Sign in
Sign up
home
>
HUABIO
> HUABIO Cd4 antibody
CD4
HUABIO
catalog: 0108-6
domestic rabbit polyclonal
reactivity:
human
,
mouse
,
rat
application:
western blot
,
flow cytometry
Western blot analysis of CD4 on different lysates with Rabbit anti-CD4 antibody (0108-6) at 1/1,000 dilution. Lane 1: THP-1-si NT cell lysate Lane 2: THP-1-si CD4 cell lysate Lysates/proteins at 10 µg/Lane. Predicted band size: 51 kDa Observed band size: 51 kDa Exposure time: 43 seconds; 4-20% SDS-PAGE gel. Proteins were transferred to a PVDF membrane and blocked with 5% NFDM/TBST for 1 hour at room temperature. The primary antibody (0108-6) at 1/1,000 dilution was used in 5% NFDM/TBST at 4℃ overnight. Goat Anti-Rabbit IgG - HRP Secondary Antibody (HA1001) at 1/50,000 dilution was used for 1 hour at room temperature.
Western blot analysis of CD4 on mouse brain lysate using anti-CD4 antibody at 1/500 dilution.
ICC staining CD4 in LOVO cells (green). The nuclear counter stain is DAPI (blue). Cells were fixed in paraformaldehyde, permeabilised with 0.25% Triton X100/PBS.
quantity: 100μl
price: 330 USD
to the supplier
CD4
HUABIO
catalog: HA722966
domestic rabbit monoclonal (PSH08-22)
reactivity:
mouse
application:
western blot
,
immunohistochemistry - paraffin section
,
immunohistochemistry - frozen section
Western blot analysis of CD4 on different lysates with Rabbit anti-CD4 antibody (HA722966) at 1/2,000 dilution. Lane 1: C2C12 cell lysate (negative) (20 µg/Lane) Lane 2: Mouse spleen tissue lysate (40 µg/Lane) Predicted band size: 51 kDa Observed band size: 51 kDa Exposure time: 30 seconds; ECL: K18012; 4-20% SDS-PAGE gel. Proteins were transferred to a PVDF membrane and blocked with 5% NFDM/TBST for 1 hour at room temperature. The primary antibody (HA722966) at 1/2,000 dilution was used in 5% NFDM/TBST at 4℃ overnight. Goat Anti-Rabbit IgG - HRP Secondary Antibody (HA1001) at 1/50,000 dilution was used for 1 hour at room temperature.
Western blot analysis of CD4 on Mouse thymus tissue lysates with Rabbit anti-CD4 antibody (HA722966) at 1/2,000 dilution. Lysates/proteins at 40 µg/Lane. Predicted band size: 51 kDa Observed band size: 51 kDa Exposure time: 30 seconds; ECL: K1801; 4-20% SDS-PAGE gel. Proteins were transferred to a PVDF membrane and blocked with 5% NFDM/TBST for 1 hour at room temperature. The primary antibody (HA722966) at 1/2,000 dilution was used in 5% NFDM/TBST at 4℃ overnight. Goat Anti-Rabbit IgG - HRP Secondary Antibody (HA1001) at 1/50,000 dilution was used for 1 hour at room temperature.
Immunocytochemistry analysis of mouse splenocytes labeling CD4 with Rabbit anti-CD4 antibody (HA722966) at 1/250 dilution. Cells were fixed in 4% paraformaldehyde for 15 minutes at room temperature, permeabilized with 0.1% Triton X-100 in PBS for 15 minutes at room temperature, then blocked with 1% BSA in 10% negative goat serum for 1 hour at room temperature. Cells were then incubated with Rabbit anti-CD4 antibody (HA722966) at 1/250 dilution in 1% BSA in PBST overnight at 4 ℃. Goat Anti-Rabbit IgG H&L (iFluor™ 488, HA1121) was used as the secondary antibody at 1/1,000 dilution. PBS instead of the primary antibody was used as the secondary antibody only control. Nuclear DNA was labelled in blue with DAPI. Beta tubulin (HA601187, red) was stained at 1/100 dilution overnight at +4℃. Goat Anti-Mouse IgG H&L (iFluor™ 594, HA1126) was used as the secondary antibody at 1/1,000 dilution.
