Sign in
Sign up
home
>
HUABIO
> HUABIO Fn1 antibody
Fibronectin
HUABIO
catalog: ET1702-25
domestic rabbit monoclonal (JF0582)
reactivity:
human
,
mouse
application:
western blot
,
immunohistochemistry - paraffin section
Western blot analysis of Fibronectin on different lysates with Rabbit anti-Fibronectin antibody (ET1702-25) at 1/2,000 dilution and competitor's antibody at 1/2,000 dilution. Lane 1: HepG2 cell lysate Lane 2: Caco-2 cell lysate Lane 3: SK-MEL-28 cell lysate Lane 4: Human kidney tissue lysate Lysates/proteins at 20 µg/Lane. Predicted band size: 272 kDa Observed band size: 272 kDa Exposure time: 3 minutes 20 seconds; ECL: K1801; 4-20% SDS-PAGE gel. Proteins were transferred to a PVDF membrane and blocked with 5% NFDM/TBST for 1 hour at room temperature. The primary antibody (ET1702-25) at 1/2,000 dilution and competitor's antibody at 1/2,000 dilution were used in 5% NFDM/TBST at 4℃ overnight. Goat Anti-Rabbit IgG - HRP Secondary Antibody (HA1001) at 1/50,000 dilution was used for 1 hour at room temperature.
Western blot analysis of Fibronectin on different lysates with Rabbit anti-Fibronectin antibody (ET1702-25) at 1/2,000 dilution. Lane 1: HepG2 cell lysate Lane 2: MEF cell lysate Lane 3: NIH/3T3 cell lysate Lysates/proteins at 20 µg/Lane. Predicted band size: 272 kDa Observed band size: 272 kDa Exposure time: 2 seconds; ECL: K1801; 4-20% SDS-PAGE gel. Proteins were transferred to a PVDF membrane and blocked with 5% NFDM/TBST for 1 hour at room temperature. The primary antibody (ET1702-25) at 1/2,000 dilution was used in 5% NFDM/TBST at 4℃ overnight. Goat Anti-Rabbit IgG - HRP Secondary Antibody (HA1001) at 1/50,000 dilution was used for 1 hour at room temperature.
Western blot analysis of Fibronectin on MG-63 cell lysates with Rabbit anti-Fibronectin antibody (ET1702-25) at 1/1,000 dilution. Lysates/proteins at 10 µg/Lane. Predicted band size: 272 kDa Observed band size: 272 kDa Exposure time: 2 minutes; 6% SDS-PAGE gel. Proteins were transferred to a PVDF membrane and blocked with 5% NFDM/TBST for 1 hour at room temperature. The primary antibody (ET1702-25) at 1/1,000 dilution was used in 5% NFDM/TBST at room temperature for 2 hours. Goat Anti-Rabbit IgG - HRP Secondary Antibody (HA1001) at 1/100,000 dilution was used for 1 hour at room temperature.
quantity: 100μl
price: 385.00 USD
to the supplier
Fibronectin
HUABIO
catalog: HA723610
domestic rabbit monoclonal (PSH14-21)
reactivity:
human
,
mouse
application:
western blot
,
flow cytometry
,
immunohistochemistry - paraffin section
Western blot analysis of Fibronectin on different lysates with Rabbit anti-Fibronectin antibody (HA723610) at 1/5,000 dilution. Lane 1: HepG2 cell lysate Lane 2: NIH/3T3 cell lysate Lysates/proteins at 20 µg/Lane. Predicted band size: 272 kDa Observed band size: 272 kDa Exposure time: 30 seconds; ECL: K1801; 4-20% SDS-PAGE gel. Proteins were transferred to a PVDF membrane and blocked with 5% NFDM/TBST for 1 hour at room temperature. The primary antibody (HA723610) at 1/5,000 dilution was used in primary antibody dilution (K1803) at 4℃ overnight. Goat Anti-Rabbit IgG - HRP Secondary Antibody (HA1001) at 1/50,000 dilution was used for 1 hour at room temperature.
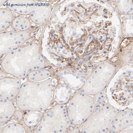
Immunohistochemical analysis of paraffin-embedded human kidney tissue with Rabbit anti-Fibronectin antibody (HA723610) at 1/200 dilution. The section was pre-treated using heat mediated antigen retrieval with Tris-EDTA buffer (pH 9.0) for 20 minutes. The tissues were blocked in 1% BSA for 20 minutes at room temperature, washed with ddH2O and PBS, and then probed with the primary antibody (HA723610) at 1/200 dilution for 1 hour at room temperature. The detection was performed using an HRP conjugated compact polymer system. DAB was used as the chromogen. Tissues were counterstained with hematoxylin and mounted with DPX.
