mouse monoclonal (7D1)
reactivity: human, mouse, rat
application: western blot, immunohistochemistry - paraffin section
reactivity: human, mouse, rat
application: western blot, immunohistochemistry - paraffin section

Western blot analysis of HSPA1L on different lysates with Mouse anti-HSPA1L antibody (EM1701-78) at 1/5,000 dilution. Lane 1: 293 cell lysate (10 µg/Lane) Lane 2: Mouse testis tissue lysate (20 µg/Lane) Lane 3: Rat testis tissue lysate (20 µg/Lane) Predicted band size: 70 kDa Observed band size: 70 kDa Exposure time: 2 minutes; 8% SDS-PAGE gel. Proteins were transferred to a PVDF membrane and blocked with 5% NFDM/TBST for 1 hour at room temperature. The primary antibody (EM1701-78) at 1/5,000 dilution was used in 5% NFDM/TBST at room temperature for 2 hours. Goat Anti-Mouse IgG - HRP Secondary Antibody (HA1006) at 1:100,000 dilution was used for 1 hour at room temperature.

Immunohistochemical analysis of paraffin-embedded rat testis tissue using anti-HSPA1L antibody. Counter stained with hematoxylin.

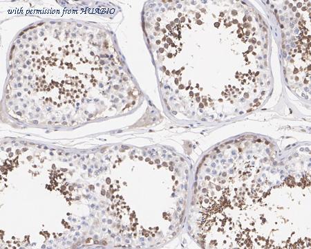
Immunohistochemical analysis of paraffin-embedded mouse testis tissue using anti-HSPA1L antibody. Counter stained with hematoxylin.
quantity: 100μl
price: 360.00 USD
to the supplier
mouse monoclonal (7D3)
reactivity: human, mouse, rat
application: western blot, flow cytometry, immunohistochemistry - paraffin section
reactivity: human, mouse, rat
application: western blot, flow cytometry, immunohistochemistry - paraffin section

Western blot analysis of HSPA1L on different lysates with Mouse anti-HSPA1L antibody (EM1801-16) at 1/2,000 dilution. Lane 1: Mouse testis tissue lysate Lane 2: Rat testis tissue lysate Lysates/proteins at 40 µg/Lane. Predicted band size: 70 kDa Observed band size: 70 kDa Exposure time: 24 seconds; 4-20% SDS-PAGE gel. Proteins were transferred to a PVDF membrane and blocked with 5% NFDM/TBST for 1 hour at room temperature. The primary antibody (EM1801-16) at 1/2,000 dilution was used in 5% NFDM/TBST at 4℃ overnight. Anti-Mouse IgG for IP Nano-secondary antibody (NBI02H) at 1/5,000 dilution was used for 1 hour at room temperature.

Western blot analysis of HSPA1L on A549 cell lysates. Proteins were transferred to a PVDF membrane and blocked with 5% BSA in PBS for 1 hour at room temperature. The primary antibody was used at a 1/500 dilution in 5% BSA at room temperature for 2 hours. Goat Anti-Mouse IgG - HRP Secondary Antibody (HA1006) at 1:5,000 dilution was used for 1 hour at room temperature. Lane 1: Anti-HSPA1L Antibody. Lane 2: Anti-HSPA1L Antibody, preincubated with immunization protein.

Immunocytochemistry analysis of HeLa cells labeling HSPA1L with Mouse anti-HSPA1L antibody (EM1801-16) at 1/100 dilution. Cells were fixed in 100% precooled methanol for 5 minutes at room temperature, then blocked with 1% BSA in 10% negative goat serum for 1 hour at room temperature. Cells were then incubated with Mouse anti-HSPA1L antibody (EM1801-16) at 1/100 dilution in 1% BSA in PBST overnight at 4 ℃. Goat Anti-Mouse IgG H&L (iFluor™ 488, HA1125) was used as the secondary antibody at 1/1,000 dilution. PBS instead of the primary antibody was used as the secondary antibody only control. Nuclear DNA was labelled in blue with DAPI.
quantity: 100μl
price: 360.00 USD
to the supplier
mouse monoclonal (7D3-R)
reactivity: human, mouse, rat
application: western blot, immunohistochemistry - paraffin section
reactivity: human, mouse, rat
application: western blot, immunohistochemistry - paraffin section

Western blot analysis of HSPA1L on different lysates with Mouse anti-HSPA1L antibody (HA601245) at 1/2,000 dilution. Lane 1: NCI-H1299 cell lysate (20 µg/Lane) Lane 2: HeLa cell lysate (20 µg/Lane) Lane 3: Mouse testis tissue lysate (40 µg/Lane) Lane 4: Rat testis tissue lysate (40 µg/Lane) Predicted band size: 70 kDa Observed band size: 70 kDa Exposure time: Lane 1-2: 5 minutes; Lane 3-4: 24 seconds; 4-20% SDS-PAGE gel. Proteins were transferred to a PVDF membrane and blocked with 5% NFDM/TBST for 1 hour at room temperature. The primary antibody (HA601245) at 1/2,000 dilution was used in 5% NFDM/TBST at 4℃ overnight. Anti-Mouse IgG for IP Nano-secondary antibody (NBI02H) at 1/5,000 dilution was used for 1 hour at room temperature.

