Sign in
Sign up
home
>
HUABIO
> HUABIO CFL1 antibody
Cofilin
HUABIO
catalog: ER63062
domestic rabbit polyclonal
reactivity:
human
,
mouse
,
rat
application:
western blot
,
immunohistochemistry - paraffin section
Western blot analysis of Cofilin on different lysates with Rabbit anti-Cofilin antibody (ER63062) at 1/2,000 dilution. Lane 1: Hela cell lysate (20 µg/Lane) Lane 2: HEK-293 cell lysate (20 µg/Lane) Lane 3: VERO cell lysate (20 µg/Lane) Lane 4: NIH/3T3 cell lysate (20 µg/Lane) Lane 5: PC-12 cell lysate (20 µg/Lane) Lane 6: Mouse spleen tissue lysate (40 µg/Lane) Lane 7: Rat brain tissue lysate (40 µg/Lane) Predicted band size: 19 kDa Observed band size: 19 kDa Exposure time: 30 seconds; ECL: K1801; 4-20% SDS-PAGE gel. Proteins were transferred to a PVDF membrane and blocked with 5% NFDM/TBST for 1 hour at room temperature. The primary antibody (ER63062) at 1/2,000 dilution was used in 5% NFDM/TBST at 4℃ overnight. Goat Anti-Rabbit IgG - HRP Secondary Antibody (HA1001) at 1/50,000 dilution was used for 1 hour at room temperature.
Immunohistochemical analysis of paraffin-embedded human breast cancer tissue with Rabbit anti-Cofilin antibody (ER63062) at 1/1,000 dilution. The section was pre-treated using heat mediated antigen retrieval with Tris-EDTA buffer (pH 9.0) for 20 minutes. The tissues were blocked in 1% BSA for 20 minutes at room temperature, washed with ddH2O and PBS, and then probed with the primary antibody (ER63062) at 1/1,000 dilution for 1 hour at room temperature. The detection was performed using an HRP conjugated compact polymer system. DAB was used as the chromogen. Tissues were counterstained with hematoxylin and mounted with DPX.
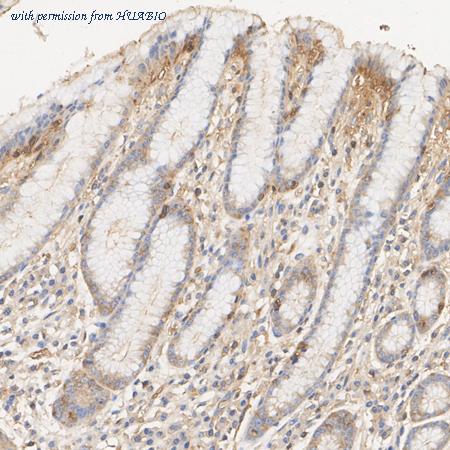
Immunohistochemical analysis of paraffin-embedded human stomach tissue with Rabbit anti-Cofilin antibody (ER63062) at 1/1,000 dilution. The section was pre-treated using heat mediated antigen retrieval with Tris-EDTA buffer (pH 9.0) for 20 minutes. The tissues were blocked in 1% BSA for 20 minutes at room temperature, washed with ddH2O and PBS, and then probed with the primary antibody (ER63062) at 1/1,000 dilution for 1 hour at room temperature. The detection was performed using an HRP conjugated compact polymer system. DAB was used as the chromogen. Tissues were counterstained with hematoxylin and mounted with DPX.
quantity: 100μl
price: 330 USD
to the supplier
Cofilin
HUABIO
catalog: HA500523
domestic rabbit polyclonal
reactivity:
human
,
mouse
,
rat
application:
western blot
,
flow cytometry
Western blot analysis of Cofilin on different lysates with Rabbit anti-Cofilin antibody (HA500523) at 1/1,000 dilution. Lane 1: Hela cell lysate Lane 2: HEK-293 cell lysate Lane 3: MCF-7 cell lysate Lane 4: MDA-MB-468 cell lysate Lane 5: SH-SY5Y cell lysate Lane 6: HUVEC cell lysate Lane 7: Jurkat cell lysate Lane 8: COS-1 cell lysate Lane 9: VERO cell lysate Lane 10: NIH/3T3 cell lysate Lane 11: PC-12 cell lysate Lane 12: Neuro-2a cell lysate Lysates/proteins at 30 µg/Lane. Predicted band size: 19 kDa Observed band size: 19 kDa Exposure time: 30 seconds; 15% SDS-PAGE gel. Proteins were transferred to a PVDF membrane and blocked with 5% NFDM/TBST for 1 hour at room temperature. The primary antibody (HA500523) at 1/1,000 dilution was used in 5% NFDM/TBST at room temperature for 2 hours. Goat Anti-Rabbit IgG - HRP Secondary Antibody (HA1001) at 1:200,000 dilution was used for 1 hour at room temperature.