Immunohistochemical analysis of paraffin-embedded human stomach tissue with Rabbit anti-Fibronectin antibody (HA723610) at 1/200 dilution. The section was pre-treated using heat mediated antigen retrieval with Tris-EDTA buffer (pH 9.0) for 20 minutes. The tissues were blocked in 1% BSA for 20 minutes at room temperature, washed with ddH2O and PBS, and then probed with the primary antibody (HA723610) at 1/200 dilution for 1 hour at room temperature. The detection was performed using an HRP conjugated compact polymer system. DAB was used as the chromogen. Tissues were counterstained with hematoxylin and mounted with DPX.
quantity: 100μl
price: 385.00 USD
to the supplier
Fibronectin
HUABIO
catalog: HA723611
domestic rabbit monoclonal (PSH14-22)
reactivity:
human
,
mouse
application:
western blot
,
flow cytometry
Western blot analysis of Fibronectin on different lysates with Rabbit anti-Fibronectin antibody (HA723611) at 1/5,000 dilution. Lane 1: HepG2 cell lysate Lane 2: NIH/3T3 cell lysate Lysates/proteins at 20 µg/Lane. Predicted band size: 272 kDa Observed band size: 272 kDa Exposure time: 11 seconds; ECL: K1801; 4-20% SDS-PAGE gel. Proteins were transferred to a PVDF membrane and blocked with 5% NFDM/TBST for 1 hour at room temperature. The primary antibody (HA723611) at 1/5,000 dilution was used in primary antibody dilution (K1803) at 4℃ overnight. Goat Anti-Rabbit IgG - HRP Secondary Antibody (HA1001) at 1/50,000 dilution was used for 1 hour at room temperature.
Immunocytochemistry analysis of HepG2 cells labeling Fibronectin with Rabbit anti-Fibronectin antibody (HA723611) at 1/3,000 dilution. Cells were fixed in 4% paraformaldehyde for 15 minutes at room temperature, permeabilized with 0.1% Triton X-100 in PBS for 15 minutes at room temperature, then blocked with 1% BSA in 10% negative goat serum for 1 hour at room temperature. Cells were then incubated with Rabbit anti-Fibronectin antibody (HA723611) at 1/3,000 dilution in 1% BSA in PBST overnight at 4 ℃. Goat Anti-Rabbit IgG H&L (iFluor™ 488, HA1121) was used as the secondary antibody at 1/1,000 dilution. PBS instead of the primary antibody was used as the secondary antibody only control. Nuclear DNA was labelled in blue with DAPI. Beta tubulin (HA601187, red) was stained at 1/100 dilution overnight at +4℃. Goat Anti-Mouse IgG H&L (iFluor™ 594, HA1126) was used as the secondary antibody at 1/1,000 dilution.
Immunocytochemistry analysis of NIH/3T3 cells labeling Fibronectin with Rabbit anti-Fibronectin antibody (HA723611) at 1/3,000 dilution. Cells were fixed in 4% paraformaldehyde for 15 minutes at room temperature, permeabilized with 0.1% Triton X-100 in PBS for 15 minutes at room temperature, then blocked with 1% BSA in 10% negative goat serum for 1 hour at room temperature. Cells were then incubated with Rabbit anti-Fibronectin antibody (HA723611) at 1/3,000 dilution in 1% BSA in PBST overnight at 4 ℃. Goat Anti-Rabbit IgG H&L (iFluor™ 488, HA1121) was used as the secondary antibody at 1/1,000 dilution. PBS instead of the primary antibody was used as the secondary antibody only control. Nuclear DNA was labelled in blue with DAPI. Beta tubulin (HA601187, red) was stained at 1/100 dilution overnight at +4℃. Goat Anti-Mouse IgG H&L (iFluor™ 594, HA1126) was used as the secondary antibody at 1/1,000 dilution.
