Sign in
Sign up
home
>
HUABIO
> HUABIO B220 antibody
CD45
HUABIO
catalog: HA500575
domestic rabbit polyclonal
reactivity:
mouse
application:
western blot
,
flow cytometry
Western blot analysis of CD45 on different lysates with Rabbit anti-CD45 antibody (HA500575) at 1/5,000 dilution. Lane 1: C2C12 cell lysate (negative) (30 µg/Lane) Lane 2: A20 cell lysate (10 µg/Lane) Lane 3: Mouse spleen tissue lysate (10 µg/Lane) Predicted band size: 145 kDa Observed band size: 250 kDa Exposure time: 2 seconds; ECL: K1801; 4-20% SDS-PAGE gel. Proteins were transferred to a PVDF membrane and blocked with 5% NFDM/TBST for 1 hour at room temperature. The primary antibody (HA500575) at 1/5,000 dilution was used in primary antibody dilution (K1803) at 4℃ overnight. Goat Anti-Rabbit IgG - HRP Secondary Antibody (HA1001) at 1/50,000 dilution was used for 1 hour at room temperature.
Immunocytochemistry analysis of A20 cells labeling CD45 with Rabbit anti-CD45 antibody (HA500575) at 1/250 dilution. Cells were fixed in 4% paraformaldehyde for 15 minutes at room temperature, permeabilized with 0.1% Triton X-100 in PBS for 15 minutes at room temperature, then blocked with 1% BSA in 10% negative goat serum for 1 hour at room temperature. Cells were then incubated with Rabbit anti-CD45 antibody (HA500575) at 1/250 dilution in 1% BSA in PBST overnight at 4 ℃. Goat Anti-Rabbit IgG H&L (iFluor™ 488, HA1121) was used as the secondary antibody at 1/1,000 dilution. PBS instead of the primary antibody was used as the secondary antibody only control. Nuclear DNA was labelled in blue with DAPI. Beta tubulin (HA601187, red) was stained at 1/100 dilution overnight at +4℃. Goat Anti-Mouse IgG H&L (iFluor™ 594, HA1126) was used as the secondary antibody at 1/1,000 dilution.
Flow cytometric analysis of A20 cells labeling CD45. Cells were washed twice with cold PBS and resuspend. Then stained with the primary antibody (HA500575, 1/1,000) (red) compared with Rabbit IgG Isotype Control (green). After incubation of the primary antibody at +4℃ for an hour, the cells were stained with a iFluor™ 488 conjugate-Goat anti-Rabbit IgG Secondary antibody (HA1121) at 1/1,000 dilution for 30 minutes at +4℃. Unlabelled sample was used as a control (cells without incubation with primary antibody; black).
quantity: 100μl
price: 330 USD
to the supplier
Mouse CD45R
HUABIO
catalog: HA601385
rat monoclonal (PSH10-80)
reactivity:
mouse
application:
flow cytometry
,
immunohistochemistry - paraffin section
Immunohistochemical analysis of paraffin-embedded mouse spleen tissue with Rat anti-Mouse CD45R antibody (HA601385) at 1/1,000 dilution. The section was pre-treated using heat mediated antigen retrieval with Tris-EDTA buffer (pH 9.0) for 20 minutes. The tissues were blocked in 1% BSA for 20 minutes at room temperature, washed with ddH2O and PBS, and then probed with the primary antibody (HA601385) at 1/1,000 dilution for 1 hour at room temperature. The detection was performed using an HRP conjugated compact polymer system. DAB was used as the chromogen. Tissues were counterstained with hematoxylin and mounted with DPX.
Flow cytometric analysis of mouse spleen cells labeling Mouse CD45R (HA601385). Cells were washed twice with cold PBS and resuspend. Then stained with the primary antibody (HA601385, 1/1,000). After incubation of the primary antibody at +4℃ for an hour, the cells were stained with a Dylight 488 conjugate-Goat anti-Rat IgG Secondary antibody at 1/1,000 dilution for 30 minutes at +4℃.
