Sign in
Sign up
home
>
HUABIO
> HUABIO Msh2 antibody
MSH2
HUABIO
catalog: EM1801-04
mouse monoclonal (10G1)
reactivity:
human
,
mouse
,
rat
application:
western blot
,
immunohistochemistry - paraffin section
Western blot analysis of MSH2 on different lysates with Mouse anti-MSH2 antibody (EM1801-04) at 1/5,000 dilution. Lane 1: HeLa cell lysate (15 µg/Lane) Lane 2: HEK-293 cell lysate (15 µg/Lane) Lane 3: A549 cell lysate (15 µg/Lane) Lane 4: LNCAP cell lysate (negative) (15 µg/Lane) Lane 5: Mouse testis tissue lysate (20 µg/Lane) Lane 6: Rat testis tissue lysate (20 µg/Lane) Predicted band size: 105 kDa Observed band size: 105 kDa Exposure time: 2 minutes 18 seconds; 4-20% SDS-PAGE gel. Proteins were transferred to a PVDF membrane and blocked with 5% NFDM/TBST for 1 hour at room temperature. The primary antibody (EM1801-04) at 1/5,000 dilution was used in 5% NFDM/TBST at 4℃ overnight. Goat Anti-Mouse IgG - HRP Secondary Antibody (HA1006) at 1/50,000 dilution was used for 1 hour at room temperature.
All lanes: Western blot analysis of MSH2 with anti-MSH2 antibody (EM1801-04) at 1/1,000 dilution. Lane 1: Wild-type SCC7 whole cell lysate. Lane 2: MSH2 knockout SCC7 whole cell lysate. EM1801-04 was shown to specifically react with MSH2 in Wild-type SCC7 cells. No band was observed when MSH2 knockout sample was tested. Wild-type and MSH2 knockout samples were subjected to SDS-PAGE. Proteins were transferred to a PVDF membrane and blocked with 5% NFDM in TBST for 1 hour at room temperature. The primary Anti-MSH2 antibody (EM1801-04, 1/1,000) and Anti-HSP90 antibody (ET1605-56, 1/10,000) were used in 5% BSA at room temperature for 2 hours. Goat Anti-Mouse IgG HRP Secondary Antibody (HA1006) at 1:20,000 dilution was used for 1 hour at room temperature.
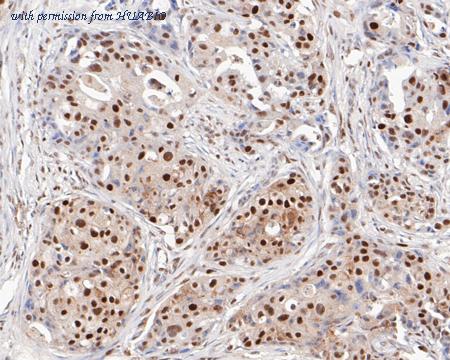
Immunohistochemical analysis of paraffin-embedded human breast carcinoma tissue using anti-MSH2 antibody. The section was pre-treated using heat mediated antigen retrieval with sodium citrate buffer (pH 6.0) (high pressure) for 2 minutes. The tissues were blocked in 5% BSA for 30 minutes at room temperature, washed with ddH2O and PBS, and then probed with the primary antibody (EM1801-04, 1/800) for 30 minutes at room temperature. The detection was performed using an HRP conjugated compact polymer system. DAB was used as the chromogen. Tissues were counterstained with hematoxylin and mounted with DPX.
