Sign in
Sign up
home
>
HUABIO
> HUABIO Prkaa1 antibody
AMPK alpha 1
HUABIO
catalog: ET1608-40
domestic rabbit monoclonal (SU03-48)
reactivity:
human
,
mouse
,
rat
application:
western blot
,
immunoprecipitation
,
flow cytometry
,
immunohistochemistry - paraffin section
,
immunohistochemistry - frozen section
Western blot analysis of AMPK alpha 1 on different lysates with Rabbit anti-AMPK alpha 1 antibody (ET1608-40) at 1/5,000 dilution and competitor's antibody at 1/2,000 dilution. Lane 1: HeLa cell lysate (20 µg/Lane) Lane 2: MCF7 cell lysate (20 µg/Lane) Lane 3: K-562 cell lysate (20 µg/Lane) Lane 4: 293T cell lysate (20 µg/Lane) Lane 5: HT-29 cell lysate (20 µg/Lane) Lane 6: L-929 cell lysate (20 µg/Lane) Lane 7: C6 cell lysate (20 µg/Lane) Predicted band size: 64 kDa Observed band size: 64 kDa Exposure time: 1 minute 10 seconds; ECL: K1802; 4-20% SDS-PAGE gel. Proteins were transferred to a PVDF membrane and blocked with 5% NFDM/TBST for 1 hour at room temperature. The primary antibody (ET1608-40) at 1/5,000 dilution and competitor's antibody at 1/2,000 dilution were used in 5% NFDM/TBST at 4℃ overnight. Goat Anti-Rabbit IgG - HRP Secondary Antibody (HA1001) at 1/50,000 dilution was used for 1 hour at room temperature.
Western blot analysis of AMPK alpha 1 on different lysates with Rabbit anti-AMPK alpha 1 antibody (ET1608-40) at 1/1,000 dilution. Lane 1: 4T1 cell lysate (20 µg/Lane) Lane 2: Neuro-2a cell lysate (20 µg/Lane) Lane 3: RAW264.7 cell lysate (20 µg/Lane) Lane 4: C6 cell lysate (20 µg/Lane) Predicted band size: 64 kDa Observed band size: 64 kDa Exposure time: 59 seconds; ECL: K1801; 4-20% SDS-PAGE gel. Proteins were transferred to a PVDF membrane and blocked with 5% NFDM/TBST for 1 hour at room temperature. The primary antibody (ET1608-40) at 1/1,000 dilution was used in 5% NFDM/TBST at 4℃ overnight. Goat Anti-Rabbit IgG - HRP Secondary Antibody (HA1001) at 1/50,000 dilution was used for 1 hour at room temperature.
Western blot analysis of AMPK α with anti-AMPK alpha 1 antibody [SU03-48] (ET1608-40) at 1/5,000 dilution. Lane 1: Wild-type 293T whole cell lysate (20 µg). Lane 2: AMPK α knockout 293T whole cell lysate (20 µg). Proteins were transferred to a PVDF membrane and blocked with 5% NFDM in TBST for 1 hour at room temperature. The primary Anti-AMPK alpha 1 antibody (ET1608-40, 1/5,000) and Anti-HSP90 antibody (ET1605-56, 1/10,000) were used in 5% BSA at room temperature for 2 hours. Goat Anti-Rabbit IgG H&L (HRP) Secondary Antibody (HA1001) at 1/50,000 dilution was used for 1 hour at room temperature.
quantity: 100μl
price: 385.00 USD
to the supplier
Phospho-AMPK alpha 1 (S496)
HUABIO
catalog: ET1612-72
domestic rabbit monoclonal (SD0810)
reactivity:
human
,
mouse
application:
western blot
,
immunoprecipitation
,
immunohistochemistry - frozen section
Western blot analysis of Phospho-AMPK alpha 1 (S496) on different lysates with Rabbit anti-Phospho-AMPK alpha 1 (S496) antibody (ET1612-72) at 1/5,000 dilution. Lane 1: SiHa cell lysate Lane 2: HUVEC cell lysate Lane 3: K-562 cell lysate Lysates/proteins at 15 µg/Lane. Predicted band size: 64 kDa Observed band size: 64 kDa Exposure time: 3 minutes; 4-20% SDS-PAGE gel. Proteins were transferred to a PVDF membrane and blocked with 5% NFDM/TBST for 1 hour at room temperature. The primary antibody (ET1612-72) at 1/5,000 dilution was used in 5% NFDM/TBST at 4℃ overnight. Goat Anti-Rabbit IgG - HRP Secondary Antibody (HA1001) at 1/50,000 dilution was used for 1 hour at room temperature.
