Sign in
Sign up
home
>
HUABIO
> HUABIO Gapdh antibody
GAPDH
HUABIO
catalog: EM1101
mouse monoclonal (5-E10)
reactivity:
human
,
mouse
,
rat
,
zebrafish
application:
western blot
,
immunohistochemistry - paraffin section
Western blot analysis of GAPDH on different lysates with Mouse anti-GAPDH antibody (EM1101) at 1/10,000 dilution. Lane 1: MDA-MB-231 cell lysate (20 µg/Lane) Lane 2: HeLa cell lysate (20 µg/Lane) Lane 3: MCF7 cell lysate (20 µg/Lane) Lane 4: SK-Br-3 cell lysate (20 µg/Lane) Lane 5: JAR cell lysate (20 µg/Lane) Lane 6: NIH/3T3 cell lysate (20 µg/Lane) Lane 7: C2C12 cell lysate (20 µg/Lane) Lane 8: PC-12 cell lysate (20 µg/Lane) Lane 9: Mouse kidney tissue lysate (40 µg/Lane) Lane 10: Rat liver tissue lysate (40 µg/Lane) Predicted band size: 36 kDa Observed band size: 36 kDa Exposure time: 1 minute 30 seconds; 4-20% SDS-PAGE gel. Proteins were transferred to a PVDF membrane and blocked with 5% NFDM/TBST for 1 hour at room temperature. The primary antibody (EM1101) at 1/10,000 dilution was used in 5% NFDM/TBST at room temperature for 2 hours. Goat Anti-Mouse IgG - HRP Secondary Antibody (HA1006) at 1/50,000 dilution was used for 1 hour at room temperature.
Immunocytochemistry analysis of HeLa cells labeling GAPDH with Mouse anti-GAPDH antibody (EM1101) at 1/100 dilution. Cells were fixed in 4% paraformaldehyde for 20 minutes at room temperature, permeabilized with 0.1% Triton X-100 in PBS for 5 minutes at room temperature, then blocked with 1% BSA in 10% negative goat serum for 1 hour at room temperature. Cells were then incubated with Mouse anti-GAPDH antibody (EM1101) at 1/100 dilution in 1% BSA in PBST overnight at 4 ℃. Goat Anti-Mouse IgG H&L (iFluor™ 488, HA1125) was used as the secondary antibody at 1/1,000 dilution. PBS instead of the primary antibody was used as the secondary antibody only control. Nuclear DNA was labelled in blue with DAPI. beta Tubulin (ET1602-4, red) was stained at 1/100 dilution overnight at +4℃. Goat Anti-Rabbit IgG H&L (iFluor™ 594, HA1122) were used as the secondary antibody at 1/1,000 dilution.
Immunocytochemistry analysis of F9 cells labeling GAPDH with Mouse anti-GAPDH antibody (EM1101) at 1/100 dilution. Cells were fixed in 4% paraformaldehyde for 20 minutes at room temperature, permeabilized with 0.1% Triton X-100 in PBS for 5 minutes at room temperature, then blocked with 1% BSA in 10% negative goat serum for 1 hour at room temperature. Cells were then incubated with Mouse anti-GAPDH antibody (EM1101) at 1/100 dilution in 1% BSA in PBST overnight at 4 ℃. Goat Anti-Mouse IgG H&L (iFluor™ 488, HA1125) was used as the secondary antibody at 1/1,000 dilution. PBS instead of the primary antibody was used as the secondary antibody only control. Nuclear DNA was labelled in blue with DAPI. beta Tubulin (ET1602-4, red) was stained at 1/100 dilution overnight at +4℃. Goat Anti-Rabbit IgG H&L (iFluor™ 594, HA1122) were used as the secondary antibody at 1/1,000 dilution.
