Insulin B Chain
HUABIO
catalog: 0807-11
domestic rabbit polyclonal
reactivity: human, mouse, rat
application: ELISA, immunohistochemistry - paraffin section

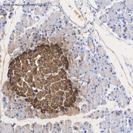
Immunohistochemical analysis of paraffin-embedded human pancreas tissue with Rabbit anti-Insulin B Chain antibody (0807-11) at 1/10,000 dilution. The section was pre-treated using heat mediated antigen retrieval with Tris-EDTA buffer (pH 9.0) for 20 minutes. The tissues were blocked in 1% BSA for 20 minutes at room temperature, washed with ddH2O and PBS, and then probed with the primary antibody (0807-11) at 1/10,000 dilution for 1 hour at room temperature. The detection was performed using an HRP conjugated compact polymer system. DAB was used as the chromogen. Tissues were counterstained with hematoxylin and mounted with DPX.

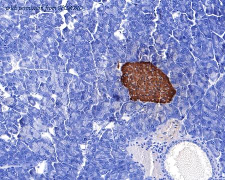
Immunohistochemical analysis of paraffin-embedded mouse pancreas tissue with Rabbit anti-Insulin B Chain antibody (0807-11) at 1/10,000 dilution. The section was pre-treated using heat mediated antigen retrieval with Tris-EDTA buffer (pH 9.0) for 20 minutes. The tissues were blocked in 1% BSA for 20 minutes at room temperature, washed with ddH2O and PBS, and then probed with the primary antibody (0807-11) at 1/10,000 dilution for 1 hour at room temperature. The detection was performed using an HRP conjugated compact polymer system. DAB was used as the chromogen. Tissues were counterstained with hematoxylin and mounted with DPX.

Immunohistochemical analysis of paraffin-embedded rat pancreas tissue with Rabbit anti-Insulin B Chain antibody (0807-11) at 1/2,000 dilution. The section was pre-treated using heat mediated antigen retrieval with Tris-EDTA buffer (pH 9.0) for 20 minutes. The tissues were blocked in 1% BSA for 20 minutes at room temperature, washed with ddH2O and PBS, and then probed with the primary antibody (0807-11) at 1/2,000 dilution for 1 hour at room temperature. The detection was performed using an HRP conjugated compact polymer system. DAB was used as the chromogen. Tissues were counterstained with hematoxylin and mounted with DPX.
quantity: 100μl
price: 330 USD
to the supplier
Insulin
HUABIO
catalog: EM80714
mouse monoclonal (A6-6)
reactivity: human, mouse, rat
application: ELISA, immunohistochemistry - paraffin section, immunohistochemistry - frozen section

Immunofluorescence analysis of frozen mouse pancreas tissue with Mouse anti-Insulin antibody (EM80714) at 1/500 dilution. The section was pre-treated using heat mediated antigen retrieval with sodium citrate buffer (pH 6.0) for about 2 minutes in microwave oven. The tissues were blocked in 10% negative goat serum for 1 hour at room temperature, washed with PBS, and then probed with the primary antibody (EM80714, red) at 1/500 dilution overnight at 4 ℃, washed with PBS. Goat Anti-Mouse IgG H&L (iFluor™ 594, HA1125) was used as the secondary antibody at 1/1,000 dilution. Nuclei were counterstained with DAPI (blue). Glucagon (ET1702-20, green) was stained at 1/500 dilution overnight at +4℃. Goat Anti-Rabbit IgG H&L (iFluor™ 488, HA1121) was used as the secondary antibody at 1/1,000 dilution.

Immunofluorescence analysis of frozen mouse pancreas tissue with Mouse anti-Insulin antibody (EM80714) at 1/500 dilution. The section was pre-treated using heat mediated antigen retrieval with sodium citrate buffer (pH 6.0) for about 2 minutes in microwave oven. The tissues were blocked in 10% negative goat serum for 1 hour at room temperature, washed with PBS, and then probed with the primary antibody (EM80714, red) at 1/500 dilution overnight at 4 ℃, washed with PBS. Goat Anti-Mouse IgG H&L (iFluor™ 594, HA1125) was used as the secondary antibody at 1/1,000 dilution. Nuclei were counterstained with DAPI (blue). PPY (HA721515, green) was stained at 1/500 dilution overnight at +4℃. Goat Anti-Rabbit IgG H&L (iFluor™ 488, HA1121) was used as the secondary antibody at 1/1,000 dilution.

