Sign in
Sign up
home
>
HUABIO
> HUABIO connective tissue growth factor antibody
CTGF
HUABIO
catalog: ER1802-69
domestic rabbit polyclonal
reactivity:
human
,
mouse
,
rat
application:
western blot
,
immunohistochemistry - paraffin section
Western blot analysis of CTGF on different lysates with Rabbit anti-CTGF antibody (ER1802-69) at 1/5,000 dilution. Lane 1: PANC-1 cell lysate (20 µg/Lane) Lane 2: HepG2 cell lysate (20 µg/Lane) Lane 3: HEK-293 cell lysate (negative) (20 µg/Lane) Lane 4: HFF-1 cell lysate (20 µg/Lane) Lane 5: Mouse lung tissue lysate (40 µg/Lane) Lane 6: Mouse heart tissue lysate (40 µg/Lane) Lane 7: Rat heart tissue lysate (40 µg/Lane) Predicted band size: 38 kDa Observed band size: 35 kDa Exposure time: 1 minute; ECL: K1801; 4-20% SDS-PAGE gel. Proteins were transferred to a PVDF membrane and blocked with 5% NFDM/TBST for 1 hour at room temperature. The primary antibody (ER1802-69) at 1/5,000 dilution was used in 5% NFDM/TBST at 4℃ overnight. Goat Anti-Rabbit IgG - HRP Secondary Antibody (HA1001) at 1/50,000 dilution was used for 1 hour at room temperature.
Immunocytochemistry analysis of HepG2 (positive) and MCF7 (low expression) labeling CTGF with Rabbit anti-CTGF antibody (ER1802-69) at 1/500 dilution. Cells were fixed in 4% paraformaldehyde for 15 minutes at room temperature, permeabilized with 0.1% Triton X-100 in PBS for 15 minutes at room temperature, then blocked with 1% BSA in 10% negative goat serum for 1 hour at room temperature. Cells were then incubated with Rabbit anti-CTGF antibody (ER1802-69) at 1/500 dilution in 1% BSA in PBST overnight at 4 ℃. Goat Anti-Rabbit IgG H&L (iFluor™ 488, HA1121) was used as the secondary antibody at 1/1,000 dilution. PBS instead of the primary antibody was used as the secondary antibody only control. Nuclear DNA was labelled in blue with DAPI. Beta tubulin (HA601187, red) was stained at 1/100 dilution overnight at +4℃. Goat Anti-Mouse IgG H&L (iFluor™ 594, HA1126) was used as the secondary antibody at 1/1,000 dilution.
Immunohistochemical analysis of paraffin-embedded human heart tissue with Rabbit anti-CTGF antibody (ER1802-69) at 1/200 dilution. The section was pre-treated using heat mediated antigen retrieval with Tris-EDTA buffer (pH 9.0) for 20 minutes. The tissues were blocked in 1% BSA for 20 minutes at room temperature, washed with ddH2O and PBS, and then probed with the primary antibody (ER1802-69) at 1/200 dilution for 1 hour at room temperature. The detection was performed using an HRP conjugated compact polymer system. DAB was used as the chromogen. Tissues were counterstained with hematoxylin and mounted with DPX.
quantity: 100μl
price: 330 USD
to the supplier
Human CTGF
HUABIO
catalog: HA723296
domestic rabbit monoclonal (PSH11-15)
reactivity:
human
application:
ELISA
Sandwich ELISA analysis of human CTGF matched pair antibodies Elisa assay was performed by coating wells of a 96-well plate with 50 µl per well of capture antibody (HA723296) diluted in carbonate/bicarbonate buffer, at a concentration of 2 µg/ml overnight at 4℃. Wells of the plate were washed, blocked with 150 µl 0.05% tween-20 1% BSA blocking buffer, and incubated with serial diluted Recombinant Human CTGF protein (HA211051) starting from 6,000 pg/ml to 0 pg/ml and detect antibody (HA723297, Biotin, 0.2 µg/ml) for 1 hour at 30℃ with shaking. Then the plate was washed and incubated with 50 µl per well of SA-HRP for 0.5 hour at 30℃ with shaking. Detection was performed using an Ultra TMB Substrate for 10 minutes at room temperature in the dark. The reaction was stopped with sulfuric acid and absorbances were read on a spectrophotometer at 450 nm.