quantity: 100μl
price: 360.00 USD
to the supplier
MSH2
HUABIO
catalog: EM1801-05
mouse monoclonal (10G2)
reactivity:
human
,
mouse
,
rat
application:
western blot
,
immunohistochemistry - paraffin section
Western blot analysis of MSH2 on different lysates with Mouse anti-MSH2 antibody (EM1801-05) at 1/1,000 dilution. Lane 1: HeLa cell lysate (15 µg/Lane) Lane 2: HEK-293 cell lysate (15 µg/Lane) Lane 3: A549 cell lysate (15 µg/Lane) Lane 4: A431 cell lysate (15 µg/Lane) Lane 5: HCT 116 cell lysate (15 µg/Lane) Lane 6: SW480 cell lysate (15 µg/Lane) Lane 7: PC-3M cell lysate (15 µg/Lane) Lane 8: LNCaP cell lysate (negative) (15 µg/Lane) Lane 9: LoVo cell lysate (negative) (15 µg/Lane) Lane 10: NIH/3T3 cell lysate (15 µg/Lane) Lane 11: RAW264.7 cell lysate (15 µg/Lane) Lane 12: PC-12 cell lysate (15 µg/Lane) Lane 13: Mouse testis tissue lysate (25 µg/Lane) Lane 14: Rat testis tissue lysate (25 µg/Lane) Predicted band size: 105 kDa Observed band size: 105 kDa Exposure time: 43 seconds; 4-20% SDS-PAGE gel. Proteins were transferred to a PVDF membrane and blocked with 5% NFDM/TBST for 1 hour at room temperature. The primary antibody (EM1801-05) at 1/1,000 dilution was used in 5% NFDM/TBST at 4℃ overnight. Goat Anti-Mouse IgG - HRP Secondary Antibody (HA1006) at 1/50,000 dilution was used for 1 hour at room temperature.
All lanes: Western blot analysis of MSH2 with anti-MSH2 antibody (EM1801-05) at 1/1,000 dilution. Lane 1: Wild-type SCC7 whole cell lysate. Lane 2: MSH2 knockout SCC7 whole cell lysate. EM1801-05 was shown to specifically react with MSH2 in Wild-type SCC7 cells. No band was observed when MSH2 knockout sample was tested. Wild-type and MSH2 knockout samples were subjected to SDS-PAGE. Proteins were transferred to a PVDF membrane and blocked with 5% NFDM in TBST for 1 hour at room temperature. The primary Anti-MSH2 antibody (EM1801-05, 1/1,000) and Anti-HSP90 antibody (ET1605-56, 1/10,000) were used in 5% BSA at room temperature for 2 hours. Goat Anti-Mouse IgG HRP Secondary Antibody (HA1006) at 1:20,000 dilution was used for 1 hour at room temperature.
Western blot analysis of MSH2 on different lysates with Mouse anti-MSH2 antibody (EM1801-05) at 1/5,000 dilution. Lane 1: HeLa cell lysate (15 µg/Lane) Lane 2: A431 cell lysate (15 µg/Lane) Lane 3: A549 cell lysate (15 µg/Lane) Lane 4: Mouse testis tissue lysate (20 µg/Lane) Lane 5: Rat testis tissue lysate (20 µg/Lane) Predicted band size: 105 kDa Observed band size: 105 kDa Exposure time: 28 seconds; 4-20% SDS-PAGE gel. Proteins were transferred to a PVDF membrane and blocked with 5% NFDM/TBST for 1 hour at room temperature. The primary antibody (EM1801-05) at 1/5,000 dilution was used in 5% NFDM/TBST at 4℃ overnight. Goat Anti-Mouse IgG - HRP Secondary Antibody (HA1006) at 1/50,000 dilution was used for 1 hour at room temperature.
quantity: 100μl
price: 360.00 USD
to the supplier
MSH2
HUABIO
catalog: EM1801-06
mouse monoclonal (10G3)
reactivity:
human
,
mouse
,
rat
application:
western blot
,
immunohistochemistry - paraffin section
All lanes: Western blot analysis of MSH2 with anti-MSH2 antibody (EM1801-05) at 1:1/1,000 dilution. Lane 1: Wild-type SCC7 whole cell lysate. Lane 2: MSH2 knockout SCC7 whole cell lysate. EM1801-06 was shown to specifically react with MSH2 in Wild-type SCC7 cells. No band was observed when MSH2 knockout sample was tested. Wild-type and MSH2 knockout samples were subjected to SDS-PAGE. Proteins were transferred to a PVDF membrane and blocked with 5% NFDM in TBST for 1 hour at room temperature. The primary Anti-MSH2 antibody (EM1801-06, 1/1,000) and Anti-HSP90 antibody (ET1605-56, 1/10,000) were used in 5% BSA at room temperature for 2 hours. Goat Anti-Mouse IgG HRP Secondary Antibody (HA1006) at 1:20,000 dilution was used for 1 hour at room temperature.
