Sign in
Sign up
home
>
HUABIO
> HUABIO Lmnb1 antibody
Lamin B1
HUABIO
catalog: ET1606-27
domestic rabbit monoclonal (SI17-07)
reactivity:
human
,
mouse
,
rat
application:
western blot
,
immunohistochemistry - paraffin section
Western blot analysis of Lamin B1 on different lysates with Rabbit anti-Lamin B1 antibody (ET1606-27) at 1/50,000 dilution. Lane 1: HeLa cell lysate Lane 2: HEK-293 cell lysate Lane 3: THP-1 cell lysate Lane 4: SH-SY5Y cell lysate Lane 5: C2C12 cell lysate Lane 6: NIH/3T3 cell lysate Lane 7: C6 cell lysate Lane 8: PC-12 cell lysate Lysates/proteins at 15 µg/Lane. Predicted band size: 66 kDa Observed band size: 66 kDa Exposure time: 21 seconds; ECL: K1801; 4-20% SDS-PAGE gel. Proteins were transferred to a PVDF membrane and blocked with 5% NFDM/TBST for 1 hour at room temperature. The primary antibody (ET1606-27) at 1/50,000 dilution was used in 5% NFDM/TBST at 4℃ overnight. Goat Anti-Rabbit IgG - HRP Secondary Antibody (HA1001) at 1/50,000 dilution was used for 1 hour at room temperature.
All lanes: Western blot analysis of Lamin B1 with anti-Lamin B1 antibody [SI17-06] (ET1606-27) at 1:1,000 dilution. Lane 1/2: Wild-type Hela whole cell lysate (20 µg). Lane 3/4: Lamin B1 knockout Hela whole cell lysate (20 µg). ET1606-27 was shown to specifically react with Lamin B1 in wild-type Hela cells. No band was observed when Lamin B1 knockout samples were tested. Wild-type and Lamin B1 knockout samples were subjected to SDS-PAGE. Proteins were transferred to a PVDF membrane and blocked with 5% NFDM in TBST for 1 hour at room temperature. The primary antibody (ET1606-27, 1/1,000) and Loading control antibody(Rabbit anti-Vinculin, ET1705-94, 1/5,000) was used in 5% BSA at room temperature for 2 hours. Goat Anti-Rabbit IgG-HRP Secondary Antibody (HA1001) at 1:200,000 dilution was used for 1 hour at room temperature.
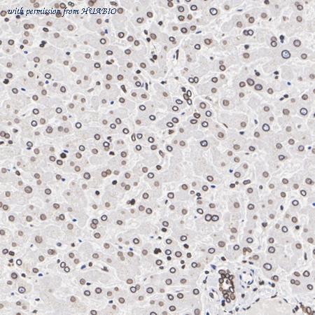
Immunohistochemical analysis of paraffin-embedded human liver tissue with Rabbit anti-Lamin B1 antibody (ET1606-27) at 1/1,000 dilution. The section was pre-treated using heat mediated antigen retrieval with Tris-EDTA buffer (pH 9.0) for 20 minutes. The tissues were blocked in 1% BSA for 20 minutes at room temperature, washed with ddH2O and PBS, and then probed with the primary antibody (ET1606-27) at 1/1,000 dilution for 1 hour at room temperature. The detection was performed using an HRP conjugated compact polymer system. DAB was used as the chromogen. Tissues were counterstained with hematoxylin and mounted with DPX.
quantity: 100μl
price: 385.00 USD
to the supplier
Lamin B1
HUABIO
catalog: HA720171F
domestic rabbit monoclonal (SI17-07)
reactivity:
human
,
mouse
,
rat
Immunofluorescence analysis of paraffin-embedded human colon carcinoma tissue labeling Lamin B1 with Rabbit anti-Lamin B1 antibody (HA720171F) at 1/200 dilution. The section was pre-treated using heat mediated antigen retrieval with sodium citrate buffer (pH 6.0) (high pressure) for 2 minutes. The tissues were blocked in 10% negative goat serum for 1 hour at room temperature, washed with PBS, and then probed with the primary antibody (HA720171F, green) at 1/200 dilution overnight at 4 ℃, washed with PBS. Nuclei were counterstained with DAPI (blue).
