domestic rabbit monoclonal (SU0360)
reactivity: human, mouse, rat
application: western blot, immunoprecipitation, immunohistochemistry - paraffin section
reactivity: human, mouse, rat
application: western blot, immunoprecipitation, immunohistochemistry - paraffin section

Western blot analysis of Cathepsin D on different lysates with Rabbit anti-Cathepsin D antibody (ET1608-49) at 1/2,000 dilution. Lane 1: HepG2 cell lysate (15 µg/Lane) Lane 2: MCF7 cell lysate (15 µg/Lane) Lane 3: Neuro-2a cell lysate (15 µg/Lane) Lane 4: Mouse brain tissue lysate (20 µg/Lane) Predicted band size: 45/28 kDa Observed band size: 45/28 kDa Exposure time: 3 minutes; ECL: K1801; 4-20% SDS-PAGE gel. Proteins were transferred to a PVDF membrane and blocked with 5% NFDM/TBST for 1 hour at room temperature. The primary antibody (ET1608-49) at 1/2,000 dilution was used in 5% NFDM/TBST at 4℃ overnight. Goat Anti-Rabbit IgG - HRP Secondary Antibody (HA1001) at 1/50,000 dilution was used for 1 hour at room temperature.

Western blot analysis of Cathepsin D on different lysates with Rabbit anti-Cathepsin D antibody (ET1608-49) at 1/1,000 dilution. Lane 1: C6 cell lysate (20 µg/Lane) Lane 2: Mouse brain tissue lysate (20 µg/Lane) Lane 3: Rat brain tissue lysate (20 µg/Lane) Predicted band size: 45/28 kDa Observed band size: 45/28 kDa Exposure time: 6 seconds; ECL: K1801; 4-20% SDS-PAGE gel. Proteins were transferred to a PVDF membrane and blocked with 5% NFDM/TBST for 1 hour at room temperature. The primary antibody (ET1608-49) at 1/1,000 dilution was used in 5% NFDM/TBST at 4℃ overnight. Goat Anti-Rabbit IgG - HRP Secondary Antibody (HA1001) at 1/50,000 dilution was used for 1 hour at room temperature.

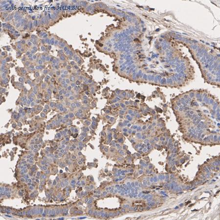
Immunohistochemical analysis of paraffin-embedded human breast cancer tissue with Rabbit anti-Cathepsin D antibody (ET1608-49) at 1/3,000 dilution. The section was pre-treated using heat mediated antigen retrieval with Tris-EDTA buffer (pH 9.0) for 20 minutes. The tissues were blocked in 1% BSA for 20 minutes at room temperature, washed with ddH2O and PBS, and then probed with the primary antibody (ET1608-49) at 1/3,000 dilution for 1 hour at room temperature. The detection was performed using an HRP conjugated compact polymer system. DAB was used as the chromogen. Tissues were counterstained with hematoxylin and mounted with DPX.
quantity: 50μl
price: 205.00 USD
to the supplier
domestic rabbit monoclonal (SU0360)
reactivity: human, mouse, rat
application: western blot, immunoprecipitation, immunohistochemistry - paraffin section
reactivity: human, mouse, rat
application: western blot, immunoprecipitation, immunohistochemistry - paraffin section

Western blot analysis of Cathepsin D on different lysates with Rabbit anti-Cathepsin D antibody (HA750152) at 1/2,000 dilution. Lane 1: HepG2 cell lysate (15 µg/Lane) Lane 2: MCF7 cell lysate (15 µg/Lane) Lane 3: Neuro-2a cell lysate (15 µg/Lane) Lane 4: Mouse brain tissue lysate (20 µg/Lane) Predicted band size: 45/28 kDa Observed band size: 45/28 kDa Exposure time: 3 minutes; ECL: K1801; 4-20% SDS-PAGE gel. Proteins were transferred to a PVDF membrane and blocked with 5% NFDM/TBST for 1 hour at room temperature. The primary antibody (HA750152) at 1/2,000 dilution was used in 5% NFDM/TBST at 4℃ overnight. Goat Anti-Rabbit IgG - HRP Secondary Antibody (HA1001) at 1/50,000 dilution was used for 1 hour at room temperature.