Immunocytochemistry analysis of NIH/3T3 cells labeling Cofilin with Rabbit anti-Cofilin antibody (HA500523) at 10μg/mL dilution. Cells were fixed in 4% paraformaldehyde for 10 minutes at 37 ℃, permeabilized with 0.05% Triton X-100 in PBS for 20 minutes, and then blocked with 2% negative goat serum for 30 minutes at room temperature. Cells were then incubated with Rabbit anti-Cofilin antibody (HA500523) at 10μg/mL dilution in 2% negative goat serum overnight at 4 ℃. Goat Anti-Rabbit IgG H&L (iFluor™ 488, HA1121) was used as the secondary antibody at 1/1,000 dilution. PBS instead of the primary antibody was used as the secondary antibody only control. Nuclear DNA was labelled in blue with DAPI.
Flow cytometric analysis of Hela cells labeling Cofilin. Cells were fixed and permeabilized. Then stained with the primary antibody (HA500523, 1ug/ml) (red) compared with Rabbit IgG Isotype Control (green). After incubation of the primary antibody at +4℃ for an hour, the cells were stained with a iFluor™ 488 conjugate-Goat anti-Rabbit IgG Secondary antibody (HA1121) at 1/1,000 dilution for 30 minutes at +4℃. Unlabelled sample was used as a control (cells without incubation with primary antibody; black).
quantity: 100μl
price: 330 USD
to the supplier
Cofilin
HUABIO
catalog: HA721326
domestic rabbit monoclonal (PSH0-33)
reactivity:
human
,
mouse
,
rat
application:
western blot
,
flow cytometry
Western blot analysis of Cofilin on different lysates with Rabbit anti-Cofilin antibody (HA721326) at 1/1,000 dilution. Lane 1: Hela cell lysate (30 µg/Lane) Lane 2: HEK-293 cell lysate (30 µg/Lane) Lane 3: MCF-7 cell lysate (30 µg/Lane) Lane 4: MDA-MB-468 cell lysate (24 µg/Lane) Lane 5: K-562 cell lysate (16 µg/Lane) Lane 6: SH-SY5Y cell lysate (22 µg/Lane) Lane 7: HUVEC cell lysate (30 µg/Lane) Lane 8: Jurkat cell lysate (30 µg/Lane) Lane 9: A431 cell lysate (20 µg/Lane) Lane 10: COS-1 cell lysate (30 µg/Lane) Lane 11: VERO cell lysate (30 µg/Lane) Lane 12: NIH/3T3 cell lysate (22 µg/Lane) Lane 13: PC-12 cell lysate (30 µg/Lane) Lane 14: Neuro-2a cell lysate (19 µg/Lane) Predicted band size: 19 kDa Observed band size: 19 kDa Exposure time: 20 seconds; 15% SDS-PAGE gel. Proteins were transferred to a PVDF membrane and blocked with 5% NFDM/TBST for 1 hour at room temperature. The primary antibody (HA721326) at 1/1,000 dilution was used in 5% NFDM/TBST at room temperature for 2 hours. Goat Anti-Rabbit IgG - HRP Secondary Antibody (HA1001) at 1:200,000 dilution was used for 1 hour at room temperature.
Immunocytochemistry analysis of NIH/3T3 cells labeling Cofilin with Rabbit anti-Cofilin antibody (HA721326) at 1/100 dilution. Cells were fixed in 4% paraformaldehyde for 10 minutes at 37 ℃, permeabilized with 0.05% Triton X-100 in PBS for 20 minutes, and then blocked with 2% negative goat serum for 30 minutes at room temperature. Cells were then incubated with Rabbit anti-Cofilin antibody (HA721326) at 1/100 dilution in 2% negative goat serum overnight at 4 ℃. Goat Anti-Rabbit IgG H&L (iFluor™ 488, HA1121) was used as the secondary antibody at 1/1,000 dilution. Nuclear DNA was labelled in blue with DAPI. Beta tubulin (M1305-2, red) was stained at 1/100 dilution overnight at +4℃. Goat Anti-Mouse IgG H&L (iFluor™ 594, HA1126) was used as the secondary antibody at 1/1,000 dilution.
