Sign in
Sign up
home
>
HUABIO
> HUABIO EGFR antibody
EGFR
HUABIO
catalog: 0407-21
domestic rabbit polyclonal
reactivity:
human
,
mouse
,
rat
application:
western blot
,
immunohistochemistry - paraffin section
Western blot analysis of EGFR on A431 cell lysate. Proteins were transferred to a PVDF membrane and blocked with 5% BSA in PBS for 1 hour at room temperature. The primary antibody was used at a 1:500 dilution in 5% BSA at room temperature for 2 hours. Goat Anti-Rabbit IgG - HRP Secondary Antibody (HA1001) at 1:5,000 dilution was used for 1 hour at room temperature.
ICC staining EGFR in A172 cells (green). Formalin fixed cells were permeabilized with 0.1% Triton X-100 in TBS for 10 minutes at room temperature and blocked with 1% Blocker BSA for 15 minutes at room temperature. Cells were probed with the antibody (0407-21) at a dilution of 1:100 for 1 hour at room temperature, washed with PBS. Alexa Fluorc™ 488 Goat anti-Rabbit IgG was used as the secondary antibody at 1/100 dilution. The nuclear counter stain is DAPI (blue).
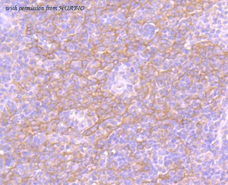
Immunohistochemical analysis of paraffin-embedded rat stomach tissue using anti-EGFR antibody. The section was pre-treated using heat mediated antigen retrieval with Tris-EDTA buffer (pH 8.0-8.4) for 20 minutes.The tissues were blocked in 5% BSA for 30 minutes at room temperature, washed with ddH2O and PBS, and then probed with the antibody (0407-21) at 1/200 dilution, for 30 minutes at room temperature and detected using an HRP conjugated compact polymer system. DAB was used as the chrogen. Counter stained with hematoxylin and mounted with DPX.
quantity: 100μl
price: 330 USD
to the supplier
EGFR
HUABIO
catalog: EM1701-22
mouse monoclonal (B6-E5-D9)
reactivity:
human
,
mouse
,
rat
application:
western blot
,
flow cytometry
,
immunohistochemistry - paraffin section
Western blot analysis of EGFR on different lysates with Mouse anti-EGFR antibody (EM1701-22) at 1/1,000 dilution. Lane 1: A431 cell lysate Lane 2: U-87 MG cell lysate Lane 3: A549 cell lysate Lysates/proteins at 20 µg/Lane. Predicted band size: 134 kDa Observed band size: 160 kDa Exposure time: Lane 1: 5 seconds; Lane 2-3: 43 seconds; ECL: K1801; 4-20% SDS-PAGE gel. Proteins were transferred to a PVDF membrane and blocked with 5% NFDM/TBST for 1 hour at room temperature. The primary antibody (EM1701-22) at 1/1,000 dilution was used in 5% NFDM/TBST at 4℃ overnight. Goat Anti-Mouse IgG - HRP Secondary Antibody (HA1006) at 1/50,000 dilution was used for 1 hour at room temperature.
ICC staining EGFR (green) in LOVO cells. The nuclear counter stain is DAPI (blue). Cells were fixed in paraformaldehyde, permeabilised with 0.25% Triton X100/PBS.
ICC staining EGFR (green) in SW480 cells. The nuclear counter stain is DAPI (blue). Cells were fixed in paraformaldehyde, permeabilised with 0.25% Triton X100/PBS.
quantity: 100μl
price: 360.00 USD
to the supplier
EGFR
HUABIO
catalog: EM1901-67
mouse monoclonal (7-F2-F8)
reactivity:
human
application:
western blot
,
flow cytometry
,
immunohistochemistry - paraffin section
Western blot analysis of EGFR on different lysates with Mouse anti-EGFR antibody (EM1901-67) at 1/2,000 dilution and competitor's antibody at 1/2,000 dilution. Lane 1: HeLa cell lysate Lane 2: A431 cell lysate Lane 3: MDA-MB-468 cell lysate Lane 4: MCF7 cell lysate (low expression) Lysates/proteins at 15 µg/Lane. Predicted band size: 134 kDa Observed band size: 150 kDa Exposure time: Lane 1-4 (left): 5 seconds; Lane 1-4 (right): 21 seconds; ECL: K1801; 4-20% SDS-PAGE gel. Proteins were transferred to a PVDF membrane and blocked with 5% NFDM/TBST for 1 hour at room temperature. The primary antibody (EM1901-67) at 1/2,000 dilution and competitor's antibody at 1/2,000 dilution were used in 5% NFDM/TBST at 4℃ overnight. Goat Anti-Mouse IgG - HRP Secondary Antibody (HA1006) at 1/50,000 dilution was used for 1 hour at room temperature.
All lanes: Western blot analysis of EGFR with anti-EGFR antibody [7-F2-F8] (EM1901-67) at 1/500 dilution. Lane 1: Wild-type MC3T3 whole cell lysate. Lane 2: EGFR knockout MC3T3 whole cell lysate. EM1901-67 was shown to specifically react with EGFR in Wild-type MC3T3 cells. No band was observed when EGFR knockout sample was tested. Wild-type and EGFR knockout samples were subjected to SDS-PAGE. Proteins were transferred to a PVDF membrane and blocked with 5% NFDM in TBST for 1 hour at room temperature. The primary Anti-EGFR antibody (EM1901-67, 1/500) and Anti-Vinculin antibody (ET1705-94, 1/5,000) were used in 5% BSA at room temperature for 2 hours. Goat Anti-Mouse IgG HRP Secondary Antibody (HA1006) at 1:20,000 dilution was used for 1 hour at room temperature. Cell lysate was provided by Ubigene Biosciences (Ubigene Biosciences Co., Ltd., Guangzhou, China).
Immunohistochemical analysis of paraffin-embedded human breast carcinoma tissue using anti-EGFR antibody. The section was pre-treated using heat mediated antigen retrieval with sodium citrate buffer (pH 6.0) (high pressure) for 2 minutes. The tissues were blocked in 5% BSA for 30 minutes at room temperature, washed with ddH2O and PBS, and then probed with the primary antibody (EM1901-67, 1/50) for 30 minutes at room temperature. The detection was performed using an HRP conjugated compact polymer system. DAB was used as the chromogen. Tissues were counterstained with hematoxylin and mounted with DPX.
quantity: 100μl
price: 360.00 USD
to the supplier
EGFR
HUABIO
catalog: ER1512-6
domestic rabbit polyclonal
reactivity:
human
,
mouse
application:
western blot
,
flow cytometry
,
immunohistochemistry - paraffin section
Western blot analysis of EGFR on HepG2 (1) and Hela (2) cell lysates using anti-EGFR antibody at 1/1,000 dilution.