quantity: 100μl
price: 360.00 USD
to the supplier
GAPDH
HUABIO
catalog: EM1901-57
mouse monoclonal (12D7)
reactivity:
human
,
mouse
,
rat
,
zebrafish
application:
western blot
,
flow cytometry
,
immunohistochemistry - paraffin section
Western blot analysis of GAPDH on different lysates. Proteins were transferred to a PVDF membrane and blocked with 5% BSA in PBS for 1 hour at room temperature. The primary antibody (EM1901-57, 1/2,000) was used in 5% BSA at room temperature for 2 hours. Goat Anti-Mouse IgG - HRP Secondary Antibody (HA1006) at 1:5,000 dilution was used for 1 hour at room temperature. Positive control: Lane 1: HepG2 cell lysate Lane 2: PC-12 cell lysate Lane 3: F9 cell lysate Lane 4: A549 cell lysate
Immunohistochemical analysis of paraffin-embedded human tonsil tissue using anti-GAPDH antibody. The section was pre-treated using heat mediated antigen retrieval with sodium citrate buffer (pH 6.0) (high pressure) for 2 minutes. The tissues were blocked in 5% BSA for 30 minutes at room temperature, washed with ddH2O and PBS, and then probed with the primary antibody (EM1901-57, 1/50) for 30 minutes at room temperature. The detection was performed using an HRP conjugated compact polymer system. DAB was used as the chromogen. Tissues were counterstained with hematoxylin and mounted with DPX.
Immunohistochemical analysis of paraffin-embedded human colon carcinoma tissue using anti-GAPDH antibody. The section was pre-treated using heat mediated antigen retrieval with sodium citrate buffer (pH 6.0) (high pressure) for 2 minutes. The tissues were blocked in 5% BSA for 30 minutes at room temperature, washed with ddH2O and PBS, and then probed with the primary antibody (EM1901-57, 1/50) for 30 minutes at room temperature. The detection was performed using an HRP conjugated compact polymer system. DAB was used as the chromogen. Tissues were counterstained with hematoxylin and mounted with DPX.
quantity: 100μl
price: 360.00 USD
to the supplier
GAPDH
HUABIO
catalog: ER1706-83
domestic rabbit polyclonal
reactivity:
human
,
mouse
,
rat
application:
western blot
,
flow cytometry
,
immunohistochemistry - paraffin section
Western blot analysis of GAPDH on different lysates using anti-GAPDH antibody at 1/2,000 dilution. Positive control: Lane 1: PC-12 Lane 2: L929 Lane 3: NIH/3T3 Lane 4: F9 Lane 5: Mouse liver tissue
ICC staining GAPDH in LOVO cells (green). The nuclear counter stain is DAPI (blue). Cells were fixed in paraformaldehyde, permeabilised with 0.25% Triton X100/PBS.
Immunohistochemical analysis of paraffin-embedded human kidney tissue with Rabbit anti-GAPDH antibody (ER1706-83) at 1/200 dilution. The section was pre-treated using heat mediated antigen retrieval with Tris-EDTA buffer (pH 9.0) for 20 minutes. The tissues were blocked in 1% BSA for 20 minutes at room temperature, washed with ddH2O and PBS, and then probed with the primary antibody (ER1706-83) at 1/200 dilution for 1 hour at room temperature. The detection was performed using an HRP conjugated compact polymer system. DAB was used as the chromogen. Tissues were counterstained with hematoxylin and mounted with DPX.
quantity: 100μl
price: 330 USD
to the supplier
GAPDH
HUABIO
catalog: ER1901-65
domestic rabbit polyclonal
reactivity:
human
,
mouse
,
rat
application:
western blot
,
flow cytometry
,
immunohistochemistry - paraffin section
Western blot analysis of GAPDH on PC-12 cell lysate. Proteins were transferred to a PVDF membrane and blocked with 5% BSA in PBS for 1 hour at room temperature. The primary antibody was used at a 1:2,000 dilution in 5% BSA at room temperature for 2 hours. Goat Anti-Rabbit IgG - HRP Secondary Antibody (HA1001) at 1:5,000 dilution was used for 1 hour at room temperature.
Western blot analysis of GAPDH on different lysates. Proteins were transferred to a PVDF membrane and blocked with 5% BSA in PBS for 1 hour at room temperature. The primary antibody (ER1901-65, 1/500) was used in 5% BSA at room temperature for 2 hours. Goat Anti-Rabbit IgG - HRP Secondary Antibody (HA1001) at 1:5,000 dilution was used for 1 hour at room temperature. Positive control: Lane 1: PC-12 cell lysate Lane 2: Hela cell lysate Lane 3: Mouse ovary tissue lysate Lane 4: Human placenta tissue lysate Lane 5: Rat brain tissue lysate Lane 6: NCCIT cell lysate
ICC staining of GAPDH in A549 cells (green). Formalin fixed cells were permeabilized with 0.1% Triton X-100 in TBS for 10 minutes at room temperature and blocked with 1% Blocker BSA for 15 minutes at room temperature. Cells were probed with the antibody (ER1901-65) at a dilution of 1:50 for 1 hour at room temperature, washed with PBS. Alexa Fluor®488 Goat anti-Rabbit IgG was used as the secondary antibody at 1/100 dilution. The nuclear counter stain is DAPI (blue).
