domestic rabbit monoclonal (JM11-42)
reactivity: human, mouse, rat
application: western blot
reactivity: human, mouse, rat
application: western blot

Western blot analysis of CD26 on different lysates with Rabbit anti-CD26 antibody (ET1703-93) at 1/5,000 dilution. Lane 1: LoVo cell lysate Lane 2: Caco-2 cell lysate Lane 3: Mouse thymus tissue lysate Lane 4: Rat thymus tissue lysate Lane 5: Mouse liver tissue lysate Lane 6: Rat liver tissue lysate Lysates/proteins at 20 µg/Lane. Predicted band size: 88 kDa Observed band size: 100/110 kDa Exposure time: 1 minute 21 seconds; 4-20% SDS-PAGE gel. Proteins were transferred to a PVDF membrane and blocked with 5% NFDM/TBST for 1 hour at room temperature. The primary antibody (ET1703-93) at 1/5,000 dilution was used in 5% NFDM/TBST at 4℃ overnight. Goat Anti-Rabbit IgG - HRP Secondary Antibody (HA1001) at 1/50,000 dilution was used for 1 hour at room temperature.

All lanes: Western blot analysis of CD26 with anti-CD26 antibody (ET1703-93) at 1:500 dilution. Lane 1: Wild-type Hela whole cell lysate (10 µg). Lane 2: CD26 knockout Hela whole cell lysate (10 µg). ET1703-93 was shown to specifically react with CD26 in wild-type Hela cells. NO band was observed when CD26 knockout sample was tested. Wild-type and CD26 knockout samples were subjected to SDS-PAGE. Proteins were transferred to a PVDF membrane and blocked with 5% NFDM in TBST for 1 hour at room temperature. The primary antibody (ET1703-93, 1:500) was used in 5% BSA at room temperature for 2 hours. Goat Anti-Rabbit IgG-HRP Secondary Antibody (HA1001) at 1:300,000 dilution was used for 1 hour at room temperature.
quantity: 50μl
price: 205.00 USD
to the supplier
domestic rabbit monoclonal (PSH12-59)
reactivity: human
application: western blot, immunoprecipitation, flow cytometry, immunohistochemistry - paraffin section
reactivity: human
application: western blot, immunoprecipitation, flow cytometry, immunohistochemistry - paraffin section

Western blot analysis of DPP4 on different lysates with Rabbit anti-DPP4 antibody (HA723473) at 1/5,000 dilution. Lane 1: LoVo cell lysate Lane 2: Caco-2 cell lysate Lane 3: HT-29 cell lysate Lysates/proteins at 20 µg/Lane. Predicted band size: 88 kDa Observed band size: 120 kDa Exposure time: 30 seconds; ECL: K1801; 4-20% SDS-PAGE gel. Proteins were transferred to a PVDF membrane and blocked with 5% NFDM/TBST for 1 hour at room temperature. The primary antibody (HA723473) at 1/5,000 dilution was used in primary antibody dilution (K1803) at 4℃ overnight. Goat Anti-Rabbit IgG - HRP Secondary Antibody (HA1001) at 1/50,000 dilution was used for 1 hour at room temperature.

Western blot analysis of DPP4 on different lysates with Rabbit anti-DPP4 antibody (HA723473) at 1/5,000 dilution. Lane 1: HT-29 cell lysate Lane 2: HT-29 cell lysate treated with deglycosylation Lysates/proteins at 20 µg/Lane. Predicted band size: 88 kDa Observed band size: 120/88 kDa Exposure time: 1 minute 16 seconds; ECL: K1801; 4-20% SDS-PAGE gel. Proteins were transferred to a PVDF membrane and blocked with 5% NFDM/TBST for 1 hour at room temperature. The primary antibody (HA723473) at 1/5,000 dilution was used in primary antibody dilution (K1803) at 4℃ overnight. Goat Anti-Rabbit IgG - HRP Secondary Antibody (HA1001) at 1/50,000 dilution was used for 1 hour at room temperature.

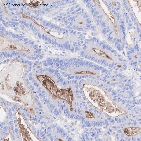
Immunohistochemical analysis of paraffin-embedded human colon carcinoma tissue with Rabbit anti-DPP4 antibody (HA723473) at 1/1,000 dilution. The section was pre-treated using heat mediated antigen retrieval with Tris-EDTA buffer (pH 9.0) for 20 minutes. The tissues were blocked in 1% BSA for 20 minutes at room temperature, washed with ddH2O and PBS, and then probed with the primary antibody (HA723473) at 1/1,000 dilution for 1 hour at room temperature. The detection was performed using an HRP conjugated compact polymer system. DAB was used as the chromogen. Tissues were counterstained with hematoxylin and mounted with DPX.
quantity: 100μl
price: 385.00 USD
to the supplier
domestic rabbit monoclonal (JM11-42)
reactivity: human, mouse, rat
application: western blot
reactivity: human, mouse, rat
application: western blot