Application: IF-Tissue Species: Mouse Site: spleen Sample: Paraffin-embedded section Antibody concentration: 1/500
quantity: 100μl
price: 330 USD
to the supplier
Mouse CD45R
HUABIO
catalog: HA610229
rat monoclonal (PSH10-80)
reactivity:
mouse
application:
flow cytometry
,
immunohistochemistry - paraffin section
Immunohistochemical analysis of paraffin-embedded mouse spleen tissue with Rat anti-Mouse CD45R antibody (HA610229) at 1/1,000 dilution. The section was pre-treated using heat mediated antigen retrieval with Tris-EDTA buffer (pH 9.0) for 20 minutes. The tissues were blocked in 1% BSA for 20 minutes at room temperature, washed with ddH2O and PBS, and then probed with the primary antibody (HA610229) at 1/1,000 dilution for 1 hour at room temperature. The detection was performed using an HRP conjugated compact polymer system. DAB was used as the chromogen. Tissues were counterstained with hematoxylin and mounted with DPX.
Flow cytometric analysis of mouse spleen cells labeling Mouse CD45R (HA610229). Cells were washed twice with cold PBS and resuspend. Then stained with the primary antibody (HA610229, 1/1,000). After incubation of the primary antibody at +4℃ for an hour, the cells were stained with a Dylight 488 conjugate-Goat anti-Rat IgG Secondary antibody at 1/1,000 dilution for 30 minutes at +4℃.
Application: IF-Tissue Species: Mouse Site: spleen Sample: Paraffin-embedded section Antibody concentration: 1/500
quantity: 100μg
price: 649.00 USD
to the supplier
CD45
HUABIO
catalog: HA723506
domestic rabbit monoclonal (PSH13-01)
reactivity:
mouse
application:
western blot
,
flow cytometry
,
immunohistochemistry - paraffin section
,
immunohistochemistry - frozen section
Western blot analysis of CD45 on different lysates with Rabbit anti-CD45 antibody (HA723506) at 1/5,000 dilution. Lane 1: RAW264.7 cell lysate Lane 2: C2C12 cell lysate (negative) Lane 3: A20 cell lysate Lysates/proteins at 20 µg/Lane. Predicted band size: 145 kDa Observed band size: 250 kDa Exposure time: 3 minutes; ECL: K1802; 4-20% SDS-PAGE gel. Proteins were transferred to a PVDF membrane and blocked with 5% NFDM/TBST for 1 hour at room temperature. The primary antibody (HA723506) at 1/5,000 dilution was used in primary antibody dilution (K1803) at 4℃ overnight. Goat Anti-Rabbit IgG - HRP Secondary Antibody (HA1001) at 1/50,000 dilution was used for 1 hour at room temperature.
Immunohistochemical analysis of paraffin-embedded mouse spleen tissue with Rabbit anti-CD45 antibody (HA723506) at 1/1,000 dilution. The section was pre-treated using heat mediated antigen retrieval with Tris-EDTA buffer (pH 9.0) for 20 minutes. The tissues were blocked in 1% BSA for 20 minutes at room temperature, washed with ddH2O and PBS, and then probed with the primary antibody (HA723506) at 1/1,000 dilution for 1 hour at room temperature. The detection was performed using an HRP conjugated compact polymer system. DAB was used as the chromogen. Tissues were counterstained with hematoxylin and mounted with DPX.
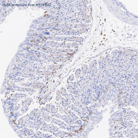
Immunohistochemical analysis of paraffin-embedded mouse stomach tissue with Rabbit anti-CD45 antibody (HA723506) at 1/1,000 dilution. The section was pre-treated using heat mediated antigen retrieval with Tris-EDTA buffer (pH 9.0) for 20 minutes. The tissues were blocked in 1% BSA for 20 minutes at room temperature, washed with ddH2O and PBS, and then probed with the primary antibody (HA723506) at 1/1,000 dilution for 1 hour at room temperature. The detection was performed using an HRP conjugated compact polymer system. DAB was used as the chromogen. Tissues were counterstained with hematoxylin and mounted with DPX.
