Calreticulin
HUABIO
catalog: ET1608-60-50UL
domestic rabbit monoclonal (SU37-03)
reactivity: human, mouse, rat
application: western blot, immunoprecipitation, flow cytometry, immunohistochemistry - paraffin section

Western blot analysis of Calreticulin on different lysates with Rabbit anti-Calreticulin antibody (ET1608-60) at 1/50,000 dilution and competitor's antibody at 1/5,000 dilution. Lane 1: HepG2 cell lysate Lane 2: HeLa cell lysate Lane 3: HL-60 cell lysate Lane 4: C2C12 cell lysate Lane 5: C6 cell lysate Lane 6: Mouse liver tissue lysate Lane 7: Rat liver tissue lysate Lysates/proteins at 10 µg/Lane. Predicted band size: 48 kDa Observed band size: 55 kDa Exposure time: 1 minute 2 seconds; ECL: K1801; 4-20% SDS-PAGE gel. Proteins were transferred to a PVDF membrane and blocked with 5% NFDM/TBST for 1 hour at room temperature. The primary antibody (ET1608-60) at 1/50,000 dilution and competitor's antibody at 1/5,000 dilution were used in 5% NFDM/TBST at 4℃ overnight. Goat Anti-Rabbit IgG - HRP Secondary Antibody (HA1001) at 1/50,000 dilution was used for 1 hour at room temperature.

Western blot analysis of Calreticulin on different lysates with Rabbit anti-Calreticulin antibody (ET1608-60) at 1/50,000 dilution. Lane 1: HAP1-parental cell lysate (10 µg/Lane) Lane 2: HAP1-Calreticulin KD cell lysate (10 µg/Lane) Predicted band size: 48 kDa Observed band size: 55 kDa Exposure time: 30 seconds; ECL: K1801; 4-20% SDS-PAGE gel. Proteins were transferred to a PVDF membrane and blocked with 5% NFDM/TBST for 1 hour at room temperature. The primary antibody (ET1608-60) at 1/50,000 dilution was used in K1803 at 4℃ overnight. Goat Anti-Rabbit IgG - HRP Secondary Antibody (HA1001) at 1/50,000 dilution was used for 1 hour at room temperature.

Western blot analysis of Calreticulin on different lysates with Rabbit anti-Calreticulin antibody (ET1608-60) at 1/50,000 dilution. Lane 1: HeLa-si NT cell lysate (10 µg/Lane) Lane 2: HeLa-si Calreticulin cell lysate (10 µg/Lane) Predicted band size: 48 kDa Observed band size: 55 kDa Exposure time: 13 seconds; ECL: K1801; 4-20% SDS-PAGE gel. Proteins were transferred to a PVDF membrane and blocked with 5% NFDM/TBST for 1 hour at room temperature. The primary antibody (ET1608-60) at 1/50,000 dilution was used in 5% NFDM/TBST at 4℃ overnight. Goat Anti-Rabbit IgG - HRP Secondary Antibody (HA1001) at 1/50,000 dilution was used for 1 hour at room temperature.
quantity: 50μl
price: 205.00 USD
to the supplier
Calreticulin
HUABIO
catalog: HA750156
domestic rabbit monoclonal (SU37-03)
reactivity: human, mouse, rat
application: western blot, immunoprecipitation, flow cytometry, immunohistochemistry - paraffin section

Western blot analysis of Calreticulin on different lysates with Rabbit anti-Calreticulin antibody (HA750156) at 1/50,000 dilution and competitor's antibody at 1/5,000 dilution. Lane 1: HepG2 cell lysate Lane 2: HeLa cell lysate Lane 3: HL-60 cell lysate Lane 4: C2C12 cell lysate Lane 5: C6 cell lysate Lane 6: Mouse liver tissue lysate Lane 7: Rat liver tissue lysate Lysates/proteins at 10 µg/Lane. Predicted band size: 48 kDa Observed band size: 55 kDa Exposure time: 1 minute 2 seconds; ECL: K1801; 4-20% SDS-PAGE gel. Proteins were transferred to a PVDF membrane and blocked with 5% NFDM/TBST for 1 hour at room temperature. The primary antibody (HA750156) at 1/50,000 dilution and competitor's antibody at 1/5,000 dilution were used in 5% NFDM/TBST at 4℃ overnight. Goat Anti-Rabbit IgG - HRP Secondary Antibody (HA1001) at 1/50,000 dilution was used for 1 hour at room temperature.

