Sign in
Sign up
home
>
HUABIO
> HUABIO Ldha antibody
LDHA
HUABIO
catalog: ER00702
domestic rabbit polyclonal
reactivity:
human
,
mouse
,
rat
application:
western blot
,
flow cytometry
,
immunohistochemistry - paraffin section
Western blot analysis of LDHA on different lysates with Rabbit anti-LDHA antibody (ER00702) at 1/5,000 dilution. Lane 1: A431 cell lysate Lane 2: MCF7 cell lysate Lane 3: NIH/3T3 cell lysate Lane 4: RAW264.7 cell lysate Lane 5: C6 cell lysate Lane 6: PC-12 cell lysate Lysates/proteins at 15 µg/Lane. Predicted band size: 37 kDa Observed band size: 35 kDa Exposure time: 20 seconds; 4-20% SDS-PAGE gel. Proteins were transferred to a PVDF membrane and blocked with 5% NFDM/TBST for 1 hour at room temperature. The primary antibody (ER00702) at 1/5,000 dilution was used in 5% NFDM/TBST at 4℃ overnight. Goat Anti-Rabbit IgG - HRP Secondary Antibody (HA1001) at 1/50,000 dilution was used for 1 hour at room temperature.
All lanes: Western blot analysis of LDHA with anti-LDHA antibody (ER00702) at 1:500 dilution. Lane 1: Wild-type Hela whole cell lysate (10 µg). Lane 2/3: LDHA knockdown Hela whole cell lysate (10 µg). ER00702 was shown to specifically react with LDHA in wild-type Hela cells. Weakened bands were observed when LDHA knockdown samples were tested. Wild-type and LDHA knockdown samples were subjected to SDS-PAGE. Proteins were transferred to a PVDF membrane and blocked with 5% NFDM in TBST for 1 hour at room temperature. The primary antibody (ER00702, 1:500) was used in 5% BSA at room temperature for 2 hours. Goat Anti-Rabbit IgG-HRP Secondary Antibody (HA1001) at 1:300,000 dilution was used for 1 hour at room temperature.
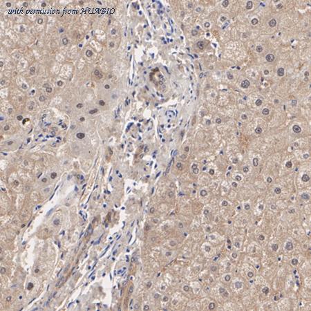
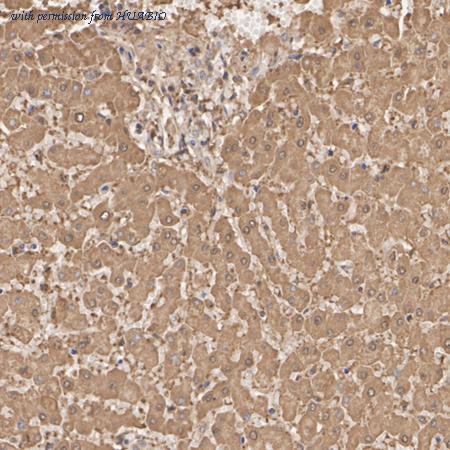
Immunohistochemical analysis of paraffin-embedded human liver tissue with Rabbit anti-LDHA antibody (ER00702) at 1/1,000 dilution. The section was pre-treated using heat mediated antigen retrieval with Tris-EDTA buffer (pH 9.0) for 20 minutes. The tissues were blocked in 1% BSA for 20 minutes at room temperature, washed with ddH2O and PBS, and then probed with the primary antibody (ER00702) at 1/1,000 dilution for 1 hour at room temperature. The detection was performed using an HRP conjugated compact polymer system. DAB was used as the chromogen. Tissues were counterstained with hematoxylin and mounted with DPX.
