Sign in
Sign up
home
>
HUABIO
> HUABIO cathepsin D antibody
Cathepsin D
HUABIO
catalog: EM1901-02
mouse monoclonal (13F3-R)
reactivity:
human
application:
western blot
,
immunohistochemistry - paraffin section
Western blot analysis of Cathepsin D on different lysates with Mouse anti-Cathepsin D antibody (EM1901-02) at 1/1,000 dilution. Lane 1: MCF7 cell lysate (20 µg/Lane) Lane 2: U-937 cell lysate (20 µg/Lane) Lane 3: SK-Br-3 cell lysate (20 µg/Lane) Lane 4: HepG2 cell lysate (20 µg/Lane) Lane 5: A431 cell lysate (20 µg/Lane) Lane 6: Human liver tissue lysate (40 µg/Lane) Predicted band size: 45 kDa Observed band size: 45/28 kDa Exposure time: 25 seconds; ECL: K1801; 4-20% SDS-PAGE gel. Proteins were transferred to a PVDF membrane and blocked with 5% NFDM/TBST for 1 hour at room temperature. The primary antibody (EM1901-02) at 1/1,000 dilution was used in 5% NFDM/TBST at 4℃ overnight. Goat Anti-Mouse IgG - HRP Secondary Antibody (HA1006) at 1/50,000 dilution was used for 1 hour at room temperature.
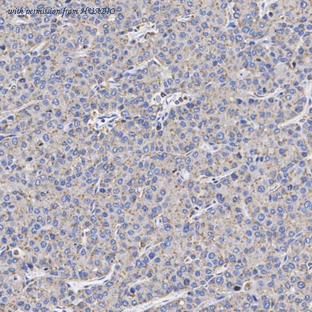
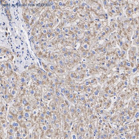
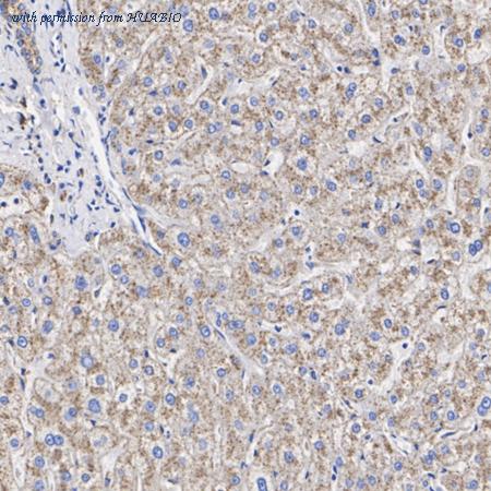
Immunohistochemical analysis of paraffin-embedded human liver tissue with Mouse anti-Cathepsin D antibody (EM1901-02) at 1/5,000 dilution. The section was pre-treated using heat mediated antigen retrieval with Tris-EDTA buffer (pH 9.0) for 20 minutes. The tissues were blocked in 1% BSA for 20 minutes at room temperature, washed with ddH2O and PBS, and then probed with the primary antibody (EM1901-02) at 1/5,000 dilution for 1 hour at room temperature. The detection was performed using an HRP conjugated compact polymer system. DAB was used as the chromogen. Tissues were counterstained with hematoxylin and mounted with DPX.