Flow cytometric analysis of Hela cells labeling Cofilin. Cells were fixed and permeabilized. Then stained with the primary antibody (HA721326, 1ug/ml) (red) compared with Rabbit IgG Isotype Control (green). After incubation of the primary antibody at +4℃ for an hour, the cells were stained with a iFluor™ 488 conjugate-Goat anti-Rabbit IgG Secondary antibody (HA1121) at 1/1,000 dilution for 30 minutes at +4℃. Unlabelled sample was used as a control (cells without incubation with primary antibody; black).
quantity: 100μl
price: 385.00 USD
to the supplier
Cofilin
HUABIO
catalog: HA721327
domestic rabbit monoclonal (PSH0-34)
reactivity:
human
,
mouse
,
rat
application:
western blot
,
flow cytometry
Western blot analysis of Cofilin on different lysates with Rabbit anti-Cofilin antibody (HA721327) at 1/1,000 dilution. Lane 1: Hela cell lysate (30 µg/Lane) Lane 2: HEK-293 cell lysate (30 µg/Lane) Lane 3: MCF-7 cell lysate (30 µg/Lane) Lane 4: MDA-MB-468 cell lysate (24 µg/Lane) Lane 5: K-562 cell lysate (16 µg/Lane) Lane 6: SH-SY5Y cell lysate (22 µg/Lane) Lane 7: HUVEC cell lysate (30 µg/Lane) Lane 8: Jurkat cell lysate (30 µg/Lane) Lane 9: COS-1 cell lysate (30 µg/Lane) Lane 10: VERO cell lysate (30 µg/Lane) Lane 11: NIH/3T3 cell lysate (22 µg/Lane) Lane 12: PC-12 cell lysate (19 µg/Lane) Lane 13: Neuro-2a cell lysate (19 µg/Lane) Predicted band size: 19 kDa Observed band size: 19 kDa Exposure time: 3 minutes; 15% SDS-PAGE gel. Proteins were transferred to a PVDF membrane and blocked with 5% NFDM/TBST for 1 hour at room temperature. The primary antibody (HA721327) at 1/1,000 dilution was used in 5% NFDM/TBST at room temperature for 2 hours. Goat Anti-Rabbit IgG - HRP Secondary Antibody (HA1001) at 1:200,000 dilution was used for 1 hour at room temperature.
Flow cytometric analysis of Hela cells labeling Cofilin. Cells were fixed and permeabilized. Then stained with the primary antibody (HA721327, 1ug/ml) (red) compared with Rabbit IgG Isotype Control (green). After incubation of the primary antibody at +4℃ for an hour, the cells were stained with a iFluor™ 488 conjugate-Goat anti-Rabbit IgG Secondary antibody (HA1121) at 1/1,000 dilution for 30 minutes at +4℃. Unlabelled sample was used as a control (cells without incubation with primary antibody; black).
Flow cytometric analysis of NIH/3T3 cells labeling Cofilin. Cells were fixed and permeabilized. Then stained with the primary antibody (HA721327, 1ug/ml) (red) compared with Rabbit IgG Isotype Control (green). After incubation of the primary antibody at +4℃ for an hour, the cells were stained with a iFluor™ 488 conjugate-Goat anti-Rabbit IgG Secondary antibody (HA1121) at 1/1,000 dilution for 30 minutes at +4℃. Unlabelled sample was used as a control (cells without incubation with primary antibody; black).
