mouse monoclonal (10E2)
reactivity: human, mouse, rat
application: western blot, immunohistochemistry - paraffin section
reactivity: human, mouse, rat
application: western blot, immunohistochemistry - paraffin section

Western blot analysis of ROBO1 on different lysates with Mouse anti-ROBO1 antibody (EM1901-72) at 1/500 dilution. Lane 1: 293T cell lysate Lane 2: Hela cell lysate Lane 3: PC-3 cell lysate Lysates/proteins at 10 µg/Lane. Predicted band size: 181 kDa Observed band size: 181 kDa Exposure time: 30 seconds; 6% SDS-PAGE gel. Proteins were transferred to a PVDF membrane and blocked with 5% NFDM/TBST for 1 hour at room temperature. The primary antibody (EM1901-72) at 1/500 dilution was used in 5% NFDM/TBST at room temperature for 2 hours. Goat Anti-Mouse IgG - HRP Secondary Antibody (HA1006) at 1:100,000 dilution was used for 1 hour at room temperature.

Immunohistochemical analysis of paraffin-embedded human breast tissue with Mouse anti-ROBO1 antibody (EM1901-72) at 1/600 dilution. The section was pre-treated using heat mediated antigen retrieval with Tris-EDTA buffer (pH 9.0) for 20 minutes. The tissues were blocked in 1% BSA for 20 minutes at room temperature, washed with ddH2O and PBS, and then probed with the primary antibody (EM1901-72) at 1/600 dilution for 1 hour at room temperature. The detection was performed using an HRP conjugated compact polymer system. DAB was used as the chromogen. Tissues were counterstained with hematoxylin and mounted with DPX.

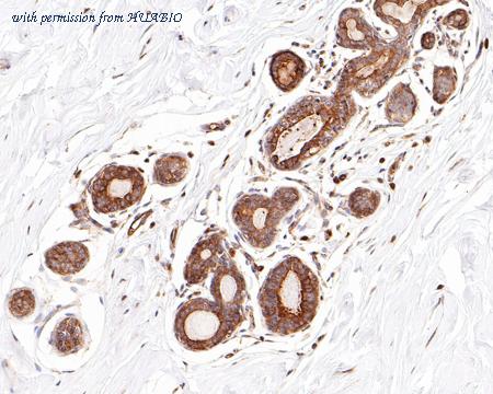
Immunohistochemical analysis of paraffin-embedded human placenta tissue with Mouse anti-ROBO1 antibody (EM1901-72) at 1/200 dilution. The section was pre-treated using heat mediated antigen retrieval with Tris-EDTA buffer (pH 9.0) for 20 minutes. The tissues were blocked in 1% BSA for 20 minutes at room temperature, washed with ddH2O and PBS, and then probed with the primary antibody (EM1901-72) at 1/200 dilution for 1 hour at room temperature. The detection was performed using an HRP conjugated compact polymer system. DAB was used as the chromogen. Tissues were counterstained with hematoxylin and mounted with DPX.
quantity: 100μl
price: 360.00 USD
to the supplier
domestic rabbit polyclonal
reactivity: human, mouse
application: immunohistochemistry - paraffin section
reactivity: human, mouse
application: immunohistochemistry - paraffin section

ICC staining ROBO1 in A549 cells (green). The nuclear counter stain is DAPI (blue). Cells were fixed in paraformaldehyde, permeabilised with 0.25% Triton X100/PBS.

ICC staining ROBO1 in Hela cells (green). The nuclear counter stain is DAPI (blue). Cells were fixed in paraformaldehyde, permeabilised with 0.25% Triton X100/PBS.

ICC staining ROBO1 in MCF-7 cells (green). The nuclear counter stain is DAPI (blue). Cells were fixed in paraformaldehyde, permeabilised with 0.25% Triton X100/PBS.
quantity: 100μl
price: 330 USD
to the supplier
mouse monoclonal (10E2-R)
reactivity: human, mouse, rat
application: western blot, immunohistochemistry - paraffin section
reactivity: human, mouse, rat
application: western blot, immunohistochemistry - paraffin section

Western blot analysis of ROBO1 on different lysates with Mouse anti-ROBO1 antibody (HA601056) at 1/1,000 dilution. Lane 1: HeLa cell lysate (15 µg/Lane) Lane 2: Rat brain tissue lysate (40 µg/Lane) Predicted band size: 181 kDa Observed band size: 181 kDa Exposure time: 3 minutes; ECL: K1801; 4-20% SDS-PAGE gel. Proteins were transferred to a PVDF membrane and blocked with 5% NFDM/TBST for 1 hour at room temperature. The primary antibody (HA601056) at 1/1,000 dilution was used in primary antibody dilution (K1803) at 4℃ overnight. Goat Anti-Mouse IgG - HRP Secondary Antibody (HA1006) at 1/50,000 dilution was used for 1 hour at room temperature.

