domestic rabbit monoclonal (JM10-78)
reactivity: human, mouse, rat
application: western blot, immunohistochemistry - paraffin section
reactivity: human, mouse, rat
application: western blot, immunohistochemistry - paraffin section

Western blot analysis of Cathepsin L/V/K/H on different lysates with Rabbit anti-Cathepsin L/V/K/H antibody (ET1703-44) at 1/1,000 dilution. Lane 1: HCT 116-si NT cell lysate Lane 2: HCT 116-si Cathepsin H cell lysate Lysates/proteins at 10 µg/Lane. Predicted band size: 37/38 kDa Observed band size: 42 kDa Exposure time: 4 seconds; ECL: K1801; 4-20% SDS-PAGE gel. Proteins were transferred to a PVDF membrane and blocked with 5% NFDM/TBST for 1 hour at room temperature. The primary antibody (ET1703-44) at 1/1,000 dilution was used in 5% NFDM/TBST at 4℃ overnight. Goat Anti-Rabbit IgG - HRP Secondary Antibody (HA1001) at 1/50,000 dilution was used for 1 hour at room temperature.

Western blot analysis of Cathepsin L/V/K/H on different lysates. Proteins were transferred to a PVDF membrane and blocked with 5% BSA in PBS for 1 hour at room temperature. The primary antibody (ET1703-44, 1/500) was used in 5% BSA at room temperature for 2 hours. Goat Anti-Rabbit IgG - HRP Secondary Antibody (HA1001) at 1:5,000 dilution was used for 1 hour at room temperature. Positive control: Lane 1: HepG2 cell lysate Lane 2: A549 cell lysate

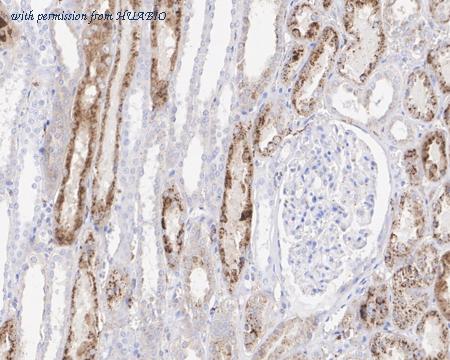
Immunohistochemical analysis of paraffin-embedded human kidney tissue with Rabbit anti-Cathepsin L/V/K/H antibody (ET1703-44) at 1/50 dilution. The section was pre-treated using heat mediated antigen retrieval with Tris-EDTA buffer (pH 9.0) for 20 minutes. The tissues were blocked in 1% BSA for 20 minutes at room temperature, washed with ddH2O and PBS, and then probed with the primary antibody (ET1703-44) at 1/50 dilution for 1 hour at room temperature. The detection was performed using an HRP conjugated compact polymer system. DAB was used as the chromogen. Tissues were counterstained with hematoxylin and mounted with DPX.
quantity: 100μl
price: 385.00 USD
to the supplier
domestic rabbit monoclonal (PSH03-91)
reactivity: human, mouse, rat
application: western blot, flow cytometry, immunohistochemistry - paraffin section
reactivity: human, mouse, rat
application: western blot, flow cytometry, immunohistochemistry - paraffin section

Western blot analysis of Cathepsin L on different lysates with Rabbit anti-Cathepsin L antibody (HA722063) at 1/5,000 dilution. Lane 1: A549 cell lysate (15 µg/Lane) Lane 2: HepG2 cell lysate (15 µg/Lane) Lane 3: HEK-293 cell lysate (15 µg/Lane) Lane 4: MDA-MB-231 cell lysate (15 µg/Lane) Lane 5: Human kidney tissue lysate (30 µg/Lane) Lane 6: Human liver tissue lysate (30 µg/Lane) Lane 7: NIH/3T3 cell lysate (15 µg/Lane) Lane 8: PC-12 cell lysate (15 µg/Lane) Lane 9: Mouse kidney tissue lysate (30 µg/Lane) Lane 10: Rat kidney tissue lysate (30 µg/Lane) Lane 11: Mouse liver tissue lysate (30 µg/Lane) Lane 12: Rat liver tissue lysate (30 µg/Lane) Lane 13: COS-1 cell lysate (15 µg/Lane) Predicted band size: 38 kDa Observed band size: 20-45 kDa Exposure time: 10 seconds; 4-20% SDS-PAGE gel. Proteins were transferred to a PVDF membrane and blocked with 5% NFDM/TBST for 1 hour at room temperature. The primary antibody (HA722063) at 1/5,000 dilution was used in 5% NFDM/TBST at 4℃ overnight. Goat Anti-Rabbit IgG - HRP Secondary Antibody (HA1001) at 1/50,000 dilution was used for 1 hour at room temperature.

