Sign in
Sign up
home
>
HUABIO
> HUABIO alpha fetoprotein antibody
AFP
HUABIO
catalog: EM1701-31
mouse monoclonal (A5-G3)
reactivity:
human
application:
western blot
,
immunohistochemistry - paraffin section
Western blot analysis of AFP on human placenta tissue lysate using anti-AFP antibody at 1/1,000 dilution.
Western blot analysis of AFP on different lysates with Mouse anti-AFP antibody (EM1701-31) at 1/1,000 dilution. Lane 1: A549-WT cell lysate (10 µg/Lane) Lane 2: A549-KD AFP cell lysate (10 µg/Lane) Predicted band size: 69 kDa Observed band size: 80 kDa Exposure time: 30 seconds; ECL: K1801; 4-20% SDS-PAGE gel. Proteins were transferred to a PVDF membrane and blocked with 5% NFDM/TBST for 1 hour at room temperature. The primary antibody (EM1701-31) at 1/1,000 dilution was used in 5% NFDM/TBST at 4℃ overnight. Goat Anti-Mouse IgG - HRP Secondary Antibody (HA1006) at 1/50,000 dilution was used for 1 hour at room temperature.
Western blot analysis of AFP on different lysates with Mouse anti-AFP antibody (EM1701-31) at 1/500 dilution. Lane 1: Hela cell lysate Lane 2: HepG2 cell lysate Lysates/proteins at 10 µg/Lane. Predicted band size: 69 kDa Observed band size: 80 kDa Exposure time: 2 minutes; 10% SDS-PAGE gel. Proteins were transferred to a PVDF membrane and blocked with 5% NFDM/TBST for 1 hour at room temperature. The primary antibody (EM1701-31) at 1/500 dilution was used in 5% NFDM/TBST at room temperature for 2 hours. Goat Anti-Mouse IgG - HRP Secondary Antibody (HA1006) at 1/100,000 dilution was used for 1 hour at room temperature.
quantity: 100μl
price: 360.00 USD
to the supplier
AFP
HUABIO
catalog: ER80601
domestic rabbit polyclonal
reactivity:
human
application:
western blot
,
flow cytometry
,
immunohistochemistry - paraffin section
Western blot analysis of AFP on different cell lysates using anti-AFP antibody at 1/1000 dilution. Positive control: Lane 1: HepG2 Lane 2: human lung Lane 3: human liver
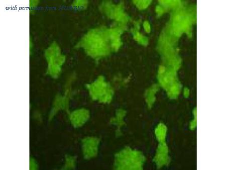
ICC staining AFP in NCCIT cells (green). Cells were fixed in paraformaldehyde, permeabilised with 0.25% Triton X100/PBS.
ICC staining AFP in HepG2 cells (green). Cells were fixed in paraformaldehyde, permeabilised with 0.25% Triton X100/PBS.
quantity: 100μl
price: 330 USD
to the supplier
AFP
HUABIO
catalog: HA721238
domestic rabbit monoclonal (PD00-71)
reactivity:
human
application:
western blot
,
immunohistochemistry - paraffin section
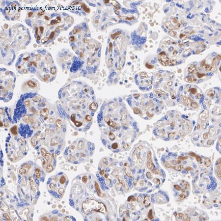
Immunohistochemical analysis of paraffin-embedded human placenta tissue with Rabbit anti-AFP antibody (HA721238) at 1/200 dilution. The section was pre-treated using heat mediated antigen retrieval with Tris-EDTA buffer (pH 9.0) for 20 minutes. The tissues were blocked in 1% BSA for 20 minutes at room temperature, washed with ddH2O and PBS, and then probed with the primary antibody (HA721238) at 1/200 dilution for 1 hour at room temperature. The detection was performed using an HRP conjugated compact polymer system. DAB was used as the chromogen. Tissues were counterstained with hematoxylin and mounted with DPX.
