Sign in
Sign up
home
>
HUABIO
> HUABIO Dynamin antibody
Dynamin 1
HUABIO
catalog: EM1901-42
mouse monoclonal (A1B2)
reactivity:
human
,
mouse
,
rat
application:
western blot
,
immunohistochemistry - paraffin section
Western blot analysis of Dynamin 1 on different lysates with Mouse anti-Dynamin 1 antibody (EM1901-42) at 1/1,000 dilution. Lane 1: HeLa cell lysate (20 µg/Lane) Lane 2: SH-SY5Y cell lysate (20 µg/Lane) Lane 3: NIH/3T3 cell lysate (20 µg/Lane) Lane 4: Human brain tissue lysate (40 µg/Lane) Lane 5: Rat brain tissue lysate (40 µg/Lane) Lane 6: Mouse brain tissue lysate (40 µg/Lane) Predicted band size: 97 kDa Observed band size: 100 kDa Exposure time: Lane 1-2: 11 seconds; Lane 3: 49 seconds; Lane 4-6: 2 minutes 43 seconds; 4-20% SDS-PAGE gel. Proteins were transferred to a PVDF membrane and blocked with 5% NFDM/TBST for 1 hour at room temperature. The primary antibody (EM1901-42) at 1/1,000 dilution was used in 5% NFDM/TBST at 4℃ overnight. Goat Anti-Mouse IgG - HRP Secondary Antibody (HA1006) at 1/50,000 dilution was used for 1 hour at room temperature.
Immunocytochemistry analysis of MG-63 cells labeling Dynamin 1 with Mouse anti-Dynamin 1 antibody (EM1901-42) at 1/50 dilution. Cells were fixed in 4% paraformaldehyde for 30 minutes, permeabilized with 0.1% Triton X-100 in PBS for 15 minutes, and then blocked with 2% BSA for 30 minutes at room temperature. Cells were then incubated with Mouse anti-Dynamin 1 antibody (EM1901-42) at 1/50 dilution in 2% BSA overnight at 4 ℃. Goat Anti-Mouse IgG H&L (iFluor™ 488, HA1125) was used as the secondary antibody at 1/1,000 dilution. PBS instead of the primary antibody was used as the secondary antibody only control. Nuclear DNA was labelled in blue with DAPI.
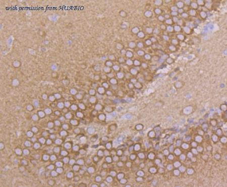
Immunohistochemical analysis of paraffin-embedded rat brain tissue with Mouse anti-Dynamin 1 antibody (EM1901-42) at 1/1,000 dilution. The section was pre-treated using heat mediated antigen retrieval with Tris-EDTA buffer (pH 9.0) for 20 minutes. The tissues were blocked in 1% BSA for 20 minutes at room temperature, washed with ddH2O and PBS, and then probed with the primary antibody (EM1901-42) at 1/1,000 dilution for 1 hour at room temperature. The detection was performed using an HRP conjugated compact polymer system. DAB was used as the chromogen. Tissues were counterstained with hematoxylin and mounted with DPX.
quantity: 100μl
price: 360.00 USD
to the supplier
Dynamin 1
HUABIO
catalog: EM1901-43
mouse monoclonal (A1B1)
reactivity:
human
,
mouse
,
rat
application:
western blot
,
immunohistochemistry - paraffin section
Western blot analysis of Dynamin 1 on different lysates with Mouse anti-Dynamin 1 antibody (EM1901-43) at 1/1,000 dilution. Lane 1: Rat brain tissue lysate Lane 2: Mouse brain tissue lysate Lysates/proteins at 40 µg/Lane. Predicted band size: 97 kDa Observed band size: 100 kDa Exposure time: 3 minutes; ECL: K1801; 4-20% SDS-PAGE gel. Proteins were transferred to a PVDF membrane and blocked with 5% NFDM/TBST for 1 hour at room temperature. The primary antibody (EM1901-43) at 1/1,000 dilution was used in 5% NFDM/TBST at 4℃ overnight. Goat Anti-Mouse IgG - HRP Secondary Antibody (HA1006) at 1/50,000 dilution was used for 1 hour at room temperature.