Western blot analysis of Phospho-AMPK alpha 1(S496) on HUVEC cell lysates. Lane 1: HUVEC cells, whole cell lysate, 10ug/lane Lane 2/3: HUVEC cells treated with UV(2 hours recovery), whole cell lysates, 10ug/lane Lane 4: HUVEC cells treated with UV(2 hours recovery), then treated with 2.8ug/ul lambda-PP for 30 minutes, whole cell lysates, 10ug/lane All lanes : Anti-Phospho-AMPK alpha 1(S496) antibody (ET1612-72) at 1:500 dilution. Anti-GAPDH antibody (ET1601-4) at 1:10,000 dilution. Goat Anti-Rabbit IgG H&L (HRP) (HA1001) at 1/200,000 dilution. Predicted band size:64 kDa Observed band size:64 kDa Blocking and diluting buffer: 5% BSA. Exposure time: 2 minutes 14 seconds
Immunofluorescence analysis of frozen mouse hippocampus tissue labeling Phospho-AMPK alpha 1 (S496) with Rabbit anti-Phospho-AMPK alpha 1 (S496) antibody (ET1612-72). The tissues were blocked in 3% BSA for 30 minutes at room temperature, washed with PBS, and then probed with the primary antibody (ET1612-72, green) at 1/100 dilution overnight at 4℃, washed with PBS. Goat Anti-Rabbit IgG H&L (Alexa Fluor® 488) was used as the secondary antibody at 1/200 dilution. Nuclei were counterstained with DAPI (blue). Image acquisition was performed with KFBIO KF-FL-400 Scanner.
quantity: 100μl
price: 385.00 USD
to the supplier
AMPK alpha 1/2
HUABIO
catalog: HA723038
domestic rabbit monoclonal (PSH08-86)
reactivity:
human
,
mouse
,
rat
application:
western blot
,
immunohistochemistry - paraffin section
Western blot analysis of AMPK alpha 1/2 on different lysates with Rabbit anti-AMPK alpha 1/2 antibody (HA723038) at 1/2,000 dilution. Lane 1: HepG2 cell lysate (20 µg/Lane) Lane 2: HeLa cell lysate (20 µg/Lane) Lane 3: RAW264.7 cell lysate (20 µg/Lane) Lane 4: C6 cell lysate (20 µg/Lane) Predicted band size: 64/62 kDa Observed band size: 60 kDa Exposure time: 30 seconds; ECL: K1801; 4-20% SDS-PAGE gel. Proteins were transferred to a PVDF membrane and blocked with 5% NFDM/TBST for 1 hour at room temperature. The primary antibody (HA723038) at 1/2,000 dilution was used in 5% NFDM/TBST at 4℃ overnight. Goat Anti-Rabbit IgG - HRP Secondary Antibody (HA1001) at 1/50,000 dilution was used for 1 hour at room temperature.
Immunohistochemical analysis of paraffin-embedded mouse brain tissue with Rabbit anti-AMPK alpha 1/2 antibody (HA723038) at 1/1,000 dilution. The section was pre-treated using heat mediated antigen retrieval with Tris-EDTA buffer (pH 9.0) for 20 minutes. The tissues were blocked in 1% BSA for 20 minutes at room temperature, washed with ddH2O and PBS, and then probed with the primary antibody (HA723038) at 1/1,000 dilution for 1 hour at room temperature. The detection was performed using an HRP conjugated compact polymer system. DAB was used as the chromogen. Tissues were counterstained with hematoxylin and mounted with DPX.
