mouse monoclonal (A2-B5-D2)
reactivity: human, mouse
application: western blot
reactivity: human, mouse
application: western blot

Western blot analysis of CD11b on different lysates with Mouse anti-CD11b antibody (EM1902-35) at 1/500 dilution. Lane 1: RAW264.7 cell lysate (RIPA lysis) Lane 2: RAW264.7 cell lysate (hot lysis) Lane 3: RAW264.7 cell lysate (no heat) Notice: no heat means the lysate is not boiled. Lysates/proteins at 10 µg/Lane. Predicted band size: 127 kDa Observed band size: 170 kDa Exposure time: 3 minutes; 4-20% SDS-PAGE gel. Proteins were transferred to a PVDF membrane and blocked with 5% NFDM/TBST for 1 hour at room temperature. The primary antibody (EM1902-35) at 1/500 dilution was used in 5% NFDM/TBST at 4℃ overnight. Goat Anti-Mouse IgG - HRP Secondary Antibody (HA1006) at 1/100,000 dilution was used for 1 hour at room temperature.

Western blot analysis of CD11b on Mouse spleen tissue lysates. Proteins were transferred to a PVDF membrane and blocked with 5% BSA in PBS for 1 hour at room temperature. The primary antibody (EM1902-35, 1/100) was used in 5% BSA at room temperature for 2 hours. Goat Anti-Mouse IgG - HRP Secondary Antibody (HA1006) at 1:5,000 dilution was used for 1 hour at room temperature.
quantity: 100μl
price: 360.00 USD
to the supplier
domestic rabbit monoclonal (PSH03-96)
reactivity: human, mouse, rat
application: western blot, immunohistochemistry - paraffin section
reactivity: human, mouse, rat
application: western blot, immunohistochemistry - paraffin section

Western blot analysis of CD11b on different lysates with Rabbit anti-CD11b antibody (HA722075) at 1/2,000 dilution. Lane 1: TF-1 cell lysate (10 µg/Lane) Lane 2: THP-1 cell lysate (15 µg/Lane) Lane 3: U-937 cell lysate (30 µg/Lane) Lane 4: Jurkat cell lysate (negative) (10 µg/Lane) Lane 5: RAW264.7 cell lysate (5 µg/Lane) Lane 6: J774A.1 cell lysate (5 µg/Lane) Predicted band size: 127 kDa Observed band size: 170 kDa Exposure time: 59 seconds; ECL: K1801; 4-20% SDS-PAGE gel. Proteins were transferred to a PVDF membrane and blocked with 5% NFDM/TBST for 1 hour at room temperature. The primary antibody (HA722075) at 1/2,000 dilution was used in 5% NFDM/TBST at 4℃ overnight. Goat Anti-Rabbit IgG - HRP Secondary Antibody (HA1001) at 1/50,000 dilution was used for 1 hour at room temperature.

Western blot analysis of CD11b on different lysates with Rabbit anti-CD11b antibody (HA722075) at 1/2,000 dilution. Lane 1: Mouse spleen tissue lysate Lane 2: Mouse heart tissue lysate (negative) Lane 3: Rat spleen tissue lysate Lane 4: Rat heart tissue lysate (negative) Lysates/proteins at 20 µg/Lane. Predicted band size: 127 kDa Observed band size: 170 kDa Exposure time: 12 seconds; ECL: K1801; 4-20% SDS-PAGE gel. Proteins were transferred to a PVDF membrane and blocked with 5% NFDM/TBST for 1 hour at room temperature. The primary antibody (HA722075) at 1/2,000 dilution was used in 5% NFDM/TBST at 4℃ overnight. Goat Anti-Rabbit IgG - HRP Secondary Antibody (HA1001) at 1/50,000 dilution was used for 1 hour at room temperature.

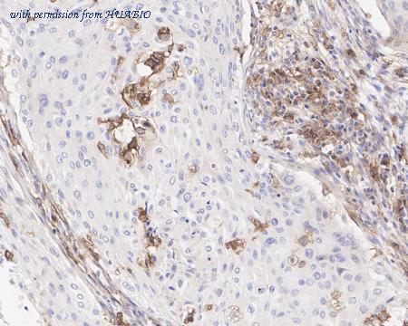
Immunohistochemical analysis of paraffin-embedded human cervical cancer tissue with Rabbit anti-CD11b antibody (HA722075) at 1/5,000 dilution. The section was pre-treated using heat mediated antigen retrieval with Tris-EDTA buffer (pH 9.0) for 20 minutes. The tissues were blocked in 1% BSA for 20 minutes at room temperature, washed with ddH2O and PBS, and then probed with the primary antibody (HA722075) at 1/5,000 dilution for 1 hour at room temperature. The detection was performed using an HRP conjugated compact polymer system. DAB was used as the chromogen. Tissues were counterstained with hematoxylin and mounted with DPX.
quantity: 100μl
price: 385.00 USD
to the supplier
domestic rabbit monoclonal (JE01-17)
reactivity: human, mouse, rat
application: western blot, immunohistochemistry - paraffin section, immunohistochemistry - frozen section
reactivity: human, mouse, rat
application: western blot, immunohistochemistry - paraffin section, immunohistochemistry - frozen section