quantity: 100μl
price: 385.00 USD
to the supplier
Cofilin
HUABIO
catalog: HA721340
domestic rabbit monoclonal (PSH0-38)
reactivity:
human
,
mouse
,
rat
application:
western blot
,
flow cytometry
Western blot analysis of Cofilin on different lysates with Rabbit anti-Cofilin antibody (HA721340) at 1/1,000 dilution. Lane 1: HeLa cell lysate (30 µg/Lane) Lane 2: HEK-293 cell lysate (30 µg/Lane) Lane 3: MCF7 cell lysate (30 µg/Lane) Lane 4: MDA-MB-468 cell lysate (24 µg/Lane) Lane 5: K-562 cell lysate (16 µg/Lane) Lane 6: SH-SY5Y cell lysate (22 µg/Lane) Lane 7: HUVEC cell lysate (30 µg/Lane) Lane 8: Jurkat cell lysate (30 µg/Lane) Lane 9: COS-1 cell lysate (30 µg/Lane) Lane 10: VERO cell lysate (30 µg/Lane) Lane 11: NIH/3T3 cell lysate (22 µg/Lane) Lane 12: PC-12 cell lysate (30 µg/Lane) Lane 13: Neuro-2a cell lysate (19 µg/Lane) Predicted band size: 19 kDa Observed band size: 19 kDa Exposure time: 22 seconds; 4-20% SDS-PAGE gel. Proteins were transferred to a PVDF membrane and blocked with 5% NFDM/TBST for 1 hour at room temperature. The primary antibody (HA721340) at 1/1,000 dilution was used in 5% NFDM/TBST at room temperature for 2 hours. Goat Anti-Rabbit IgG - HRP Secondary Antibody (HA1001) at 1:200,000 dilution was used for 1 hour at room temperature.
Flow cytometric analysis of HeLa cells labeling Cofilin. Cells were fixed and permeabilized. Then stained with the primary antibody (HA721340, 1ug/ml) (red) compared with Rabbit IgG Isotype Control (green). After incubation of the primary antibody at +4℃ for an hour, the cells were stained with a iFluor™ 488 conjugate-Goat anti-Rabbit IgG Secondary antibody (HA1121) at 1/1,000 dilution for 30 minutes at +4℃. Unlabelled sample was used as a control (cells without incubation with primary antibody; black).
Flow cytometric analysis of NIH/3T3 cells labeling Cofilin. Cells were fixed and permeabilized. Then stained with the primary antibody (HA721340, 1ug/ml) (red) compared with Rabbit IgG Isotype Control (green). After incubation of the primary antibody at +4℃ for an hour, the cells were stained with a iFluor™ 488 conjugate-Goat anti-Rabbit IgG Secondary antibody (HA1121) at 1/1,000 dilution for 30 minutes at +4℃. Unlabelled sample was used as a control (cells without incubation with primary antibody; black).
quantity: 100μl
price: 385.00 USD
to the supplier
Cofilin
HUABIO
catalog: HA721682
domestic rabbit monoclonal (PSH01-44)
reactivity:
human
,
mouse
,
rat
application:
western blot
,
flow cytometry
,
immunohistochemistry - paraffin section
Western blot analysis of Cofilin on different lysates with Rabbit anti-Cofilin antibody (HA721682) at 1/1,000 dilution. Lane 1: Hela cell lysate (30 µg/Lane) Lane 2: HEK-293 cell lysate (30 µg/Lane) Lane 3: MCF7 cell lysate (30 µg/Lane) Lane 4: MDA-MB-468 cell lysate (30 µg/Lane) Lane 5: SH-SY5Y cell lysate (30 µg/Lane) Lane 6: HUVEC cell lysate (30 µg/Lane) Lane 7: Jurkat cell lysate (30 µg/Lane) Lane 8: COS-1 cell lysate (30 µg/Lane) Lane 9: VERO cell lysate (30 µg/Lane) Lane 10: NIH/3T3 cell lysate (30 µg/Lane) Lane 11: PC-12 cell lysate (30 µg/Lane) Lane 12: Neuro-2a cell lysate (30 µg/Lane) Lane 13: K-562 cell lysate (30 µg/Lane) Lane 14: A431 cell lysate (30 µg/Lane) Predicted band size: 19 kDa Observed band size: 19 kDa Exposure time: 2 minutes 37 seconds; 4-20% SDS-PAGE gel. Proteins were transferred to a PVDF membrane and blocked with 5% NFDM/TBST for 1 hour at room temperature. The primary antibody (HA721682) at 1/1,000 dilution was used in 5% NFDM/TBST at room temperature for 2 hours. Goat Anti-Rabbit IgG - HRP Secondary Antibody (HA1001) at 1:100,000 dilution was used for 1 hour at room temperature.