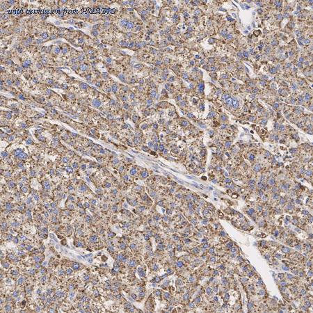
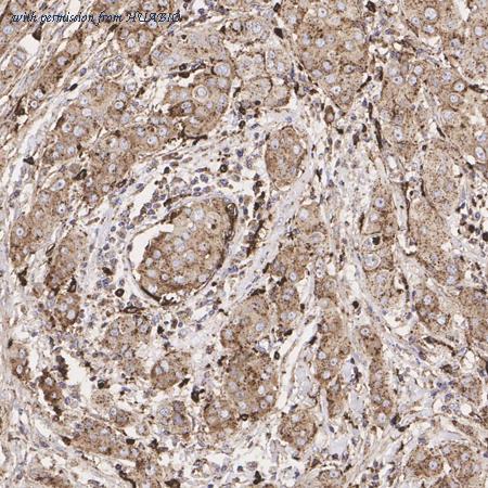
Immunohistochemical analysis of paraffin-embedded human liver cancer tissue with Mouse anti-Cathepsin D antibody (EM1901-02) at 1/2,000 dilution. The section was pre-treated using heat mediated antigen retrieval with Tris-EDTA buffer (pH 9.0) for 20 minutes. The tissues were blocked in 1% BSA for 20 minutes at room temperature, washed with ddH2O and PBS, and then probed with the primary antibody (EM1901-02) at 1/2,000 dilution for 1 hour at room temperature. The detection was performed using an HRP conjugated compact polymer system. DAB was used as the chromogen. Tissues were counterstained with hematoxylin and mounted with DPX.
quantity: 100μl
price: 360.00 USD
to the supplier
Cathepsin D
HUABIO
catalog: EM1901-03
mouse monoclonal (13F4-R)
reactivity:
human
application:
western blot
,
immunohistochemistry - paraffin section
Western blot analysis of Cathepsin D on different lysates with Mouse anti-Cathepsin D antibody (EM1901-03) at 1/1,000 dilution. Lane 1: MCF7 cell lysate (20 µg/Lane) Lane 2: U-937 cell lysate (20 µg/Lane) Lane 3: SK-Br-3 cell lysate (20 µg/Lane) Lane 4: HepG2 cell lysate (20 µg/Lane) Lane 5: A431 cell lysate (20 µg/Lane) Lane 6: Human liver tissue lysate (40 µg/Lane) Predicted band size: 45 kDa Observed band size: 45/28 kDa Exposure time: 25 seconds; ECL: K1801; 4-20% SDS-PAGE gel. Proteins were transferred to a PVDF membrane and blocked with 5% NFDM/TBST for 1 hour at room temperature. The primary antibody (EM1901-03) at 1/1,000 dilution was used in 5% NFDM/TBST at 4℃ overnight. Goat Anti-Mouse IgG - HRP Secondary Antibody (HA1006) at 1/50,000 dilution was used for 1 hour at room temperature.
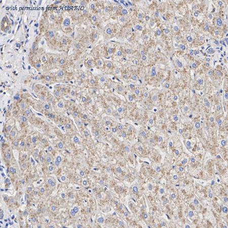
Immunohistochemical analysis of paraffin-embedded human liver tissue with Mouse anti-Cathepsin D antibody (EM1901-03) at 1/5,000 dilution. The section was pre-treated using heat mediated antigen retrieval with Tris-EDTA buffer (pH 9.0) for 20 minutes. The tissues were blocked in 1% BSA for 20 minutes at room temperature, washed with ddH2O and PBS, and then probed with the primary antibody (EM1901-03) at 1/5,000 dilution for 1 hour at room temperature. The detection was performed using an HRP conjugated compact polymer system. DAB was used as the chromogen. Tissues were counterstained with hematoxylin and mounted with DPX.
