Sign in
Sign up
home
>
HUABIO
> HUABIO Ly6f antibody
SCA-1
HUABIO
catalog: 0804-10
domestic rabbit polyclonal
reactivity:
mouse
application:
western blot
Western blot analysis of SCA-1 on different lysates with Rabbit anti-SCA-1 antibody (0804-10) at 1/500 dilution. Lane 1: Mouse kidney tissue lysate (20 µg/Lane) Lane 2: NIH/3T3 cell lysate (10 µg/Lane) Predicted band size: 14 kDa Observed band size: 14 kDa Exposure time: 2 minutes; 15% SDS-PAGE gel. Proteins were transferred to a PVDF membrane and blocked with 5% NFDM/TBST for 1 hour at room temperature. The primary antibody (0804-10) at 1/500 dilution was used in 5% NFDM/TBST at room temperature for 2 hours. Goat Anti-Rabbit IgG - HRP Secondary Antibody (HA1001) at 1:300,000 dilution was used for 1 hour at room temperature.
quantity: 100μl
price: 330 USD
to the supplier
Ly6g
HUABIO
catalog: 0809-11
domestic rabbit polyclonal
reactivity:
mouse
application:
western blot
,
flow cytometry
Western blot analysis of Ly6g on different lysates with Rabbit anti-Ly6g antibody (0809-11) at 1/1,000 dilution. Lane 1: Mouse spleen tissue lysate Lane 2: Mouse lung tissue lysate Lysates/proteins at 20 µg/Lane. Predicted band size: 14 kDa Observed band size: 25~30 kDa Exposure time: 7 seconds; 12% SDS-PAGE gel. Proteins were transferred to a PVDF membrane and blocked with 5% NFDM/TBST for 1 hour at room temperature. The primary antibody (0809-11) at 1/1,000 dilution was used in 5% NFDM/TBST at room temperature for 2 hours. Goat Anti-Rabbit IgG - HRP Secondary Antibody (HA1001) at 1:200,000 dilution was used for 1 hour at room temperature.
quantity: 100μl
price: 330 USD
to the supplier
LY6A
HUABIO
catalog: ET1703-67
domestic rabbit monoclonal (JM53-11)
reactivity:
mouse
application:
western blot
,
immunohistochemistry - paraffin section
Western blot analysis of LY6A on mouse brain cells lysates using anti-LY6A antibody at 1/500 dilution.
Immunohistochemical analysis of paraffin-embedded mouse brain tissue using anti-LY6A antibody. Counter stained with hematoxylin.
Immunohistochemical analysis of paraffin-embedded mouse kidney tissue using anti-LY6A antibody. Counter stained with hematoxylin.
quantity: 100μl
price: 385.00 USD
to the supplier
Ly6c
HUABIO
catalog: HA500087
domestic rabbit polyclonal
reactivity:
mouse
application:
western blot
,
flow cytometry
,
immunohistochemistry - paraffin section
Western blot analysis of Ly6c on different lysates with Rabbit anti-Ly6c antibody (HA500087) at 1/2,000 dilution. Lane 1: C2C12 cell lysate Lane 2: Mouse lung tissue lysate Lane 3: Mouse spleen tissue lysate Lane 4: Mouse kidney tissue lysate Lysates/proteins at 20 µg/Lane. Predicted band size: 14 kDa Observed band size: 14 kDa Exposure time: 1 minute 50 seconds; ECL: K1802; 4-20% SDS-PAGE gel. Proteins were transferred to a PVDF membrane and blocked with 5% NFDM/TBST for 1 hour at room temperature. The primary antibody (HA500087) at 1/2,000 dilution was used in 5% NFDM/TBST at 4℃ overnight. Goat Anti-Rabbit IgG - HRP Secondary Antibody (HA1001) at 1/50,000 dilution was used for 1 hour at room temperature.
Immunohistochemical analysis of paraffin-embedded mouse heart tissue with Rabbit anti-Ly6c antibody (HA500087) at 1/200 dilution. The section was pre-treated using heat mediated antigen retrieval with Tris-EDTA buffer (pH 9.0) for 20 minutes. The tissues were blocked in 1% BSA for 20 minutes at room temperature, washed with ddH2O and PBS, and then probed with the primary antibody (HA500087) at 1/200 dilution for 1 hour at room temperature. The detection was performed using an HRP conjugated compact polymer system. DAB was used as the chromogen. Tissues were counterstained with hematoxylin and mounted with DPX.
