Sign in
Sign up
home
>
HUABIO
> HUABIO Runx2 antibody
RUNX2
HUABIO
catalog: ET1612-47-50UL
domestic rabbit monoclonal (SD208-0)
reactivity:
human
,
mouse
,
rat
application:
western blot
,
immunoprecipitation
,
flow cytometry
,
immunohistochemistry - paraffin section
Western blot analysis of RUNX2 on different lysates with Rabbit anti-RUNX2 antibody (ET1612-47) at 1/10,000 dilution. Lane 1: MDA-MB-231 cell lysate Lane 2: Saos-2 cell lysate Lane 3: LNCaP cell lysate (low expression) Lane 4: NIH/3T3 cell lysate Lysates/proteins at 20 µg/Lane. Predicted band size: 57 kDa Observed band size: 57 kDa Exposure time: 2 minutes 24 seconds; ECL: K1801; 4-20% SDS-PAGE gel. Proteins were transferred to a PVDF membrane and blocked with 5% NFDM/TBST for 1 hour at room temperature. The primary antibody (ET1612-47) at 1/10,000 dilution was used in 5% NFDM/TBST at 4℃ overnight. Goat Anti-Rabbit IgG - HRP Secondary Antibody (HA1001) at 1/50,000 dilution was used for 1 hour at room temperature.
Immunocytochemistry analysis of Saos-2 (positive) and HeLa (negative) labeling RUNX2 with Rabbit anti-RUNX2 antibody (ET1612-47) at 1/5,000 dilution and competitor's antibody at 1/1,000 dilution. Cells were fixed in 4% paraformaldehyde for 20 minutes at room temperature, permeabilized with 0.1% Triton X-100 in PBS for 5 minutes at room temperature, then blocked with 1% BSA in 10% negative goat serum for 1 hour at room temperature. Cells were then incubated with Rabbit anti-RUNX2 antibody (ET1612-47) at 1/5,000 dilution and competitor's antibody at 1/1,000 dilution in 1% BSA in PBST overnight at 4 ℃. Goat Anti-Rabbit IgG H&L (iFluor™ 488, HA1121) was used as the secondary antibody at 1/1,000 dilution. PBS instead of the primary antibody was used as the secondary antibody only control. Nuclear DNA was labelled in blue with DAPI. Beta tubulin (M1305-2, red) was stained at 1/100 dilution overnight at +4℃. Goat Anti-Mouse IgG H&L (iFluor™ 594, HA1126) was used as the secondary antibody at 1/1,000 dilution.
Western blot analysis of RUNX2 on different lysates with Rabbit anti-RUNX2 antibody (ET1612-47) at 1/5,000 dilution. Lane 1: Saos-2-si NT cell lysate Lane 2: Saos-2-si RUNX2#1 cell lysate Lane 3: Saos-2-si RUNX2#2 cell lysate Lysates/proteins at 10 µg/Lane. Predicted band size: 57 kDa Observed band size: 57、55 kDa Exposure time: 43 seconds; ECL: K1801; 4-20% SDS-PAGE gel. ET1612-47 was shown to specifically react with RUNX2 in Saos-2-si NT cells. Weakened bands were observed when Saos-2-si RUNX2 samples were tested. Saos-2-si NT and Saos-2-si RUNX2 samples were subjected to SDS-PAGE. Proteins were transferred to a PVDF membrane and blocked with 5% NFDM in TBST for 1 hour at room temperature. The primary antibody (ET1612-47, 1/5,000) and Loading control antibody (Rabbit anti-GAPDH, ET1601-4, 1/10,000) were used in 5% NFDM/TBST at 4℃ overnight. Goat Anti-rabbit IgG-HRP Secondary Antibody (HA1001) at 1:50,000 dilution was used for 1 hour at room temperature.
quantity: 50μl
price: 205.00 USD
to the supplier
RUNX1+RUNX2+RUNX3
HUABIO
catalog: ET1612-49
domestic rabbit monoclonal (SD0803)
reactivity:
human
,
mouse
,
rat
application:
western blot
,
immunoprecipitation
,
flow cytometry
,
immunohistochemistry - paraffin section
Western blot analysis of RUNX1+RUNX2+RUNX3 on different lysates with Rabbit anti-RUNX1+RUNX2+RUNX3 antibody (ET1612-49) at 1/1,000 dilution. Lane 1: Saos-2 cell lysate Lane 2: NIH/3T3 cell lysate Lane 3: SHG-44 cell lysate Lane 4: Mouse thymus tissue lysate Lysates/proteins at 10 µg/Lane1-3 and 20ug/Lane4. Predicted band size: 49 kDa Observed band size: 50 kDa Exposure time: 14 seconds; ECL: K1801; 4-20% SDS-PAGE gel. Proteins were transferred to a PVDF membrane and blocked with 5% NFDM/TBST for 1 hour at room temperature. The primary antibody (ET1612-49) at 1/1,000 dilution was used in 5% NFDM/TBST at 4℃ overnight. Goat Anti-Rabbit IgG - HRP Secondary Antibody (HA1001) at 1/50,000 dilution was used for 1 hour at room temperature.