Western blot analysis of CD26 on different lysates with Rabbit anti-CD26 antibody (HA750396) at 1/5,000 dilution. Lane 1: LoVo cell lysate Lane 2: Caco-2 cell lysate Lane 3: Mouse thymus tissue lysate Lane 4: Rat thymus tissue lysate Lane 5: Mouse liver tissue lysate Lane 6: Rat liver tissue lysate Lysates/proteins at 20 µg/Lane. Predicted band size: 88 kDa Observed band size: 100/110 kDa Exposure time: 1 minute 21 seconds; 4-20% SDS-PAGE gel. Proteins were transferred to a PVDF membrane and blocked with 5% NFDM/TBST for 1 hour at room temperature. The primary antibody (HA750396) at 1/5,000 dilution was used in 5% NFDM/TBST at 4℃ overnight. Goat Anti-Rabbit IgG - HRP Secondary Antibody (HA1001) at 1/50,000 dilution was used for 1 hour at room temperature.

All lanes: Western blot analysis of CD26 with anti-CD26 antibody (HA750396) at 1:500 dilution. Lane 1: Wild-type Hela whole cell lysate (10 µg). Lane 2: CD26 knockout Hela whole cell lysate (10 µg). ET1703-93 was shown to specifically react with CD26 in wild-type Hela cells. NO band was observed when CD26 knockout sample was tested. Wild-type and CD26 knockout samples were subjected to SDS-PAGE. Proteins were transferred to a PVDF membrane and blocked with 5% NFDM in TBST for 1 hour at room temperature. The primary antibody (ET1703-93, 1:500) was used in 5% BSA at room temperature for 2 hours. Goat Anti-Rabbit IgG-HRP Secondary Antibody (HA1001) at 1:300,000 dilution was used for 1 hour at room temperature.
quantity: 100μl
price: 649.00 USD
to the supplier
domestic rabbit monoclonal (PSH12-59)
reactivity: human
application: western blot, immunoprecipitation, flow cytometry, immunohistochemistry - paraffin section
reactivity: human
application: western blot, immunoprecipitation, flow cytometry, immunohistochemistry - paraffin section

Western blot analysis of DPP4 on different lysates with Rabbit anti-DPP4 antibody (HA751446) at 1/5,000 dilution. Lane 1: LoVo cell lysate Lane 2: Caco-2 cell lysate Lane 3: HT-29 cell lysate Lysates/proteins at 20 µg/Lane. Predicted band size: 88 kDa Observed band size: 120 kDa Exposure time: 30 seconds; ECL: K1801; 4-20% SDS-PAGE gel. Proteins were transferred to a PVDF membrane and blocked with 5% NFDM/TBST for 1 hour at room temperature. The primary antibody (HA751446) at 1/5,000 dilution was used in primary antibody dilution (K1803) at 4℃ overnight. Goat Anti-Rabbit IgG - HRP Secondary Antibody (HA1001) at 1/50,000 dilution was used for 1 hour at room temperature.

Western blot analysis of DPP4 on different lysates with Rabbit anti-DPP4 antibody (HA751446) at 1/5,000 dilution. Lane 1: HT-29 cell lysate Lane 2: HT-29 cell lysate treated with deglycosylation Lysates/proteins at 20 µg/Lane. Predicted band size: 88 kDa Observed band size: 120/88 kDa Exposure time: 1 minute 16 seconds; ECL: K1801; 4-20% SDS-PAGE gel. Proteins were transferred to a PVDF membrane and blocked with 5% NFDM/TBST for 1 hour at room temperature. The primary antibody (HA751446) at 1/5,000 dilution was used in primary antibody dilution (K1803) at 4℃ overnight. Goat Anti-Rabbit IgG - HRP Secondary Antibody (HA1001) at 1/50,000 dilution was used for 1 hour at room temperature.

Immunohistochemical analysis of paraffin-embedded human colon carcinoma tissue with Rabbit anti-DPP4 antibody (HA751446) at 1/1,000 dilution. The section was pre-treated using heat mediated antigen retrieval with Tris-EDTA buffer (pH 9.0) for 20 minutes. The tissues were blocked in 1% BSA for 20 minutes at room temperature, washed with ddH2O and PBS, and then probed with the primary antibody (HA751446) at 1/1,000 dilution for 1 hour at room temperature. The detection was performed using an HRP conjugated compact polymer system. DAB was used as the chromogen. Tissues were counterstained with hematoxylin and mounted with DPX.
quantity: 100μl
price: 649.00 USD
to the supplier
