Sign in
Sign up
home
>
HUABIO
> HUABIO Lyz1 antibody
Lysozyme
HUABIO
catalog: EM1901-99
mouse monoclonal (A5A9)
reactivity:
human
,
mouse
,
rat
application:
western blot
,
immunohistochemistry - paraffin section
Western blot analysis of Lysozyme on HL-60 cell lysates with Mouse anti-Lysozyme antibody (EM1901-99) at 1/2,000 dilution. Lysates/proteins at 10 µg/Lane. Predicted band size: 17 kDa Observed band size: 14 kDa Exposure time: 25 seconds; ECL: K1801; 4-20% SDS-PAGE gel. Proteins were transferred to a PVDF membrane and blocked with 5% NFDM/TBST for 1 hour at room temperature. The primary antibody (EM1901-99) at 1/2,000 dilution was used in 5% NFDM/TBST at 4℃ overnight. Goat Anti-Mouse IgG - HRP Secondary Antibody (HA1006) at 1/50,000 dilution was used for 1 hour at room temperature.
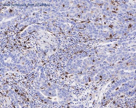
Immunohistochemical analysis of paraffin-embedded human stomach cancer tissue with Mouse anti-Lysozyme antibody (EM1901-99) at 1/1,000 dilution. The section was pre-treated using heat mediated antigen retrieval with Tris-EDTA buffer (pH 9.0) for 20 minutes. The tissues were blocked in 1% BSA for 20 minutes at room temperature, washed with ddH2O and PBS, and then probed with the primary antibody (EM1901-99) at 1/1,000 dilution for 1 hour at room temperature. The detection was performed using an HRP conjugated compact polymer system. DAB was used as the chromogen. Tissues were counterstained with hematoxylin and mounted with DPX.
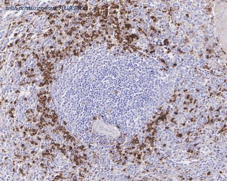
Immunohistochemical analysis of paraffin-embedded human spleen tissue with Mouse anti-Lysozyme antibody (EM1901-99) at 1/1,000 dilution. The section was pre-treated using heat mediated antigen retrieval with Tris-EDTA buffer (pH 9.0) for 20 minutes. The tissues were blocked in 1% BSA for 20 minutes at room temperature, washed with ddH2O and PBS, and then probed with the primary antibody (EM1901-99) at 1/1,000 dilution for 1 hour at room temperature. The detection was performed using an HRP conjugated compact polymer system. DAB was used as the chromogen. Tissues were counterstained with hematoxylin and mounted with DPX.
quantity: 100μl
price: 360.00 USD
to the supplier
Lysozyme
HUABIO
catalog: ER1803-88
domestic rabbit polyclonal
reactivity:
human
,
mouse
,
rat
application:
western blot
,
immunohistochemistry - paraffin section
Western blot analysis of Lysozyme on different lysates. Proteins were transferred to a PVDF membrane and blocked with 5% BSA in PBS for 1 hour at room temperature. The primary antibody was used at a 1:500 dilution in 5% BSA at room temperature for 2 hours. Goat Anti-Rabbit IgG - HRP Secondary Antibody (HA1001) at 1:5,000 dilution was used for 1 hour at room temperature. Positive control: Lane 1: HL-60 cell lysate Lane 2: Mouse kidney tissue lysate Lane 3: Rat kidney tissue lysate
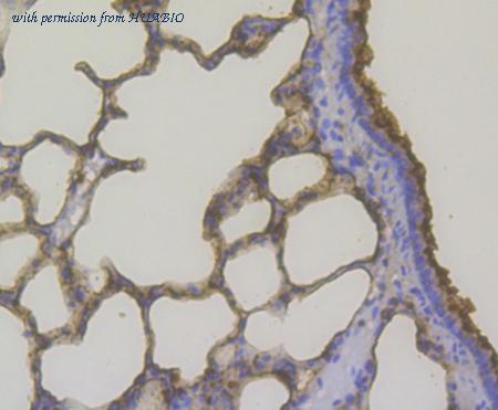
Immunohistochemical analysis of paraffin-embedded rat lung tissue using anti-Lysozyme antibody. The section was pre-treated using heat mediated antigen retrieval with Tris-EDTA buffer (pH 8.0-8.4) for 20 minutes.The tissues were blocked in 5% BSA for 30 minutes at room temperature, washed with ddH2O and PBS, and then probed with the antibody (ER1803-88) at 1/200 dilution, for 30 minutes at room temperature and detected using an HRP conjugated compact polymer system. DAB was used as the chromogen. Counter stained with hematoxylin and mounted with DPX.