Western blot analysis of MSH2 on K562 cell lysates. Proteins were transferred to a PVDF membrane and blocked with 5% BSA in PBS for 1 hour at room temperature. The primary antibody was used in 5% BSA at room temperature for 2 hours. Goat Anti-Mouse IgG - HRP Secondary Antibody (HA1006) at 1:40,000 dilution was used for 1 hour at room temperature. Positive control: Lane 1: Anti-MSH2 antibody, 1:500. Lane 2: Anti-MSH2 antibody, 1:5,000.
Immunohistochemical analysis of paraffin-embedded human breast cancer tissue with Mouse anti-MSH2 antibody (EM1801-06) at 1/1,000 dilution. The section was pre-treated using heat mediated antigen retrieval with sodium citrate buffer (pH 6.0) (high pressure) for 2 minutes. The tissues were blocked in 1% BSA for 20 minutes at room temperature, washed with ddH2O and PBS, and then probed with the primary antibody (EM1801-06) at 1/1,000 dilution for 1 hour at room temperature. The detection was performed using an HRP conjugated compact polymer system. DAB was used as the chromogen. Tissues were counterstained with hematoxylin and mounted with DPX.
quantity: 100μl
price: 360.00 USD
to the supplier
MSH2
HUABIO
catalog: HA601108
mouse monoclonal (10G3-R)
reactivity:
human
,
mouse
,
rat
application:
western blot
,
immunohistochemistry - paraffin section
Western blot analysis of MSH2 on different lysates with Mouse anti-MSH2 antibody (HA601108) at 1/2,000 dilution. Lane 1: HeLa cell lysate Lane 2: HEK-293 cell lysate Lane 3: LNCaP cell lysate (negative) Lane 4: NIH/3T3 cell lysate Lane 5: PC-12 cell lysate Lane 6: Mouse testis tissue lysate Lane 7: Rat testis tissue lysate Lysates/proteins at 20 µg/Lane. Predicted band size: 105 kDa Observed band size: 105 kDa Exposure time: 10 seconds; ECL: K1801; 4-20% SDS-PAGE gel. Proteins were transferred to a PVDF membrane and blocked with 5% NFDM/TBST for 1 hour at room temperature. The primary antibody (HA601108) at 1/2,000 dilution was used in 5% NFDM/TBST at 4℃ overnight. Goat Anti-Mouse IgG - HRP Secondary Antibody (HA1006) at 1/50,000 dilution was used for 1 hour at room temperature.
Immunocytochemistry analysis of Daudi cells labeling MSH2 with Mouse anti-MSH2 antibody (HA601108) at 1/200 dilution. Cells were fixed in 4% paraformaldehyde for 10 minutes at 37 ℃, permeabilized with 0.05% Triton X-100 in PBS for 20 minutes, and then blocked with 2% negative goat serum for 30 minutes at room temperature. Cells were then incubated with Mouse anti-MSH2 antibody (HA601108) at 1/200 dilution in 2% negative goat serum overnight at 4 ℃. Goat Anti-Mouse IgG H&L (iFluor™ 488, HA1125) was used as the secondary antibody at 1/1,000 dilution. PBS instead of the primary antibody was used as the secondary antibody only control. Nuclear DNA was labelled in blue with DAPI.