Immunofluorescence analysis of paraffin-embedded mouse colon tissue labeling Lamin B1 with Rabbit anti-Lamin B1 antibody (HA720171F) at 1/200 dilution. The section was pre-treated using heat mediated antigen retrieval with sodium citrate buffer (pH 6.0) (high pressure) for 2 minutes. The tissues were blocked in 10% negative goat serum for 1 hour at room temperature, washed with PBS, and then probed with the primary antibody (HA720171F, green) at 1/200 dilution overnight at 4 ℃, washed with PBS. Nuclei were counterstained with DAPI (blue).
Immunofluorescence analysis of paraffin-embedded rat colon tissue labeling Lamin B1 with Rabbit anti-Lamin B1 antibody (HA720171F) at 1/200 dilution. The section was pre-treated using heat mediated antigen retrieval with sodium citrate buffer (pH 6.0) (high pressure) for 2 minutes. The tissues were blocked in 10% negative goat serum for 1 hour at room temperature, washed with PBS, and then probed with the primary antibody (HA720171F, green) at 1/200 dilution overnight at 4 ℃, washed with PBS. Nuclei were counterstained with DAPI (blue).
quantity: 100μl
price: 429.00 USD
to the supplier
Lamin B1
HUABIO
catalog: HA720172F
domestic rabbit monoclonal (SI17-07)
reactivity:
human
,
mouse
,
rat
Immunofluorescence analysis of paraffin-embedded rat large intestine tissue labeling Lamin B1 (HA720172F). The section was pre-treated using heat mediated antigen retrieval with sodium citrate buffer (pH 6.0) (high pressure) for 2 minutes. The tissues were blocked in 10% negative goat serum for 1 hour at room temperature, washed with PBS. And then probed with the primary antibody Lamin B1 (HA720172F, iFluor™ 647) at 1/200 dilution overnight at 4 ℃, washed with PBS. DAPI was used as nuclear counterstain.
Immunofluorescence analysis of paraffin-embedded human colon carcinoma tissue labeling Lamin B1 (HA720172F). The section was pre-treated using heat mediated antigen retrieval with sodium citrate buffer (pH 6.0) (high pressure) for 2 minutes. The tissues were blocked in 10% negative goat serum for 1 hour at room temperature, washed with PBS. And then probed with the primary antibody Lamin B1 (HA720172F, iFluor™ 647) at 1/200 dilution overnight at 4 ℃, washed with PBS. DAPI was used as nuclear counterstain.
Immunofluorescence analysis of paraffin-embedded human breast carcinoma tissue labeling Lamin B1 (HA720172F). The section was pre-treated using heat mediated antigen retrieval with sodium citrate buffer (pH 6.0) (high pressure) for 2 minutes. The tissues were blocked in 10% negative goat serum for 1 hour at room temperature, washed with PBS. And then probed with the primary antibody Lamin B1 (HA720172F, iFluor™ 647) at 1/200 dilution overnight at 4 ℃, washed with PBS. DAPI was used as nuclear counterstain.
