domestic rabbit polyclonal
reactivity: human, mouse
application: western blot, flow cytometry, immunohistochemistry - paraffin section
reactivity: human, mouse
application: western blot, flow cytometry, immunohistochemistry - paraffin section

Western blot analysis of NOX2 / gp91phox on different lysates with Rabbit anti-NOX2 / gp91phox antibody (ER1511-34) at 1/2,000 dilution. Lane 1: RAW264.7 cell lysate (20 µg/Lane) Lane 2: Mouse spleen tissue lysate (40 µg/Lane) Lane 3: Mouse skeletal muscle tissue lysate (negative) (40 µg/Lane) Lane 4: Rat spleen tissue lysate (40 µg/Lane) Predicted band size: 65 kDa Observed band size: 55 kDa Exposure time: 20 seconds; ECL: K1801; 4-20% SDS-PAGE gel. Proteins were transferred to a PVDF membrane and blocked with 5% NFDM/TBST for 1 hour at room temperature. The primary antibody (ER1511-34) at 1/2,000 dilution was used in 5% NFDM/TBST at 4℃ overnight. Goat Anti-Rabbit IgG - HRP Secondary Antibody (HA1001) at 1/50,000 dilution was used for 1 hour at room temperature.

Immunocytochemistry analysis of RAW264.7 cells labeling NOX2 / gp91phox with Rabbit anti-NOX2 / gp91phox antibody (ER1511-34) at 1/100 dilution. Cells were fixed in 4% paraformaldehyde for 15 minutes at room temperature, permeabilized with 0.1% Triton X-100 in PBS for 15 minutes at room temperature, then blocked with 1% BSA in 10% negative goat serum for 1 hour at room temperature. Cells were then incubated with Rabbit anti-NOX2 / gp91phox antibody (ER1511-34) at 1/100 dilution in 1% BSA in PBST overnight at 4 ℃. Goat Anti-Rabbit IgG H&L (iFluor™ 488, HA1121) was used as the secondary antibody at 1/1,000 dilution. PBS instead of the primary antibody was used as the secondary antibody only control. Nuclear DNA was labelled in blue with DAPI. Beta tubulin (HA601187, red) was stained at 1/100 dilution overnight at +4℃. Goat Anti-Mouse IgG H&L (iFluor™ 594, HA1126) was used as the secondary antibody at 1/1,000 dilution.

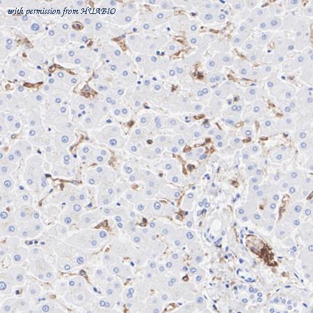
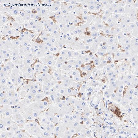
Immunohistochemical analysis of paraffin-embedded human liver tissue using anti-NOX2/gp91phox antibody. Counter stained with hematoxylin.
quantity: 100μl
price: 330 USD
to the supplier
domestic rabbit monoclonal (SN07-16)
reactivity: human, mouse, rat
application: western blot
reactivity: human, mouse, rat
application: western blot

Western blot analysis of NOX2 / gp91phox on different lysates with Rabbit anti-NOX2 / gp91phox antibody (ET1611-44) at 1/2,000 dilution. Lane 1: HepG2 cell lysate (15 µg/Lane) Lane 2: MCF7 cell lysate (15 µg/Lane) Lane 3: Mouse brain tissue lysate (20 µg/Lane) Lane 4: Mouse spleen tissue lysate (20 µg/Lane) Lane 5: Rat brain tissue lysate (20 µg/Lane) Lane 6: Rat spleen tissue lysate (20 µg/Lane) Predicted band size: 65 kDa Observed band size: 55 kDa Exposure time: 3 minutes; 4-20% SDS-PAGE gel. Proteins were transferred to a PVDF membrane and blocked with 5% NFDM/TBST for 1 hour at room temperature. The primary antibody (ET1611-44) at 1/2,000 dilution was used in 5% NFDM/TBST at 4℃ overnight. Goat Anti-Rabbit IgG - HRP Secondary Antibody (HA1001) at 1/50,000 dilution was used for 1 hour at room temperature.
quantity: 100μl
price: 385.00 USD
to the supplier
domestic rabbit monoclonal (PSH10-59)
reactivity: human, mouse, rat
application: western blot, immunoprecipitation, immunohistochemistry - paraffin section, immunohistochemistry - frozen section
reactivity: human, mouse, rat
application: western blot, immunoprecipitation, immunohistochemistry - paraffin section, immunohistochemistry - frozen section

Immunofluorescence analysis of frozen mouse liver tissue with Rabbit anti-NOX2 / gp91phox antibody (HA723224) at 1/500 dilution. The section was pre-treated using heat mediated antigen retrieval with sodium citrate buffer (pH 6.0) for about 2 minutes in microwave oven. The tissues were blocked in 10% negative goat serum for 1 hour at room temperature, washed with PBS, and then probed with the primary antibody (HA723224, green) at 1/500 dilution overnight at 4 ℃, washed with PBS. Goat Anti-Rabbit IgG H&L (iFluor™ 488, HA1121) was used as the secondary antibody at 1/1,000 dilution. Nuclei were counterstained with DAPI (blue).

