Monoamine Oxidase A / MAO-A
HUABIO
catalog: HA601319
mouse monoclonal (5D1-R)
reactivity: human, mouse, rat
application: western blot, immunohistochemistry - paraffin section

Western blot analysis of Monoamine Oxidase A / MAO-A on different lysates with Mouse anti-Monoamine Oxidase A / MAO-A antibody (HA601319) at 1/1,000 dilution. Lane 1: Rat brain tissue lysate Lane 2: Mouse brain tissue lysate Lysates/proteins at 40 µg/Lane. Predicted band size: 60 kDa Observed band size: 70 kDa Exposure time: 25 seconds; ECL: K1801; 4-20% SDS-PAGE gel. Proteins were transferred to a PVDF membrane and blocked with 5% NFDM/TBST for 1 hour at room temperature. The primary antibody (HA601319) at 1/1,000 dilution was used in 5% NFDM/TBST at 4℃ overnight. Anti-Mouse IgG for IP Nano-secondary antibody (NBI02H) at 1/5,000 dilution was used for 1 hour at room temperature.

Immunohistochemical analysis of paraffin-embedded human colon cancer tissue with Mouse anti-Monoamine Oxidase A / MAO-A antibody (HA601319) at 1/1,000 dilution. The section was pre-treated using heat mediated antigen retrieval with Tris-EDTA buffer (pH 9.0) for 20 minutes. The tissues were blocked in 1% BSA for 20 minutes at room temperature, washed with ddH2O and PBS, and then probed with the primary antibody (HA601319) at 1/1,000 dilution for 1 hour at room temperature. The detection was performed using an HRP conjugated compact polymer system. DAB was used as the chromogen. Tissues were counterstained with hematoxylin and mounted with DPX.

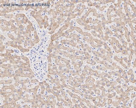
Immunohistochemical analysis of paraffin-embedded human liver tissue with Mouse anti-Monoamine Oxidase A / MAO-A antibody (HA601319) at 1/1,000 dilution. The section was pre-treated using heat mediated antigen retrieval with Tris-EDTA buffer (pH 9.0) for 20 minutes. The tissues were blocked in 1% BSA for 20 minutes at room temperature, washed with ddH2O and PBS, and then probed with the primary antibody (HA601319) at 1/1,000 dilution for 1 hour at room temperature. The detection was performed using an HRP conjugated compact polymer system. DAB was used as the chromogen. Tissues were counterstained with hematoxylin and mounted with DPX.
quantity: 100μl
price: 360.00 USD
to the supplier
Monoamine Oxidase A / MAO-A
HUABIO
catalog: HA610191
mouse monoclonal (5D1-R)
reactivity: human, mouse, rat
application: western blot, immunohistochemistry - paraffin section

Western blot analysis of Monoamine Oxidase A / MAO-A on different lysates with Mouse anti-Monoamine Oxidase A / MAO-A antibody (HA610191) at 1/1,000 dilution. Lane 1: Rat brain tissue lysate Lane 2: Mouse brain tissue lysate Lysates/proteins at 40 µg/Lane. Predicted band size: 60 kDa Observed band size: 70 kDa Exposure time: 25 seconds; ECL: K1801; 4-20% SDS-PAGE gel. Proteins were transferred to a PVDF membrane and blocked with 5% NFDM/TBST for 1 hour at room temperature. The primary antibody (HA610191) at 1/1,000 dilution was used in 5% NFDM/TBST at 4℃ overnight. Anti-Mouse IgG for IP Nano-secondary antibody (NBI02H) at 1/5,000 dilution was used for 1 hour at room temperature.

Immunohistochemical analysis of paraffin-embedded human colon cancer tissue with Mouse anti-Monoamine Oxidase A / MAO-A antibody (HA610191) at 1/1,000 dilution. The section was pre-treated using heat mediated antigen retrieval with Tris-EDTA buffer (pH 9.0) for 20 minutes. The tissues were blocked in 1% BSA for 20 minutes at room temperature, washed with ddH2O and PBS, and then probed with the primary antibody (HA610191) at 1/1,000 dilution for 1 hour at room temperature. The detection was performed using an HRP conjugated compact polymer system. DAB was used as the chromogen. Tissues were counterstained with hematoxylin and mounted with DPX.

