domestic rabbit polyclonal
reactivity: human, mouse, rat
application: western blot, immunohistochemistry - paraffin section
reactivity: human, mouse, rat
application: western blot, immunohistochemistry - paraffin section

Western blot analysis of PSMC5 on different lysates with Rabbit anti-PSMC5 antibody (HA500352) at 1/500 dilution. Lane 1: MCF-7 cell lysate Lane 2: Hela cell lysate Lane 3: 293T cell lysate Lysates/proteins at 10 µg/Lane. Predicted band size: 46 kDa Observed band size: 46 kDa Exposure time: 1 minute; 10% SDS-PAGE gel. Proteins were transferred to a PVDF membrane and blocked with 5% NFDM/TBST for 1 hour at room temperature. The primary antibody (HA500352) at 1/500 dilution was used in 5% NFDM/TBST at room temperature for 2 hours. Goat Anti-Rabbit IgG - HRP Secondary Antibody (HA1001) at 1:300,000 dilution was used for 1 hour at room temperature.

Western blot analysis of PSMC5 on different lysates with Rabbit anti-PSMC5 antibody (HA500352) at 1/500 dilution. Lane 1: Mouse heart tissue lysate Lane 2: Mouse brain tissue lysate Lane 3: Rat testis tissue lysate Lysates/proteins at 20 µg/Lane. Predicted band size: 46 kDa Observed band size: 46 kDa Exposure time: 1 minute; 10% SDS-PAGE gel. Proteins were transferred to a PVDF membrane and blocked with 5% NFDM/TBST for 1 hour at room temperature. The primary antibody (HA500352) at 1/500 dilution was used in 5% NFDM/TBST at room temperature for 2 hours. Goat Anti-Rabbit IgG - HRP Secondary Antibody (HA1001) at 1:300,000 dilution was used for 1 hour at room temperature.

Immunohistochemical analysis of paraffin-embedded rat brain tissue with Rabbit anti-PSMC5 antibody (HA500352) at 1/1,500 dilution. The section was pre-treated using heat mediated antigen retrieval with sodium citrate buffer (pH 6.0) (high pressure) for 2 minutes. The tissues were blocked in 1% BSA for 20 minutes at room temperature, washed with ddH2O and PBS, and then probed with the primary antibody (HA500352) at 1/1,500 dilution for 1 hour at room temperature. The detection was performed using an HRP conjugated compact polymer system. DAB was used as the chromogen. Tissues were counterstained with hematoxylin and mounted with DPX.
quantity: 100μl
price: 330 USD
to the supplier
domestic rabbit polyclonal
reactivity: human, mouse, rat
application: western blot, immunohistochemistry - paraffin section
reactivity: human, mouse, rat
application: western blot, immunohistochemistry - paraffin section

Western blot analysis of PSMC5 on different lysates with Rabbit anti-PSMC5 antibody (HA500423) at 1/1,000 dilution. Lane 1: A431 cell lysate (10 µg/Lane) Lane 2: MCF-7 cell lysate (10 µg/Lane) Lane 3: Hela cell lysate (10 µg/Lane) Lane 4: HepG2 cell lysate (10 µg/Lane) Lane 5: Mouse testis tissue lysate (20 µg/Lane) Lane 6: Rat testis tissue lysate (20 µg/Lane) Predicted band size: 46 kDa Observed band size: 46/70 kDa Exposure time: 2 minutes; 10% SDS-PAGE gel. Proteins were transferred to a PVDF membrane and blocked with 5% NFDM/TBST for 1 hour at room temperature. The primary antibody (HA500423) at 1/1,000 dilution was used in 5% NFDM/TBST at room temperature for 2 hours. Goat Anti-Rabbit IgG - HRP Secondary Antibody (HA1001) at 1:300,000 dilution was used for 1 hour at room temperature.

