domestic rabbit monoclonal (SZ20-01)
reactivity: human, mouse, rat
application: western blot, immunocytochemistry, flow cytometry, immunohistochemistry - paraffin section
reactivity: human, mouse, rat
application: western blot, immunocytochemistry, flow cytometry, immunohistochemistry - paraffin section

Western blot analysis of NF-kB p105 / p50 on different lysates with Rabbit anti-NF-kB p105 / p50 antibody (ET1603-18) at 1/5,000 dilution. Lane 1: HCT 116-si NT cell lysate Lane 2: HCT 116-si NFKB1 cell lysate Lysates/proteins at 15 µg/Lane. Predicted band size: 105/50 kDa Observed band size: 105/50 kDa Exposure time: 30 seconds; ECL: K1801; 4-20% SDS-PAGE gel. Proteins were transferred to a PVDF membrane and blocked with 5% NFDM/TBST for 1 hour at room temperature. The primary antibody (ET1603-18) at 1/5,000 dilution was used in 5% NFDM/TBST at 4℃ overnight. Goat Anti-Rabbit IgG - HRP Secondary Antibody (HA1001) at 1/50,000 dilution was used for 1 hour at room temperature.

Western blot analysis of NF-kB p105 / p50 on different lysates with Rabbit anti-NF-kB p105 / p50 antibody (ET1603-18) at 1/5,000 dilution. Lane 1: THP-1 cell lysate Lane 2: Raji cell lysate Lane 3: Daudi cell lysate Lane 4: MCF7 cell lysate Lane 5: NIH/3T3 cell lysate Lysates/proteins at 15 µg/Lane. Predicted band size: 105/50 kDa Observed band size: 105/50 kDa Exposure time: 3 minutes; 4-20% SDS-PAGE gel. Proteins were transferred to a PVDF membrane and blocked with 5% NFDM/TBST for 1 hour at room temperature. The primary antibody (ET1603-18) at 1/5,000 dilution was used in 5% NFDM/TBST at 4℃ overnight. Goat Anti-Rabbit IgG - HRP Secondary Antibody (HA1001) at 1/50,000 dilution was used for 1 hour at room temperature.

Western blot analysis of NF-kB p105 / p50 on different lysates with Rabbit anti-NF-kB p105 / p50 antibody (ET1603-18) at 1/500 dilution. Lane 1: Hela cell lysate Lane 2: PC-12 cell lysate Lysates/proteins at 10 µg/Lane. Predicted band size: 50/105 kDa Observed band size: 50/105 kDa Exposure time: 2 minutes; 8% SDS-PAGE gel. Proteins were transferred to a PVDF membrane and blocked with 5% NFDM/TBST for 1 hour at room temperature. The primary antibody (ET1603-18) at 1/500 dilution was used in 5% NFDM/TBST at room temperature for 2 hours. Goat Anti-Rabbit IgG - HRP Secondary Antibody (HA1001) at 1:300,000 dilution was used for 1 hour at room temperature.
quantity: 100μl
price: 385.00 USD
to the supplier
domestic rabbit monoclonal (SZ20-01)
reactivity: human, mouse, rat
application: western blot, immunocytochemistry, flow cytometry, immunohistochemistry - paraffin section
reactivity: human, mouse, rat
application: western blot, immunocytochemistry, flow cytometry, immunohistochemistry - paraffin section

Western blot analysis of NF-kB p105 / p50 on different lysates with Rabbit anti-NF-kB p105 / p50 antibody (HA750060) at 1/5,000 dilution. Lane 1: HCT 116-si NT cell lysate Lane 2: HCT 116-si NFKB1 cell lysate Lysates/proteins at 15 µg/Lane. Predicted band size: 105/50 kDa Observed band size: 105/50 kDa Exposure time: 30 seconds; ECL: K1801; 4-20% SDS-PAGE gel. Proteins were transferred to a PVDF membrane and blocked with 5% NFDM/TBST for 1 hour at room temperature. The primary antibody (HA750060) at 1/5,000 dilution was used in 5% NFDM/TBST at 4℃ overnight. Goat Anti-Rabbit IgG - HRP Secondary Antibody (HA1001) at 1/50,000 dilution was used for 1 hour at room temperature.

Western blot analysis of NF-kB p105 / p50 on different lysates with Rabbit anti-NF-kB p105 / p50 antibody (HA750060) at 1/5,000 dilution. Lane 1: THP-1 cell lysate Lane 2: Raji cell lysate Lane 3: Daudi cell lysate Lane 4: MCF7 cell lysate Lane 5: NIH/3T3 cell lysate Lysates/proteins at 15 µg/Lane. Predicted band size: 105/50 kDa Observed band size: 105/50 kDa Exposure time: 3 minutes; 4-20% SDS-PAGE gel. Proteins were transferred to a PVDF membrane and blocked with 5% NFDM/TBST for 1 hour at room temperature. The primary antibody (HA750060) at 1/5,000 dilution was used in 5% NFDM/TBST at 4℃ overnight. Goat Anti-Rabbit IgG - HRP Secondary Antibody (HA1001) at 1/50,000 dilution was used for 1 hour at room temperature.