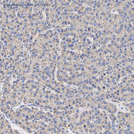
Immunohistochemical analysis of paraffin-embedded human liver cancer tissue with Mouse anti-Cathepsin D antibody (EM1901-03) at 1/2,000 dilution. The section was pre-treated using heat mediated antigen retrieval with Tris-EDTA buffer (pH 9.0) for 20 minutes. The tissues were blocked in 1% BSA for 20 minutes at room temperature, washed with ddH2O and PBS, and then probed with the primary antibody (EM1901-03) at 1/2,000 dilution for 1 hour at room temperature. The detection was performed using an HRP conjugated compact polymer system. DAB was used as the chromogen. Tissues were counterstained with hematoxylin and mounted with DPX.
quantity: 100μl
price: 360.00 USD
to the supplier
Cathepsin D
HUABIO
catalog: EM1901-15
mouse monoclonal (13F2)
reactivity:
human
application:
western blot
,
immunohistochemistry - paraffin section
Western blot analysis of Cathepsin D on different lysates with Mouse anti-Cathepsin D antibody (EM1901-15) at 1/1,000 dilution. Lane 1: MCF7 cell lysate (20 µg/Lane) Lane 2: U-937 cell lysate (20 µg/Lane) Lane 3: SK-Br-3 cell lysate (20 µg/Lane) Lane 4: HepG2 cell lysate (20 µg/Lane) Lane 5: A431 cell lysate (20 µg/Lane) Lane 6: Human liver tissue lysate (40 µg/Lane) Predicted band size: 45 kDa Observed band size: 45/28 kDa Exposure time: 3 minutes; ECL: K1801; 4-20% SDS-PAGE gel. Proteins were transferred to a PVDF membrane and blocked with 5% NFDM/TBST for 1 hour at room temperature. The primary antibody (EM1901-15) at 1/1,000 dilution was used in 5% NFDM/TBST at 4℃ overnight. Goat Anti-Mouse IgG - HRP Secondary Antibody (HA1006) at 1/50,000 dilution was used for 1 hour at room temperature.
Immunohistochemical analysis of paraffin-embedded human breast cancer tissue with Mouse anti-Cathepsin D antibody (EM1901-15) at 1/1,000 dilution. The section was pre-treated using heat mediated antigen retrieval with Tris-EDTA buffer (pH 9.0) for 20 minutes. The tissues were blocked in 1% BSA for 20 minutes at room temperature, washed with ddH2O and PBS, and then probed with the primary antibody (EM1901-15) at 1/1,000 dilution for 1 hour at room temperature. The detection was performed using an HRP conjugated compact polymer system. DAB was used as the chromogen. Tissues were counterstained with hematoxylin and mounted with DPX.
Immunohistochemical analysis of paraffin-embedded human liver cancer tissue with Mouse anti-Cathepsin D antibody (EM1901-15) at 1/1,000 dilution. The section was pre-treated using heat mediated antigen retrieval with Tris-EDTA buffer (pH 9.0) for 20 minutes. The tissues were blocked in 1% BSA for 20 minutes at room temperature, washed with ddH2O and PBS, and then probed with the primary antibody (EM1901-15) at 1/1,000 dilution for 1 hour at room temperature. The detection was performed using an HRP conjugated compact polymer system. DAB was used as the chromogen. Tissues were counterstained with hematoxylin and mounted with DPX.
quantity: 100μl
price: 360.00 USD
to the supplier
Cathepsin D
HUABIO
catalog: EM1901-16
mouse monoclonal (13F3)
reactivity:
human
application:
western blot
,
immunohistochemistry - paraffin section
Western blot analysis of Cathepsin D on different lysates. Proteins were transferred to a PVDF membrane and blocked with 5% BSA in PBS for 1 hour at room temperature. The primary antibody (EM1901-16, 1/500) was used in 5% BSA at room temperature for 2 hours. Goat Anti-Mouse IgG - HRP Secondary Antibody (HA1006) at 1:5,000 dilution was used for 1 hour at room temperature. Positive control: Lane 1: SK-Br-3 cell lysate Lane 2: MCF-7 cell lysate Lane 3: U937 cell lysate
Immunohistochemical analysis of paraffin-embedded human breast cancer tissue with Mouse anti-Cathepsin D antibody (EM1901-16) at 1/5,000 dilution. The section was pre-treated using heat mediated antigen retrieval with Tris-EDTA buffer (pH 9.0) for 20 minutes. The tissues were blocked in 1% BSA for 20 minutes at room temperature, washed with ddH2O and PBS, and then probed with the primary antibody (EM1901-16) at 1/5,000 dilution for 1 hour at room temperature. The detection was performed using an HRP conjugated compact polymer system. DAB was used as the chromogen. Tissues were counterstained with hematoxylin and mounted with DPX.