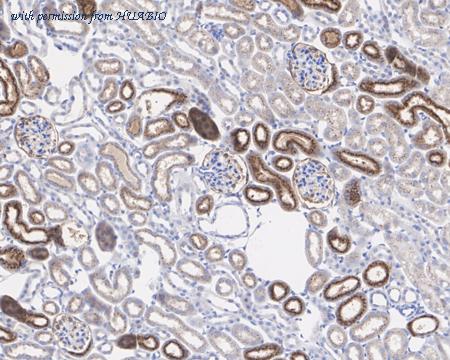
Immunohistochemical analysis of paraffin-embedded human kidney tissue with Rabbit anti-Cathepsin L antibody (HA722063) at 1/5,000 dilution. The section was pre-treated using heat mediated antigen retrieval with sodium citrate buffer (pH 6.0) (high pressure) for 2 minutes. The tissues were blocked in 1% BSA for 20 minutes at room temperature, washed with ddH2O and PBS, and then probed with the primary antibody (HA722063) at 1/5,000 dilution for 1 hour at room temperature. The detection was performed using an HRP conjugated compact polymer system. DAB was used as the chromogen. Tissues were counterstained with hematoxylin and mounted with DPX.

Immunohistochemical analysis of paraffin-embedded mouse kidney tissue with Rabbit anti-Cathepsin L antibody (HA722063) at 1/5,000 dilution. The section was pre-treated using heat mediated antigen retrieval with sodium citrate buffer (pH 6.0) (high pressure) for 2 minutes. The tissues were blocked in 1% BSA for 20 minutes at room temperature, washed with ddH2O and PBS, and then probed with the primary antibody (HA722063) at 1/5,000 dilution for 1 hour at room temperature. The detection was performed using an HRP conjugated compact polymer system. DAB was used as the chromogen. Tissues were counterstained with hematoxylin and mounted with DPX.
quantity: 100μl
price: 385.00 USD
to the supplier
domestic rabbit monoclonal (PSH03-92)
reactivity: human, mouse, rat
application: western blot, immunohistochemistry - paraffin section
reactivity: human, mouse, rat
application: western blot, immunohistochemistry - paraffin section

Western blot analysis of Cathepsin L on different lysates with Rabbit anti-Cathepsin L antibody (HA722064) at 1/5,000 dilution. Lane 1: A549 cell lysate (15 µg/Lane) Lane 2: HepG2 cell lysate (15 µg/Lane) Lane 3: HEK-293 cell lysate (15 µg/Lane) Lane 4: MDA-MB-231 cell lysate (15 µg/Lane) Lane 5: Human kidney tissue lysate (30 µg/Lane) Lane 6: Human liver tissue lysate (30 µg/Lane) Lane 7: NIH/3T3 cell lysate (15 µg/Lane) Lane 8: PC-12 cell lysate (15 µg/Lane) Lane 9: Mouse kidney tissue lysate (30 µg/Lane) Lane 10: Rat kidney tissue lysate (30 µg/Lane) Lane 11: Mouse liver tissue lysate (30 µg/Lane) Lane 12: Rat liver tissue lysate (30 µg/Lane) Lane 13: COS-1 cell lysate (15 µg/Lane) Predicted band size: 38 kDa Observed band size: 20-45 kDa Exposure time: 10 seconds; 4-20% SDS-PAGE gel. Proteins were transferred to a PVDF membrane and blocked with 5% NFDM/TBST for 1 hour at room temperature. The primary antibody (HA722064) at 1/5,000 dilution was used in 5% NFDM/TBST at 4℃ overnight. Goat Anti-Rabbit IgG - HRP Secondary Antibody (HA1001) at 1/50,000 dilution was used for 1 hour at room temperature.