Western blot analysis of Calreticulin on different lysates with Rabbit anti-Calreticulin antibody (HA750156) at 1/50,000 dilution. Lane 1: HAP1-parental cell lysate (10 µg/Lane) Lane 2: HAP1-Calreticulin KD cell lysate (10 µg/Lane) Predicted band size: 48 kDa Observed band size: 55 kDa Exposure time: 30 seconds; ECL: K1801; 4-20% SDS-PAGE gel. Proteins were transferred to a PVDF membrane and blocked with 5% NFDM/TBST for 1 hour at room temperature. The primary antibody (HA750156) at 1/50,000 dilution was used in K1803 at 4℃ overnight. Goat Anti-Rabbit IgG - HRP Secondary Antibody (HA1001) at 1/50,000 dilution was used for 1 hour at room temperature.

Western blot analysis of Calreticulin on different lysates with Rabbit anti-Calreticulin antibody (HA750156) at 1/50,000 dilution. Lane 1: HeLa-si NT cell lysate (10 µg/Lane) Lane 2: HeLa-si Calreticulin cell lysate (10 µg/Lane) Predicted band size: 48 kDa Observed band size: 55 kDa Exposure time: 13 seconds; ECL: K1801; 4-20% SDS-PAGE gel. Proteins were transferred to a PVDF membrane and blocked with 5% NFDM/TBST for 1 hour at room temperature. The primary antibody (HA750156) at 1/50,000 dilution was used in 5% NFDM/TBST at 4℃ overnight. Goat Anti-Rabbit IgG - HRP Secondary Antibody (HA1001) at 1/50,000 dilution was used for 1 hour at room temperature.
quantity: 100μl
price: 649.00 USD
to the supplier
Calreticulin
HUABIO
catalog: HA601547
domestic rabbit polyclonal (SU37-03)
reactivity: human, mouse, rat
application: western blot, immunohistochemistry - paraffin section

Western blot analysis of Calreticulin on different lysates with Mouse anti-Calreticulin antibody (HA601547) at 1/10,000 dilution. Lane 1: HepG2 cell lysate Lane 2: HeLa cell lysate Lane 3: C2C12 cell lysate Lane 4: C6 cell lysate Lane 5: COS-1 cell lysate Lane 6: Mouse liver tissue lysate Lane 7: Rat liver tissue lysate Lysates/proteins at 15 µg/Lane. Predicted band size: 48 kDa Observed band size: 55 kDa Exposure time: 10 seconds; ECL: K1801; 4-20% SDS-PAGE gel. Proteins were transferred to a PVDF membrane and blocked with 5% NFDM/TBST for 1 hour at room temperature. The primary antibody (HA601547) at 1/10,000 dilution was used in primary antibody dilution (K1803) at 4℃ overnight. Goat Anti-Mouse IgG - HRP Secondary Antibody (HA1006) at 1/50,000 dilution was used for 1 hour at room temperature.

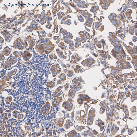
Immunohistochemical analysis of paraffin-embedded human breast carcinoma tissue with Mouse anti-Calreticulin antibody (HA601547) at 1/20,000 dilution. The section was pre-treated using heat mediated antigen retrieval with Tris-EDTA buffer (pH 9.0) for 20 minutes. The tissues were blocked in 1% BSA for 20 minutes at room temperature, washed with ddH2O and PBS, and then probed with the primary antibody (HA601547) at 1/20,000 dilution for 1 hour at room temperature. The detection was performed using an HRP conjugated compact polymer system. DAB was used as the chromogen. Tissues were counterstained with hematoxylin and mounted with DPX.

