Sign in
Sign up
home
>
HUABIO
> HUABIO CD105 antibody
CD105
HUABIO
catalog: HA500266
domestic rabbit polyclonal
reactivity:
human
application:
western blot
,
immunohistochemistry - paraffin section
Western blot analysis of CD105 on Hela cell lysates. Proteins were transferred to a PVDF membrane and blocked with 5% NFDM/TBST for 1 hour at room temperature. The primary antibody (HA500266, 1/1,000) was used in 5% NFDM/TBST at room temperature for 2 hours. Goat Anti-Rabbit IgG - HRP Secondary Antibody (HA1001) at 1:200,000 dilution was used for 1 hour at room temperature. Predicted band size: 71 kDa Observed band size: 85 kDa (Glycosylation)
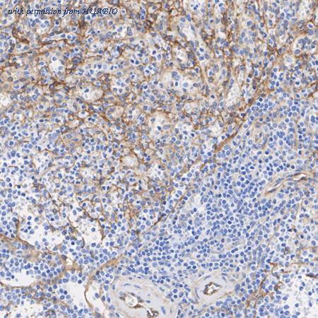
Immunohistochemical analysis of paraffin-embedded human spleen tissue using anti-CD105 antibody. The section was pre-treated using heat mediated antigen retrieval with Tris-EDTA buffer (pH 9.0) for 20 minutes.The tissues were blocked in 5% BSA for 30 minutes at room temperature, washed with ddH2O and PBS, and then probed with the primary antibody (HA500266, 1/400) for 30 minutes at room temperature. The detection was performed using an HRP conjugated compact polymer system. DAB was used as the chromogen. Tissues were counterstained with hematoxylin and mounted with DPX.
Immunohistochemical analysis of paraffin-embedded human placenta tissue using anti-CD105 antibody. The section was pre-treated using heat mediated antigen retrieval with Tris-EDTA buffer (pH 9.0) for 20 minutes.The tissues were blocked in 5% BSA for 30 minutes at room temperature, washed with ddH2O and PBS, and then probed with the primary antibody (HA500266, 1/400) for 30 minutes at room temperature. The detection was performed using an HRP conjugated compact polymer system. DAB was used as the chromogen. Tissues were counterstained with hematoxylin and mounted with DPX.
quantity: 100μl
price: 330 USD
to the supplier
CD105
HUABIO
catalog: HA600077
mouse monoclonal (A5E8)
reactivity:
human
application:
western blot
Western blot analysis of CD105 on different lysates. Proteins were transferred to a PVDF membrane and blocked with 5% BSA in PBS for 1 hour at room temperature. The primary antibody (HA600077, 1/500) was used in 5% BSA at room temperature for 2 hours. Goat Anti-Mouse IgG - HRP Secondary Antibody (HA1006) at 1:20,000 dilution was used for 1 hour at room temperature. Positive control: Lane 1: Hela cell lysate Lane 2: HepG2 cell lysate
quantity: 100μl
price: 360.00 USD
to the supplier
CD105
HUABIO
catalog: HA720072
domestic rabbit monoclonal (JE60-59)
reactivity:
human
application:
western blot
,
immunohistochemistry - paraffin section
Western blot analysis of CD105 on different lysates with Rabbit anti-CD105 antibody (HA720072) at 1/1,000 dilution. Lane 1: HeLa cell lysate Lane 2: HeLa cell lysate treated with deglycosylation Lane 3: HUVEC cell lysate Lysates/proteins at 20 µg/Lane. Predicted band size: 71 kDa Observed band size: 71-100 kDa Exposure time: 1 minute; ECL: K1802; 4-20% SDS-PAGE gel. Proteins were transferred to a PVDF membrane and blocked with 5% NFDM/TBST for 1 hour at room temperature. The primary antibody (HA720072) at 1/1,000 dilution was used in 5% NFDM/TBST at 4℃ overnight. Goat Anti-Rabbit IgG - HRP Secondary Antibody (HA1001) at 1/50,000 dilution was used for 1 hour at room temperature.
Immunohistochemical analysis of paraffin-embedded human placenta tissue with Rabbit anti-CD105 antibody (HA720072) at 1/500 dilution. The section was pre-treated using heat mediated antigen retrieval with Tris-EDTA buffer (pH 9.0) for 20 minutes. The tissues were blocked in 1% BSA for 20 minutes at room temperature, washed with ddH2O and PBS, and then probed with the primary antibody (HA720072) at 1/500 dilution for 1 hour at room temperature. The detection was performed using an HRP conjugated compact polymer system. DAB was used as the chromogen. Tissues were counterstained with hematoxylin and mounted with DPX.