quantity: 100μl
price: 330 USD
to the supplier
GAPDH
HUABIO
catalog: ET1601-4-50UL
domestic rabbit monoclonal (SA30-01)
reactivity:
human
,
mouse
,
rat
,
chicken
,
zebrafish
,
fruit fly
application:
western blot
,
immunoprecipitation
,
flow cytometry
,
immunohistochemistry - paraffin section
Western blot analysis of GAPDH on Hela cell lysates with Rabbit anti-GAPDH antibody (ET1601-4). Hela cell lysates at 10 µg/Lane. Predicted band size: 36 kDa Observed band size: 36 kDa 12% SDS-PAGE gel. Proteins were transferred to a PVDF membrane and blocked with 5% NFDM/TBST for 1 hour at room temperature. The primary antibody (ET1601-4) at serial dilution was used in 5% NFDM/TBST at room temperature for 2 hours. Goat Anti-Rabbit IgG - HRP Secondary Antibody (HA1001) at 1:300,000 dilution was used for 1 hour at room temperature.
Western blot analysis of GAPDH on different lysates. Proteins were transferred to a PVDF membrane and blocked with 5% NFDM/TBST for 1 hour at room temperature. The primary antibody (ET1601-4, 1/100,000) was used in 5% NFDM/TBST at room temperature for 1 hour. Goat Anti-Rabbit IgG - HRP Secondary Antibody (HA1001) at 1/200,000 dilution was used for 45 mins at room temperature. Positive control: Lane 1: Rat liver tissue lysate, 20 µg/Lane Lane 2: Rat lung tissue lysate, 20 µg/Lane Lane 3: Rat lung tissue lysate, 20 µg/Lane Lane 4: Rat heart tissue lysate, 20 µg/Lane Lane 5: Rat cerebellum tissue lysate, 20 µg/Lane Lane 6: Rat skeletal muscle tissue lysate, 20 µg/Lane Lane 7: Rat spleen tissue lysate, 20 µg/Lane Lane 8: Rat small intestine tissue lysate, 20 µg/Lane
Western blot analysis of GAPDH on different lysates with Rabbit anti-GAPDH antibody (ET1601-4) at 1/80,000 dilution. Cell lysates at 10 µg/Lane. Predicted band size: 36 kDa Observed band size: 36 kDa Exposure time: 1 minute; 12% SDS-PAGE gel. Proteins were transferred to a PVDF membrane and blocked with 5% NFDM/TBST for 1 hour at room temperature. The primary antibody (ET1601-4) at 1/80,000 dilution was used in 5% NFDM/TBST at room temperature for 2 hours. Goat Anti-Rabbit IgG - HRP Secondary Antibody (HA1001) at 1:300,000 dilution was used for 1 hour at room temperature.
quantity: 50μl
price: 205.00 USD
to the supplier
GAPDH
HUABIO
catalog: ET1702-66
domestic rabbit monoclonal (JF81-04)
reactivity:
human
,
mouse
,
rat
,
chicken
conjugate: HRP
application:
western blot
Western blot analysis of GAPDH on different lysates with Rabbit anti-GAPDH antibody (ET1702-66) at 1/50,000 dilution. Lane 1: HeLa cell lysate Lane 2: L-929 cell lysate Lane 3: RAW264.7 cell lysate Lane 4: C6 cell lysate Lane 5: COS-1 cell lysate Lane 6: Rat heart tissue lysate Predicted band size: 36 kDa Observed band size: 36 kDa Exposure time: 24 seconds; 4-20% SDS-PAGE gel. Proteins were transferred to a PVDF membrane and blocked with 5% NFDM/TBST for 1 hour at room temperature. The primary antibody (ET1702-66) at 1/50,000 dilution was used in 5% NFDM/TBST at 4℃ overnight.
quantity: 100μl
price: 409.00 USD
to the supplier
GAPDH
HUABIO
catalog: HA721131
domestic rabbit monoclonal (SA30-01)
reactivity:
human
,
mouse
,
rat
conjugate: HRP
application:
western blot
,
immunohistochemistry
Western blot analysis of GAPDH on HepG2 cell lysates with Rabbit anti-GAPDH antibody (HA721131) at different dilutions. Lysates/proteins at 10 µg/Lane. Predicted band size: 36 kDa Observed band size: 36 kDa Exposure time: 30 seconds; 10% SDS-PAGE gel. Proteins were transferred to a PVDF membrane and blocked with 5% NFDM/TBST for 1 hour at room temperature. The primary antibody (HA721131) at different dilutions were used in 5% NFDM/TBST at room temperature for 2 hours.