quantity: 100μl
price: 385.00 USD
to the supplier
CD45
HUABIO
catalog: HA723507
domestic rabbit monoclonal (PSH13-02)
reactivity:
mouse
,
rat
application:
western blot
,
immunohistochemistry - frozen section
Western blot analysis of CD45 on different lysates with Rabbit anti-CD45 antibody (HA723507) at 1/5,000 dilution. Lane 1: RAW264.7 cell lysate (20 µg/Lane) Lane 2: C2C12 cell lysate (negative) (20 µg/Lane) Lane 3: A20 cell lysate (20 µg/Lane) Lane 2: Neuro-2a cell lysate (negative) (20 µg/Lane) Lane 3: Mouse spleen tissue lysate (40 µg/Lane) Lane 3: Rat spleen tissue lysate (40 µg/Lane) Predicted band size: 145 kDa Observed band size: 250 kDa Exposure time: 4 seconds; ECL: K1801; 4-20% SDS-PAGE gel. Proteins were transferred to a PVDF membrane and blocked with 5% NFDM/TBST for 1 hour at room temperature. The primary antibody (HA723507) at 1/5,000 dilution was used in primary antibody dilution (K1803) at 4℃ overnight. Goat Anti-Rabbit IgG - HRP Secondary Antibody (HA1001) at 1/50,000 dilution was used for 1 hour at room temperature.
Application: IHC-Fr Species: Mouse Site: spleen Sample: Frozen section Antibody concentration: 1/500 Antigen retrieval: Not required
Application: IHC-Fr Species: Rat Site: spleen Sample: Frozen section Antibody concentration: 1/500 Antigen retrieval: Not required
quantity: 100μl
price: 385.00 USD
to the supplier
CD45
HUABIO
catalog: HA723606
domestic rabbit polyclonal (PSH14-19)
reactivity:
human
,
mouse
application:
western blot
,
immunohistochemistry - paraffin section
Western blot analysis of CD45 on different lysates with Rabbit anti-CD45 antibody (HA723606) at 1/5,000 dilution. Lane 1: Jurkat cell lysate Lane 2: MCF7 cell lysate (negative) Lane 3: Raji cell lysate Lane 4: A20 cell lysate Lane 5: C2C12 cell lysate (negative) Lane 6: RAW234.7 cell lysate Lysates/proteins at 20 µg/Lane. Predicted band size: 145 kDa Observed band size: 250 kDa Exposure time: 20 seconds; ECL: K1801; 4-20% SDS-PAGE gel. Proteins were transferred to a PVDF membrane and blocked with 5% NFDM/TBST for 1 hour at room temperature. The primary antibody (HA723606) at 1/5,000 dilution was used in primary antibody dilution (K1803) at 4℃ overnight. Goat Anti-Rabbit IgG - HRP Secondary Antibody (HA1001) at 1/50,000 dilution was used for 1 hour at room temperature.
Immunocytochemistry analysis of Jurkat cells labeling CD45 with Rabbit anti-CD45 antibody (HA723606) at 1/500 dilution. Cells were fixed in 4% paraformaldehyde for 15 minutes at room temperature, permeabilized with 0.1% Triton X-100 in PBS for 15 minutes at room temperature, then blocked with 1% BSA in 10% negative goat serum for 1 hour at room temperature. Cells were then incubated with Rabbit anti-CD45 antibody (HA723606) at 1/500 dilution in 1% BSA in PBST overnight at 4 ℃. Goat Anti-Rabbit IgG H&L (iFluor™ 488, HA1121) was used as the secondary antibody at 1/1,000 dilution. PBS instead of the primary antibody was used as the secondary antibody only control. Nuclear DNA was labelled in blue with DAPI. Beta tubulin (HA601187, red) was stained at 1/100 dilution overnight at +4℃. Goat Anti-Mouse IgG H&L (iFluor™ 594, HA1126) was used as the secondary antibody at 1/1,000 dilution.