Immunofluorescence analysis of frozen rat liver tissue with Rabbit anti-NOX2 / gp91phox antibody (HA723224) at 1/500 dilution. The section was pre-treated using heat mediated antigen retrieval with sodium citrate buffer (pH 6.0) for about 2 minutes in microwave oven. The tissues were blocked in 10% negative goat serum for 1 hour at room temperature, washed with PBS, and then probed with the primary antibody (HA723224, green) at 1/500 dilution overnight at 4 ℃, washed with PBS. Goat Anti-Rabbit IgG H&L (iFluor™ 488, HA1121) was used as the secondary antibody at 1/1,000 dilution. Nuclei were counterstained with DAPI (blue).

Immunohistochemical analysis of paraffin-embedded human liver tissue with Rabbit anti-NOX2 / gp91phox antibody (HA723224) at 1/1,000 dilution. The section was pre-treated using heat mediated antigen retrieval with Tris-EDTA buffer (pH 9.0) for 20 minutes. The tissues were blocked in 1% BSA for 20 minutes at room temperature, washed with ddH2O and PBS, and then probed with the primary antibody (HA723224) at 1/1,000 dilution for 1 hour at room temperature. The detection was performed using an HRP conjugated compact polymer system. DAB was used as the chromogen. Tissues were counterstained with hematoxylin and mounted with DPX.
quantity: 100μl
price: 385.00 USD
to the supplier
domestic rabbit monoclonal (SN07-16)
reactivity: human, mouse, rat
application: western blot
reactivity: human, mouse, rat
application: western blot

Western blot analysis of NOX2 / gp91phox on different lysates with Rabbit anti-NOX2 / gp91phox antibody (HA750255) at 1/2,000 dilution. Lane 1: HepG2 cell lysate (15 µg/Lane) Lane 2: MCF7 cell lysate (15 µg/Lane) Lane 3: Mouse brain tissue lysate (20 µg/Lane) Lane 4: Mouse spleen tissue lysate (20 µg/Lane) Lane 5: Rat brain tissue lysate (20 µg/Lane) Lane 6: Rat spleen tissue lysate (20 µg/Lane) Predicted band size: 65 kDa Observed band size: 55 kDa Exposure time: 3 minutes; 4-20% SDS-PAGE gel. Proteins were transferred to a PVDF membrane and blocked with 5% NFDM/TBST for 1 hour at room temperature. The primary antibody (HA750255) at 1/2,000 dilution was used in 5% NFDM/TBST at 4℃ overnight. Goat Anti-Rabbit IgG - HRP Secondary Antibody (HA1001) at 1/50,000 dilution was used for 1 hour at room temperature.
quantity: 100μl
price: 649.00 USD
to the supplier
domestic rabbit monoclonal (PSH10-59)
reactivity: human, mouse, rat
application: western blot, immunoprecipitation, immunohistochemistry - paraffin section, immunohistochemistry - frozen section
reactivity: human, mouse, rat
application: western blot, immunoprecipitation, immunohistochemistry - paraffin section, immunohistochemistry - frozen section

Immunofluorescence analysis of frozen mouse liver tissue with Rabbit anti-NOX2 / gp91phox antibody (HA751362) at 1/500 dilution. The section was pre-treated using heat mediated antigen retrieval with sodium citrate buffer (pH 6.0) for about 2 minutes in microwave oven. The tissues were blocked in 10% negative goat serum for 1 hour at room temperature, washed with PBS, and then probed with the primary antibody (HA751362, green) at 1/500 dilution overnight at 4 ℃, washed with PBS. Goat Anti-Rabbit IgG H&L (iFluor™ 488, HA1121) was used as the secondary antibody at 1/1,000 dilution. Nuclei were counterstained with DAPI (blue).

Immunofluorescence analysis of frozen rat liver tissue with Rabbit anti-NOX2 / gp91phox antibody (HA751362) at 1/500 dilution. The section was pre-treated using heat mediated antigen retrieval with sodium citrate buffer (pH 6.0) for about 2 minutes in microwave oven. The tissues were blocked in 10% negative goat serum for 1 hour at room temperature, washed with PBS, and then probed with the primary antibody (HA751362, green) at 1/500 dilution overnight at 4 ℃, washed with PBS. Goat Anti-Rabbit IgG H&L (iFluor™ 488, HA1121) was used as the secondary antibody at 1/1,000 dilution. Nuclei were counterstained with DAPI (blue).

Immunohistochemical analysis of paraffin-embedded human liver tissue with Rabbit anti-NOX2 / gp91phox antibody (HA751362) at 1/1,000 dilution. The section was pre-treated using heat mediated antigen retrieval with Tris-EDTA buffer (pH 9.0) for 20 minutes. The tissues were blocked in 1% BSA for 20 minutes at room temperature, washed with ddH2O and PBS, and then probed with the primary antibody (HA751362) at 1/1,000 dilution for 1 hour at room temperature. The detection was performed using an HRP conjugated compact polymer system. DAB was used as the chromogen. Tissues were counterstained with hematoxylin and mounted with DPX.
quantity: 100μl
price: 649.00 USD
to the supplier