Western blot analysis of Cathepsin D on different lysates with Rabbit anti-Cathepsin D antibody (HA750152) at 1/1,000 dilution. Lane 1: C6 cell lysate (20 µg/Lane) Lane 2: Mouse brain tissue lysate (20 µg/Lane) Lane 3: Rat brain tissue lysate (20 µg/Lane) Predicted band size: 45/28 kDa Observed band size: 45/28 kDa Exposure time: 6 seconds; ECL: K1801; 4-20% SDS-PAGE gel. Proteins were transferred to a PVDF membrane and blocked with 5% NFDM/TBST for 1 hour at room temperature. The primary antibody (HA750152) at 1/1,000 dilution was used in 5% NFDM/TBST at 4℃ overnight. Goat Anti-Rabbit IgG - HRP Secondary Antibody (HA1001) at 1/50,000 dilution was used for 1 hour at room temperature.

Immunohistochemical analysis of paraffin-embedded human breast cancer tissue with Rabbit anti-Cathepsin D antibody (HA750152) at 1/3,000 dilution. The section was pre-treated using heat mediated antigen retrieval with Tris-EDTA buffer (pH 9.0) for 20 minutes. The tissues were blocked in 1% BSA for 20 minutes at room temperature, washed with ddH2O and PBS, and then probed with the primary antibody (HA750152) at 1/3,000 dilution for 1 hour at room temperature. The detection was performed using an HRP conjugated compact polymer system. DAB was used as the chromogen. Tissues were counterstained with hematoxylin and mounted with DPX.
quantity: 100μl
price: 649.00 USD
to the supplier
domestic rabbit polyclonal
reactivity: human, mouse
application: western blot, flow cytometry, immunohistochemistry - paraffin section
reactivity: human, mouse
application: western blot, flow cytometry, immunohistochemistry - paraffin section

Western blot analysis of Cathepsin D on MCF-7 cell lysate using anti-Cathepsin D antibody at 1/1,000 dilution.

ICC staining Cathepsin D in Hela cells (green). The nuclear counter stain is DAPI (blue). Cells were fixed in paraformaldehyde, permeabilised with 0.25% Triton X100/PBS.

ICC staining Cathepsin D in HepG2 cells (green). The nuclear counter stain is DAPI (blue). Cells were fixed in paraformaldehyde, permeabilised with 0.25% Triton X100/PBS.
quantity: 100μl
price: 330 USD
to the supplier
domestic rabbit polyclonal
reactivity: human, mouse, rat
application: western blot, flow cytometry, immunohistochemistry - paraffin section
reactivity: human, mouse, rat
application: western blot, flow cytometry, immunohistochemistry - paraffin section

Western blot analysis of Cathepsin D on different cell lysates using anti-Cathepsin D antibody at 1/1,000 dilution. Positive control: Lane 1: PC-12 cell lysate Lane 2: MCF-7 cell lysate Lane 3: NIH-3T3 cell lysate Lane 4: Jurkat cell lysate

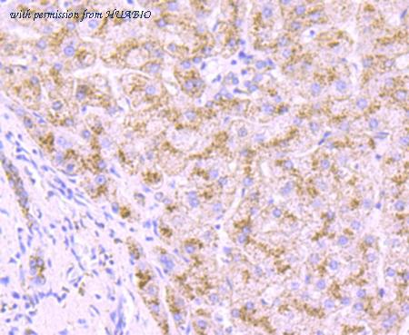
Immunohistochemical analysis of paraffin-embedded human liver tissue using anti-Cathepsin D antibody. Counter stained with hematoxylin.

Immunohistochemical analysis of paraffin-embedded mouse brain tissue using anti-Cathepsin D antibody. Counter stained with hematoxylin.
quantity: 100μl
price: 330 USD
to the supplier