ICC staining EGFR in LOVO cells (green). The nuclear counter stain is DAPI (blue). Cells were fixed in paraformaldehyde, permeabilised with 0.25% Triton X100/PBS.
ICC staining EGFR in SW480 cells (green). The nuclear counter stain is DAPI (blue). Cells were fixed in paraformaldehyde, permeabilised with 0.25% Triton X100/PBS.
quantity: 100μl
price: 330 USD
to the supplier
EGFR
HUABIO
catalog: ET1603-37
domestic rabbit monoclonal (SZ40-19)
reactivity:
human
,
mouse
,
rat
application:
western blot
,
immunoprecipitation
,
flow cytometry
Western blot analysis of EGFR on different lysates with Rabbit anti-EGFR antibody (ET1603-37) at 1/2,000 dilution and competitor's antibody at 1/2,000 dilution. Lane 1: HeLa cell lysate Lane 2: A431 cell lysate Lane 3: MDA-MB-468 cell lysate Lane 4: MCF7 cell lysate (low expression) Lysates/proteins at 15 µg/Lane. Predicted band size: 134 kDa Observed band size: 150 kDa Exposure time: 21 seconds; ECL: K1801; 4-20% SDS-PAGE gel. Proteins were transferred to a PVDF membrane and blocked with 5% NFDM/TBST for 1 hour at room temperature. The primary antibody (ET1603-37) at 1/2,000 dilution and competitor's antibody at 1/2,000 dilution were used in 5% NFDM/TBST at 4℃ overnight. Goat Anti-Rabbit IgG - HRP Secondary Antibody (HA1001) at 1/50,000 dilution was used for 1 hour at room temperature.
Western blot analysis of EGFR on different lysates with Rabbit anti-EGFR antibody (ET1603-37) at 1/2,000 dilution. Lane 1: A431-si NT cell lysate Lane 2: A431-si EGFR cell lysate Lysates/proteins at 10 µg/Lane. Predicted band size: 134 kDa Observed band size: 150 kDa Exposure time: 2 seconds; 4-20% SDS-PAGE gel. Proteins were transferred to a PVDF membrane and blocked with 5% NFDM/TBST for 1 hour at room temperature. The primary antibody (ET1603-37) at 1/2,000 dilution was used in 5% NFDM/TBST at 4℃ overnight. Goat Anti-Rabbit IgG - HRP Secondary Antibody (HA1001) at 1/50,000 dilution was used for 1 hour at room temperature.
Immunocytochemistry analysis of A431 cells labeling EGFR with Rabbit anti-EGFR antibody (ET1603-37) at 1/500 dilution and competitor's antibody at 1/200 dilution. Cells were fixed in 4% paraformaldehyde for 20 minutes at room temperature, permeabilized with 0.1% Triton X-100 in PBS for 5 minutes at room temperature, then blocked with 1% BSA in 10% negative goat serum for 1 hour at room temperature. Cells were then incubated with Rabbit anti-EGFR antibody (ET1603-37) at 1/500 dilution and competitor's antibody at 1/200 dilution in 1% BSA in PBST overnight at 4 ℃. Goat Anti-Rabbit IgG H&L (iFluor™ 488, HA1121) was used as the secondary antibody at 1/1,000 dilution. PBS instead of the primary antibody was used as the secondary antibody only control. Nuclear DNA was labelled in blue with DAPI. Beta tubulin (M1305-2, red) was stained at 1/100 dilution overnight at +4℃. Goat Anti-Mouse IgG H&L (iFluor™ 594, HA1126) was used as the secondary antibody at 1/1,000 dilution.
quantity: 100μl
price: 385.00 USD
to the supplier
EGFR
HUABIO
catalog: ET1604-44
domestic rabbit monoclonal (SP00-86)
reactivity:
human
,
mouse
,
rat
application:
western blot
,
immunoprecipitation
,
flow cytometry
Western blot analysis of EGFR on different lysates with Rabbit anti-EGFR antibody (ET1604-44) at 1/20,000 dilution and competitor's antibody at 1/2,000 dilution. Lane 1: HeLa cell lysate Lane 2: A431 cell lysate Lane 3: MDA-MB-468 cell lysate Lane 4: MCF7 cell lysate (low expression) Lysates/proteins at 15 µg/Lane. Predicted band size: 134 kDa Observed band size: 175 kDa Exposure time: 21 seconds; ECL: K1801; 4-20% SDS-PAGE gel. Proteins were transferred to a PVDF membrane and blocked with 5% NFDM/TBST for 1 hour at room temperature. The primary antibody (ET1604-44) at 1/20,000 dilution and competitor's antibody at 1/2,000 dilution were used in 5% NFDM/TBST at 4℃ overnight. Goat Anti-Rabbit IgG - HRP Secondary Antibody (HA1001) at 1/50,000 dilution was used for 1 hour at room temperature.
Immunocytochemistry analysis of A431 cells labeling EGFR with Rabbit anti-EGFR antibody (ET1604-44) at 1/500 dilution and competitor's antibody at 1/200 dilution. Cells were fixed in 4% paraformaldehyde for 20 minutes at room temperature, permeabilized with 0.1% Triton X-100 in PBS for 5 minutes at room temperature, then blocked with 1% BSA in 10% negative goat serum for 1 hour at room temperature. Cells were then incubated with Rabbit anti-EGFR antibody (ET1604-44) at 1/500 dilution and competitor's antibody at 1/200 dilution in 1% BSA in PBST overnight at 4 ℃. Goat Anti-Rabbit IgG H&L (iFluor™ 488, HA1121) was used as the secondary antibody at 1/1,000 dilution. PBS instead of the primary antibody was used as the secondary antibody only control. Nuclear DNA was labelled in blue with DAPI. Beta tubulin (M1305-2, red) was stained at 1/100 dilution overnight at +4℃. Goat Anti-Mouse IgG H&L (iFluor™ 594, HA1126) was used as the secondary antibody at 1/1,000 dilution.
