domestic rabbit monoclonal (PSH02-36)
reactivity: human, mouse, rat
application: western blot, immunoprecipitation, flow cytometry, immunohistochemistry - paraffin section
reactivity: human, mouse, rat
application: western blot, immunoprecipitation, flow cytometry, immunohistochemistry - paraffin section

Western blot analysis of NSDHL on different lysates with Rabbit anti-NSDHL antibody (HA721813) at 1/1,000 dilution. Lane 1: HeLa cell lysate Lane 2: HepG2 cell lysate Lane 3: A431 cell lysate Lane 4: HEK-293 cell lysate Lane 5: AGS cell lysate Lane 6: MCF7 cell lysate Lane 7: MDA-MB-231 cell lysate Lane 8: NIH/3T3 cell lysate Lane 9: bEnd.3 cell lysate Lane 10: PC-12 cell lysate Lane 11: C6 cell lysate Lane 12: Human liver tissue lysate Lane 13: Mouse liver tissue lysate Lane 14: Rat liver tissue lysate Lysates/proteins at 30 µg/Lane. Predicted band size: 42 kDa Observed band size: 37 kDa Exposure time: 42 seconds; 4-20% SDS-PAGE gel. Proteins were transferred to a PVDF membrane and blocked with 5% NFDM/TBST for 1 hour at room temperature. The primary antibody (HA721813) at 1/1,000 dilution was used in 5% NFDM/TBST at 4℃ overnight. Goat Anti-Rabbit IgG - HRP Secondary Antibody (HA1001) at 1/50,000 dilution was used for 1 hour at room temperature.

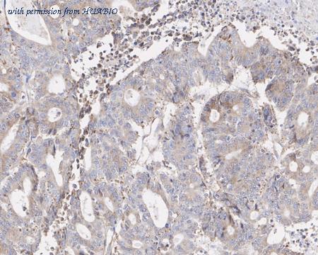
Immunohistochemical analysis of paraffin-embedded human colon cancer tissue with Rabbit anti-NSDHL antibody (HA721813) at 1/1,000 dilution. The section was pre-treated using heat mediated antigen retrieval with Tris-EDTA buffer (pH 9.0) for 20 minutes. The tissues were blocked in 1% BSA for 20 minutes at room temperature, washed with ddH2O and PBS, and then probed with the primary antibody (HA721813) at 1/1,000 dilution for 1 hour at room temperature. The detection was performed using an HRP conjugated compact polymer system. DAB was used as the chromogen. Tissues were counterstained with hematoxylin and mounted with DPX.

Western blot analysis of NSDHL on different lysates with Rabbit anti-NSDHL antibody (HA721813) at 1/2,000 dilution. Lane 1: HAP1-parental cell lysate Lane 2: HAP1-NSDHL KD cell lysate Lysates/proteins at 10 µg/Lane. Predicted band size: 42 kDa Observed band size: 40 kDa Exposure time: 4 seconds; ECL: K1801; 4-20% SDS-PAGE gel. Proteins were transferred to a PVDF membrane and blocked with 5% NFDM/TBST for 1 hour at room temperature. The primary antibody (HA721813) at 1/2,000 dilution was used in primary antibody dilution (K1803) at 4℃ overnight. Goat Anti-Rabbit IgG - HRP Secondary Antibody (HA1001) at 1/50,000 dilution was used for 1 hour at room temperature.
quantity: 100μl
price: 385.00 USD
to the supplier
domestic rabbit monoclonal (PSH02-37)
reactivity: human, mouse, rat
application: western blot, flow cytometry, immunohistochemistry - paraffin section
reactivity: human, mouse, rat
application: western blot, flow cytometry, immunohistochemistry - paraffin section

Western blot analysis of NSDHL on different lysates with Rabbit anti-NSDHL antibody (HA721814) at 1/1,000 dilution. Lane 1: HeLa cell lysate Lane 2: HepG2 cell lysate Lane 3: A431 cell lysate Lane 4: HEK-293 cell lysate Lane 5: AGS cell lysate Lane 6: MCF7 cell lysate Lane 7: MDA-MB cell lysate Lane 8: Human liver tissue lysate Lane 9: Rat liver tissue lysate Lysates/proteins at 30 µg/Lane. Predicted band size: 42 kDa Observed band size: 37 kDa Exposure time: 3 minutes 22 seconds; 4-20% SDS-PAGE gel. Proteins were transferred to a PVDF membrane and blocked with 5% NFDM/TBST for 1 hour at room temperature. The primary antibody (HA721814) at 1/1,000 dilution was used in 5% NFDM/TBST at 4℃ overnight. Goat Anti-Rabbit IgG - HRP Secondary Antibody (HA1001) at 1/50,000 dilution was used for 1 hour at room temperature.