quantity: 100μl
price: 385.00 USD
to the supplier
CD4
HUABIO
catalog: HA723511
domestic rabbit polyclonal (PSH13-24)
reactivity:
human
,
mouse
application:
western blot
,
immunohistochemistry - paraffin section
Western blot analysis of CD4 on different lysates with Rabbit anti-CD4 antibody (HA723511) at 1/2,000 dilution. Lane 1: HUT 102 cell lysate Lane 2: Ramos cell lysate (negative) Lane 3: THP-1 cell lysate Lane 4: C2C12 cell lysate (negative) Lane 5: Mouse thymus tissue lysate Lane 6: Mouse spleen tissue lysate Lysates/proteins at 20 µg/Lane. Predicted band size: 51 kDa Observed band size: 51 kDa Exposure time: 10 seconds; ECL: K1801; 4-20% SDS-PAGE gel. Proteins were transferred to a PVDF membrane and blocked with 5% NFDM/TBST for 1 hour at room temperature. The primary antibody (HA723511) at 1/2,000 dilution was used in 5% NFDM/TBST at 4℃ overnight. Goat Anti-Rabbit IgG - HRP Secondary Antibody (HA1001) at 1/50,000 dilution was used for 1 hour at room temperature.
Immunocytochemistry analysis of HUT 102 cells labeling CD4 with Rabbit anti-CD4 antibody (HA723511) at 1/500 dilution. Cells were fixed in 4% paraformaldehyde for 15 minutes at room temperature, permeabilized with 0.1% Triton X-100 in PBS for 15 minutes at room temperature, then blocked with 1% BSA in 10% negative goat serum for 1 hour at room temperature. Cells were then incubated with Rabbit anti-CD4 antibody (HA723511) at 1/500 dilution in 1% BSA in PBST overnight at 4 ℃. Goat Anti-Rabbit IgG H&L (iFluor™ 488, HA1121) was used as the secondary antibody at 1/1,000 dilution. PBS instead of the primary antibody was used as the secondary antibody only control. Nuclear DNA was labelled in blue with DAPI. Beta tubulin (HA601187, red) was stained at 1/100 dilution overnight at +4℃. Goat Anti-Mouse IgG H&L (iFluor™ 594, HA1126) was used as the secondary antibody at 1/1,000 dilution.
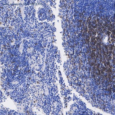
Immunohistochemical analysis of paraffin-embedded human spleen tissue with Rabbit anti-CD4 antibody (HA723511) at 1/5,000 dilution. The section was pre-treated using heat mediated antigen retrieval with Tris-EDTA buffer (pH 9.0) for 20 minutes. The tissues were blocked in 1% BSA for 20 minutes at room temperature, washed with ddH2O and PBS, and then probed with the primary antibody (HA723511) at 1/5,000 dilution for 1 hour at room temperature. The detection was performed using an HRP conjugated compact polymer system. DAB was used as the chromogen. Tissues were counterstained with hematoxylin and mounted with DPX.
quantity: 100μl
price: 385.00 USD
to the supplier
CD4
HUABIO
catalog: HA751213
domestic rabbit monoclonal (PSH08-22)
reactivity:
mouse
application:
western blot
,
immunohistochemistry - paraffin section
,
immunohistochemistry - frozen section
Western blot analysis of CD4 on different lysates with Rabbit anti-CD4 antibody (HA751213) at 1/2,000 dilution. Lane 1: C2C12 cell lysate (negative) (20 µg/Lane) Lane 2: Mouse spleen tissue lysate (40 µg/Lane) Predicted band size: 51 kDa Observed band size: 51 kDa Exposure time: 30 seconds; ECL: K18012; 4-20% SDS-PAGE gel. Proteins were transferred to a PVDF membrane and blocked with 5% NFDM/TBST for 1 hour at room temperature. The primary antibody (HA751213) at 1/2,000 dilution was used in 5% NFDM/TBST at 4℃ overnight. Goat Anti-Rabbit IgG - HRP Secondary Antibody (HA1001) at 1/50,000 dilution was used for 1 hour at room temperature.