quantity: 100μl
price: 385.00 USD
to the supplier
Fibronectin
HUABIO
catalog: HA750340
domestic rabbit monoclonal (JF0582)
reactivity:
human
,
mouse
application:
western blot
,
immunohistochemistry - paraffin section
Western blot analysis of Fibronectin on different lysates with Rabbit anti-Fibronectin antibody (HA750340) at 1/2,000 dilution and competitor's antibody at 1/2,000 dilution. Lane 1: HepG2 cell lysate Lane 2: Caco-2 cell lysate Lane 3: SK-MEL-28 cell lysate Lane 4: Human kidney tissue lysate Lysates/proteins at 20 µg/Lane. Predicted band size: 272 kDa Observed band size: 272 kDa Exposure time: 3 minutes 20 seconds; ECL: K1801; 4-20% SDS-PAGE gel. Proteins were transferred to a PVDF membrane and blocked with 5% NFDM/TBST for 1 hour at room temperature. The primary antibody (HA750340) at 1/2,000 dilution and competitor's antibody at 1/2,000 dilution were used in 5% NFDM/TBST at 4℃ overnight. Goat Anti-Rabbit IgG - HRP Secondary Antibody (HA1001) at 1/50,000 dilution was used for 1 hour at room temperature.
Western blot analysis of Fibronectin on different lysates with Rabbit anti-Fibronectin antibody (HA750340) at 1/2,000 dilution. Lane 1: HepG2 cell lysate Lane 2: MEF cell lysate Lane 3: NIH/3T3 cell lysate Lysates/proteins at 20 µg/Lane. Predicted band size: 272 kDa Observed band size: 272 kDa Exposure time: 2 seconds; ECL: K1801; 4-20% SDS-PAGE gel. Proteins were transferred to a PVDF membrane and blocked with 5% NFDM/TBST for 1 hour at room temperature. The primary antibody (HA750340) at 1/2,000 dilution was used in 5% NFDM/TBST at 4℃ overnight. Goat Anti-Rabbit IgG - HRP Secondary Antibody (HA1001) at 1/50,000 dilution was used for 1 hour at room temperature.
Western blot analysis of Fibronectin on MG-63 cell lysates with Rabbit anti-Fibronectin antibody (HA750340) at 1/1,000 dilution. Lysates/proteins at 10 µg/Lane. Predicted band size: 272 kDa Observed band size: 272 kDa Exposure time: 2 minutes; 6% SDS-PAGE gel. Proteins were transferred to a PVDF membrane and blocked with 5% NFDM/TBST for 1 hour at room temperature. The primary antibody (HA750340) at 1/1,000 dilution was used in 5% NFDM/TBST at room temperature for 2 hours. Goat Anti-Rabbit IgG - HRP Secondary Antibody (HA1001) at 1/100,000 dilution was used for 1 hour at room temperature.
quantity: 100μl
price: 649.00 USD
to the supplier
Fibronectin
HUABIO
catalog: HA751514
domestic rabbit monoclonal (PSH14-21)
reactivity:
human
,
mouse
application:
western blot
,
flow cytometry
,
immunohistochemistry - paraffin section
Western blot analysis of Fibronectin on different lysates with Rabbit anti-Fibronectin antibody (HA751514) at 1/5,000 dilution. Lane 1: HepG2 cell lysate Lane 2: NIH/3T3 cell lysate Lysates/proteins at 20 µg/Lane. Predicted band size: 272 kDa Observed band size: 272 kDa Exposure time: 30 seconds; ECL: K1801; 4-20% SDS-PAGE gel. Proteins were transferred to a PVDF membrane and blocked with 5% NFDM/TBST for 1 hour at room temperature. The primary antibody (HA751514) at 1/5,000 dilution was used in primary antibody dilution (K1803) at 4℃ overnight. Goat Anti-Rabbit IgG - HRP Secondary Antibody (HA1001) at 1/50,000 dilution was used for 1 hour at room temperature.
Immunohistochemical analysis of paraffin-embedded human kidney tissue with Rabbit anti-Fibronectin antibody (HA751514) at 1/200 dilution. The section was pre-treated using heat mediated antigen retrieval with Tris-EDTA buffer (pH 9.0) for 20 minutes. The tissues were blocked in 1% BSA for 20 minutes at room temperature, washed with ddH2O and PBS, and then probed with the primary antibody (HA751514) at 1/200 dilution for 1 hour at room temperature. The detection was performed using an HRP conjugated compact polymer system. DAB was used as the chromogen. Tissues were counterstained with hematoxylin and mounted with DPX.
