domestic rabbit polyclonal
reactivity: human, mouse, rat
application: western blot, flow cytometry, immunohistochemistry - paraffin section
reactivity: human, mouse, rat
application: western blot, flow cytometry, immunohistochemistry - paraffin section

Western blot analysis of 4E-BP1 on different lysates using anti-4E-BP1 antibody at 1/500 dilution. Lane 1: PC-3M Lane 2: Mouse placenta tissue

ICC staining 4E-BP1 in 293T cells (green). The nuclear counter stain is DAPI (blue). Cells were fixed in paraformaldehyde, permeabilised with 0.25% Triton X100/PBS.

Immunohistochemical analysis of paraffin-embedded rat esophagus tissue using anti-4E-BP1 antibody. Counter stained with hematoxylin.
quantity: 100μl
price: 330 USD
to the supplier
domestic rabbit monoclonal (JJ09-25)
reactivity: human, mouse, rat
application: western blot, immunoprecipitation, immunohistochemistry - paraffin section
reactivity: human, mouse, rat
application: western blot, immunoprecipitation, immunohistochemistry - paraffin section

Western blot analysis of eIF4EBP1 on different lysates with Rabbit anti-eIF4EBP1 antibody (ET1701-83) at 1/1,000 dilution. Lane 1: K-562 cell lysate Lane 2: HepG2 cell lysate Lane 3: HEK-293 cell lysate Lane 4: L6 cell lysate Lane 5: NIH/3T3 cell lysate Lane 6: Mouse skeletal muscle tissue lysate Lane 7: Rat skeletal muscle tissue lysate Lysates/proteins at 20 µg/Lane. Predicted band size: 13 kDa Observed band size: 17/18 kDa Exposure time: 26 seconds; ECL: K1801; 4-20% SDS-PAGE gel. Proteins were transferred to a PVDF membrane and blocked with 5% NFDM/TBST for 1 hour at room temperature. The primary antibody (ET1701-83) at 1/1,000 dilution was used in 5% NFDM/TBST at 4℃ overnight. Goat Anti-Rabbit IgG - HRP Secondary Antibody (HA1001) at 1/50,000 dilution was used for 1 hour at room temperature.

Immunocytochemistry analysis of HepG2 cells labeling eIF4EBP1 with Rabbit anti-eIF4EBP1 antibody (ET1701-83) at 1/100 dilution. Cells were fixed in 4% paraformaldehyde for 15 minutes at room temperature, permeabilized with 0.1% Triton X-100 in PBS for 15 minutes at room temperature, then blocked with 1% BSA in 10% negative goat serum for 1 hour at room temperature. Cells were then incubated with Rabbit anti-eIF4EBP1 antibody (ET1701-83) at 1/100 dilution in 1% BSA in PBST overnight at 4 ℃. Goat Anti-Rabbit IgG H&L (iFluor™ 488, HA1121) was used as the secondary antibody at 1/1,000 dilution. PBS instead of the primary antibody was used as the secondary antibody only control. Nuclear DNA was labelled in blue with DAPI. Beta tubulin (M1305-2, red) was stained at 1/100 dilution overnight at +4℃. Goat Anti-Mouse IgG H&L (iFluor™ 594, HA1126) was used as the secondary antibody at 1/1,000 dilution.

Immunohistochemical analysis of paraffin-embedded human breast cancer tissue with Rabbit anti-eIF4EBP1 antibody (ET1701-83) at 1/200 dilution. The section was pre-treated using heat mediated antigen retrieval with Tris-EDTA buffer (pH 9.0) for 20 minutes. The tissues were blocked in 1% BSA for 20 minutes at room temperature, washed with ddH2O and PBS, and then probed with the primary antibody (ET1701-83) at 1/200 dilution for 1 hour at room temperature. The detection was performed using an HRP conjugated compact polymer system. DAB was used as the chromogen. Tissues were counterstained with hematoxylin and mounted with DPX.
quantity: 100μl
price: 385.00 USD
to the supplier
domestic rabbit monoclonal (PSH09-91)
reactivity: human, mouse
application: western blot, immunoprecipitation, immunohistochemistry - paraffin section
reactivity: human, mouse
application: western blot, immunoprecipitation, immunohistochemistry - paraffin section

Western blot analysis of Phospho-eIF4EBP1 (T70) on different lysates with Rabbit anti-Phospho-eIF4EBP1 (T70) antibody (HA723222) at 1/2,000 dilution. Lane 1: HEK-293 cell lysate Lane 2: HEK-293 treated with 20% FBS for 3 hours cell lysate Lane 3: HEK-293 treated with 20% FBS for 3 hours cell lysate, then the membrane treated with λpp for 1 hour Lysates/proteins at 20 µg/Lane. Predicted band size: 13 kDa Observed band size: 17/18 kDa Exposure time: 3 minutes; ECL: K1801; 4-20% SDS-PAGE gel. Proteins were transferred to a PVDF membrane and blocked with 5% NFDM/TBST for 1 hour at room temperature. The primary antibody (HA723222) at 1/2,000 dilution was used in 5% NFDM/TBST at 4℃ overnight. Goat Anti-Rabbit IgG - HRP Secondary Antibody (HA1001) at 1/50,000 dilution was used for 1 hour at room temperature.