Immunocytochemistry analysis of SHG-44 cells labeling RUNX1+RUNX2+RUNX3 with Rabbit anti-RUNX1+RUNX2+RUNX3 antibody (ET1612-49) at 1/100 dilution. Cells were fixed in 4% paraformaldehyde for 15 minutes at room temperature, permeabilized with 0.1% Triton X-100 in PBS for 15 minutes at room temperature, then blocked with 1% BSA in 10% negative goat serum for 1 hour at room temperature. Cells were then incubated with Rabbit anti-RUNX1+RUNX2+RUNX3 antibody (ET1612-49) at 1/100 dilution in 1% BSA in PBST overnight at 4 ℃. Goat Anti-Rabbit IgG H&L (iFluor™ 488, HA1121) was used as the secondary antibody at 1/1,000 dilution. PBS instead of the primary antibody was used as the secondary antibody only control. Nuclear DNA was labelled in blue with DAPI. Beta tubulin (M1305-2, red) was stained at 1/100 dilution overnight at +4℃. Goat Anti-Mouse IgG H&L (iFluor™ 594, HA1126) was used as the secondary antibody at 1/1,000 dilution.
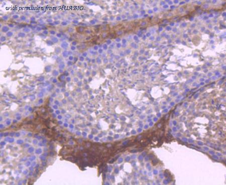
Immunohistochemical analysis of paraffin-embedded mouse testis tissue using anti-RUNX1+RUNX2+RUNX3 antibody. Counter stained with hematoxylin.
quantity: 100μl
price: 385.00 USD
to the supplier
RUNX2
HUABIO
catalog: HA750295
domestic rabbit monoclonal (SD208-0)
reactivity:
human
,
mouse
,
rat
application:
western blot
,
immunoprecipitation
,
flow cytometry
,
immunohistochemistry - paraffin section
Western blot analysis of RUNX2 on different lysates with Rabbit anti-RUNX2 antibody (HA750295) at 1/10,000 dilution. Lane 1: MDA-MB-231 cell lysate Lane 2: Saos-2 cell lysate Lane 3: LNCaP cell lysate (low expression) Lane 4: NIH/3T3 cell lysate Lysates/proteins at 20 µg/Lane. Predicted band size: 57 kDa Observed band size: 57 kDa Exposure time: 2 minutes 24 seconds; ECL: K1801; 4-20% SDS-PAGE gel. Proteins were transferred to a PVDF membrane and blocked with 5% NFDM/TBST for 1 hour at room temperature. The primary antibody (HA750295) at 1/10,000 dilution was used in 5% NFDM/TBST at 4℃ overnight. Goat Anti-Rabbit IgG - HRP Secondary Antibody (HA1001) at 1/50,000 dilution was used for 1 hour at room temperature.
Immunocytochemistry analysis of Saos-2 (positive) and HeLa (negative) labeling RUNX2 with Rabbit anti-RUNX2 antibody (HA750295) at 1/5,000 dilution and competitor's antibody at 1/1,000 dilution. Cells were fixed in 4% paraformaldehyde for 20 minutes at room temperature, permeabilized with 0.1% Triton X-100 in PBS for 5 minutes at room temperature, then blocked with 1% BSA in 10% negative goat serum for 1 hour at room temperature. Cells were then incubated with Rabbit anti-RUNX2 antibody (HA750295) at 1/5,000 dilution and competitor's antibody at 1/1,000 dilution in 1% BSA in PBST overnight at 4 ℃. Goat Anti-Rabbit IgG H&L (iFluor™ 488, HA1121) was used as the secondary antibody at 1/1,000 dilution. PBS instead of the primary antibody was used as the secondary antibody only control. Nuclear DNA was labelled in blue with DAPI. Beta tubulin (M1305-2, red) was stained at 1/100 dilution overnight at +4℃. Goat Anti-Mouse IgG H&L (iFluor™ 594, HA1126) was used as the secondary antibody at 1/1,000 dilution.