Immunofluorescence analysis of frozen rat pancreas tissue with Mouse anti-Insulin antibody (EM80714) at 1/500 dilution. The section was pre-treated using heat mediated antigen retrieval with sodium citrate buffer (pH 6.0) for about 2 minutes in microwave oven. The tissues were blocked in 10% negative goat serum for 1 hour at room temperature, washed with PBS, and then probed with the primary antibody (EM80714, red) at 1/500 dilution overnight at 4 ℃, washed with PBS. Goat Anti-Mouse IgG H&L (iFluor™ 594, HA1125) was used as the secondary antibody at 1/1,000 dilution. Nuclei were counterstained with DAPI (blue). PPY (HA721515, green) was stained at 1/500 dilution overnight at +4℃. Goat Anti-Rabbit IgG H&L (iFluor™ 488, HA1121) was used as the secondary antibody at 1/1,000 dilution.
quantity: 100μl
price: 360.00 USD
to the supplier
Insulin
HUABIO
catalog: ET1601-12
domestic rabbit monoclonal (SA0410)
reactivity: human, mouse, rat
application: western blot, immunohistochemistry - paraffin section, immunohistochemistry - frozen section

Immunofluorescence analysis of paraffin-embedded mouse pancreas tissue labeling Insulin with Rabbit anti-Insulin antibody (ET1601-12) at 1/500 dilution. The section was pre-treated using heat mediated antigen retrieval with Tris-EDTA buffer (pH 9.0) for 20 minutes. The tissues were blocked in 10% negative goat serum for 1 hour at room temperature, washed with PBS, and then probed with the primary antibody (ET1601-12, red) at 1/500 dilution overnight at 4 ℃, washed with PBS. Goat Anti-Rabbit IgG H&L (Alexa Fluor® 594) was used as the secondary antibody at 1/500 dilution. Nuclei were counterstained with DAPI (blue).

Immunofluorescence analysis of paraffin-embedded human pancreas tissue labeling Insulin with Rabbit anti-Insulin antibody (ET1601-12) at 1/500 dilution. The section was pre-treated using heat mediated antigen retrieval with Tris-EDTA buffer (pH 9.0) for 20 minutes. The tissues were blocked in 10% negative goat serum for 1 hour at room temperature, washed with PBS, and then probed with the primary antibody (ET1601-12, red) at 1/500 dilution overnight at 4 ℃, washed with PBS. Goat Anti-Rabbit IgG H&L (Alexa Fluor® 594) was used as the secondary antibody at 1/500 dilution. Nuclei were counterstained with DAPI (blue).

Immunofluorescence analysis of paraffin-embedded human pancreas tissue labeling Insulin (ET1601-12) and beta III Tubulin (M0805-8). The section was pre-treated using heat mediated antigen retrieval with Tris-EDTA buffer (pH 9.0) for 20 minutes. The tissues were blocked in 10% negative goat serum for 1 hour at room temperature, washed with PBS. And then probed with the primary antibodies Insulin (ET1601-12, red) at 1/200 dilution and beta III Tubulin (M0805-8, green) at 1/200 dilution at +4℃ overnight, washed with PBS. Goat Anti-Mouse IgG H&L (iFluor™ 488, HA1125) and Goat Anti-Rabbit IgG H&L (iFluor™ 594, HA1122) were used as the secondary antibody at 1/1,000 dilution. Nuclei were counterstained with DAPI (blue).
quantity: 100μl
price: 385.00 USD
to the supplier
Insulin
HUABIO
catalog: HA722096
domestic rabbit monoclonal (PSH04-15)
reactivity: human, mouse, rat
application: ELISA