Immunocytochemistry analysis of RAW264.7 cells labeling CD45 with Rabbit anti-CD45 antibody (HA723606) at 1/1,000 dilution. Cells were fixed in 4% paraformaldehyde for 15 minutes at room temperature, permeabilized with 0.1% Triton X-100 in PBS for 15 minutes at room temperature, then blocked with 1% BSA in 10% negative goat serum for 1 hour at room temperature. Cells were then incubated with Rabbit anti-CD45 antibody (HA723606) at 1/1,000 dilution in 1% BSA in PBST overnight at 4 ℃. Goat Anti-Rabbit IgG H&L (iFluor™ 488, HA1121) was used as the secondary antibody at 1/1,000 dilution. PBS instead of the primary antibody was used as the secondary antibody only control. Nuclear DNA was labelled in blue with DAPI. Beta tubulin (HA601187, red) was stained at 1/100 dilution overnight at +4℃. Goat Anti-Mouse IgG H&L (iFluor™ 594, HA1126) was used as the secondary antibody at 1/1,000 dilution.
quantity: 100μl
price: 385.00 USD
to the supplier
CD45
HUABIO
catalog: HA751456
domestic rabbit monoclonal (PSH13-01)
reactivity:
mouse
application:
western blot
,
flow cytometry
,
immunohistochemistry - paraffin section
,
immunohistochemistry - frozen section
Western blot analysis of CD45 on different lysates with Rabbit anti-CD45 antibody (HA751456) at 1/5,000 dilution. Lane 1: RAW264.7 cell lysate Lane 2: C2C12 cell lysate (negative) Lane 3: A20 cell lysate Lysates/proteins at 20 µg/Lane. Predicted band size: 145 kDa Observed band size: 250 kDa Exposure time: 3 minutes; ECL: K1802; 4-20% SDS-PAGE gel. Proteins were transferred to a PVDF membrane and blocked with 5% NFDM/TBST for 1 hour at room temperature. The primary antibody (HA751456) at 1/5,000 dilution was used in primary antibody dilution (K1803) at 4℃ overnight. Goat Anti-Rabbit IgG - HRP Secondary Antibody (HA1001) at 1/50,000 dilution was used for 1 hour at room temperature.
Immunohistochemical analysis of paraffin-embedded mouse spleen tissue with Rabbit anti-CD45 antibody (HA751456) at 1/1,000 dilution. The section was pre-treated using heat mediated antigen retrieval with Tris-EDTA buffer (pH 9.0) for 20 minutes. The tissues were blocked in 1% BSA for 20 minutes at room temperature, washed with ddH2O and PBS, and then probed with the primary antibody (HA751456) at 1/1,000 dilution for 1 hour at room temperature. The detection was performed using an HRP conjugated compact polymer system. DAB was used as the chromogen. Tissues were counterstained with hematoxylin and mounted with DPX.
Immunohistochemical analysis of paraffin-embedded mouse stomach tissue with Rabbit anti-CD45 antibody (HA751456) at 1/1,000 dilution. The section was pre-treated using heat mediated antigen retrieval with Tris-EDTA buffer (pH 9.0) for 20 minutes. The tissues were blocked in 1% BSA for 20 minutes at room temperature, washed with ddH2O and PBS, and then probed with the primary antibody (HA751456) at 1/1,000 dilution for 1 hour at room temperature. The detection was performed using an HRP conjugated compact polymer system. DAB was used as the chromogen. Tissues were counterstained with hematoxylin and mounted with DPX.
quantity: 100μl
price: 649.00 USD
to the supplier
CD45
HUABIO
catalog: HA751457
domestic rabbit monoclonal (PSH13-02)
reactivity:
mouse
,
rat
application:
western blot
,
immunohistochemistry - frozen section
Western blot analysis of CD45 on different lysates with Rabbit anti-CD45 antibody (HA751457) at 1/5,000 dilution. Lane 1: RAW264.7 cell lysate (20 µg/Lane) Lane 2: C2C12 cell lysate (negative) (20 µg/Lane) Lane 3: A20 cell lysate (20 µg/Lane) Lane 2: Neuro-2a cell lysate (negative) (20 µg/Lane) Lane 3: Mouse spleen tissue lysate (40 µg/Lane) Lane 3: Rat spleen tissue lysate (40 µg/Lane) Predicted band size: 145 kDa Observed band size: 250 kDa Exposure time: 4 seconds; ECL: K1801; 4-20% SDS-PAGE gel. Proteins were transferred to a PVDF membrane and blocked with 5% NFDM/TBST for 1 hour at room temperature. The primary antibody (HA751457) at 1/5,000 dilution was used in primary antibody dilution (K1803) at 4℃ overnight. Goat Anti-Rabbit IgG - HRP Secondary Antibody (HA1001) at 1/50,000 dilution was used for 1 hour at room temperature.