Immunohistochemical analysis of paraffin-embedded human colon cancer tissue with Mouse anti-MSH2 antibody (HA601108) at 1/1,000 dilution. The section was pre-treated using heat mediated antigen retrieval with Tris-EDTA buffer (pH 9.0) for 20 minutes. The tissues were blocked in 1% BSA for 20 minutes at room temperature, washed with ddH2O and PBS, and then probed with the primary antibody (HA601108) at 1/1,000 dilution for 1 hour at room temperature. The detection was performed using an HRP conjugated compact polymer system. DAB was used as the chromogen. Tissues were counterstained with hematoxylin and mounted with DPX.
quantity: 100μl
price: 360.00 USD
to the supplier
MSH2
HUABIO
catalog: HA601306
mouse monoclonal (10G2-R)
reactivity:
human
,
mouse
,
rat
application:
western blot
,
immunohistochemistry - paraffin section
Western blot analysis of MSH2 on different lysates with Mouse anti-MSH2 antibody (HA601306) at 1/1,000 dilution. Lane 1: HeLa cell lysate (15 µg/Lane) Lane 2: HEK-293 cell lysate (15 µg/Lane) Lane 3: A549 cell lysate (15 µg/Lane) Lane 4: A431 cell lysate (15 µg/Lane) Lane 5: HCT 116 cell lysate (15 µg/Lane) Lane 6: SW480 cell lysate (15 µg/Lane) Lane 7: PC-3M cell lysate (15 µg/Lane) Lane 8: LNCaP cell lysate (negative) (15 µg/Lane) Lane 9: LoVo cell lysate (negative) (15 µg/Lane) Lane 10: NIH/3T3 cell lysate (15 µg/Lane) Lane 11: RAW264.7 cell lysate (15 µg/Lane) Lane 12: PC-12 cell lysate (15 µg/Lane) Lane 13: Mouse testis tissue lysate (25 µg/Lane) Lane 14: Rat testis tissue lysate (25 µg/Lane) Predicted band size: 105 kDa Observed band size: 105 kDa Exposure time: 1 minute 2 seconds; 4-20% SDS-PAGE gel. Proteins were transferred to a PVDF membrane and blocked with 5% NFDM/TBST for 1 hour at room temperature. The primary antibody (HA601306) at 1/1,000 dilution was used in 5% NFDM/TBST at 4℃ overnight. Goat Anti-Mouse IgG - HRP Secondary Antibody (HA1006) at 1/50,000 dilution was used for 1 hour at room temperature.
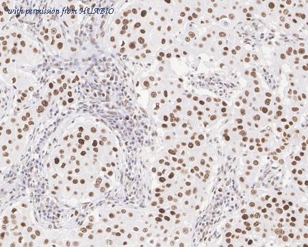
Immunohistochemical analysis of paraffin-embedded human appendix tissue with Mouse anti-MSH2 antibody (HA601306) at 1/1,000 dilution. The section was pre-treated using heat mediated antigen retrieval with sodium citrate buffer (pH 6.0) (high pressure) for 2 minutes. The tissues were blocked in 1% BSA for 20 minutes at room temperature, washed with ddH2O and PBS, and then probed with the primary antibody (HA601306) at 1/1,000 dilution for 1 hour at room temperature. The detection was performed using an HRP conjugated compact polymer system. DAB was used as the chromogen. Tissues were counterstained with hematoxylin and mounted with DPX.
Immunohistochemical analysis of paraffin-embedded human appendicular lymph nodes tissue with Mouse anti-MSH2 antibody (HA601306) at 1/1,000 dilution. The section was pre-treated using heat mediated antigen retrieval with sodium citrate buffer (pH 6.0) (high pressure) for 2 minutes. The tissues were blocked in 1% BSA for 20 minutes at room temperature, washed with ddH2O and PBS, and then probed with the primary antibody (HA601306) at 1/1,000 dilution for 1 hour at room temperature. The detection was performed using an HRP conjugated compact polymer system. DAB was used as the chromogen. Tissues were counterstained with hematoxylin and mounted with DPX.
