Sign in
Sign up
home
>
GeneTex
> GeneTex p53 antibody
p53 antibody
GeneTex
catalog: GTX102965
rabbit polyclonal
reactivity:
human
citations: 5
Confocal immunofluorescence analysis (Olympus FV10i) of paraformaldehyde-fixed U2OS, using p53(GTX102965) antibody (Green) at 1:500 dilution. Alpha-tubulin filaments were labeled with GTX11304 (Red) at 1:2000.
p53 antibody detects p53 protein at nucleus by immunofluorescent analysis. Samples: HCT 116 cells mock (left) and treated with 30 ?M Cisplatin for 24 hrs (right) were fixed in 4% paraformaldehyde at RT for 15 min. Green: p53 protein stained by p53 antibody (GTX102965) diluted at 1:500. Blue: Hoechst 33342 staining. Scale bar = 10 ?m.
p53 antibody immunoprecipitates p53 protein-DNA complex in ChIP experiments. ChIP Sample: HCT116 whole cell lysate/extract treated with CPT 500nM for 6hr A. 5 ?g preimmune rabbit IgG B. 5 ?g of p53 antibody (GTX102965) The precipitated DNA was detected by PCR with primer set targeting to p21 promoter.
quantity:
price:
to the supplier
p53 antibody [D01]
GeneTex
catalog: GTX70214
mouse monoclonal (D01)
reactivity:
human
application:
western blot
,
ELISA
,
immunocytochemistry
,
immunoprecipitation
,
FACS
,
chromatin immunoprecipitation
,
immunohistochemistry - paraffin section
,
immunohistochemistry - frozen section
citations: 5
p53 antibody detects p53 protein by western blot analysis. Various whole cell extracts (30 ?g) were separated by 10% SDS-PAGE, and the membrane was blotted with p53 antibody (GTX70214) diluted by 1:10000.
Immunoprecipitation of p53 protein from 293T whole cell extracts using 5 ?g of p53 antibody [D01] (GTX70214). Western blot analysis was performed using p53 antibody [D01] (GTX70214). EasyBlot anti-Mouse IgG (GTX221667-01) was used as a secondary reagent.
quantity: 200.00μg
price: 299 USD
to the supplier
p53 antibody [Pab1801]
GeneTex
catalog: GTX70216
mouse monoclonal (Pab1801)
reactivity:
human
application:
western blot
,
ELISA
,
immunoprecipitation
,
FACS
,
radioimmunoassay
,
immunohistochemistry - paraffin section
,
immunohistochemistry - frozen section
citations: 1
Sample (30 ug of whole cell lysate) A: 293T B: A431 10% SDS PAGE GTX70216 diluted at 1:10000
Sample (30 ug of whole cell lysate) A: HCT116 cells with mock treatment for 24hr B: HCT116 cells with 30uM cisplatin treatment for 24hr 10% SDS PAGE GTX70216 diluted at 1:1000
p53 antibody immunoprecipitates p53 protein-DNA complex in ChIP experiments. ChIP Sample: HCT116 whole cell lysate/extract treated with CPT 500nM for 6hr A. 5 ?g preimmune mouse IgG B. 5 ?g of p53 antibody (GTX70216) The precipitated DNA was detected by PCR with primer set targeting to p21 promoter.
quantity: 100.00μg
price: 299 USD
to the supplier
p53 antibody [Pab240]
GeneTex
catalog: GTX70218
mouse monoclonal (PAb240)
reactivity:
human
,
mouse
,
dog
application:
western blot
,
ELISA
,
immunohistochemistry
,
immunocytochemistry
,
immunoprecipitation
,
FACS
,
immunohistochemistry - paraffin section
,
immunohistochemistry - frozen section
citations: 1
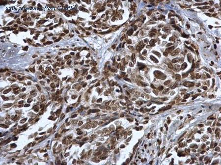
Immunohistochemical analysis of paraffin-embedded HBL435 xenograft, using p53(GTX70218) antibody at 1:200 dilution.
