Sign in
Sign up
home
>
HUABIO
> HUABIO Nes antibody
Nestin
HUABIO
catalog: HA722919
domestic rabbit monoclonal (PSH07-89)
reactivity:
human
,
mouse
,
rat
application:
western blot
,
immunoprecipitation
,
immunohistochemistry - paraffin section
,
immunohistochemistry - frozen section
Application: IHC-Fr Species: Mouse Site: E14.5 embryonic brain Sample: Frozen section Antibody concentration: 1/500 Antigen retrieval: Not required
Application: IHC-Fr Species: Rat Site: Kindey Sample: Frozen section Antibody concentration: 1/500 Antigen retrieval: Not required
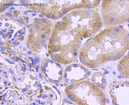
Immunohistochemical analysis of paraffin-embedded human kidney tissue with Rabbit anti-Nestin antibody (HA722919) at 1/1,000 dilution. The section was pre-treated using heat mediated antigen retrieval with Tris-EDTA buffer (pH 9.0) for 20 minutes. The tissues were blocked in 1% BSA for 20 minutes at room temperature, washed with ddH2O and PBS, and then probed with the primary antibody (HA722919) at 1/1,000 dilution for 1 hour at room temperature. The detection was performed using an HRP conjugated compact polymer system. DAB was used as the chromogen. Tissues were counterstained with hematoxylin and mounted with DPX.
quantity: 100μl
price: 385.00 USD
to the supplier
Nestin
HUABIO
catalog: HA751196
domestic rabbit monoclonal (PSH07-89)
reactivity:
human
,
mouse
,
rat
application:
western blot
,
immunoprecipitation
,
immunohistochemistry - paraffin section
,
immunohistochemistry - frozen section
Application: IHC-Fr Species: Mouse Site: E14.5 embryonic brain Sample: Frozen section Antibody concentration: 1/500 Antigen retrieval: Not required
Application: IHC-Fr Species: Rat Site: Kindey Sample: Frozen section Antibody concentration: 1/500 Antigen retrieval: Not required
Immunohistochemical analysis of paraffin-embedded human kidney tissue with Rabbit anti-Nestin antibody (HA751196) at 1/1,000 dilution. The section was pre-treated using heat mediated antigen retrieval with Tris-EDTA buffer (pH 9.0) for 20 minutes. The tissues were blocked in 1% BSA for 20 minutes at room temperature, washed with ddH2O and PBS, and then probed with the primary antibody (HA751196) at 1/1,000 dilution for 1 hour at room temperature. The detection was performed using an HRP conjugated compact polymer system. DAB was used as the chromogen. Tissues were counterstained with hematoxylin and mounted with DPX.
quantity: 100μl
price: 649.00 USD
to the supplier
Nestin
HUABIO
catalog: IRS065
domestic rabbit monoclonal
reactivity:
mouse
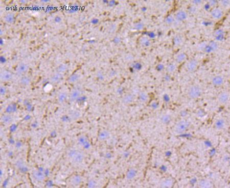
mIHC analysis of mouse brain tissue (Formalin/PFA-fixed paraffin-embedded sections) with Rabbit anti-Nestin antibody (IRS065) at 1/100 dilution. The immunostaining was performed with the IRISKitCmTSA Kit (900808). Heat mediated antigen retrieval with Tris-EDTA buffer (pH 9.0) for 30 mins at 95℃. DAPI (blue) was used as a nuclear counter stain. Image acquisition was performed with Olympus VS200 Slide Scanner.
quantity: 100μl
price: 385.00 USD
to the supplier
Nestin
HUABIO
catalog: R1510-19
domestic rabbit polyclonal
reactivity:
human
,
mouse
application:
immunohistochemistry - paraffin section
Immunohistochemical analysis of paraffin-embedded human kidney tissue using anti-Filamin A antibody. Counter stained with hematoxylin.
Immunohistochemical analysis of paraffin-embedded mouse brain tissue using anti-Filamin A antibody. Counter stained with hematoxylin.
quantity: 100μl
price: 330 USD
to the supplier
Nestin
HUABIO
catalog: HA601406
domestic rabbit polyclonal (PSH07-89)
reactivity:
human
,
mouse
,
rat
application:
western blot
,
immunohistochemistry - paraffin section
,
immunohistochemistry - frozen section
Immunofluorescence analysis of frozen E14.5 mouse embryo tissue with Rat anti-Nestin antibody (HA601406) at 1/1,000 dilution. The section was not undergone antigen retrieval. The tissues were blocked in 10% negative goat serum for 1 hour at room temperature, washed with PBS, and then probed with the primary antibody (HA601406, green) at 1/1,000 dilution overnight at 4 ℃, washed with PBS. Goat Anti-Rat IgG H&L (iFluor™ 488, HA1133) was used as the secondary antibody at 1/500 dilution. Nuclei were counterstained with DAPI (blue).