Immunohistochemical analysis of paraffin-embedded human spleen tissue with Rabbit anti-CD105 antibody (HA720072) at 1/500 dilution. The section was pre-treated using heat mediated antigen retrieval with Tris-EDTA buffer (pH 9.0) for 20 minutes. The tissues were blocked in 1% BSA for 20 minutes at room temperature, washed with ddH2O and PBS, and then probed with the primary antibody (HA720072) at 1/500 dilution for 1 hour at room temperature. The detection was performed using an HRP conjugated compact polymer system. DAB was used as the chromogen. Tissues were counterstained with hematoxylin and mounted with DPX.
quantity: 100μl
price: 385.00 USD
to the supplier
Human Endoglin / CD105
HUABIO
catalog: HA723654
domestic rabbit monoclonal (PSH14-58)
reactivity:
human
application:
ELISA
Sandwich ELISA analysis of Human Endoglin / CD105 matched pair antibodies Capture: HA723654, Human Endoglin / CD105 Rabbit mAb [PSH14-58] Detector: HA723655, Human Endoglin / CD105 Rabbit mAb [PSH14-59] Elisa assay was performed by coating wells of a 96-well plate with 100 µl per well of capture antibody (HA723654) diluted in carbonate/bicarbonate buffer, at a concentration of 2 µg/mL overnight at 4℃. Wells of the plate were washed, blocked with 150 µl 0.05% tween-20 1% BSA blocking buffer, and incubated with serial diluted Recombinant Human Endoglin / CD105 protein (HA211006) starting from 5,000 pg/ml to 0 pg/ml and detect antibody (HA723655, Biotin, 0.2 µg/ml) for 1 hour at 30℃ with shaking. Then the plate was washed and incubated with 100 µl per well of SA-HRP for 0.5 hour at 30℃ with shaking. Detection was performed using an Ultra TMB Substrate for 10 minutes at room temperature in the dark. The reaction was stopped with sulfuric acid and absorbances were read on a spectrophotometer at 450 nm.
Interpolated concentrations of native Endoglin / CD105 in Human serum and Jurkat supernatant. Capture: HA723654, Human Endoglin / CD105 Rabbit mAb [PSH14-58] Detector: HA723655, Human Endoglin / CD105 Rabbit mAb [PSH14-59] Interpolated concentration of native Endoglin / CD105 was measured in duplicate at different sample concentrations. The interpolated dilution factor corrected values were plotted (mean +/- SD, n=2). The mean Endoglin / CD105 concentration was determined to be 3975 pg/ml in Human serum,undetectable in Jurkat cell supernatant.
Interpolated concentrations of native Endoglin / CD105 in HUVEC, Jurkat and Raji Cell extract samples based on a 1000 µg/ml extract load. Capture: HA723654, Human Endoglin / CD105 Rabbit mAb [PSH14-58] Detector: HA723655, Human Endoglin / CD105 Rabbit mAb [PSH14-59] Interpolated concentration of native Endoglin / CD105 was measured in duplicate at different sample concentrations. The interpolated dilution factor corrected values were plotted (mean +/- SD, n=2). The mean Endoglin / CD105 concentration was determined to be 3207 pg/ml in HUVEC Cell extract,undetectable in Jurkat and Raji Cell extract.
quantity: 100μl
price: 649.00 USD
to the supplier
Human Endoglin / CD105
HUABIO
catalog: HA723655
domestic rabbit monoclonal (PSH14-59)
reactivity:
human
application:
ELISA
Sandwich ELISA analysis of Human Endoglin / CD105 matched pair antibodies Capture: HA723654, Human Endoglin / CD105 Rabbit mAb [PSH14-58] Detector: HA723655, Human Endoglin / CD105 Rabbit mAb [PSH14-59] Elisa assay was performed by coating wells of a 96-well plate with 100 µl per well of capture antibody (HA723654) diluted in carbonate/bicarbonate buffer, at a concentration of 2 µg/mL overnight at 4℃. Wells of the plate were washed, blocked with 150 µl 0.05% tween-20 1% BSA blocking buffer, and incubated with serial diluted Recombinant Human Endoglin / CD105 protein (HA211006) starting from 5,000 pg/ml to 0 pg/ml and detect antibody (HA723655, Biotin, 0.2 µg/ml) for 1 hour at 30℃ with shaking. Then the plate was washed and incubated with 100 µl per well of SA-HRP for 0.5 hour at 30℃ with shaking. Detection was performed using an Ultra TMB Substrate for 10 minutes at room temperature in the dark. The reaction was stopped with sulfuric acid and absorbances were read on a spectrophotometer at 450 nm.