Sample (30 ug of whole cell lysate) A: 293T B: A431 10% SDS PAGE GTX70218 diluted at 1:1000
Sample (30 ug of whole cell lysate) A: HCT116 cells with mock treatment for 24hr B: HCT116 cells with 30uM cisplatin treatment for 24hr 10% SDS PAGE GTX70218 diluted at 1:1000
quantity: 100.00μg
price: 299 USD
to the supplier
p53 (phospho Ser392) antibody[FP3-2]
GeneTex
catalog: GTX75422
mouse monoclonal (FP3-2 [FPS392])
reactivity:
human
modification: phosphorylated
application:
western blot
,
immunohistochemistry
,
immunohistochemistry - paraffin section
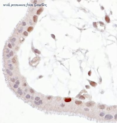
Immunohistochemistry staining of Wild-type p53 expressed in human trophoblast (paraffin-embedded sections). Note that some of total p53 positive nuclei are also FP3.2 (phospho p53) positive. 1A – anti-p53(GTX75422) (total)
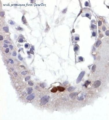
Immunohistochemistry staining of Wild-type p53 expressed in human trophoblast (paraffin-embedded sections). Note that some of total p53 positive nuclei are also FP3.2 (phospho p53) positive. 1B – anti-p53 (GTX75422) (phospho Ser392)
quantity: 100.00μg
price: 299 USD
to the supplier
p53 (phospho Ser20) antibody
GeneTex
catalog: GTX78985
rabbit polyclonal
reactivity:
human
,
mouse
modification: phosphorylated
application:
western blot
,
ELISA
,
immunohistochemistry
,
immunohistochemistry - paraffin section
Immunohistochemical analysis of paraffin-embedded human breast carcinoma tissue using P53 (phospho-Ser20) antibody (GTX78985).
Western blot analysis of extracts from COS7 cells treated with UV. Left: Using P53 (phospho-Ser20) antibody (GTX78985). Right: Using the same antibody preincubated with synthesized peptide.
quantity: 100.00μg
price: 299 USD
to the supplier
p53 (mono-methyl Lys372) antibody
GeneTex
catalog: GTX117515
rabbit polyclonal
reactivity:
human
modification: methylated
application:
western blot
,
immunocytochemistry
,
immunohistochemistry - paraffin section
p53 (mono-methyl Lys372) antibody detects p53 (mono-methyl Lys372) protein at cytoplasm and nucleus in human cervical cancer by immunohistochemical analysis. Sample: Paraffin-embedded human cervical cancer. p53 (mono-methyl Lys372) antibody (GTX117515) diluted at 1:500.
Confocal immunofluorescence analysis (Olympus FV10i) of paraformaldehyde-fixed U2OS, using p53 (mono-methyl Lys372)(GTX117515) antibody (Green) at 1:500 dilution. Alpha-tubulin filaments were labeled with GTX11304 (Red) at 1:2000.
Sample (30 ug of whole cell lysate) A: HCT116 cells with mock treatment for 24hr B: HCT116 cells with 30uM cisplatin treatment for 24hr 10% SDS PAGE GTX117515 diluted at 1:500
quantity: 100.00μl
price: 299 USD
to the supplier
p53 (phospho Ser46) antibody
GeneTex
catalog: GTX50163
rabbit polyclonal
reactivity:
human
,
mouse
,
rat
modification: phosphorylated
application:
western blot
,
immunocytochemistry
Immunofluorescence staining of methanol-fixed Hela cells using p53 (Phospho-Ser46) Antibody (GTX50163).
Western blot analysis of extracts from MCF cells untreated or treated with Anisomycin using p53 (Phospho-Ser46) Antibody (GTX50163).
quantity: 100.00μl
price: 299 USD
to the supplier
p53 antibody
GeneTex
catalog: GTX50438
rabbit polyclonal
reactivity:
human
,
mouse
,
rat
application:
western blot
,
immunohistochemistry
,
immunocytochemistry
,
immunohistochemistry - paraffin section
Immunofluorescence staining of methanol-fixed Hela cells using p53 Antibody (GTX50438).
Immunohistochemical analysis of paraffin-embedded human breast carcinoma tissue using p53 Antibody (GTX50438) (left) or the same antibody preincubated with blocking peptide (right).
Western blot analysis of extracts from MDA and JK cells using p53(Ab-15) Antibody GTX50438
quantity: 100.00μl
price: 299 USD
to the supplier