Immunofluorescence analysis of frozen E14.5 mouse embryo tissue with Rat anti-Nestin antibody (HA601406) at 1/1,000 dilution. The section was not undergone antigen retrieval. The tissues were blocked in 10% negative goat serum for 1 hour at room temperature, washed with PBS, and then probed with the primary antibody (HA601406, green) at 1/1,000 dilution overnight at 4 ℃, washed with PBS. Goat Anti-Rat IgG H&L (iFluor™ 488, HA1133) was used as the secondary antibody at 1/500 dilution. Nuclei were counterstained with DAPI (blue).
Immunofluorescence analysis of frozen mouse kidney tissue with Rat anti-Nestin antibody (HA601406) at 1/1,000 dilution. The section was not undergone antigen retrieval. The tissues were blocked in 10% negative goat serum for 1 hour at room temperature, washed with PBS, and then probed with the primary antibody (HA601406, green) at 1/1,000 dilution overnight at 4 ℃, washed with PBS. Goat Anti-Rat IgG H&L (iFluor™ 488, HA1133) was used as the secondary antibody at 1/500 dilution. Nuclei were counterstained with DAPI (blue).
quantity: 100μl
price: 330 USD
to the supplier
Nestin
HUABIO
catalog: HA601468
domestic rabbit polyclonal (PSH07-89)
reactivity:
human
,
mouse
,
rat
application:
western blot
,
immunohistochemistry - frozen section
Application: IHC-Fr Species: Mouse Site: embryonic cartilage Sample: Frozen section Antibody concentration: 1/200 Antigen retrieval: Not required
Application: IHC-Fr Species: Mouse Site: kidney Sample: Frozen section Antibody concentration: 1/200 Antigen retrieval: Not required
Application: IHC-Fr Species: Rat Site: kidney Sample: Frozen section Antibody concentration: 1/200 Antigen retrieval: Not required
quantity: 100μl
price: 360.00 USD
to the supplier
Nestin
HUABIO
catalog: HA610246
domestic rabbit polyclonal (PSH07-89)
reactivity:
human
,
mouse
,
rat
application:
western blot
,
immunohistochemistry - paraffin section
,
immunohistochemistry - frozen section
Immunofluorescence analysis of frozen E14.5 mouse embryo tissue with Rat anti-Nestin antibody (HA610246) at 1/1,000 dilution. The section was not undergone antigen retrieval. The tissues were blocked in 10% negative goat serum for 1 hour at room temperature, washed with PBS, and then probed with the primary antibody (HA610246, green) at 1/1,000 dilution overnight at 4 ℃, washed with PBS. Goat Anti-Rat IgG H&L (iFluor™ 488, HA1133) was used as the secondary antibody at 1/500 dilution. Nuclei were counterstained with DAPI (blue).
Immunofluorescence analysis of frozen E14.5 mouse embryo tissue with Rat anti-Nestin antibody (HA610246) at 1/1,000 dilution. The section was not undergone antigen retrieval. The tissues were blocked in 10% negative goat serum for 1 hour at room temperature, washed with PBS, and then probed with the primary antibody (HA610246, green) at 1/1,000 dilution overnight at 4 ℃, washed with PBS. Goat Anti-Rat IgG H&L (iFluor™ 488, HA1133) was used as the secondary antibody at 1/500 dilution. Nuclei were counterstained with DAPI (blue).
Immunofluorescence analysis of frozen mouse kidney tissue with Rat anti-Nestin antibody (HA610246) at 1/1,000 dilution. The section was not undergone antigen retrieval. The tissues were blocked in 10% negative goat serum for 1 hour at room temperature, washed with PBS, and then probed with the primary antibody (HA610246, green) at 1/1,000 dilution overnight at 4 ℃, washed with PBS. Goat Anti-Rat IgG H&L (iFluor™ 488, HA1133) was used as the secondary antibody at 1/500 dilution. Nuclei were counterstained with DAPI (blue).
quantity: 100μg
price: 649.00 USD
to the supplier
Nestin
HUABIO
catalog: HA610302
domestic rabbit polyclonal (PSH07-89)
reactivity:
human
,
mouse
,
rat
application:
western blot
,
immunohistochemistry - frozen section
Application: IHC-Fr Species: Mouse Site: embryonic cartilage Sample: Frozen section Antibody concentration: 1/200 Antigen retrieval: Not required
Application: IHC-Fr Species: Mouse Site: kidney Sample: Frozen section Antibody concentration: 1/200 Antigen retrieval: Not required
Application: IHC-Fr Species: Rat Site: kidney Sample: Frozen section Antibody concentration: 1/200 Antigen retrieval: Not required
quantity: 100μg
price: 649.00 USD
to the supplier