Western blot analysis of CD4 on Mouse thymus tissue lysates with Rabbit anti-CD4 antibody (HA751213) at 1/2,000 dilution. Lysates/proteins at 40 µg/Lane. Predicted band size: 51 kDa Observed band size: 51 kDa Exposure time: 30 seconds; ECL: K1801; 4-20% SDS-PAGE gel. Proteins were transferred to a PVDF membrane and blocked with 5% NFDM/TBST for 1 hour at room temperature. The primary antibody (HA751213) at 1/2,000 dilution was used in 5% NFDM/TBST at 4℃ overnight. Goat Anti-Rabbit IgG - HRP Secondary Antibody (HA1001) at 1/50,000 dilution was used for 1 hour at room temperature.
Immunocytochemistry analysis of mouse splenocytes labeling CD4 with Rabbit anti-CD4 antibody (HA751213) at 1/250 dilution. Cells were fixed in 4% paraformaldehyde for 15 minutes at room temperature, permeabilized with 0.1% Triton X-100 in PBS for 15 minutes at room temperature, then blocked with 1% BSA in 10% negative goat serum for 1 hour at room temperature. Cells were then incubated with Rabbit anti-CD4 antibody (HA751213) at 1/250 dilution in 1% BSA in PBST overnight at 4 ℃. Goat Anti-Rabbit IgG H&L (iFluor™ 488, HA1121) was used as the secondary antibody at 1/1,000 dilution. PBS instead of the primary antibody was used as the secondary antibody only control. Nuclear DNA was labelled in blue with DAPI. Beta tubulin (HA601187, red) was stained at 1/100 dilution overnight at +4℃. Goat Anti-Mouse IgG H&L (iFluor™ 594, HA1126) was used as the secondary antibody at 1/1,000 dilution.
quantity: 100μl
price: 649.00 USD
to the supplier
CD4
HUABIO
catalog: HA751460
domestic rabbit polyclonal (PSH13-24)
reactivity:
human
,
mouse
application:
western blot
,
immunohistochemistry - paraffin section
Western blot analysis of CD4 on different lysates with Rabbit anti-CD4 antibody (HA751460) at 1/2,000 dilution. Lane 1: HUT 102 cell lysate Lane 2: Ramos cell lysate (negative) Lane 3: THP-1 cell lysate Lane 4: C2C12 cell lysate (negative) Lane 5: Mouse thymus tissue lysate Lane 6: Mouse spleen tissue lysate Lysates/proteins at 20 µg/Lane. Predicted band size: 51 kDa Observed band size: 51 kDa Exposure time: 10 seconds; ECL: K1801; 4-20% SDS-PAGE gel. Proteins were transferred to a PVDF membrane and blocked with 5% NFDM/TBST for 1 hour at room temperature. The primary antibody (HA751460) at 1/2,000 dilution was used in 5% NFDM/TBST at 4℃ overnight. Goat Anti-Rabbit IgG - HRP Secondary Antibody (HA1001) at 1/50,000 dilution was used for 1 hour at room temperature.
Immunocytochemistry analysis of HUT 102 cells labeling CD4 with Rabbit anti-CD4 antibody (HA751460) at 1/500 dilution. Cells were fixed in 4% paraformaldehyde for 15 minutes at room temperature, permeabilized with 0.1% Triton X-100 in PBS for 15 minutes at room temperature, then blocked with 1% BSA in 10% negative goat serum for 1 hour at room temperature. Cells were then incubated with Rabbit anti-CD4 antibody (HA751460) at 1/500 dilution in 1% BSA in PBST overnight at 4 ℃. Goat Anti-Rabbit IgG H&L (iFluor™ 488, HA1121) was used as the secondary antibody at 1/1,000 dilution. PBS instead of the primary antibody was used as the secondary antibody only control. Nuclear DNA was labelled in blue with DAPI. Beta tubulin (HA601187, red) was stained at 1/100 dilution overnight at +4℃. Goat Anti-Mouse IgG H&L (iFluor™ 594, HA1126) was used as the secondary antibody at 1/1,000 dilution.
