Sign in
Sign up
home
>
HUABIO
> HUABIO mesothelin antibody
Mesothelin
HUABIO
catalog: ER1803-76
domestic rabbit polyclonal
reactivity:
human
application:
western blot
,
immunohistochemistry - paraffin section
Western blot analysis of Mesothelin on SiHa lysates. Proteins were transferred to a PVDF membrane and blocked with 5% BSA in PBS for 1 hour at room temperature. The primary antibody was used at different dilution in 5% BSA at room temperature for 2 hours. Goat Anti-Rabbit IgG - HRP Secondary Antibody (HA1001) at 1:5,000 dilution was used for 1 hour at room temperature. Positive control: Lane 1: 1:500 dilution antibody Lane 2: 1:2000 dilution antibody
Immunohistochemical analysis of paraffin-embedded human tonsil tissue using anti-Mesothelin antibody. The section was pre-treated using heat mediated antigen retrieval with Tris-EDTA buffer (pH 8.0-8.4) for 20 minutes. The tissues were blocked in 5% BSA for 30 minutes at room temperature, washed with ddH2O and PBS, and then probed with the antibody (ER1803-76) at 1/100 dilution, for 30 minutes at room temperature and detected using an HRP conjugated compact polymer system. DAB was used as the chrogen. Counter stained with hematoxylin and mounted with DPX.
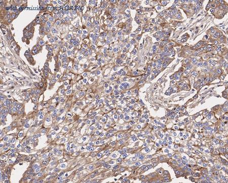
Immunohistochemical analysis of paraffin-embedded human lung cancer tissue using anti-Mesothelin antibody. The section was pre-treated using heat mediated antigen retrieval with Tris-EDTA buffer (pH 8.0-8.4) for 20 minutes. The tissues were blocked in 5% BSA for 30 minutes at room temperature, washed with ddH2O and PBS, and then probed with the antibody (ER1803-76) at 1/100 dilution, for 30 minutes at room temperature and detected using an HRP conjugated compact polymer system. DAB was used as the chrogen. Counter stained with hematoxylin and mounted with DPX.
quantity: 100μl
price: 330 USD
to the supplier
Mesothelin
HUABIO
catalog: HA721175
domestic rabbit monoclonal (PD00-68)
reactivity:
human
application:
western blot
,
immunohistochemistry - paraffin section
Western blot analysis of Mesothelin on different lysates with Rabbit anti-Mesothelin antibody (HA721175) at 1/1,000 dilution. Lane 1: HeLa cell lysate Lane 2: SK-OV-3 cell lysate Lane 3: OVCAR-3 cell lysate Lane 4: SiHa cell lysate Lane 5: NCI-H226 cell lysate Lane 6: PC-3M cell lysate (negative) Lysates/proteins at 20 µg/Lane. Predicted band size: 69 kDa Observed band size: 45 kDa Exposure time: 7 seconds; 4-20% SDS-PAGE gel. Proteins were transferred to a PVDF membrane and blocked with 5% NFDM/TBST for 1 hour at room temperature. The primary antibody (HA721175) at 1/1,000 dilution was used in 5% NFDM/TBST at room temperature for 2 hours. Goat Anti-Rabbit IgG - HRP Secondary Antibody (HA1001) at 1/100,000 dilution was used for 1 hour at room temperature.
Application: IF-Tissue Species: Human Site: ovarian cancer Sample: Paraffin-embedded section Antibody concentration: 1/500
Immunohistochemical analysis of paraffin-embedded human tonsil tissue with Rabbit anti-Mesothelin antibody (HA721175) at 1/200 dilution. The section was pre-treated using heat mediated antigen retrieval with Tris-EDTA buffer (pH 9.0) for 20 minutes. The tissues were blocked in 1% BSA for 20 minutes at room temperature, washed with ddH2O and PBS, and then probed with the primary antibody (HA721175) at 1/200 dilution for 1 hour at room temperature. The detection was performed using an HRP conjugated compact polymer system. DAB was used as the chromogen. Tissues were counterstained with hematoxylin and mounted with DPX.
quantity: 100μl
price: 385.00 USD
to the supplier
Mesothelin
HUABIO
catalog: HA721404
domestic rabbit monoclonal (PSH0-57)
reactivity:
human
application:
western blot
,
immunohistochemistry - paraffin section
Western blot analysis of Mesothelin on different lysates with Rabbit anti-Mesothelin antibody (HA721404) at 1/1,000 dilution. Lane 1: HeLa cell lysate Lane 2: SK-OV-3 cell lysate Lane 3: OVCAR-3 cell lysate Lane 4: SiHa cell lysate Lane 5: NCI-H226 cell lysate Lane 6: PC-3M cell lysate (negative) Lysates/proteins at 20 µg/Lane. Predicted band size: 69 kDa Observed band size: 45 kDa Exposure time: 7 seconds; 4-20% SDS-PAGE gel. Proteins were transferred to a PVDF membrane and blocked with 5% NFDM/TBST for 1 hour at room temperature. The primary antibody (HA721404) at 1/1,000 dilution was used in 5% NFDM/TBST at room temperature for 2 hours. Goat Anti-Rabbit IgG - HRP Secondary Antibody (HA1001) at 1:100,000 dilution was used for 1 hour at room temperature.