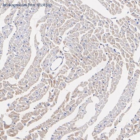
Immunohistochemical analysis of paraffin-embedded mouse heart tissue with Rabbit anti-AMPK alpha 1/2 antibody (HA723038) at 1/200 dilution. The section was pre-treated using heat mediated antigen retrieval with Tris-EDTA buffer (pH 9.0) for 20 minutes. The tissues were blocked in 1% BSA for 20 minutes at room temperature, washed with ddH2O and PBS, and then probed with the primary antibody (HA723038) at 1/200 dilution for 1 hour at room temperature. The detection was performed using an HRP conjugated compact polymer system. DAB was used as the chromogen. Tissues were counterstained with hematoxylin and mounted with DPX.
quantity: 100μl
price: 385.00 USD
to the supplier
Phospho-AMPK alpha 1 (T183) +AMPK alpha 2 (T172)
HUABIO
catalog: HA723603
domestic rabbit monoclonal (PSH14-13)
reactivity:
human
,
mouse
,
rat
application:
western blot
,
immunohistochemistry - paraffin section
Western blot analysis of Phospho-AMPK alpha 1 (T183) +AMPK alpha 2 (T172) on different lysates with Rabbit anti-Phospho-AMPK alpha 1 (T183) +AMPK alpha 2 (T172) antibody (HA723603) at 1/2,000 dilution. Lane 1: NCI-H1299 cell lysate Lane 2: NCI-H1299 treated with 0.5μM Oligomycin for 15 minutes cell lysate Lane 3: SH-SY5Y cell lysate Lane 4: SH-SY5Y treated with 0.5μM Oligomycin for 30 minutes cell lysate Lane 5: C2C12 cell lysate Lane 6: C2C12 treated with 1mM AICAR for 30 minutes cell lysate Lane 7: C6 cell lysate Lane 8: C6 treated with 1μM Oligomycin for 30 minutes cell lysate Lane 9: NCI-H1299 treated with 0.5μM Oligomycin for 15 minutes cell lysate, then the membrane treated with λpp for 1 hour Lysates/proteins at 20 µg/Lane. Predicted band size: 64 kDa Observed band size: 64 kDa Exposure time: 59 seconds; ECL: K1801; 4-20% SDS-PAGE gel. Proteins were transferred to a PVDF membrane and blocked with 5% NFDM/TBST for 1 hour at room temperature. The primary antibody (HA723603) at 1/2,000 dilution was used in 5% NFDM/TBST at 4℃ overnight. Goat Anti-Rabbit IgG - HRP Secondary Antibody (HA1001) at 1/50,000 dilution was used for 1 hour at room temperature.
Immunohistochemical analysis of paraffin-embedded human bain tissue untreated / treated with λpp with Rabbit anti-Phospho-AMPK alpha 1 (T183) +AMPK alpha 2 (T172) antibody (HA723603) at 1/200 dilution. The section was pre-treated using heat mediated antigen retrieval with Tris-EDTA buffer (pH 9.0) for 20 minutes. The tissues were blocked in 1% BSA for 20 minutes at room temperature, washed with ddH2O and PBS, and then probed with the primary antibody (HA723603) at 1/200 dilution for 1 hour at room temperature. The detection was performed using an HRP conjugated compact polymer system. DAB was used as the chromogen. Tissues were counterstained with hematoxylin and mounted with DPX.
Immunohistochemical analysis of paraffin-embedded mouse bain tissue untreated / treated with λpp with Rabbit anti-Phospho-AMPK alpha 1 (T183) +AMPK alpha 2 (T172) antibody (HA723603) at 1/1,000 dilution. The section was pre-treated using heat mediated antigen retrieval with Tris-EDTA buffer (pH 9.0) for 20 minutes. The tissues were blocked in 1% BSA for 20 minutes at room temperature, washed with ddH2O and PBS, and then probed with the primary antibody (HA723603) at 1/1,000 dilution for 1 hour at room temperature. The detection was performed using an HRP conjugated compact polymer system. DAB was used as the chromogen. Tissues were counterstained with hematoxylin and mounted with DPX.
