Sign in
Sign up
home
>
HUABIO
> HUABIO Msh6 antibody
MSH6
HUABIO
catalog: EM1902-24
mouse monoclonal (A4C4)
reactivity:
human
,
mouse
application:
western blot
,
immunoprecipitation
,
immunohistochemistry - paraffin section
Western blot analysis of MSH6 on different lysates with Mouse anti-MSH6 antibody (EM1902-24) at 1/1,000 dilution. Lane 1: SH-SY5Y cell lysate Lane 2: 293T cell lysate Lane 3: NIH/3T3 cell lysate Lysates/proteins at 20 µg/Lane. Predicted band size: 153 kDa Observed band size: 180/140 kDa Exposure time: 15 seconds; 4-20% SDS-PAGE gel. Proteins were transferred to a PVDF membrane and blocked with 5% NFDM/TBST for 1 hour at room temperature. The primary antibody (EM1902-24) at 1/1,000 dilution was used in 5% NFDM/TBST at room temperature for 2 hours. Goat Anti-Mouse IgG - HRP Secondary Antibody (HA1006) at 1/100,000 dilution was used for 1 hour at room temperature.
Immunocytochemistry analysis of A549 cells labeling MSH6 with Mouse anti-MSH6 antibody (EM1902-24) at 1/100 dilution. Cells were fixed in 4% paraformaldehyde for 15 minutes at room temperature, permeabilized with 0.1% Triton X-100 in PBS for 15 minutes at room temperature, then blocked with 1% BSA in 10% negative goat serum for 1 hour at room temperature. Cells were then incubated with Mouse anti-MSH6 antibody (EM1902-24) at 1/100 dilution in 1% BSA in PBST overnight at 4 ℃. Goat Anti-Mouse IgG H&L (iFluor™ 488, HA1125) was used as the secondary antibody at 1/1,000 dilution. PBS instead of the primary antibody was used as the secondary antibody only control. Nuclear DNA was labelled in blue with DAPI. beta Tubulin (ET1602-4, red) was stained at 1/100 dilution overnight at +4℃. Goat Anti-Rabbit IgG H&L (iFluor™ 594, HA1122) was used as the secondary antibody at 1/1,000 dilution.
Immunocytochemistry analysis of RAW264.7 cells labeling MSH6 with Mouse anti-MSH6 antibody (EM1902-24) at 1/100 dilution. Cells were fixed in 4% paraformaldehyde for 15 minutes at room temperature, permeabilized with 0.1% Triton X-100 in PBS for 15 minutes at room temperature, then blocked with 1% BSA in 10% negative goat serum for 1 hour at room temperature. Cells were then incubated with Mouse anti-MSH6 antibody (EM1902-24) at 1/100 dilution in 1% BSA in PBST overnight at 4 ℃. Goat Anti-Mouse IgG H&L (iFluor™ 488, HA1125) was used as the secondary antibody at 1/1,000 dilution. PBS instead of the primary antibody was used as the secondary antibody only control. Nuclear DNA was labelled in blue with DAPI. beta Tubulin (ET1602-4, red) was stained at 1/100 dilution overnight at +4℃. Goat Anti-Rabbit IgG H&L (iFluor™ 594, HA1122) was used as the secondary antibody at 1/1,000 dilution.
quantity: 100μl
price: 360.00 USD
to the supplier
MSH6
HUABIO
catalog: ER30902
domestic rabbit polyclonal
reactivity:
human
,
mouse
,
rat
application:
western blot
,
flow cytometry
,
immunohistochemistry - paraffin section
Western blot analysis of MSH6 on A431 cell lysates using anti-MSH6 antibody at 1/1000 dilution.
ICC staining MSH6 in Hela cells (green). Cells were fixed in paraformaldehyde, permeabilised with 0.25% Triton X100/PBS.