quantity: 100μl
price: 330 USD
to the supplier
Lactate Dehydrogenase
HUABIO
catalog: ET1608-57-50UL
domestic rabbit monoclonal (SU39-06)
reactivity:
human
,
mouse
,
rat
,
zebrafish
application:
western blot
,
immunoprecipitation
,
flow cytometry
,
immunohistochemistry - paraffin section
Western blot analysis of Lactate Dehydrogenase on different lysates with Rabbit anti-Lactate Dehydrogenase antibody (ET1608-57) at 1/5,000 dilution. Lane 1: HeLa cell lysate (15 µg/Lane) Lane 2: HEK-293 cell lysate (15 µg/Lane) Lane 3: A549 cell lysate (15 µg/Lane) Predicted band size: 37 kDa Observed band size: 37 kDa Exposure time: 1 minute 36 seconds; 4-20% SDS-PAGE gel. Proteins were transferred to a PVDF membrane and blocked with 5% NFDM/TBST for 1 hour at room temperature. The primary antibody (ET1608-57) at 1/5,000 dilution was used in 5% NFDM/TBST at 4℃ overnight. Goat Anti-Rabbit IgG - HRP Secondary Antibody (HA1001) at 1:50,000 dilution was used for 1 hour at room temperature.
Western blot analysis of Lactate Dehydrogenase on different lysates with Rabbit anti-Lactate Dehydrogenase antibody (ET1608-57) at 1/1,000 dilution. Lane 1: Hela-si NT cell lysate (10 µg/Lane) Lane 2: Hela-si Lactate Dehydrogenase cell lysate (10 µg/Lane) Predicted band size: 37 kDa Observed band size: 37 kDa Exposure time: 25 seconds; 4-20% SDS-PAGE gel. ET1608-57 was shown to specifically react with Lactate Dehydrogenase in Hela-si NT cells. Weakened band was observed when Hela-si Lactate Dehydrogenase sample was tested. Hela-si NT and Hela-si Lactate Dehydrogenase samples were subjected to SDS-PAGE. Proteins were transferred to a PVDF membrane and blocked with 5% NFDM in TBST for 1 hour at room temperature. The primary antibody (ET1608-57, 1/1,000) and Loading control antibody (Rabbit anti-GAPDH, ET1601-4, 1/10,000) were used in 5% BSA at room temperature for 2 hours. Goat Anti-rabbit IgG-HRP Secondary Antibody (HA1001) at 1:100,000 dilution was used for 1 hour at room temperature.
Western blot analysis of Lactate Dehydrogenase on hybrid fish (crucian-carp) brain tissue lysates. Proteins were transferred to a PVDF membrane and blocked with 5% BSA in PBS for 1 hour at room temperature. The primary antibody (ET1608-57, 1/500) was used in 5% BSA at room temperature for 2 hours. Goat Anti-Rabbit IgG - HRP Secondary Antibody (HA1001) at 1:200,000 dilution was used for 1 hour at room temperature.
quantity: 50μl
price: 205.00 USD
to the supplier
LDHA + LDHB
HUABIO
catalog: HA723486
domestic rabbit monoclonal (PSH12-75)
reactivity:
human
,
mouse
,
rat
application:
western blot
,
immunoprecipitation
,
flow cytometry
,
immunohistochemistry - paraffin section
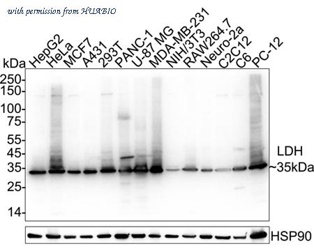
Western blot analysis of LDHA + LDHB on different lysates with Rabbit anti-LDHA + LDHB antibody (HA723486) at 1/1,000 dilution. Lane 1: HepG2 cell lysate Lane 2: HeLa cell lysate Lane 3: MCF7 cell lysate Lane 4: A431 cell lysate Lane 5: 293T cell lysate Lane 6: PANC-1 cell lysate Lane 7: U-87 MG cell lysate Lane 8: MDA-MB-231 cell lysate Lane 9: NIH/3T3 cell lysate Lane 10: RAW264.7 cell lysate Lane 11: Neuro-2a cell lysate Lane 12: C2C12 cell lysate Lane 13: C6 cell lysate Lane 14: PC-12 cell lysate Lysates/proteins at 20 µg/Lane. Predicted band size: 37 kDa Observed band size: 35 kDa Exposure time: 6 seconds; ECL: K1801; 4-20% SDS-PAGE gel. Proteins were transferred to a PVDF membrane and blocked with 5% NFDM/TBST for 1 hour at room temperature. The primary antibody (HA723486) at 1/5,000 dilution was used in 5% NFDM/TBST at 4℃ overnight. Goat Anti-Rabbit IgG - HRP Secondary Antibody (HA1001) at 1/50,000 dilution was used for 1 hour at room temperature.
