Sign in
Sign up
home
>
HUABIO
> HUABIO Krt7 antibody
Cytokeratin 7
HUABIO
catalog: ER1803-89
domestic rabbit polyclonal
reactivity:
human
,
mouse
,
rat
application:
western blot
,
immunohistochemistry - paraffin section
Western blot analysis of Cytokeratin 7 on different lysates with Rabbit anti-Cytokeratin 7 antibody (ER1803-89) at 1/2,000 dilution. Lane 1: HeLa cell lysate Lane 2: A549 cell lysate Lane 3: T-47D cell lysate Lysates/proteins at 20 µg/Lane. Predicted band size: 51 kDa Observed band size: 40-55 kDa Exposure time: 4 seconds; ECL: K1801; 4-20% SDS-PAGE gel. Proteins were transferred to a PVDF membrane and blocked with 5% NFDM/TBST for 1 hour at room temperature. The primary antibody (ER1803-89) at 1/2,000 dilution was used in 5% NFDM/TBST at 4℃ overnight. Goat Anti-Rabbit IgG - HRP Secondary Antibody (HA1001) at 1/50,000 dilution was used for 1 hour at room temperature.
Western blot analysis of Cytokeratin 7 on different lysates. Proteins were transferred to a PVDF membrane and blocked with 5% BSA in PBS for 1 hour at room temperature. The primary antibody was used at a 1:500 dilution in 5% BSA at room temperature for 2 hours. Goat Anti-Rabbit IgG - HRP Secondary Antibody (HA1001) at 1:5,000 dilution was used for 1 hour at room temperature. Lane 1: SK-Br-3 cell lysate Lane 2: Mouse ovary tissue lysate
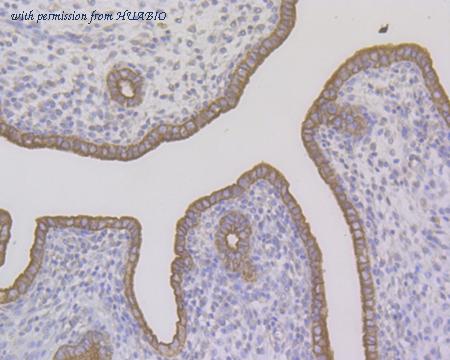
Immunohistochemical analysis of paraffin-embedded rat uterus tissue using anti-Cytokeratin 7 antibody. The section was pre-treated using heat mediated antigen retrieval with Tris-EDTA buffer (pH 8.0-8.4) for 20 minutes.The tissues were blocked in 5% BSA for 30 minutes at room temperature, washed with ddH2O and PBS, and then probed with the antibody (ER1803-89) at 1/50 dilution, for 30 minutes at room temperature and detected using an HRP conjugated compact polymer system. DAB was used as the chromogen. Counter stained with hematoxylin and mounted with DPX.
quantity: 100μl
price: 330 USD
to the supplier
Cytokeratin 7
HUABIO
catalog: ET1609-62
domestic rabbit monoclonal (ST50-05)
reactivity:
human
,
mouse
application:
western blot
,
immunoprecipitation
,
flow cytometry
,
immunohistochemistry - paraffin section
All lanes: Western blot analysis of Cytokeratin 7 with anti-Cytokeratin 7 antibody [ST50-05] (ET1609-62) at 1:1,000 dilution. Lane 1/2: Wild-type Hela whole cell lysate (20 µg). Lane 3/4: Cytokeratin 7 fragment 1 knockdown Hela whole cell lysate (20 µg). Lane 5/6: Cytokeratin 7 fragment 2 knockdown Hela whole cell lysate (20 µg). ET1609-62 was shown to specifically react with Cytokeratin 7 in wild-type Hela cells. Weakened bands were observed when Cytokeratin 7 knockdown samples were tested. Wild-type and Cytokeratin 7 knockdown samples were subjected to SDS-PAGE. Proteins were transferred to a PVDF membrane and blocked with 5% NFDM in TBST for 1 hour at room temperature. The primary antibody (ET1609-62, 1/1,000) and Loading control antibody (Rabbit anti-GAPDH , ET1601-4, 1/10,000) were used in 5% BSA at room temperature for 2 hours. Goat Anti-Rabbit IgG-HRP Secondary Antibody (HA1001) at 1:200,000 dilution was used for 1 hour at room temperature.