Sandwich ELISA analysis of Human Endoglin / CD105 matched pair antibodies Capture: HA723657, Human Endoglin / CD105 Rabbit mAb [PSH14-60] Detector: HA723655, Human Endoglin / CD105 Rabbit mAb [PSH14-59] Elisa assay was performed by coating wells of a 96-well plate with 100 µl per well of capture antibody (HA723657) diluted in carbonate/bicarbonate buffer, at a concentration of 2 µg/mL overnight at 4℃. Wells of the plate were washed, blocked with 150 µl 0.05% tween-20 1% BSA blocking buffer, and incubated with serial diluted Recombinant Human Endoglin / CD105 protein (HA211006) starting from 5,000 pg/ml to 0 pg/ml and detect antibody (HA723655, Biotin, 0.2 µg/ml) for 1 hour at 30℃ with shaking. Then the plate was washed and incubated with 100 µl per well of SA-HRP for 0.5 hour at 30℃ with shaking. Detection was performed using an Ultra TMB Substrate for 10 minutes at room temperature in the dark. The reaction was stopped with sulfuric acid and absorbances were read on a spectrophotometer at 450 nm.
Interpolated concentrations of native Endoglin / CD105 in Human serum and Jurkat supernatant. Capture: HA723654, Human Endoglin / CD105 Rabbit mAb [PSH14-58] Detector: HA723655, Human Endoglin / CD105 Rabbit mAb [PSH14-59] Interpolated concentration of native Endoglin / CD105 was measured in duplicate at different sample concentrations. The interpolated dilution factor corrected values were plotted (mean +/- SD, n=2). The mean Endoglin / CD105 concentration was determined to be 3975 pg/ml in Human serum,undetectable in Jurkat cell supernatant.
quantity: 100μl
price: 649.00 USD
to the supplier
Human Endoglin / CD105
HUABIO
catalog: HA723656B
domestic rabbit monoclonal (PSH14-59)
reactivity:
human
conjugate: biotin
application:
ELISA
Sandwich ELISA analysis of Human Endoglin / CD105 matched pair antibodies Capture: HA723654, Human Endoglin / CD105 Rabbit mAb [PSH14-58] Detector: HA723655, Human Endoglin / CD105 Rabbit mAb [PSH14-59] Elisa assay was performed by coating wells of a 96-well plate with 100 µl per well of capture antibody (HA723654) diluted in carbonate/bicarbonate buffer, at a concentration of 2 µg/mL overnight at 4℃. Wells of the plate were washed, blocked with 150 µl 0.05% tween-20 1% BSA blocking buffer, and incubated with serial diluted Recombinant Human Endoglin / CD105 protein (HA211006) starting from 5,000 pg/ml to 0 pg/ml and detect antibody (HA723655, Biotin, 0.2 µg/ml) for 1 hour at 30℃ with shaking. Then the plate was washed and incubated with 100 µl per well of SA-HRP for 0.5 hour at 30℃ with shaking. Detection was performed using an Ultra TMB Substrate for 10 minutes at room temperature in the dark. The reaction was stopped with sulfuric acid and absorbances were read on a spectrophotometer at 450 nm.
Sandwich ELISA analysis of Human Endoglin / CD105 matched pair antibodies Capture: HA723657, Human Endoglin / CD105 Rabbit mAb [PSH14-60] Detector: HA723655, Human Endoglin / CD105 Rabbit mAb [PSH14-59] Elisa assay was performed by coating wells of a 96-well plate with 100 µl per well of capture antibody (HA723657) diluted in carbonate/bicarbonate buffer, at a concentration of 2 µg/mL overnight at 4℃. Wells of the plate were washed, blocked with 150 µl 0.05% tween-20 1% BSA blocking buffer, and incubated with serial diluted Recombinant Human Endoglin / CD105 protein (HA211006) starting from 5,000 pg/ml to 0 pg/ml and detect antibody (HA723655, Biotin, 0.2 µg/ml) for 1 hour at 30℃ with shaking. Then the plate was washed and incubated with 100 µl per well of SA-HRP for 0.5 hour at 30℃ with shaking. Detection was performed using an Ultra TMB Substrate for 10 minutes at room temperature in the dark. The reaction was stopped with sulfuric acid and absorbances were read on a spectrophotometer at 450 nm.