Immunohistochemical analysis of paraffin-embedded human kidney tissue with Rabbit anti-Cathepsin L antibody (HA722064) at 1/10,000 dilution. The section was pre-treated using heat mediated antigen retrieval with sodium citrate buffer (pH 6.0) (high pressure) for 2 minutes. The tissues were blocked in 1% BSA for 20 minutes at room temperature, washed with ddH2O and PBS, and then probed with the primary antibody (HA722064) at 1/1,000 dilution for 1 hour at room temperature. The detection was performed using an HRP conjugated compact polymer system. DAB was used as the chromogen. Tissues were counterstained with hematoxylin and mounted with DPX.

Immunohistochemical analysis of paraffin-embedded mouse kidney tissue with Rabbit anti-Cathepsin L antibody (HA722064) at 1/10,000 dilution. The section was pre-treated using heat mediated antigen retrieval with sodium citrate buffer (pH 6.0) (high pressure) for 2 minutes. The tissues were blocked in 1% BSA for 20 minutes at room temperature, washed with ddH2O and PBS, and then probed with the primary antibody (HA722064) at 1/1,000 dilution for 1 hour at room temperature. The detection was performed using an HRP conjugated compact polymer system. DAB was used as the chromogen. Tissues were counterstained with hematoxylin and mounted with DPX.
quantity: 100μl
price: 385.00 USD
to the supplier
domestic rabbit monoclonal (PSH03-91)
reactivity: human, mouse, rat
application: western blot, flow cytometry, immunohistochemistry - paraffin section
reactivity: human, mouse, rat
application: western blot, flow cytometry, immunohistochemistry - paraffin section

Western blot analysis of Cathepsin L on different lysates with Rabbit anti-Cathepsin L antibody (HA750916) at 1/5,000 dilution. Lane 1: A549 cell lysate (15 µg/Lane) Lane 2: HepG2 cell lysate (15 µg/Lane) Lane 3: HEK-293 cell lysate (15 µg/Lane) Lane 4: MDA-MB-231 cell lysate (15 µg/Lane) Lane 5: Human kidney tissue lysate (30 µg/Lane) Lane 6: Human liver tissue lysate (30 µg/Lane) Lane 7: NIH/3T3 cell lysate (15 µg/Lane) Lane 8: PC-12 cell lysate (15 µg/Lane) Lane 9: Mouse kidney tissue lysate (30 µg/Lane) Lane 10: Rat kidney tissue lysate (30 µg/Lane) Lane 11: Mouse liver tissue lysate (30 µg/Lane) Lane 12: Rat liver tissue lysate (30 µg/Lane) Lane 13: COS-1 cell lysate (15 µg/Lane) Predicted band size: 38 kDa Observed band size: 20-45 kDa Exposure time: 10 seconds; 4-20% SDS-PAGE gel. Proteins were transferred to a PVDF membrane and blocked with 5% NFDM/TBST for 1 hour at room temperature. The primary antibody (HA750916) at 1/5,000 dilution was used in 5% NFDM/TBST at 4℃ overnight. Goat Anti-Rabbit IgG - HRP Secondary Antibody (HA1001) at 1/50,000 dilution was used for 1 hour at room temperature.

Immunohistochemical analysis of paraffin-embedded human kidney tissue with Rabbit anti-Cathepsin L antibody (HA750916) at 1/5,000 dilution. The section was pre-treated using heat mediated antigen retrieval with sodium citrate buffer (pH 6.0) (high pressure) for 2 minutes. The tissues were blocked in 1% BSA for 20 minutes at room temperature, washed with ddH2O and PBS, and then probed with the primary antibody (HA750916) at 1/5,000 dilution for 1 hour at room temperature. The detection was performed using an HRP conjugated compact polymer system. DAB was used as the chromogen. Tissues were counterstained with hematoxylin and mounted with DPX.