All lanes: Western blot analysis of EGFR with anti-EGFR antibody [SP00-86] (ET1604-44) at 1:500 dilution. Lane 1: Wild-type MC3T3 whole cell lysate. Lane 2: EGFR knockout MC3T3 whole cell lysate. Predicted band size: 134 kDa Observed band size: 180 kDa ET1604-44 was shown to specifically react with EGFR in wild-type MC3T3 cells. No band was observed when EGFR knockout samples were tested. Wild-type and EGFR knockout samples were subjected to SDS-PAGE. Proteins were transferred to a PVDF membrane and blocked with 5% NFDM in TBST for 1 hour at room temperature. The primary Anti-EGFR antibody (ET1604-44, 1/500) and Anti-Vinculin antibody (ET1705-94, 1/5,000) were used in 5% BSA at room temperature for 2 hours. Goat Anti-Rabbit IgG H&L (HRP) Secondary Antibody (HA1001) at 1:200,000 dilution was used for 1 hour at room temperature. Cell lysate was provided by Ubigene Biosciences (Ubigene Biosciences Co., Ltd., Guangzhou, China).
quantity: 100μl
price: 385.00 USD
to the supplier
Phospho-EGFR (Y1092)
HUABIO
catalog: ET1606-44
domestic rabbit monoclonal (SJ0194)
reactivity:
human
,
mouse
application:
western blot
,
immunohistochemistry - paraffin section
Western blot analysis of Phospho-EGFR (Y1092) on different lysates with Rabbit anti-Phospho-EGFR (Y1092) antibody (ET1606-44) at 1/1,000 dilution. Lane 1: A431 cell lysate (20 µg/Lane) Lane 2: A431 treated with 100ng/mL EGF for 30 minutes cell lysate (20 µg/Lane) Predicted band size: 134 kDa Observed band size: 170 kDa Exposure time: 6 seconds; ECL: K1801; 4-20% SDS-PAGE gel. Proteins were transferred to a PVDF membrane and blocked with 5% NFDM/TBST for 1 hour at room temperature. The primary antibody (ET1606-44) at 1/1,000 dilution was used in 5% NFDM/TBST at 4℃ overnight. Goat Anti-Rabbit IgG - HRP Secondary Antibody (HA1001) at 1/50,000 dilution was used for 1 hour at room temperature.
Immunohistochemical analysis of paraffin-embedded human lung cancer tissue with Rabbit anti-Phospho-EGFR (Y1092) antibody (ET1606-44) at 1/3,000 dilution. The section was pre-treated using heat mediated antigen retrieval with Tris-EDTA buffer (pH 9.0) for 20 minutes. The tissues were blocked in 1% BSA for 20 minutes at room temperature, washed with ddH2O and PBS, and then probed with the primary antibody (ET1606-44) at 1/3,000 dilution for 1 hour at room temperature. The detection was performed using an HRP conjugated compact polymer system. DAB was used as the chromogen. Tissues were counterstained with hematoxylin and mounted with DPX.
quantity: 100μl
price: 385.00 USD
to the supplier
Phospho-EGFR (Y1173)
HUABIO
catalog: ET1610-4
domestic rabbit monoclonal (SC57-04)
reactivity:
human
,
mouse
application:
western blot
,
immunoprecipitation
,
immunohistochemistry - paraffin section
Western blot analysis of Phospho-EGFR (Y1173) on different lysates with Rabbit anti-Phospho-EGFR (Y1173) antibody (ET1610-4) at 1/2,000 dilution. Lane 1: A431 whole cell lysate Lane 2: A431 treated with 100ng/mL EGF for 30 minutes whole cell lysate Lysates/proteins at 10 µg/Lane. Predicted band size: 135 kDa Observed band size: 170 kDa Exposure time: 2 minute; 4-20% SDS-PAGE gel. Proteins were transferred to a PVDF membrane and blocked with 5% NFDM/TBST for 1 hour at room temperature. The primary antibody (ET1610-4) at 1/2,000 dilution was used in K1803 at 4℃ overnight. Goat Anti-Rabbit IgG - HRP Secondary Antibody (HA1001) at 1/200,000 dilution was used for 1 hour at room temperature.
Immunocytochemistry analysis of A431 cells treated with or without 100ng/mL EGF for 5 minutes labeling Phospho-EGFR (Y1173) with Rabbit anti-Phospho-EGFR (Y1173) antibody (ET1610-4) at 1/50 dilution. Cells were fixed in 4% paraformaldehyde for 20 minutes at 37 ℃, permeabilized with 0.1% Triton X-100 in PBS permeabilization for 5 minutes, and then blocked with 2% negative goat serum for 60 minutes at room temperature. Cells were then incubated with Rabbit anti-Phospho-EGFR (Y1173) antibody (ET1610-4) at 1/50 dilution in 1% BSA overnight at 4 ℃. Goat Anti-Rabbit IgG H&L (iFluor™ 488, HA1121) was used as the secondary antibody at 1/1,000 dilution. PBS instead of the primary antibody was used as the secondary antibody only control. Nuclear DNA was labelled in blue with DAPI.
ICC staining of Phospho-EGFR (Y1173) in untreated B16F1 cells (green). Formalin fixed cells were permeabilized with 0.1% Triton X-100 in TBS for 10 minutes at room temperature and blocked with 1% Blocker BSA for 15 minutes at room temperature. Cells were probed with the primary antibody (ET1610-4, 1/50) for 1 hour at room temperature, washed with PBS. Alexa Fluor®488 Goat anti-Rabbit IgG was used as the secondary antibody at 1/1,000 dilution. The nuclear counter stain is DAPI (blue).
quantity: 100μl
price: 385.00 USD
to the supplier
Phospho-EGFR (S695)
HUABIO
catalog: ET1611-50
domestic rabbit monoclonal (SN07-36)
reactivity:
human
application:
western blot
ICC staining Phospho-EGFR(S695) (1/50) in A549 cells (green). The nuclear counter stain is DAPI (blue). Cells were fixed in paraformaldehyde, permeabilised with 0.25% Triton X100/PBS.
ICC staining Phospho-EGFR(S695) (1/50) in HUVEC cells (green). The nuclear counter stain is DAPI (blue). Cells were fixed in paraformaldehyde, permeabilised with 0.25% Triton X100/PBS.
ICC staining Phospho-EGFR(S695) (1/50) in A431 cells (green). The nuclear counter stain is DAPI (blue). Cells were fixed in paraformaldehyde, permeabilised with 0.25% Triton X100/PBS.
quantity: 100μl
price: 385.00 USD
to the supplier
Phospho-EGFR (Y1068)
HUABIO
catalog: ET1612-30
domestic rabbit monoclonal (SD2055)
reactivity:
human
application:
western blot
,
immunoprecipitation
,
flow cytometry
Western blot analysis of Phospho-EGFR (Y1068) on different lysates with Rabbit anti-Phospho-EGFR (Y1068) antibody (ET1612-30) at 1/5,000 dilution. Lane 1: A431 cell lysate Lane 2: A431 treated with 100ng/mL EGF for 30 minutes cell lysate Lysates/proteins at 20 µg/Lane. Predicted band size: 134 kDa Observed band size: 170 kDa Exposure time: 24 seconds; 4-20% SDS-PAGE gel. Proteins were transferred to a PVDF membrane and blocked with 5% NFDM/TBST for 1 hour at room temperature. The primary antibody (ET1612-30) at 1/5,000 dilution was used in 5% NFDM/TBST at 4℃ overnight. Goat Anti-Rabbit IgG - HRP Secondary Antibody (HA1001) at 1/50,000 dilution was used for 1 hour at room temperature.