Immunohistochemical analysis of paraffin-embedded rat brain tissue with Mouse anti-Dynamin 1 antibody (EM1901-43) at 1/1,000 dilution. The section was pre-treated using heat mediated antigen retrieval with Tris-EDTA buffer (pH 9.0) for 20 minutes. The tissues were blocked in 1% BSA for 20 minutes at room temperature, washed with ddH2O and PBS, and then probed with the primary antibody (EM1901-43) at 1/1,000 dilution for 1 hour at room temperature. The detection was performed using an HRP conjugated compact polymer system. DAB was used as the chromogen. Tissues were counterstained with hematoxylin and mounted with DPX.
Immunohistochemical analysis of paraffin-embedded mouse brain tissue with Mouse anti-Dynamin 1 antibody (EM1901-43) at 1/1,000 dilution. The section was pre-treated using heat mediated antigen retrieval with Tris-EDTA buffer (pH 9.0) for 20 minutes. The tissues were blocked in 1% BSA for 20 minutes at room temperature, washed with ddH2O and PBS, and then probed with the primary antibody (EM1901-43) at 1/1,000 dilution for 1 hour at room temperature. The detection was performed using an HRP conjugated compact polymer system. DAB was used as the chromogen. Tissues were counterstained with hematoxylin and mounted with DPX.
quantity: 100μl
price: 360.00 USD
to the supplier
Dynamin 1
HUABIO
catalog: EM1901-44
mouse monoclonal (A1A12)
reactivity:
human
application:
western blot
,
flow cytometry
Immunocytochemistry analysis of MG-63 cells labeling Dynamin 1 with Mouse anti-Dynamin 1 antibody (EM1901-44) at 1/50 dilution. Cells were fixed in 4% paraformaldehyde for 30 minutes, permeabilized with 0.1% Triton X-100 in PBS for 15 minutes, and then blocked with 2% BSA for 30 minutes at room temperature. Cells were then incubated with Mouse anti-Dynamin 1 antibody (EM1901-44) at 1/50 dilution in 2% BSA overnight at 4 ℃. Goat Anti-Mouse IgG H&L (iFluor™ 488, HA1125) was used as the secondary antibody at 1/1,000 dilution. PBS instead of the primary antibody was used as the secondary antibody only control. Nuclear DNA was labelled in blue with DAPI.
ICC staining of Dynamin 1 in SiHa cells (green). Formalin fixed cells were permeabilized with 0.1% Triton X-100 in TBS for 10 minutes at room temperature and blocked with 1% Blocker BSA for 15 minutes at room temperature. Cells were probed with the primary antibody (EM1901-44, 1/50) for 1 hour at room temperature, washed with PBS. Alexa Fluor®488 Goat anti-Mouse IgG was used as the secondary antibody at 1/1,000 dilution. The nuclear counter stain is DAPI (blue).
Flow cytometric analysis of A549 cells labeling Dynamin 1. Cells were fixed and permeabilized.Then stained with the primary antibody (EM1901-44, 1ug/ml) (red) compared with Mouse IgG1 Isotype Control (green). After incubation of the primary antibody at +4℃ for an hour, the cells were stained with a iFluor™ 488 conjugate-Goat anti-Mouse IgG Secondary antibody (HA1125) at 1/1,000 dilution for 30 minutes at +4℃. Unlabelled sample was used as a control (cells without incubation with primary antibody; black).
quantity: 100μl
price: 360.00 USD
to the supplier
Dynamin 1
HUABIO
catalog: ER1802-77
domestic rabbit polyclonal
reactivity:
human
,
mouse
,
rat
application:
western blot
,
immunohistochemistry - paraffin section
Western blot analysis of Dynamin 1 on mouse brain tissue lysate using anti-Dynamin 1 antibody at 1/500 dilution.