Western blot analysis of GAPDH on PC-12 cell lysates with Rabbit anti-GAPDH antibody (HA721131) at different dilutions. Lysates/proteins at 10 µg/Lane. Predicted band size: 36 kDa Observed band size: 36 kDa Exposure time: 30 seconds; 10% SDS-PAGE gel. Proteins were transferred to a PVDF membrane and blocked with 5% NFDM/TBST for 1 hour at room temperature. The primary antibody (HA721131) at different dilutions were used in 5% NFDM/TBST at room temperature for 2 hours.
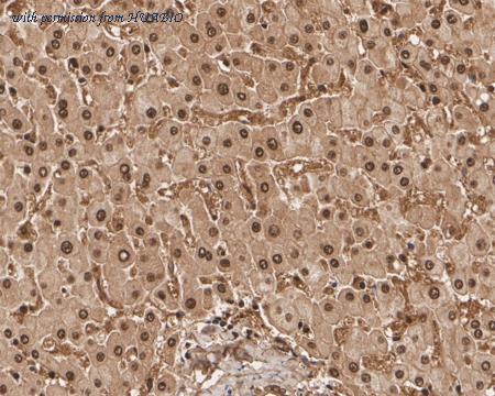
Immunohistochemical analysis of paraffin-embedded human liver tissue with Rabbit anti-GAPDH antibody (HA721131) at 1/50 dilution. The section was pre-treated using heat mediated antigen retrieval with sodium citrate buffer (pH 6.0) (high pressure) for 2 minutes. The tissues were blocked in 1% BSA for 20 minutes at room temperature, washed with ddH2O and PBS, and then probed with the primary antibody (HA721131) at 1/50 dilution for 1 hour at room temperature. The detection was performed using an HRP conjugated compact polymer system. DAB was used as the chromogen. Tissues were counterstained with hematoxylin and mounted with DPX.
quantity: 100μl
price: 409.00 USD
to the supplier
GAPDH
HUABIO
catalog: HA721136
domestic rabbit monoclonal (PD00-07)
reactivity:
human
,
mouse
,
rat
,
zebrafish
,
fruit fly
application:
western blot
,
flow cytometry
,
immunohistochemistry - paraffin section
Western blot analysis of GAPDH on different lysates with Rabbit anti-GAPDH antibody (HA721136) at 1/20,000 dilution. Lane 1: HEK-293 cell lysate (20 µg/Lane) Lane 2: HeLa cell lysate (20 µg/Lane) Lane 3: A431 cell lysate (20 µg/Lane) Lane 4: K-562 cell lysate (20 µg/Lane) Lane 5: RAW264.7 cell lysate (20 µg/Lane) Lane 6: PC-12 cell lysate (20 µg/Lane) Lane 7: Mouse heart tissue lysate (40 µg/Lane) Lane 8: Rat heart tissue lysate (40 µg/Lane) Lane 9: Human liver tissue lysate (40 µg/Lane) Lane 10: Mouse liver tissue lysate (40 µg/Lane) Lane 11: Rat liver tissue lysate (40 µg/Lane) Lane 12: Human kidney tissue lysate (40 µg/Lane) Lane 13: Mouse kidney tissue lysate (40 µg/Lane) Lane 14: Rat kidney tissue lysate (40 µg/Lane) Predicted band size: 36 kDa Observed band size: 36 kDa Exposure time: 1 minute 2 seconds; 4-20% SDS-PAGE gel. Proteins were transferred to a PVDF membrane and blocked with 5% NFDM/TBST for 1 hour at room temperature. The primary antibody (HA721136) at 1/20,000 dilution was used in 5% NFDM/TBST at room temperature for 2 hours. Goat Anti-Rabbit IgG - HRP Secondary Antibody (HA1001) at 1/50,000 dilution was used for 1 hour at room temperature.