Western blot analysis of Cytokeratin 7 on different lysates with Rabbit anti-Cytokeratin 7 antibody (ET1609-62) at 1/5,000 dilution. Lane 1: HeLa cell lysate Lane 2: A549 cell lysate Lane 3: MCF7 cell lysate (negative) Lysates/proteins at 15 µg/Lane. Predicted band size: 51 kDa Observed band size: 55 kDa Exposure time: 20 seconds; 4-20% SDS-PAGE gel. Proteins were transferred to a PVDF membrane and blocked with 5% NFDM/TBST for 1 hour at room temperature. The primary antibody (ET1609-62) at 1/5,000 dilution was used in 5% NFDM/TBST at 4℃ overnight. Goat Anti-Rabbit IgG - HRP Secondary Antibody (HA1001) at 1/50,000 dilution was used for 1 hour at room temperature.
Immunocytochemistry analysis of A549 cells labeling Cytokeratin 7 with Rabbit anti-Cytokeratin 7 antibody (ET1609-62) at 1/100 dilution. Cells were fixed in 4% paraformaldehyde for 20 minutes at room temperature, permeabilized with 0.1% Triton X-100 in PBS for 5 minutes at room temperature, then blocked with 1% BSA in 10% negative goat serum for 1 hour at room temperature. Cells were then incubated with Rabbit anti-Cytokeratin 7 antibody (ET1609-62) at 1/100 dilution in 1% BSA in PBST overnight at 4 ℃. Goat Anti-Rabbit IgG H&L (iFluor™ 488, HA1121) was used as the secondary antibody at 1/1,000 dilution. PBS instead of the primary antibody was used as the secondary antibody only control. Nuclear DNA was labelled in blue with DAPI. Beta tubulin (M1305-2, red) was stained at 1/100 dilution overnight at +4℃. Goat Anti-Mouse IgG H&L (iFluor™ 594, HA1126) was used as the secondary antibody at 1/1,000 dilution.
quantity: 100μl
price: 385.00 USD
to the supplier
Cytokeratin 7
HUABIO
catalog: HA720120F
domestic rabbit monoclonal (ST50-05)
reactivity:
human
,
mouse
application:
flow cytometry
Immunofluorescence analysis of paraffin-embedded human breast tissue labeling Cytokeratin 7 (HA720120F). The section was pre-treated using heat mediated antigen retrieval with Tris-EDTA buffer (pH 9.0) for 20 minutes. The tissues were blocked in 10% negative goat serum for 1 hour at room temperature, washed with PBS. And then probed with the primary antibody Cytokeratin 7 (HA720120F, iFluor™ 594) at 1/200 dilution overnight at 4 ℃, washed with PBS. DAPI was used as nuclear counterstain.
Immunofluorescence analysis of paraffin-embedded human liver tissue labeling Cytokeratin 7 (HA720120F) and Vimentin (EM0401). The section was pre-treated using heat mediated antigen retrieval with Tris-EDTA buffer (pH 9.0) for 20 minutes. The tissues were blocked in 10% negative goat serum for 1 hour at room temperature, washed with PBS. And then probed with the primary antibodies Cytokeratin 7 (HA720120F, red) at 1/200 dilution and Vimentin (EM0401, green) at 1/500 dilution at +4℃ overnight, washed with PBS. Goat Anti-Mouse IgG H&L (iFluor™ 488, HA1125) were used as the secondary antibody at 1/1,000 dilution. Nuclei were counterstained with DAPI (blue).