Immunohistochemical analysis of paraffin-embedded human spleen tissue using anti-Lysozyme antibody. The section was pre-treated using heat mediated antigen retrieval with Tris-EDTA buffer (pH 8.0-8.4) for 20 minutes.The tissues were blocked in 5% BSA for 30 minutes at room temperature, washed with ddH2O and PBS, and then probed with the antibody (ER1803-88) at 1/200 dilution, for 30 minutes at room temperature and detected using an HRP conjugated compact polymer system. DAB was used as the chromogen. Counter stained with hematoxylin and mounted with DPX.
quantity: 100μl
price: 330 USD
to the supplier
Lysozyme
HUABIO
catalog: ET1609-35-50UL
domestic rabbit monoclonal (ST50-02)
reactivity:
human
,
mouse
application:
western blot
,
immunoprecipitation
,
immunohistochemistry - paraffin section
Fluorescence multiplex immunohistochemical analysis of mouse small intestine (Formalin/PFA-fixed paraffin-embedded sections). Panel A: the merged image of anti-Lysozyme (ET1609-35, Green), anti-villin1 (ET7106-62, Magenta) and anti-aSMA (ET1607-53, Yellow) on mouse small intestine. HRP Conjugated UltraPolymer Goat Polyclonal Antibody HA1119/HA1120 was used as a secondary antibody. The immunostaining was performed with the Sequential Immuno-staining Kit (IRISKit™MH010101, www.luminiris.cn). The section was incubated in three rounds of staining: in the order of ET1609-35 (1/2,000 dilution), ET7106-62 (1/5,000 dilution) and ET1607-53 (1/10,000 dilution) for 20 mins at room temperature. Each round was followed by a separate fluorescent tyramide signal amplification system. Heat mediated antigen retrieval with Tris-EDTA buffer (pH 9.0) for 30 mins at 95℃. DAPI (blue) was used as a nuclear counter stain. Image acquisition was performed with Olympus VS200 Slide Scanner.
Fluorescence multiplex immunohistochemical analysis of mouse small intestine (Formalin/PFA-fixed paraffin-embedded sections). Panel A: the merged image of anti-E-Cadherin (HA601143, Red) and anti-Lysozyme (ET1609-35, Green) on small intestine. HRP Conjugated UltraPolymer Goat Polyclonal Antibody HA1119/HA1120 was used as a secondary antibody. The immunostaining was performed with the Sequential Immuno-staining Kit (IRISKit™MH010101, www.luminiris.cn). The section was incubated in two rounds of staining: in the order of HA601143 (1/4,000 dilution) and ET1609-35 (1/2,000 dilution) for 20 mins at room temperature. Each round was followed by a separate fluorescent tyramide signal amplification system. Heat mediated antigen retrieval with Tris-EDTA buffer (pH 9.0) for 30 mins at 95℃. DAPI (blue) was used as a nuclear counter stain. Image acquisition was performed with Zeiss Observer 7 Inverted Fluorescence Microscope.
Western blot analysis of Lysozyme on different lysates with Rabbit anti-Lysozyme antibody (ET1609-35) at 1/2,000 dilution. Lane 1: HL-60 cell lysate (20 µg/Lane) Lane 2: HepG2 cell lysate (20 µg/Lane) Lane 3: RAW264.7 cell lysate (20 µg/Lane) Lane 4: Mouse lung tissue lysate (40 µg/Lane) Lane 5: Mouse kidney tissue lysate (40 µg/Lane) Predicted band size: 17 kDa Observed band size: 14 kDa Exposure time: 6 seconds; ECL: K1801; 4-20% SDS-PAGE gel. Proteins were transferred to a PVDF membrane and blocked with 5% NFDM/TBST for 1 hour at room temperature. The primary antibody (ET1609-35) at 1/2,000 dilution was used in 5% NFDM/TBST at 4℃ overnight. Goat Anti-Rabbit IgG - HRP Secondary Antibody (HA1001) at 1/50,000 dilution was used for 1 hour at room temperature.