Western blot analysis of GAPDH on different lysates with Rabbit anti-GAPDH antibody (HA721136) at 1/20,000 dilution. Lane 1: E.coli cell lysate (10 µg/Lane) Lane 2: E.coli cell lysate (no heat) (10 µg/Lane) Notice: no heat means the lysate is not boiled. Predicted band size: 36 kDa Observed band size: 36 kDa Exposure time: 30 seconds; 4-20% SDS-PAGE gel. Proteins were transferred to a PVDF membrane and blocked with 5% NFDM/TBST for 1 hour at room temperature. The primary antibody (HA721136) at 1/20,000 dilution was used in 5% NFDM/TBST at 4℃ overnight. Goat Anti-Rabbit IgG - HRP Secondary Antibody (HA1001) at 1/50,000 dilution was used for 1 hour at room temperature.
Western blot analysis of GAPDH on HepG2 cell lysates with Rabbit anti-GAPDH antibody (HA721136) at different dilutions. Lysates/proteins at 10 µg/Lane. Predicted band size: 36 kDa Observed band size: 36 kDa Exposure time: 30 seconds; 12% SDS-PAGE gel. Proteins were transferred to a PVDF membrane and blocked with 5% NFDM/TBST for 1 hour at room temperature. The primary antibody (HA721136) at different dilutions were used in 5% NFDM/TBST at room temperature for 2 hours. Goat Anti-Rabbit IgG - HRP Secondary Antibody (HA1001) at 1:300,000 dilution was used for 1 hour at room temperature.
quantity: 100μl
price: 385.00 USD
to the supplier
GAPDH
HUABIO
catalog: HA750022
domestic rabbit monoclonal (SA30-01)
reactivity:
human
,
mouse
,
rat
,
chicken
,
zebrafish
,
fruit fly
application:
western blot
,
immunoprecipitation
,
flow cytometry
,
immunohistochemistry - paraffin section
Western blot analysis of GAPDH on Hela cell lysates with Rabbit anti-GAPDH antibody (HA750022). Hela cell lysates at 10 µg/Lane. Predicted band size: 36 kDa Observed band size: 36 kDa 12% SDS-PAGE gel. Proteins were transferred to a PVDF membrane and blocked with 5% NFDM/TBST for 1 hour at room temperature. The primary antibody (HA750022) at serial dilution was used in 5% NFDM/TBST at room temperature for 2 hours. Goat Anti-Rabbit IgG - HRP Secondary Antibody (HA1001) at 1:300,000 dilution was used for 1 hour at room temperature.
Western blot analysis of GAPDH on different lysates. Proteins were transferred to a PVDF membrane and blocked with 5% NFDM/TBST for 1 hour at room temperature. The primary antibody (HA750022, 1/100,000) was used in 5% NFDM/TBST at room temperature for 1 hour. Goat Anti-Rabbit IgG - HRP Secondary Antibody (HA1001) at 1/200,000 dilution was used for 45 mins at room temperature. Positive control: Lane 1: Rat liver tissue lysate, 20 µg/Lane Lane 2: Rat lung tissue lysate, 20 µg/Lane Lane 3: Rat lung tissue lysate, 20 µg/Lane Lane 4: Rat heart tissue lysate, 20 µg/Lane Lane 5: Rat cerebellum tissue lysate, 20 µg/Lane Lane 6: Rat skeletal muscle tissue lysate, 20 µg/Lane Lane 7: Rat spleen tissue lysate, 20 µg/Lane Lane 8: Rat small intestine tissue lysate, 20 µg/Lane
Western blot analysis of GAPDH on different lysates with Rabbit anti-GAPDH antibody (HA750022) at 1/80,000 dilution. Cell lysates at 10 µg/Lane. Predicted band size: 36 kDa Observed band size: 36 kDa Exposure time: 1 minute; 12% SDS-PAGE gel. Proteins were transferred to a PVDF membrane and blocked with 5% NFDM/TBST for 1 hour at room temperature. The primary antibody (HA750022) at 1/80,000 dilution was used in 5% NFDM/TBST at room temperature for 2 hours. Goat Anti-Rabbit IgG - HRP Secondary Antibody (HA1001) at 1:300,000 dilution was used for 1 hour at room temperature.