Immunocytochemistry analysis of HeLa cells labeling HSPA1L with Mouse anti-HSPA1L antibody (HA601245) at 1/100 dilution. Cells were fixed in 100% precooled methanol for 5 minutes at room temperature, then blocked with 1% BSA in 10% negative goat serum for 1 hour at room temperature. Cells were then incubated with Mouse anti-HSPA1L antibody (HA601245) at 1/100 dilution in 1% BSA in PBST overnight at 4 ℃. Goat Anti-Mouse IgG H&L (iFluor™ 488, HA1125) was used as the secondary antibody at 1/1,000 dilution. PBS instead of the primary antibody was used as the secondary antibody only control. Nuclear DNA was labelled in blue with DAPI. beta Tubulin (ET1602-4, red) was stained at 1/100 dilution overnight at +4℃. Goat Anti-Rabbit IgG H&L (iFluor™ 594, HA1122) were used as the secondary antibody at 1/1,000 dilution.

Immunohistochemical analysis of paraffin-embedded human testis tissue with Mouse anti-HSPA1L antibody (HA601245) at 1/1,000 dilution. The section was pre-treated using heat mediated antigen retrieval with sodium citrate buffer (pH 6.0) (high pressure) for 2 minutes. The tissues were blocked in 1% BSA for 20 minutes at room temperature, washed with ddH2O and PBS, and then probed with the primary antibody (HA601245) at 1/1,000 dilution for 1 hour at room temperature. The detection was performed using an HRP conjugated compact polymer system. DAB was used as the chromogen. Tissues were counterstained with hematoxylin and mounted with DPX.
quantity: 100μl
price: 360.00 USD
to the supplier
mouse monoclonal (7D3-R)
reactivity: human, mouse, rat
application: western blot, immunohistochemistry - paraffin section
reactivity: human, mouse, rat
application: western blot, immunohistochemistry - paraffin section

Western blot analysis of HSPA1L on different lysates with Mouse anti-HSPA1L antibody (HA610120) at 1/2,000 dilution. Lane 1: NCI-H1299 cell lysate (20 µg/Lane) Lane 2: HeLa cell lysate (20 µg/Lane) Lane 3: Mouse testis tissue lysate (40 µg/Lane) Lane 4: Rat testis tissue lysate (40 µg/Lane) Predicted band size: 70 kDa Observed band size: 70 kDa Exposure time: Lane 1-2: 5 minutes; Lane 3-4: 24 seconds; 4-20% SDS-PAGE gel. Proteins were transferred to a PVDF membrane and blocked with 5% NFDM/TBST for 1 hour at room temperature. The primary antibody (HA610120) at 1/2,000 dilution was used in 5% NFDM/TBST at 4℃ overnight. Anti-Mouse IgG for IP Nano-secondary antibody (NBI02H) at 1/5,000 dilution was used for 1 hour at room temperature.

Immunocytochemistry analysis of HeLa cells labeling HSPA1L with Mouse anti-HSPA1L antibody (HA610120) at 1/100 dilution. Cells were fixed in 100% precooled methanol for 5 minutes at room temperature, then blocked with 1% BSA in 10% negative goat serum for 1 hour at room temperature. Cells were then incubated with Mouse anti-HSPA1L antibody (HA610120) at 1/100 dilution in 1% BSA in PBST overnight at 4 ℃. Goat Anti-Mouse IgG H&L (iFluor™ 488, HA1125) was used as the secondary antibody at 1/1,000 dilution. PBS instead of the primary antibody was used as the secondary antibody only control. Nuclear DNA was labelled in blue with DAPI. beta Tubulin (ET1602-4, red) was stained at 1/100 dilution overnight at +4℃. Goat Anti-Rabbit IgG H&L (iFluor™ 594, HA1122) were used as the secondary antibody at 1/1,000 dilution.

Immunohistochemical analysis of paraffin-embedded human testis tissue with Mouse anti-HSPA1L antibody (HA610120) at 1/1,000 dilution. The section was pre-treated using heat mediated antigen retrieval with sodium citrate buffer (pH 6.0) (high pressure) for 2 minutes. The tissues were blocked in 1% BSA for 20 minutes at room temperature, washed with ddH2O and PBS, and then probed with the primary antibody (HA610120) at 1/1,000 dilution for 1 hour at room temperature. The detection was performed using an HRP conjugated compact polymer system. DAB was used as the chromogen. Tissues were counterstained with hematoxylin and mounted with DPX.
quantity: 100μg
price: 649.00 USD
to the supplier