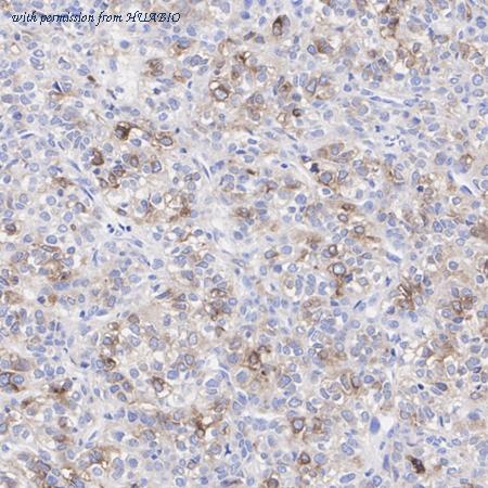
Immunohistochemical analysis of paraffin-embedded human poorly differentiated hepatocellular carcinoma tissue with Rabbit anti-AFP antibody (HA721238) at 1/200 dilution. The section was pre-treated using heat mediated antigen retrieval with Tris-EDTA buffer (pH 9.0) for 20 minutes. The tissues were blocked in 1% BSA for 20 minutes at room temperature, washed with ddH2O and PBS, and then probed with the primary antibody (HA721238) at 1/200 dilution for 1 hour at room temperature. The detection was performed using an HRP conjugated compact polymer system. DAB was used as the chromogen. Tissues were counterstained with hematoxylin and mounted with DPX.
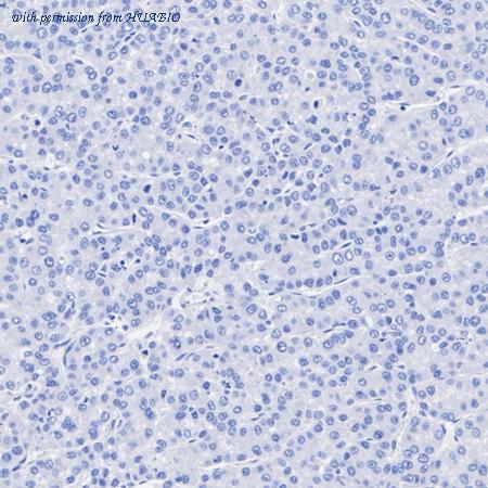
Immunohistochemical analysis of paraffin-embedded human well-differentiated hepatocellular carcinoma tissue (negative) with Rabbit anti-AFP antibody (HA721238) at 1/200 dilution. The section was pre-treated using heat mediated antigen retrieval with Tris-EDTA buffer (pH 9.0) for 20 minutes. The tissues were blocked in 1% BSA for 20 minutes at room temperature, washed with ddH2O and PBS, and then probed with the primary antibody (HA721238) at 1/200 dilution for 1 hour at room temperature. The detection was performed using an HRP conjugated compact polymer system. DAB was used as the chromogen. Tissues were counterstained with hematoxylin and mounted with DPX.
quantity: 100μl
price: 385.00 USD
to the supplier
AFP
HUABIO
catalog: HA723371
domestic rabbit monoclonal (PSH11-75)
reactivity:
human
,
mouse
,
rat
application:
western blot
,
immunohistochemistry - paraffin section
Western blot analysis of AFP on different lysates with Rabbit anti-AFP antibody (HA723371) at 1/2,000 dilution. Lane 1: HepG2 cell lysate (20 µg/Lane) Lane 2: Mouse placenta tissue lysate (40 µg/Lane) Predicted band size: 69 kDa Observed band size: 69 kDa Exposure time: Lane 1: 25 seconds; Lane 2: 8 seconds; ECL: K1801; 4-20% SDS-PAGE gel. Proteins were transferred to a PVDF membrane and blocked with 5% NFDM/TBST for 1 hour at room temperature. The primary antibody (HA723371) at 1/2,000 dilution was used in 5% NFDM/TBST at 4℃ overnight. Goat Anti-Rabbit IgG - HRP Secondary Antibody (HA1001) at 1/50,000 dilution was used for 1 hour at room temperature.
Immunohistochemical analysis of paraffin-embedded human placenta tissue with Rabbit anti-AFP antibody (HA723371) at 1/20,000 dilution. The section was pre-treated using heat mediated antigen retrieval with Tris-EDTA buffer (pH 9.0) for 20 minutes. The tissues were blocked in 1% BSA for 20 minutes at room temperature, washed with ddH2O and PBS, and then probed with the primary antibody (HA723371) at 1/20,000 dilution for 1 hour at room temperature. The detection was performed using an HRP conjugated compact polymer system. DAB was used as the chromogen. Tissues were counterstained with hematoxylin and mounted with DPX.