Immunohistochemical analysis of paraffin-embedded human liver cancer tissue with Mouse anti-Cathepsin D antibody (EM1901-16) at 1/2,000 dilution. The section was pre-treated using heat mediated antigen retrieval with Tris-EDTA buffer (pH 9.0) for 20 minutes. The tissues were blocked in 1% BSA for 20 minutes at room temperature, washed with ddH2O and PBS, and then probed with the primary antibody (EM1901-16) at 1/2,000 dilution for 1 hour at room temperature. The detection was performed using an HRP conjugated compact polymer system. DAB was used as the chromogen. Tissues were counterstained with hematoxylin and mounted with DPX.
quantity: 100μl
price: 360.00 USD
to the supplier
Cathepsin D
HUABIO
catalog: EM1901-17
mouse monoclonal (13F4)
reactivity:
human
application:
western blot
,
immunohistochemistry - paraffin section
Western blot analysis of Cathepsin D on different lysates. Proteins were transferred to a PVDF membrane and blocked with 5% BSA in PBS for 1 hour at room temperature. The primary antibody (EM1901-17, 1/500) was used in 5% BSA at room temperature for 2 hours. Goat Anti-Mouse IgG - HRP Secondary Antibody (HA1006) at 1:5,000 dilution was used for 1 hour at room temperature. Positive control: Lane 1: SK-Br-3 cell lysate Lane 2: MCF-7 cell lysate
Immunohistochemical analysis of paraffin-embedded human breast cancer tissue with Mouse anti-Cathepsin D antibody (EM1901-17) at 1/1,000 dilution. The section was pre-treated using heat mediated antigen retrieval with Tris-EDTA buffer (pH 9.0) for 20 minutes. The tissues were blocked in 1% BSA for 20 minutes at room temperature, washed with ddH2O and PBS, and then probed with the primary antibody (EM1901-17) at 1/1,000 dilution for 1 hour at room temperature. The detection was performed using an HRP conjugated compact polymer system. DAB was used as the chromogen. Tissues were counterstained with hematoxylin and mounted with DPX.
Immunohistochemical analysis of paraffin-embedded human liver cancer tissue with Mouse anti-Cathepsin D antibody (EM1901-17) at 1/1,000 dilution. The section was pre-treated using heat mediated antigen retrieval with Tris-EDTA buffer (pH 9.0) for 20 minutes. The tissues were blocked in 1% BSA for 20 minutes at room temperature, washed with ddH2O and PBS, and then probed with the primary antibody (EM1901-17) at 1/1,000 dilution for 1 hour at room temperature. The detection was performed using an HRP conjugated compact polymer system. DAB was used as the chromogen. Tissues were counterstained with hematoxylin and mounted with DPX.
quantity: 100μl
price: 360.00 USD
to the supplier
Cathepsin D
HUABIO
catalog: ET1608-49-50UL
domestic rabbit monoclonal (SU0360)
reactivity:
human
,
mouse
,
rat
application:
western blot
,
immunoprecipitation
,
immunohistochemistry - paraffin section
Western blot analysis of Cathepsin D on different lysates with Rabbit anti-Cathepsin D antibody (ET1608-49) at 1/2,000 dilution. Lane 1: HepG2 cell lysate (15 µg/Lane) Lane 2: MCF7 cell lysate (15 µg/Lane) Lane 3: Neuro-2a cell lysate (15 µg/Lane) Lane 4: Mouse brain tissue lysate (20 µg/Lane) Predicted band size: 45/28 kDa Observed band size: 45/28 kDa Exposure time: 3 minutes; ECL: K1801; 4-20% SDS-PAGE gel. Proteins were transferred to a PVDF membrane and blocked with 5% NFDM/TBST for 1 hour at room temperature. The primary antibody (ET1608-49) at 1/2,000 dilution was used in 5% NFDM/TBST at 4℃ overnight. Goat Anti-Rabbit IgG - HRP Secondary Antibody (HA1001) at 1/50,000 dilution was used for 1 hour at room temperature.