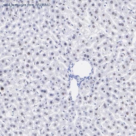
Immunohistochemical analysis of paraffin-embedded mouse liver tissue with Rabbit anti-Phospho-eIF4EBP1 (T70) antibody (HA723222) at 1/200 dilution. The section was pre-treated using heat mediated antigen retrieval with Tris-EDTA buffer (pH 9.0) for 20 minutes. The tissues were blocked in 1% BSA for 20 minutes at room temperature, washed with ddH2O and PBS, and then probed with the primary antibody (HA723222) at 1/200 dilution for 1 hour at room temperature. The detection was performed using an HRP conjugated compact polymer system. DAB was used as the chromogen. Tissues were counterstained with hematoxylin and mounted with DPX.

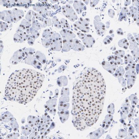
Immunohistochemical analysis of paraffin-embedded mouse pancreas tissue with Rabbit anti-Phospho-eIF4EBP1 (T70) antibody (HA723222) at 1/200 dilution. The section was pre-treated using heat mediated antigen retrieval with Tris-EDTA buffer (pH 9.0) for 20 minutes. The tissues were blocked in 1% BSA for 20 minutes at room temperature, washed with ddH2O and PBS, and then probed with the primary antibody (HA723222) at 1/200 dilution for 1 hour at room temperature. The detection was performed using an HRP conjugated compact polymer system. DAB was used as the chromogen. Tissues were counterstained with hematoxylin and mounted with DPX.
quantity: 100μl
price: 385.00 USD
to the supplier
domestic rabbit monoclonal (PSH09-91)
reactivity: human, mouse
application: western blot, immunoprecipitation, immunohistochemistry - paraffin section
reactivity: human, mouse
application: western blot, immunoprecipitation, immunohistochemistry - paraffin section

Western blot analysis of Phospho-eIF4EBP1 (T70) on different lysates with Rabbit anti-Phospho-eIF4EBP1 (T70) antibody (HA751360) at 1/2,000 dilution. Lane 1: HEK-293 cell lysate Lane 2: HEK-293 treated with 20% FBS for 3 hours cell lysate Lane 3: HEK-293 treated with 20% FBS for 3 hours cell lysate, then the membrane treated with λpp for 1 hour Lysates/proteins at 20 µg/Lane. Predicted band size: 13 kDa Observed band size: 17/18 kDa Exposure time: 3 minutes; ECL: K1801; 4-20% SDS-PAGE gel. Proteins were transferred to a PVDF membrane and blocked with 5% NFDM/TBST for 1 hour at room temperature. The primary antibody (HA751360) at 1/2,000 dilution was used in 5% NFDM/TBST at 4℃ overnight. Goat Anti-Rabbit IgG - HRP Secondary Antibody (HA1001) at 1/50,000 dilution was used for 1 hour at room temperature.

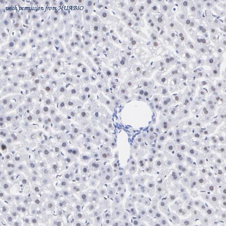
Immunohistochemical analysis of paraffin-embedded mouse liver tissue with Rabbit anti-Phospho-eIF4EBP1 (T70) antibody (HA751360) at 1/200 dilution. The section was pre-treated using heat mediated antigen retrieval with Tris-EDTA buffer (pH 9.0) for 20 minutes. The tissues were blocked in 1% BSA for 20 minutes at room temperature, washed with ddH2O and PBS, and then probed with the primary antibody (HA751360) at 1/200 dilution for 1 hour at room temperature. The detection was performed using an HRP conjugated compact polymer system. DAB was used as the chromogen. Tissues were counterstained with hematoxylin and mounted with DPX.

Immunohistochemical analysis of paraffin-embedded mouse pancreas tissue with Rabbit anti-Phospho-eIF4EBP1 (T70) antibody (HA751360) at 1/200 dilution. The section was pre-treated using heat mediated antigen retrieval with Tris-EDTA buffer (pH 9.0) for 20 minutes. The tissues were blocked in 1% BSA for 20 minutes at room temperature, washed with ddH2O and PBS, and then probed with the primary antibody (HA751360) at 1/200 dilution for 1 hour at room temperature. The detection was performed using an HRP conjugated compact polymer system. DAB was used as the chromogen. Tissues were counterstained with hematoxylin and mounted with DPX.
quantity: 100μl
price: 649.00 USD
to the supplier