quantity: 100μl
price: 649.00 USD
to the supplier
GAPDH
HUABIO
catalog: HA750478
domestic rabbit monoclonal (PD00-07)
reactivity:
human
,
mouse
,
rat
,
zebrafish
,
fruit fly
application:
western blot
,
flow cytometry
,
immunohistochemistry - paraffin section
Western blot analysis of GAPDH on different lysates with Rabbit anti-GAPDH antibody (HA750478) at 1/20,000 dilution. Lane 1: HEK-293 cell lysate (20 µg/Lane) Lane 2: HeLa cell lysate (20 µg/Lane) Lane 3: A431 cell lysate (20 µg/Lane) Lane 4: K-562 cell lysate (20 µg/Lane) Lane 5: RAW264.7 cell lysate (20 µg/Lane) Lane 6: PC-12 cell lysate (20 µg/Lane) Lane 7: Mouse heart tissue lysate (40 µg/Lane) Lane 8: Rat heart tissue lysate (40 µg/Lane) Lane 9: Human liver tissue lysate (40 µg/Lane) Lane 10: Mouse liver tissue lysate (40 µg/Lane) Lane 11: Rat liver tissue lysate (40 µg/Lane) Lane 12: Human kidney tissue lysate (40 µg/Lane) Lane 13: Mouse kidney tissue lysate (40 µg/Lane) Lane 14: Rat kidney tissue lysate (40 µg/Lane) Predicted band size: 36 kDa Observed band size: 36 kDa Exposure time: 1 minute 2 seconds; 4-20% SDS-PAGE gel. Proteins were transferred to a PVDF membrane and blocked with 5% NFDM/TBST for 1 hour at room temperature. The primary antibody (HA750478) at 1/20,000 dilution was used in 5% NFDM/TBST at room temperature for 2 hours. Goat Anti-Rabbit IgG - HRP Secondary Antibody (HA1001) at 1/50,000 dilution was used for 1 hour at room temperature.
Western blot analysis of GAPDH on different lysates with Rabbit anti-GAPDH antibody (HA750478) at 1/20,000 dilution. Lane 1: E.coli cell lysate (10 µg/Lane) Lane 2: E.coli cell lysate (no heat) (10 µg/Lane) Notice: no heat means the lysate is not boiled. Predicted band size: 36 kDa Observed band size: 36 kDa Exposure time: 30 seconds; 4-20% SDS-PAGE gel. Proteins were transferred to a PVDF membrane and blocked with 5% NFDM/TBST for 1 hour at room temperature. The primary antibody (HA750478) at 1/20,000 dilution was used in 5% NFDM/TBST at 4℃ overnight. Goat Anti-Rabbit IgG - HRP Secondary Antibody (HA1001) at 1/50,000 dilution was used for 1 hour at room temperature.
Western blot analysis of GAPDH on HepG2 cell lysates with Rabbit anti-GAPDH antibody (HA750478) at different dilutions. Lysates/proteins at 10 µg/Lane. Predicted band size: 36 kDa Observed band size: 36 kDa Exposure time: 30 seconds; 12% SDS-PAGE gel. Proteins were transferred to a PVDF membrane and blocked with 5% NFDM/TBST for 1 hour at room temperature. The primary antibody (HA750478) at different dilutions were used in 5% NFDM/TBST at room temperature for 2 hours. Goat Anti-Rabbit IgG - HRP Secondary Antibody (HA1001) at 1:300,000 dilution was used for 1 hour at room temperature.
quantity: 100μl
price: 649.00 USD
to the supplier
GAPDH
HUABIO
catalog: M1310-2
mouse monoclonal (12D6)
reactivity:
human
,
mouse
,
rat
,
zebrafish
application:
western blot
,
immunohistochemistry - paraffin section
Western blot analysis of GAPDH on different cells lysates. Proteins were transferred to a PVDF membrane and blocked with 5% BSA in PBS for 1 hour at room temperature. The primary antibody (M1310-2, 1/1000) was used in 5% BSA at room temperature for 2 hours. Goat Anti-Mouse IgG - HRP Secondary Antibody (HA1006) at 1:5,000 dilution was used for 1 hour at room temperature. Positive control: Lane 1: Hela cell lysate Lane 2: A549 cell lysate Lane 3: HepG2 cell lysate Lane 4: PC-12 cell lysate Lane 5: F9 cell lysate
Western blot analysis of GAPDH on zebrafish tissue lysates. Proteins were transferred to a PVDF membrane and blocked with 5% BSA in PBS for 1 hour at room temperature. The primary antibody (M1310-2, 1/500) was used in 5% BSA at room temperature for 2 hours. Goat Anti-Mouse IgG - HRP Secondary Antibody (HA1006) at 1:5,000 dilution was used for 1 hour at room temperature.