Western blot analysis of Cathepsin D on different lysates with Rabbit anti-Cathepsin D antibody (ET1608-49) at 1/1,000 dilution. Lane 1: C6 cell lysate (20 µg/Lane) Lane 2: Mouse brain tissue lysate (20 µg/Lane) Lane 3: Rat brain tissue lysate (20 µg/Lane) Predicted band size: 45/28 kDa Observed band size: 45/28 kDa Exposure time: 6 seconds; ECL: K1801; 4-20% SDS-PAGE gel. Proteins were transferred to a PVDF membrane and blocked with 5% NFDM/TBST for 1 hour at room temperature. The primary antibody (ET1608-49) at 1/1,000 dilution was used in 5% NFDM/TBST at 4℃ overnight. Goat Anti-Rabbit IgG - HRP Secondary Antibody (HA1001) at 1/50,000 dilution was used for 1 hour at room temperature.
Immunohistochemical analysis of paraffin-embedded human breast cancer tissue with Rabbit anti-Cathepsin D antibody (ET1608-49) at 1/3,000 dilution. The section was pre-treated using heat mediated antigen retrieval with Tris-EDTA buffer (pH 9.0) for 20 minutes. The tissues were blocked in 1% BSA for 20 minutes at room temperature, washed with ddH2O and PBS, and then probed with the primary antibody (ET1608-49) at 1/3,000 dilution for 1 hour at room temperature. The detection was performed using an HRP conjugated compact polymer system. DAB was used as the chromogen. Tissues were counterstained with hematoxylin and mounted with DPX.
quantity: 50μl
price: 205.00 USD
to the supplier
Cathepsin D
HUABIO
catalog: ET7110-58
domestic rabbit monoclonal (JE24-31)
reactivity:
human
application:
immunohistochemistry - paraffin section
Immunohistochemical analysis of paraffin-embedded human lung tissue with Rabbit anti-Cathepsin D antibody (ET7110-58) at 1/200 dilution. The section was pre-treated using heat mediated antigen retrieval with Tris-EDTA buffer (pH 8.0-8.4) for 20 minutes. The tissues were blocked in 1% BSA for 20 minutes at room temperature, washed with ddH2O and PBS, and then probed with the primary antibody (ET7110-58) at 1/200 dilution for 0.5 hour at room temperature. The detection was performed using an HRP conjugated compact polymer system. DAB was used as the chromogen. Tissues were counterstained with hematoxylin and mounted with DPX.
Immunohistochemical analysis of paraffin-embedded human liver tissue with Rabbit anti-Cathepsin D antibody (ET7110-58) at 1/200 dilution. The section was pre-treated using heat mediated antigen retrieval with Tris-EDTA buffer (pH 8.0-8.4) for 20 minutes. The tissues were blocked in 1% BSA for 20 minutes at room temperature, washed with ddH2O and PBS, and then probed with the primary antibody (ET7110-58) at 1/200 dilution for 0.5 hour at room temperature. The detection was performed using an HRP conjugated compact polymer system. DAB was used as the chromogen. Tissues were counterstained with hematoxylin and mounted with DPX.
