Sign in
Sign up
home
>
HUABIO
> HUABIO nestin antibody
Nestin
HUABIO
catalog: ET1611-21
domestic rabbit monoclonal (SN06-27)
reactivity:
human
application:
western blot
,
immunohistochemistry - paraffin section
Western blot analysis of Nestin on HeLa cell lysates with Rabbit anti-Nestin antibody (ET1611-21) at 1/1,000 dilution. Lysates/proteins at 20 µg/Lane. Predicted band size: 177 kDa Observed band size: 300 kDa Exposure time: 2 seconds; ECL: K1801; 3-8% SDS-PAGE gel. Proteins were transferred to a PVDF membrane and blocked with 5% NFDM/TBST for 1 hour at room temperature. The primary antibody (ET1611-21) at 1/1,000 dilution was used in 5% NFDM/TBST at 4℃ overnight. Goat Anti-Rabbit IgG - HRP Secondary Antibody (HA1001) at 1/50,000 dilution was used for 1 hour at room temperature.
Western blot analysis of Nestin on different lysates with Rabbit anti-Nestin antibody (ET1611-21) at 1/1,000 dilution. Lane 1: HAP1-parental cell lysate Lane 2: HAP1-Nestin KD cell lysate Lysates/proteins at 10 µg/Lane. Predicted band size: 177 kDa Observed band size: 300 kDa Exposure time: 20 seconds; ECL: K1801; 4-20% SDS-PAGE gel. Proteins were transferred to a PVDF membrane and blocked with 5% NFDM/TBST for 1 hour at room temperature. The primary antibody (ET1611-21) at 1/1,000 dilution was used in primary antibody dilution (K1803) at 4℃ overnight. Goat Anti-Rabbit IgG - HRP Secondary Antibody (HA1001) at 1/50,000 dilution was used for 1 hour at room temperature.
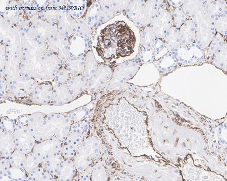
Immunohistochemical analysis of paraffin-embedded human kidney tissue with Rabbit anti-Nestin antibody (ET1611-21) at 1/1,000 dilution. The section was pre-treated using heat mediated antigen retrieval with Tris-EDTA buffer (pH 9.0) for 20 minutes. The tissues were blocked in 1% BSA for 20 minutes at room temperature, washed with ddH2O and PBS, and then probed with the primary antibody (ET1611-21) at 1/1,000 dilution for 1 hour at room temperature. The detection was performed using an HRP conjugated compact polymer system. DAB was used as the chromogen. Tissues were counterstained with hematoxylin and mounted with DPX.
quantity: 100μl
price: 385.00 USD
to the supplier
Nestin
HUABIO
catalog: HA722919
domestic rabbit monoclonal (PSH07-89)
reactivity:
human
,
mouse
,
rat
application:
western blot
,
immunoprecipitation
,
immunohistochemistry - paraffin section
,
immunohistochemistry - frozen section
Application: IHC-Fr Species: Mouse Site: E14.5 embryonic brain Sample: Frozen section Antibody concentration: 1/500 Antigen retrieval: Not required
Application: IHC-Fr Species: Rat Site: Kindey Sample: Frozen section Antibody concentration: 1/500 Antigen retrieval: Not required
Immunohistochemical analysis of paraffin-embedded human kidney tissue with Rabbit anti-Nestin antibody (HA722919) at 1/1,000 dilution. The section was pre-treated using heat mediated antigen retrieval with Tris-EDTA buffer (pH 9.0) for 20 minutes. The tissues were blocked in 1% BSA for 20 minutes at room temperature, washed with ddH2O and PBS, and then probed with the primary antibody (HA722919) at 1/1,000 dilution for 1 hour at room temperature. The detection was performed using an HRP conjugated compact polymer system. DAB was used as the chromogen. Tissues were counterstained with hematoxylin and mounted with DPX.
quantity: 100μl
price: 385.00 USD
to the supplier
Nestin
HUABIO
catalog: HA751196
domestic rabbit monoclonal (PSH07-89)
reactivity:
human
,
mouse
,
rat
application:
western blot
,
immunoprecipitation
,
immunohistochemistry - paraffin section
,
immunohistochemistry - frozen section
Application: IHC-Fr Species: Mouse Site: E14.5 embryonic brain Sample: Frozen section Antibody concentration: 1/500 Antigen retrieval: Not required
Application: IHC-Fr Species: Rat Site: Kindey Sample: Frozen section Antibody concentration: 1/500 Antigen retrieval: Not required
Immunohistochemical analysis of paraffin-embedded human kidney tissue with Rabbit anti-Nestin antibody (HA751196) at 1/1,000 dilution. The section was pre-treated using heat mediated antigen retrieval with Tris-EDTA buffer (pH 9.0) for 20 minutes. The tissues were blocked in 1% BSA for 20 minutes at room temperature, washed with ddH2O and PBS, and then probed with the primary antibody (HA751196) at 1/1,000 dilution for 1 hour at room temperature. The detection was performed using an HRP conjugated compact polymer system. DAB was used as the chromogen. Tissues were counterstained with hematoxylin and mounted with DPX.
quantity: 100μl
price: 649.00 USD
to the supplier
Nestin
HUABIO
catalog: R1510-19
domestic rabbit polyclonal
reactivity:
human
,
mouse
application:
immunohistochemistry - paraffin section
Immunohistochemical analysis of paraffin-embedded human kidney tissue using anti-Filamin A antibody. Counter stained with hematoxylin.