Immunohistochemical analysis of paraffin-embedded mouse kidney tissue with Rabbit anti-Cathepsin L antibody (HA750916) at 1/5,000 dilution. The section was pre-treated using heat mediated antigen retrieval with sodium citrate buffer (pH 6.0) (high pressure) for 2 minutes. The tissues were blocked in 1% BSA for 20 minutes at room temperature, washed with ddH2O and PBS, and then probed with the primary antibody (HA750916) at 1/5,000 dilution for 1 hour at room temperature. The detection was performed using an HRP conjugated compact polymer system. DAB was used as the chromogen. Tissues were counterstained with hematoxylin and mounted with DPX.
quantity: 100μl
price: 649.00 USD
to the supplier
domestic rabbit monoclonal (PSH03-92)
reactivity: human, mouse, rat
application: western blot, immunohistochemistry - paraffin section
reactivity: human, mouse, rat
application: western blot, immunohistochemistry - paraffin section

Western blot analysis of Cathepsin L on different lysates with Rabbit anti-Cathepsin L antibody (HA750917) at 1/5,000 dilution. Lane 1: A549 cell lysate (15 µg/Lane) Lane 2: HepG2 cell lysate (15 µg/Lane) Lane 3: HEK-293 cell lysate (15 µg/Lane) Lane 4: MDA-MB-231 cell lysate (15 µg/Lane) Lane 5: Human kidney tissue lysate (30 µg/Lane) Lane 6: Human liver tissue lysate (30 µg/Lane) Lane 7: NIH/3T3 cell lysate (15 µg/Lane) Lane 8: PC-12 cell lysate (15 µg/Lane) Lane 9: Mouse kidney tissue lysate (30 µg/Lane) Lane 10: Rat kidney tissue lysate (30 µg/Lane) Lane 11: Mouse liver tissue lysate (30 µg/Lane) Lane 12: Rat liver tissue lysate (30 µg/Lane) Lane 13: COS-1 cell lysate (15 µg/Lane) Predicted band size: 38 kDa Observed band size: 20-45 kDa Exposure time: 10 seconds; 4-20% SDS-PAGE gel. Proteins were transferred to a PVDF membrane and blocked with 5% NFDM/TBST for 1 hour at room temperature. The primary antibody (HA750917) at 1/5,000 dilution was used in 5% NFDM/TBST at 4℃ overnight. Goat Anti-Rabbit IgG - HRP Secondary Antibody (HA1001) at 1/50,000 dilution was used for 1 hour at room temperature.

Immunohistochemical analysis of paraffin-embedded human kidney tissue with Rabbit anti-Cathepsin L antibody (HA750917) at 1/10,000 dilution. The section was pre-treated using heat mediated antigen retrieval with sodium citrate buffer (pH 6.0) (high pressure) for 2 minutes. The tissues were blocked in 1% BSA for 20 minutes at room temperature, washed with ddH2O and PBS, and then probed with the primary antibody (HA750917) at 1/1,000 dilution for 1 hour at room temperature. The detection was performed using an HRP conjugated compact polymer system. DAB was used as the chromogen. Tissues were counterstained with hematoxylin and mounted with DPX.

Immunohistochemical analysis of paraffin-embedded mouse kidney tissue with Rabbit anti-Cathepsin L antibody (HA750917) at 1/10,000 dilution. The section was pre-treated using heat mediated antigen retrieval with sodium citrate buffer (pH 6.0) (high pressure) for 2 minutes. The tissues were blocked in 1% BSA for 20 minutes at room temperature, washed with ddH2O and PBS, and then probed with the primary antibody (HA750917) at 1/1,000 dilution for 1 hour at room temperature. The detection was performed using an HRP conjugated compact polymer system. DAB was used as the chromogen. Tissues were counterstained with hematoxylin and mounted with DPX.
quantity: 100μl
price: 649.00 USD
to the supplier