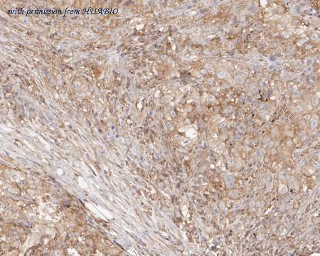
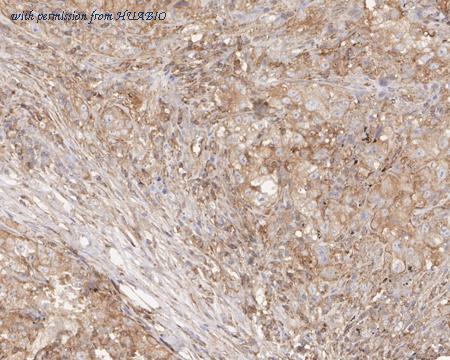
Immunohistochemical analysis of paraffin-embedded human breast carcinoma tissue with Rabbit anti-Cofilin antibody (HA721682) at 1/100 dilution. The section was pre-treated using heat mediated antigen retrieval with sodium citrate buffer (pH 6.0) (high pressure) for 2 minutes. The tissues were blocked in 1% BSA for 20 minutes at room temperature, washed with ddH2O and PBS, and then probed with the primary antibody (HA721682) at 1/100 dilution for 1 hour at room temperature. The detection was performed using an HRP conjugated compact polymer system. DAB was used as the chromogen. Tissues were counterstained with hematoxylin and mounted with DPX.
Immunohistochemical analysis of paraffin-embedded human lung carcinoma tissue with Rabbit anti-Cofilin antibody (HA721682) at 1/100 dilution. The section was pre-treated using heat mediated antigen retrieval with sodium citrate buffer (pH 6.0) (high pressure) for 2 minutes. The tissues were blocked in 1% BSA for 20 minutes at room temperature, washed with ddH2O and PBS, and then probed with the primary antibody (HA721682) at 1/100 dilution for 1 hour at room temperature. The detection was performed using an HRP conjugated compact polymer system. DAB was used as the chromogen. Tissues were counterstained with hematoxylin and mounted with DPX.
quantity: 100μl
price: 385.00 USD
to the supplier
Phospho-Cofilin (S3)
HUABIO
catalog: HA722806
domestic rabbit monoclonal (PSH07-18)
reactivity:
human
,
rat
application:
western blot
Western blot analysis of Phospho-Cofilin (S3) on different lysates with Rabbit anti-Phospho-Cofilin (S3) antibody (HA722806) at 1/2,000 dilution. Lane 1: COS-1 cell lysate Lane 2: C6 cell lysate Lane 3: Jurkat cell lysate Lane 4: MCF7 cell lysate Lane 5: A431 cell lysate Lane 6: A431 cell lysate, the membrane treated with λpp for 1 hour Lysates/proteins at 20 µg/Lane. Predicted band size: 19 kDa Observed band size: 19 kDa Exposure time: 59 seconds; ECL: K1801; 4-20% SDS-PAGE gel. Proteins were transferred to a PVDF membrane and blocked with 5% NFDM/TBST for 1 hour at room temperature. The primary antibody (HA722806) at 1/2,000 dilution was used in 5% NFDM/TBST at 4℃ overnight. Goat Anti-Rabbit IgG - HRP Secondary Antibody (HA1001) at 1/50,000 dilution was used for 1 hour at room temperature.
