product summary
Loading...
company name :
HUABIO
product type :
antibody
product name :
CD127
catalog :
0804-9
quantity :
100μl
price :
330 USD
clonality :
polyclonal
host :
domestic rabbit
conjugate :
nonconjugated
reactivity :
human
application :
western blot, flow cytometry, immunohistochemistry - paraffin section
more info or order :
image
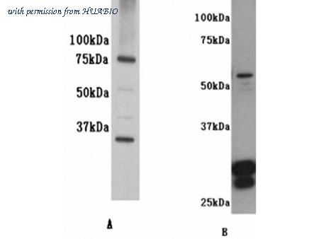
image 1 :

Western blot analysis on K562 cell lysate(A) and human skin tissue lysate (B)using anti- IL-7R-alpha polyclonal antibody.
product information
SKU :
0804-9
Target name :
CD127
Species reactivity :
Human
Applications :
WB,IHC-P,IF-Cell,FC
Conjugate :
Non-conjugated
Immunogen :
Synthetic peptide within Human CD127 aa 13-62 / 459.
Uniprot id :
P16871>SwissProt: P16871 Human
Host :
Rabbit
Isotype :
IgG
Size :
100μl
List Price :
330 USD
Storage Buffer :
1*PBS (pH7.4), 0.2% BSA, 25% Glycerol. Preservative: 0.05% Sodium Azide.
Form :
Liquid
Storage Instruction :
Shipped at 4℃. Store at +4℃ short term (1-2 weeks). It is recommended to aliquot into single-use upon delivery. Store at -20℃ long term.
Purity :
Immunogen affinity purified.
Product type :
Rabbit polyclonal Antibody
Positive control :
K562 cell lysate, human skin tissue lysate.
Molecular wt :
Predicted band size: 52 kDa
Subcellular location :
Secretion protein, Cell membrane, cytosol, nucleoplasm.
Concentration :
1 mg/mL.
Recommended dilutions :
WB: 1:1,000-5,000
;IHC-P: 1:200
;IF-Cell: 1:50
;FC: 1:50
more info or order :
company information

HUABIO
Founded in 2007, HUABIO is dedicated to developing high-quality antibodies that advance innovation. We are passionate about the accuracy, efficiency, and consistency of our products. That is why we have invested in new production platforms, like recombinant rabbit monoclonals, alpaca nanobodies, and adopted aggressive QA standards to deliver cutting-edge antibodies with uncompromised quality.
We hope to see you at your next discovery!
We hope to see you at your next discovery!
related products
browse more products
questions and comments