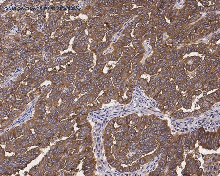
Immunohistochemical analysis of paraffin-embedded human mesothelioma tissue with Rabbit anti-Mesothelin antibody (HA721404) at 1/500 dilution. The section was pre-treated using heat mediated antigen retrieval with Tris-EDTA buffer (pH 9.0) for 20 minutes. The tissues were blocked in 1% BSA for 20 minutes at room temperature, washed with ddH2O and PBS, and then probed with the primary antibody (HA721404) at 1/500 dilution for 1 hour at room temperature. The detection was performed using an HRP conjugated compact polymer system. DAB was used as the chromogen. Tissues were counterstained with hematoxylin and mounted with DPX.
Immunohistochemical analysis of paraffin-embedded human ovarian cancer tissue with Rabbit anti-Mesothelin antibody (HA721404) at 1/2,000 dilution. The section was pre-treated using heat mediated antigen retrieval with Tris-EDTA buffer (pH 9.0) for 20 minutes. The tissues were blocked in 1% BSA for 20 minutes at room temperature, washed with ddH2O and PBS, and then probed with the primary antibody (HA721404) at 1/2,000 dilution for 1 hour at room temperature. The detection was performed using an HRP conjugated compact polymer system. DAB was used as the chromogen. Tissues were counterstained with hematoxylin and mounted with DPX.
quantity: 100μl
price: 385.00 USD
to the supplier
Mesothelin
HUABIO
catalog: HA721810
domestic rabbit monoclonal (PSH02-30)
reactivity:
human
application:
western blot
,
immunohistochemistry - paraffin section
Western blot analysis of Mesothelin on different lysates with Rabbit anti-Mesothelin antibody (HA721810) at 1/1,000 dilution. Lane 1: SiHa cell lysate Lane 2: NCI-H226 cell lysate Lane 3: HeLa cell lysate Lane 4: NIH:OVCAR-3 cell lysate Lane 5: PC-3M cell lysate (negative) Lane 6: A549 cell lysate (negative) Lysates/proteins at 20 µg/Lane. Predicted band size: 68 kDa Observed band size: 40 kDa Exposure time: 1 minute 2 seconds; 4-20% SDS-PAGE gel. Proteins were transferred to a PVDF membrane and blocked with 5% NFDM/TBST for 1 hour at room temperature. The primary antibody (HA721810) at 1/1,000 dilution was used in 5% NFDM/TBST at room temperature for 2 hours. Goat Anti-Rabbit IgG - HRP Secondary Antibody (HA1001) at 1/50,000 dilution was used for 1 hour at room temperature.
Immunocytochemistry analysis of NCI-H226 cells labeling Mesothelin with Rabbit anti-Mesothelin antibody (HA721810) at 1/100 dilution. Cells were fixed in 4% paraformaldehyde for 20 minutes at room temperature, permeabilized with 0.1% Triton X-100 in PBS for 5 minutes at room temperature, then blocked with 1% BSA in 10% negative goat serum for 1 hour at room temperature. Cells were then incubated with Rabbit anti-Mesothelin antibody (HA721810) at 1/100 dilution in 1% BSA in PBST overnight at 4 ℃. Goat Anti-Rabbit IgG H&L (iFluor™ 488, HA1121) was used as the secondary antibody at 1/1,000 dilution. PBS instead of the primary antibody was used as the secondary antibody only control. Nuclear DNA was labelled in blue with DAPI. Beta tubulin (M1305-2, red) was stained at 1/100 dilution overnight at +4℃. Goat Anti-Mouse IgG H&L (iFluor™ 594, HA1126) was used as the secondary antibody at 1/1,000 dilution.