Flow cytometric analysis of mouse spleen cells labeling Ly6c (HA500087) and CD8-PE. Cells were washed twice with cold PBS and resuspend. Then stained with the primary antibody (HA500087, 1/1,000). After incubation of the primary antibody at +4℃ for an hour, the cells were stained with a iFluor™ 488 conjugate-Goat anti-Rabbit IgG Secondary antibody (HA1121) at 1/1,000 dilution for 30 minutes at +4℃. Compared with Rabbit IgG Isotype Control (iFluor™ 488, 1/1,000).
quantity: 100μl
price: 330 USD
to the supplier
Ly6c
HUABIO
catalog: HA500088
domestic rabbit polyclonal
reactivity:
mouse
application:
western blot
,
flow cytometry
,
immunohistochemistry - paraffin section
Western blot analysis of Ly6c on different lysates with Rabbit anti-Ly6c antibody (HA500088) at 1/1,000 dilution. Lane 1: Mouse lung tissue lysate Lane 2: Mouse spleen tissue lysate Lane 3: Mouse testis tissue lysate (low expression) Lane 4: Mouse liver tissue lysate (low expression) Lane 5: Mouse kidney tissue lysate Lane 6: Mouse heart tissue lysate Lane 7: Mouse brain tissue lysate Lysates/proteins at 20 µg/Lane. Predicted band size: 14 kDa Observed band size: 14 kDa Exposure time: 6 seconds; ECL: K1801; 4-20% SDS-PAGE gel. Proteins were transferred to a PVDF membrane and blocked with 5% NFDM/TBST for 1 hour at room temperature. The primary antibody (HA500088) at 1/1,000 dilution was used in 5% NFDM/TBST at 4℃ overnight. Goat Anti-Rabbit IgG - HRP Secondary Antibody (HA1001) at 1/50,000 dilution was used for 1 hour at room temperature.
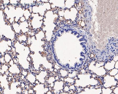
Immunohistochemical analysis of paraffin-embedded mouse lung tissue using anti-Ly6c antibody. The section was pre-treated using heat mediated antigen retrieval with Tris-EDTA buffer (pH 8.0-8.4) for 20 minutes.The tissues were blocked in 5% BSA for 30 minutes at room temperature, washed with ddH2O and PBS, and then probed with the primary antibody (HA500088, 1/400) for 30 minutes at room temperature. The detection was performed using an HRP conjugated compact polymer system. DAB was used as the chromogen. Tissues were counterstained with hematoxylin and mounted with DPX.
Immunohistochemical analysis of paraffin-embedded mouse brain tissue using anti-Ly6c antibody. The section was pre-treated using heat mediated antigen retrieval with Tris-EDTA buffer (pH 8.0-8.4) for 20 minutes.The tissues were blocked in 5% BSA for 30 minutes at room temperature, washed with ddH2O and PBS, and then probed with the primary antibody (HA500088, 1/400) for 30 minutes at room temperature. The detection was performed using an HRP conjugated compact polymer system. DAB was used as the chromogen. Tissues were counterstained with hematoxylin and mounted with DPX.
quantity: 100μl
price: 330 USD
to the supplier
Ly6c
HUABIO
catalog: HA722134
domestic rabbit monoclonal (PSH04-51)
reactivity:
mouse
application:
western blot
Western blot analysis of Ly6c on different lysates with Rabbit anti-Ly6c antibody (HA722134) at 1/1,000 dilution. Lane 1: Mouse lung tissue lysate Lane 2: Mouse testis tissue lysate (low expression) Lane 3: Mouse liver tissue lysate (low expression) Lane 4: Mouse kidney tissue lysate Lane 5: Mouse heart tissue lysate Lysates/proteins at 20 µg/Lane. Predicted band size: 14 kDa Observed band size: 14 kDa Exposure time: 3 minutes; ECL: K1801; 4-20% SDS-PAGE gel. Proteins were transferred to a PVDF membrane and blocked with 5% NFDM/TBST for 1 hour at room temperature. The primary antibody (HA722134) at 1/1,000 dilution was used in 5% NFDM/TBST at 4℃ overnight. Goat Anti-Rabbit IgG - HRP Secondary Antibody (HA1001) at 1/50,000 dilution was used for 1 hour at room temperature.
quantity: 100μl
price: 385.00 USD
to the supplier
Ly6g
HUABIO
catalog: HA723696
domestic rabbit monoclonal (PSH14-95)
reactivity:
mouse
application:
flow cytometry
,
immunohistochemistry - paraffin section
Flow cytometric analysis of mouse bone marrow cells labeling Ly6g. Cells were washed twice with cold PBS and resuspend. Then stained with the primary antibody (HA723696, 1/1,000) (red). After incubation of the primary antibody at +4℃ for an hour, the cells were stained with a iFluor™ 488 conjugate-Goat anti-Rabbit IgG Secondary antibody (HA1121) at 1/1,000 dilution for 30 minutes at +4℃. Unlabelled sample was used as a control (cells without incubation with primary antibody; black).
Flow cytometric analysis of C57 mouse blood cells labeling Ly6g. Cells were washed twice with cold PBS and resuspend. Then stained with the primary antibody (HA723696, 1/1,000) (red). After incubation of the primary antibody at +4℃ for an hour, the cells were stained with a iFluor™ 488 conjugate-Goat anti-Rabbit IgG Secondary antibody (HA1121) at 1/1,000 dilution for 30 minutes at +4℃. Unlabelled sample was used as a control (cells without incubation with primary antibody; black).