quantity: 50μl
price: 205.00 USD
to the supplier
Lysozyme
HUABIO
catalog: HA750170
domestic rabbit monoclonal (ST50-02)
reactivity:
human
,
mouse
application:
western blot
,
immunoprecipitation
,
immunohistochemistry - paraffin section
Western blot analysis of Lysozyme on different lysates with Rabbit anti-Lysozyme antibody (HA750170) at 1/2,000 dilution. Lane 1: HL-60 cell lysate (20 µg/Lane) Lane 2: HepG2 cell lysate (20 µg/Lane) Lane 3: RAW264.7 cell lysate (20 µg/Lane) Lane 4: Mouse lung tissue lysate (40 µg/Lane) Lane 5: Mouse kidney tissue lysate (40 µg/Lane) Predicted band size: 17 kDa Observed band size: 14 kDa Exposure time: 6 seconds; ECL: K1801; 4-20% SDS-PAGE gel. Proteins were transferred to a PVDF membrane and blocked with 5% NFDM/TBST for 1 hour at room temperature. The primary antibody (HA750170) at 1/2,000 dilution was used in 5% NFDM/TBST at 4℃ overnight. Goat Anti-Rabbit IgG - HRP Secondary Antibody (HA1001) at 1/50,000 dilution was used for 1 hour at room temperature.
Immunohistochemical analysis of paraffin-embedded human tonsil tissue with Rabbit anti-Lysozyme antibody (HA750170) at 1/200 dilution. The section was pre-treated using heat mediated antigen retrieval with Tris-EDTA buffer (pH 9.0) for 20 minutes. The tissues were blocked in 1% BSA for 20 minutes at room temperature, washed with ddH2O and PBS, and then probed with the primary antibody (HA750170) at 1/200 dilution for 1 hour at room temperature. The detection was performed using an HRP conjugated compact polymer system. DAB was used as the chromogen. Tissues were counterstained with hematoxylin and mounted with DPX.
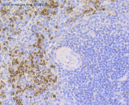
Immunohistochemical analysis of paraffin-embedded human spleen tissue with Rabbit anti-Lysozyme antibody (HA750170) at 1/500 dilution. The section was pre-treated using heat mediated antigen retrieval with Tris-EDTA buffer (pH 9.0) for 20 minutes. The tissues were blocked in 1% BSA for 20 minutes at room temperature, washed with ddH2O and PBS, and then probed with the primary antibody (HA750170) at 1/500 dilution for 1 hour at room temperature. The detection was performed using an HRP conjugated compact polymer system. DAB was used as the chromogen. Tissues were counterstained with hematoxylin and mounted with DPX.
quantity: 100μl
price: 649.00 USD
to the supplier
Lysozyme
HUABIO
catalog: IRS168RB
domestic rabbit monoclonal
reactivity:
mouse
mIHC analysis of mouse small intestine tissue (Formalin/PFA-fixed paraffin-embedded sections) with Rabbit anti-Lysozyme antibody (IRS168RB) at 1/100 dilution. The immunostaining was performed with the IRISKitCmTSA Kit (900808). Heat mediated antigen retrieval with Tris-EDTA buffer (pH 9.0) for 30 mins at 95℃. DAPI (blue) was used as a nuclear counter stain. Image acquisition was performed with Olympus VS200 Slide Scanner.
quantity: 50T
price: 278.00 USD
to the supplier
Anti-Lysozyme Antibody [ST50-02]
HUABIO
catalog: ET1609-35TR
domestic rabbit monoclonal (ST50-02)
reactivity:
human
,
mouse
application:
western blot
,
immunoprecipitation
,
immunohistochemistry - paraffin section
quantity: 20 uL
price: 99 USD
to the supplier