Immunohistochemical analysis of paraffin-embedded human breast cancer tissue with Rabbit anti-LDHA + LDHB antibody (HA723486) at 1/20,000 dilution. The section was pre-treated using heat mediated antigen retrieval with Tris-EDTA buffer (pH 9.0) for 20 minutes. The tissues were blocked in 1% BSA for 20 minutes at room temperature, washed with ddH2O and PBS, and then probed with the primary antibody (HA723486) at 1/20,000 dilution for 1 hour at room temperature. The detection was performed using an HRP conjugated compact polymer system. DAB was used as the chromogen. Tissues were counterstained with hematoxylin and mounted with DPX.
Immunohistochemical analysis of paraffin-embedded human liver tissue with Rabbit anti-LDHA + LDHB antibody (HA723486) at 1/20,000 dilution. The section was pre-treated using heat mediated antigen retrieval with Tris-EDTA buffer (pH 9.0) for 20 minutes. The tissues were blocked in 1% BSA for 20 minutes at room temperature, washed with ddH2O and PBS, and then probed with the primary antibody (HA723486) at 1/20,000 dilution for 1 hour at room temperature. The detection was performed using an HRP conjugated compact polymer system. DAB was used as the chromogen. Tissues were counterstained with hematoxylin and mounted with DPX.
quantity: 100μl
price: 385.00 USD
to the supplier
LDHA
HUABIO
catalog: HA723547
domestic rabbit monoclonal (PSH13-58)
reactivity:
human
,
mouse
,
rat
application:
western blot
,
flow cytometry
,
immunohistochemistry - paraffin section
Western blot analysis of LDHA on different lysates with Rabbit anti-LDHA antibody (HA723547) at 1/5,000 dilution. Lane 1: HepG2 cell lysate (20 µg/Lane) Lane 2: HeLa cell lysate (20 µg/Lane) Lane 3: MCF7 cell lysate (20 µg/Lane) Lane 4: A431 cell lysate (20 µg/Lane) Lane 5: 293T cell lysate (20 µg/Lane) Lane 6: PANC-1 cell lysate (20 µg/Lane) Lane 7: U-87 MG cell lysate (20 µg/Lane) Lane 8: MDA-MB-231 cell lysate (20 µg/Lane) Lane 9: NIH/3T3 cell lysate (20 µg/Lane) Lane 10: RAW264.7 cell lysate (20 µg/Lane) Lane 11: Neuro-2a cell lysate (20 µg/Lane) Lane 12: C2C12 cell lysate (20 µg/Lane) Lane 13: C6 cell lysate (20 µg/Lane) Lane 14: PC-12 cell lysate (20 µg/Lane) Predicted band size: 37 kDa Observed band size: 33 kDa Exposure time: 6 seconds; ECL: K1801; 4-20% SDS-PAGE gel. Proteins were transferred to a PVDF membrane and blocked with 5% NFDM/TBST for 1 hour at room temperature. The primary antibody (HA723547) at 1/5,000 dilution was used in primary antibody dilution (K1803) at 4℃ overnight. Goat Anti-Rabbit IgG - HRP Secondary Antibody (HA1001) at 1/50,000 dilution was used for 1 hour at room temperature.
