domestic rabbit monoclonal (PSH01-40)
reactivity: human, mouse, rat
application: western blot, immunohistochemistry - paraffin section
reactivity: human, mouse, rat
application: western blot, immunohistochemistry - paraffin section

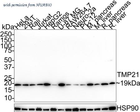
Western blot analysis of TMP21 on different lysates with Rabbit anti-TMP21 antibody (HA721678) at 1/5,000 dilution. Lane 1: HeLa cell lysate (20 µg/Lane) Lane 2: 293T cell lysate (20 µg/Lane) Lane 3: Raji cell lysate (20 µg/Lane) Lane 4: Jurkat cell lysate (20 µg/Lane) Lane 5: HepG2 cell lysate (20 µg/Lane) Lane 6: Ramos cell lysate (20 µg/Lane) Lane 7: U-87 MG cell lysate (20 µg/Lane) Lane 8: RAW264.7 cell lysate (20 µg/Lane) Lane 9: Neuro-2a cell lysate (20 µg/Lane) Lane 10: PC-12 cell lysate (20 µg/Lane) Lane 11: Mouse pancreas tissue lysate (40 µg/Lane) Lane 12: Mouse liver tissue lysate (40 µg/Lane) Lane 13: Rat pancreas tissue lysate (40 µg/Lane) Lane 14: Rat liver tissue lysate (40 µg/Lane) Predicted band size: 25 kDa Observed band size: 19 kDa Exposure time: 2 minutes 13 seconds; 4-20% SDS-PAGE gel. Proteins were transferred to a PVDF membrane and blocked with 5% NFDM/TBST for 1 hour at room temperature. The primary antibody (HA721678) at 1/5,000 dilution was used in 5% NFDM/TBST at room temperature for 2 hours. Goat Anti-Rabbit IgG - HRP Secondary Antibody (HA1001) at 1/50,000 dilution was used for 1 hour at room temperature.

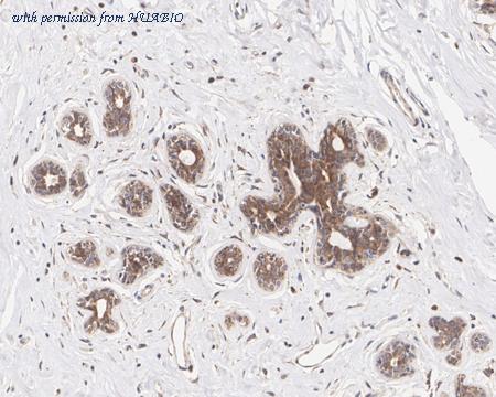
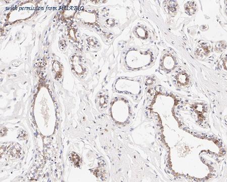
Immunohistochemical analysis of paraffin-embedded human breast tissue with Rabbit anti-TMP21 antibody (HA721678) at 1/200 dilution. The section was pre-treated using heat mediated antigen retrieval with Tris-EDTA buffer (pH 9.0) for 20 minutes. The tissues were blocked in 1% BSA for 20 minutes at room temperature, washed with ddH2O and PBS, and then probed with the primary antibody (HA721678) at 1/200 dilution for 1 hour at room temperature. The detection was performed using an HRP conjugated compact polymer system. DAB was used as the chromogen. Tissues were counterstained with hematoxylin and mounted with DPX.

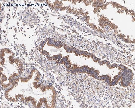
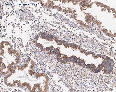
Immunohistochemical analysis of paraffin-embedded human endometrium tissue with Rabbit anti-TMP21 antibody (HA721678) at 1/200 dilution. The section was pre-treated using heat mediated antigen retrieval with Tris-EDTA buffer (pH 9.0) for 20 minutes. The tissues were blocked in 1% BSA for 20 minutes at room temperature, washed with ddH2O and PBS, and then probed with the primary antibody (HA721678) at 1/200 dilution for 1 hour at room temperature. The detection was performed using an HRP conjugated compact polymer system. DAB was used as the chromogen. Tissues were counterstained with hematoxylin and mounted with DPX.
quantity: 100μl
price: 385.00 USD
to the supplier
domestic rabbit monoclonal (PSH01-41)
reactivity: human, mouse, rat
application: western blot, flow cytometry, immunohistochemistry - paraffin section
reactivity: human, mouse, rat
application: western blot, flow cytometry, immunohistochemistry - paraffin section