Western blot analysis of ROBO1 on different lysates with Mouse anti-ROBO1 antibody (HA601056) at 1/1,000 dilution. Lane 1: MCF-7 cell lysate (10 µg/Lane) Lane 2: NIH/3T3 cell lysate (10 µg/Lane) Lane 3: Rat brain tissue lysate (20 µg/Lane) Lane 4: PC-12 cell lysate (10 µg/Lane) Lane 5: RAW264.7 cell lysate (10 µg/Lane) Predicted band size: 181 kDa Observed band size: 181 kDa Exposure time: 30 seconds; 6% SDS-PAGE gel. Proteins were transferred to a PVDF membrane and blocked with 5% NFDM/TBST for 1 hour at room temperature. The primary antibody (HA601056) at 1/1,000 dilution was used in 5% NFDM/TBST at room temperature for 2 hours. Goat Anti-Mouse IgG - HRP Secondary Antibody (HA1006) at 1/300,000 dilution was used for 1 hour at room temperature.

Immunohistochemical analysis of paraffin-embedded human breast tissue with Mouse anti-ROBO1 antibody (HA601056) at 1/600 dilution. The section was pre-treated using heat mediated antigen retrieval with Tris-EDTA buffer (pH 9.0) for 20 minutes. The tissues were blocked in 1% BSA for 20 minutes at room temperature, washed with ddH2O and PBS, and then probed with the primary antibody (HA601056) at 1/600 dilution for 1 hour at room temperature. The detection was performed using an HRP conjugated compact polymer system. DAB was used as the chromogen. Tissues were counterstained with hematoxylin and mounted with DPX.
quantity: 100μl
price: 360.00 USD
to the supplier
mouse monoclonal (10E2-R)
reactivity: human, mouse, rat
application: western blot, immunohistochemistry - paraffin section
reactivity: human, mouse, rat
application: western blot, immunohistochemistry - paraffin section

Western blot analysis of ROBO1 on different lysates with Mouse anti-ROBO1 antibody (HA610007) at 1/1,000 dilution. Lane 1: HeLa cell lysate (15 µg/Lane) Lane 2: Rat brain tissue lysate (40 µg/Lane) Predicted band size: 181 kDa Observed band size: 181 kDa Exposure time: 3 minutes; ECL: K1801; 4-20% SDS-PAGE gel. Proteins were transferred to a PVDF membrane and blocked with 5% NFDM/TBST for 1 hour at room temperature. The primary antibody (HA610007) at 1/1,000 dilution was used in primary antibody dilution (K1803) at 4℃ overnight. Goat Anti-Mouse IgG - HRP Secondary Antibody (HA1006) at 1/50,000 dilution was used for 1 hour at room temperature.

Western blot analysis of ROBO1 on different lysates with Mouse anti-ROBO1 antibody (HA610007) at 1/1,000 dilution. Lane 1: MCF-7 cell lysate (10 µg/Lane) Lane 2: NIH/3T3 cell lysate (10 µg/Lane) Lane 3: Rat brain tissue lysate (20 µg/Lane) Lane 4: PC-12 cell lysate (10 µg/Lane) Lane 5: RAW264.7 cell lysate (10 µg/Lane) Predicted band size: 181 kDa Observed band size: 181 kDa Exposure time: 30 seconds; 6% SDS-PAGE gel. Proteins were transferred to a PVDF membrane and blocked with 5% NFDM/TBST for 1 hour at room temperature. The primary antibody (HA610007) at 1/1,000 dilution was used in 5% NFDM/TBST at room temperature for 2 hours. Goat Anti-Mouse IgG - HRP Secondary Antibody (HA1006) at 1/300,000 dilution was used for 1 hour at room temperature.

Immunohistochemical analysis of paraffin-embedded human breast tissue with Mouse anti-ROBO1 antibody (HA610007) at 1/600 dilution. The section was pre-treated using heat mediated antigen retrieval with Tris-EDTA buffer (pH 9.0) for 20 minutes. The tissues were blocked in 1% BSA for 20 minutes at room temperature, washed with ddH2O and PBS, and then probed with the primary antibody (HA610007) at 1/600 dilution for 1 hour at room temperature. The detection was performed using an HRP conjugated compact polymer system. DAB was used as the chromogen. Tissues were counterstained with hematoxylin and mounted with DPX.
quantity: 100μg
price: 649.00 USD
to the supplier