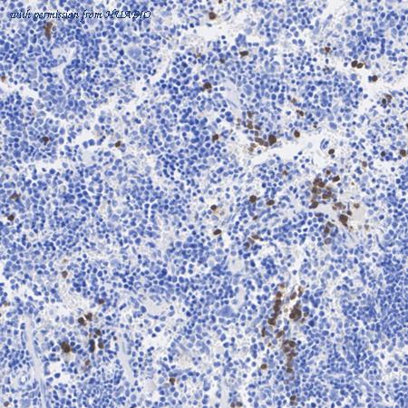
Immunohistochemical analysis of paraffin-embedded mouse spleen tissue with Rabbit anti-Ly6g antibody (HA723696) at 1/4,000 dilution. The section was pre-treated using heat mediated antigen retrieval with Tris-EDTA buffer (pH 9.0) for 20 minutes. The tissues were blocked in 1% BSA for 20 minutes at room temperature, washed with ddH2O and PBS, and then probed with the primary antibody (HA723696) at 1/4,000 dilution for 1 hour at room temperature. The detection was performed using an HRP conjugated compact polymer system. DAB was used as the chromogen. Tissues were counterstained with hematoxylin and mounted with DPX.
quantity: 100μl
price: 385.00 USD
to the supplier
Ly6c
HUABIO
catalog: HA750958
domestic rabbit monoclonal (PSH04-51)
reactivity:
mouse
application:
western blot
Western blot analysis of Ly6c on different lysates with Rabbit anti-Ly6c antibody (HA750958) at 1/1,000 dilution. Lane 1: Mouse lung tissue lysate Lane 2: Mouse testis tissue lysate (low expression) Lane 3: Mouse liver tissue lysate (low expression) Lane 4: Mouse kidney tissue lysate Lane 5: Mouse heart tissue lysate Lysates/proteins at 20 µg/Lane. Predicted band size: 14 kDa Observed band size: 14 kDa Exposure time: 3 minutes; ECL: K1801; 4-20% SDS-PAGE gel. Proteins were transferred to a PVDF membrane and blocked with 5% NFDM/TBST for 1 hour at room temperature. The primary antibody (HA750958) at 1/1,000 dilution was used in 5% NFDM/TBST at 4℃ overnight. Goat Anti-Rabbit IgG - HRP Secondary Antibody (HA1001) at 1/50,000 dilution was used for 1 hour at room temperature.
quantity: 100μl
price: 649.00 USD
to the supplier
Ly6g
HUABIO
catalog: HA751538
domestic rabbit monoclonal (PSH14-95)
reactivity:
mouse
application:
flow cytometry
,
immunohistochemistry - paraffin section
Flow cytometric analysis of mouse bone marrow cells labeling Ly6g. Cells were washed twice with cold PBS and resuspend. Then stained with the primary antibody (HA751538, 1/1,000) (red). After incubation of the primary antibody at +4℃ for an hour, the cells were stained with a iFluor™ 488 conjugate-Goat anti-Rabbit IgG Secondary antibody (HA1121) at 1/1,000 dilution for 30 minutes at +4℃. Unlabelled sample was used as a control (cells without incubation with primary antibody; black).
Flow cytometric analysis of C57 mouse blood cells labeling Ly6g. Cells were washed twice with cold PBS and resuspend. Then stained with the primary antibody (HA751538, 1/1,000) (red). After incubation of the primary antibody at +4℃ for an hour, the cells were stained with a iFluor™ 488 conjugate-Goat anti-Rabbit IgG Secondary antibody (HA1121) at 1/1,000 dilution for 30 minutes at +4℃. Unlabelled sample was used as a control (cells without incubation with primary antibody; black).
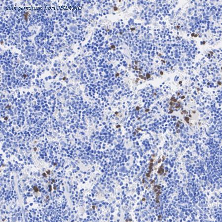
Immunohistochemical analysis of paraffin-embedded mouse spleen tissue with Rabbit anti-Ly6g antibody (HA751538) at 1/4,000 dilution. The section was pre-treated using heat mediated antigen retrieval with Tris-EDTA buffer (pH 9.0) for 20 minutes. The tissues were blocked in 1% BSA for 20 minutes at room temperature, washed with ddH2O and PBS, and then probed with the primary antibody (HA751538) at 1/4,000 dilution for 1 hour at room temperature. The detection was performed using an HRP conjugated compact polymer system. DAB was used as the chromogen. Tissues were counterstained with hematoxylin and mounted with DPX.
quantity: 100μl
price: 385.00 USD
to the supplier
LY6A
HUABIO
catalog: IRS166RB
domestic rabbit monoclonal
reactivity:
mouse
mIHC analysis of mouse liver tissue (Formalin/PFA-fixed paraffin-embedded sections) with Rabbit anti-LY6A antibody (IRS166RB) at 1/100 dilution. The immunostaining was performed with the IRISKitCmTSA Kit (900808). Heat mediated antigen retrieval with Tris-EDTA buffer (pH 9.0) for 30 mins at 95℃. DAPI (blue) was used as a nuclear counter stain. Image acquisition was performed with Olympus VS200 Slide Scanner.
quantity: 50T
price: 278.00 USD
to the supplier