Western blot analysis of RUNX2 on different lysates with Rabbit anti-RUNX2 antibody (HA750295) at 1/5,000 dilution. Lane 1: Saos-2-si NT cell lysate Lane 2: Saos-2-si RUNX2#1 cell lysate Lane 3: Saos-2-si RUNX2#2 cell lysate Lysates/proteins at 10 µg/Lane. Predicted band size: 57 kDa Observed band size: 57、55 kDa Exposure time: 43 seconds; ECL: K1801; 4-20% SDS-PAGE gel. ET1612-47 was shown to specifically react with RUNX2 in Saos-2-si NT cells. Weakened bands were observed when Saos-2-si RUNX2 samples were tested. Saos-2-si NT and Saos-2-si RUNX2 samples were subjected to SDS-PAGE. Proteins were transferred to a PVDF membrane and blocked with 5% NFDM in TBST for 1 hour at room temperature. The primary antibody (ET1612-47, 1/5,000) and Loading control antibody (Rabbit anti-GAPDH, ET1601-4, 1/10,000) were used in 5% NFDM/TBST at 4℃ overnight. Goat Anti-rabbit IgG-HRP Secondary Antibody (HA1001) at 1:50,000 dilution was used for 1 hour at room temperature.
quantity: 100μl
price: 649.00 USD
to the supplier
RUNX1+RUNX2+RUNX3
HUABIO
catalog: HA750296
domestic rabbit monoclonal (SD0803)
reactivity:
human
,
mouse
,
rat
application:
western blot
,
immunoprecipitation
,
flow cytometry
,
immunohistochemistry - paraffin section
Western blot analysis of RUNX1+RUNX2+RUNX3 on different lysates with Rabbit anti-RUNX1+RUNX2+RUNX3 antibody (HA750296) at 1/1,000 dilution. Lane 1: Saos-2 cell lysate Lane 2: NIH/3T3 cell lysate Lane 3: SHG-44 cell lysate Lane 4: Mouse thymus tissue lysate Lysates/proteins at 10 µg/Lane1-3 and 20ug/Lane4. Predicted band size: 49 kDa Observed band size: 50 kDa Exposure time: 14 seconds; ECL: K1801; 4-20% SDS-PAGE gel. Proteins were transferred to a PVDF membrane and blocked with 5% NFDM/TBST for 1 hour at room temperature. The primary antibody (HA750296) at 1/1,000 dilution was used in 5% NFDM/TBST at 4℃ overnight. Goat Anti-Rabbit IgG - HRP Secondary Antibody (HA1001) at 1/50,000 dilution was used for 1 hour at room temperature.
Immunocytochemistry analysis of SHG-44 cells labeling RUNX1+RUNX2+RUNX3 with Rabbit anti-RUNX1+RUNX2+RUNX3 antibody (HA750296) at 1/100 dilution. Cells were fixed in 4% paraformaldehyde for 15 minutes at room temperature, permeabilized with 0.1% Triton X-100 in PBS for 15 minutes at room temperature, then blocked with 1% BSA in 10% negative goat serum for 1 hour at room temperature. Cells were then incubated with Rabbit anti-RUNX1+RUNX2+RUNX3 antibody (HA750296) at 1/100 dilution in 1% BSA in PBST overnight at 4 ℃. Goat Anti-Rabbit IgG H&L (iFluor™ 488, HA1121) was used as the secondary antibody at 1/1,000 dilution. PBS instead of the primary antibody was used as the secondary antibody only control. Nuclear DNA was labelled in blue with DAPI. Beta tubulin (M1305-2, red) was stained at 1/100 dilution overnight at +4℃. Goat Anti-Mouse IgG H&L (iFluor™ 594, HA1126) was used as the secondary antibody at 1/1,000 dilution.
Immunohistochemical analysis of paraffin-embedded mouse testis tissue using anti-RUNX1+RUNX2+RUNX3 antibody. Counter stained with hematoxylin.
quantity: 100μl
price: 649.00 USD
to the supplier
RUNX2
HUABIO
catalog: IRS238RB
domestic rabbit monoclonal
reactivity:
mouse
mIHC analysis of mouse spleen tissue (Formalin/PFA-fixed paraffin-embedded sections) with Rabbit anti-RUNX2 antibody (IRS238RB) at 1/100 dilution. The immunostaining was performed with the IRISKitCmTSA Kit (900808). Heat mediated antigen retrieval with Tris-EDTA buffer (pH 9.0) for 30 mins at 95℃. DAPI (blue) was used as a nuclear counter stain. Image acquisition was performed with Olympus VS200 Slide Scanner.
quantity: 50T
price: 278.00 USD
to the supplier
Anti-RUNX2 Antibody [SD208-0]
HUABIO
catalog: ET1612-47TR
domestic rabbit monoclonal (SD208-0)
reactivity:
human
,
mouse
,
rat
application:
western blot
,
flow cytometry
,
immunohistochemistry - paraffin section
quantity: 20 uL
price: 99 USD
to the supplier