quantity: 100μl
price: 385.00 USD
to the supplier
AMPK alpha 1
HUABIO
catalog: HA750147
domestic rabbit monoclonal (SU03-48)
reactivity:
human
,
mouse
,
rat
application:
western blot
,
immunoprecipitation
,
flow cytometry
,
immunohistochemistry - paraffin section
,
immunohistochemistry - frozen section
Western blot analysis of AMPK alpha 1 on different lysates with Rabbit anti-AMPK alpha 1 antibody (HA750147) at 1/5,000 dilution and competitor's antibody at 1/2,000 dilution. Lane 1: HeLa cell lysate (20 µg/Lane) Lane 2: MCF7 cell lysate (20 µg/Lane) Lane 3: K-562 cell lysate (20 µg/Lane) Lane 4: 293T cell lysate (20 µg/Lane) Lane 5: HT-29 cell lysate (20 µg/Lane) Lane 6: L-929 cell lysate (20 µg/Lane) Lane 7: C6 cell lysate (20 µg/Lane) Predicted band size: 64 kDa Observed band size: 64 kDa Exposure time: 1 minute 10 seconds; ECL: K1802; 4-20% SDS-PAGE gel. Proteins were transferred to a PVDF membrane and blocked with 5% NFDM/TBST for 1 hour at room temperature. The primary antibody (HA750147) at 1/5,000 dilution and competitor's antibody at 1/2,000 dilution were used in 5% NFDM/TBST at 4℃ overnight. Goat Anti-Rabbit IgG - HRP Secondary Antibody (HA1001) at 1/50,000 dilution was used for 1 hour at room temperature.
Western blot analysis of AMPK alpha 1 on different lysates with Rabbit anti-AMPK alpha 1 antibody (HA750147) at 1/1,000 dilution. Lane 1: 4T1 cell lysate (20 µg/Lane) Lane 2: Neuro-2a cell lysate (20 µg/Lane) Lane 3: RAW264.7 cell lysate (20 µg/Lane) Lane 4: C6 cell lysate (20 µg/Lane) Predicted band size: 64 kDa Observed band size: 64 kDa Exposure time: 59 seconds; ECL: K1801; 4-20% SDS-PAGE gel. Proteins were transferred to a PVDF membrane and blocked with 5% NFDM/TBST for 1 hour at room temperature. The primary antibody (HA750147) at 1/1,000 dilution was used in 5% NFDM/TBST at 4℃ overnight. Goat Anti-Rabbit IgG - HRP Secondary Antibody (HA1001) at 1/50,000 dilution was used for 1 hour at room temperature.
Western blot analysis of AMPK α with anti-AMPK alpha 1 antibody [SU03-48] (HA750147) at 1/5,000 dilution. Lane 1: Wild-type 293T whole cell lysate (20 µg). Lane 2: AMPK α knockout 293T whole cell lysate (20 µg). Proteins were transferred to a PVDF membrane and blocked with 5% NFDM in TBST for 1 hour at room temperature. The primary Anti-AMPK alpha 1 antibody (HA750147, 1/5,000) and Anti-HSP90 antibody (ET1605-56, 1/10,000) were used in 5% BSA at room temperature for 2 hours. Goat Anti-Rabbit IgG H&L (HRP) Secondary Antibody (HA1001) at 1/50,000 dilution was used for 1 hour at room temperature.
quantity: 100μl
price: 649.00 USD
to the supplier
Phospho-AMPK alpha 1 (S496)
HUABIO
catalog: HA750300
domestic rabbit monoclonal (SD0810)
reactivity:
human
,
mouse
application:
western blot
,
immunoprecipitation
,
immunohistochemistry - frozen section
Western blot analysis of Phospho-AMPK alpha 1 (S496) on different lysates with Rabbit anti-Phospho-AMPK alpha 1 (S496) antibody (HA750300) at 1/5,000 dilution. Lane 1: SiHa cell lysate Lane 2: HUVEC cell lysate Lane 3: K-562 cell lysate Lysates/proteins at 15 µg/Lane. Predicted band size: 64 kDa Observed band size: 64 kDa Exposure time: 3 minutes; 4-20% SDS-PAGE gel. Proteins were transferred to a PVDF membrane and blocked with 5% NFDM/TBST for 1 hour at room temperature. The primary antibody (HA750300) at 1/5,000 dilution was used in 5% NFDM/TBST at 4℃ overnight. Goat Anti-Rabbit IgG - HRP Secondary Antibody (HA1001) at 1/50,000 dilution was used for 1 hour at room temperature.
