Sign in
Sign up
home
>
HUABIO
> HUABIO IGF2BP3 antibody
IMP3
HUABIO
catalog: EM1701-15-50UL
mouse monoclonal (C2-E4)
reactivity:
human
,
mouse
,
rat
application:
western blot
,
immunoprecipitation
,
flow cytometry
,
immunohistochemistry - paraffin section
Western blot analysis of IMP3 on different lysates with Mouse anti-IMP3 antibody (EM1701-15) at 1/2,000 dilution. Lane 1: HeLa cell lysate (20 µg/Lane) Lane 2: 293T cell lysate (20 µg/Lane) Lane 3: Mouse placenta tissue lysate (40 µg/Lane) Lane 4: Rat placenta tissue lysate (40 µg/Lane) Predicted band size: 64 kDa Observed band size: 64 kDa Exposure time: 12 seconds; ECL: K1801; 4-20% SDS-PAGE gel. Proteins were transferred to a PVDF membrane and blocked with 5% NFDM/TBST for 1 hour at room temperature. The primary antibody (EM1701-15) at 1/2,000 dilution was used in 5% NFDM/TBST at 4℃ overnight. Goat Anti-Mouse IgG - HRP Secondary Antibody (HA1006) at 1/50,000 dilution was used for 1 hour at room temperature.
Western blot analysis of IMP3 on different lysates with Mouse anti-IMP3 antibody (EM1701-15) at 1/5,000 dilution. Lane 1: HAP1-parental cell lysate Lane 2: HAP1-IMP3 KD cell lysate Lysates/proteins at 10 µg/Lane. Predicted band size: 64 kDa Observed band size: 64 kDa Exposure time: 6 seconds; ECL: K1801; 4-20% SDS-PAGE gel. Proteins were transferred to a PVDF membrane and blocked with 5% NFDM/TBST for 1 hour at room temperature. The primary antibody (EM1701-15) at 1/5,000 dilution was used in primary antibody dilution (K1803) at 4℃ overnight. Goat Anti-Mouse IgG - HRP Secondary Antibody (HA1006) at 1/50,000 dilution was used for 1 hour at room temperature.
IMP3 was immunoprecipitated from 0.2 mg 293T cell lysate with EM1701-15 at 2 µg/10 µl beads. Western blot was performed from the immunoprecipitate using EM1701-15 at 1/2,000 dilution. Anti-Mouse IgG for IP Nano-secondary antibody (NBI02H) at 1/5,000 dilution was used for 1 hour at room temperature. Lane 1: 293T cell lysate (input) Lane 2: EM1701-15 IP in 293T cell lysate Lane 3: Mouse IgG instead of EM1701-15 in 293T cell lysate Blocking/Dilution buffer: 5% NFDM/TBST Exposure time: 43 seconds
quantity: 50μl
price: 205.00 USD
to the supplier
IMP3
HUABIO
catalog: EM1801-01
mouse monoclonal (4-C2-5)
reactivity:
human
,
mouse
,
rat
application:
western blot
,
flow cytometry
Western blot analysis of IMP3 on different lysates with Mouse anti-IMP3 antibody (EM1801-01) at 1/2,000 dilution. Lane 1: HeLa cell lysate (20 µg/Lane) Lane 2: MDA-MB-231 cell lysate (20 µg/Lane) Lane 3: 293T cell lysate (20 µg/Lane) Lane 4: Mouse spleen tissue lysate (40 µg/Lane) Lane 5: Mouse placenta tissue lysate (40 µg/Lane) Lane 6: Rat spleen tissue lysate (40 µg/Lane) Lane 7: Rat placenta tissue lysate (40 µg/Lane) Predicted band size: 64 kDa Observed band size: 64 kDa Exposure time: Lane 1-4: 20 seconds; Lane 5-6: 46 seconds; ECL: K1801; 4-20% SDS-PAGE gel. Proteins were transferred to a PVDF membrane and blocked with 5% NFDM/TBST for 1 hour at room temperature. The primary antibody (EM1801-01) at 1/2,000 dilution was used in 5% NFDM/TBST at 4℃ overnight. Goat Anti-Mouse IgG - HRP Secondary Antibody (HA1006) at 1/50,000 dilution was used for 1 hour at room temperature.