Western blot analysis of CD11b on different lysates with Rabbit anti-CD11b antibody (HA722856) at 1/2,000 dilution. Lane 1: RAW264.7 cell lysate (5 µg/Lane) Lane 2: C2C12 cell lysate (negative) (10 µg/Lane) Lane 3: J774A.1 cell lysate (5 µg/Lane) Lane 4: Mouse spleen tissue lysate (20 µg/Lane) Lane 5: Mouse heart tissue lysate (negative) (20 µg/Lane) Lane 6: Rat spleen tissue lysate (20 µg/Lane) Lane 7: Rat heart tissue lysate (negative) (20 µg/Lane) Predicted band size: 127 kDa Observed band size: 170 kDa Exposure time: 20 seconds; ECL: K1801; 4-20% SDS-PAGE gel. Proteins were transferred to a PVDF membrane and blocked with 5% NFDM/TBST for 1 hour at room temperature. The primary antibody (HA722856) at 1/2,000 dilution was used in 5% NFDM/TBST at 4℃ overnight. Goat Anti-Rabbit IgG - HRP Secondary Antibody (HA1001) at 1/50,000 dilution was used for 1 hour at room temperature.

Immunofluorescence analysis of frozen mouse spleen tissue with Rabbit anti-CD11b antibody (HA722856) at 1/500 dilution. The section was pre-treated using heat mediated antigen retrieval with sodium citrate buffer (pH 6.0) for about 2 minutes in microwave oven. The tissues were blocked in 10% negative goat serum for 1 hour at room temperature, washed with PBS, and then probed with the primary antibody (HA722856, green) at 1/500 dilution overnight at 4 ℃, washed with PBS. Goat Anti-Rabbit IgG H&L (iFluor™ 488, HA1121) was used as the secondary antibody at 1/1,000 dilution. Nuclei were counterstained with DAPI (blue).

Immunofluorescence analysis of frozen rat spleen tissue with Rabbit anti-CD11b antibody (HA722856) at 1/500 dilution. The section was pre-treated using heat mediated antigen retrieval with sodium citrate buffer (pH 6.0) for about 2 minutes in microwave oven. The tissues were blocked in 10% negative goat serum for 1 hour at room temperature, washed with PBS, and then probed with the primary antibody (HA722856, green) at 1/500 dilution overnight at 4 ℃, washed with PBS. Goat Anti-Rabbit IgG H&L (iFluor™ 488, HA1121) was used as the secondary antibody at 1/1,000 dilution. Nuclei were counterstained with DAPI (blue).
quantity: 100μl
price: 385.00 USD
to the supplier
domestic rabbit monoclonal (PSH03-96)
reactivity: human, mouse, rat
application: western blot, immunohistochemistry - paraffin section
reactivity: human, mouse, rat
application: western blot, immunohistochemistry - paraffin section

Western blot analysis of CD11b on different lysates with Rabbit anti-CD11b antibody (HA750921) at 1/2,000 dilution. Lane 1: TF-1 cell lysate (10 µg/Lane) Lane 2: THP-1 cell lysate (15 µg/Lane) Lane 3: U-937 cell lysate (30 µg/Lane) Lane 4: Jurkat cell lysate (negative) (10 µg/Lane) Lane 5: RAW264.7 cell lysate (5 µg/Lane) Lane 6: J774A.1 cell lysate (5 µg/Lane) Predicted band size: 127 kDa Observed band size: 170 kDa Exposure time: 59 seconds; ECL: K1801; 4-20% SDS-PAGE gel. Proteins were transferred to a PVDF membrane and blocked with 5% NFDM/TBST for 1 hour at room temperature. The primary antibody (HA750921) at 1/2,000 dilution was used in 5% NFDM/TBST at 4℃ overnight. Goat Anti-Rabbit IgG - HRP Secondary Antibody (HA1001) at 1/50,000 dilution was used for 1 hour at room temperature.

Western blot analysis of CD11b on different lysates with Rabbit anti-CD11b antibody (HA750921) at 1/2,000 dilution. Lane 1: Mouse spleen tissue lysate Lane 2: Mouse heart tissue lysate (negative) Lane 3: Rat spleen tissue lysate Lane 4: Rat heart tissue lysate (negative) Lysates/proteins at 20 µg/Lane. Predicted band size: 127 kDa Observed band size: 170 kDa Exposure time: 12 seconds; ECL: K1801; 4-20% SDS-PAGE gel. Proteins were transferred to a PVDF membrane and blocked with 5% NFDM/TBST for 1 hour at room temperature. The primary antibody (HA750921) at 1/2,000 dilution was used in 5% NFDM/TBST at 4℃ overnight. Goat Anti-Rabbit IgG - HRP Secondary Antibody (HA1001) at 1/50,000 dilution was used for 1 hour at room temperature.

Immunohistochemical analysis of paraffin-embedded human cervical cancer tissue with Rabbit anti-CD11b antibody (HA750921) at 1/5,000 dilution. The section was pre-treated using heat mediated antigen retrieval with Tris-EDTA buffer (pH 9.0) for 20 minutes. The tissues were blocked in 1% BSA for 20 minutes at room temperature, washed with ddH2O and PBS, and then probed with the primary antibody (HA750921) at 1/5,000 dilution for 1 hour at room temperature. The detection was performed using an HRP conjugated compact polymer system. DAB was used as the chromogen. Tissues were counterstained with hematoxylin and mounted with DPX.
quantity: 100μl
price: 649.00 USD
to the supplier