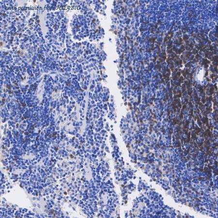
Immunohistochemical analysis of paraffin-embedded human spleen tissue with Rabbit anti-CD4 antibody (HA751460) at 1/5,000 dilution. The section was pre-treated using heat mediated antigen retrieval with Tris-EDTA buffer (pH 9.0) for 20 minutes. The tissues were blocked in 1% BSA for 20 minutes at room temperature, washed with ddH2O and PBS, and then probed with the primary antibody (HA751460) at 1/5,000 dilution for 1 hour at room temperature. The detection was performed using an HRP conjugated compact polymer system. DAB was used as the chromogen. Tissues were counterstained with hematoxylin and mounted with DPX.
quantity: 100μl
price: 649.00 USD
to the supplier
CD4
HUABIO
catalog: IRS051
domestic rabbit monoclonal
reactivity:
mouse
mIHC analysis of mouse lung tissue (Formalin/PFA-fixed paraffin-embedded sections) with TTF1 (IRS063), RAGE (IRS073), CD20, CD4 (IRS051) and aSMA (IRS048) antibody at 1/100 dilution. The immunostaining was performed with the IRISKitCmTSA Kit (900802). Heat mediated antigen retrieval with Tris-EDTA buffer (pH 9.0) for 30 mins at 95℃. DAPI (blue) was used as a nuclear counter stain. Image acquisition was performed with Olympus VS200 Slide Scanner.
mIHC analysis of mouse osteosarcoma subcutaneous tumor tissue (Formalin/PFA-fixed paraffin-embedded sections) with CD8, F4/80 (IRS052), CD4 (IRS051), CD206 (IRS049) and CD11c antibody at 1/100 dilution. The immunostaining was performed with the IRISKitCmTSA Kit (900802). Heat mediated antigen retrieval with Tris-EDTA buffer (pH 9.0) for 30 mins at 95℃. DAPI (blue) was used as a nuclear counter stain. Image acquisition was performed with Olympus VS200 Slide Scanner.
mIHC analysis of mouse spleen tissue (Formalin/PFA-fixed paraffin-embedded sections) with IL-17A (IRS056), CD4 (IRS051) and CD8 antibody at 1/100 dilution. The immunostaining was performed with the IRISKitCmTSA Kit (900802). Heat mediated antigen retrieval with Tris-EDTA buffer (pH 9.0) for 30 mins at 95℃. DAPI (blue) was used as a nuclear counter stain. Image acquisition was performed with Olympus VS200 Slide Scanner.
quantity: 100μl
price: 385.00 USD
to the supplier
CD4
HUABIO
catalog: HA601533
domestic rabbit polyclonal (PSH08-22)
reactivity:
mouse
application:
western blot
,
immunohistochemistry - paraffin section
Western blot analysis of CD4 on different lysates with Mouse anti-CD4 antibody (HA601533) at 1/2,000 dilution. Lane 1: Mouse spleen tissue lysate Lane 2: C2C12 cell lysate (negative) Lane 3: Mouse thymus tissue lysate Lysates/proteins at 20 µg/Lane. Predicted band size: 51 kDa Observed band size: 51 kDa Exposure time: 1 minute 34 seconds; ECL: K1801; 4-20% SDS-PAGE gel. Proteins were transferred to a PVDF membrane and blocked with 5% NFDM/TBST for 1 hour at room temperature. The primary antibody (HA601533) at 1/2,000 dilution was used in primary antibody dilution (K1803) at 4℃ overnight. Goat Anti-Mouse IgG - HRP Secondary Antibody (HA1006) at 1/50,000 dilution was used for 1 hour at room temperature.