Western blot analysis of NF-kB p105 / p50 on different lysates with Rabbit anti-NF-kB p105 / p50 antibody (HA750060) at 1/500 dilution. Lane 1: Hela cell lysate Lane 2: PC-12 cell lysate Lysates/proteins at 10 µg/Lane. Predicted band size: 50/105 kDa Observed band size: 50/105 kDa Exposure time: 2 minutes; 8% SDS-PAGE gel. Proteins were transferred to a PVDF membrane and blocked with 5% NFDM/TBST for 1 hour at room temperature. The primary antibody (HA750060) at 1/500 dilution was used in 5% NFDM/TBST at room temperature for 2 hours. Goat Anti-Rabbit IgG - HRP Secondary Antibody (HA1001) at 1:300,000 dilution was used for 1 hour at room temperature.
quantity: 100μl
price: 649.00 USD
to the supplier
mouse monoclonal (A2-7)
reactivity: human, mouse
application: western blot, immunohistochemistry - paraffin section
reactivity: human, mouse
application: western blot, immunohistochemistry - paraffin section

Western blot analysis of NF-κB p105/p50 on MCF-7 cell lysates.

Immunohistochemical analysis of paraffin-embedded human breast carcinoma tissue using anti-NF-κB p105/p50 antibody. Counter stained with hematoxylin.

ICC staining NF-κB p105/p50 in HepG2 cells (red). Cells were fixed in paraformaldehyde, permeabilised with 0.25% Triton X100/PBS.
quantity: 100μl
price: 360.00 USD
to the supplier
domestic rabbit polyclonal
reactivity: human, mouse, rat
application: western blot, immunohistochemistry - paraffin section
reactivity: human, mouse, rat
application: western blot, immunohistochemistry - paraffin section

Western blot analysis on Hela (1), HepG2 (2) and Raji (3) cell lysates using anti-NF-κB p105/p50 rabbit polyclonal antibodies.

Immunocytochemistry analysis of HeLa cells labeling NF-kB p105 / p50 with Rabbit anti-NF-kB p105 / p50 antibody (R1309-9) at 1/100 dilution. Cells were fixed in 4% paraformaldehyde for 15 minutes at room temperature, permeabilized with 0.1% Triton X-100 in PBS for 15 minutes at room temperature, then blocked with 1% BSA in 10% negative goat serum for 1 hour at room temperature. Cells were then incubated with Rabbit anti-NF-kB p105 / p50 antibody (R1309-9) at 1/100 dilution in 1% BSA in PBST overnight at 4 ℃. Goat Anti-Rabbit IgG H&L (iFluor™ 488, HA1121) was used as the secondary antibody at 1/1,000 dilution. PBS instead of the primary antibody was used as the secondary antibody only control. Nuclear DNA was labelled in blue with DAPI. Beta tubulin (HA601187, red) was stained at 1/100 dilution overnight at +4℃. Goat Anti-Mouse IgG H&L (iFluor™ 594, HA1126) was used as the secondary antibody at 1/1,000 dilution.

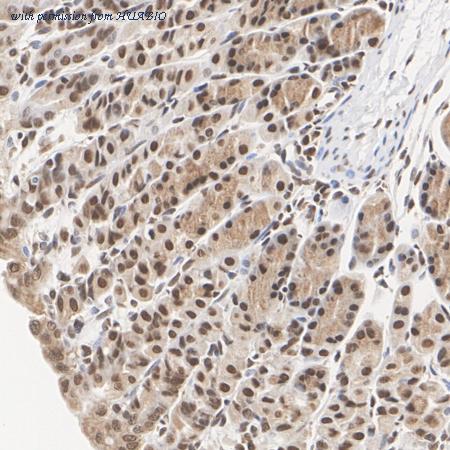
Immunohistochemical analysis of paraffin-embedded mouse stomach tissue with Rabbit anti-NF-kB p105 / p50 antibody (R1309-9) at 1/1,000 dilution. The section was pre-treated using heat mediated antigen retrieval with Tris-EDTA buffer (pH 9.0) for 20 minutes. The tissues were blocked in 1% BSA for 20 minutes at room temperature, washed with ddH2O and PBS, and then probed with the primary antibody (R1309-9) at 1/1,000 dilution for 1 hour at room temperature. The detection was performed using an HRP conjugated compact polymer system. DAB was used as the chromogen. Tissues were counterstained with hematoxylin and mounted with DPX.
quantity: 100μl
price: 330 USD
to the supplier