Immunohistochemical analysis of paraffin-embedded human poorly differentiated hepatocellular carcinoma tissue with Rabbit anti-AFP antibody (HA723371) at 1/20,000 dilution. The section was pre-treated using heat mediated antigen retrieval with Tris-EDTA buffer (pH 9.0) for 20 minutes. The tissues were blocked in 1% BSA for 20 minutes at room temperature, washed with ddH2O and PBS, and then probed with the primary antibody (HA723371) at 1/20,000 dilution for 1 hour at room temperature. The detection was performed using an HRP conjugated compact polymer system. DAB was used as the chromogen. Tissues were counterstained with hematoxylin and mounted with DPX.
quantity: 100μl
price: 385.00 USD
to the supplier
Human alpha Fetoprotein
HUABIO
catalog: HA723644
domestic rabbit monoclonal (PSH14-53)
reactivity:
human
application:
ELISA
Sandwich ELISA analysis of Human alpha Fetoprotein matched pair antibodies Capture: HA723644, Human alpha Fetoprotein Rabbit mAb [PSH14-53] Detector: HA723645, Human alpha Fetoprotein Rabbit mAb [PSH14-54] Elisa assay was performed by coating wells of a 96-well plate with 100 µl per well of capture antibody (HA723644) diluted in carbonate/bicarbonate buffer, at a concentration of 2ug/ml overnight at 4℃. Wells of the plate were washed, blocked with 150 µl 0.05% tween-20 1% BSA blocking buffer, and incubated with serial diluted Recombinant Human alpha Fetoprotein protein (HA210967) starting from 10000 pg/ml to 0 pg/ml and detect antibody (HA723645, Biotin, 0.2 µg/ml) for 1 hour at 30℃ with shaking. Then the plate was washed and incubated with 100 µl per well of SA-HRP for 0.5 hour at 30℃ with shaking. Detection was performed using an Ultra TMB Substrate for 10 minutes at room temperature in the dark. The reaction was stopped with sulfuric acid and absorbances were read on a spectrophotometer at 450 nm.
Sandwich ELISA analysis of Human alpha Fetoprotein matched pair antibodies Capture: HA723644, Human alpha Fetoprotein Rabbit mAb [PSH14-53] Detector: HA723645, Human alpha Fetoprotein Rabbit mAb [PSH14-55] Elisa assay was performed by coating wells of a 96-well plate with 100 µl per well of capture antibody (HA723644) diluted in carbonate/bicarbonate buffer, at a concentration of 2ug/ml overnight at 4℃. Wells of the plate were washed, blocked with 150 µl 0.05% tween-20 1% BSA blocking buffer, and incubated with serial diluted Recombinant Human alpha Fetoprotein protein (HA210967) starting from 10000 pg/ml to 0 pg/ml and detect antibody (HA723647, Biotin, 0.2 µg/ml) for 1 hour at 30℃ with shaking. Then the plate was washed and incubated with 100 µl per well of SA-HRP for 0.5 hour at 30℃ with shaking. Detection was performed using an Ultra TMB Substrate for 10 minutes at room temperature in the dark. The reaction was stopped with sulfuric acid and absorbances were read on a spectrophotometer at 450 nm.
Interpolated concentrations of native Alpha-fetoprotein in human samples. Capture: HA723644, Human alpha Fetoprotein Rabbit mAb [PSH14-53] Detector: HA723645, Human alpha Fetoprotein Rabbit mAb [PSH14-54] Interpolated concentration of native Alpha-fetoprotein was measured in duplicate at different sample concentrations and interpolated from the Alpha-fetoprotein standard curves. The interpolated dilution factor corrected values were plotted (mean +/- SD, n=2). The mean Alpha-fetoprotein concentration was determined to be 1.49 ug/mL in Hep G2 cell supernatant. There was no detectable signal in THP-1 cell supernatant.