Sandwich ELISA analysis of Human Insulin matched pair antibodies Capture: HA722096, Human Insulin Rabbit mAb [PSH04-15] Detector: HA722097, Human Insulin Rabbit mAb [PSH04-16] Elisa assay was performed by coating wells of a 96-well plate with 50 µl per well of capture antibody (HA722096) diluted in carbonate/bicarbonate buffer, at a concentration of 5 µg/ml overnight at 4℃. Wells of the plate were washed, blocked with 150 µl 0.05% tween-20 1% BSA blocking buffer, and incubated with serial diluted Recombinant human Insulin (HA211183) protein starting from 4,000 pg/ml to 0 pg/ml and detect antibody (HA722097, Biotin, 0.2 µg/ml) for 1 hour at 30℃ with shaking. Then the plate was washed and incubated with 50 µl per well of SA-HRP for 0.5 hour at 30℃ with shaking. Detection was performed using an Ultra TMB Substrate for 10 minutes at room temperature in the dark. The reaction was stopped with sulfuric acid and absorbances were read on a spectrophotometer at 450 nm.

Interpolated concentrations of native Insulin in human serum and rat serum. Capture: HA722096, Human Insulin Rabbit mAb [PSH04-15] Detector: HA722097, Human Insulin Rabbit mAb [PSH04-16] The concentrations of Insulin were measured in duplicates, interpolated from the Insulin standard curve and corrected for sample dilution. Undiluted samples are human serum 50% and rat serum 25%. The interpolated dilution factor corrected values are plotted (mean +/- SD, n=2). The mean Insulin concentration was determined to be 644 pg/ml in human serum and 614 pg/ml in rat serum.
quantity: 100μl
price: 649.00 USD
to the supplier
Insulin
HUABIO
catalog: HA722097
domestic rabbit monoclonal (PSH04-16)
reactivity: human, mouse, rat
application: ELISA

Sandwich ELISA analysis of Human Insulin matched pair antibodies Capture: HA722096, Human Insulin Rabbit mAb [PSH04-15] Detector: HA722097, Human Insulin Rabbit mAb [PSH04-16] Elisa assay was performed by coating wells of a 96-well plate with 50 µl per well of capture antibody (HA722096) diluted in carbonate/bicarbonate buffer, at a concentration of 5 µg/ml overnight at 4℃. Wells of the plate were washed, blocked with 150 µl 0.05% tween-20 1% BSA blocking buffer, and incubated with serial diluted Recombinant human Insulin (HA211183) protein starting from 4,000 pg/ml to 0 pg/ml and detect antibody (HA722097, Biotin, 0.2 µg/ml) for 1 hour at 30℃ with shaking. Then the plate was washed and incubated with 50 µl per well of SA-HRP for 0.5 hour at 30℃ with shaking. Detection was performed using an Ultra TMB Substrate for 10 minutes at room temperature in the dark. The reaction was stopped with sulfuric acid and absorbances were read on a spectrophotometer at 450 nm.

Interpolated concentrations of native Insulin in human serum and rat serum. Capture: HA722096, Human Insulin Rabbit mAb [PSH04-15] Detector: HA722097, Human Insulin Rabbit mAb [PSH04-16] The concentrations of Insulin were measured in duplicates, interpolated from the Insulin standard curve and corrected for sample dilution. Undiluted samples are human serum 50% and rat serum 25%. The interpolated dilution factor corrected values are plotted (mean +/- SD, n=2). The mean Insulin concentration was determined to be 644 pg/ml in human serum and 614 pg/ml in rat serum.
quantity: 100μl
price: 649.00 USD
to the supplier
Insulin
HUABIO
catalog: HA722610B
domestic rabbit monoclonal (PSH04-16)
reactivity: human, mouse, rat
conjugate: biotin
application: ELISA