Immunohistochemical analysis of paraffin-embedded mouse brain tissue using anti-Filamin A antibody. Counter stained with hematoxylin.
quantity: 100μl
price: 330 USD
to the supplier
Nestin
HUABIO
catalog: HA601406
domestic rabbit polyclonal (PSH07-89)
reactivity:
human
,
mouse
,
rat
application:
western blot
,
immunohistochemistry - paraffin section
,
immunohistochemistry - frozen section
Immunofluorescence analysis of frozen E14.5 mouse embryo tissue with Rat anti-Nestin antibody (HA601406) at 1/1,000 dilution. The section was not undergone antigen retrieval. The tissues were blocked in 10% negative goat serum for 1 hour at room temperature, washed with PBS, and then probed with the primary antibody (HA601406, green) at 1/1,000 dilution overnight at 4 ℃, washed with PBS. Goat Anti-Rat IgG H&L (iFluor™ 488, HA1133) was used as the secondary antibody at 1/500 dilution. Nuclei were counterstained with DAPI (blue).
Immunofluorescence analysis of frozen E14.5 mouse embryo tissue with Rat anti-Nestin antibody (HA601406) at 1/1,000 dilution. The section was not undergone antigen retrieval. The tissues were blocked in 10% negative goat serum for 1 hour at room temperature, washed with PBS, and then probed with the primary antibody (HA601406, green) at 1/1,000 dilution overnight at 4 ℃, washed with PBS. Goat Anti-Rat IgG H&L (iFluor™ 488, HA1133) was used as the secondary antibody at 1/500 dilution. Nuclei were counterstained with DAPI (blue).
Immunofluorescence analysis of frozen mouse kidney tissue with Rat anti-Nestin antibody (HA601406) at 1/1,000 dilution. The section was not undergone antigen retrieval. The tissues were blocked in 10% negative goat serum for 1 hour at room temperature, washed with PBS, and then probed with the primary antibody (HA601406, green) at 1/1,000 dilution overnight at 4 ℃, washed with PBS. Goat Anti-Rat IgG H&L (iFluor™ 488, HA1133) was used as the secondary antibody at 1/500 dilution. Nuclei were counterstained with DAPI (blue).
quantity: 100μl
price: 330 USD
to the supplier
Nestin
HUABIO
catalog: HA601468
domestic rabbit polyclonal (PSH07-89)
reactivity:
human
,
mouse
,
rat
application:
western blot
,
immunohistochemistry - frozen section
Application: IHC-Fr Species: Mouse Site: embryonic cartilage Sample: Frozen section Antibody concentration: 1/200 Antigen retrieval: Not required
Application: IHC-Fr Species: Mouse Site: kidney Sample: Frozen section Antibody concentration: 1/200 Antigen retrieval: Not required
Application: IHC-Fr Species: Rat Site: kidney Sample: Frozen section Antibody concentration: 1/200 Antigen retrieval: Not required
quantity: 100μl
price: 360.00 USD
to the supplier
Nestin
HUABIO
catalog: HA610246
domestic rabbit polyclonal (PSH07-89)
reactivity:
human
,
mouse
,
rat
application:
western blot
,
immunohistochemistry - paraffin section
,
immunohistochemistry - frozen section
Immunofluorescence analysis of frozen E14.5 mouse embryo tissue with Rat anti-Nestin antibody (HA610246) at 1/1,000 dilution. The section was not undergone antigen retrieval. The tissues were blocked in 10% negative goat serum for 1 hour at room temperature, washed with PBS, and then probed with the primary antibody (HA610246, green) at 1/1,000 dilution overnight at 4 ℃, washed with PBS. Goat Anti-Rat IgG H&L (iFluor™ 488, HA1133) was used as the secondary antibody at 1/500 dilution. Nuclei were counterstained with DAPI (blue).
Immunofluorescence analysis of frozen E14.5 mouse embryo tissue with Rat anti-Nestin antibody (HA610246) at 1/1,000 dilution. The section was not undergone antigen retrieval. The tissues were blocked in 10% negative goat serum for 1 hour at room temperature, washed with PBS, and then probed with the primary antibody (HA610246, green) at 1/1,000 dilution overnight at 4 ℃, washed with PBS. Goat Anti-Rat IgG H&L (iFluor™ 488, HA1133) was used as the secondary antibody at 1/500 dilution. Nuclei were counterstained with DAPI (blue).
Immunofluorescence analysis of frozen mouse kidney tissue with Rat anti-Nestin antibody (HA610246) at 1/1,000 dilution. The section was not undergone antigen retrieval. The tissues were blocked in 10% negative goat serum for 1 hour at room temperature, washed with PBS, and then probed with the primary antibody (HA610246, green) at 1/1,000 dilution overnight at 4 ℃, washed with PBS. Goat Anti-Rat IgG H&L (iFluor™ 488, HA1133) was used as the secondary antibody at 1/500 dilution. Nuclei were counterstained with DAPI (blue).
quantity: 100μg
price: 649.00 USD
to the supplier
Nestin
HUABIO
catalog: HA610302
domestic rabbit polyclonal (PSH07-89)
reactivity:
human
,
mouse
,
rat
application:
western blot
,
immunohistochemistry - frozen section
Application: IHC-Fr Species: Mouse Site: embryonic cartilage Sample: Frozen section Antibody concentration: 1/200 Antigen retrieval: Not required
Application: IHC-Fr Species: Mouse Site: kidney Sample: Frozen section Antibody concentration: 1/200 Antigen retrieval: Not required
Application: IHC-Fr Species: Rat Site: kidney Sample: Frozen section Antibody concentration: 1/200 Antigen retrieval: Not required
quantity: 100μg
price: 649.00 USD
to the supplier