Immunofluorescence analysis of paraffin-embedded human ovarian carcinoma tissue labeling Mesothelin with Rabbit anti-Mesothelin antibody (HA721810) at 1/100 dilution. The section was pre-treated using heat mediated antigen retrieval with Tris-EDTA buffer (pH 9.0) for 20 minutes. The tissues were blocked in 10% negative goat serum for 1 hour at room temperature, washed with PBS, and then probed with the primary antibody (HA721810, green) at 1/100 dilution overnight at 4 ℃, washed with PBS. Goat Anti-Rabbit IgG H&L (iFluor™ 488, HA1121) was used as the secondary antibody at 1/1,000 dilution. Nuclei were counterstained with DAPI (blue).
quantity: 100μl
price: 385.00 USD
to the supplier
Human Mesothelin
HUABIO
catalog: HA723287
domestic rabbit monoclonal (PSH02-30)
reactivity:
human
application:
ELISA
Sandwich ELISA analysis of Human Mesothelin matched pair antibodies Elisa assay was performed by coating wells of a 96-well plate with 100 µl per well of capture antibody (HA723287) diluted in carbonate/bicarbonate buffer, at a concentration of 5ug/ml overnight at 4℃. Wells of the plate were washed, blocked with 150 µl 0.05% tween-20 1% BSA blocking buffer, and incubated with serial diluted Recombinant Human Mesothelin protein (HA210521) starting from 20000 pg/ml to 0 pg/ml and detect antibody (HA723288, Biotin, 0.2 µg/ml) for 1 hour at 30℃ with shaking. Then the plate was washed and incubated with 100 µl per well of SA-HRP for 0.5 hour at 30℃ with shaking. Detection was performed using an Ultra TMB Substrate for 10 minutes at room temperature in the dark. The reaction was stopped with sulfuric acid and absorbances were read on a spectrophotometer at 450 nm.
Interpolated concentrations of native Mesothelin in human cell culture supernatant samples. Interpolated concentration of native Mesothelin was measured in duplicate at different sample concentrations and interpolated from the Mesothelin standard curves. Undiluted samples were 100% cell supernatant. The mean Mesothelin concentration was determined to be 11,523 pg/mL in neat Hela cell supernanant. There was no detectable signal in PC-3 cell supernatant.
Interpolated concentrations of spiked Mesothelin in cell culture media samples. The concentrations of Mesothelin were measured in duplicates, interpolated from the Mesothelin standard curves and corrected for sample dilution. Undiluted samples are as follows: cell culture media 50%.
quantity: 100μl
price: 649.00 USD
to the supplier
Human Mesothelin
HUABIO
catalog: HA723288
domestic rabbit monoclonal (PSH0-57)
reactivity:
human
application:
ELISA
Sandwich ELISA analysis of Human Mesothelin matched pair antibodies Elisa assay was performed by coating wells of a 96-well plate with 100 µl per well of capture antibody (HA723287) diluted in carbonate/bicarbonate buffer, at a concentration of 5ug/ml overnight at 4℃. Wells of the plate were washed, blocked with 150 µl 0.05% tween-20 1% BSA blocking buffer, and incubated with serial diluted Recombinant Human Mesothelin protein (HA210521) starting from 20000 pg/ml to 0 pg/ml and detect antibody (HA723288, Biotin, 0.2 µg/ml) for 1 hour at 30℃ with shaking. Then the plate was washed and incubated with 100 µl per well of SA-HRP for 0.5 hour at 30℃ with shaking. Detection was performed using an Ultra TMB Substrate for 10 minutes at room temperature in the dark. The reaction was stopped with sulfuric acid and absorbances were read on a spectrophotometer at 450 nm.
Interpolated concentrations of native Mesothelin in human cell culture supernatant samples. Interpolated concentration of native Mesothelin was measured in duplicate at different sample concentrations and interpolated from the Mesothelin standard curves. Undiluted samples were 100% cell supernatant. The mean Mesothelin concentration was determined to be 11,523 pg/mL in neat Hela cell supernanant. There was no detectable signal in PC-3 cell supernatant.
Interpolated concentrations of spiked Mesothelin in cell culture media samples. The concentrations of Mesothelin were measured in duplicates, interpolated from the Mesothelin standard curves and corrected for sample dilution. Undiluted samples are as follows: cell culture media 50%.
quantity: 100μl
price: 649.00 USD
to the supplier
Human Mesothelin
HUABIO
catalog: HA723289B
domestic rabbit monoclonal (PSH0-57)
reactivity:
human
conjugate: biotin
application:
ELISA
Sandwich ELISA analysis of Human Mesothelin matched pair antibodies Elisa assay was performed by coating wells of a 96-well plate with 100 µl per well of capture antibody (HA723287) diluted in carbonate/bicarbonate buffer, at a concentration of 5ug/ml overnight at 4℃. Wells of the plate were washed, blocked with 150 µl 0.05% tween-20 1% BSA blocking buffer, and incubated with serial diluted Recombinant Human Mesothelin protein (HA210521) starting from 20000 pg/ml to 0 pg/ml and detect antibody (HA723289B, 0.2 µg/ml) for 1 hour at 30℃ with shaking. Then the plate was washed and incubated with 100 µl per well of SA-HRP for 0.5 hour at 30℃ with shaking. Detection was performed using an Ultra TMB Substrate for 10 minutes at room temperature in the dark. The reaction was stopped with sulfuric acid and absorbances were read on a spectrophotometer at 450 nm.