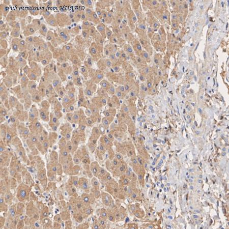
Immunohistochemical analysis of paraffin-embedded human liver tissue with Mouse anti-Calreticulin antibody (HA601547) at 1/20,000 dilution. The section was pre-treated using heat mediated antigen retrieval with Tris-EDTA buffer (pH 9.0) for 20 minutes. The tissues were blocked in 1% BSA for 20 minutes at room temperature, washed with ddH2O and PBS, and then probed with the primary antibody (HA601547) at 1/20,000 dilution for 1 hour at room temperature. The detection was performed using an HRP conjugated compact polymer system. DAB was used as the chromogen. Tissues were counterstained with hematoxylin and mounted with DPX.
quantity: 100μl
price: 360.00 USD
to the supplier
Calreticulin
HUABIO
catalog: HA610363
domestic rabbit polyclonal (SU37-03)
reactivity: human, mouse, rat
application: western blot, immunohistochemistry - paraffin section

Western blot analysis of Calreticulin on different lysates with Mouse anti-Calreticulin antibody (HA610363) at 1/10,000 dilution. Lane 1: HepG2 cell lysate Lane 2: HeLa cell lysate Lane 3: C2C12 cell lysate Lane 4: C6 cell lysate Lane 5: COS-1 cell lysate Lane 6: Mouse liver tissue lysate Lane 7: Rat liver tissue lysate Lysates/proteins at 15 µg/Lane. Predicted band size: 48 kDa Observed band size: 55 kDa Exposure time: 10 seconds; ECL: K1801; 4-20% SDS-PAGE gel. Proteins were transferred to a PVDF membrane and blocked with 5% NFDM/TBST for 1 hour at room temperature. The primary antibody (HA610363) at 1/10,000 dilution was used in primary antibody dilution (K1803) at 4℃ overnight. Goat Anti-Mouse IgG - HRP Secondary Antibody (HA1006) at 1/50,000 dilution was used for 1 hour at room temperature.

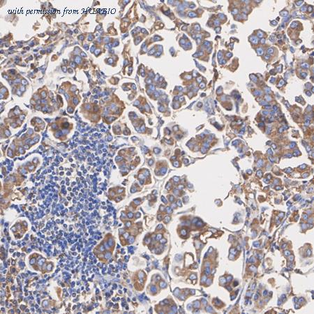
Immunohistochemical analysis of paraffin-embedded human breast carcinoma tissue with Mouse anti-Calreticulin antibody (HA610363) at 1/20,000 dilution. The section was pre-treated using heat mediated antigen retrieval with Tris-EDTA buffer (pH 9.0) for 20 minutes. The tissues were blocked in 1% BSA for 20 minutes at room temperature, washed with ddH2O and PBS, and then probed with the primary antibody (HA610363) at 1/20,000 dilution for 1 hour at room temperature. The detection was performed using an HRP conjugated compact polymer system. DAB was used as the chromogen. Tissues were counterstained with hematoxylin and mounted with DPX.

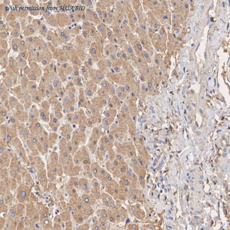
Immunohistochemical analysis of paraffin-embedded human liver tissue with Mouse anti-Calreticulin antibody (HA610363) at 1/20,000 dilution. The section was pre-treated using heat mediated antigen retrieval with Tris-EDTA buffer (pH 9.0) for 20 minutes. The tissues were blocked in 1% BSA for 20 minutes at room temperature, washed with ddH2O and PBS, and then probed with the primary antibody (HA610363) at 1/20,000 dilution for 1 hour at room temperature. The detection was performed using an HRP conjugated compact polymer system. DAB was used as the chromogen. Tissues were counterstained with hematoxylin and mounted with DPX.
quantity: 100μl
price: 385.00 USD
to the supplier