Immunohistochemical analysis of paraffin-embedded human breast cancer tissue with Rabbit anti-LDHA antibody (HA723547) at 1/20,000 dilution. The section was pre-treated using heat mediated antigen retrieval with Tris-EDTA buffer (pH 9.0) for 20 minutes. The tissues were blocked in 1% BSA for 20 minutes at room temperature, washed with ddH2O and PBS, and then probed with the primary antibody (HA723547) at 1/20,000 dilution for 1 hour at room temperature. The detection was performed using an HRP conjugated compact polymer system. DAB was used as the chromogen. Tissues were counterstained with hematoxylin and mounted with DPX.
Immunohistochemical analysis of paraffin-embedded human liver tissue with Rabbit anti-LDHA antibody (HA723547) at 1/5,000 dilution. The section was pre-treated using heat mediated antigen retrieval with Tris-EDTA buffer (pH 9.0) for 20 minutes. The tissues were blocked in 1% BSA for 20 minutes at room temperature, washed with ddH2O and PBS, and then probed with the primary antibody (HA723547) at 1/5,000 dilution for 1 hour at room temperature. The detection was performed using an HRP conjugated compact polymer system. DAB was used as the chromogen. Tissues were counterstained with hematoxylin and mounted with DPX.
quantity: 100μl
price: 385.00 USD
to the supplier
Lactate Dehydrogenase
HUABIO
catalog: HA750155
domestic rabbit monoclonal (SU39-06)
reactivity:
human
,
mouse
,
rat
,
zebrafish
application:
western blot
,
immunoprecipitation
,
flow cytometry
,
immunohistochemistry - paraffin section
Western blot analysis of Lactate Dehydrogenase on different lysates with Rabbit anti-Lactate Dehydrogenase antibody (HA750155) at 1/5,000 dilution. Lane 1: HeLa cell lysate (15 µg/Lane) Lane 2: HEK-293 cell lysate (15 µg/Lane) Lane 3: A549 cell lysate (15 µg/Lane) Predicted band size: 37 kDa Observed band size: 37 kDa Exposure time: 1 minute 36 seconds; 4-20% SDS-PAGE gel. Proteins were transferred to a PVDF membrane and blocked with 5% NFDM/TBST for 1 hour at room temperature. The primary antibody (HA750155) at 1/5,000 dilution was used in 5% NFDM/TBST at 4℃ overnight. Goat Anti-Rabbit IgG - HRP Secondary Antibody (HA1001) at 1:50,000 dilution was used for 1 hour at room temperature.
Western blot analysis of Lactate Dehydrogenase on different lysates with Rabbit anti-Lactate Dehydrogenase antibody (HA750155) at 1/1,000 dilution. Lane 1: Hela-si NT cell lysate (10 µg/Lane) Lane 2: Hela-si Lactate Dehydrogenase cell lysate (10 µg/Lane) Predicted band size: 37 kDa Observed band size: 37 kDa Exposure time: 25 seconds; 4-20% SDS-PAGE gel. ET1608-57 was shown to specifically react with Lactate Dehydrogenase in Hela-si NT cells. Weakened band was observed when Hela-si Lactate Dehydrogenase sample was tested. Hela-si NT and Hela-si Lactate Dehydrogenase samples were subjected to SDS-PAGE. Proteins were transferred to a PVDF membrane and blocked with 5% NFDM in TBST for 1 hour at room temperature. The primary antibody (ET1608-57, 1/1,000) and Loading control antibody (Rabbit anti-GAPDH, ET1601-4, 1/10,000) were used in 5% BSA at room temperature for 2 hours. Goat Anti-rabbit IgG-HRP Secondary Antibody (HA1001) at 1:100,000 dilution was used for 1 hour at room temperature.