Immunohistochemical analysis of paraffin-embedded human liver carcinoma tissue with Rabbit anti-Cathepsin D antibody (ET7110-58) at 1/50 dilution. The section was pre-treated using heat mediated antigen retrieval with Tris-EDTA buffer (pH 8.0-8.4) for 20 minutes. The tissues were blocked in 1% BSA for 20 minutes at room temperature, washed with ddH2O and PBS, and then probed with the primary antibody (ET7110-58) at 1/50 dilution for 0.5 hour at room temperature. The detection was performed using an HRP conjugated compact polymer system. DAB was used as the chromogen. Tissues were counterstained with hematoxylin and mounted with DPX.
quantity: 100μl
price: 385.00 USD
to the supplier
Cathepsin D
HUABIO
catalog: HA610001
mouse monoclonal (13F3-R)
reactivity:
human
application:
western blot
,
immunohistochemistry - paraffin section
Western blot analysis of Cathepsin D on different lysates with Mouse anti-Cathepsin D antibody (HA610001) at 1/1,000 dilution. Lane 1: MCF7 cell lysate (20 µg/Lane) Lane 2: U-937 cell lysate (20 µg/Lane) Lane 3: SK-Br-3 cell lysate (20 µg/Lane) Lane 4: HepG2 cell lysate (20 µg/Lane) Lane 5: A431 cell lysate (20 µg/Lane) Lane 6: Human liver tissue lysate (40 µg/Lane) Predicted band size: 45 kDa Observed band size: 45/28 kDa Exposure time: 25 seconds; ECL: K1801; 4-20% SDS-PAGE gel. Proteins were transferred to a PVDF membrane and blocked with 5% NFDM/TBST for 1 hour at room temperature. The primary antibody (EM1901-02) at 1/1,000 dilution was used in 5% NFDM/TBST at 4℃ overnight. Goat Anti-Mouse IgG - HRP Secondary Antibody (HA1006) at 1/50,000 dilution was used for 1 hour at room temperature.
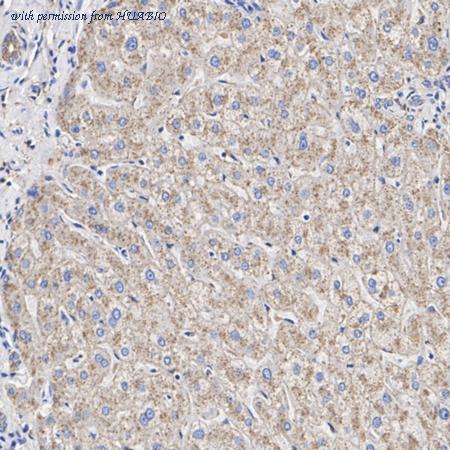
Immunohistochemical analysis of paraffin-embedded human liver tissue with Mouse anti-Cathepsin D antibody (HA610001) at 1/5,000 dilution. The section was pre-treated using heat mediated antigen retrieval with Tris-EDTA buffer (pH 9.0) for 20 minutes. The tissues were blocked in 1% BSA for 20 minutes at room temperature, washed with ddH2O and PBS, and then probed with the primary antibody (EM1901-02) at 1/5,000 dilution for 1 hour at room temperature. The detection was performed using an HRP conjugated compact polymer system. DAB was used as the chromogen. Tissues were counterstained with hematoxylin and mounted with DPX.
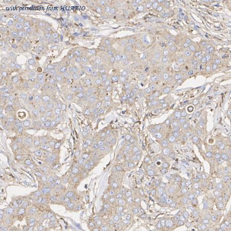
Immunohistochemical analysis of paraffin-embedded human liver cancer tissue with Mouse anti-Cathepsin D antibody (HA610001) at 1/2,000 dilution. The section was pre-treated using heat mediated antigen retrieval with Tris-EDTA buffer (pH 9.0) for 20 minutes. The tissues were blocked in 1% BSA for 20 minutes at room temperature, washed with ddH2O and PBS, and then probed with the primary antibody (EM1901-02) at 1/2,000 dilution for 1 hour at room temperature. The detection was performed using an HRP conjugated compact polymer system. DAB was used as the chromogen. Tissues were counterstained with hematoxylin and mounted with DPX.