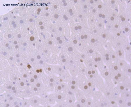
Immunohistochemical analysis of paraffin-embedded rat liver tissue using anti-MSH6 antibody. Counter stained with hematoxylin.
quantity: 100μl
price: 330 USD
to the supplier
MSH6
HUABIO
catalog: ET1604-39
domestic rabbit monoclonal (SP08-02)
reactivity:
human
,
mouse
application:
western blot
,
immunoprecipitation
,
immunohistochemistry - paraffin section
Western blot analysis of MSH6 on A549 cell lysates with Rabbit anti-MSH6 antibody (ET1604-39) at 1/1,000 dilution. Lysates/proteins at 20 µg/Lane. Predicted band size: 153 kDa Observed band size: 153 kDa Exposure time: 18 seconds; ECL: K1801; 4-20% SDS-PAGE gel. Proteins were transferred to a PVDF membrane and blocked with 5% NFDM/TBST for 1 hour at room temperature. The primary antibody (ET1604-39) at 1/1,000 dilution was used in 5% NFDM/TBST at 4℃ overnight. Goat Anti-Rabbit IgG - HRP Secondary Antibody (HA1001) at 1/50,000 dilution was used for 1 hour at room temperature.
Immunocytochemistry analysis of A549 cells labeling MSH6 with Rabbit anti-MSH6 antibody (ET1604-39) at 1/100 dilution. Cells were fixed in 4% paraformaldehyde for 15 minutes at room temperature, permeabilized with 0.1% Triton X-100 in PBS for 15 minutes at room temperature, then blocked with 1% BSA in 10% negative goat serum for 1 hour at room temperature. Cells were then incubated with Rabbit anti-MSH6 antibody (ET1604-39) at 1/100 dilution in 1% BSA in PBST overnight at 4 ℃. Goat Anti-Rabbit IgG H&L (iFluor™ 488, HA1121) was used as the secondary antibody at 1/1,000 dilution. PBS instead of the primary antibody was used as the secondary antibody only control. Nuclear DNA was labelled in blue with DAPI. Beta tubulin (HA601187, red) was stained at 1/100 dilution overnight at +4℃. Goat Anti-Mouse IgG H&L (iFluor™ 594, HA1126) was used as the secondary antibody at 1/1,000 dilution.
Immunocytochemistry analysis of RAW264.7 cells labeling MSH6 with Rabbit anti-MSH6 antibody (ET1604-39) at 1/100 dilution. Cells were fixed in 4% paraformaldehyde for 15 minutes at room temperature, permeabilized with 0.1% Triton X-100 in PBS for 15 minutes at room temperature, then blocked with 1% BSA in 10% negative goat serum for 1 hour at room temperature. Cells were then incubated with Rabbit anti-MSH6 antibody (ET1604-39) at 1/100 dilution in 1% BSA in PBST overnight at 4 ℃. Goat Anti-Rabbit IgG H&L (iFluor™ 488, HA1121) was used as the secondary antibody at 1/1,000 dilution. PBS instead of the primary antibody was used as the secondary antibody only control. Nuclear DNA was labelled in blue with DAPI. Beta tubulin (HA601187, red) was stained at 1/100 dilution overnight at +4℃. Goat Anti-Mouse IgG H&L (iFluor™ 594, HA1126) was used as the secondary antibody at 1/1,000 dilution.
quantity: 100μl
price: 385.00 USD
to the supplier
MSH6
HUABIO
catalog: ET1704-30
domestic rabbit monoclonal (JA84-26)
reactivity:
human
,
mouse
application:
western blot
,
immunoprecipitation
,
immunohistochemistry - paraffin section
Western blot analysis of MSH6 on Hela cell lysates using anti-MSH6 at 1/500 dilution.
Immunohistochemical analysis of paraffin-embedded human lung tissue using anti-MSH6 antibody. Counter stained with hematoxylin.
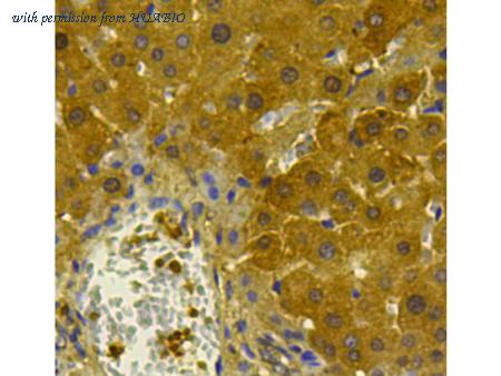
Immunohistochemical analysis of paraffin-embedded mouse liver tissue using anti-MSH6 antibody. Counter stained with hematoxylin.