quantity: 100μl
price: 385.00 USD
to the supplier
Cofilin
HUABIO
catalog: HA750612
domestic rabbit monoclonal (PSH0-33)
reactivity:
human
,
mouse
,
rat
application:
western blot
,
flow cytometry
Western blot analysis of Cofilin on different lysates with Rabbit anti-Cofilin antibody (HA750612) at 1/1,000 dilution. Lane 1: Hela cell lysate (30 µg/Lane) Lane 2: HEK-293 cell lysate (30 µg/Lane) Lane 3: MCF-7 cell lysate (30 µg/Lane) Lane 4: MDA-MB-468 cell lysate (24 µg/Lane) Lane 5: K-562 cell lysate (16 µg/Lane) Lane 6: SH-SY5Y cell lysate (22 µg/Lane) Lane 7: HUVEC cell lysate (30 µg/Lane) Lane 8: Jurkat cell lysate (30 µg/Lane) Lane 9: A431 cell lysate (20 µg/Lane) Lane 10: COS-1 cell lysate (30 µg/Lane) Lane 11: VERO cell lysate (30 µg/Lane) Lane 12: NIH/3T3 cell lysate (22 µg/Lane) Lane 13: PC-12 cell lysate (30 µg/Lane) Lane 14: Neuro-2a cell lysate (19 µg/Lane) Predicted band size: 19 kDa Observed band size: 19 kDa Exposure time: 20 seconds; 15% SDS-PAGE gel. Proteins were transferred to a PVDF membrane and blocked with 5% NFDM/TBST for 1 hour at room temperature. The primary antibody (HA750612) at 1/1,000 dilution was used in 5% NFDM/TBST at room temperature for 2 hours. Goat Anti-Rabbit IgG - HRP Secondary Antibody (HA1001) at 1:200,000 dilution was used for 1 hour at room temperature.
Immunocytochemistry analysis of NIH/3T3 cells labeling Cofilin with Rabbit anti-Cofilin antibody (HA750612) at 1/100 dilution. Cells were fixed in 4% paraformaldehyde for 10 minutes at 37 ℃, permeabilized with 0.05% Triton X-100 in PBS for 20 minutes, and then blocked with 2% negative goat serum for 30 minutes at room temperature. Cells were then incubated with Rabbit anti-Cofilin antibody (HA750612) at 1/100 dilution in 2% negative goat serum overnight at 4 ℃. Goat Anti-Rabbit IgG H&L (iFluor™ 488, HA1121) was used as the secondary antibody at 1/1,000 dilution. Nuclear DNA was labelled in blue with DAPI. Beta tubulin (M1305-2, red) was stained at 1/100 dilution overnight at +4℃. Goat Anti-Mouse IgG H&L (iFluor™ 594, HA1126) was used as the secondary antibody at 1/1,000 dilution.
Flow cytometric analysis of Hela cells labeling Cofilin. Cells were fixed and permeabilized. Then stained with the primary antibody (HA750612, 1ug/ml) (red) compared with Rabbit IgG Isotype Control (green). After incubation of the primary antibody at +4℃ for an hour, the cells were stained with a iFluor™ 488 conjugate-Goat anti-Rabbit IgG Secondary antibody (HA1121) at 1/1,000 dilution for 30 minutes at +4℃. Unlabelled sample was used as a control (cells without incubation with primary antibody; black).
quantity: 100μl
price: 649.00 USD
to the supplier
Cofilin
HUABIO
catalog: HA750613
domestic rabbit monoclonal (PSH0-34)
reactivity:
human
,
mouse
,
rat
application:
western blot
,
flow cytometry
Western blot analysis of Cofilin on different lysates with Rabbit anti-Cofilin antibody (HA750613) at 1/1,000 dilution. Lane 1: Hela cell lysate (30 µg/Lane) Lane 2: HEK-293 cell lysate (30 µg/Lane) Lane 3: MCF-7 cell lysate (30 µg/Lane) Lane 4: MDA-MB-468 cell lysate (24 µg/Lane) Lane 5: K-562 cell lysate (16 µg/Lane) Lane 6: SH-SY5Y cell lysate (22 µg/Lane) Lane 7: HUVEC cell lysate (30 µg/Lane) Lane 8: Jurkat cell lysate (30 µg/Lane) Lane 9: COS-1 cell lysate (30 µg/Lane) Lane 10: VERO cell lysate (30 µg/Lane) Lane 11: NIH/3T3 cell lysate (22 µg/Lane) Lane 12: PC-12 cell lysate (19 µg/Lane) Lane 13: Neuro-2a cell lysate (19 µg/Lane) Predicted band size: 19 kDa Observed band size: 19 kDa Exposure time: 3 minutes; 15% SDS-PAGE gel. Proteins were transferred to a PVDF membrane and blocked with 5% NFDM/TBST for 1 hour at room temperature. The primary antibody (HA750613) at 1/1,000 dilution was used in 5% NFDM/TBST at room temperature for 2 hours. Goat Anti-Rabbit IgG - HRP Secondary Antibody (HA1001) at 1:200,000 dilution was used for 1 hour at room temperature.