Immunocytochemistry analysis of A431 cells untreated / treated with 100ng/mL EGF for 30 minutes labeling Phospho-EGFR (Y1068) with Rabbit anti-Phospho-EGFR (Y1068) antibody (ET1612-30) at 1/5,000 dilution. Cells were fixed in 4% paraformaldehyde for 15 minutes at room temperature, permeabilized with 0.1% Triton X-100 in PBS for 15 minutes at room temperature, then blocked with 1% BSA in 10% negative goat serum for 1 hour at room temperature. Cells were then incubated with Rabbit anti-Phospho-EGFR (Y1068) antibody (ET1612-30) at 1/5,000 dilution in 1% BSA in PBST overnight at 4 ℃. Goat Anti-Rabbit IgG H&L (iFluor™ 488, HA1121) was used as the secondary antibody at 1/1,000 dilution. PBS instead of the primary antibody was used as the secondary antibody only control. Nuclear DNA was labelled in blue with DAPI. Beta tubulin (HA601187, red) was stained at 1/100 dilution overnight at +4℃. Goat Anti-Mouse IgG H&L (iFluor™ 594, HA1126) was used as the secondary antibody at 1/1,000 dilution.
Flow cytometric analysis of A431 cells labeling Phospho-EGFR (Y1068). Cells were fixed and permeabilized. Then stained with the primary antibody (ET1612-30, 1/1,000) (red) compared with Rabbit IgG Isotype Control (green). After incubation of the primary antibody at +4℃ for an hour, the cells were stained with a iFluor™ 488 conjugate-Goat anti-Rabbit IgG Secondary antibody (HA1121) at 1/1,000 dilution for 30 minutes at +4℃. Unlabelled sample was used as a control (cells without incubation with primary antibody; black).
quantity: 100μl
price: 385.00 USD
to the supplier
Phospho-EGFR (Y1148)
HUABIO
catalog: HA500580
domestic rabbit polyclonal
reactivity:
human
application:
western blot
Western blot analysis of Phospho-EGFR (Y1148) on different lysates with Rabbit anti-Phospho-EGFR (Y1148) antibody (HA500580) at 1/5,000 dilution. Lane 1: A431 cell lysate Lane 2: A431 starved overnight then treated with 20ng/mL EGF for 5 minutes cell lysate Lane 3: A431 starved overnight then treated with 20ng/mL EGF for 5 minutes cell lysate, then the membrane treated with λpp for 1 hour Lysates/proteins at 20 µg/Lane. Predicted band size: 134 kDa Observed band size: 170 kDa Exposure time: 1 minute 23 seconds; ECL: K1801; 4-20% SDS-PAGE gel. Proteins were transferred to a PVDF membrane and blocked with 5% NFDM/TBST for 1 hour at room temperature. The primary antibody (HA500580) at 1/5,000 dilution was used in primary antibody dilution (K1803) at 4℃ overnight. Goat Anti-Rabbit IgG - HRP Secondary Antibody (HA1001) at 1/50,000 dilution was used for 1 hour at room temperature.
Immunocytochemistry analysis of A431 cells untreated / starved overnight then treated with 20ng/mL EGF for 5 minutes labeling Phospho-EGFR (Y1148) with Rabbit anti-Phospho-EGFR (Y1148) antibody (HA500580) at 1/10,000 dilution. Cells were fixed in 4% paraformaldehyde for 15 minutes at room temperature, permeabilized with 0.1% Triton X-100 in PBS for 15 minutes at room temperature, then blocked with 1% BSA in 10% negative goat serum for 1 hour at room temperature. Cells were then incubated with Rabbit anti-Phospho-EGFR (Y1148) antibody (HA500580) at 1/10,000 dilution in 1% BSA in PBST overnight at 4 ℃. Goat Anti-Rabbit IgG H&L (iFluor™ 488, HA1121) was used as the secondary antibody at 1/1,000 dilution. PBS instead of the primary antibody was used as the secondary antibody only control. Nuclear DNA was labelled in blue with DAPI. Beta tubulin (HA601187, red) was stained at 1/100 dilution overnight at +4℃. Goat Anti-Mouse IgG H&L (iFluor™ 594, HA1126) was used as the secondary antibody at 1/1,000 dilution.
quantity: 100μl
price: 330 USD
to the supplier
EGFR
HUABIO
catalog: HA601073
mouse monoclonal (A8E12)
reactivity:
human
application:
western blot
,
immunohistochemistry - paraffin section
Western blot analysis of EGFR on different lysates with Mouse anti-EGFR antibody (HA601073) at 1/2,000 dilution. Lane 1: A431 cell lysate Lane 2: MDA-MB-468 cell lysate Lane 3: MCF7 cell lysate (low expression) Lysates/proteins at 15 µg/Lane. Predicted band size: 134 kDa Observed band size: 150 kDa Exposure time: 21 seconds; 4-20% SDS-PAGE gel. Proteins were transferred to a PVDF membrane and blocked with 5% NFDM/TBST for 1 hour at room temperature. The primary antibody (HA601073) at 1/2,000 dilution was used in 5% NFDM/TBST at 4℃ overnight. Goat Anti-Mouse IgG - HRP Secondary Antibody (HA1006) at 1/50,000 dilution was used for 1 hour at room temperature.
Western blot analysis of EGFR on different lysates with Mouse anti-EGFR antibody (HA601073) at 1/2,000 dilution. Lane 1: A431-si NT cell lysate Lane 2: A431-si EGFR cell lysate Lysates/proteins at 10 µg/Lane. Predicted band size: 134 kDa Observed band size: 150 kDa Exposure time: 1 minutes 2 seconds; 4-20% SDS-PAGE gel. Proteins were transferred to a PVDF membrane and blocked with 5% NFDM/TBST for 1 hour at room temperature. The primary antibody (HA601073) at 1/2,000 dilution was used in 5% NFDM/TBST at 4℃ overnight. Goat Anti-Mouse IgG - HRP Secondary Antibody (HA1006) at 1/50,000 dilution was used for 1 hour at room temperature.