Western blot analysis of NSDHL on different lysates with Rabbit anti-NSDHL antibody (HA721814) at 1/2,000 dilution. Lane 1: HAP1-parental cell lysate Lane 2: HAP1-NSDHL KD cell lysate Lysates/proteins at 10 µg/Lane. Predicted band size: 42 kDa Observed band size: 40 kDa Exposure time: 4 seconds; ECL: K1801; 4-20% SDS-PAGE gel. Proteins were transferred to a PVDF membrane and blocked with 5% NFDM/TBST for 1 hour at room temperature. The primary antibody (HA721814) at 1/2,000 dilution was used in primary antibody dilution (K1803) at 4℃ overnight. Goat Anti-Rabbit IgG - HRP Secondary Antibody (HA1001) at 1/50,000 dilution was used for 1 hour at room temperature.

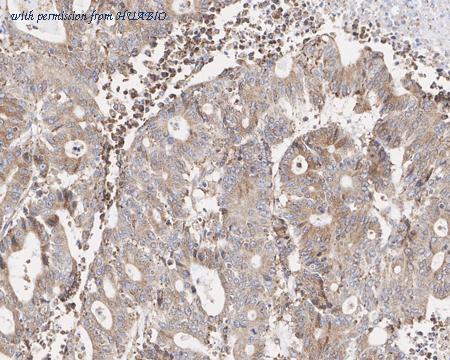
Immunohistochemical analysis of paraffin-embedded human colon cancer tissue with Rabbit anti-NSDHL antibody (HA721814) at 1/1,000 dilution. The section was pre-treated using heat mediated antigen retrieval with Tris-EDTA buffer (pH 9.0) for 20 minutes. The tissues were blocked in 1% BSA for 20 minutes at room temperature, washed with ddH2O and PBS, and then probed with the primary antibody (HA721814) at 1/1,000 dilution for 1 hour at room temperature. The detection was performed using an HRP conjugated compact polymer system. DAB was used as the chromogen. Tissues were counterstained with hematoxylin and mounted with DPX.
quantity: 100μl
price: 385.00 USD
to the supplier
domestic rabbit monoclonal (PSH02-36)
reactivity: human, mouse, rat
application: western blot, immunoprecipitation, flow cytometry, immunohistochemistry - paraffin section
reactivity: human, mouse, rat
application: western blot, immunoprecipitation, flow cytometry, immunohistochemistry - paraffin section

Western blot analysis of NSDHL on different lysates with Rabbit anti-NSDHL antibody (HA750801) at 1/1,000 dilution. Lane 1: HeLa cell lysate Lane 2: HepG2 cell lysate Lane 3: A431 cell lysate Lane 4: HEK-293 cell lysate Lane 5: AGS cell lysate Lane 6: MCF7 cell lysate Lane 7: MDA-MB-231 cell lysate Lane 8: NIH/3T3 cell lysate Lane 9: bEnd.3 cell lysate Lane 10: PC-12 cell lysate Lane 11: C6 cell lysate Lane 12: Human liver tissue lysate Lane 13: Mouse liver tissue lysate Lane 14: Rat liver tissue lysate Lysates/proteins at 30 µg/Lane. Predicted band size: 42 kDa Observed band size: 37 kDa Exposure time: 42 seconds; 4-20% SDS-PAGE gel. Proteins were transferred to a PVDF membrane and blocked with 5% NFDM/TBST for 1 hour at room temperature. The primary antibody (HA750801) at 1/1,000 dilution was used in 5% NFDM/TBST at 4℃ overnight. Goat Anti-Rabbit IgG - HRP Secondary Antibody (HA1001) at 1/50,000 dilution was used for 1 hour at room temperature.