Immunohistochemical analysis of paraffin-embedded rat brain tissue with Rabbit anti-PSMC5 antibody (HA500423) at 1/1,000 dilution. The section was pre-treated using heat mediated antigen retrieval with sodium citrate buffer (pH 6.0) (high pressure) for 2 minutes. The tissues were blocked in 1% BSA for 20 minutes at room temperature, washed with ddH2O and PBS, and then probed with the primary antibody (HA500423) at 1/1,000 dilution for 1 hour at room temperature. The detection was performed using an HRP conjugated compact polymer system. DAB was used as the chromogen. Tissues were counterstained with hematoxylin and mounted with DPX.

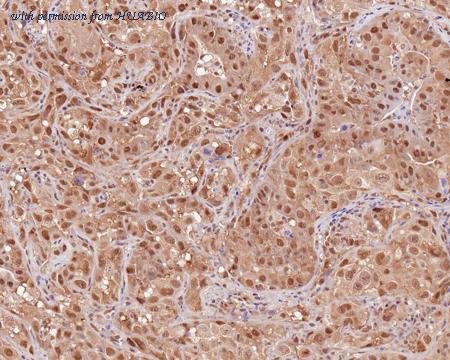
Immunohistochemical analysis of paraffin-embedded human lung carcinoma tissue with Rabbit anti-PSMC5 antibody (HA500423) at 1/1,000 dilution. The section was pre-treated using heat mediated antigen retrieval with sodium citrate buffer (pH 6.0) (high pressure) for 2 minutes. The tissues were blocked in 1% BSA for 20 minutes at room temperature, washed with ddH2O and PBS, and then probed with the primary antibody (HA500423) at 1/1,000 dilution for 1 hour at room temperature. The detection was performed using an HRP conjugated compact polymer system. DAB was used as the chromogen. Tissues were counterstained with hematoxylin and mounted with DPX.
quantity: 100μl
price: 330 USD
to the supplier
domestic rabbit monoclonal (PSH0-22)
reactivity: human, mouse, rat
application: western blot, immunohistochemistry - paraffin section
reactivity: human, mouse, rat
application: western blot, immunohistochemistry - paraffin section

Western blot analysis of PSMC5 on different lysates with Rabbit anti-PSMC5 antibody (HA721301) at 1/1,000 dilution. Lane 1: A431 cell lysate (20 µg/Lane) Lane 2: MCF-7 cell lysate (20 µg/Lane) Lane 3: Hela cell lysate (20 µg/Lane) Lane 4: HepG2 cell lysate (20 µg/Lane) Lane 5: 293T cell lysate (20 µg/Lane) Lane 6: NIH/3T3 cell lysate (20 µg/Lane) Lane 7: PC-12 cell lysate (20 µg/Lane) Lane 8: Mouse testis tissue lysate (40 µg/Lane) Lane 9: Mouse heart tissue lysate (40 µg/Lane) Lane 10: Rat testis tissue lysate (40 µg/Lane) Lane 11: Rat brain tissue lysate (40 µg/Lane) Predicted band size: 46 kDa Observed band size: 46 kDa Exposure time: 30 seconds; 4-20% SDS-PAGE gel. Proteins were transferred to a PVDF membrane and blocked with 5% NFDM/TBST for 1 hour at room temperature. The primary antibody (HA721301) at 1/1,000 dilution was used in 5% NFDM/TBST at room temperature for 2 hours. Goat Anti-Rabbit IgG - HRP Secondary Antibody (HA1001) at 1:300,000 dilution was used for 1 hour at room temperature.

Immunohistochemical analysis of paraffin-embedded human lung carcinoma tissue with Rabbit anti-PSMC5 antibody (HA721301) at 1/1,000 dilution. The section was pre-treated using heat mediated antigen retrieval with sodium citrate buffer (pH 6.0) (high pressure) for 2 minutes. The tissues were blocked in 1% BSA for 20 minutes at room temperature, washed with ddH2O and PBS, and then probed with the primary antibody (HA721301) at 1/1,000 dilution for 1 hour at room temperature. The detection was performed using an HRP conjugated compact polymer system. DAB was used as the chromogen. Tissues were counterstained with hematoxylin and mounted with DPX.