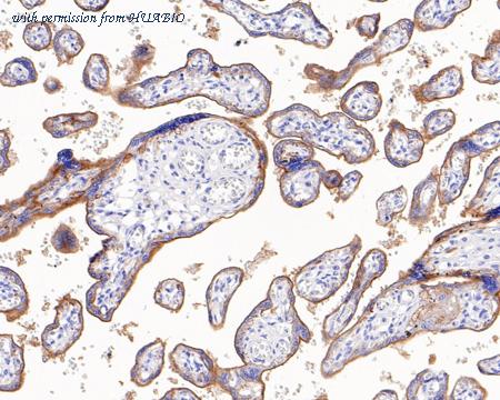
Immunohistochemical analysis of paraffin-embedded Human placenta tissue with Mouse anti-EGFR antibody (HA601073) at 1/800 dilution. The section was pre-treated using heat mediated antigen retrieval with Tris-EDTA buffer (pH 9.0) for 20 minutes. The tissues were blocked in 1% BSA for 20 minutes at room temperature, washed with ddH2O and PBS, and then probed with the primary antibody (HA601073) at 1/800 dilution for 1 hour at room temperature. The detection was performed using an HRP conjugated compact polymer system. DAB was used as the chromogen. Tissues were counterstained with hematoxylin and mounted with DPX.
quantity: 100μl
price: 360.00 USD
to the supplier
EGFR
HUABIO
catalog: HA721220
domestic rabbit monoclonal (PD00-75)
reactivity:
human
application:
western blot
,
flow cytometry
,
immunohistochemistry - paraffin section
Western blot analysis of EGFR on different lysates with Rabbit anti-EGFR antibody (HA721220) at 1/2,000 dilution and competitor's antibody at 1/2,000 dilution. Lane 1: HeLa cell lysate Lane 2: A431 cell lysate Lane 3: MDA-MB-468 cell lysate Lane 4: MCF7 cell lysate (low expression) Lysates/proteins at 15 µg/Lane. Predicted band size: 134 kDa Observed band size: 150 kDa Exposure time: 21 seconds; ECL: K1801; 4-20% SDS-PAGE gel. Proteins were transferred to a PVDF membrane and blocked with 5% NFDM/TBST for 1 hour at room temperature. The primary antibody (HA721220) at 1/2,000 dilution and competitor's antibody at 1/2,000 dilution were used in 5% NFDM/TBST at 4℃ overnight. Goat Anti-Rabbit IgG - HRP Secondary Antibody (HA1001) at 1/50,000 dilution was used for 1 hour at room temperature.
Immunocytochemistry analysis of A431 cells labeling EGFR with Rabbit anti-EGFR antibody (HA721220) at 1/500 dilution and competitor's antibody at 1/200 dilution. Cells were fixed in 4% paraformaldehyde for 20 minutes at room temperature, permeabilized with 0.1% Triton X-100 in PBS for 5 minutes at room temperature, then blocked with 1% BSA in 10% negative goat serum for 1 hour at room temperature. Cells were then incubated with Rabbit anti-EGFR antibody (HA721220) at 1/500 dilution and competitor's antibody at 1/200 dilution in 1% BSA in PBST overnight at 4 ℃. Goat Anti-Rabbit IgG H&L (iFluor™ 488, HA1121) was used as the secondary antibody at 1/1,000 dilution. PBS instead of the primary antibody was used as the secondary antibody only control. Nuclear DNA was labelled in blue with DAPI. Beta tubulin (M1305-2, red) was stained at 1/100 dilution overnight at +4℃. Goat Anti-Mouse IgG H&L (iFluor™ 594, HA1126) was used as the secondary antibody at 1/1,000 dilution.
Flow cytometric analysis of A431 cells labeling EGFR. Cells were fixed and permeabilized. Then stained with the primary antibody (HA721220, red) at 1/1,000 dilution and competitor's antibody (red) at 1/200 dilution, compared with Rabbit IgG Isotype Control (green). After incubation of the primary antibody at +4℃ for an hour, the cells were stained with a iFluor™ 488 conjugate-Goat anti-Rabbit IgG Secondary antibody (HA1121) at 1/1,000 dilution for 30 minutes at +4℃. Unlabelled sample was used as a control (cells without incubation with primary antibody; black).
quantity: 100μl
price: 385.00 USD
to the supplier
Phospho-EGFR (Y845)
HUABIO
catalog: HA721488
domestic rabbit monoclonal (JE46-77)
reactivity:
human
application:
western blot
Western blot analysis of Phospho-EGFR (Y845) on different lysates with Rabbit anti-Phospho-EGFR (Y845) antibody (HA721488) at 1/1,000 dilution. Lane 1: A431 whole cell lysate Lane 2: A431 treated with 100ng/mL EGF for 10 minutes whole cell lysate Lane 3: A431 whole cell lysate treated with λpp for 1 hour Lane 4: A431 treated with 100ng/mL EGF for 10 minutes whole cell lysate treated with λpp for 1 hour Lysates/proteins at 20 µg/Lane. Predicted band size: 134 kDa Observed band size: 180/75 kDa Exposure time: 3 minutes; 4-20% SDS-PAGE gel. Proteins were transferred to a PVDF membrane and blocked with 5% NFDM/TBST for 1 hour at room temperature. The primary antibody (HA721488) at 1/1,000 dilution was used in 5% NFDM/TBST at room temperature for 2 hours. Goat Anti-Rabbit IgG - HRP Secondary Antibody (HA1001) at 1:100,000 dilution was used for 1 hour at room temperature.
quantity: 100μl
price: 385.00 USD
to the supplier
Phospho-EGFR (Y1045)
HUABIO
catalog: HA721970
domestic rabbit monoclonal (PSH03-28)
reactivity:
human
application:
western blot
,
flow cytometry
Western blot analysis of Phospho-EGFR (Y1045) on different lysates with Rabbit anti-Phospho-EGFR (Y1045) antibody (HA721970) at 1/1,000 dilution. Lane 1: A431 cell lysate Lane 2: A431 treated with 100ng/mL EGF for 30 minutes cell lysate Lysates/proteins at 30 µg/Lane. Predicted band size: 134 kDa Observed band size: 170 kDa Exposure time: 3 minutes 10 seconds; 4-20% SDS-PAGE gel. Proteins were transferred to a PVDF membrane and blocked with 5% NFDM/TBST for 1 hour at room temperature. The primary antibody (HA721970) at 1/1,000 dilution was used in 5% NFDM/TBST at 4℃ overnight. Goat Anti-Rabbit IgG - HRP Secondary Antibody (HA1001) at 1/50,000 dilution was used for 1 hour at room temperature.
Immunocytochemistry analysis of A431 treated with or without 100ng/mL EGF for 60 minutes cells labeling Phospho-EGFR (Y1045) with Rabbit anti-Phospho-EGFR (Y1045) antibody (HA721970) at 1/100 dilution. Cells were fixed in 100% precooled methanol for 5 minutes at room temperature, then blocked with 1% BSA in 10% negative goat serum for 1 hour at room temperature. Cells were then incubated with Rabbit anti-Phospho-EGFR (Y1045) antibody (HA721970) at 1/100 dilution in 1% BSA in PBST overnight at 4 ℃. Goat Anti-Rabbit IgG H&L (iFluor™ 488, HA1121) was used as the secondary antibody at 1/1,000 dilution. PBS instead of the primary antibody was used as the secondary antibody only control. Nuclear DNA was labelled in blue with DAPI. Beta tubulin (M1305-2, red) was stained at 1/100 dilution overnight at +4℃. Goat Anti-Mouse IgG H&L (iFluor™ 594, HA1126) was used as the secondary antibody at 1/1,000 dilution.