Interpolated concentrations of native Endoglin / CD105 in Human serum and Jurkat supernatant. Capture: HA723654, Human Endoglin / CD105 Rabbit mAb [PSH14-58] Detector: HA723655, Human Endoglin / CD105 Rabbit mAb [PSH14-59] Interpolated concentration of native Endoglin / CD105 was measured in duplicate at different sample concentrations. The interpolated dilution factor corrected values were plotted (mean +/- SD, n=2). The mean Endoglin / CD105 concentration was determined to be 3975 pg/ml in Human serum,undetectable in Jurkat cell supernatant.
quantity: 100μl
price: 409.00 USD
to the supplier
Human Endoglin / CD105
HUABIO
catalog: HA723657
domestic rabbit monoclonal (PSH14-60)
reactivity:
human
application:
ELISA
Sandwich ELISA analysis of Human Endoglin / CD105 matched pair antibodies Capture: HA723657, Human Endoglin / CD105 Rabbit mAb [PSH14-60] Detector: HA723655, Human Endoglin / CD105 Rabbit mAb [PSH14-59] Elisa assay was performed by coating wells of a 96-well plate with 100 µl per well of capture antibody (HA723657) diluted in carbonate/bicarbonate buffer, at a concentration of 2 µg/mL overnight at 4℃. Wells of the plate were washed, blocked with 150 µl 0.05% tween-20 1% BSA blocking buffer, and incubated with serial diluted Recombinant Human Endoglin / CD105 protein (HA211006) starting from 5,000 pg/ml to 0 pg/ml and detect antibody (HA723655, Biotin, 0.2 µg/ml) for 1 hour at 30℃ with shaking. Then the plate was washed and incubated with 100 µl per well of SA-HRP for 0.5 hour at 30℃ with shaking. Detection was performed using an Ultra TMB Substrate for 10 minutes at room temperature in the dark. The reaction was stopped with sulfuric acid and absorbances were read on a spectrophotometer at 450 nm.
Interpolated concentrations of native Endoglin / CD105 in Human serum and Jurkat cell culture supernatant. Capture: HA723657, Human Endoglin / CD105 Rabbit mAb [PSH14-60] Detector: HA723655, Human Endoglin / CD105 Rabbit mAb [PSH14-59] Interpolated concentration of native Endoglin / CD105 was measured in duplicate at different sample concentrations. The interpolated dilution factor corrected values were plotted (mean +/- SD, n=2). The mean Endoglin / CD105 concentration was determined to be 3082pg/ml in Human serum,undetectable in Jurkat cell culture supernatant.
Interpolated concentrations of native Endoglin / CD105 in HUVEC, Jurkat and Raji Cell extract samples based on a 1000 µg/ml extract load. Capture: HA723657, Human Endoglin / CD105 Rabbit mAb [PSH14-60] Detector: HA723655, Human Endoglin / CD105 Rabbit mAb [PSH14-59] Interpolated concentration of native Endoglin / CD105 was measured in duplicate at different sample concentrations. The interpolated dilution factor corrected values were plotted (mean +/- SD, n=2). The mean Endoglin / CD105 concentration was determined to be 3462 pg/ml in HUVEC Cell extract,undetectable in Jurkat and Raji Cell extract.
quantity: 100μl
price: 649.00 USD
to the supplier
CD105
HUABIO
catalog: HA751587
domestic rabbit monoclonal (PSH15-96)
reactivity:
human
application:
flow cytometry
Flow cytometric analysis of LNCaP (left, negative) and U-937 (right, positive) cells labeling CD105. Cells were washed twice with cold PBS and resuspend. Then stained with the primary antibody (HA751587, 1/1,000) (red) compared with Rabbit IgG Isotype Control (green). After incubation of the primary antibody at +4℃ for an hour, the cells were stained with a iFluor™ 488 conjugate-Goat anti-Rabbit IgG Secondary antibody (HA1121) at 1/1,000 dilution for 30 minutes at +4℃. Unlabelled sample was used as a control (cells without incubation with primary antibody; black).
quantity: 100μl
price: 385.00 USD
to the supplier
CD105
HUABIO
catalog: HA751588
domestic rabbit monoclonal (PSH15-97)
reactivity:
human
application:
flow cytometry
Flow cytometric analysis of LNCaP (left, negative) and U-937 (right, positive) cells labeling CD105. Cells were washed twice with cold PBS and resuspend. Then stained with the primary antibody (HA751588, 1/1,000) (red) compared with Rabbit IgG Isotype Control (green). After incubation of the primary antibody at +4℃ for an hour, the cells were stained with a iFluor™ 488 conjugate-Goat anti-Rabbit IgG Secondary antibody (HA1121) at 1/1,000 dilution for 30 minutes at +4℃. Unlabelled sample was used as a control (cells without incubation with primary antibody; black).
quantity: 100μl
price: 385.00 USD
to the supplier