Immunohistochemical analysis of paraffin-embedded rat brain tissue using anti-Dynamin 1 antibody. Counter stained with hematoxylin.
Immunohistochemical analysis of paraffin-embedded mouse brain tissue using anti-Dynamin 1 antibody. Counter stained with hematoxylin.
quantity: 100μl
price: 330 USD
to the supplier
Dynamin 1
HUABIO
catalog: HA601230
mouse monoclonal (A1B1-R)
reactivity:
human
,
mouse
,
rat
application:
western blot
Western blot analysis of Dynamin 1 on different lysates with Mouse anti-Dynamin 1 antibody (HA601230) at 1/1,000 dilution. Lane 1: Rat brain tissue lysate Lane 2: Mouse brain tissue lysate Lysates/proteins at 40 µg/Lane. Predicted band size: 97 kDa Observed band size: 100 kDa Exposure time: 3 minutes; 4-20% SDS-PAGE gel. Proteins were transferred to a PVDF membrane and blocked with 5% NFDM/TBST for 1 hour at room temperature. The primary antibody (HA601230) at 1/1,000 dilution was used in 5% NFDM/TBST at 4℃ overnight. Goat Anti-Mouse IgG - HRP Secondary Antibody (HA1006) at 1/50,000 dilution was used for 1 hour at room temperature.
quantity: 100μl
price: 360.00 USD
to the supplier
Dynamin 1
HUABIO
catalog: HA601325
mouse monoclonal (A1B2-R)
reactivity:
human
,
mouse
,
rat
application:
western blot
,
immunohistochemistry - paraffin section
Western blot analysis of Dynamin 1 on different lysates with Mouse anti-Dynamin 1 antibody (HA601325) at 1/1,000 dilution. Lane 1: HeLa cell lysate (20 µg/Lane) Lane 2: SH-SY5Y cell lysate (20 µg/Lane) Lane 3: NIH/3T3 cell lysate (20 µg/Lane) Lane 4: Human brain tissue lysate (40 µg/Lane) Predicted band size: 97 kDa Observed band size: 100 kDa Exposure time: Lane 1-2: 17 seconds; Lane 3-4: 1 minute 46 seconds; 4-20% SDS-PAGE gel. Proteins were transferred to a PVDF membrane and blocked with 5% NFDM/TBST for 1 hour at room temperature. The primary antibody (HA601325) at 1/1,000 dilution was used in 5% NFDM/TBST at 4℃ overnight. Goat Anti-Mouse IgG - HRP Secondary Antibody (HA1006) at 1/50,000 dilution was used for 1 hour at room temperature.
Immunohistochemical analysis of paraffin-embedded human brain tissue with Mouse anti-Dynamin 1 antibody (HA601325) at 1/1,000 dilution. The section was pre-treated using heat mediated antigen retrieval with Tris-EDTA buffer (pH 9.0) for 20 minutes. The tissues were blocked in 1% BSA for 20 minutes at room temperature, washed with ddH2O and PBS, and then probed with the primary antibody (HA601325) at 1/1,000 dilution for 1 hour at room temperature. The detection was performed using an HRP conjugated compact polymer system. DAB was used as the chromogen. Tissues were counterstained with hematoxylin and mounted with DPX.