Western blot analysis of TMP21 on different lysates with Rabbit anti-TMP21 antibody (HA721679) at 1/5,000 dilution. Lane 1: HeLa cell lysate (20 µg/Lane) Lane 2: 293T cell lysate (20 µg/Lane) Lane 3: Raji cell lysate (20 µg/Lane) Lane 4: Jurkat cell lysate (20 µg/Lane) Lane 5: HepG2 cell lysate (20 µg/Lane) Lane 6: U-87 MG cell lysate (20 µg/Lane) Lane 7: PC-12 cell lysate (20 µg/Lane) Lane 8: Mouse pancreas tissue lysate (40 µg/Lane) Lane 9: Rat pancreas tissue lysate (40 µg/Lane) Lane 10: Rat liver tissue lysate (40 µg/Lane) Predicted band size: 25 kDa Observed band size: 19 kDa Exposure time: 5 minutes 10 seconds; 4-20% SDS-PAGE gel. Proteins were transferred to a PVDF membrane and blocked with 5% NFDM/TBST for 1 hour at room temperature. The primary antibody (HA721679) at 1/5,000 dilution was used in 5% NFDM/TBST at room temperature for 2 hours. Goat Anti-Rabbit IgG - HRP Secondary Antibody (HA1001) at 1/50,000 dilution was used for 1 hour at room temperature.

Immunohistochemical analysis of paraffin-embedded human breast tissue with Rabbit anti-TMP21 antibody (HA721679) at 1/200 dilution. The section was pre-treated using heat mediated antigen retrieval with Tris-EDTA buffer (pH 9.0) for 20 minutes. The tissues were blocked in 1% BSA for 20 minutes at room temperature, washed with ddH2O and PBS, and then probed with the primary antibody (HA721679) at 1/200 dilution for 1 hour at room temperature. The detection was performed using an HRP conjugated compact polymer system. DAB was used as the chromogen. Tissues were counterstained with hematoxylin and mounted with DPX.

Immunohistochemical analysis of paraffin-embedded human colon tissue with Rabbit anti-TMP21 antibody (HA721679) at 1/200 dilution. The section was pre-treated using heat mediated antigen retrieval with Tris-EDTA buffer (pH 9.0) for 20 minutes. The tissues were blocked in 1% BSA for 20 minutes at room temperature, washed with ddH2O and PBS, and then probed with the primary antibody (HA721679) at 1/200 dilution for 1 hour at room temperature. The detection was performed using an HRP conjugated compact polymer system. DAB was used as the chromogen. Tissues were counterstained with hematoxylin and mounted with DPX.
quantity: 100μl
price: 385.00 USD
to the supplier
domestic rabbit monoclonal (PSH01-40)
reactivity: human, mouse, rat
application: western blot, immunohistochemistry - paraffin section
reactivity: human, mouse, rat
application: western blot, immunohistochemistry - paraffin section

Western blot analysis of TMP21 on different lysates with Rabbit anti-TMP21 antibody (HA750718) at 1/5,000 dilution. Lane 1: HeLa cell lysate (20 µg/Lane) Lane 2: 293T cell lysate (20 µg/Lane) Lane 3: Raji cell lysate (20 µg/Lane) Lane 4: Jurkat cell lysate (20 µg/Lane) Lane 5: HepG2 cell lysate (20 µg/Lane) Lane 6: Ramos cell lysate (20 µg/Lane) Lane 7: U-87 MG cell lysate (20 µg/Lane) Lane 8: RAW264.7 cell lysate (20 µg/Lane) Lane 9: Neuro-2a cell lysate (20 µg/Lane) Lane 10: PC-12 cell lysate (20 µg/Lane) Lane 11: Mouse pancreas tissue lysate (40 µg/Lane) Lane 12: Mouse liver tissue lysate (40 µg/Lane) Lane 13: Rat pancreas tissue lysate (40 µg/Lane) Lane 14: Rat liver tissue lysate (40 µg/Lane) Predicted band size: 25 kDa Observed band size: 19 kDa Exposure time: 2 minutes 13 seconds; 4-20% SDS-PAGE gel. Proteins were transferred to a PVDF membrane and blocked with 5% NFDM/TBST for 1 hour at room temperature. The primary antibody (HA750718) at 1/5,000 dilution was used in 5% NFDM/TBST at room temperature for 2 hours. Goat Anti-Rabbit IgG - HRP Secondary Antibody (HA1001) at 1/50,000 dilution was used for 1 hour at room temperature.

