domestic rabbit monoclonal (PSH02-31)
reactivity: human, mouse, rat
application: western blot, immunohistochemistry - paraffin section
reactivity: human, mouse, rat
application: western blot, immunohistochemistry - paraffin section

Western blot analysis of MALT1 on different lysates with Rabbit anti-MALT1 antibody (HA721244) at 1/5,000 dilution and competitor's antibody at 1/1,000 dilution. Lane 1: HCT 116 cell lysate (15 µg/Lane) Lane 2: HeLa cell lysate (15 µg/Lane) Lane 3: Ramos cell lysate (15 µg/Lane) Lane 4: Daudi cell lysate (15 µg/Lane) Lane 5: K-562 cell lysate (15 µg/Lane) Lane 6: Mouse thymus tissue lysate (30 µg/Lane) Lane 7: Rat thymus tissue lysate (30 µg/Lane) Predicted band size: 92 kDa Observed band size: 92 kDa Exposure time: 2 minutes 6 seconds; ECL: K1801; 4-20% SDS-PAGE gel. Proteins were transferred to a PVDF membrane and blocked with 5% NFDM/TBST for 1 hour at room temperature. The primary antibody (HA721244) at 1/5,000 dilution and competitor's antibody at 1/1,000 dilution were used in 5% NFDM/TBST at 4℃ overnight. Goat Anti-Rabbit IgG - HRP Secondary Antibody (HA1001) at 1/50,000 dilution was used for 1 hour at room temperature.

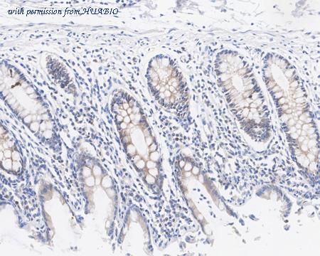
Immunohistochemical analysis of paraffin-embedded human colon tissue with Rabbit anti-MALT1 antibody (HA721244) at 1/200 dilution. The section was pre-treated using heat mediated antigen retrieval with Tris-EDTA buffer (pH 9.0) for 20 minutes. The tissues were blocked in 1% BSA for 20 minutes at room temperature, washed with ddH2O and PBS, and then probed with the primary antibody (HA721244) at 1/200 dilution for 1 hour at room temperature. The detection was performed using an HRP conjugated compact polymer system. DAB was used as the chromogen. Tissues were counterstained with hematoxylin and mounted with DPX.

Western blot analysis of MALT1 on different lysates with Rabbit anti-MALT1 antibody (HA721244) at 1/1,000 dilution. Lane 1: HCT 116 cell lysate (20 µg/Lane) Lane 2: HeLa cell lysate (20 µg/Lane) Lane 3: Ramos cell lysate (20 µg/Lane) Lane 4: K-562 cell lysate (20 µg/Lane) Lane 5: Jurkat cell lysate (20 µg/Lane) Lane 6: HepG2 cell lysate (20 µg/Lane) Lane 7: 786-0 cell lysate (20 µg/Lane) Lane 8: LNCaP cell lysate (20 µg/Lane) Lane 9: PC-3M cell lysate (20 µg/Lane) Lane 10: Mouse lymph node tissue lysate (no heat) (40 µg/Lane) Lane 11: Mouse thymus tissue lysate (40 µg/Lane) Lane 12: Rat thymus tissue lysate (40 µg/Lane) Notice: no heat means the lysate is not boiled. Predicted band size: 92 kDa Observed band size: 92 kDa Exposure time: 37 seconds; ECL: K1802; 4-20% SDS-PAGE gel. Proteins were transferred to a PVDF membrane and blocked with 5% NFDM/TBST for 1 hour at room temperature. The primary antibody (HA721244) at 1/1,000 dilution was used in 5% NFDM/TBST at 4℃ overnight. Goat Anti-Rabbit IgG - HRP Secondary Antibody (HA1001) at 1/50,000 dilution was used for 1 hour at room temperature.
quantity: 100μl
price: 385.00 USD
to the supplier
domestic rabbit monoclonal (PSH02-32)
reactivity: human, mouse, rat
application: western blot, immunohistochemistry - paraffin section
reactivity: human, mouse, rat
application: western blot, immunohistochemistry - paraffin section