quantity: 100μl
price: 385.00 USD
to the supplier
MSH6
HUABIO
catalog: HA601177
mouse monoclonal (A4C4-R)
reactivity:
human
,
mouse
application:
western blot
,
immunohistochemistry - paraffin section
Western blot analysis of MSH6 on different lysates with Mouse anti-MSH6 antibody (HA601177) at 1/1,000 dilution. Lane 1: SH-SY5Y cell lysate Lane 2: 293T cell lysate Lane 3: NIH/3T3 cell lysate Lysates/proteins at 20 µg/Lane. Predicted band size: 153 kDa Observed band size: 180/140 kDa Exposure time: 15 seconds; 4-20% SDS-PAGE gel. Proteins were transferred to a PVDF membrane and blocked with 5% NFDM/TBST for 1 hour at room temperature. The primary antibody (HA601177) at 1/1,000 dilution was used in 5% NFDM/TBST at room temperature for 2 hours. Goat Anti-Mouse IgG - HRP Secondary Antibody (HA1006) at 1/100,000 dilution was used for 1 hour at room temperature.
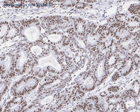
Immunohistochemical analysis of paraffin-embedded human colon carcinoma tissue with Mouse anti-MSH6 antibody (HA601177) at 1/1,000 dilution. The section was pre-treated using heat mediated antigen retrieval with sodium citrate buffer (pH 6.0) (high pressure) for 2 minutes. The tissues were blocked in 1% BSA for 20 minutes at room temperature, washed with ddH2O and PBS, and then probed with the primary antibody (HA601177) at 1/1,000 dilution for 1 hour at room temperature. The detection was performed using an HRP conjugated compact polymer system. DAB was used as the chromogen. Tissues were counterstained with hematoxylin and mounted with DPX.
Immunohistochemical analysis of paraffin-embedded human stomach carcinoma tissue with Mouse anti-MSH6 antibody (HA601177) at 1/1,000 dilution. The section was pre-treated using heat mediated antigen retrieval with sodium citrate buffer (pH 6.0) (high pressure) for 2 minutes. The tissues were blocked in 1% BSA for 20 minutes at room temperature, washed with ddH2O and PBS, and then probed with the primary antibody (HA601177) at 1/1,000 dilution for 1 hour at room temperature. The detection was performed using an HRP conjugated compact polymer system. DAB was used as the chromogen. Tissues were counterstained with hematoxylin and mounted with DPX.
quantity: 100μl
price: 360.00 USD
to the supplier
MSH6
HUABIO
catalog: HA610061
mouse monoclonal (A4C4-R)
reactivity:
human
,
mouse
application:
western blot
,
immunohistochemistry - paraffin section
Western blot analysis of MSH6 on different lysates with Mouse anti-MSH6 antibody (HA610061) at 1/1,000 dilution. Lane 1: SH-SY5Y cell lysate Lane 2: 293T cell lysate Lane 3: NIH/3T3 cell lysate Lysates/proteins at 20 µg/Lane. Predicted band size: 153 kDa Observed band size: 180/140 kDa Exposure time: 15 seconds; 4-20% SDS-PAGE gel. Proteins were transferred to a PVDF membrane and blocked with 5% NFDM/TBST for 1 hour at room temperature. The primary antibody (HA610061) at 1/1,000 dilution was used in 5% NFDM/TBST at room temperature for 2 hours. Goat Anti-Mouse IgG - HRP Secondary Antibody (HA1006) at 1/100,000 dilution was used for 1 hour at room temperature.
Immunohistochemical analysis of paraffin-embedded human colon carcinoma tissue with Mouse anti-MSH6 antibody (HA610061) at 1/1,000 dilution. The section was pre-treated using heat mediated antigen retrieval with sodium citrate buffer (pH 6.0) (high pressure) for 2 minutes. The tissues were blocked in 1% BSA for 20 minutes at room temperature, washed with ddH2O and PBS, and then probed with the primary antibody (HA610061) at 1/1,000 dilution for 1 hour at room temperature. The detection was performed using an HRP conjugated compact polymer system. DAB was used as the chromogen. Tissues were counterstained with hematoxylin and mounted with DPX.