Flow cytometric analysis of Hela cells labeling Cofilin. Cells were fixed and permeabilized. Then stained with the primary antibody (HA750613, 1ug/ml) (red) compared with Rabbit IgG Isotype Control (green). After incubation of the primary antibody at +4℃ for an hour, the cells were stained with a iFluor™ 488 conjugate-Goat anti-Rabbit IgG Secondary antibody (HA1121) at 1/1,000 dilution for 30 minutes at +4℃. Unlabelled sample was used as a control (cells without incubation with primary antibody; black).
Flow cytometric analysis of NIH/3T3 cells labeling Cofilin. Cells were fixed and permeabilized. Then stained with the primary antibody (HA750613, 1ug/ml) (red) compared with Rabbit IgG Isotype Control (green). After incubation of the primary antibody at +4℃ for an hour, the cells were stained with a iFluor™ 488 conjugate-Goat anti-Rabbit IgG Secondary antibody (HA1121) at 1/1,000 dilution for 30 minutes at +4℃. Unlabelled sample was used as a control (cells without incubation with primary antibody; black).
quantity: 100μl
price: 649.00 USD
to the supplier
Cofilin
HUABIO
catalog: HA750616
domestic rabbit monoclonal (PSH0-38)
reactivity:
human
,
mouse
,
rat
application:
western blot
,
flow cytometry
Western blot analysis of Cofilin on different lysates with Rabbit anti-Cofilin antibody (HA750616) at 1/1,000 dilution. Lane 1: HeLa cell lysate (30 µg/Lane) Lane 2: HEK-293 cell lysate (30 µg/Lane) Lane 3: MCF7 cell lysate (30 µg/Lane) Lane 4: MDA-MB-468 cell lysate (24 µg/Lane) Lane 5: K-562 cell lysate (16 µg/Lane) Lane 6: SH-SY5Y cell lysate (22 µg/Lane) Lane 7: HUVEC cell lysate (30 µg/Lane) Lane 8: Jurkat cell lysate (30 µg/Lane) Lane 9: COS-1 cell lysate (30 µg/Lane) Lane 10: VERO cell lysate (30 µg/Lane) Lane 11: NIH/3T3 cell lysate (22 µg/Lane) Lane 12: PC-12 cell lysate (30 µg/Lane) Lane 13: Neuro-2a cell lysate (19 µg/Lane) Predicted band size: 19 kDa Observed band size: 19 kDa Exposure time: 22 seconds; 4-20% SDS-PAGE gel. Proteins were transferred to a PVDF membrane and blocked with 5% NFDM/TBST for 1 hour at room temperature. The primary antibody (HA750616) at 1/1,000 dilution was used in 5% NFDM/TBST at room temperature for 2 hours. Goat Anti-Rabbit IgG - HRP Secondary Antibody (HA1001) at 1:200,000 dilution was used for 1 hour at room temperature.
Flow cytometric analysis of HeLa cells labeling Cofilin. Cells were fixed and permeabilized. Then stained with the primary antibody (HA750616, 1ug/ml) (red) compared with Rabbit IgG Isotype Control (green). After incubation of the primary antibody at +4℃ for an hour, the cells were stained with a iFluor™ 488 conjugate-Goat anti-Rabbit IgG Secondary antibody (HA1121) at 1/1,000 dilution for 30 minutes at +4℃. Unlabelled sample was used as a control (cells without incubation with primary antibody; black).
Flow cytometric analysis of NIH/3T3 cells labeling Cofilin. Cells were fixed and permeabilized. Then stained with the primary antibody (HA750616, 1ug/ml) (red) compared with Rabbit IgG Isotype Control (green). After incubation of the primary antibody at +4℃ for an hour, the cells were stained with a iFluor™ 488 conjugate-Goat anti-Rabbit IgG Secondary antibody (HA1121) at 1/1,000 dilution for 30 minutes at +4℃. Unlabelled sample was used as a control (cells without incubation with primary antibody; black).
