domestic rabbit polyclonal
reactivity: human, mouse
application: western blot, flow cytometry, immunohistochemistry - paraffin section
reactivity: human, mouse
application: western blot, flow cytometry, immunohistochemistry - paraffin section

Western blot analysis on human heart tissue lysate(1) and human serum lysate(2) using anti-albumin polyclonal antibody.

ICC staining Albumin in D3 cells (red). Cells were fixed in paraformaldehyde, permeabilised with 0.25% Triton X100/PBS.

Immunohistochemical analysis of paraffin-embedded human liver tissue with Rabbit anti-Albumin antibody (0806-9) at 1/50 dilution. The section was pre-treated using heat mediated antigen retrieval with Tris-EDTA buffer (pH 9.0) for 20 minutes. The tissues were blocked in 1% BSA for 20 minutes at room temperature, washed with ddH2O and PBS, and then probed with the primary antibody (0806-9) at 1/50 dilution for 1 hour at room temperature. The detection was performed using an HRP conjugated compact polymer system. DAB was used as the chromogen. Tissues were counterstained with hematoxylin and mounted with DPX.
quantity: 100μl
price: 330 USD
to the supplier
domestic rabbit monoclonal (JF32-10)
reactivity: human, mouse, rat, bovine
application: western blot, immunohistochemistry - paraffin section
reactivity: human, mouse, rat, bovine
application: western blot, immunohistochemistry - paraffin section

Western blot analysis of Albumin on different lysates with Rabbit anti-Albumin antibody (ET1702-55) at 1/5,000 dilution. Lane 1: Human liver tissue lysate Lane 2: Mouse liver tissue lysate Lane 3: Rat liver tissue lysate Lysates/proteins at 20 µg/Lane. Predicted band size: 69 kDa Observed band size: 69 kDa Exposure time: 30 seconds; 4-20% SDS-PAGE gel. Proteins were transferred to a PVDF membrane and blocked with 5% NFDM/TBST for 1 hour at room temperature. The primary antibody (ET1702-55) at 1/5,000 dilution was used in 5% NFDM/TBST at 4℃ overnight. Goat Anti-Rabbit IgG - HRP Secondary Antibody (HA1001) at 1:50,000 dilution was used for 1 hour at room temperature.

Western blot analysis of Albumin on different lysates with Rabbit anti-Albumin antibody (ET1702-55) at 1/40,000 dilution. Lane 1: Mouse liver tissue lysate Lane 2: Mouse spleen tissue lysate Lane 3: Rat liver tissue lysate Lysates/proteins at 20 µg/Lane. Predicted band size: 69 kDa Observed band size: 69 kDa Exposure time: 10 seconds; ECL: K1801; 4-20% SDS-PAGE gel. Proteins were transferred to a PVDF membrane and blocked with 5% NFDM/TBST for 1 hour at room temperature. The primary antibody (ET1702-55) at 1/40,000 dilution was used in 5% NFDM/TBST at 4℃ overnight. Goat Anti-Rabbit IgG - HRP Secondary Antibody (HA1001) at 1/50,000 dilution was used for 1 hour at room temperature.

Fluorescence multiplex immunohistochemical analysis of mouse liver (Formalin/PFA-fixed paraffin-embedded sections). Panel A: the merged image of anti-β-catenin (ET1601-5, Tangerine), anti-αSMA (ET1607-53, Yellow), anti-SOX9 (ET1611-56, Green), anti-Albumin (ET1702-55, Cyan) anti-GS (EM1902-39, Magenta) and anti-CK19 (ET1601-6, Orange) on mouse liver. HRP Conjugated UltraPolymer Goat Polyclonal Antibody HA1119/HA1120 was used as a secondary antibody. The immunostaining was performed with the Sequential Immuno-staining Kit (IRISKitCmTSA Kit 900802). The section was incubated in six rounds of staining: in the order of ET1601-5 (1/2,000 dilution), ET1607-53 (1/3,000 dilution), ET1611-56 (1/1,500 dilution), ET1702-55 (1/3,000 dilution), EM1902-39 (1/2,000 dilution) and ET1601-6 (1/3,000 dilution) for 20 mins at room temperature. Each round was followed by a separate fluorescent tyramide signal amplification system. Heat mediated antigen retrieval with Tris-EDTA buffer (pH 9.0) for 30 mins at 95℃. DAPI (blue) was used as a nuclear counter stain. Image acquisition was performed with Olympus VS200 Slide Scanner.
quantity: 50μl
price: 205.00 USD
to the supplier
domestic rabbit monoclonal (JF32-10)
reactivity: human, mouse, rat, bovine
application: western blot, immunohistochemistry - paraffin section
reactivity: human, mouse, rat, bovine
application: western blot, immunohistochemistry - paraffin section