Immunohistochemical analysis of paraffin-embedded human liver tissue with Mouse anti-Monoamine Oxidase A / MAO-A antibody (HA610191) at 1/1,000 dilution. The section was pre-treated using heat mediated antigen retrieval with Tris-EDTA buffer (pH 9.0) for 20 minutes. The tissues were blocked in 1% BSA for 20 minutes at room temperature, washed with ddH2O and PBS, and then probed with the primary antibody (HA610191) at 1/1,000 dilution for 1 hour at room temperature. The detection was performed using an HRP conjugated compact polymer system. DAB was used as the chromogen. Tissues were counterstained with hematoxylin and mounted with DPX.
quantity: 100μg
price: 649.00 USD
to the supplier
Monoamine Oxidase A / MAO-A
HUABIO
catalog: HA722313
domestic rabbit monoclonal (JE39-96)
reactivity: human, mouse, rat
application: western blot, immunohistochemistry - paraffin section

Western blot analysis of Monoamine Oxidase A / MAO-A on different lysates with Rabbit anti-Monoamine Oxidase A / MAO-A antibody (HA722313) at 1/1,000 dilution. Lane 1: HepG2 cell lysate (20 µg/Lane) Lane 2: HUVEC cell lysate (20 µg/Lane) Lane 3: A431 cell lysate (20 µg/Lane) Lane 4: THP-1 cell lysate (negative) (20 µg/Lane) Lane 5: Mouse small intestine tissue lysate (40 µg/Lane) Lane 6: Mouse kidney tissue lysate (40 µg/Lane) Lane 7: Rat small intestine tissue lysate (40 µg/Lane) Predicted band size: 60 kDa Observed band size: 60 kDa Exposure time: 59 seconds; ECL: K1801; 4-20% SDS-PAGE gel. Proteins were transferred to a PVDF membrane and blocked with 5% NFDM/TBST for 1 hour at room temperature. The primary antibody (HA722313) at 1/1,000 dilution was used in 5% NFDM/TBST at 4℃ overnight. Goat Anti-Rabbit IgG - HRP Secondary Antibody (HA1001) at 1/50,000 dilution was used for 1 hour at room temperature.

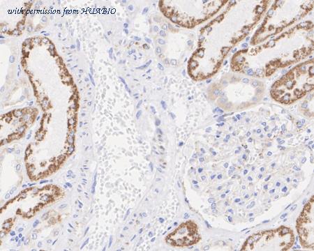
Immunohistochemical analysis of paraffin-embedded human kidney tissue with Rabbit anti-Monoamine Oxidase A / MAO-A antibody (HA722313) at 1/10,000 dilution. The section was pre-treated using heat mediated antigen retrieval with Tris-EDTA buffer (pH 9.0) for 20 minutes. The tissues were blocked in 1% BSA for 20 minutes at room temperature, washed with ddH2O and PBS, and then probed with the primary antibody (HA722313) at 1/10,000 dilution for 1 hour at room temperature. The detection was performed using an HRP conjugated compact polymer system. DAB was used as the chromogen. Tissues were counterstained with hematoxylin and mounted with DPX.

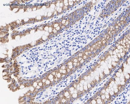
Immunohistochemical analysis of paraffin-embedded human colon tissue with Rabbit anti-Monoamine Oxidase A / MAO-A antibody (HA722313) at 1/10,000 dilution. The section was pre-treated using heat mediated antigen retrieval with Tris-EDTA buffer (pH 9.0) for 20 minutes. The tissues were blocked in 1% BSA for 20 minutes at room temperature, washed with ddH2O and PBS, and then probed with the primary antibody (HA722313) at 1/10,000 dilution for 1 hour at room temperature. The detection was performed using an HRP conjugated compact polymer system. DAB was used as the chromogen. Tissues were counterstained with hematoxylin and mounted with DPX.
quantity: 100μl
price: 385.00 USD
to the supplier
Monoamine Oxidase A / MAO-A
HUABIO
catalog: R1408-8
domestic rabbit polyclonal
reactivity: human, mouse, rat
application: western blot