quantity: 100μl
price: 649.00 USD
to the supplier
Cofilin
HUABIO
catalog: HA750721
domestic rabbit monoclonal (PSH01-44)
reactivity:
human
,
mouse
,
rat
application:
western blot
,
flow cytometry
,
immunohistochemistry - paraffin section
Western blot analysis of Cofilin on different lysates with Rabbit anti-Cofilin antibody (HA750721) at 1/1,000 dilution. Lane 1: Hela cell lysate (30 µg/Lane) Lane 2: HEK-293 cell lysate (30 µg/Lane) Lane 3: MCF7 cell lysate (30 µg/Lane) Lane 4: MDA-MB-468 cell lysate (30 µg/Lane) Lane 5: SH-SY5Y cell lysate (30 µg/Lane) Lane 6: HUVEC cell lysate (30 µg/Lane) Lane 7: Jurkat cell lysate (30 µg/Lane) Lane 8: COS-1 cell lysate (30 µg/Lane) Lane 9: VERO cell lysate (30 µg/Lane) Lane 10: NIH/3T3 cell lysate (30 µg/Lane) Lane 11: PC-12 cell lysate (30 µg/Lane) Lane 12: Neuro-2a cell lysate (30 µg/Lane) Lane 13: K-562 cell lysate (30 µg/Lane) Lane 14: A431 cell lysate (30 µg/Lane) Predicted band size: 19 kDa Observed band size: 19 kDa Exposure time: 2 minutes 37 seconds; 4-20% SDS-PAGE gel. Proteins were transferred to a PVDF membrane and blocked with 5% NFDM/TBST for 1 hour at room temperature. The primary antibody (HA750721) at 1/1,000 dilution was used in 5% NFDM/TBST at room temperature for 2 hours. Goat Anti-Rabbit IgG - HRP Secondary Antibody (HA1001) at 1:100,000 dilution was used for 1 hour at room temperature.
Immunohistochemical analysis of paraffin-embedded human breast carcinoma tissue with Rabbit anti-Cofilin antibody (HA750721) at 1/100 dilution. The section was pre-treated using heat mediated antigen retrieval with sodium citrate buffer (pH 6.0) (high pressure) for 2 minutes. The tissues were blocked in 1% BSA for 20 minutes at room temperature, washed with ddH2O and PBS, and then probed with the primary antibody (HA750721) at 1/100 dilution for 1 hour at room temperature. The detection was performed using an HRP conjugated compact polymer system. DAB was used as the chromogen. Tissues were counterstained with hematoxylin and mounted with DPX.
Immunohistochemical analysis of paraffin-embedded human lung carcinoma tissue with Rabbit anti-Cofilin antibody (HA750721) at 1/100 dilution. The section was pre-treated using heat mediated antigen retrieval with sodium citrate buffer (pH 6.0) (high pressure) for 2 minutes. The tissues were blocked in 1% BSA for 20 minutes at room temperature, washed with ddH2O and PBS, and then probed with the primary antibody (HA750721) at 1/100 dilution for 1 hour at room temperature. The detection was performed using an HRP conjugated compact polymer system. DAB was used as the chromogen. Tissues were counterstained with hematoxylin and mounted with DPX.
quantity: 100μl
price: 649.00 USD
to the supplier
Phospho-Cofilin (S3)
HUABIO
catalog: HA751139
domestic rabbit monoclonal (PSH07-18)
reactivity:
human
,
rat
application:
western blot
Western blot analysis of Phospho-Cofilin (S3) on different lysates with Rabbit anti-Phospho-Cofilin (S3) antibody (HA751139) at 1/2,000 dilution. Lane 1: COS-1 cell lysate Lane 2: C6 cell lysate Lane 3: Jurkat cell lysate Lane 4: MCF7 cell lysate Lane 5: A431 cell lysate Lane 6: A431 cell lysate, the membrane treated with λpp for 1 hour Lysates/proteins at 20 µg/Lane. Predicted band size: 19 kDa Observed band size: 19 kDa Exposure time: 59 seconds; ECL: K1801; 4-20% SDS-PAGE gel. Proteins were transferred to a PVDF membrane and blocked with 5% NFDM/TBST for 1 hour at room temperature. The primary antibody (HA751139) at 1/2,000 dilution was used in 5% NFDM/TBST at 4℃ overnight. Goat Anti-Rabbit IgG - HRP Secondary Antibody (HA1001) at 1/50,000 dilution was used for 1 hour at room temperature.
quantity: 100μl
price: 649.00 USD
to the supplier