Western blot analysis of MALT1 on different lysates with Rabbit anti-MALT1 antibody (HA721689) at 1/1,000 dilution. Lane 1: HCT116 cell lysate (20 µg/Lane) Lane 2: HeLa cell lysate (20 µg/Lane) Lane 3: Ramos cell lysate (20 µg/Lane) Lane 4: K-562 cell lysate (20 µg/Lane) Lane 5: Jurkat cell lysate (20 µg/Lane) Lane 6: HepG2 cell lysate (20 µg/Lane) Lane 7: 786-0 cell lysate (20 µg/Lane) Lane 8: LNCaP cell lysate (20 µg/Lane) Lane 9: PC-3M cell lysate (20 µg/Lane) Lane 10: SW480 cell lysate (20 µg/Lane) Lane 11: Mouse lymph node tissue lysate (no heat) (40 µg/Lane) Lane 12: Mouse thymus tissue lysate (40 µg/Lane) Lane 13: Rat thymus tissue lysate (40 µg/Lane) Notice: no heat means the lysate is not boiled. Predicted band size: 92 kDa Observed band size: 92 kDa Exposure time: 43 seconds; ECL: K1801; 4-20% SDS-PAGE gel. Proteins were transferred to a PVDF membrane and blocked with 5% NFDM/TBST for 1 hour at room temperature. The primary antibody (HA721689) at 1/1,000 dilution was used in 5% NFDM/TBST at 4℃ overnight. Goat Anti-Rabbit IgG - HRP Secondary Antibody (HA1001) at 1/50,000 dilution was used for 1 hour at room temperature.

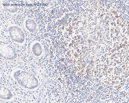
Immunohistochemical analysis of paraffin-embedded human colon cancer tissue with Rabbit anti-MALT1 antibody (HA721689) at 1/5,000 dilution. The section was pre-treated using heat mediated antigen retrieval with sodium citrate buffer (pH 6.0) (high pressure) for 2 minutes. The tissues were blocked in 1% BSA for 20 minutes at room temperature, washed with ddH2O and PBS, and then probed with the primary antibody (HA721689) at 1/5,000 dilution for 1 hour at room temperature. The detection was performed using an HRP conjugated compact polymer system. DAB was used as the chromogen. Tissues were counterstained with hematoxylin and mounted with DPX.

Immunohistochemical analysis of paraffin-embedded human colon tissue with Rabbit anti-MALT1 antibody (HA721689) at 1/2,000 dilution. The section was pre-treated using heat mediated antigen retrieval with sodium citrate buffer (pH 6.0) (high pressure) for 2 minutes. The tissues were blocked in 1% BSA for 20 minutes at room temperature, washed with ddH2O and PBS, and then probed with the primary antibody (HA721689) at 1/2,000 dilution for 1 hour at room temperature. The detection was performed using an HRP conjugated compact polymer system. DAB was used as the chromogen. Tissues were counterstained with hematoxylin and mounted with DPX.
quantity: 100μl
price: 385.00 USD
to the supplier
domestic rabbit monoclonal (PSH02-31)
reactivity: human, mouse, rat
application: western blot, immunohistochemistry - paraffin section
reactivity: human, mouse, rat
application: western blot, immunohistochemistry - paraffin section

Western blot analysis of MALT1 on different lysates with Rabbit anti-MALT1 antibody (HA750563) at 1/5,000 dilution and competitor's antibody at 1/1,000 dilution. Lane 1: HCT 116 cell lysate (15 µg/Lane) Lane 2: HeLa cell lysate (15 µg/Lane) Lane 3: Ramos cell lysate (15 µg/Lane) Lane 4: Daudi cell lysate (15 µg/Lane) Lane 5: K-562 cell lysate (15 µg/Lane) Lane 6: Mouse thymus tissue lysate (30 µg/Lane) Lane 7: Rat thymus tissue lysate (30 µg/Lane) Predicted band size: 92 kDa Observed band size: 92 kDa Exposure time: 2 minutes 6 seconds; ECL: K1801; 4-20% SDS-PAGE gel. Proteins were transferred to a PVDF membrane and blocked with 5% NFDM/TBST for 1 hour at room temperature. The primary antibody (HA750563) at 1/5,000 dilution and competitor's antibody at 1/1,000 dilution were used in 5% NFDM/TBST at 4℃ overnight. Goat Anti-Rabbit IgG - HRP Secondary Antibody (HA1001) at 1/50,000 dilution was used for 1 hour at room temperature.

Immunohistochemical analysis of paraffin-embedded human colon tissue with Rabbit anti-MALT1 antibody (HA750563) at 1/200 dilution. The section was pre-treated using heat mediated antigen retrieval with Tris-EDTA buffer (pH 9.0) for 20 minutes. The tissues were blocked in 1% BSA for 20 minutes at room temperature, washed with ddH2O and PBS, and then probed with the primary antibody (HA750563) at 1/200 dilution for 1 hour at room temperature. The detection was performed using an HRP conjugated compact polymer system. DAB was used as the chromogen. Tissues were counterstained with hematoxylin and mounted with DPX.