Immunohistochemical analysis of paraffin-embedded human stomach tissue with Rabbit anti-Fibronectin antibody (HA751514) at 1/200 dilution. The section was pre-treated using heat mediated antigen retrieval with Tris-EDTA buffer (pH 9.0) for 20 minutes. The tissues were blocked in 1% BSA for 20 minutes at room temperature, washed with ddH2O and PBS, and then probed with the primary antibody (HA751514) at 1/200 dilution for 1 hour at room temperature. The detection was performed using an HRP conjugated compact polymer system. DAB was used as the chromogen. Tissues were counterstained with hematoxylin and mounted with DPX.
quantity: 100μl
price: 649.00 USD
to the supplier
Fibronectin
HUABIO
catalog: HA751515
domestic rabbit monoclonal (PSH14-22)
reactivity:
human
,
mouse
application:
western blot
,
flow cytometry
Western blot analysis of Fibronectin on different lysates with Rabbit anti-Fibronectin antibody (HA751515) at 1/5,000 dilution. Lane 1: HepG2 cell lysate Lane 2: NIH/3T3 cell lysate Lysates/proteins at 20 µg/Lane. Predicted band size: 272 kDa Observed band size: 272 kDa Exposure time: 11 seconds; ECL: K1801; 4-20% SDS-PAGE gel. Proteins were transferred to a PVDF membrane and blocked with 5% NFDM/TBST for 1 hour at room temperature. The primary antibody (HA751515) at 1/5,000 dilution was used in primary antibody dilution (K1803) at 4℃ overnight. Goat Anti-Rabbit IgG - HRP Secondary Antibody (HA1001) at 1/50,000 dilution was used for 1 hour at room temperature.
Immunocytochemistry analysis of HepG2 cells labeling Fibronectin with Rabbit anti-Fibronectin antibody (HA751515) at 1/3,000 dilution. Cells were fixed in 4% paraformaldehyde for 15 minutes at room temperature, permeabilized with 0.1% Triton X-100 in PBS for 15 minutes at room temperature, then blocked with 1% BSA in 10% negative goat serum for 1 hour at room temperature. Cells were then incubated with Rabbit anti-Fibronectin antibody (HA751515) at 1/3,000 dilution in 1% BSA in PBST overnight at 4 ℃. Goat Anti-Rabbit IgG H&L (iFluor™ 488, HA1121) was used as the secondary antibody at 1/1,000 dilution. PBS instead of the primary antibody was used as the secondary antibody only control. Nuclear DNA was labelled in blue with DAPI. Beta tubulin (HA601187, red) was stained at 1/100 dilution overnight at +4℃. Goat Anti-Mouse IgG H&L (iFluor™ 594, HA1126) was used as the secondary antibody at 1/1,000 dilution.
Immunocytochemistry analysis of NIH/3T3 cells labeling Fibronectin with Rabbit anti-Fibronectin antibody (HA751515) at 1/3,000 dilution. Cells were fixed in 4% paraformaldehyde for 15 minutes at room temperature, permeabilized with 0.1% Triton X-100 in PBS for 15 minutes at room temperature, then blocked with 1% BSA in 10% negative goat serum for 1 hour at room temperature. Cells were then incubated with Rabbit anti-Fibronectin antibody (HA751515) at 1/3,000 dilution in 1% BSA in PBST overnight at 4 ℃. Goat Anti-Rabbit IgG H&L (iFluor™ 488, HA1121) was used as the secondary antibody at 1/1,000 dilution. PBS instead of the primary antibody was used as the secondary antibody only control. Nuclear DNA was labelled in blue with DAPI. Beta tubulin (HA601187, red) was stained at 1/100 dilution overnight at +4℃. Goat Anti-Mouse IgG H&L (iFluor™ 594, HA1126) was used as the secondary antibody at 1/1,000 dilution.
quantity: 100μl
price: 649.00 USD
to the supplier
Fibronectin
HUABIO
catalog: IRS144RB
domestic rabbit monoclonal
reactivity:
mouse
mIHC analysis of mouse muscle tissue (Formalin/PFA-fixed paraffin-embedded sections) with Rabbit anti-Fibronectin antibody (IRS144RB) at 1/100 dilution. The immunostaining was performed with the IRISKitCmTSA Kit (900808). Heat mediated antigen retrieval with Tris-EDTA buffer (pH 9.0) for 30 mins at 95℃. DAPI (blue) was used as a nuclear counter stain. Image acquisition was performed with Olympus VS200 Slide Scanner.
mIHC analysis of mouse heart tissue (Formalin/PFA-fixed paraffin-embedded sections) with Rabbit anti-Fibronectin antibody (IRS144RB) at 1/100 dilution. The immunostaining was performed with the IRISKitCmTSA Kit (900808). Heat mediated antigen retrieval with Tris-EDTA buffer (pH 9.0) for 30 mins at 95℃. DAPI (blue) was used as a nuclear counter stain. Image acquisition was performed with Olympus VS200 Slide Scanner.
quantity: 50T
price: 278.00 USD
to the supplier