Flow cytometric analysis of A431 treated with or without 100ng/mL EGF for 60 minutes cells labeling Phospho-EGFR (Y1045). Cells were fixed and permeabilized. Then stained with the primary antibody (HA721970, 1μg/mL) (red) compared with Rabbit IgG Isotype Control (green). After incubation of the primary antibody at +4℃ for an hour, the cells were stained with a iFluor™ 488 conjugate-Goat anti-Rabbit IgG Secondary antibody (HA1121) at 1/1,000 dilution for 30 minutes at +4℃. Unlabelled sample was used as a control (cells without incubation with primary antibody; black).
quantity: 100μl
price: 385.00 USD
to the supplier
Phospho-EGFR (T669)
HUABIO
catalog: HA723172
domestic rabbit monoclonal (PSH10-03)
reactivity:
human
,
mouse
,
rat
application:
western blot
,
immunoprecipitation
Western blot analysis of Phospho-EGFR (T669) on different lysates with Rabbit anti-Phospho-EGFR (T669) antibody (HA723172) at 1/5,000 dilution. Lane 1: A431 cell lysate Lane 2: A431 treated with 100ng/mL EGF for 30 minutes cell lysate Lysates/proteins at 20 µg/Lane. Predicted band size: 134 kDa Observed band size: 150 kDa Exposure time: 3 minutes; ECL: K1801; 4-20% SDS-PAGE gel. Proteins were transferred to a PVDF membrane and blocked with 5% NFDM/TBST for 1 hour at room temperature. The primary antibody (HA723172) at 1/5,000 dilution was used in 5% NFDM/TBST at 4℃ overnight. Goat Anti-Rabbit IgG - HRP Secondary Antibody (HA1001) at 1/50,000 dilution was used for 1 hour at room temperature.
Phospho-EGFR (T669) was immunoprecipitated from 0.2 mg A431 starved overnight then treated with 100ng/mL EGF for 15 minutes cell lysate with HA723172 at 2 µg/10 µl beads. Western blot was performed from the immunoprecipitate using HA723172 at 1/2,000 dilution. HRP Conjugated Anti-Rabbit IgG for IP Nano-secondary antibody at 1/5,000 dilution was used for 1 hour at room temperature. Lane 1: A431 starved overnight then treated with 100ng/mL EGF for 15 minutes cell lysate (input) Lane 2: HA723172 IP in A431 starved overnight then treated with 100ng/mL EGF for 15 minutes cell lysate Lane 3: Rabbit IgG instead of HA723172 in A431 starved overnight then treated with 100ng/mL EGF for 15 minutes cell lysate Blocking/Dilution buffer: primary antibody dilution (K1803) Exposure time: 59 seconds; ECL: K1801
quantity: 100μl
price: 385.00 USD
to the supplier
EGFR
HUABIO
catalog: HA750078
domestic rabbit monoclonal (SP00-86)
reactivity:
human
,
mouse
,
rat
application:
western blot
,
immunoprecipitation
,
flow cytometry
Western blot analysis of EGFR on different lysates with Rabbit anti-EGFR antibody (HA750078) at 1/20,000 dilution and competitor's antibody at 1/2,000 dilution. Lane 1: HeLa cell lysate Lane 2: A431 cell lysate Lane 3: MDA-MB-468 cell lysate Lane 4: MCF7 cell lysate (low expression) Lysates/proteins at 15 µg/Lane. Predicted band size: 134 kDa Observed band size: 175 kDa Exposure time: 21 seconds; ECL: K1801; 4-20% SDS-PAGE gel. Proteins were transferred to a PVDF membrane and blocked with 5% NFDM/TBST for 1 hour at room temperature. The primary antibody (HA750078) at 1/20,000 dilution and competitor's antibody at 1/2,000 dilution were used in 5% NFDM/TBST at 4℃ overnight. Goat Anti-Rabbit IgG - HRP Secondary Antibody (HA1001) at 1/50,000 dilution was used for 1 hour at room temperature.
Immunocytochemistry analysis of A431 cells labeling EGFR with Rabbit anti-EGFR antibody (HA750078) at 1/500 dilution and competitor's antibody at 1/200 dilution. Cells were fixed in 4% paraformaldehyde for 20 minutes at room temperature, permeabilized with 0.1% Triton X-100 in PBS for 5 minutes at room temperature, then blocked with 1% BSA in 10% negative goat serum for 1 hour at room temperature. Cells were then incubated with Rabbit anti-EGFR antibody (HA750078) at 1/500 dilution and competitor's antibody at 1/200 dilution in 1% BSA in PBST overnight at 4 ℃. Goat Anti-Rabbit IgG H&L (iFluor™ 488, HA1121) was used as the secondary antibody at 1/1,000 dilution. PBS instead of the primary antibody was used as the secondary antibody only control. Nuclear DNA was labelled in blue with DAPI. Beta tubulin (M1305-2, red) was stained at 1/100 dilution overnight at +4℃. Goat Anti-Mouse IgG H&L (iFluor™ 594, HA1126) was used as the secondary antibody at 1/1,000 dilution.
All lanes: Western blot analysis of EGFR with anti-EGFR antibody [SP00-86] (HA750078) at 1:500 dilution. Lane 1: Wild-type MC3T3 whole cell lysate. Lane 2: EGFR knockout MC3T3 whole cell lysate. Predicted band size: 134 kDa Observed band size: 180 kDa ET1604-44 was shown to specifically react with EGFR in wild-type MC3T3 cells. No band was observed when EGFR knockout samples were tested. Wild-type and EGFR knockout samples were subjected to SDS-PAGE. Proteins were transferred to a PVDF membrane and blocked with 5% NFDM in TBST for 1 hour at room temperature. The primary Anti-EGFR antibody (ET1604-44, 1/500) and Anti-Vinculin antibody (ET1705-94, 1/5,000) were used in 5% BSA at room temperature for 2 hours. Goat Anti-Rabbit IgG H&L (HRP) Secondary Antibody (HA1001) at 1:200,000 dilution was used for 1 hour at room temperature. Cell lysate was provided by Ubigene Biosciences (Ubigene Biosciences Co., Ltd., Guangzhou, China).
quantity: 100μl
price: 649.00 USD
to the supplier
Phospho-EGFR (Y1068)
HUABIO
catalog: HA750290
domestic rabbit monoclonal (SD2055)
reactivity:
human
application:
western blot
,
immunoprecipitation
,
flow cytometry
Western blot analysis of Phospho-EGFR (Y1068) on different lysates with Rabbit anti-Phospho-EGFR (Y1068) antibody (HA750290) at 1/5,000 dilution. Lane 1: A431 cell lysate Lane 2: A431 treated with 100ng/mL EGF for 30 minutes cell lysate Lysates/proteins at 20 µg/Lane. Predicted band size: 134 kDa Observed band size: 170 kDa Exposure time: 24 seconds; 4-20% SDS-PAGE gel. Proteins were transferred to a PVDF membrane and blocked with 5% NFDM/TBST for 1 hour at room temperature. The primary antibody (HA750290) at 1/5,000 dilution was used in 5% NFDM/TBST at 4℃ overnight. Goat Anti-Rabbit IgG - HRP Secondary Antibody (HA1001) at 1/50,000 dilution was used for 1 hour at room temperature.
