mouse monoclonal (5-F10)
reactivity: human, mouse
application: western blot, immunohistochemistry - paraffin section
reactivity: human, mouse
application: western blot, immunohistochemistry - paraffin section

Western blot analysis of AKR1C1 on different lysates with Mouse anti-AKR1C1 antibody (EM1701-21) at 1/1,000 dilution. Lane 1: HepG2 cell lysate (20 µg/Lane) Lane 2: U-87 MG cell lysate (20 µg/Lane) Lane 3: HeLa cell lysate (20 µg/Lane) Lane 4: A431 cell lysate (20 µg/Lane) Lane 5: Human liver tissue lysate (40 µg/Lane) Predicted band size: 37 kDa Observed band size: 37 kDa Exposure time: 10 seconds; 4-20% SDS-PAGE gel. Proteins were transferred to a PVDF membrane and blocked with 5% NFDM/TBST for 1 hour at room temperature. The primary antibody (EM1701-21) at 1/1,000 dilution was used in 5% NFDM/TBST at 4℃ overnight. Goat Anti-Mouse IgG - HRP Secondary Antibody (HA1006) at 1/50,000 dilution was used for 1 hour at room temperature.

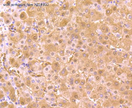
Immunohistochemical analysis of paraffin-embedded human liver tissue using anti-AKR1C1 antibody. Counter stained with hematoxylin.

Immunohistochemical analysis of paraffin-embedded human pancreas tissue using anti-AKR1C1 antibody. Counter stained with hematoxylin.
quantity: 100μl
price: 360.00 USD
to the supplier
mouse monoclonal (5-F10-R)
reactivity: human
application: western blot
reactivity: human
application: western blot

Western blot analysis of AKR1C1 on different lysates with Mouse anti-AKR1C1 antibody (HA601174) at 1/1,000 dilution. Lane 1: HepG2 cell lysate (20 µg/Lane) Lane 2: U-87 MG cell lysate (20 µg/Lane) Lane 3: HeLa cell lysate (20 µg/Lane) Lane 4: A431 cell lysate (20 µg/Lane) Lane 5: Human liver tissue lysate (40 µg/Lane) Predicted band size: 37 kDa Observed band size: 37 kDa Exposure time: 30 seconds; 4-20% SDS-PAGE gel. Proteins were transferred to a PVDF membrane and blocked with 5% NFDM/TBST for 1 hour at room temperature. The primary antibody (HA601174) at 1/1,000 dilution was used in 5% NFDM/TBST at room temperature for 2 hours. Goat Anti-Mouse IgG - HRP Secondary Antibody (HA1006) at 1/100,000 dilution was used for 1 hour at room temperature.

Immunocytochemistry analysis of HeLa cells labeling AKR1C1 with Mouse anti-AKR1C1 antibody (HA601174) at 1/100 dilution. Cells were fixed in 4% paraformaldehyde for 20 minutes at room temperature, permeabilized with 0.1% Triton X-100 in PBS for 5 minutes at room temperature, then blocked with 1% BSA in 10% negative goat serum for 1 hour at room temperature. Cells were then incubated with Mouse anti-AKR1C1 antibody (HA601174) at 1/100 dilution in 1% BSA in PBST overnight at 4 ℃. Goat Anti-Mouse IgG H&L (iFluor™ 488, HA1125) was used as the secondary antibody at 1/1,000 dilution. PBS instead of the primary antibody was used as the secondary antibody only control. Nuclear DNA was labelled in blue with DAPI. beta Tubulin (ET1602-4, red) was stained at 1/100 dilution overnight at +4℃. Goat Anti-Rabbit IgG H&L (iFluor™ 594, HA1122) were used as the secondary antibody at 1/1,000 dilution.
quantity: 100μl
price: 360.00 USD
to the supplier
mouse monoclonal (5-F10-R)
reactivity: human
application: western blot
reactivity: human
application: western blot

Western blot analysis of AKR1C1 on different lysates with Mouse anti-AKR1C1 antibody (HA610058) at 1/1,000 dilution. Lane 1: HepG2 cell lysate (20 µg/Lane) Lane 2: U-87 MG cell lysate (20 µg/Lane) Lane 3: HeLa cell lysate (20 µg/Lane) Lane 4: A431 cell lysate (20 µg/Lane) Lane 5: Human liver tissue lysate (40 µg/Lane) Predicted band size: 37 kDa Observed band size: 37 kDa Exposure time: 30 seconds; 4-20% SDS-PAGE gel. Proteins were transferred to a PVDF membrane and blocked with 5% NFDM/TBST for 1 hour at room temperature. The primary antibody (HA610058) at 1/1,000 dilution was used in 5% NFDM/TBST at room temperature for 2 hours. Goat Anti-Mouse IgG - HRP Secondary Antibody (HA1006) at 1/100,000 dilution was used for 1 hour at room temperature.