Western blot analysis of IMP3 on different lysates with Mouse anti-IMP3 antibody (EM1801-01) at 1/5,000 dilution. Lane 1: HAP1-parental cell lysate Lane 2: HAP1-IMP3 KD cell lysate Lysates/proteins at 10 µg/Lane. Predicted band size: 64 kDa Observed band size: 64 kDa Exposure time: 12 seconds; ECL: K1801; 4-20% SDS-PAGE gel. Proteins were transferred to a PVDF membrane and blocked with 5% NFDM/TBST for 1 hour at room temperature. The primary antibody (EM1801-01) at 1/5,000 dilution was used in primary antibody dilution (K1803) at 4℃ overnight. Goat Anti-Mouse IgG - HRP Secondary Antibody (HA1006) at 1/50,000 dilution was used for 1 hour at room temperature.
Flow cytometric analysis of PANC-1 cells with IMP3 antibody at 1/100 dilution (red) compared with an unlabelled control (cells without incubation with primary antibody; black). Alexa Fluor 488-conjugated goat anti-mouse IgG was used as the secondary antibody.
quantity: 100μl
price: 360.00 USD
to the supplier
IMP3
HUABIO
catalog: HA721990
domestic rabbit monoclonal (JE34-04)
reactivity:
human
application:
western blot
,
immunohistochemistry - paraffin section
Western blot analysis of IMP3 on different lysates with Rabbit anti-IMP3 antibody (HA721990) at 1/1,000 dilution. Lane 1: HeLa cell lysate Lane 2: Jurkat cell lysate Lane 3: MDA-MB-231 cell lysate Lane 4: K-562 cell lysate Lane 5: HT-29 cell lysate Lysates/proteins at 20 µg/Lane. Predicted band size: 64 kDa Observed band size: 70 kDa Exposure time: 14 seconds; ECL: K1801; 4-20% SDS-PAGE gel. Proteins were transferred to a PVDF membrane and blocked with 5% NFDM/TBST for 1 hour at room temperature. The primary antibody (HA721990) at 1/1,000 dilution was used in 5% NFDM/TBST at 4℃ overnight. Goat Anti-Rabbit IgG - HRP Secondary Antibody (HA1001) at 1/50,000 dilution was used for 1 hour at room temperature.
Western blot analysis of IMP3 on different lysates with Rabbit anti-IMP3 antibody (HA721990) at 1/2,000 dilution. Lane 1: HAP1-parental cell lysate Lane 2: HAP1-IMP3 KD cell lysate Lysates/proteins at 10 µg/Lane. Predicted band size: 64 kDa Observed band size: 70 kDa Exposure time: 12 seconds; ECL: K1801; 4-20% SDS-PAGE gel. Proteins were transferred to a PVDF membrane and blocked with 5% NFDM/TBST for 1 hour at room temperature. The primary antibody (HA721990) at 1/2,000 dilution was used in K1803 at 4℃ overnight. Goat Anti-Rabbit IgG - HRP Secondary Antibody (HA1001) at 1/50,000 dilution was used for 1 hour at room temperature.
Immunocytochemistry analysis of HeLa cells labeling IMP3 with Rabbit anti-IMP3 antibody (HA721990) at 1/100 dilution. Cells were fixed in 4% paraformaldehyde for 20 minutes at room temperature, permeabilized with 0.1% Triton X-100 in PBS for 5 minutes at room temperature, then blocked with 1% BSA in 10% negative goat serum for 1 hour at room temperature. Cells were then incubated with Rabbit anti-IMP3 antibody (HA721990) at 1/100 dilution in 1% BSA in PBST overnight at 4 ℃. Goat Anti-Rabbit IgG H&L (iFluor™ 488, HA1121) was used as the secondary antibody at 1/1,000 dilution. PBS instead of the primary antibody was used as the secondary antibody only control. Nuclear DNA was labelled in blue with DAPI. Beta tubulin (M1305-2, red) was stained at 1/100 dilution overnight at +4℃. Goat Anti-Mouse IgG H&L (iFluor™ 594, HA1126) was used as the secondary antibody at 1/1,000 dilution.