Immunocytochemistry analysis of A431 cells untreated / treated with 100ng/mL EGF for 30 minutes labeling Phospho-EGFR (Y1068) with Rabbit anti-Phospho-EGFR (Y1068) antibody (HA750290) at 1/5,000 dilution. Cells were fixed in 4% paraformaldehyde for 15 minutes at room temperature, permeabilized with 0.1% Triton X-100 in PBS for 15 minutes at room temperature, then blocked with 1% BSA in 10% negative goat serum for 1 hour at room temperature. Cells were then incubated with Rabbit anti-Phospho-EGFR (Y1068) antibody (HA750290) at 1/5,000 dilution in 1% BSA in PBST overnight at 4 ℃. Goat Anti-Rabbit IgG H&L (iFluor™ 488, HA1121) was used as the secondary antibody at 1/1,000 dilution. PBS instead of the primary antibody was used as the secondary antibody only control. Nuclear DNA was labelled in blue with DAPI. Beta tubulin (HA601187, red) was stained at 1/100 dilution overnight at +4℃. Goat Anti-Mouse IgG H&L (iFluor™ 594, HA1126) was used as the secondary antibody at 1/1,000 dilution.
Flow cytometric analysis of A431 cells labeling Phospho-EGFR (Y1068). Cells were fixed and permeabilized. Then stained with the primary antibody (HA750290, 1/1,000) (red) compared with Rabbit IgG Isotype Control (green). After incubation of the primary antibody at +4℃ for an hour, the cells were stained with a iFluor™ 488 conjugate-Goat anti-Rabbit IgG Secondary antibody (HA1121) at 1/1,000 dilution for 30 minutes at +4℃. Unlabelled sample was used as a control (cells without incubation with primary antibody; black).
quantity: 100μl
price: 649.00 USD
to the supplier
EGFR
HUABIO
catalog: HA750550
domestic rabbit monoclonal (PD00-75)
reactivity:
human
application:
western blot
,
flow cytometry
,
immunohistochemistry - paraffin section
Western blot analysis of EGFR on different lysates with Rabbit anti-EGFR antibody (HA750550) at 1/2,000 dilution and competitor's antibody at 1/2,000 dilution. Lane 1: HeLa cell lysate Lane 2: A431 cell lysate Lane 3: MDA-MB-468 cell lysate Lane 4: MCF7 cell lysate (low expression) Lysates/proteins at 15 µg/Lane. Predicted band size: 134 kDa Observed band size: 150 kDa Exposure time: 21 seconds; ECL: K1801; 4-20% SDS-PAGE gel. Proteins were transferred to a PVDF membrane and blocked with 5% NFDM/TBST for 1 hour at room temperature. The primary antibody (HA750550) at 1/2,000 dilution and competitor's antibody at 1/2,000 dilution were used in 5% NFDM/TBST at 4℃ overnight. Goat Anti-Rabbit IgG - HRP Secondary Antibody (HA1001) at 1/50,000 dilution was used for 1 hour at room temperature.
Immunocytochemistry analysis of A431 cells labeling EGFR with Rabbit anti-EGFR antibody (HA750550) at 1/500 dilution and competitor's antibody at 1/200 dilution. Cells were fixed in 4% paraformaldehyde for 20 minutes at room temperature, permeabilized with 0.1% Triton X-100 in PBS for 5 minutes at room temperature, then blocked with 1% BSA in 10% negative goat serum for 1 hour at room temperature. Cells were then incubated with Rabbit anti-EGFR antibody (HA750550) at 1/500 dilution and competitor's antibody at 1/200 dilution in 1% BSA in PBST overnight at 4 ℃. Goat Anti-Rabbit IgG H&L (iFluor™ 488, HA1121) was used as the secondary antibody at 1/1,000 dilution. PBS instead of the primary antibody was used as the secondary antibody only control. Nuclear DNA was labelled in blue with DAPI. Beta tubulin (M1305-2, red) was stained at 1/100 dilution overnight at +4℃. Goat Anti-Mouse IgG H&L (iFluor™ 594, HA1126) was used as the secondary antibody at 1/1,000 dilution.
Flow cytometric analysis of A431 cells labeling EGFR. Cells were fixed and permeabilized. Then stained with the primary antibody (HA750550, red) at 1/1,000 dilution and competitor's antibody (red) at 1/200 dilution, compared with Rabbit IgG Isotype Control (green). After incubation of the primary antibody at +4℃ for an hour, the cells were stained with a iFluor™ 488 conjugate-Goat anti-Rabbit IgG Secondary antibody (HA1121) at 1/1,000 dilution for 30 minutes at +4℃. Unlabelled sample was used as a control (cells without incubation with primary antibody; black).
quantity: 100μl
price: 649.00 USD
to the supplier
Phospho-EGFR (Y1045)
HUABIO
catalog: HA750868
domestic rabbit monoclonal (PSH03-28)
reactivity:
human
application:
western blot
,
flow cytometry
Western blot analysis of Phospho-EGFR (Y1045) on different lysates with Rabbit anti-Phospho-EGFR (Y1045) antibody (HA750868) at 1/1,000 dilution. Lane 1: A431 cell lysate Lane 2: A431 treated with 100ng/mL EGF for 30 minutes cell lysate Lysates/proteins at 30 µg/Lane. Predicted band size: 134 kDa Observed band size: 170 kDa Exposure time: 3 minutes 10 seconds; 4-20% SDS-PAGE gel. Proteins were transferred to a PVDF membrane and blocked with 5% NFDM/TBST for 1 hour at room temperature. The primary antibody (HA750868) at 1/1,000 dilution was used in 5% NFDM/TBST at 4℃ overnight. Goat Anti-Rabbit IgG - HRP Secondary Antibody (HA1001) at 1/50,000 dilution was used for 1 hour at room temperature.