Immunocytochemistry analysis of SK-Br-3 cells labeling Cytokeratin 7 (HA720120F). Cells were fixed in methanol and then blocked with 2% negative goat serum for 15 minutes at room temperature. The cells were then incubated overnight at +4℃ with Cytokeratin 7 (HA720120F, red) at 1/100 dilution. Nuclei were counterstained with DAPI (blue).
quantity: 100μl
price: 429.00 USD
to the supplier
Cytokeratin 7
HUABIO
catalog: HA720131F
domestic rabbit monoclonal (ST50-05)
reactivity:
human
,
mouse
application:
flow cytometry
Immunofluorescence analysis of paraffin-embedded human liver tissue labeling Cytokeratin 7 (HA720131F) and Vimentin (EM0401). The section was pre-treated using heat mediated antigen retrieval with Tris-EDTA buffer (pH 9.0) for 20 minutes. The tissues were blocked in 10% negative goat serum for 1 hour at room temperature, washed with PBS. And then probed with the primary antibodies Cytokeratin 7 (HA720131F, green) at 1/200 dilution and Vimentin (EM0401, red) at 1/1,000 dilution overnight at 4 ℃, washed with PBS. iFluor™ 594 conjugate-Goat anti-Mouse IgG (HA1126) was used as the secondary antibody at 1/1,000 dilution. DAPI was used as nuclear counterstain.
Immunocytochemistry analysis of A431 cells labeling Cytokeratin 7 with Rabbit anti-Cytokeratin 7 antibody (HA720131F) at 1/100 dilution. Cells were fixed in 4% paraformaldehyde for 15 minutes, permeabilized with 0.1% Triton X-100 in PBS for 15 minutes, and then blocked with 1% BSA for 30 minutes at room temperature. Cells were then incubated with Rabbit anti-Cytokeratin 7 antibody (HA720131F) at 1/100 dilution in 1% BSA overnight at 4 ℃. Nuclear DNA was labelled in blue with DAPI. Beta tubulin (M1305-2, red) was stained at 1/200 dilution overnight at +4℃. Goat Anti-Mouse IgG H&L (iFluor™ 594, HA1126) were used as the secondary antibody at 1/800 dilution.
Immunofluorescence analysis of paraffin-embedded human breast tissue labeling Cytokeratin 7 (HA720131F). The section was pre-treated using heat mediated antigen retrieval with Tris-EDTA buffer (pH 9.0) for 20 minutes. The tissues were blocked in 10% negative goat serum for 1 hour at room temperature, washed with PBS. And then probed with the primary antibody Cytokeratin 7 (HA720131F, iFluor™ 488) at 1/200 dilution overnight at 4 ℃, washed with PBS. DAPI was used as nuclear counterstain.
quantity: 100μl
price: 429.00 USD
to the supplier
Cytokeratin 7
HUABIO
catalog: HA720144F
domestic rabbit monoclonal (ST50-05)
reactivity:
human
,
mouse
application:
flow cytometry
Immunocytochemistry analysis of SK-Br-3 cells labeling Cytokeratin 7 with Rabbit anti-Cytokeratin 7 antibody (HA720144F) at 1/100 dilution. Cells were fixed in 4% paraformaldehyde for 15 minutes, permeabilized with 0.1% Triton X-100 in PBS for 15 minutes, and then blocked with 2% normal goat serum for 1 hour at 37℃. Cells were then incubated with Rabbit anti-Cytokeratin 7 antibody (HA720144F, red) at 1/100 dilution in 2% normal goat serum overnight at 4 ℃. Nuclear DNA was labelled in blue with DAPI. Beta III Tubulin (M0805-8, green) was stained at 1/200 dilution overnight at +4℃. Goat Anti-Mouse IgG H&L (iFluor™ 488, HA1125) was used as the secondary antibody at 1/800 dilution.
Immunofluorescence analysis of paraffin-embedded human liver tissue labeling Cytokeratin 7 (HA720144F) and Cytokeratin 8 (HA720132F). The section was pre-treated using heat mediated antigen retrieval with Tris-EDTA buffer (pH 9.0) for 20 minutes. The tissues were blocked in 10% negative goat serum for 1 hour at room temperature, washed with PBS. And then probed with the primary antibodies Cytokeratin 7 (HA720144F, red) at 1/200 dilution and Cytokeratin 8 (HA720132F, green) at 1/200 dilution overnight at 4 ℃, washed with PBS. DAPI was used as nuclear counterstain.