Western blot analysis of Lactate Dehydrogenase on hybrid fish (crucian-carp) brain tissue lysates. Proteins were transferred to a PVDF membrane and blocked with 5% BSA in PBS for 1 hour at room temperature. The primary antibody (HA750155, 1/500) was used in 5% BSA at room temperature for 2 hours. Goat Anti-Rabbit IgG - HRP Secondary Antibody (HA1001) at 1:200,000 dilution was used for 1 hour at room temperature.
quantity: 100μl
price: 649.00 USD
to the supplier
LDHA + LDHB
HUABIO
catalog: HA751451
domestic rabbit monoclonal (PSH12-75)
reactivity:
human
,
mouse
,
rat
application:
western blot
,
immunoprecipitation
,
flow cytometry
,
immunohistochemistry - paraffin section
Western blot analysis of LDHA + LDHB on different lysates with Rabbit anti-LDHA + LDHB antibody (HA751451) at 1/1,000 dilution. Lane 1: HepG2 cell lysate Lane 2: HeLa cell lysate Lane 3: MCF7 cell lysate Lane 4: A431 cell lysate Lane 5: 293T cell lysate Lane 6: PANC-1 cell lysate Lane 7: U-87 MG cell lysate Lane 8: MDA-MB-231 cell lysate Lane 9: NIH/3T3 cell lysate Lane 10: RAW264.7 cell lysate Lane 11: Neuro-2a cell lysate Lane 12: C2C12 cell lysate Lane 13: C6 cell lysate Lane 14: PC-12 cell lysate Lysates/proteins at 20 µg/Lane. Predicted band size: 37 kDa Observed band size: 35 kDa Exposure time: 6 seconds; ECL: K1801; 4-20% SDS-PAGE gel. Proteins were transferred to a PVDF membrane and blocked with 5% NFDM/TBST for 1 hour at room temperature. The primary antibody (HA751451) at 1/5,000 dilution was used in 5% NFDM/TBST at 4℃ overnight. Goat Anti-Rabbit IgG - HRP Secondary Antibody (HA1001) at 1/50,000 dilution was used for 1 hour at room temperature.
Immunohistochemical analysis of paraffin-embedded human breast cancer tissue with Rabbit anti-LDHA + LDHB antibody (HA751451) at 1/20,000 dilution. The section was pre-treated using heat mediated antigen retrieval with Tris-EDTA buffer (pH 9.0) for 20 minutes. The tissues were blocked in 1% BSA for 20 minutes at room temperature, washed with ddH2O and PBS, and then probed with the primary antibody (HA751451) at 1/20,000 dilution for 1 hour at room temperature. The detection was performed using an HRP conjugated compact polymer system. DAB was used as the chromogen. Tissues were counterstained with hematoxylin and mounted with DPX.
Immunohistochemical analysis of paraffin-embedded human liver tissue with Rabbit anti-LDHA + LDHB antibody (HA751451) at 1/20,000 dilution. The section was pre-treated using heat mediated antigen retrieval with Tris-EDTA buffer (pH 9.0) for 20 minutes. The tissues were blocked in 1% BSA for 20 minutes at room temperature, washed with ddH2O and PBS, and then probed with the primary antibody (HA751451) at 1/20,000 dilution for 1 hour at room temperature. The detection was performed using an HRP conjugated compact polymer system. DAB was used as the chromogen. Tissues were counterstained with hematoxylin and mounted with DPX.
quantity: 100μl
price: 649.00 USD
to the supplier
LDHA
HUABIO
catalog: HA751477
domestic rabbit monoclonal (PSH13-58)
reactivity:
human
,
mouse
,
rat
application:
western blot
,
flow cytometry
,
immunohistochemistry - paraffin section
Western blot analysis of LDHA on different lysates with Rabbit anti-LDHA antibody (HA751477) at 1/5,000 dilution. Lane 1: HepG2 cell lysate (20 µg/Lane) Lane 2: HeLa cell lysate (20 µg/Lane) Lane 3: MCF7 cell lysate (20 µg/Lane) Lane 4: A431 cell lysate (20 µg/Lane) Lane 5: 293T cell lysate (20 µg/Lane) Lane 6: PANC-1 cell lysate (20 µg/Lane) Lane 7: U-87 MG cell lysate (20 µg/Lane) Lane 8: MDA-MB-231 cell lysate (20 µg/Lane) Lane 9: NIH/3T3 cell lysate (20 µg/Lane) Lane 10: RAW264.7 cell lysate (20 µg/Lane) Lane 11: Neuro-2a cell lysate (20 µg/Lane) Lane 12: C2C12 cell lysate (20 µg/Lane) Lane 13: C6 cell lysate (20 µg/Lane) Lane 14: PC-12 cell lysate (20 µg/Lane) Predicted band size: 37 kDa Observed band size: 33 kDa Exposure time: 6 seconds; ECL: K1801; 4-20% SDS-PAGE gel. Proteins were transferred to a PVDF membrane and blocked with 5% NFDM/TBST for 1 hour at room temperature. The primary antibody (HA751477) at 1/5,000 dilution was used in primary antibody dilution (K1803) at 4℃ overnight. Goat Anti-Rabbit IgG - HRP Secondary Antibody (HA1001) at 1/50,000 dilution was used for 1 hour at room temperature.