Western blot analysis of Phospho-AMPK alpha 1(S496) on HUVEC cell lysates. Lane 1: HUVEC cells, whole cell lysate, 10ug/lane Lane 2/3: HUVEC cells treated with UV(2 hours recovery), whole cell lysates, 10ug/lane Lane 4: HUVEC cells treated with UV(2 hours recovery), then treated with 2.8ug/ul lambda-PP for 30 minutes, whole cell lysates, 10ug/lane All lanes : Anti-Phospho-AMPK alpha 1(S496) antibody (HA750300) at 1:500 dilution. Anti-GAPDH antibody (ET1601-4) at 1:10,000 dilution. Goat Anti-Rabbit IgG H&L (HRP) (HA1001) at 1/200,000 dilution. Predicted band size:64 kDa Observed band size:64 kDa Blocking and diluting buffer: 5% BSA. Exposure time: 2 minutes 14 seconds
Immunofluorescence analysis of frozen mouse hippocampus tissue labeling Phospho-AMPK alpha 1 (S496) with Rabbit anti-Phospho-AMPK alpha 1 (S496) antibody (HA750300). The tissues were blocked in 3% BSA for 30 minutes at room temperature, washed with PBS, and then probed with the primary antibody (HA750300, green) at 1/100 dilution overnight at 4℃, washed with PBS. Goat Anti-Rabbit IgG H&L (Alexa Fluor® 488) was used as the secondary antibody at 1/200 dilution. Nuclei were counterstained with DAPI (blue). Image acquisition was performed with KFBIO KF-FL-400 Scanner.
quantity: 100μl
price: 649.00 USD
to the supplier
AMPK alpha 1/2
HUABIO
catalog: HA751251
domestic rabbit monoclonal (PSH08-86)
reactivity:
human
,
mouse
,
rat
application:
western blot
,
immunohistochemistry - paraffin section
Western blot analysis of AMPK alpha 1/2 on different lysates with Rabbit anti-AMPK alpha 1/2 antibody (HA751251) at 1/2,000 dilution. Lane 1: HepG2 cell lysate (20 µg/Lane) Lane 2: HeLa cell lysate (20 µg/Lane) Lane 3: RAW264.7 cell lysate (20 µg/Lane) Lane 4: C6 cell lysate (20 µg/Lane) Predicted band size: 64/62 kDa Observed band size: 60 kDa Exposure time: 30 seconds; ECL: K1801; 4-20% SDS-PAGE gel. Proteins were transferred to a PVDF membrane and blocked with 5% NFDM/TBST for 1 hour at room temperature. The primary antibody (HA751251) at 1/2,000 dilution was used in 5% NFDM/TBST at 4℃ overnight. Goat Anti-Rabbit IgG - HRP Secondary Antibody (HA1001) at 1/50,000 dilution was used for 1 hour at room temperature.
Immunohistochemical analysis of paraffin-embedded mouse brain tissue with Rabbit anti-AMPK alpha 1/2 antibody (HA751251) at 1/1,000 dilution. The section was pre-treated using heat mediated antigen retrieval with Tris-EDTA buffer (pH 9.0) for 20 minutes. The tissues were blocked in 1% BSA for 20 minutes at room temperature, washed with ddH2O and PBS, and then probed with the primary antibody (HA751251) at 1/1,000 dilution for 1 hour at room temperature. The detection was performed using an HRP conjugated compact polymer system. DAB was used as the chromogen. Tissues were counterstained with hematoxylin and mounted with DPX.