quantity: 100μl
price: 649.00 USD
to the supplier
Human alpha Fetoprotein
HUABIO
catalog: HA723645
domestic rabbit monoclonal (PSH14-54)
reactivity:
human
application:
ELISA
Sandwich ELISA analysis of Human alpha Fetoprotein matched pair antibodies Capture: HA723644, Human alpha Fetoprotein Rabbit mAb [PSH14-53] Detector: HA723645, Human alpha Fetoprotein Rabbit mAb [PSH14-54] Elisa assay was performed by coating wells of a 96-well plate with 100 µl per well of capture antibody (HA723644) diluted in carbonate/bicarbonate buffer, at a concentration of 2ug/ml overnight at 4℃. Wells of the plate were washed, blocked with 150 µl 0.05% tween-20 1% BSA blocking buffer, and incubated with serial diluted Recombinant Human alpha Fetoprotein protein (HA210967) starting from 10000 pg/ml to 0 pg/ml and detect antibody (HA723645, Biotin, 0.2 µg/ml) for 1 hour at 30℃ with shaking. Then the plate was washed and incubated with 100 µl per well of SA-HRP for 0.5 hour at 30℃ with shaking. Detection was performed using an Ultra TMB Substrate for 10 minutes at room temperature in the dark. The reaction was stopped with sulfuric acid and absorbances were read on a spectrophotometer at 450 nm.
Interpolated concentrations of native Alpha-fetoprotein in human samples. Capture: HA723644, Human alpha Fetoprotein Rabbit mAb [PSH14-53] Detector: HA723645, Human alpha Fetoprotein Rabbit mAb [PSH14-54] Interpolated concentration of native Alpha-fetoprotein was measured in duplicate at different sample concentrations and interpolated from the Alpha-fetoprotein standard curves. The interpolated dilution factor corrected values were plotted (mean +/- SD, n=2). The mean Alpha-fetoprotein concentration was determined to be 1.49 ug/mL in Hep G2 cell supernatant. There was no detectable signal in THP-1 cell supernatant.
Interpolated concentrations of spiked Alpha-fetoprotein in cell culture media samples. Capture: HA723644, Human alpha Fetoprotein Rabbit mAb [PSH14-53] Detector: HA723645, Human alpha Fetoprotein Rabbit mAb [PSH14-54] The concentrations of Alpha-fetoprotein were measured in duplicates, interpolated from the Alpha-fetoprotein standard curves and corrected for sample dilution. Undiluted samples are as follows: cell culture media 50%. The interpolated dilution factor corrected values are plotted (mean +/- SD, n=2).
quantity: 100μl
price: 649.00 USD
to the supplier
Human alpha Fetoprotein
HUABIO
catalog: HA723646B
domestic rabbit monoclonal (PSH14-54)
reactivity:
human
conjugate: biotin
application:
ELISA
Sandwich ELISA analysis of Human alpha Fetoprotein matched pair antibodies Capture: HA723644, Human alpha Fetoprotein Rabbit mAb [PSH14-53] Detector: HA723645, Human alpha Fetoprotein Rabbit mAb [PSH14-54] Elisa assay was performed by coating wells of a 96-well plate with 100 µl per well of capture antibody (HA723644) diluted in carbonate/bicarbonate buffer, at a concentration of 2ug/ml overnight at 4℃. Wells of the plate were washed, blocked with 150 µl 0.05% tween-20 1% BSA blocking buffer, and incubated with serial diluted Recombinant Human alpha Fetoprotein protein (HA210967) starting from 10000 pg/ml to 0 pg/ml and detect antibody (HA723645, Biotin, 0.2 µg/ml) for 1 hour at 30℃ with shaking. Then the plate was washed and incubated with 100 µl per well of SA-HRP for 0.5 hour at 30℃ with shaking. Detection was performed using an Ultra TMB Substrate for 10 minutes at room temperature in the dark. The reaction was stopped with sulfuric acid and absorbances were read on a spectrophotometer at 450 nm.
Interpolated concentrations of native Alpha-fetoprotein in human samples. Capture: HA723644, Human alpha Fetoprotein Rabbit mAb [PSH14-53] Detector: HA723645, Human alpha Fetoprotein Rabbit mAb [PSH14-54] Interpolated concentration of native Alpha-fetoprotein was measured in duplicate at different sample concentrations and interpolated from the Alpha-fetoprotein standard curves. The interpolated dilution factor corrected values were plotted (mean +/- SD, n=2). The mean Alpha-fetoprotein concentration was determined to be 1.49 ug/mL in Hep G2 cell supernatant. There was no detectable signal in THP-1 cell supernatant.