Interpolated concentrations of native Mesothelin in human cell culture supernatant samples. Interpolated concentration of native Mesothelin was measured in duplicate at different sample concentrations and interpolated from the Mesothelin standard curves. Undiluted samples were 100% cell supernatant. The mean Mesothelin concentration was determined to be 11,523 pg/mL in neat Hela cell supernanant. There was no detectable signal in PC-3 cell supernatant.
Interpolated concentrations of spiked Mesothelin in cell culture media samples. The concentrations of Mesothelin were measured in duplicates, interpolated from the Mesothelin standard curves and corrected for sample dilution. Undiluted samples are as follows: cell culture media 50%.
quantity: 100μl
price: 409.00 USD
to the supplier
Human Mesothelin
HUABIO
catalog: HA723289H
domestic rabbit monoclonal (PSH0-57)
reactivity:
human
conjugate: HRP
application:
ELISA
Sandwich ELISA analysis of Human Mesothelin matched pair antibodies Elisa assay was performed by coating wells of a 96-well plate with 100 µl per well of capture antibody (HA723287) diluted in carbonate/bicarbonate buffer, at a concentration of 5ug/ml overnight at 4℃. Wells of the plate were washed, blocked with 150 µl 0.05% tween-20 1% BSA blocking buffer, and incubated with serial diluted Recombinant Human Mesothelin protein (HA210521) starting from 30,000 pg/ml to 0 pg/ml and detect antibody (HA723289H, HRP, 0.2 µg/ml) for 1 hour at 30℃ with shaking. Detection was performed using an Ultra TMB Substrate for 10 minutes at room temperature in the dark. The reaction was stopped with sulfuric acid and absorbances were read on a spectrophotometer at 450 nm.
quantity: 100μl
price: 409.00 USD
to the supplier
Mesothelin
HUABIO
catalog: HA750634
domestic rabbit monoclonal (PSH0-57)
reactivity:
human
application:
western blot
,
immunohistochemistry - paraffin section
Western blot analysis of Mesothelin on different lysates with Rabbit anti-Mesothelin antibody (HA750634) at 1/1,000 dilution. Lane 1: HeLa cell lysate Lane 2: SK-OV-3 cell lysate Lane 3: OVCAR-3 cell lysate Lane 4: SiHa cell lysate Lane 5: NCI-H226 cell lysate Lane 6: PC-3M cell lysate (negative) Lysates/proteins at 20 µg/Lane. Predicted band size: 69 kDa Observed band size: 45 kDa Exposure time: 7 seconds; 4-20% SDS-PAGE gel. Proteins were transferred to a PVDF membrane and blocked with 5% NFDM/TBST for 1 hour at room temperature. The primary antibody (HA750634) at 1/1,000 dilution was used in 5% NFDM/TBST at room temperature for 2 hours. Goat Anti-Rabbit IgG - HRP Secondary Antibody (HA1001) at 1:100,000 dilution was used for 1 hour at room temperature.
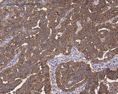
Immunohistochemical analysis of paraffin-embedded human mesothelioma tissue with Rabbit anti-Mesothelin antibody (HA750634) at 1/500 dilution. The section was pre-treated using heat mediated antigen retrieval with Tris-EDTA buffer (pH 9.0) for 20 minutes. The tissues were blocked in 1% BSA for 20 minutes at room temperature, washed with ddH2O and PBS, and then probed with the primary antibody (HA750634) at 1/500 dilution for 1 hour at room temperature. The detection was performed using an HRP conjugated compact polymer system. DAB was used as the chromogen. Tissues were counterstained with hematoxylin and mounted with DPX.
Immunohistochemical analysis of paraffin-embedded human ovarian cancer tissue with Rabbit anti-Mesothelin antibody (HA750634) at 1/2,000 dilution. The section was pre-treated using heat mediated antigen retrieval with Tris-EDTA buffer (pH 9.0) for 20 minutes. The tissues were blocked in 1% BSA for 20 minutes at room temperature, washed with ddH2O and PBS, and then probed with the primary antibody (HA750634) at 1/2,000 dilution for 1 hour at room temperature. The detection was performed using an HRP conjugated compact polymer system. DAB was used as the chromogen. Tissues were counterstained with hematoxylin and mounted with DPX.
quantity: 100μl
price: 649.00 USD
to the supplier