Immunocytochemistry analysis of A431 treated with or without 100ng/mL EGF for 60 minutes cells labeling Phospho-EGFR (Y1045) with Rabbit anti-Phospho-EGFR (Y1045) antibody (HA750868) at 1/100 dilution. Cells were fixed in 100% precooled methanol for 5 minutes at room temperature, then blocked with 1% BSA in 10% negative goat serum for 1 hour at room temperature. Cells were then incubated with Rabbit anti-Phospho-EGFR (Y1045) antibody (HA750868) at 1/100 dilution in 1% BSA in PBST overnight at 4 ℃. Goat Anti-Rabbit IgG H&L (iFluor™ 488, HA1121) was used as the secondary antibody at 1/1,000 dilution. PBS instead of the primary antibody was used as the secondary antibody only control. Nuclear DNA was labelled in blue with DAPI. Beta tubulin (M1305-2, red) was stained at 1/100 dilution overnight at +4℃. Goat Anti-Mouse IgG H&L (iFluor™ 594, HA1126) was used as the secondary antibody at 1/1,000 dilution.
Flow cytometric analysis of A431 treated with or without 100ng/mL EGF for 60 minutes cells labeling Phospho-EGFR (Y1045). Cells were fixed and permeabilized. Then stained with the primary antibody (HA750868, 1μg/mL) (red) compared with Rabbit IgG Isotype Control (green). After incubation of the primary antibody at +4℃ for an hour, the cells were stained with a iFluor™ 488 conjugate-Goat anti-Rabbit IgG Secondary antibody (HA1121) at 1/1,000 dilution for 30 minutes at +4℃. Unlabelled sample was used as a control (cells without incubation with primary antibody; black).
quantity: 100μl
price: 649.00 USD
to the supplier
Phospho-EGFR (T669)
HUABIO
catalog: HA751333
domestic rabbit monoclonal (PSH10-03)
reactivity:
human
,
mouse
,
rat
application:
western blot
,
immunoprecipitation
Western blot analysis of Phospho-EGFR (T669) on different lysates with Rabbit anti-Phospho-EGFR (T669) antibody (HA751333) at 1/5,000 dilution. Lane 1: A431 cell lysate Lane 2: A431 treated with 100ng/mL EGF for 30 minutes cell lysate Lysates/proteins at 20 µg/Lane. Predicted band size: 134 kDa Observed band size: 150 kDa Exposure time: 3 minutes; ECL: K1801; 4-20% SDS-PAGE gel. Proteins were transferred to a PVDF membrane and blocked with 5% NFDM/TBST for 1 hour at room temperature. The primary antibody (HA751333) at 1/5,000 dilution was used in 5% NFDM/TBST at 4℃ overnight. Goat Anti-Rabbit IgG - HRP Secondary Antibody (HA1001) at 1/50,000 dilution was used for 1 hour at room temperature.
Phospho-EGFR (T669) was immunoprecipitated from 0.2 mg A431 starved overnight then treated with 100ng/mL EGF for 15 minutes cell lysate with HA751333 at 2 µg/10 µl beads. Western blot was performed from the immunoprecipitate using HA751333 at 1/2,000 dilution. HRP Conjugated Anti-Rabbit IgG for IP Nano-secondary antibody at 1/5,000 dilution was used for 1 hour at room temperature. Lane 1: A431 starved overnight then treated with 100ng/mL EGF for 15 minutes cell lysate (input) Lane 2: HA751333 IP in A431 starved overnight then treated with 100ng/mL EGF for 15 minutes cell lysate Lane 3: Rabbit IgG instead of HA751333 in A431 starved overnight then treated with 100ng/mL EGF for 15 minutes cell lysate Blocking/Dilution buffer: primary antibody dilution (K1803) Exposure time: 59 seconds; ECL: K1801
quantity: 100μl
price: 649.00 USD
to the supplier
EGFR
HUABIO
catalog: IRS046
domestic rabbit monoclonal
reactivity:
human
mIHC analysis of human lung cancer tissue (Formalin/PFA-fixed paraffin-embedded sections) with Rabbit anti-EGFR antibody (IRS046) at 1/100 dilution. The immunostaining was performed with the IRISKitCmTSA Kit (900808). Heat mediated antigen retrieval with Tris-EDTA buffer (pH 9.0) for 30 mins at 95℃. DAPI (blue) was used as a nuclear counter stain. Image acquisition was performed with Olympus VS200 Slide Scanner.
mIHC analysis of human kidney cortex tissue (Formalin/PFA-fixed paraffin-embedded sections) with Rabbit anti-EGFR antibody (IRS046) at 1/100 dilution. The immunostaining was performed with the IRISKitCmTSA Kit (900808). Heat mediated antigen retrieval with Tris-EDTA buffer (pH 9.0) for 30 mins at 95℃. DAPI (blue) was used as a nuclear counter stain. Image acquisition was performed with Olympus VS200 Slide Scanner.
mIHC analysis of human kidney medulla tissue (Formalin/PFA-fixed paraffin-embedded sections) with Rabbit anti-EGFR antibody (IRS046) at 1/100 dilution. The immunostaining was performed with the IRISKitCmTSA Kit (900808). Heat mediated antigen retrieval with Tris-EDTA buffer (pH 9.0) for 30 mins at 95℃. DAPI (blue) was used as a nuclear counter stain. Image acquisition was performed with Olympus VS200 Slide Scanner.
quantity: 100μl
price: 385.00 USD
to the supplier
EGFR
HUABIO
catalog: R1511-18
domestic rabbit polyclonal
reactivity:
human
application:
western blot
,
immunohistochemistry - paraffin section
Western blot analysis of EGFR on different cell lysate using anti-EGFR antibody at 1/1,000 dilution. Positive control: Lane 1: Hela Lane 2: HUVEC Lane 3: A431
ICC staining EGFR in A431 cells (green). The nuclear counter stain is DAPI (blue). Cells were fixed in paraformaldehyde, permeabilised with 0.25% Triton X100/PBS.
Immunohistochemical analysis of paraffin-embedded human tonsil tissue using anti-EGFR antibody. Counter stained with hematoxylin.
quantity: 100μl
price: 330 USD
to the supplier
EGFR
HUABIO
catalog: R1608-3
domestic rabbit polyclonal
reactivity:
human
,
mouse
,
rat
application:
western blot
,
flow cytometry
,
immunohistochemistry - paraffin section
Western blot analysis of EGFR on A431 (1) and HepG2 (2) cell lysate using anti-EGFR antibody at 1/1,000 dilution.
ICC staining EGFR in A431 cells (green). The nuclear counter stain is DAPI (blue). Cells were fixed in paraformaldehyde, permeabilised with 0.25% Triton X100/PBS.
ICC staining EGFR in HepG2 cells (green). The nuclear counter stain is DAPI (blue). Cells were fixed in paraformaldehyde, permeabilised with 0.25% Triton X100/PBS.
quantity: 100μl
price: 330 USD
to the supplier
Anti-EGFR Antibody [SZ40-19]
HUABIO
catalog: ET1603-37TR
domestic rabbit monoclonal (SZ40-19)
reactivity:
human
,
mouse
,
rat
application:
western blot
,
immunoprecipitation
,
flow cytometry
,
immunohistochemistry - paraffin section
quantity: 20 uL
price: 99 USD
to the supplier