Interpolated concentrations of spiked Alpha-fetoprotein in cell culture media samples. Capture: HA723644, Human alpha Fetoprotein Rabbit mAb [PSH14-53] Detector: HA723645, Human alpha Fetoprotein Rabbit mAb [PSH14-54] The concentrations of Alpha-fetoprotein were measured in duplicates, interpolated from the Alpha-fetoprotein standard curves and corrected for sample dilution. Undiluted samples are as follows: cell culture media 50%. The interpolated dilution factor corrected values are plotted (mean +/- SD, n=2).
quantity: 100μl
price: 409.00 USD
to the supplier
Human alpha Fetoprotein
HUABIO
catalog: HA723647
domestic rabbit monoclonal (PSH14-55)
reactivity:
human
application:
ELISA
Sandwich ELISA analysis of Human alpha Fetoprotein matched pair antibodies Capture: HA723644, Human alpha Fetoprotein Rabbit mAb [PSH14-53] Detector: HA723647, Human alpha Fetoprotein Rabbit mAb [PSH14-55] Elisa assay was performed by coating wells of a 96-well plate with 100 µl per well of capture antibody (HA723644) diluted in carbonate/bicarbonate buffer, at a concentration of 2ug/ml overnight at 4℃. Wells of the plate were washed, blocked with 150 µl 0.05% tween-20 1% BSA blocking buffer, and incubated with serial diluted Recombinant Human alpha Fetoprotein protein (HA210967) starting from 10000 pg/ml to 0 pg/ml and detect antibody (HA723647, Biotin, 0.2 µg/ml) for 1 hour at 30℃ with shaking. Then the plate was washed and incubated with 100 µl per well of SA-HRP for 0.5 hour at 30℃ with shaking. Detection was performed using an Ultra TMB Substrate for 10 minutes at room temperature in the dark. The reaction was stopped with sulfuric acid and absorbances were read on a spectrophotometer at 450 nm.
Interpolated concentrations of native Alpha-fetoprotein in human samples. Capture: HA723644, Human alpha Fetoprotein Rabbit mAb [PSH14-53] Detector: HA723647, Human alpha Fetoprotein Rabbit mAb [PSH14-55] Interpolated concentration of native Alpha-fetoprotein was measured in duplicate at different sample concentrations and interpolated from the Alpha-fetoprotein standard curves. The interpolated dilution factor corrected values were plotted (mean +/- SD, n=2). The mean Alpha-fetoprotein concentration was determined to be 1.8 ug/mL in Hep G2 cell supernatant. There was no detectable signal in THP-1 cell supernatant.
Interpolated concentrations of spiked Alpha-fetoprotein in cell culture media samples. Capture: HA723644, Human alpha Fetoprotein Rabbit mAb [PSH14-53] Detector: HA723647, Human alpha Fetoprotein Rabbit mAb [PSH14-55] The concentrations of Alpha-fetoprotein were measured in duplicates, interpolated from the Alpha-fetoprotein standard curves and corrected for sample dilution. Undiluted samples are as follows: cell culture media 50%. The interpolated dilution factor corrected values are plotted (mean +/- SD, n=2).
quantity: 100μl
price: 649.00 USD
to the supplier
Human alpha Fetoprotein
HUABIO
catalog: HA723648B
domestic rabbit monoclonal (PSH14-55)
reactivity:
human
conjugate: biotin
application:
ELISA
Sandwich ELISA analysis of Human alpha Fetoprotein matched pair antibodies Capture: HA723644, Human alpha Fetoprotein Rabbit mAb [PSH14-53] Detector: HA723647, Human alpha Fetoprotein Rabbit mAb [PSH14-55] Elisa assay was performed by coating wells of a 96-well plate with 100 µl per well of capture antibody (HA723644) diluted in carbonate/bicarbonate buffer, at a concentration of 2ug/ml overnight at 4℃. Wells of the plate were washed, blocked with 150 µl 0.05% tween-20 1% BSA blocking buffer, and incubated with serial diluted Recombinant Human alpha Fetoprotein protein (HA210967) starting from 10000 pg/ml to 0 pg/ml and detect antibody (HA723647, Biotin, 0.2 µg/ml) for 1 hour at 30℃ with shaking. Then the plate was washed and incubated with 100 µl per well of SA-HRP for 0.5 hour at 30℃ with shaking. Detection was performed using an Ultra TMB Substrate for 10 minutes at room temperature in the dark. The reaction was stopped with sulfuric acid and absorbances were read on a spectrophotometer at 450 nm.