Immunohistochemical analysis of paraffin-embedded mouse brain tissue with Rabbit anti-PSMC5 antibody (HA721301) at 1/1,000 dilution. The section was pre-treated using heat mediated antigen retrieval with sodium citrate buffer (pH 6.0) (high pressure) for 2 minutes. The tissues were blocked in 1% BSA for 20 minutes at room temperature, washed with ddH2O and PBS, and then probed with the primary antibody (HA721301) at 1/1,000 dilution for 1 hour at room temperature. The detection was performed using an HRP conjugated compact polymer system. DAB was used as the chromogen. Tissues were counterstained with hematoxylin and mounted with DPX.
quantity: 100μl
price: 385.00 USD
to the supplier
domestic rabbit monoclonal (PSH0-22)
reactivity: human, mouse, rat
application: western blot, immunohistochemistry - paraffin section
reactivity: human, mouse, rat
application: western blot, immunohistochemistry - paraffin section

Western blot analysis of PSMC5 on different lysates with Rabbit anti-PSMC5 antibody (HA750596) at 1/1,000 dilution. Lane 1: A431 cell lysate (20 µg/Lane) Lane 2: MCF-7 cell lysate (20 µg/Lane) Lane 3: Hela cell lysate (20 µg/Lane) Lane 4: HepG2 cell lysate (20 µg/Lane) Lane 5: 293T cell lysate (20 µg/Lane) Lane 6: NIH/3T3 cell lysate (20 µg/Lane) Lane 7: PC-12 cell lysate (20 µg/Lane) Lane 8: Mouse testis tissue lysate (40 µg/Lane) Lane 9: Mouse heart tissue lysate (40 µg/Lane) Lane 10: Rat testis tissue lysate (40 µg/Lane) Lane 11: Rat brain tissue lysate (40 µg/Lane) Predicted band size: 46 kDa Observed band size: 46 kDa Exposure time: 30 seconds; 4-20% SDS-PAGE gel. Proteins were transferred to a PVDF membrane and blocked with 5% NFDM/TBST for 1 hour at room temperature. The primary antibody (HA750596) at 1/1,000 dilution was used in 5% NFDM/TBST at room temperature for 2 hours. Goat Anti-Rabbit IgG - HRP Secondary Antibody (HA1001) at 1:300,000 dilution was used for 1 hour at room temperature.

Immunohistochemical analysis of paraffin-embedded human lung carcinoma tissue with Rabbit anti-PSMC5 antibody (HA750596) at 1/1,000 dilution. The section was pre-treated using heat mediated antigen retrieval with sodium citrate buffer (pH 6.0) (high pressure) for 2 minutes. The tissues were blocked in 1% BSA for 20 minutes at room temperature, washed with ddH2O and PBS, and then probed with the primary antibody (HA750596) at 1/1,000 dilution for 1 hour at room temperature. The detection was performed using an HRP conjugated compact polymer system. DAB was used as the chromogen. Tissues were counterstained with hematoxylin and mounted with DPX.

Immunohistochemical analysis of paraffin-embedded mouse brain tissue with Rabbit anti-PSMC5 antibody (HA750596) at 1/1,000 dilution. The section was pre-treated using heat mediated antigen retrieval with sodium citrate buffer (pH 6.0) (high pressure) for 2 minutes. The tissues were blocked in 1% BSA for 20 minutes at room temperature, washed with ddH2O and PBS, and then probed with the primary antibody (HA750596) at 1/1,000 dilution for 1 hour at room temperature. The detection was performed using an HRP conjugated compact polymer system. DAB was used as the chromogen. Tissues were counterstained with hematoxylin and mounted with DPX.
quantity: 100μl
price: 649.00 USD
to the supplier