Immunohistochemical analysis of paraffin-embedded human breast cancer tissue with Rabbit anti-LDHA antibody (HA751477) at 1/20,000 dilution. The section was pre-treated using heat mediated antigen retrieval with Tris-EDTA buffer (pH 9.0) for 20 minutes. The tissues were blocked in 1% BSA for 20 minutes at room temperature, washed with ddH2O and PBS, and then probed with the primary antibody (HA751477) at 1/20,000 dilution for 1 hour at room temperature. The detection was performed using an HRP conjugated compact polymer system. DAB was used as the chromogen. Tissues were counterstained with hematoxylin and mounted with DPX.
Immunohistochemical analysis of paraffin-embedded human liver tissue with Rabbit anti-LDHA antibody (HA751477) at 1/5,000 dilution. The section was pre-treated using heat mediated antigen retrieval with Tris-EDTA buffer (pH 9.0) for 20 minutes. The tissues were blocked in 1% BSA for 20 minutes at room temperature, washed with ddH2O and PBS, and then probed with the primary antibody (HA751477) at 1/5,000 dilution for 1 hour at room temperature. The detection was performed using an HRP conjugated compact polymer system. DAB was used as the chromogen. Tissues were counterstained with hematoxylin and mounted with DPX.
quantity: 100μl
price: 649.00 USD
to the supplier
LDHA
HUABIO
catalog: M1007-7
mouse monoclonal (20-179)
reactivity:
human
,
mouse
application:
immunohistochemistry - paraffin section
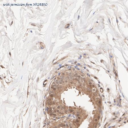
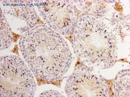
Immunohistochemical analysis of paraffin-embedded mouse testis tissue using anti-LDHA antibody. The section was pre-treated using heat mediated antigen retrieval with Tris-EDTA buffer (pH 9.0) for 20 minutes.The tissues were blocked in 1% BSA for 30 minutes at room temperature, washed with ddH2O and PBS, and then probed with the primary antibody (M1007-7, 1/50) for 30 minutes at room temperature. The detection was performed using an HRP conjugated compact polymer system. DAB was used as the chromogen. Tissues were counterstained with hematoxylin and mounted with DPX.
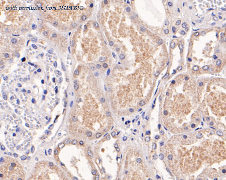
Immunohistochemical analysis of paraffin-embedded human kidney tissue with Mouse anti-LDHA antibody (M1007-7) at 1/100 dilution. The section was pre-treated using heat mediated antigen retrieval with Tris-EDTA buffer (pH 9.0) for 20 minutes. The tissues were blocked in 1% BSA for 20 minutes at room temperature, washed with ddH2O and PBS, and then probed with the primary antibody (M1007-7) at 1/100 dilution for 1 hour at room temperature. The detection was performed using an HRP conjugated compact polymer system. DAB was used as the chromogen. Tissues were counterstained with hematoxylin and mounted with DPX.
quantity: 100μl
price: 360.00 USD
to the supplier