Immunohistochemical analysis of paraffin-embedded human colon cancer tissue with Rabbit anti-NSDHL antibody (HA750801) at 1/1,000 dilution. The section was pre-treated using heat mediated antigen retrieval with Tris-EDTA buffer (pH 9.0) for 20 minutes. The tissues were blocked in 1% BSA for 20 minutes at room temperature, washed with ddH2O and PBS, and then probed with the primary antibody (HA750801) at 1/1,000 dilution for 1 hour at room temperature. The detection was performed using an HRP conjugated compact polymer system. DAB was used as the chromogen. Tissues were counterstained with hematoxylin and mounted with DPX.

Western blot analysis of NSDHL on different lysates with Rabbit anti-NSDHL antibody (HA750801) at 1/2,000 dilution. Lane 1: HAP1-parental cell lysate Lane 2: HAP1-NSDHL KD cell lysate Lysates/proteins at 10 µg/Lane. Predicted band size: 42 kDa Observed band size: 40 kDa Exposure time: 4 seconds; ECL: K1801; 4-20% SDS-PAGE gel. Proteins were transferred to a PVDF membrane and blocked with 5% NFDM/TBST for 1 hour at room temperature. The primary antibody (HA750801) at 1/2,000 dilution was used in primary antibody dilution (K1803) at 4℃ overnight. Goat Anti-Rabbit IgG - HRP Secondary Antibody (HA1001) at 1/50,000 dilution was used for 1 hour at room temperature.
quantity: 100μl
price: 649.00 USD
to the supplier
domestic rabbit monoclonal (PSH02-37)
reactivity: human, mouse, rat
application: western blot, flow cytometry, immunohistochemistry - paraffin section
reactivity: human, mouse, rat
application: western blot, flow cytometry, immunohistochemistry - paraffin section

Western blot analysis of NSDHL on different lysates with Rabbit anti-NSDHL antibody (HA750802) at 1/1,000 dilution. Lane 1: HeLa cell lysate Lane 2: HepG2 cell lysate Lane 3: A431 cell lysate Lane 4: HEK-293 cell lysate Lane 5: AGS cell lysate Lane 6: MCF7 cell lysate Lane 7: MDA-MB cell lysate Lane 8: Human liver tissue lysate Lane 9: Rat liver tissue lysate Lysates/proteins at 30 µg/Lane. Predicted band size: 42 kDa Observed band size: 37 kDa Exposure time: 3 minutes 22 seconds; 4-20% SDS-PAGE gel. Proteins were transferred to a PVDF membrane and blocked with 5% NFDM/TBST for 1 hour at room temperature. The primary antibody (HA750802) at 1/1,000 dilution was used in 5% NFDM/TBST at 4℃ overnight. Goat Anti-Rabbit IgG - HRP Secondary Antibody (HA1001) at 1/50,000 dilution was used for 1 hour at room temperature.

Western blot analysis of NSDHL on different lysates with Rabbit anti-NSDHL antibody (HA750802) at 1/2,000 dilution. Lane 1: HAP1-parental cell lysate Lane 2: HAP1-NSDHL KD cell lysate Lysates/proteins at 10 µg/Lane. Predicted band size: 42 kDa Observed band size: 40 kDa Exposure time: 4 seconds; ECL: K1801; 4-20% SDS-PAGE gel. Proteins were transferred to a PVDF membrane and blocked with 5% NFDM/TBST for 1 hour at room temperature. The primary antibody (HA750802) at 1/2,000 dilution was used in primary antibody dilution (K1803) at 4℃ overnight. Goat Anti-Rabbit IgG - HRP Secondary Antibody (HA1001) at 1/50,000 dilution was used for 1 hour at room temperature.

Immunohistochemical analysis of paraffin-embedded human colon cancer tissue with Rabbit anti-NSDHL antibody (HA750802) at 1/1,000 dilution. The section was pre-treated using heat mediated antigen retrieval with Tris-EDTA buffer (pH 9.0) for 20 minutes. The tissues were blocked in 1% BSA for 20 minutes at room temperature, washed with ddH2O and PBS, and then probed with the primary antibody (HA750802) at 1/1,000 dilution for 1 hour at room temperature. The detection was performed using an HRP conjugated compact polymer system. DAB was used as the chromogen. Tissues were counterstained with hematoxylin and mounted with DPX.
quantity: 100μl
price: 649.00 USD
to the supplier