Western blot analysis of GAPDH on different lysates with Mouse anti-GAPDH antibody (M1310-2) at 1/500 dilution. Lane 1: Escherichia coli lysate Lane 2: Escherichia coli lysate Lysates/proteins at 10 µg/Lane. Predicted band size: 36 kDa Observed band size: 36 kDa Exposure time: 1 minute; 4-20% SDS-PAGE gel. Proteins were transferred to a PVDF membrane and blocked with 5% NFDM/TBST for 1 hour at room temperature. The primary antibody (M1310-2) at 1/500 dilution was used in 5% NFDM/TBST at room temperature for 2 hours. Goat Anti-Mouse IgG - HRP Secondary Antibody (HA1006) at 1:150,000 dilution was used for 1 hour at room temperature.
quantity: 100μl
price: 360.00 USD
to the supplier
GAPDH
HUABIO
catalog: R1210-1
domestic rabbit polyclonal
reactivity:
human
,
mouse
,
rat
application:
western blot
,
flow cytometry
,
immunohistochemistry - paraffin section
Western blot analysis of GAPDH on different lysates with Rabbit anti-GAPDH antibody (R1210-1) at 1/20,000 dilution. Lane 1: HeLa cell lysate Lane 2: A431 cell lysate Lane 3: HEK-293 cell lysate Lane 4: Jurkat cell lysate Lane 5: NIH/3T3 cell lysate Lane 6: RAW264.7 cell lysate Lane 7: PC-12 cell lysate Lane 8: C6 cell lysate Lane 9: Mouse brain tissue lysate Lane 10: Rat brain tissue lysate Lysates/proteins at 20 µg/Lane. Predicted band size: 36 kDa Observed band size: 36 kDa Exposure time: 20 seconds; 4-20% SDS-PAGE gel. Proteins were transferred to a PVDF membrane and blocked with 5% NFDM/TBST for 1 hour at room temperature. The primary antibody (R1210-1) at 1/20,000 dilution was used in 5% NFDM/TBST at 4℃ overnight. Goat Anti-Rabbit IgG - HRP Secondary Antibody (HA1001) at 1:50,000 dilution was used for 1 hour at room temperature.
Western blot analysis of GAPDH on Oryza sativa lysates with Rabbit anti-GAPDH antibody (R1210-1) at 1/5,000 dilution. Lysates/proteins at 15 µg/Lane. Predicted band size: 36 kDa Observed band size: 36 kDa Exposure time: 42 seconds; ECL: K1801; 4-20% SDS-PAGE gel. Proteins were transferred to a PVDF membrane and blocked with 5% NFDM/TBST for 1 hour at room temperature. The primary antibody (R1210-1) at 1/5,000 dilution was used in 5% NFDM/TBST at 4℃ overnight. Goat Anti-Rabbit IgG - HRP Secondary Antibody (HA1001) at 1/50,000 dilution was used for 1 hour at room temperature.
Western blot analysis of GAPDH on COS-1 cell/tissue lysates with Rabbit anti-GAPDH antibody (R1210-1) at 1/20,000 dilution. Lysates/proteins at 10 µg/Lane. Predicted band size: 36 kDa Observed band size: 36 kDa Exposure time: 2 minutes; 4-20% SDS-PAGE gel. Proteins were transferred to a PVDF membrane and blocked with 5% NFDM/TBST for 1 hour at room temperature. The primary antibody (R1210-1) at 1/20,000 dilution was used in 5% NFDM/TBST at 4℃ overnight. Goat Anti-Rabbit IgG - HRP Secondary Antibody (HA1001) at 1/50,000 dilution was used for 1 hour at room temperature.
quantity: 100μl
price: 330 USD
to the supplier
Anti-GAPDH Antibody [12D6]
HUABIO
catalog: M1310-2TR
mouse monoclonal (12D6)
reactivity:
human
,
mouse
,
rat
,
zebrafish
application:
western blot
,
immunohistochemistry - paraffin section
quantity: 20 uL
price: 99 USD
to the supplier