quantity: 100μg
price: 649.00 USD
to the supplier
Cathepsin D
HUABIO
catalog: HA610002
mouse monoclonal (13F4-R)
reactivity:
human
application:
western blot
,
immunohistochemistry - paraffin section
Western blot analysis of Cathepsin D on different lysates with Mouse anti-Cathepsin D antibody (HA610002) at 1/1,000 dilution. Lane 1: MCF7 cell lysate (20 µg/Lane) Lane 2: U-937 cell lysate (20 µg/Lane) Lane 3: SK-Br-3 cell lysate (20 µg/Lane) Lane 4: HepG2 cell lysate (20 µg/Lane) Lane 5: A431 cell lysate (20 µg/Lane) Lane 6: Human liver tissue lysate (40 µg/Lane) Predicted band size: 45 kDa Observed band size: 45/28 kDa Exposure time: 25 seconds; ECL: K1801; 4-20% SDS-PAGE gel. Proteins were transferred to a PVDF membrane and blocked with 5% NFDM/TBST for 1 hour at room temperature. The primary antibody (EM1901-03) at 1/1,000 dilution was used in 5% NFDM/TBST at 4℃ overnight. Goat Anti-Mouse IgG - HRP Secondary Antibody (HA1006) at 1/50,000 dilution was used for 1 hour at room temperature.
Immunohistochemical analysis of paraffin-embedded human liver tissue with Mouse anti-Cathepsin D antibody (HA610002) at 1/5,000 dilution. The section was pre-treated using heat mediated antigen retrieval with Tris-EDTA buffer (pH 9.0) for 20 minutes. The tissues were blocked in 1% BSA for 20 minutes at room temperature, washed with ddH2O and PBS, and then probed with the primary antibody (EM1901-03) at 1/5,000 dilution for 1 hour at room temperature. The detection was performed using an HRP conjugated compact polymer system. DAB was used as the chromogen. Tissues were counterstained with hematoxylin and mounted with DPX.
Immunohistochemical analysis of paraffin-embedded human liver cancer tissue with Mouse anti-Cathepsin D antibody (HA610002) at 1/2,000 dilution. The section was pre-treated using heat mediated antigen retrieval with Tris-EDTA buffer (pH 9.0) for 20 minutes. The tissues were blocked in 1% BSA for 20 minutes at room temperature, washed with ddH2O and PBS, and then probed with the primary antibody (EM1901-03) at 1/2,000 dilution for 1 hour at room temperature. The detection was performed using an HRP conjugated compact polymer system. DAB was used as the chromogen. Tissues were counterstained with hematoxylin and mounted with DPX.
quantity: 100μg
price: 649.00 USD
to the supplier
Cathepsin D
HUABIO
catalog: HA750152
domestic rabbit monoclonal (SU0360)
reactivity:
human
,
mouse
,
rat
application:
western blot
,
immunoprecipitation
,
immunohistochemistry - paraffin section
Western blot analysis of Cathepsin D on different lysates with Rabbit anti-Cathepsin D antibody (HA750152) at 1/2,000 dilution. Lane 1: HepG2 cell lysate (15 µg/Lane) Lane 2: MCF7 cell lysate (15 µg/Lane) Lane 3: Neuro-2a cell lysate (15 µg/Lane) Lane 4: Mouse brain tissue lysate (20 µg/Lane) Predicted band size: 45/28 kDa Observed band size: 45/28 kDa Exposure time: 3 minutes; ECL: K1801; 4-20% SDS-PAGE gel. Proteins were transferred to a PVDF membrane and blocked with 5% NFDM/TBST for 1 hour at room temperature. The primary antibody (HA750152) at 1/2,000 dilution was used in 5% NFDM/TBST at 4℃ overnight. Goat Anti-Rabbit IgG - HRP Secondary Antibody (HA1001) at 1/50,000 dilution was used for 1 hour at room temperature.