quantity: 100μl
price: 429.00 USD
to the supplier
Lamin B1
HUABIO
catalog: HA750098
domestic rabbit monoclonal (SI17-07)
reactivity:
human
,
mouse
,
rat
application:
western blot
,
immunohistochemistry - paraffin section
Western blot analysis of Lamin B1 on different lysates with Rabbit anti-Lamin B1 antibody (HA750098) at 1/50,000 dilution. Lane 1: HeLa cell lysate Lane 2: HEK-293 cell lysate Lane 3: THP-1 cell lysate Lane 4: SH-SY5Y cell lysate Lane 5: C2C12 cell lysate Lane 6: NIH/3T3 cell lysate Lane 7: C6 cell lysate Lane 8: PC-12 cell lysate Lysates/proteins at 15 µg/Lane. Predicted band size: 66 kDa Observed band size: 66 kDa Exposure time: 21 seconds; ECL: K1801; 4-20% SDS-PAGE gel. Proteins were transferred to a PVDF membrane and blocked with 5% NFDM/TBST for 1 hour at room temperature. The primary antibody (HA750098) at 1/50,000 dilution was used in 5% NFDM/TBST at 4℃ overnight. Goat Anti-Rabbit IgG - HRP Secondary Antibody (HA1001) at 1/50,000 dilution was used for 1 hour at room temperature.
All lanes: Western blot analysis of Lamin B1 with anti-Lamin B1 antibody [SI17-06] (HA750098) at 1:1,000 dilution. Lane 1/2: Wild-type Hela whole cell lysate (20 µg). Lane 3/4: Lamin B1 knockout Hela whole cell lysate (20 µg). ET1606-27 was shown to specifically react with Lamin B1 in wild-type Hela cells. No band was observed when Lamin B1 knockout samples were tested. Wild-type and Lamin B1 knockout samples were subjected to SDS-PAGE. Proteins were transferred to a PVDF membrane and blocked with 5% NFDM in TBST for 1 hour at room temperature. The primary antibody (ET1606-27, 1/1,000) and Loading control antibody(Rabbit anti-Vinculin, ET1705-94, 1/5,000) was used in 5% BSA at room temperature for 2 hours. Goat Anti-Rabbit IgG-HRP Secondary Antibody (HA1001) at 1:200,000 dilution was used for 1 hour at room temperature.
Immunohistochemical analysis of paraffin-embedded human liver tissue with Rabbit anti-Lamin B1 antibody (HA750098) at 1/1,000 dilution. The section was pre-treated using heat mediated antigen retrieval with Tris-EDTA buffer (pH 9.0) for 20 minutes. The tissues were blocked in 1% BSA for 20 minutes at room temperature, washed with ddH2O and PBS, and then probed with the primary antibody (HA750098) at 1/1,000 dilution for 1 hour at room temperature. The detection was performed using an HRP conjugated compact polymer system. DAB was used as the chromogen. Tissues were counterstained with hematoxylin and mounted with DPX.
quantity: 100μl
price: 649.00 USD
to the supplier
Lamin B1
HUABIO
catalog: R1508-1
domestic rabbit polyclonal
reactivity:
human
,
mouse
,
rat
application:
western blot
Western blot analysis on different cell lysates using anti- Lamin B1 rabbit polyclonal antibodies.
All lanes: Western blot analysis of Lamin B1 with anti-Lamin B1 antibody (R1508-1) at 1/500 dilution. Lane 1: Wild-type Hela whole cell lysate (10 µg). Lane 2: Lamin B1 knockdown Hela whole cell lysate (10 µg). R1508-1 was shown to specifically react with Lamin B1 in wild-type Hela cells. Weakened band was observed when Lamin B1 knockdown sample was tested. Wild-type and Lamin B1 knockdown samples were subjected to SDS-PAGE. Proteins were transferred to a PVDF membrane and blocked with 5% NFDM in TBST for 1 hour at room temperature. The primary antibody (R1508-1, 1/500) was used in 5% BSA at room temperature for 2 hours. Goat Anti-Rabbit IgG-HRP Secondary Antibody (HA1001) at 1:300,000 dilution was used for 1 hour at room temperature.
quantity: 100μl
price: 330 USD
to the supplier
Anti-Lamin B1 Antibody [SI17-07]
HUABIO
catalog: ET1606-27TR
domestic rabbit monoclonal (SI17-07)
reactivity:
human
,
mouse
,
rat
application:
western blot
,
immunohistochemistry - paraffin section
quantity: 20 uL
price: 99 USD
to the supplier