Interpolated concentrations of native CTGF in HeLa and MCF7 cell culture supernatant. The concentrations of CTGF were measured in duplicates, interpolated from the CTGF standard curve and corrected for sample dilution. Undiluted samples are HeLa cell culture supernatant 100% and MCF7 cell culture supernatant 100%. The interpolated dilution factor corrected values are plotted (mean +/- SD, n=2). The mean CTGF concentration was determined to be 9.9 ng/ml in HeLa cell culture supernatant and undetectable in MCF7 cell culture supernatant.
Interpolated concentrations of spiked CTGF in human cell culture media samples. The concentrations of CTGF were measured in duplicates, interpolated from the CTGF standard curves and corrected for sample dilution. Undiluted samples are as follows: cell culture media 50%. The interpolated dilution factor corrected values are plotted (mean +/- SD, n=2).
quantity: 100μl
price: 649.00 USD
to the supplier
Human CTGF
HUABIO
catalog: HA723297
domestic rabbit monoclonal (PSH11-16)
reactivity:
human
application:
ELISA
Sandwich ELISA analysis of human CTGF matched pair antibodies Elisa assay was performed by coating wells of a 96-well plate with 50 µl per well of capture antibody (HA723296) diluted in carbonate/bicarbonate buffer, at a concentration of 2 µg/ml overnight at 4℃. Wells of the plate were washed, blocked with 150 µl 0.05% tween-20 1% BSA blocking buffer, and incubated with serial diluted Recombinant Human CTGF protein (HA211051) starting from 6,000 pg/ml to 0 pg/ml and detect antibody (HA723297, Biotin, 0.2 µg/ml) for 1 hour at 30℃ with shaking. Then the plate was washed and incubated with 50 µl per well of SA-HRP for 0.5 hour at 30℃ with shaking. Detection was performed using an Ultra TMB Substrate for 10 minutes at room temperature in the dark. The reaction was stopped with sulfuric acid and absorbances were read on a spectrophotometer at 450 nm.
Interpolated concentrations of native CTGF in HeLa and MCF7 cell culture supernatant. The concentrations of CTGF were measured in duplicates, interpolated from the CTGF standard curve and corrected for sample dilution. Undiluted samples are HeLa cell culture supernatant 100% and MCF7 cell culture supernatant 100%. The interpolated dilution factor corrected values are plotted (mean +/- SD, n=2). The mean CTGF concentration was determined to be 9.9 ng/ml in HeLa cell culture supernatant and undetectable in MCF7 cell culture supernatant.
Interpolated concentrations of spiked CTGF in human cell culture media samples. The concentrations of CTGF were measured in duplicates, interpolated from the CTGF standard curves and corrected for sample dilution. Undiluted samples are as follows: cell culture media 50%. The interpolated dilution factor corrected values are plotted (mean +/- SD, n=2).
quantity: 100μl
price: 649.00 USD
to the supplier
Human CTGF
HUABIO
catalog: HA723298B
domestic rabbit monoclonal (PSH11-16)
reactivity:
human
conjugate: biotin
application:
ELISA
Sandwich ELISA analysis of human CTGF matched pair antibodies Elisa assay was performed by coating wells of a 96-well plate with 50 µl per well of capture antibody (HA723296) diluted in carbonate/bicarbonate buffer, at a concentration of 2 µg/ml overnight at 4℃. Wells of the plate were washed, blocked with 150 µl 0.05% tween-20 1% BSA blocking buffer, and incubated with serial diluted Recombinant Human CTGF protein (HA211051) starting from 6,000 pg/ml to 0 pg/ml and detect antibody (HA723298B, 0.2 µg/ml) for 1 hour at 30℃ with shaking. Then the plate was washed and incubated with 50 µl per well of SA-HRP for 0.5 hour at 30℃ with shaking. Detection was performed using an Ultra TMB Substrate for 10 minutes at room temperature in the dark. The reaction was stopped with sulfuric acid and absorbances were read on a spectrophotometer at 450 nm.
Interpolated concentrations of native CTGF in HeLa and MCF7 cell culture supernatant. The concentrations of CTGF were measured in duplicates, interpolated from the CTGF standard curve and corrected for sample dilution. Undiluted samples are HeLa cell culture supernatant 100% and MCF7 cell culture supernatant 100%. The interpolated dilution factor corrected values are plotted (mean +/- SD, n=2). The mean CTGF concentration was determined to be 9.9 ng/ml in HeLa cell culture supernatant and undetectable in MCF7 cell culture supernatant.