Application: IF-Tissue Species: Mouse Site: spleen Sample: Paraffin-embedded section Antibody concentration: 1/500
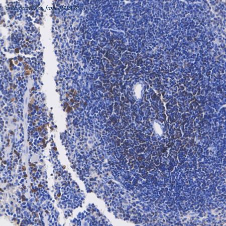
Immunohistochemical analysis of paraffin-embedded mouse spleen tissue with Mouse anti-CD4 antibody (HA601533) at 1/2,000 dilution. The section was pre-treated using heat mediated antigen retrieval with Tris-EDTA buffer (pH 9.0) for 20 minutes. The tissues were blocked in 1% BSA for 20 minutes at room temperature, washed with ddH2O and PBS, and then probed with the primary antibody (HA601533) at 1/2,000 dilution for 1 hour at room temperature. The detection was performed using an HRP conjugated compact polymer system. DAB was used as the chromogen. Tissues were counterstained with hematoxylin and mounted with DPX.
quantity: 100μl
price: 360.00 USD
to the supplier
CD4
HUABIO
catalog: HA601534
domestic rabbit polyclonal (PSH08-22)
reactivity:
mouse
application:
western blot
,
immunohistochemistry - paraffin section
,
immunohistochemistry - frozen section
Western blot analysis of CD4 on different lysates with Rat anti-CD4 antibody (HA601534) at 1/2,000 dilution. Lane 1: C2C12 cell lysate (negative) Lane 2: Mouse thymus tissue lysate Lysates/proteins at 20 µg/Lane. Predicted band size: 51 kDa Observed band size: 51 kDa Exposure time: 7 seconds; ECL: K1801; 4-20% SDS-PAGE gel. Proteins were transferred to a PVDF membrane and blocked with 5% NFDM/TBST for 1 hour at room temperature. The primary antibody (HA601534) at 1/2,000 dilution was used in primary antibody dilution (K1803) at 4℃ overnight. Goat Anti-Rat IgG H&L - HRP Secondary Antibody (HA1023) at 1/50,000 dilution was used for 1 hour at room temperature.
Application: IF-Tissue Species: Mouse Site: spleen Sample: Paraffin-embedded section Antibody concentration: 1/500
Immunohistochemical analysis of paraffin-embedded mouse spleen tissue with Rat anti-CD4 antibody (HA601534) at 1/2,000 dilution. The section was pre-treated using heat mediated antigen retrieval with Tris-EDTA buffer (pH 9.0) for 20 minutes. The tissues were blocked in 1% BSA for 20 minutes at room temperature, washed with ddH2O and PBS, and then probed with the primary antibody (HA601534) at 1/2,000 dilution for 1 hour at room temperature. The detection was performed using an HRP conjugated compact polymer system. DAB was used as the chromogen. Tissues were counterstained with hematoxylin and mounted with DPX.
quantity: 100μl
price: 360.00 USD
to the supplier
CD4
HUABIO
catalog: HA610353
domestic rabbit polyclonal (PSH08-22)
reactivity:
mouse
application:
western blot
,
immunohistochemistry - paraffin section
Western blot analysis of CD4 on different lysates with Mouse anti-CD4 antibody (HA610353) at 1/2,000 dilution. Lane 1: Mouse spleen tissue lysate Lane 2: C2C12 cell lysate (negative) Lane 3: Mouse thymus tissue lysate Lysates/proteins at 20 µg/Lane. Predicted band size: 51 kDa Observed band size: 51 kDa Exposure time: 1 minute 34 seconds; ECL: K1801; 4-20% SDS-PAGE gel. Proteins were transferred to a PVDF membrane and blocked with 5% NFDM/TBST for 1 hour at room temperature. The primary antibody (HA610353) at 1/2,000 dilution was used in primary antibody dilution (K1803) at 4℃ overnight. Goat Anti-Mouse IgG - HRP Secondary Antibody (HA1006) at 1/50,000 dilution was used for 1 hour at room temperature.