Western blot analysis of Albumin on different lysates with Rabbit anti-Albumin antibody (HA750352) at 1/5,000 dilution. Lane 1: Human liver tissue lysate Lane 2: Mouse liver tissue lysate Lane 3: Rat liver tissue lysate Lysates/proteins at 20 µg/Lane. Predicted band size: 69 kDa Observed band size: 69 kDa Exposure time: 30 seconds; 4-20% SDS-PAGE gel. Proteins were transferred to a PVDF membrane and blocked with 5% NFDM/TBST for 1 hour at room temperature. The primary antibody (HA750352) at 1/5,000 dilution was used in 5% NFDM/TBST at 4℃ overnight. Goat Anti-Rabbit IgG - HRP Secondary Antibody (HA1001) at 1:50,000 dilution was used for 1 hour at room temperature.

Western blot analysis of Albumin on different lysates with Rabbit anti-Albumin antibody (HA750352) at 1/40,000 dilution. Lane 1: Mouse liver tissue lysate Lane 2: Mouse spleen tissue lysate Lane 3: Rat liver tissue lysate Lysates/proteins at 20 µg/Lane. Predicted band size: 69 kDa Observed band size: 69 kDa Exposure time: 10 seconds; ECL: K1801; 4-20% SDS-PAGE gel. Proteins were transferred to a PVDF membrane and blocked with 5% NFDM/TBST for 1 hour at room temperature. The primary antibody (HA750352) at 1/40,000 dilution was used in 5% NFDM/TBST at 4℃ overnight. Goat Anti-Rabbit IgG - HRP Secondary Antibody (HA1001) at 1/50,000 dilution was used for 1 hour at room temperature.

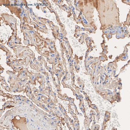
Immunohistochemical analysis of paraffin-embedded human lung tissue with Rabbit anti-Albumin antibody (HA750352) at 1/30,000 dilution. The section was pre-treated using heat mediated antigen retrieval with Tris-EDTA buffer (pH 9.0) for 20 minutes. The tissues were blocked in 1% BSA for 20 minutes at room temperature, washed with ddH2O and PBS, and then probed with the primary antibody (HA750352) at 1/30,000 dilution for 1 hour at room temperature. The detection was performed using an HRP conjugated compact polymer system. DAB was used as the chromogen. Tissues were counterstained with hematoxylin and mounted with DPX.
quantity: 100μl
price: 649.00 USD
to the supplier
domestic rabbit monoclonal
reactivity: mouse
reactivity: mouse

mIHC analysis of mouse liver tissue (Formalin/PFA-fixed paraffin-embedded sections) with Rabbit anti-Albumin antibody (IRS087RB) at 1/100 dilution. The immunostaining was performed with the IRISKitCmTSA Kit (900808). Heat mediated antigen retrieval with Tris-EDTA buffer (pH 9.0) for 30 mins at 95℃. DAPI (blue) was used as a nuclear counter stain. Image acquisition was performed with Olympus VS200 Slide Scanner.
quantity: 50T
price: 278.00 USD
to the supplier
domestic rabbit monoclonal (JF32-10)
reactivity: human, mouse, rat, bovine
application: western blot, immunohistochemistry - paraffin section
reactivity: human, mouse, rat, bovine
application: western blot, immunohistochemistry - paraffin section