Interpolated concentrations of native Alpha-fetoprotein in human samples. Capture: HA723644, Human alpha Fetoprotein Rabbit mAb [PSH14-53] Detector: HA723647, Human alpha Fetoprotein Rabbit mAb [PSH14-55] Interpolated concentration of native Alpha-fetoprotein was measured in duplicate at different sample concentrations and interpolated from the Alpha-fetoprotein standard curves. The interpolated dilution factor corrected values were plotted (mean +/- SD, n=2). The mean Alpha-fetoprotein concentration was determined to be 1.8 ug/mL in Hep G2 cell supernatant. There was no detectable signal in THP-1 cell supernatant.
Interpolated concentrations of spiked Alpha-fetoprotein in cell culture media samples. Capture: HA723644, Human alpha Fetoprotein Rabbit mAb [PSH14-53] Detector: HA723647, Human alpha Fetoprotein Rabbit mAb [PSH14-55] The concentrations of Alpha-fetoprotein were measured in duplicates, interpolated from the Alpha-fetoprotein standard curves and corrected for sample dilution. Undiluted samples are as follows: cell culture media 50%. The interpolated dilution factor corrected values are plotted (mean +/- SD, n=2).
quantity: 100μl
price: 409.00 USD
to the supplier
AFP
HUABIO
catalog: HA751430
domestic rabbit monoclonal (PSH11-75)
reactivity:
human
,
mouse
,
rat
application:
western blot
,
immunohistochemistry - paraffin section
Western blot analysis of AFP on different lysates with Rabbit anti-AFP antibody (HA751430) at 1/2,000 dilution. Lane 1: HepG2 cell lysate (20 µg/Lane) Lane 2: Mouse placenta tissue lysate (40 µg/Lane) Predicted band size: 69 kDa Observed band size: 69 kDa Exposure time: Lane 1: 25 seconds; Lane 2: 8 seconds; ECL: K1801; 4-20% SDS-PAGE gel. Proteins were transferred to a PVDF membrane and blocked with 5% NFDM/TBST for 1 hour at room temperature. The primary antibody (HA751430) at 1/2,000 dilution was used in 5% NFDM/TBST at 4℃ overnight. Goat Anti-Rabbit IgG - HRP Secondary Antibody (HA1001) at 1/50,000 dilution was used for 1 hour at room temperature.
Immunohistochemical analysis of paraffin-embedded human placenta tissue with Rabbit anti-AFP antibody (HA751430) at 1/20,000 dilution. The section was pre-treated using heat mediated antigen retrieval with Tris-EDTA buffer (pH 9.0) for 20 minutes. The tissues were blocked in 1% BSA for 20 minutes at room temperature, washed with ddH2O and PBS, and then probed with the primary antibody (HA751430) at 1/20,000 dilution for 1 hour at room temperature. The detection was performed using an HRP conjugated compact polymer system. DAB was used as the chromogen. Tissues were counterstained with hematoxylin and mounted with DPX.
Immunohistochemical analysis of paraffin-embedded human poorly differentiated hepatocellular carcinoma tissue with Rabbit anti-AFP antibody (HA751430) at 1/20,000 dilution. The section was pre-treated using heat mediated antigen retrieval with Tris-EDTA buffer (pH 9.0) for 20 minutes. The tissues were blocked in 1% BSA for 20 minutes at room temperature, washed with ddH2O and PBS, and then probed with the primary antibody (HA751430) at 1/20,000 dilution for 1 hour at room temperature. The detection was performed using an HRP conjugated compact polymer system. DAB was used as the chromogen. Tissues were counterstained with hematoxylin and mounted with DPX.
quantity: 100μl
price: 649.00 USD
to the supplier
AFP
HUABIO
catalog: R1601-1
domestic rabbit polyclonal
reactivity:
human
,
mouse
,
rat
application:
western blot
,
flow cytometry
,
immunohistochemistry - paraffin section
Western blot analysis of AFP on different lysates using anti-AFP antibody at 1/1,000 dilution. Postive control: Lane 1: MCF-7 cell lysate Lane 2: PC-12 cell lysate Lane 3: Human liver tissue lysate
ICC staining AFP in HepG2 cells (green). The nuclear counter stain is DAPI (blue). Cells were fixed in paraformaldehyde, permeabilised with 0.25% Triton X100/PBS.
ICC staining AFP in MCF-7 cells (green). The nuclear counter stain is DAPI (blue). Cells were fixed in paraformaldehyde, permeabilised with 0.25% Triton X100/PBS.
quantity: 100μl
price: 330 USD
to the supplier