quantity: 100μl
price: 385.00 USD
to the supplier
IMP3
HUABIO
catalog: HA722296
domestic rabbit monoclonal (PSH05-54)
reactivity:
human
,
mouse
application:
western blot
,
immunohistochemistry - paraffin section
Western blot analysis of IMP3 on different lysates with Rabbit anti-IMP3 antibody (HA722296) at 1/1,000 dilution. Lane 1: 293T cell lysate Lane 2: HeLa cell lysate Lane 3: Jurkat cell lysate Lane 4: K-562 cell lysate Lane 5: HT-29 cell lysate Lane 6: NIH/3T3 cell lysate Lysates/proteins at 20 µg/Lane. Predicted band size: 64 kDa Observed band size: 70 kDa Exposure time: 3 minutes; ECL: K1802; 4-20% SDS-PAGE gel. Proteins were transferred to a PVDF membrane and blocked with 5% NFDM/TBST for 1 hour at room temperature. The primary antibody (HA722296) at 1/1,000 dilution was used in 5% NFDM/TBST at 4℃ overnight. Goat Anti-Rabbit IgG - HRP Secondary Antibody (HA1001) at 1/50,000 dilution was used for 1 hour at room temperature.
Western blot analysis of IMP3 on different lysates with Rabbit anti-IMP3 antibody (HA722296) at 1/1,000 dilution. Lane 1: HAP1-parental cell lysate Lane 2: HAP1-IMP3 KD cell lysate Lysates/proteins at 10 µg/Lane. Predicted band size: 64 kDa Observed band size: 64 kDa Exposure time: 2 minutes; ECL: K1801; 4-20% SDS-PAGE gel. Proteins were transferred to a PVDF membrane and blocked with 5% NFDM/TBST for 1 hour at room temperature. The primary antibody (HA722296) at 1/1,000 dilution was used in primary antibody dilution (K1803) at 4℃ overnight. Goat Anti-Rabbit IgG - HRP Secondary Antibody (HA1001) at 1/50,000 dilution was used for 1 hour at room temperature.
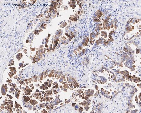
Immunohistochemical analysis of paraffin-embedded human lung cancer tissue with Rabbit anti-IMP3 antibody (HA722296) at 1/1,000 dilution. The section was pre-treated using heat mediated antigen retrieval with Tris-EDTA buffer (pH 9.0) for 20 minutes. The tissues were blocked in 1% BSA for 20 minutes at room temperature, washed with ddH2O and PBS, and then probed with the primary antibody (HA722296) at 1/1,000 dilution for 1 hour at room temperature. The detection was performed using an HRP conjugated compact polymer system. DAB was used as the chromogen. Tissues were counterstained with hematoxylin and mounted with DPX.
quantity: 100μl
price: 385.00 USD
to the supplier
IMP3
HUABIO
catalog: HA751013
domestic rabbit monoclonal (PSH05-54)
reactivity:
human
,
mouse
application:
western blot
,
immunohistochemistry - paraffin section
Western blot analysis of IMP3 on different lysates with Rabbit anti-IMP3 antibody (HA751013) at 1/1,000 dilution. Lane 1: 293T cell lysate Lane 2: HeLa cell lysate Lane 3: Jurkat cell lysate Lane 4: K-562 cell lysate Lane 5: HT-29 cell lysate Lane 6: NIH/3T3 cell lysate Lysates/proteins at 20 µg/Lane. Predicted band size: 64 kDa Observed band size: 70 kDa Exposure time: 3 minutes; ECL: K1802; 4-20% SDS-PAGE gel. Proteins were transferred to a PVDF membrane and blocked with 5% NFDM/TBST for 1 hour at room temperature. The primary antibody (HA751013) at 1/1,000 dilution was used in 5% NFDM/TBST at 4℃ overnight. Goat Anti-Rabbit IgG - HRP Secondary Antibody (HA1001) at 1/50,000 dilution was used for 1 hour at room temperature.