Application: IF-Tissue Species: Mouse Site: spleen Sample: Paraffin-embedded section Antibody concentration: 1/500
Immunohistochemical analysis of paraffin-embedded mouse spleen tissue with Mouse anti-CD4 antibody (HA610353) at 1/2,000 dilution. The section was pre-treated using heat mediated antigen retrieval with Tris-EDTA buffer (pH 9.0) for 20 minutes. The tissues were blocked in 1% BSA for 20 minutes at room temperature, washed with ddH2O and PBS, and then probed with the primary antibody (HA610353) at 1/2,000 dilution for 1 hour at room temperature. The detection was performed using an HRP conjugated compact polymer system. DAB was used as the chromogen. Tissues were counterstained with hematoxylin and mounted with DPX.
quantity: 100μl
price: 385.00 USD
to the supplier
CD4
HUABIO
catalog: HA610354
domestic rabbit polyclonal (PSH08-22)
reactivity:
mouse
application:
western blot
,
immunohistochemistry - paraffin section
,
immunohistochemistry - frozen section
Western blot analysis of CD4 on different lysates with Rat anti-CD4 antibody (HA610354) at 1/2,000 dilution. Lane 1: C2C12 cell lysate (negative) Lane 2: Mouse thymus tissue lysate Lysates/proteins at 20 µg/Lane. Predicted band size: 51 kDa Observed band size: 51 kDa Exposure time: 7 seconds; ECL: K1801; 4-20% SDS-PAGE gel. Proteins were transferred to a PVDF membrane and blocked with 5% NFDM/TBST for 1 hour at room temperature. The primary antibody (HA610354) at 1/2,000 dilution was used in primary antibody dilution (K1803) at 4℃ overnight. Goat Anti-Rat IgG H&L - HRP Secondary Antibody (HA1023) at 1/50,000 dilution was used for 1 hour at room temperature.
Application: IF-Tissue Species: Mouse Site: spleen Sample: Paraffin-embedded section Antibody concentration: 1/500
Immunohistochemical analysis of paraffin-embedded mouse spleen tissue with Rat anti-CD4 antibody (HA610354) at 1/2,000 dilution. The section was pre-treated using heat mediated antigen retrieval with Tris-EDTA buffer (pH 9.0) for 20 minutes. The tissues were blocked in 1% BSA for 20 minutes at room temperature, washed with ddH2O and PBS, and then probed with the primary antibody (HA610354) at 1/2,000 dilution for 1 hour at room temperature. The detection was performed using an HRP conjugated compact polymer system. DAB was used as the chromogen. Tissues were counterstained with hematoxylin and mounted with DPX.
quantity: 100μl
price: 385.00 USD
to the supplier
Mouse CD4
HUABIO
catalog: HA720202F
domestic rabbit polyclonal (PSH04-99)
reactivity:
mouse
conjugate: FITC
application:
flow cytometry
Flow cytometric analysis of BABL/C mouse splenocytes labeling Mouse CD4. Cells were washed twice with cold PBS and resuspend. Then stained with the primary antibody (HA720202F, 1μg/mL) (red). Unlabelled sample was used as a control (cells without incubation with primary antibody; black).
quantity: 100μl
price: 369.00 USD
to the supplier
Mouse CD4
HUABIO
catalog: HA720203F
domestic rabbit polyclonal (PSH04-99)
reactivity:
mouse
conjugate: PE
application:
flow cytometry
Flow cytometric analysis of BABL/C mouse splenocytes labeling Mouse CD4. Cells were washed twice with cold PBS and resuspend. Then stained with the primary antibody (HA720203F, 1μg/mL) (red). Unlabelled sample was used as a control (cells without incubation with primary antibody; black).
quantity: 100μl
price: 330 USD
to the supplier
Mouse CD4
HUABIO
catalog: HA720204F
domestic rabbit polyclonal (PSH04-99)
reactivity:
mouse
conjugate: APC
application:
flow cytometry
Flow cytometric analysis of BABL/C mouse splenocytes labeling Mouse CD4. Cells were washed twice with cold PBS and resuspend. Then stained with the primary antibody (HA720204F, 1μg/mL) (red). Unlabelled sample was used as a control (cells without incubation with primary antibody; black).
quantity: 100μl
price: 330 USD
to the supplier