounted with DPX.
Immunohistochemical analysis of paraffin-embedded mouse liver tissue with Rat anti-Glucose Transporter GLUT1 antibody (HA610348) at 1/2,000 dilution. The section was pre-treated using heat mediated antigen retrieval with Tris-EDTA buffer (pH 9.0) for 20 minutes. The tissues were blocked in 1% BSA for 20 minutes at room temperature, washed with ddH2O and PBS, and then probed with the primary antibody (HA610348) at 1/2,000 dilution for 1 hour at room temperature. The detection was performed using an HRP conjugated compact polymer system. DAB was used as the chromogen. Tissues were counterstained with hematoxylin and mounted with DPX.
quantity: 100μl
price: 385.00 USD
to the supplier