Interpolated concentrations of spiked CTGF in human cell culture media samples. The concentrations of CTGF were measured in duplicates, interpolated from the CTGF standard curves and corrected for sample dilution. Undiluted samples are as follows: cell culture media 50%. The interpolated dilution factor corrected values are plotted (mean +/- SD, n=2).
quantity: 100μl
price: 409.00 USD
to the supplier
Human CTGF
HUABIO
catalog: HA723375H
domestic rabbit monoclonal (PSH11-16)
reactivity:
human
conjugate: HRP
application:
ELISA
Sandwich ELISA analysis of human CTGF matched pair antibodies Elisa assay was performed by coating wells of a 96-well plate with 50 µl per well of capture antibody (HA723296) diluted in carbonate/bicarbonate buffer, at a concentration of 2 µg/ml overnight at 4℃. Wells of the plate were washed, blocked with 150 µl 0.05% tween-20 1% BSA blocking buffer, and incubated with serial diluted Recombinant Human CTGF protein (HA211051) starting from 333.33 ng/ml to 0 pg/ml and detect antibody (HA723375H, HRP, 0.05 µg/ml) for 1 hour at 30℃ with shaking. Detection was performed using an Ultra TMB Substrate for 10 minutes at room temperature in the dark. The reaction was stopped with sulfuric acid and absorbances were read on a spectrophotometer at 450 nm.
quantity: 100μl
price: 409.00 USD
to the supplier
CTGF
HUABIO
catalog: HA723771
domestic rabbit monoclonal (PSH15-64)
reactivity:
human
,
mouse
,
rat
application:
western blot
,
immunohistochemistry - paraffin section
Western blot analysis of CTGF on different lysates with Rabbit anti-CTGF antibody (HA723771) at 1/5,000 dilution. Lane 1: PANC-1 cell lysate (20 µg/Lane) Lane 2: HepG2 cell lysate (20 µg/Lane) Lane 3: HEK-293 cell lysate (negative) (20 µg/Lane) Lane 4: HFF-1 cell lysate (20 µg/Lane) Lane 5: Mouse heart tissue lysate (40 µg/Lane) Lane 6: Rat heart tissue lysate (40 µg/Lane) Predicted band size: 38 kDa Observed band size: 35 kDa Exposure time: 25 seconds; ECL: K1801; 4-20% SDS-PAGE gel. Proteins were transferred to a PVDF membrane and blocked with 5% NFDM/TBST for 1 hour at room temperature. The primary antibody (HA723771) at 1/5,000 dilution was used in 5% NFDM/TBST at 4℃ overnight. Goat Anti-Rabbit IgG - HRP Secondary Antibody (HA1001) at 1/50,000 dilution was used for 1 hour at room temperature.
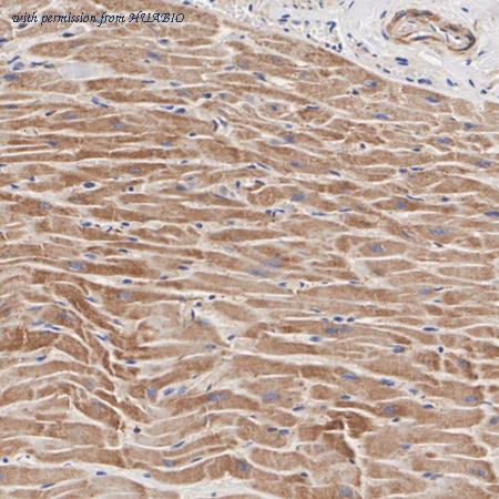
Immunohistochemical analysis of paraffin-embedded human heart tissue with Rabbit anti-CTGF antibody (HA723771) at 1/200 dilution. The section was pre-treated using heat mediated antigen retrieval with Tris-EDTA buffer (pH 9.0) for 20 minutes. The tissues were blocked in 1% BSA for 20 minutes at room temperature, washed with ddH2O and PBS, and then probed with the primary antibody (HA723771) at 1/200 dilution for 1 hour at room temperature. The detection was performed using an HRP conjugated compact polymer system. DAB was used as the chromogen. Tissues were counterstained with hematoxylin and mounted with DPX.