Immunocytochemistry analysis of HeLa cells labeling AKR1C1 with Mouse anti-AKR1C1 antibody (HA610058) at 1/100 dilution. Cells were fixed in 4% paraformaldehyde for 20 minutes at room temperature, permeabilized with 0.1% Triton X-100 in PBS for 5 minutes at room temperature, then blocked with 1% BSA in 10% negative goat serum for 1 hour at room temperature. Cells were then incubated with Mouse anti-AKR1C1 antibody (HA610058) at 1/100 dilution in 1% BSA in PBST overnight at 4 ℃. Goat Anti-Mouse IgG H&L (iFluor™ 488, HA1125) was used as the secondary antibody at 1/1,000 dilution. PBS instead of the primary antibody was used as the secondary antibody only control. Nuclear DNA was labelled in blue with DAPI. beta Tubulin (ET1602-4, red) was stained at 1/100 dilution overnight at +4℃. Goat Anti-Rabbit IgG H&L (iFluor™ 594, HA1122) were used as the secondary antibody at 1/1,000 dilution.
quantity: 100μg
price: 649.00 USD
to the supplier
domestic rabbit monoclonal (JE33-84)
reactivity: human, mouse
application: western blot, flow cytometry
reactivity: human, mouse
application: western blot, flow cytometry

Western blot analysis of AKR1C1 / AKR1C2 on different lysates with Rabbit anti-AKR1C1 / AKR1C2 antibody (HA722694) at 1/1,000 dilution. Lane 1: HeLa cell lysate (10 µg/Lane) Lane 2: HepG2 cell lysate (10 µg/Lane) Lane 3: Human liver tissue lysate (20 µg/Lane) Lane 4: Mouse liver tissue lysate (20 µg/Lane) Predicted band size: 37 kDa Observed band size: 37 kDa Exposure time: 10 seconds; ECL: K1801; 4-20% SDS-PAGE gel. Proteins were transferred to a PVDF membrane and blocked with 5% NFDM/TBST for 1 hour at room temperature. The primary antibody (HA722694) at 1/1,000 dilution was used in 5% NFDM/TBST at 4℃ overnight. Goat Anti-Rabbit IgG - HRP Secondary Antibody (HA1001) at 1/50,000 dilution was used for 1 hour at room temperature.

Western blot analysis of AKR1C1 / AKR1C2 on different lysates with Rabbit anti-AKR1C1 / AKR1C2 antibody (HA722694) at 1/2,000 dilution. Lane 1: HepG2 cell lysate (20 µg/Lane) Lane 2: Mouse testis tissue lysate (30 µg/Lane) Lane 3: Mouse liver tissue lysate (30 µg/Lane) Lane 4: 293T cell lysate (negative) (20 µg/Lane) Predicted band size: 37 kDa Observed band size: 37 kDa Exposure time: 12 seconds; ECL: K1801; 4-20% SDS-PAGE gel. Proteins were transferred to a PVDF membrane and blocked with 5% NFDM/TBST for 1 hour at room temperature. The primary antibody (HA722694) at 1/1,000 dilution was used in 5% NFDM/TBST at 4℃ overnight. Goat Anti-Rabbit IgG - HRP Secondary Antibody (HA1001) at 1/50,000 dilution was used for 1 hour at room temperature.

Immunocytochemistry analysis of HepG2 cells labeling AKR1C1 / AKR1C2 with Rabbit anti-AKR1C1 / AKR1C2 antibody (HA722694) at 1/100 dilution. Cells were fixed in 4% paraformaldehyde for 20 minutes at room temperature, permeabilized with 0.1% Triton X-100 in PBS for 5 minutes at room temperature, then blocked with 1% BSA in 10% negative goat serum for 1 hour at room temperature. Cells were then incubated with Rabbit anti-AKR1C1 / AKR1C2 antibody (HA722694) at 1/100 dilution in 1% BSA in PBST overnight at 4 ℃. Goat Anti-Rabbit IgG H&L (iFluor™ 488, HA1121) was used as the secondary antibody at 1/1,000 dilution. PBS instead of the primary antibody was used as the secondary antibody only control. Nuclear DNA was labelled in blue with DAPI. Beta tubulin (M1305-2, red) was stained at 1/100 dilution overnight at +4℃. Goat Anti-Mouse IgG H&L (iFluor™ 594, HA1126) was used as the secondary antibody at 1/1,000 dilution.
quantity: 100μl
price: 385.00 USD
to the supplier
domestic rabbit polyclonal
reactivity: human, mouse
application: western blot, flow cytometry, immunohistochemistry - paraffin section
reactivity: human, mouse
application: western blot, flow cytometry, immunohistochemistry - paraffin section

Western blot analysis of AKR1C1 on different lysate using anti-AKR1C1 antibody at 1/1,000 dilution. Positive control: Lane 1: Mouse testis tissue lysate Lane 2: SW480 cell lysate

Immunohistochemical analysis of paraffin-embedded human liver cancer tissue using anti-AKR1C1 antibody. Counter stained with hematoxylin.

Immunohistochemical analysis of paraffin-embedded mouse kidney tissue using anti-AKR1C1 antibody. Counter stained with hematoxylin.
quantity: 100μl
price: 330 USD
to the supplier