Western blot analysis of IMP3 on different lysates with Rabbit anti-IMP3 antibody (HA751013) at 1/1,000 dilution. Lane 1: HAP1-parental cell lysate Lane 2: HAP1-IMP3 KD cell lysate Lysates/proteins at 10 µg/Lane. Predicted band size: 64 kDa Observed band size: 64 kDa Exposure time: 2 minutes; ECL: K1801; 4-20% SDS-PAGE gel. Proteins were transferred to a PVDF membrane and blocked with 5% NFDM/TBST for 1 hour at room temperature. The primary antibody (HA751013) at 1/1,000 dilution was used in primary antibody dilution (K1803) at 4℃ overnight. Goat Anti-Rabbit IgG - HRP Secondary Antibody (HA1001) at 1/50,000 dilution was used for 1 hour at room temperature.
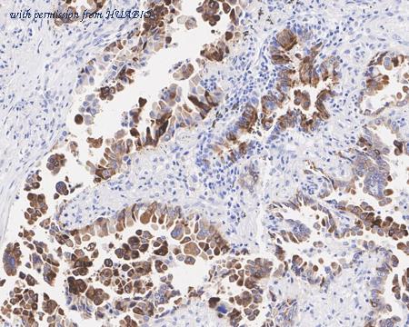
Immunohistochemical analysis of paraffin-embedded human lung cancer tissue with Rabbit anti-IMP3 antibody (HA751013) at 1/1,000 dilution. The section was pre-treated using heat mediated antigen retrieval with Tris-EDTA buffer (pH 9.0) for 20 minutes. The tissues were blocked in 1% BSA for 20 minutes at room temperature, washed with ddH2O and PBS, and then probed with the primary antibody (HA751013) at 1/1,000 dilution for 1 hour at room temperature. The detection was performed using an HRP conjugated compact polymer system. DAB was used as the chromogen. Tissues were counterstained with hematoxylin and mounted with DPX.
quantity: 100μl
price: 649.00 USD
to the supplier
IMP3
HUABIO
catalog: R1512-10
domestic rabbit polyclonal
reactivity:
human
,
mouse
,
rat
application:
western blot
,
flow cytometry
,
immunohistochemistry - paraffin section
Western blot analysis of IMP3 on different lysates with Rabbit anti-IMP3 antibody (R1512-10) at 1/1,000 dilution. Lane 1: HeLa cell lysate Lane 2: 293T cell lysate Lane 3: MCF7 cell lysate Lane 4: THP-1 cell lysate Lysates/proteins at 10 µg/Lane. Predicted band size: 64 kDa Observed band size: 70 kDa Exposure time: 2 minutes; 4-20% SDS-PAGE gel. Proteins were transferred to a PVDF membrane and blocked with 5% NFDM/TBST for 1 hour at room temperature. The primary antibody (R1512-10) at 1/1,000 dilution was used in 5% NFDM/TBST at 4℃ overnight. Goat Anti-Rabbit IgG - HRP Secondary Antibody (HA1001) at 1/50,000 dilution was used for 1 hour at room temperature.
Western blot analysis of IMP3 on different lysates with Rabbit anti-IMP3 antibody (R1512-10) at 1/2,000 dilution. Lane 1: HAP1-parental cell lysate Lane 2: HAP1-IMP3 KD cell lysate Lysates/proteins at 10 µg/Lane. Predicted band size: 64 kDa Observed band size: 64 kDa Exposure time: 3 seconds; ECL: K1801; 4-20% SDS-PAGE gel. Proteins were transferred to a PVDF membrane and blocked with 5% NFDM/TBST for 1 hour at room temperature. The primary antibody (R1512-10) at 1/2,000 dilution was used in primary antibody dilution (K1803) at 4℃ overnight. Goat Anti-Rabbit IgG - HRP Secondary Antibody (HA1001) at 1/50,000 dilution was used for 1 hour at room temperature.
Immunohistochemical analysis of paraffin-embedded rat brain tissue using anti-IMP-3 antibody. Counter stained with hematoxylin.
quantity: 100μl
price: 330 USD
to the supplier
IMP3
HUABIO
catalog: EM1701-15
mouse monoclonal (C2-E4)
reactivity:
human
,
mouse
,
rat
application:
western blot
,
immunoprecipitation
,
flow cytometry
,
immunohistochemistry - paraffin section
quantity: 100μl
price: 360.00 USD
to the supplier