Immunohistochemical analysis of paraffin-embedded human breast tissue with Rabbit anti-TMP21 antibody (HA750718) at 1/200 dilution. The section was pre-treated using heat mediated antigen retrieval with Tris-EDTA buffer (pH 9.0) for 20 minutes. The tissues were blocked in 1% BSA for 20 minutes at room temperature, washed with ddH2O and PBS, and then probed with the primary antibody (HA750718) at 1/200 dilution for 1 hour at room temperature. The detection was performed using an HRP conjugated compact polymer system. DAB was used as the chromogen. Tissues were counterstained with hematoxylin and mounted with DPX.

Immunohistochemical analysis of paraffin-embedded human endometrium tissue with Rabbit anti-TMP21 antibody (HA750718) at 1/200 dilution. The section was pre-treated using heat mediated antigen retrieval with Tris-EDTA buffer (pH 9.0) for 20 minutes. The tissues were blocked in 1% BSA for 20 minutes at room temperature, washed with ddH2O and PBS, and then probed with the primary antibody (HA750718) at 1/200 dilution for 1 hour at room temperature. The detection was performed using an HRP conjugated compact polymer system. DAB was used as the chromogen. Tissues were counterstained with hematoxylin and mounted with DPX.
quantity: 100μl
price: 649.00 USD
to the supplier
domestic rabbit monoclonal (PSH01-41)
reactivity: human, mouse, rat
application: western blot, flow cytometry, immunohistochemistry - paraffin section
reactivity: human, mouse, rat
application: western blot, flow cytometry, immunohistochemistry - paraffin section

Western blot analysis of TMP21 on different lysates with Rabbit anti-TMP21 antibody (HA750719) at 1/5,000 dilution. Lane 1: HeLa cell lysate (20 µg/Lane) Lane 2: 293T cell lysate (20 µg/Lane) Lane 3: Raji cell lysate (20 µg/Lane) Lane 4: Jurkat cell lysate (20 µg/Lane) Lane 5: HepG2 cell lysate (20 µg/Lane) Lane 6: U-87 MG cell lysate (20 µg/Lane) Lane 7: PC-12 cell lysate (20 µg/Lane) Lane 8: Mouse pancreas tissue lysate (40 µg/Lane) Lane 9: Rat pancreas tissue lysate (40 µg/Lane) Lane 10: Rat liver tissue lysate (40 µg/Lane) Predicted band size: 25 kDa Observed band size: 19 kDa Exposure time: 5 minutes 10 seconds; 4-20% SDS-PAGE gel. Proteins were transferred to a PVDF membrane and blocked with 5% NFDM/TBST for 1 hour at room temperature. The primary antibody (HA750719) at 1/5,000 dilution was used in 5% NFDM/TBST at room temperature for 2 hours. Goat Anti-Rabbit IgG - HRP Secondary Antibody (HA1001) at 1/50,000 dilution was used for 1 hour at room temperature.

Immunohistochemical analysis of paraffin-embedded human breast tissue with Rabbit anti-TMP21 antibody (HA750719) at 1/200 dilution. The section was pre-treated using heat mediated antigen retrieval with Tris-EDTA buffer (pH 9.0) for 20 minutes. The tissues were blocked in 1% BSA for 20 minutes at room temperature, washed with ddH2O and PBS, and then probed with the primary antibody (HA750719) at 1/200 dilution for 1 hour at room temperature. The detection was performed using an HRP conjugated compact polymer system. DAB was used as the chromogen. Tissues were counterstained with hematoxylin and mounted with DPX.

Immunohistochemical analysis of paraffin-embedded human colon tissue with Rabbit anti-TMP21 antibody (HA750719) at 1/200 dilution. The section was pre-treated using heat mediated antigen retrieval with Tris-EDTA buffer (pH 9.0) for 20 minutes. The tissues were blocked in 1% BSA for 20 minutes at room temperature, washed with ddH2O and PBS, and then probed with the primary antibody (HA750719) at 1/200 dilution for 1 hour at room temperature. The detection was performed using an HRP conjugated compact polymer system. DAB was used as the chromogen. Tissues were counterstained with hematoxylin and mounted with DPX.
quantity: 100μl
price: 649.00 USD
to the supplier