Sandwich ELISA analysis of Human Insulin matched pair antibodies Capture: HA722096, Human Insulin Rabbit mAb [PSH04-15] Detector: HA722097, Human Insulin Rabbit mAb [PSH04-16] Elisa assay was performed by coating wells of a 96-well plate with 50 µl per well of capture antibody (HA722096) diluted in carbonate/bicarbonate buffer, at a concentration of 5 µg/ml overnight at 4℃. Wells of the plate were washed, blocked with 150 µl 0.05% tween-20 1% BSA blocking buffer, and incubated with serial diluted Recombinant human Insulin (HA211183) protein starting from 4,000 pg/ml to 0 pg/ml and detect antibody (HA722097, Biotin, 0.2 µg/ml) for 1 hour at 30℃ with shaking. Then the plate was washed and incubated with 50 µl per well of SA-HRP for 0.5 hour at 30℃ with shaking. Detection was performed using an Ultra TMB Substrate for 10 minutes at room temperature in the dark. The reaction was stopped with sulfuric acid and absorbances were read on a spectrophotometer at 450 nm.

Interpolated concentrations of native Insulin in human serum and rat serum. Capture: HA722096, Human Insulin Rabbit mAb [PSH04-15] Detector: HA722097, Human Insulin Rabbit mAb [PSH04-16] The concentrations of Insulin were measured in duplicates, interpolated from the Insulin standard curve and corrected for sample dilution. Undiluted samples are human serum 50% and rat serum 25%. The interpolated dilution factor corrected values are plotted (mean +/- SD, n=2). The mean Insulin concentration was determined to be 644 pg/ml in human serum and 614 pg/ml in rat serum.
quantity: 100μl
price: 409.00 USD
to the supplier
Insulin
HUABIO
catalog: HA750004
domestic rabbit monoclonal (SA0410)
reactivity: human, mouse, rat
application: western blot, immunohistochemistry - paraffin section, immunohistochemistry - frozen section

Immunofluorescence analysis of paraffin-embedded mouse pancreas tissue labeling Insulin with Rabbit anti-Insulin antibody (HA750004) at 1/500 dilution. The section was pre-treated using heat mediated antigen retrieval with Tris-EDTA buffer (pH 9.0) for 20 minutes. The tissues were blocked in 10% negative goat serum for 1 hour at room temperature, washed with PBS, and then probed with the primary antibody (HA750004, red) at 1/500 dilution overnight at 4 ℃, washed with PBS. Goat Anti-Rabbit IgG H&L (Alexa Fluor® 594) was used as the secondary antibody at 1/500 dilution. Nuclei were counterstained with DAPI (blue).

Immunofluorescence analysis of paraffin-embedded human pancreas tissue labeling Insulin with Rabbit anti-Insulin antibody (HA750004) at 1/500 dilution. The section was pre-treated using heat mediated antigen retrieval with Tris-EDTA buffer (pH 9.0) for 20 minutes. The tissues were blocked in 10% negative goat serum for 1 hour at room temperature, washed with PBS, and then probed with the primary antibody (HA750004, red) at 1/500 dilution overnight at 4 ℃, washed with PBS. Goat Anti-Rabbit IgG H&L (Alexa Fluor® 594) was used as the secondary antibody at 1/500 dilution. Nuclei were counterstained with DAPI (blue).

Immunofluorescence analysis of paraffin-embedded human pancreas tissue labeling Insulin (HA750004) and beta III Tubulin (M0805-8). The section was pre-treated using heat mediated antigen retrieval with Tris-EDTA buffer (pH 9.0) for 20 minutes. The tissues were blocked in 10% negative goat serum for 1 hour at room temperature, washed with PBS. And then probed with the primary antibodies Insulin (HA750004, red) at 1/200 dilution and beta III Tubulin (M0805-8, green) at 1/200 dilution at +4℃ overnight, washed with PBS. Goat Anti-Mouse IgG H&L (iFluor™ 488, HA1125) and Goat Anti-Rabbit IgG H&L (iFluor™ 594, HA1122) were used as the secondary antibody at 1/1,000 dilution. Nuclei were counterstained with DAPI (blue).
quantity: 100μl
price: 649.00 USD
to the supplier