Immunohistochemical analysis of paraffin-embedded mouse heart tissue with Rabbit anti-AMPK alpha 1/2 antibody (HA751251) at 1/200 dilution. The section was pre-treated using heat mediated antigen retrieval with Tris-EDTA buffer (pH 9.0) for 20 minutes. The tissues were blocked in 1% BSA for 20 minutes at room temperature, washed with ddH2O and PBS, and then probed with the primary antibody (HA751251) at 1/200 dilution for 1 hour at room temperature. The detection was performed using an HRP conjugated compact polymer system. DAB was used as the chromogen. Tissues were counterstained with hematoxylin and mounted with DPX.
quantity: 100μl
price: 649.00 USD
to the supplier
Phospho-AMPK alpha 1 (T183) +AMPK alpha 2 (T172)
HUABIO
catalog: HA751508
domestic rabbit monoclonal (PSH14-13)
reactivity:
human
,
mouse
,
rat
application:
western blot
,
immunohistochemistry - paraffin section
Western blot analysis of Phospho-AMPK alpha 1 (T183) +AMPK alpha 2 (T172) on different lysates with Rabbit anti-Phospho-AMPK alpha 1 (T183) +AMPK alpha 2 (T172) antibody (HA751508) at 1/2,000 dilution. Lane 1: NCI-H1299 cell lysate Lane 2: NCI-H1299 treated with 0.5μM Oligomycin for 15 minutes cell lysate Lane 3: SH-SY5Y cell lysate Lane 4: SH-SY5Y treated with 0.5μM Oligomycin for 30 minutes cell lysate Lane 5: C2C12 cell lysate Lane 6: C2C12 treated with 1mM AICAR for 30 minutes cell lysate Lane 7: C6 cell lysate Lane 8: C6 treated with 1μM Oligomycin for 30 minutes cell lysate Lane 9: NCI-H1299 treated with 0.5μM Oligomycin for 15 minutes cell lysate, then the membrane treated with λpp for 1 hour Lysates/proteins at 20 µg/Lane. Predicted band size: 64 kDa Observed band size: 64 kDa Exposure time: 59 seconds; ECL: K1801; 4-20% SDS-PAGE gel. Proteins were transferred to a PVDF membrane and blocked with 5% NFDM/TBST for 1 hour at room temperature. The primary antibody (HA751508) at 1/2,000 dilution was used in 5% NFDM/TBST at 4℃ overnight. Goat Anti-Rabbit IgG - HRP Secondary Antibody (HA1001) at 1/50,000 dilution was used for 1 hour at room temperature.
Immunohistochemical analysis of paraffin-embedded human bain tissue untreated / treated with λpp with Rabbit anti-Phospho-AMPK alpha 1 (T183) +AMPK alpha 2 (T172) antibody (HA751508) at 1/200 dilution. The section was pre-treated using heat mediated antigen retrieval with Tris-EDTA buffer (pH 9.0) for 20 minutes. The tissues were blocked in 1% BSA for 20 minutes at room temperature, washed with ddH2O and PBS, and then probed with the primary antibody (HA751508) at 1/200 dilution for 1 hour at room temperature. The detection was performed using an HRP conjugated compact polymer system. DAB was used as the chromogen. Tissues were counterstained with hematoxylin and mounted with DPX.
Immunohistochemical analysis of paraffin-embedded mouse bain tissue untreated / treated with λpp with Rabbit anti-Phospho-AMPK alpha 1 (T183) +AMPK alpha 2 (T172) antibody (HA751508) at 1/1,000 dilution. The section was pre-treated using heat mediated antigen retrieval with Tris-EDTA buffer (pH 9.0) for 20 minutes. The tissues were blocked in 1% BSA for 20 minutes at room temperature, washed with ddH2O and PBS, and then probed with the primary antibody (HA751508) at 1/1,000 dilution for 1 hour at room temperature. The detection was performed using an HRP conjugated compact polymer system. DAB was used as the chromogen. Tissues were counterstained with hematoxylin and mounted with DPX.
quantity: 100μl
price: 649.00 USD
to the supplier