quantity: 100μl
price: 360.00 USD
to the supplier
MSH2
HUABIO
catalog: HA610179
mouse monoclonal (10G2-R)
reactivity:
human
,
mouse
,
rat
application:
western blot
,
immunohistochemistry - paraffin section
Western blot analysis of MSH2 on different lysates with Mouse anti-MSH2 antibody (HA610179) at 1/1,000 dilution. Lane 1: HeLa cell lysate (15 µg/Lane) Lane 2: HEK-293 cell lysate (15 µg/Lane) Lane 3: A549 cell lysate (15 µg/Lane) Lane 4: A431 cell lysate (15 µg/Lane) Lane 5: HCT 116 cell lysate (15 µg/Lane) Lane 6: SW480 cell lysate (15 µg/Lane) Lane 7: PC-3M cell lysate (15 µg/Lane) Lane 8: LNCaP cell lysate (negative) (15 µg/Lane) Lane 9: LoVo cell lysate (negative) (15 µg/Lane) Lane 10: NIH/3T3 cell lysate (15 µg/Lane) Lane 11: RAW264.7 cell lysate (15 µg/Lane) Lane 12: PC-12 cell lysate (15 µg/Lane) Lane 13: Mouse testis tissue lysate (25 µg/Lane) Lane 14: Rat testis tissue lysate (25 µg/Lane) Predicted band size: 105 kDa Observed band size: 105 kDa Exposure time: 1 minute 2 seconds; 4-20% SDS-PAGE gel. Proteins were transferred to a PVDF membrane and blocked with 5% NFDM/TBST for 1 hour at room temperature. The primary antibody (HA610179) at 1/1,000 dilution was used in 5% NFDM/TBST at 4℃ overnight. Goat Anti-Mouse IgG - HRP Secondary Antibody (HA1006) at 1/50,000 dilution was used for 1 hour at room temperature.
Immunohistochemical analysis of paraffin-embedded human appendix tissue with Mouse anti-MSH2 antibody (HA610179) at 1/1,000 dilution. The section was pre-treated using heat mediated antigen retrieval with sodium citrate buffer (pH 6.0) (high pressure) for 2 minutes. The tissues were blocked in 1% BSA for 20 minutes at room temperature, washed with ddH2O and PBS, and then probed with the primary antibody (HA610179) at 1/1,000 dilution for 1 hour at room temperature. The detection was performed using an HRP conjugated compact polymer system. DAB was used as the chromogen. Tissues were counterstained with hematoxylin and mounted with DPX.
Immunohistochemical analysis of paraffin-embedded human appendicular lymph nodes tissue with Mouse anti-MSH2 antibody (HA610179) at 1/1,000 dilution. The section was pre-treated using heat mediated antigen retrieval with sodium citrate buffer (pH 6.0) (high pressure) for 2 minutes. The tissues were blocked in 1% BSA for 20 minutes at room temperature, washed with ddH2O and PBS, and then probed with the primary antibody (HA610179) at 1/1,000 dilution for 1 hour at room temperature. The detection was performed using an HRP conjugated compact polymer system. DAB was used as the chromogen. Tissues were counterstained with hematoxylin and mounted with DPX.
quantity: 100μg
price: 649.00 USD
to the supplier
MSH2
HUABIO
catalog: R1510-32
domestic rabbit polyclonal
reactivity:
human
,
mouse
,
rat
application:
flow cytometry
ICC staining of MSH2 in Hela cells (green). Formalin fixed cells were permeabilized with 0.1% Triton X-100 in TBS for 10 minutes at room temperature and blocked with 1% Blocker BSA for 15 minutes at room temperature. Cells were probed with the primary antibody (R1510-32, 1/50) for 1 hour at room temperature, washed with PBS. Alexa Fluor®488 Goat anti-Rabbit IgG was used as the secondary antibody at 1/1,000 dilution. The nuclear counter stain is DAPI (blue).
Flow cytometric analysis of MSH2 was done on Hela cells. The cells were fixed, permeabilized and stained with the primary antibody (R1510-32, 1/50) (blue). After incubation of the primary antibody at room temperature for an hour, the cells were stained with a Alexa Fluor 488-conjugated Goat anti-Rabbit IgG Secondary antibody at 1/1000 dilution for 30 minutes.Unlabelled sample was used as a control (cells without incubation with primary antibody; red).
quantity: 100μl
price: 330 USD
to the supplier