Immunohistochemical analysis of paraffin-embedded human stomach carcinoma tissue with Mouse anti-MSH6 antibody (HA610061) at 1/1,000 dilution. The section was pre-treated using heat mediated antigen retrieval with sodium citrate buffer (pH 6.0) (high pressure) for 2 minutes. The tissues were blocked in 1% BSA for 20 minutes at room temperature, washed with ddH2O and PBS, and then probed with the primary antibody (HA610061) at 1/1,000 dilution for 1 hour at room temperature. The detection was performed using an HRP conjugated compact polymer system. DAB was used as the chromogen. Tissues were counterstained with hematoxylin and mounted with DPX.
quantity: 100μg
price: 649.00 USD
to the supplier
MSH6
HUABIO
catalog: HA721164
domestic rabbit monoclonal (PD00-26)
reactivity:
human
,
mouse
,
rat
application:
western blot
,
immunohistochemistry - paraffin section
Western blot analysis of MSH6 on different lysates with Rabbit anti-MSH6 antibody (HA721164) at 1/1,000 dilution. Lane 1: A549 cell lysate Lane 2: HepG2 cell lysate Lysates/proteins at 10 µg/Lane. Predicted band size: 153 kDa Observed band size: 153 kDa Exposure time: 2 minutes; 6% SDS-PAGE gel. Proteins were transferred to a PVDF membrane and blocked with 5% NFDM/TBST for 1 hour at room temperature. The primary antibody (HA721164) at 1/1,000 dilution was used in 5% NFDM/TBST at room temperature for 2 hours. Goat Anti-Rabbit IgG - HRP Secondary Antibody (HA1001) at 1:300,000 dilution was used for 1 hour at room temperature.
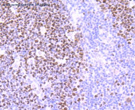
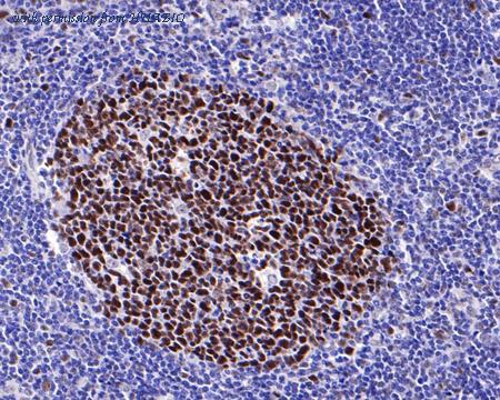
Immunohistochemical analysis of paraffin-embedded human tonsil tissue with Rabbit anti-MSH6 antibody (HA721164) at 1/1,000 dilution. The section was pre-treated using heat mediated antigen retrieval with sodium citrate buffer (pH 6.0) (high pressure) for 2 minutes. The tissues were blocked in 1% BSA for 20 minutes at room temperature, washed with ddH2O and PBS, and then probed with the primary antibody (HA721164) at 1/1,000 dilution for 1 hour at room temperature. The detection was performed using an HRP conjugated compact polymer system. DAB was used as the chromogen. Tissues were counterstained with hematoxylin and mounted with DPX.
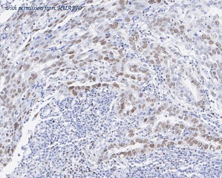
Immunohistochemical analysis of paraffin-embedded human colon carcinoma tissue with Rabbit anti-MSH6 antibody (HA721164) at 1/1,000 dilution. The section was pre-treated using heat mediated antigen retrieval with sodium citrate buffer (pH 6.0) (high pressure) for 2 minutes. The tissues were blocked in 1% BSA for 20 minutes at room temperature, washed with ddH2O and PBS, and then probed with the primary antibody (HA721164) at 1/1,000 dilution for 1 hour at room temperature. The detection was performed using an HRP conjugated compact polymer system. DAB was used as the chromogen. Tissues were counterstained with hematoxylin and mounted with DPX.
quantity: 100μl
price: 385.00 USD
to the supplier