Western blot analysis of Cathepsin D on different lysates with Rabbit anti-Cathepsin D antibody (HA750152) at 1/1,000 dilution. Lane 1: C6 cell lysate (20 µg/Lane) Lane 2: Mouse brain tissue lysate (20 µg/Lane) Lane 3: Rat brain tissue lysate (20 µg/Lane) Predicted band size: 45/28 kDa Observed band size: 45/28 kDa Exposure time: 6 seconds; ECL: K1801; 4-20% SDS-PAGE gel. Proteins were transferred to a PVDF membrane and blocked with 5% NFDM/TBST for 1 hour at room temperature. The primary antibody (HA750152) at 1/1,000 dilution was used in 5% NFDM/TBST at 4℃ overnight. Goat Anti-Rabbit IgG - HRP Secondary Antibody (HA1001) at 1/50,000 dilution was used for 1 hour at room temperature.
Immunohistochemical analysis of paraffin-embedded human breast cancer tissue with Rabbit anti-Cathepsin D antibody (HA750152) at 1/3,000 dilution. The section was pre-treated using heat mediated antigen retrieval with Tris-EDTA buffer (pH 9.0) for 20 minutes. The tissues were blocked in 1% BSA for 20 minutes at room temperature, washed with ddH2O and PBS, and then probed with the primary antibody (HA750152) at 1/3,000 dilution for 1 hour at room temperature. The detection was performed using an HRP conjugated compact polymer system. DAB was used as the chromogen. Tissues were counterstained with hematoxylin and mounted with DPX.
quantity: 100μl
price: 649.00 USD
to the supplier
Cathepsin D
HUABIO
catalog: R1512-9
domestic rabbit polyclonal
reactivity:
human
,
mouse
application:
western blot
,
flow cytometry
,
immunohistochemistry - paraffin section
Western blot analysis of Cathepsin D on MCF-7 cell lysate using anti-Cathepsin D antibody at 1/1,000 dilution.
ICC staining Cathepsin D in Hela cells (green). The nuclear counter stain is DAPI (blue). Cells were fixed in paraformaldehyde, permeabilised with 0.25% Triton X100/PBS.
ICC staining Cathepsin D in HepG2 cells (green). The nuclear counter stain is DAPI (blue). Cells were fixed in paraformaldehyde, permeabilised with 0.25% Triton X100/PBS.
quantity: 100μl
price: 330 USD
to the supplier
Cathepsin D
HUABIO
catalog: R1601-2
domestic rabbit polyclonal
reactivity:
human
,
mouse
,
rat
application:
western blot
,
flow cytometry
,
immunohistochemistry - paraffin section
Western blot analysis of Cathepsin D on different cell lysates using anti-Cathepsin D antibody at 1/1,000 dilution. Positive control: Lane 1: PC-12 cell lysate Lane 2: MCF-7 cell lysate Lane 3: NIH-3T3 cell lysate Lane 4: Jurkat cell lysate
Immunohistochemical analysis of paraffin-embedded human liver tissue using anti-Cathepsin D antibody. Counter stained with hematoxylin.
Immunohistochemical analysis of paraffin-embedded mouse brain tissue using anti-Cathepsin D antibody. Counter stained with hematoxylin.
quantity: 100μl
price: 330 USD
to the supplier
Cathepsin D
HUABIO
catalog: IRS099RB
domestic rabbit monoclonal
reactivity:
human
mIHC analysis of human tonsil tissue (Formalin/PFA-fixed paraffin-embedded sections) with Rabbit anti-Cathepsin D antibody (IRS099RB) at 1/100 dilution. The immunostaining was performed with the IRISKitCmTSA Kit (900808). Heat mediated antigen retrieval with Tris-EDTA buffer (pH 9.0) for 30 mins at 95℃. DAPI (blue) was used as a nuclear counter stain. Image acquisition was performed with Olympus VS200 Slide Scanner.
quantity: 50T
price: 278.00 USD
to the supplier