Western blot analysis of MALT1 on different lysates with Rabbit anti-MALT1 antibody (HA750563) at 1/1,000 dilution. Lane 1: HCT 116 cell lysate (20 µg/Lane) Lane 2: HeLa cell lysate (20 µg/Lane) Lane 3: Ramos cell lysate (20 µg/Lane) Lane 4: K-562 cell lysate (20 µg/Lane) Lane 5: Jurkat cell lysate (20 µg/Lane) Lane 6: HepG2 cell lysate (20 µg/Lane) Lane 7: 786-0 cell lysate (20 µg/Lane) Lane 8: LNCaP cell lysate (20 µg/Lane) Lane 9: PC-3M cell lysate (20 µg/Lane) Lane 10: Mouse lymph node tissue lysate (no heat) (40 µg/Lane) Lane 11: Mouse thymus tissue lysate (40 µg/Lane) Lane 12: Rat thymus tissue lysate (40 µg/Lane) Notice: no heat means the lysate is not boiled. Predicted band size: 92 kDa Observed band size: 92 kDa Exposure time: 37 seconds; ECL: K1802; 4-20% SDS-PAGE gel. Proteins were transferred to a PVDF membrane and blocked with 5% NFDM/TBST for 1 hour at room temperature. The primary antibody (HA750563) at 1/1,000 dilution was used in 5% NFDM/TBST at 4℃ overnight. Goat Anti-Rabbit IgG - HRP Secondary Antibody (HA1001) at 1/50,000 dilution was used for 1 hour at room temperature.
quantity: 100μl
price: 649.00 USD
to the supplier
domestic rabbit monoclonal (PSH02-32)
reactivity: human, mouse, rat
application: western blot, immunohistochemistry - paraffin section
reactivity: human, mouse, rat
application: western blot, immunohistochemistry - paraffin section

Western blot analysis of MALT1 on different lysates with Rabbit anti-MALT1 antibody (HA750722) at 1/1,000 dilution. Lane 1: HCT116 cell lysate (20 µg/Lane) Lane 2: HeLa cell lysate (20 µg/Lane) Lane 3: Ramos cell lysate (20 µg/Lane) Lane 4: K-562 cell lysate (20 µg/Lane) Lane 5: Jurkat cell lysate (20 µg/Lane) Lane 6: HepG2 cell lysate (20 µg/Lane) Lane 7: 786-0 cell lysate (20 µg/Lane) Lane 8: LNCaP cell lysate (20 µg/Lane) Lane 9: PC-3M cell lysate (20 µg/Lane) Lane 10: SW480 cell lysate (20 µg/Lane) Lane 11: Mouse lymph node tissue lysate (no heat) (40 µg/Lane) Lane 12: Mouse thymus tissue lysate (40 µg/Lane) Lane 13: Rat thymus tissue lysate (40 µg/Lane) Notice: no heat means the lysate is not boiled. Predicted band size: 92 kDa Observed band size: 92 kDa Exposure time: 43 seconds; ECL: K1801; 4-20% SDS-PAGE gel. Proteins were transferred to a PVDF membrane and blocked with 5% NFDM/TBST for 1 hour at room temperature. The primary antibody (HA750722) at 1/1,000 dilution was used in 5% NFDM/TBST at 4℃ overnight. Goat Anti-Rabbit IgG - HRP Secondary Antibody (HA1001) at 1/50,000 dilution was used for 1 hour at room temperature.

Immunohistochemical analysis of paraffin-embedded human colon cancer tissue with Rabbit anti-MALT1 antibody (HA750722) at 1/5,000 dilution. The section was pre-treated using heat mediated antigen retrieval with sodium citrate buffer (pH 6.0) (high pressure) for 2 minutes. The tissues were blocked in 1% BSA for 20 minutes at room temperature, washed with ddH2O and PBS, and then probed with the primary antibody (HA750722) at 1/5,000 dilution for 1 hour at room temperature. The detection was performed using an HRP conjugated compact polymer system. DAB was used as the chromogen. Tissues were counterstained with hematoxylin and mounted with DPX.

Immunohistochemical analysis of paraffin-embedded human colon tissue with Rabbit anti-MALT1 antibody (HA750722) at 1/2,000 dilution. The section was pre-treated using heat mediated antigen retrieval with sodium citrate buffer (pH 6.0) (high pressure) for 2 minutes. The tissues were blocked in 1% BSA for 20 minutes at room temperature, washed with ddH2O and PBS, and then probed with the primary antibody (HA750722) at 1/2,000 dilution for 1 hour at room temperature. The detection was performed using an HRP conjugated compact polymer system. DAB was used as the chromogen. Tissues were counterstained with hematoxylin and mounted with DPX.
quantity: 100μl
price: 649.00 USD
to the supplier