Application: IHC-Fr Species: Mouse Site: spleen Sample: Frozen section Antibody concentration: 1/500 Antigen retrieval: Not required
Application: IHC-Fr Species: Rat Site: spleen Sample: Frozen section Antibody concentration: 1/500 Antigen retrieval: Not required
quantity: 100μl
price: 649.00 USD
to the supplier
CD45
HUABIO
catalog: HA751510
domestic rabbit polyclonal (PSH14-19)
reactivity:
human
,
mouse
application:
western blot
,
immunohistochemistry - paraffin section
Western blot analysis of CD45 on different lysates with Rabbit anti-CD45 antibody (HA751510) at 1/5,000 dilution. Lane 1: Jurkat cell lysate Lane 2: MCF7 cell lysate (negative) Lane 3: Raji cell lysate Lane 4: A20 cell lysate Lane 5: C2C12 cell lysate (negative) Lane 6: RAW234.7 cell lysate Lysates/proteins at 20 µg/Lane. Predicted band size: 145 kDa Observed band size: 250 kDa Exposure time: 20 seconds; ECL: K1801; 4-20% SDS-PAGE gel. Proteins were transferred to a PVDF membrane and blocked with 5% NFDM/TBST for 1 hour at room temperature. The primary antibody (HA751510) at 1/5,000 dilution was used in primary antibody dilution (K1803) at 4℃ overnight. Goat Anti-Rabbit IgG - HRP Secondary Antibody (HA1001) at 1/50,000 dilution was used for 1 hour at room temperature.
Immunocytochemistry analysis of Jurkat cells labeling CD45 with Rabbit anti-CD45 antibody (HA751510) at 1/500 dilution. Cells were fixed in 4% paraformaldehyde for 15 minutes at room temperature, permeabilized with 0.1% Triton X-100 in PBS for 15 minutes at room temperature, then blocked with 1% BSA in 10% negative goat serum for 1 hour at room temperature. Cells were then incubated with Rabbit anti-CD45 antibody (HA751510) at 1/500 dilution in 1% BSA in PBST overnight at 4 ℃. Goat Anti-Rabbit IgG H&L (iFluor™ 488, HA1121) was used as the secondary antibody at 1/1,000 dilution. PBS instead of the primary antibody was used as the secondary antibody only control. Nuclear DNA was labelled in blue with DAPI. Beta tubulin (HA601187, red) was stained at 1/100 dilution overnight at +4℃. Goat Anti-Mouse IgG H&L (iFluor™ 594, HA1126) was used as the secondary antibody at 1/1,000 dilution.
Immunocytochemistry analysis of RAW264.7 cells labeling CD45 with Rabbit anti-CD45 antibody (HA751510) at 1/1,000 dilution. Cells were fixed in 4% paraformaldehyde for 15 minutes at room temperature, permeabilized with 0.1% Triton X-100 in PBS for 15 minutes at room temperature, then blocked with 1% BSA in 10% negative goat serum for 1 hour at room temperature. Cells were then incubated with Rabbit anti-CD45 antibody (HA751510) at 1/1,000 dilution in 1% BSA in PBST overnight at 4 ℃. Goat Anti-Rabbit IgG H&L (iFluor™ 488, HA1121) was used as the secondary antibody at 1/1,000 dilution. PBS instead of the primary antibody was used as the secondary antibody only control. Nuclear DNA was labelled in blue with DAPI. Beta tubulin (HA601187, red) was stained at 1/100 dilution overnight at +4℃. Goat Anti-Mouse IgG H&L (iFluor™ 594, HA1126) was used as the secondary antibody at 1/1,000 dilution.
quantity: 100μl
price: 649.00 USD
to the supplier