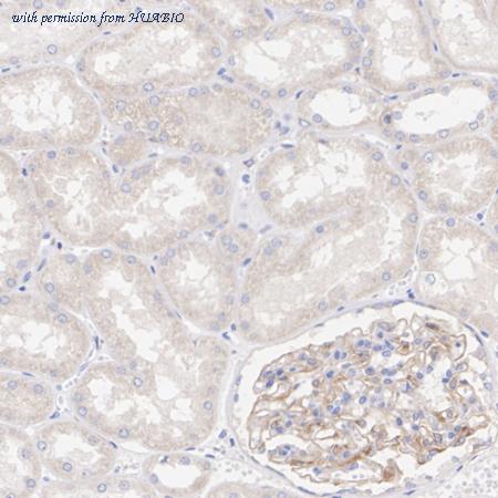
Immunohistochemical analysis of paraffin-embedded human kidney tissue with Rabbit anti-CTGF antibody (HA723771) at 1/1,000 dilution. The section was pre-treated using heat mediated antigen retrieval with Tris-EDTA buffer (pH 9.0) for 20 minutes. The tissues were blocked in 1% BSA for 20 minutes at room temperature, washed with ddH2O and PBS, and then probed with the primary antibody (HA723771) at 1/1,000 dilution for 1 hour at room temperature. The detection was performed using an HRP conjugated compact polymer system. DAB was used as the chromogen. Tissues were counterstained with hematoxylin and mounted with DPX.
quantity: 100μl
price: 385.00 USD
to the supplier
CTGF
HUABIO
catalog: HA751575
domestic rabbit monoclonal (PSH15-64)
reactivity:
human
,
mouse
,
rat
application:
western blot
,
immunohistochemistry - paraffin section
Western blot analysis of CTGF on different lysates with Rabbit anti-CTGF antibody (HA751575) at 1/5,000 dilution. Lane 1: PANC-1 cell lysate (20 µg/Lane) Lane 2: HepG2 cell lysate (20 µg/Lane) Lane 3: HEK-293 cell lysate (negative) (20 µg/Lane) Lane 4: HFF-1 cell lysate (20 µg/Lane) Lane 5: Mouse heart tissue lysate (40 µg/Lane) Lane 6: Rat heart tissue lysate (40 µg/Lane) Predicted band size: 38 kDa Observed band size: 35 kDa Exposure time: 25 seconds; ECL: K1801; 4-20% SDS-PAGE gel. Proteins were transferred to a PVDF membrane and blocked with 5% NFDM/TBST for 1 hour at room temperature. The primary antibody (HA751575) at 1/5,000 dilution was used in 5% NFDM/TBST at 4℃ overnight. Goat Anti-Rabbit IgG - HRP Secondary Antibody (HA1001) at 1/50,000 dilution was used for 1 hour at room temperature.
Immunohistochemical analysis of paraffin-embedded human heart tissue with Rabbit anti-CTGF antibody (HA751575) at 1/200 dilution. The section was pre-treated using heat mediated antigen retrieval with Tris-EDTA buffer (pH 9.0) for 20 minutes. The tissues were blocked in 1% BSA for 20 minutes at room temperature, washed with ddH2O and PBS, and then probed with the primary antibody (HA751575) at 1/200 dilution for 1 hour at room temperature. The detection was performed using an HRP conjugated compact polymer system. DAB was used as the chromogen. Tissues were counterstained with hematoxylin and mounted with DPX.
Immunohistochemical analysis of paraffin-embedded human kidney tissue with Rabbit anti-CTGF antibody (HA751575) at 1/1,000 dilution. The section was pre-treated using heat mediated antigen retrieval with Tris-EDTA buffer (pH 9.0) for 20 minutes. The tissues were blocked in 1% BSA for 20 minutes at room temperature, washed with ddH2O and PBS, and then probed with the primary antibody (HA751575) at 1/1,000 dilution for 1 hour at room temperature. The detection was performed using an HRP conjugated compact polymer system. DAB was used as the chromogen. Tissues were counterstained with hematoxylin and mounted with DPX.
quantity: 100μl
price: 385.00 USD
to the supplier