Immunofluorescence analysis of paraffin-embedded human breast tissue labeling Cytokeratin 7 (HA720144F), Cytokeratin 8 (HA720132F) and Vimentin (EM0401). The section was pre-treated using heat mediated antigen retrieval with Tris-EDTA buffer (pH 9.0) for 20 minutes. The tissues were blocked in 10% negative goat serum for 1 hour at room temperature, washed with PBS. And then probed with the primary antibodies Cytokeratin 7 (HA720144F, red) at 1/50 dilution, Cytokeratin 8 (HA720132F, green) at 1/200 dilution and Vimentin (EM0401, yellow) at 1/1,000 dilution overnight at 4 ℃, washed with PBS. Alexa Fluor® 555 conjugate-Goat anti-Mouse IgG was used as the secondary antibody at 1/1,000 dilution. DAPI was used as nuclear counterstain.
quantity: 100μl
price: 429.00 USD
to the supplier
Cytokeratin 7
HUABIO
catalog: HA750185
domestic rabbit monoclonal (ST50-05)
reactivity:
human
,
mouse
application:
western blot
,
immunoprecipitation
,
flow cytometry
,
immunohistochemistry - paraffin section
All lanes: Western blot analysis of Cytokeratin 7 with anti-Cytokeratin 7 antibody [ST50-05] (HA750185) at 1:1,000 dilution. Lane 1/2: Wild-type Hela whole cell lysate (20 µg). Lane 3/4: Cytokeratin 7 fragment 1 knockdown Hela whole cell lysate (20 µg). Lane 5/6: Cytokeratin 7 fragment 2 knockdown Hela whole cell lysate (20 µg). ET1609-62 was shown to specifically react with Cytokeratin 7 in wild-type Hela cells. Weakened bands were observed when Cytokeratin 7 knockdown samples were tested. Wild-type and Cytokeratin 7 knockdown samples were subjected to SDS-PAGE. Proteins were transferred to a PVDF membrane and blocked with 5% NFDM in TBST for 1 hour at room temperature. The primary antibody (ET1609-62, 1/1,000) and Loading control antibody (Rabbit anti-GAPDH , ET1601-4, 1/10,000) were used in 5% BSA at room temperature for 2 hours. Goat Anti-Rabbit IgG-HRP Secondary Antibody (HA1001) at 1:200,000 dilution was used for 1 hour at room temperature.
Western blot analysis of Cytokeratin 7 on different lysates with Rabbit anti-Cytokeratin 7 antibody (HA750185) at 1/5,000 dilution. Lane 1: HeLa cell lysate Lane 2: A549 cell lysate Lane 3: MCF7 cell lysate (negative) Lysates/proteins at 15 µg/Lane. Predicted band size: 51 kDa Observed band size: 55 kDa Exposure time: 20 seconds; 4-20% SDS-PAGE gel. Proteins were transferred to a PVDF membrane and blocked with 5% NFDM/TBST for 1 hour at room temperature. The primary antibody (HA750185) at 1/5,000 dilution was used in 5% NFDM/TBST at 4℃ overnight. Goat Anti-Rabbit IgG - HRP Secondary Antibody (HA1001) at 1/50,000 dilution was used for 1 hour at room temperature.
Immunocytochemistry analysis of A549 cells labeling Cytokeratin 7 with Rabbit anti-Cytokeratin 7 antibody (HA750185) at 1/100 dilution. Cells were fixed in 4% paraformaldehyde for 20 minutes at room temperature, permeabilized with 0.1% Triton X-100 in PBS for 5 minutes at room temperature, then blocked with 1% BSA in 10% negative goat serum for 1 hour at room temperature. Cells were then incubated with Rabbit anti-Cytokeratin 7 antibody (HA750185) at 1/100 dilution in 1% BSA in PBST overnight at 4 ℃. Goat Anti-Rabbit IgG H&L (iFluor™ 488, HA1121) was used as the secondary antibody at 1/1,000 dilution. PBS instead of the primary antibody was used as the secondary antibody only control. Nuclear DNA was labelled in blue with DAPI. Beta tubulin (M1305-2, red) was stained at 1/100 dilution overnight at +4℃. Goat Anti-Mouse IgG H&L (iFluor™ 594, HA1126) was used as the secondary antibody at 1/1,000 dilution.
quantity: 100μl
price: 649.00 USD
to the supplier