Immunohistochemical analysis of paraffin-embedded mouse brain tissue with Mouse anti-Dynamin 1 antibody (HA601325) at 1/1,000 dilution. The section was pre-treated using heat mediated antigen retrieval with Tris-EDTA buffer (pH 9.0) for 20 minutes. The tissues were blocked in 1% BSA for 20 minutes at room temperature, washed with ddH2O and PBS, and then probed with the primary antibody (HA601325) at 1/1,000 dilution for 1 hour at room temperature. The detection was performed using an HRP conjugated compact polymer system. DAB was used as the chromogen. Tissues were counterstained with hematoxylin and mounted with DPX.
quantity: 100μl
price: 360.00 USD
to the supplier
Dynamin 1
HUABIO
catalog: HA610105
mouse monoclonal (A1B1-R)
reactivity:
human
,
mouse
,
rat
application:
western blot
Western blot analysis of Dynamin 1 on different lysates with Mouse anti-Dynamin 1 antibody (HA610105) at 1/1,000 dilution. Lane 1: Rat brain tissue lysate Lane 2: Mouse brain tissue lysate Lysates/proteins at 40 µg/Lane. Predicted band size: 97 kDa Observed band size: 100 kDa Exposure time: 3 minutes; 4-20% SDS-PAGE gel. Proteins were transferred to a PVDF membrane and blocked with 5% NFDM/TBST for 1 hour at room temperature. The primary antibody (HA610105) at 1/1,000 dilution was used in 5% NFDM/TBST at 4℃ overnight. Goat Anti-Mouse IgG - HRP Secondary Antibody (HA1006) at 1/50,000 dilution was used for 1 hour at room temperature.
quantity: 100μg
price: 649.00 USD
to the supplier
Dynamin 1
HUABIO
catalog: HA610197
mouse monoclonal (A1B2-R)
reactivity:
human
,
mouse
,
rat
application:
western blot
,
immunohistochemistry - paraffin section
Western blot analysis of Dynamin 1 on different lysates with Mouse anti-Dynamin 1 antibody (HA610197) at 1/1,000 dilution. Lane 1: HeLa cell lysate (20 µg/Lane) Lane 2: SH-SY5Y cell lysate (20 µg/Lane) Lane 3: NIH/3T3 cell lysate (20 µg/Lane) Lane 4: Human brain tissue lysate (40 µg/Lane) Predicted band size: 97 kDa Observed band size: 100 kDa Exposure time: Lane 1-2: 17 seconds; Lane 3-4: 1 minute 46 seconds; 4-20% SDS-PAGE gel. Proteins were transferred to a PVDF membrane and blocked with 5% NFDM/TBST for 1 hour at room temperature. The primary antibody (HA610197) at 1/1,000 dilution was used in 5% NFDM/TBST at 4℃ overnight. Goat Anti-Mouse IgG - HRP Secondary Antibody (HA1006) at 1/50,000 dilution was used for 1 hour at room temperature.
Immunohistochemical analysis of paraffin-embedded human brain tissue with Mouse anti-Dynamin 1 antibody (HA610197) at 1/1,000 dilution. The section was pre-treated using heat mediated antigen retrieval with Tris-EDTA buffer (pH 9.0) for 20 minutes. The tissues were blocked in 1% BSA for 20 minutes at room temperature, washed with ddH2O and PBS, and then probed with the primary antibody (HA610197) at 1/1,000 dilution for 1 hour at room temperature. The detection was performed using an HRP conjugated compact polymer system. DAB was used as the chromogen. Tissues were counterstained with hematoxylin and mounted with DPX.
Immunohistochemical analysis of paraffin-embedded mouse brain tissue with Mouse anti-Dynamin 1 antibody (HA610197) at 1/1,000 dilution. The section was pre-treated using heat mediated antigen retrieval with Tris-EDTA buffer (pH 9.0) for 20 minutes. The tissues were blocked in 1% BSA for 20 minutes at room temperature, washed with ddH2O and PBS, and then probed with the primary antibody (HA610197) at 1/1,000 dilution for 1 hour at room temperature. The detection was performed using an HRP conjugated compact polymer system. DAB was used as the chromogen. Tissues were counterstained with hematoxylin and mounted with DPX.
quantity: 100μg
price: 649.00 USD
to the supplier